Resorption am avulsierten Zahn 11 einer Siebenjährigen
Die Prognose von avulsierten Zähnen hängt stark von der Rettungskette nach dem Zahnunfall ab. Kommt es zu einer Beschädigung des Desmodonts oder zum Absterben von zu vielen parodontalen Ligamentzellen nach der Avulsion, kann dies zu Resorptionen an der Wurzeloberfläche führen [Andreasen et al., 1995 / 4]. Auch ein zu langes extraorales Lagern des avulsierten Zahnes in einem ungünstigen Medium, oder gar trocken, kann das Desmodont schädigen und zusätzlich zum Absterben der Pulpa führen, so dass eine Revaskularisierung von avulsierten Zähnen auch mit weit offenem Apex nicht mehr stattfinden kann [Andreasen et al., 1995]. Eine korrekte Primärbehandlung, eine adäquate Folgetherapie und regelmäßige Kontrollen sind nach Zahntraumata daher extrem wichtig, um die Chancen auf einen Zahnerhalt zu erhöhen.
Kasuistik
Nach einem Trauma bei einem siebenjährigen Mädchen wurde der avulsierte Zahn 11 ungünstigerweise für mehrere Stunden in einem Taschentuch trocken gelagert. Der Hauszahnarzt replantierte den Zahn schließlich und schiente ihn für vier Wochen ein. Weitere Kontrollen erfolgten nicht.
Drei Monate nach dem Trauma stellte sich die junge Patientin mit ihrer Mutter in der zentralen interdisziplinären Ambulanz der Zahnklinik des Universitätsklinikums Münster vor. Eine nach Entfernung der Schienung angefertigte Einzelzahnaufnahme wurde vom Hauszahnarzt auf Anforderung übermittelt. Röntgenologisch waren die Wurzeln von 11 und 21 gut zu erkennen: Beide Zähne hatten einen vergleichbaren Entwicklungsgrad in der Längen- und Breitenausprägung der Wurzel.
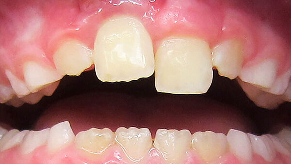
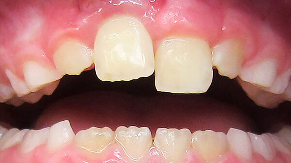
Zum Zeitpunkt der Untersuchung in der zentralen interdisziplinären Ambulanz der Zahnklinik des Universitätsklinikums Münster zeigte sich der Zahn 11 perkussionsempfindlich, auf den Sensibilitätstest mit Kältespray erfolgte keine Reaktion. Apikal des Zahnes war klinisch eine prall-elastische Schwellung zu palpieren. Im Unterschied zum Zahn 21 stand der Zahn 11 circa 4 mm in Infraposition nach apikal verschoben – und es wurde ein Lockerungsgrad II diagnostiziert (Abbildungen 1 und 2). Die Patientin hatte nur geringfügige Beschwerden, bemängelte aber die zunehmende Lockerung des Zahnes. Am Tag der Untersuchung erfolgte eine neue Einzelzahnaufnahme, auf der eine externe entzündliche Resorption der Wurzel des Zahnes diagnostiziert werden konnte (Abbildung 3). Das Wurzelwachstum an den Zähnen 12, 21 und 22 erschien dagegen regelgerecht und altersentsprechend.
Therapieoptionen
Nach einer ausführlichen Aufklärung über die fragliche Prognose von Zahn 11 wurde eine Wurzelkanalbehandlung als Zahnrettungsversuch eingeleitet. Zusammen mit den Eltern wurde entschieden, dass alles versucht werden soll, um den Zahn zu erhalten. Als Therapiealternative wurde die Entfernung des Zahnes besprochen. Zur Versorgung der dann entstehenden Einzelzahnlücke wurde die Anfertigung einer Marylandbrücke oder eines Drahtklammerprovisoriums vorgeschlagen. Die Möglichkeit einer späteren, etwa im Alter von zehn bis zwölf Jahren durchzuführenden Autotransplantation eines Oberkieferprämolaren an die Stelle des Zahnes 11 als Lückenersatz wurde erläutert.
Aufgrund der stark resorbierten Wurzel wurde der Versuch einer Revitalisierung unternommen. Die Indikationen für die Revitalisierungsbehandlung eines Zahnes können ein nicht abgeschlossenes Wurzelwachstum, eine nekrotische Pulpa sowie eine periapikale Entzündung mit oder ohne Fistelbildung sein [Hülsmann und Schäfer, 2019]. Ein weiterer wichtiger Faktor für den Versuch einer regenerativen endodontischen Therapie ist die Compliance der meist sehr jungen Patientinnen und Patienten.
Behandlung
Erste Sitzung
Für die Behandlung wurde der Zahn zunächst mit einer Infiltrationsanästhesie (Septanest Adrenalin 1:200.000, Septodont, Niederkassel, Deutschland) betäubt und zwecks Einhaltung aseptischer Kautelen Kofferdam gelegt.
Die Isolation mit Kofferdam stellt sich bei stark verkürzten, mobilen, juvenilen Frontzähnen oft als komplexer Behandlungsschritt heraus, ist aber für die Behandlung und die Desinfektion des Wurzelkanals obligatorisch. Mithilfe von Ligaturen, Kompositaufbauten oder flüssigem Kofferdam kann eine Abdichtung des endodontischen Arbeitsfeldes zusätzlich zum konventionellen Kofferdam gelingen und das antiseptische Arbeiten ermöglichen.
Nach der Trepanation erfolgte eine spontane Pusentleerung. Eine abgekapselte Eiterblase konnte im Ganzen entfernt werden (Abbildung 4). Initial wurde der Wurzelkanal des Zahnes mit Natriumhypochlorit (3 Prozent) gespült und mit einer Hedströmfeile ISO 80 vorsichtig instrumentiert, um das nekrotische Gewebe zu entfernen. Nach einem anschließenden, ausführlichen Spülprotokoll mit Natriumhypochlorit (3 Prozent), Zitronensäure (20 Prozent) und Chlorhexidin (2 Prozent) wurde der Wurzelkanal mit sterilen Papierspitzen getrocknet und mit einer wässrigen Kalziumhydroxid-Suspension als medikamentöse Einlage versorgt.
In einer In-vitro-Studie konnte dem Kalziumhydroxid der Effekt für ein erhöhtes Zellüberleben der Stammzellen in der apikalen Papille nachgewiesen werden [Ruparel et al., 2012].
Die Trepanationsöffnung wurde mit einer provisorischen Glasionomerzementfüllung (Ketac, 3M ESPE, Neuss, Deutschland) verschlossen und die Okklusion der Patientin kontrolliert.
Zweite Sitzung
Zur zweiten Sitzung erschien die Patientin zwei Wochen später beschwerdefrei. Die Schleimhaut apikal des 11 zeigte sich reizlos, abgeheilt und blande (Abbildung 5). Der Lockerungsgrad des Zahnes betrug Grad I. Die Anästhesie wurde mit Scandonest ohne Vasokonstriktor (Septodont, Niederkassel, Deutschland) durchgeführt. Im Anschluss wurden aseptische Kautelen durch Kofferdam erreicht. Nach Entfernung des provisorischen Verschlusses erfolgte eine Spülung des Wurzelkanals mit Ethylendiamintetraessigsäure (EDTA 17 Prozent) sowie mit Natriumhypochlorit (3 Prozent) zur Desinfektion.
Mithilfe eines dentalen Operationsmikroskops (Flexion, JC-Optik, Aßlar, Germany) konnte optisch am Apex visualisiert werden, dass das nekrotische Gewebe im Wurzelkanal und an den Wurzelkanalwänden zuvor entfernt worden war (Abbildung 6). Von einer weiteren manuellen oder maschinellen Bearbeitung wurde abgesehen, um die Zahnhartsubstanz der dünnen Wurzelkanalwände nicht weiter abzutragen und zu schwächen.
Die finale Abschlussspülung wurde mit Ethylendiamintetraessigsäure (EDTA 17 Prozent) durchgeführt, was zu einer Freisetzung von Stammzellen und Wachstumsfaktoren aus der Dentinmatrix sowie der Entfernung des Smearlayers führt [Galler et al., 2015]. Die Spüllösungen wurden mittels Eddy (VDW, München, Deutschland) aktiviert. Die Desinfektion war hier sehr entscheidend, da – wie oben ausgeführt – von einer Instrumentierung der dünnen Wurzelkanalwände abgesehen wurde. Im Anschluss wurde durch Überinstrumentierung mittels einer Hedströmfeile ISO 30 eine Blutung induziert. Auf eine Einlage von Kollagen auf das Blutkoagel wurde in diesem Fall verzichtet.
Eine direkte Applikation des hydraulischen Kalziumsilikatzements Biodentine (Septondont, Niederkassel, Deutschland) auf das Blutkoagel war möglich, da jener im feuchten Milieu innerhalb von etwa zwölf Minuten aushärten kann. Auf das stabile Blutkoagel wurde circa 3 mm unterhalb der Schmelz-Zement-Grenze Biodentine mit sterilen, umgedrehten Papierspitzen der Größe ISO 80 vorsichtig in den Wurzelkanal eingebracht (Abbildung 7). Nach initialer Härtung der ersten Phase wurde mit einem zuvor abgemessenen Machtou-Plugger (VDW, München, Deutschland) eine weitere Schicht Biodentine appliziert, verdichtet und bis zur Schmelz-Zement-Grenze aufgebaut. Überschüssiges Biodentine wurde von den Kanalwänden entfernt und die Zahnkrone mit einem Alkohol-getränkten Schaumstoffpellet von geronnenem Blut gereinigt. Nach der Abbindezeit des Biodentine konnte mit dem adhäsiven Verschluss der Kavität fortgefahren werden.
Im Anschluss erfolgte das Auftragen eines Dentinadhäsivs (Optibond FL, Kerr, Rastatt, Deutschland), der adhäsive Verschluss der Kavität mit SDR Flow Universal (Dentsply Sirona, Konstanz, Deutschland) und Estellite Sigma Quick (Tokuyama, Altenberge, Deutschland) in Inkrementschichttechnik. Die Kontrolle der Okklusion erfolgte und die Patientin konnte entlassen werden (Abbildung 8).
Recall nach 18 Monaten
Das Ziel der regenerativen Wurzelkanalbehandlung ist die Abwesenheit von Zeichen und Symptomen einer Entzündung sowie das Ausheilen einer periapikalen Läsion [AAE, 2018].
Klinische und röntgenologische Kontrollen des Zahnes 11 wurden nach 6 und nach 18 Monaten durchgeführt. Bei beiden Kontrollen zeigte sich der Zahn klinisch und röntgenologisch unauffällig. Es bestanden kein Lockerungsgrad, die Perkussion war negativ und die Taschensondierungstiefen lagen zwischen zwei und drei Millimetern. Durch das Ausheilen der apikalen Entzündung an Zahn 11 konnte sich der Oberkieferknochen regenerieren und das Wachstum weiter fortsetzen. Im Zuge der knöchernen Heilung konnte der Zahn seine Infraposition schon nach sechs Monaten ausgleichen und war nach 18 Monaten stabil in der parallelen Position zum zeitgerecht entwickelten Zahn 21 (Abbildungen 9 und 10).
Diskussion
Röntgenologisch zeigt sich der Apex des Zahnes 11 frei von Pathologien. Die apikale Parodontitis ist vollständig ausgeheilt und verknöchert. Apikal des Biodentine-Plugs ist erkennbar, dass sich Knochen in den offenen Apex angelagert hat. Eine weitere Resorption der Wurzel konnte unterbunden werden, jedoch erfolgte kein Wurzelwachstum in Länge und Breite der Wurzel. In einer Untersuchung von Andreasen et al. wurde gezeigt, dass die kurze extraorale Lagerung eines avulsierten Zahnes keinen signifikanten Einfluss auf die Entwicklung des Wurzelwachstums hat – ab 45 Minuten extraoraler Lagerungszeit kann das Wurzelwachstum jedoch negativ beeinflusst werden [Andreasen et al., 1995 / 3]. Nach Angaben der Mutter wurde Zahn 11 mehrere Stunden extraoral gelagert.
Im Unterschied zu Zähnen mit abgeschlossenem Wurzelwachstum können Stammzellen in der apikalen Papille bei Zähnen mit offenem Apex noch vorhanden sein [Sonoyama et al., 2008]. In einer Untersuchung von Lovelace et al. wurde im Rahmen einer regenerativen endodontischen Behandlung an Zähnen mit nicht abgeschlossenem Wurzelwachstum nach der Einblutung eine Blutprobe entnommen. In dieser Blutprobe konnte eine 600-fache Erhöhung von Stammzellmarkern im Vergleich zu venösem Blut nachgewiesen werden [Lovelace et al., 2011].
Die Odontoblasten sind langlebige postmitotische Zellen und unterliegen der kontinuierlichen Erneuerung, weshalb die im Pulpagewebe befindlichen Stammzellen nicht der Homöostase, sondern der Reparatur von Verletzungen der Odontoblasten dienen. Es hat sich gezeigt, dass Stammzellen der Zahnpulpa (DPSCs), Stammzellen aus humanen abgeblätterten Milchzähnen (SHED) und Stammzellen aus apikaler Papille (SCAP), die aus dem Pulpagewebe oder der Vorstufe von Pulpagewebe gewonnen werden, sich zu einem Dentin-Pulpen-Komplex regenerieren können [Lin et al., 2014].
Ob die apikale Papille noch intakt ist, besonders bei apikaler Parodontitis, lässt sich klinisch nicht feststellen. Eine weitere Theorie besagt, dass die Stammzellen, die über eine induzierte Blutung in den Kanal gebracht werden, auch vom Periapex aus den parodontalen Ligamentzellen stammen können [Lin et al., 2014]. Über das Freisetzen von Stammzellen erhofft man sich mittlerweile weniger eine Regeneration der Pulpa in ihrer originalen Architektur und Funktion als vielmehr die Anlagerung von fibrösem Gewebe, mineralisiertem Zement und/oder Knochen.
Bei Zähnen mit nicht abgeschlossenem Wurzelwachstum kann es zur Bildung von neuem Gewebe im Wurzelkanal kommen [Andreasen et al., 1995 / 2; Lin et al., 2014]. In tierexperimentellen Studien konnte gezeigt werden, dass der Verbleib von ursprünglichem Gewebe das Einsprossen des neuen Gewebes positiv beeinflussen kann [Skoglund et al., 1978]. Die Einblutung in den Wurzelkanal wird hier als Leitschiene für einsprossendes Gewebe genutzt.
Der Versuch der Revitalisierung stellt einen weniger invasiven Versuch der Zahnerhaltung im Gegensatz zu einem apikalen Plug dar und verfolgt das Ziel einer „biologischen“ Wurzelkanalfüllung. Treffender als der Begriff der Revitalisierung erscheint bei dieser Form der Heilung die Revaskularisierung oder Reparatur der ektopischen Gewebe [Wang et al., 2010; Andreasen et al., 2012]. Im Zahn bildet sich ein histologisch pulpenartiges Gewebe, das nicht wie eine normale Pulpa funktioniert. Hier ist die Reparatur eine Form der Wundheilung [Lin et al., 2014]. Im gezeigten Fall kann man davon ausgehen, dass Knochen in den Apex gewachsen ist.
Bei einem Misserfolg der regenerativen endodontischen Behandlung kann man sich die Therapieoption der Apexifikation mit einem apikalen Plug offenhalten. Laut der aktuellen Studienlage haben ein apikaler Plug und die Revitalisierung vergleichbare Prognosen in Bezug auf den Zahnerhalt [Torabinejad et al., 2017; Duggal et al., 2017]. Der Versuch, die Zähne mit nicht abgeschlossenem Wurzelwachstum unter einer Langzeitmedikation mit Kalziumhydroxid zur Apexifikation zu bewegen, kann sich nachteilig auswirken. Über das häufige Eröffnen des Trepanationszugangs geht stets Zahnhartsubstanz verloren, die Patienten müssen häufiger zum Wechsel der Medikation vorstellig werden, die Frakturgefahr der Zähne ist erhöht und die langfristige Medikation mit Kalziumhydroxyid kann zur Schwächung des Kollagens im Dentin führen [Hülsmann und Schäfer, 2019].
Für das verwendete Biodentine spricht ein geringes Risiko der Zahnverfärbung. Es enthält im Unterschied zu anderen Kalziumsilikatzementen als Röntgenkontrastmittel Zirkondioxid, das seltener zu unerwünschten Zahnverfärbungen beiträgt [Keskin et al., 2015; Camilleri et al., 2015]. Aufgrund des Plugs im koronalen Wurzeldrittel und der ästhetischen Relevanz des Zahns 11 wurde im genannten Fall Biodentine verwendet. Auch nach 18 Monaten konnte klinisch keine Verfärbung der Zahnkrone festgestellt werden.
Literaturliste
American Association of Endodontics, Regenerative Endodontics ; AAE Clinical Considerations for a Regenerative Procedure Revised 4/1/2018
Andreasen JO, Bakland LK. Pulp regeneration after non-infected and infected necrosis, what type of tissue do we want? A review. Dent Traumatol. 2012 Feb; 28 (1): 13-8.
Andreasen JO, Borum MK, Jacobsen HL, Andreasen FM. Replantation of 400 avulsed permanent incisors. 1. Diagnosis of healing complications. Endod Dent Traumatol. 1995 Apr; 11 (2): 51-8.
Andreasen JO, Borum MK, Jacobsen HL, Andreasen FM. Replantation of 400 avulsed permanent incisors. 2. Factors related to pulpal healing. Endod Dent Traumatol. 1995 Apr; 11 (2): 59-68.
Andreasen JO, Borum MK, Andreasen FM. Replantation of 400 avulsed permanentincisors. 3. Factors related to root growth. Endod Dent Traumatol. 1995 Apr; 11 (2): 69-75.
Andreasen JO, Borum MK, Jacobsen HL, Andreasen FM. Replantation of 400 avulsed permanent incisors. 4. Factors related to periodontal ligament healing. Endod Dent Traumatol. 1995 Apr; 11 (2): 76-89.
Camilleri J. Staining Potential of Neo MTA Plus, MTA Plus, and Biodentine Used for Pulpotomy Procedures. J Endod. 2015 Jul; 41 (7): 1139-45.
Duggal M, Tong HJ, Al-Ansary M, Twati W, Day PF, Nazzal H. Interventions for the endodontic management of non-vital traumatised immature permanent anterior teeth in children and adolescents: a systematic review of the evidence and guidelines of the European Academy of Paediatric Dentistry. Eur Arch Paediatr Dent. 2017 Jun; 18 (3): 139-151.
Galler KM, Buchalla W, Hiller KA, Federlin M, Eidt A, Schiefersteiner M, Schmalz G. Influence of root canal disinfectants on growth factor release from dentin. J Endod. 2015 Mar; 41 (3): 363-8.
Hülsmann M, Schäfer E. Probleme in der Endodontie; Auflage 2, Quintessence, Berlin 2019
Keskin C, Demiryurek EO, Ozyurek T. Color stabilities of calcium silicate- based materials in contact with different irrigation solutions. J Endod. 2015 Mar; 41 (3): 409-11.
Lin LM, Ricucci D, Huang GT. Regeneration of the dentine-pulp complex with revitalization/revascularization therapy: challenges and hopes. Int Endod J 2014; 47 (8): 713-24. doi: 10.1111/iej.12210.
Lovelace TW, Henry MA, Hargreaves KM, Diogenes A. Evaluation of the delivery of mesenchymal stem cells into the root canal space of necrotic immature teeth after clinical regenerative endodontic procedure. J Endod. 2011 Feb; 37 (2): 133-8.
Ruparel NB, Teixeira FB, Ferraz CC, Diogenes A. Direct effect of intracanal medicaments on survival of stem cells of the apical papilla. J Endod. 2012 Oct; 38 (10): 1372-5.
Skoglund A, Tronstad L, Wallenius K. A microangiographic study of vascular changes in replanted and autotransplanted teeth of young dogs. Oral Surg Oral Med Oral Pathol. 1978 Jan; 45 (1): 17-28.
Sonoyama W, Liu Y, Yamaza T, Tuan RS, Wang S, Shi S, Huang GT. Characterization of the apical papilla and its residing stem cells from human immature permanent teeth: a pilot study. J Endod. 2008 Feb; 34 (2): 166-71.
Torabinejad M, Nosrat A, Verma P, Udochukwu O. Regenerative Endodontic Treatment or Mineral Trioxide Aggregate Apical Plug in Teeth with Necrotic Pulps and Open Apices: A Systematic Review and Meta-analysis. J Endod. 2017 Nov; 43 (11): 1806-1820.
Wang X, Thibodeau B, Trope M, Lin LM, Huang GT. Histologic characterization of regenerated tissues in canal space after the revitalization/revascularization procedure of immature dog teeth with apical periodontitis. J Endod. 2010 Jan; 36 (1): 56-63.





