Schmerzlose Schwellung des Gaumens: Behandlungsalgorithmus und Differenzialdiagnose
Im Praxisalltag sind schmerzlose Schwellungen des Gaumens seltene Phänomene. Um den Spagat zwischen unnötiger Beunruhigung des Patienten und Tempo bei der weiteren Diagnostik zu bewältigen, ist die Kenntnis unterschiedlicher Erscheinungsbilder schmerzloser palatinaler Schwellungen und deren Differenzialdiagnose nützlich.
Ein 24-jähriger, allgemeinmedizinisch gesunder Patient stellte sich der Überweisung seines Zahnarztes folgend in unserer Sprechstunde vor und bat um Beratung sowie die weitere Therapie einer schmerzlosen Schwellung des Gaumens. Er gab an, die Schwellung selbst nicht bemerkt zu haben. Funktionell (Sprache, Schluckakt) bereite ihm die Raumforderung keine Beschwerden.
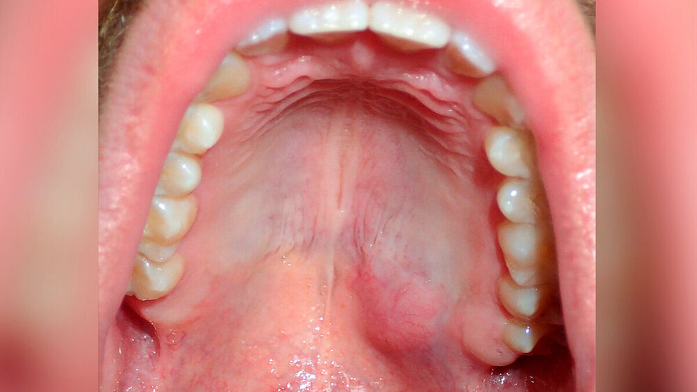
Klinisch zeigte sich eine derbe, nicht druckdolente und mit normaler Schleimhaut bedeckte Raumforderung im Bereich des Gaumens linksseitig (Abbildung 1). Die Zähne im Bereich des zweiten Quadranten zeigten keine pathologischen Befunde. Insbesondere die Zähne 26, 27 und 28 reagierten negativ auf die Perkussionsprobe und positiv auf die Sensibilitätsprobe mit Kälte. Im Röntgenzahnfilm und im Orthopantomogramm zeigten sich keine wegweisenden Befunde. Dennoch wurde von zahnärztlicher Seite ein entzündliches Geschehen vermutet.
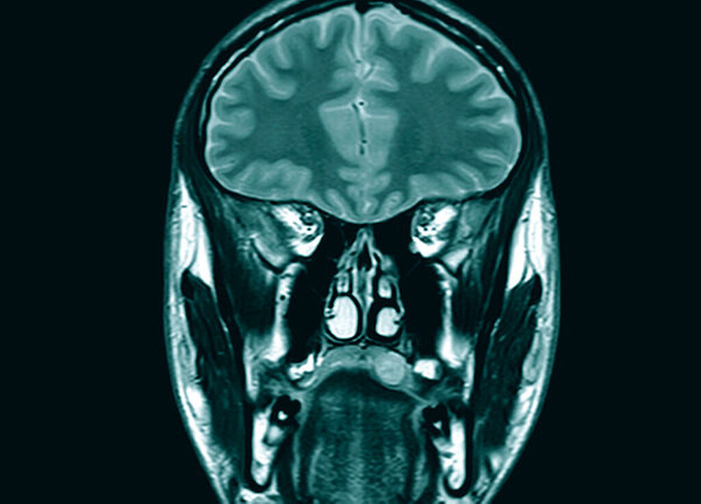
Zur weiteren Klärung der Dignität des Befunds waren sowohl eine bildgebende Untersuchung als auch eine histopathologische weitere Diagnostik indiziert. Aufgrund des Weichteilcharakters des Befunds erfolgte in einem ersten Schritt eine Magnetresonanztomografie des Mittelgesichts mit Kontrastmittel. Es zeigte sich eine homogen begrenzte, kontrastmittelaufnehmende Raumforderung im Übergang zwischen hartem und weichem Gaumen ohne Zeichen einer Infiltration der Umgebungsstrukturen mit einem sagittalen Durchmesser von circa 3 cm. In der Zusammenschau der klinischen und bildgebenden Befunde bestand der Verdacht auf das Vorliegen eines pleomorphen Adenoms. Aufgrund der geringen Größe des Befunds wurde zur histologischen Sicherung der Diagnose eine Resektion in toto angestrebt.
In Intubationsnarkose erfolgte nach Umschneidung des Befunds mit geringgradigem Sicherheitsabstand die zirkuläre Darstellung des Befunds und schlussendlich die Resektion unter Mitnahme des darunter liegenden Periosts (Abbildungen 3 und 4). Im dorsalen Bereich wurde durch die Resektion die Ebene der Muskulatur des Weichgaumens erreicht. Eine Perforation des Weichgaumens trat nicht auf. Nach sorgfältiger Blutstillung wurde der Resektionsdefekt tamponiert und mit einer Verbandplatte versorgt. Die Wundheilung wurde der freien Granulation überlassen (Abbildungen 5 und 6). Nach einer Heilungszeit von circa zehn Wochen zeigten sich reizfreie Verhältnisse im Bereich des Hart- und des Weichgaumens linksseitig. Der Patient beklagte eine minimale Hypästhesie in diesem Bereich.
Das Ergebnis der feingeweblichen Untersuchung des Resektats ergab zunächst das Vorliegen eines niedrig malignen Speicheldrüsentumors. Nach erweiterter immunhistochemischer und referenzpathologischer Begutachtung erfolgte die Revision der Diagnose zugunsten eines sogenannten Myoepithelioms (benigner Speicheldrüsen-Mischtumor). Die Resektion war im Gesunden erfolgt.
Die klinischen und bildgebenden Kontrollen (per MRT) blieben auch mehr als 24 Monate nach der Erstdiagnose ohne Anhalt für ein Rezidiv (Abbildungen 7 und 8).
Diskussion
Die Differenzialdiagnosen von Schwellungen des Gaumens sind vielfältig und komplex [Gupta & Gupta, 2013]. Je nach anamnestischen Angaben und klinischem Befund kommen entzündliche Prozesse, gutartige und bösartige Raumforderungen, odontogene/nichtodontogene Zysten, Gefäßmalformationen sowie physiologische anatomische Normvarianten als Ursachen infrage [Clayman et al., 1998].
Neben einer sorgfältigen Anamnese (Wahrnehmung der Schwellung, Dynamik des Wachstums, Begleitsymptomatik) kann die klinische Untersuchung bereits wegweisende Anhaltspunkte über entsprechende Prozesse liefern. Die Schmerzlosigkeit entsprechender Schwellungen sowie ein langsames Wachstum (gegebenenfalls ein vom Patienten selbst nicht bemerktes Wachstum) schließen eine akut entzündliche Genese der Raumforderung nahezu aus. Eine Ausnahme hier bilden Fisteln, die von periapikalen Läsionen ausgehen und palatinal äußerst selten sind (Abbildung 9). Diese können im Bereich des Fistelmauls eine Raumforderung (allerdings zumeist in deutlich geringerer Größe) vortäuschen und schmerzlos sein [Camargo et al., 2019]. Im Rahmen der klinischen Untersuchung lässt sich das Fistelmaul jedoch in der Mehrzahl der Fälle schnell identifizieren. Durch den klinischen Tastbefund können hart- und weichgewebige Raumforderungen voneinander abgegrenzt werden.
Nach der initialen Untersuchung ist im nächsten Schritt eine bildgebende Untersuchung angezeigt. Grundsätzlich sollten zum Ausschluss odontogener Pathologien entweder Zahnfilmaufnahmen der betroffenen Region oder eine Panoramaschichtaufnahme (Orthopantomogramm) angefertigt werden [Klieb et al., 2010]. Fehlt nach dieser zahnärztlichen Diagnostik jeglicher Anhaltspunkt auf die Ursache der Pathologie, so können andere bildgebende Verfahren zur Anwendung kommen. Wird eine Raumforderung, die vor allem aus Weichteilgewebe besteht, vermutet, so ist die Magnetresonanztomografie (MRT, gegebenenfalls mit Applikation von Kontrastmittel) die Bildgebung der ersten Wahl [Zheng et al., 2018; Hiwatashi et al., 2000]. Diese ermöglicht eine relativ zuverlässige Einordnung der Dignität des Befunds ohne Strahlenbelastung des Patienten. Sollte im MRT eine ossäre Infiltration oder die Beteiligung einer Raumforderung zutage gefördert werden, kann eine zusätzliche Computertomografie notwendig sein. Bei mutmaßlich hartgewebigen Raumforderungen kann die MRT unterbleiben und stattdessen eine digitale Volumentomografie oder eine CT durchgeführt werden [Reichart et al., 2021].
Im nächsten Schritt muss grundsätzlich die histologische Sicherung der Verdachtsdiagnose erfolgen. Raumforderungen kleiner Speicheldrüsen sind in vielen Fällen die Ursache schmerzloser palatinaler Schwellungen unter intakter Schleimhaut. Die Mehrzahl davon (70 Prozent) sind durch pleomorphe Adenome bedingt, obwohl diese natürlich zumeist in den großen Speicheldrüsen auftreten [Gupta & Gupta, 2013; Clauser et al., 2004]. Allerdings kann es sich – wenn auch selten – um Manifestationen bösartiger Tumoren handeln [Cerulli et al., 2004]. Dabei kommen sowohl Speicheldrüsenmalignome als auch hämatologische Neoplasien, Sarkome, Karzinome, Nervscheidentumoren und andere bösartige Tumoren infrage [Gupta & Gupta, 2013; Yadav et al., 2013]. Das Fehlen eines Ulcus über der Raumforderung schließt eine maligne Genese nicht aus.
Die histologische Sicherung kann durch eine Feinnadelbiopsie, eine Inzisions- oder eine Exzisionsbiopsie erfolgen [Gupta & Gupta, 2013; Clauser et al., 2004; Cerulli et al., 2004]. Das operative Vorgehen sollte sich nach der vermuteten Diagnose, der Größe des Befunds und den Präferenzen des Patienten richten. Im vorliegenden Fall wurde aufgrund der geringen Ausdehnung des Befunds mit der Chance der Vermeidung einer Zweitoperation bei In-sano-Resektion primär eine vollständige Entfernung des Befunds zur histologischen Sicherung angestrebt. Nach histopathologischer Aufarbeitung stellte sich die Raumforderung als Myoepitheliom dar.
Das Myoeptitheliom des harten Gaumens ist äußerst selten und nur für circa ein Prozent der gutartigen Tumoren der Speicheldrüsen verantwortlich. Die häufigste Manifestation des Myoepithelioms ist in der Glandula parotis, gefolgt von den kleinen Speicheldrüsen des Gaumens [Hiwatashi et al., 2000]. Die vollständige Resektion der Raumforderung stellt die Therapie der Wahl dar. Rezidive sind selten [Weitzel & Cohn, 2017]. Bei intaktem knöchernem Hartgaumen (und noch besser bei intaktem Periost) ist die freie Granulation eine einfache und zuverlässige Option der Wundheilung nach palatinalen Eingriffen [Politis et al., 2016].
Fazit für die Praxis
Der folgende diagnostische Algorithmus sollte zur weiteren Einordnung einer schmerzlosen Schwellung am Gaumen angewandt werden:
1. Ausführliche Anamnese: Allgemeinanamnese, bemerkte funktionelle Beschwerden, Schmerzen, Dynamik des Wachstums
2. Klinische Untersuchung: zahnärztliche Untersuchung, Palpation, Funktionsdiagnostik, umfassende Inspektion
3. Bildgebende Verfahren: zahnärztliche Röntgenuntersuchungen, DVT, CT, MRT – je nach vermuteter Dignität
4. Histologiegewinnung: je nach Verdachtsdiagnose und Größe des Befunds als Nadel-, Inzisions- oder Exzisionsbiopsie
5. Gegebenenfalls weitere Therapie je nach histologischem Befund
Literaturliste
1. Gupta M, Gupta M. Pleomorphic adenoma of the hard palate. BMJ case reports 2013;2013.
2. Clayman L, MacLennan M, Dolan RL. Nonpainful swelling of the palate and loosening of the maxillary incisors. Journal of oral and maxillofacial surgery 1998;56:1327-1335.
3. Camargo J, Braga T, Camargo R, Love R, Reher P. Surgical management of a large radicular cyst using modified guided tissue regeneration techniques: a case report with 4 years follow‐up. Oral Surgery 2019;12:323-331.
4. Klieb HB, Duchnay M, Skeete D, Leong IT, Blackstein ME. Painful palatal swelling. The Lancet 2010;375:1224.
5. Zheng Y, Xiao Z, Zhang H, et al. Differentiation between benign and malignant palatal tumors using conventional MRI: a retrospective analysis of 130 cases. Oral surgery, oral medicine, oral pathology and oral radiology 2018;125:343-350.
6. Hiwatashi A, Matsumoto S, Kamoi I, Yamashita H, Nakashima A. Imaging features of myoepithelioma arising from the hard palate: a case report. Acta Radiologica 2000;41:417-419.
7. Reichart PA, Dula K, Baumhoer D, Grätz KW, Lübbers H-T. Digitale Volumentomographie zur Diagnostik bei Tumoren. In: Digitale Volumentomographie: Springer, 2021:269-351.
8. Clauser L, Mandrioli S, Dallera V, Sarti E, Galiè M, Cavazzini L. Pleomorphic adenoma of the palate. Journal of Craniofacial Surgery 2004;15:1026-1029.
9. Cerulli G, Renzi G, Perugini M, Becelli R. Differential diagnosis between adenoid cystic carcinoma and pleomorphic adenoma of the minor salivary glands of palate. Journal of Craniofacial Surgery 2004;15:1056-1060.
10. Yadav AK, Nadarajah J, Chandrashekhara S, Tambade VD, Acharya S. Myoepithelioma of the soft palate: a case report. Case Reports in Otolaryngology 2013;2013.
11. Weitzel M, Cohn JE, Spector H. Myoepithelioma of the parotid gland: a case report with review of the literature and classic histopathology. Case Reports in Otolaryngology 2017;2017.
12. Politis C, Schoenaers J, Jacobs R, Agbaje JO. Wound Healing Problems in the Mouth. Frontiers in physiology 2016;7:507.














