Zahngetragene vollkeramische Lückenversorgung – ein Update
Der Verlust eines Frontzahns stellt eine klinisch anspruchsvolle Situation für den behandelnden Zahnarzt dar, da die meisten Patienten eine vorhersagbare, ästhetisch ansprechende und aufgrund der Exposition auch chronologisch „lückenlose“ Versorgung wünschen. Hierbei stellen Implantate, die mit Einzelkronen versorgt werden, eine attraktive Versorgungsform dar, da gesunde Nachbarzähne nicht beschliffen und Approximalkontakte nicht verblockt werden müssen. Dennoch ist bei einigen Patienten aufgrund ihres jugendlichen Alters, des limitierten Knochen- und Platzangebots oder der persönlich oder anamnestisch möglicherweise abschreckenden Invasivität des chirurgischen Eingriffs die Insertion von oralen Implantaten kontraindiziert. Zudem lehnen manche Patienten eine implantat-prothetische Versorgung aus Kostengründen ab und wünschen eine Therapiealternative.
Auch ohne chirurgische Intervention können fehlende Frontzähne mit festsitzendem zahngetragenem Zahnersatz ersetzt werden. Bei den nachfolgend vorgestellten Therapiealternativen ist ein indikationsspezifisches Vorgehen angezeigt, um eine langfristig erfolgreiche Rehabilitation zu erzielen. In diesem Beitrag liegt der Fokus auf der Anwendung einflügeliger Adhäsivbrücken und konventioneller vollkeramischer Brücken sowie modernen, zukünftigen Herstellungsverfahren. Basierend auf dem aktuellen Stand der Wissenschaft werden mögliche Probleme erörtert.
Einflügelige Adhäsivbrücken
Einflügelige Adhäsivbrücken, auch Maryland-Brücken genannt, sind eine minimalinvasive Methode, fehlende Frontzähne zu ersetzen. Dabei variiert der Abtrag der Zahnhartsubstanz in Abhängigkeit von der Präparationsform und vom Material. Bei einer ausgeprägten Präparation der Adhäsivbrücke (vergleichbar mit einem vollkeramischen Veneer) beträgt der Abtrag der Zahnhartsubstanz dennoch weniger als ein Viertel der Präparation einer vollkeramischen Krone [Edelhoff und Sorensen, 2002] (Tabelle). Bekannte Vorteile sind, aufgrund der geringen Invasivität, eine reduzierte Gefahr der Pulpairritation sowie die Möglichkeit, auf konventionelle Versorgungsalternativen zurückgreifen zu können. Zudem handelt es sich, verglichen mit Implantaten, um eine für den Patienten in der Durchführung schnelle und kostengünstige Versorgung.
Erste Adhäsivbrücken wurden in den 1980er-Jahren zweiflügelig gestaltet [Howe et al., 1977], wobei sich häufig ein Klebeflügel unbemerkt löste. Als die Brücken daraufhin um einen Flügel reduziert wurden und dennoch voll funktionsfähig waren, setzte sich sukzessive die einflügelige Gestaltung durch. Diese weist im Frontzahnbereich, verglichen mit zweiflügeligen Restaurationen, eine gesteigerte klinische Erfolgs- und Überlebensrate auf [Wei et al., 2016]. Darüber hinaus birgt die einflügelige Adhäsivbrücke keine erhöhte Kariesgefahr, die vom unbemerkten Lösen eines Klebeflügels ausgehen kann. Da keine Zähne unphysiologisch verblockt werden, können einflügelige Adhäsivbrücken auch bei Jugendlichen vor Abschluss des Kieferwachstums angewandt werden. Gerade im adoleszenten Alter bietet die einflügelige Adhäsivbrücke eine valide Alternative, fehlende Frontzähne zu ersetzen, da orale Implantate kontraindiziert sind. Durch die Gestaltung mit nur einem Flügel resultiert lediglich der Verschluss eines Approximalraums, wodurch die einflügelige Adhäsivbrücke der zweiflügeligen in vielen Fällen auch ästhetisch überlegen ist.
Wann ist eine Adhäsivbrücke indiziert?
Bei der Planung einer Adhäsivbrücke ist zu berücksichtigen, dass der als Pfeiler dienende, an die Lücke angrenzende Zahn vital ist, keine großen Füllungen aufweist und somit eine ausreichend große Klebefläche bietet [Sasse und Kern, 2014]. Hierbei wird in der Literatur ein Wert von 30 mm2 Klebefläche im Schmelz beschrieben [Kern, 2018], der sich im Rahmen der Planungsphase auf dem Modell mithilfe von Millimeterpapier bestimmen lässt. Darüber hinaus sollten keine ungünstigen okklusalen Verhältnisse wie ein tiefer Biss oder Parafunktionen vorliegen [Tezulas et al., 2018]. Ebenso kann der Langzeiterfolg einer Adhäsivbrücke reduziert werden, wenn der Patient Kontaktsportarten betreibt.
In erster Linie bieten sich Adhäsivbrücken für den Ersatz fehlender Frontzähne an, auch wenn in der Literatur teilweise hohe Erfolgs- und Überlebensraten zum Ersatz von fehlenden Prämolaren und Molaren beschrieben wurden [Yazigi und Kern, 2022]. Dennoch gilt zu berücksichtigen, dass hierfür eine Präparationsform mit ausgeprägter zirkulärer Umfassung und okklusaler Auflage am Pfeilerzahn gewählt werden muss. Diese Gestaltung der Verankerung ähnelt einer Modellgussklammer und wird von vielen Patienten als nicht besonders ästhetisch empfunden. Insbesondere im Oberkiefer sollte in der Regel lediglich ein fehlender Oberkieferzahn mit einer einflügeligen Klebebrücke ersetzt werden, wobei die Größe der Lücke in mesiodistaler Richtung der Breite der zu ersetzenden Zahnkrone entsprechen sollte. Ein ästhetischer Lückenschluss ohne kieferorthopädische Vorbehandlung wäre bei einer größeren Lücke erschwert möglich. In der Unterkieferfrontzahnregion können bis zu vier fehlende Nachbarzähne bei geradem Kieferverlauf ersetzt werden, wobei für diese spezielle Indikation aufgrund der großen Spanne ein zweiflügeliges Design gewählt werden sollte.
Welches Material soll verwendet werden?
Die ersten Adhäsivbrücken wurden aus Nichtedelmetall gefertigt, wobei diese zur makromechanischen Retention teilweise Perforationen enthielten [Howe et al., 1977; Livaditis, 1980]. Mithilfe mechano-chemischer Verbundsysteme konnte der Klebeverbund verbessert werden, so dass auf Perforationen in den Gerüsten verzichtet werden konnte. Dennoch stellen metallische Gerüste Einschränkungen bezüglich der Ästhetik dar, insbesondere bei einem reduzierten Platzangebot für die Verblendung. Hochfeste Oxidkeramiken auf Zirkoniumdioxidbasis bieten seit einigen Jahren die Möglichkeit, metallfreie Adhäsivbrücken zu fertigen [Mourshed et al., 2018], wobei der Verbinder zum Brückenglied nicht zu grazil gestaltet werden darf und der Klebeflügel mindestens 0,7 mm stark sein sollte [Kern, 2018]. Aufgrund der zahnähnlichen Farbe der Keramik gelingt es hierbei einfacher, fehlende Zähne naturgetreu zu imitieren. Dennoch gilt zu berücksichtigen, dass Oxidkeramiken opak erscheinen können. Für ein ästhetisch besonders ansprechendes Ergebnis sollte aus Zirkoniumdioxid lediglich das Gerüst gefertigt und laborseitig verblendet und individualisiert werden (Abbildung 1).
Die Gefahr des Abplatzens der Verblendkeramik kann reduziert werden, wenn die Restauration lediglich vestibulär verblendet wird. Das Abplatzen und das Frakturieren von Inzisalkanten kann durch eine Gerüstgestaltung bis zur Inzisalkante minimiert werden. Für eine perfekte Anpassung des Zahnersatzes zum Nachbarzahn in Bezug auf Farbe, Form und Textur der Oberfläche sind meistens mehrere Anproben erforderlich. Das Ergebnis der konventionellen, manuell gefertigten Restaurationen ist hierbei stark von den handwerklichen Künsten des Zahntechnikers abhängig (Abbildung 1d). Aufgrund der damit verbundenen Personal- und Laborkosten stellt diese Art der prothetischen Rehabilitation meist keine kostengünstige Versorgung dar. Sie entspricht nicht der Regelversorgung der gesetzlich Versicherten, da nur einspannige Adhäsivbrücken mit Metallgerüst zum Ersatz eines Schneidezahns mit den gesetzlichen Krankenkassen abrechenbar sind. Patienten unter 21 Jahren erhalten im Rahmen der Regelleistung den Ersatz zweier benachbarter Frontzähne – beispielsweise durch zwei einflügelige Adhäsivbrücken mit jeweils einem Brückenglied [KZBV, 2016].

Wie soll vorgegangen werden?
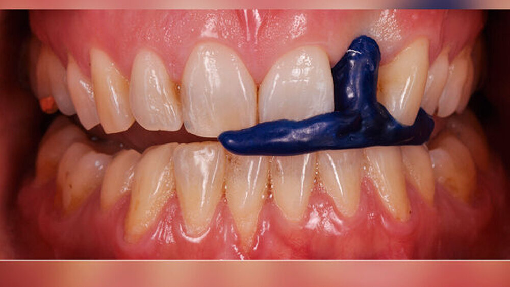
Vor Beginn der Präparation sollten die statischen und die dynamischen Kontakte mit Okklusionspapier markiert und die Ausdehnung der Präparation mit einem Filzstift zur intra-oralen Anwendung gekennzeichnet werden. Hierbei sollten keine Kontaktpunkte auf der prospektiven Klebefläche liegen, da diese zu starken Okklusionspunkten auf dem Klebeflügel führen würden. Durch die Anzeichnung ist leichter ersichtlich, in welchen Bereichen der geplanten Klebefläche bereits Zahnhartsubstanz abgetragen wurde. Es handelt sich hierbei um eine minimalinvasive Präparationsform, die mit 3 bis 17 Prozent Verlust der Zahnhartsubstanz einhergeht [Edelhoff und Sorensen, 2002]. So konnte retrospektiv gezeigt werden, dass präparierte Pfeilerzähne zur Aufnahme einer einflügeligen Adhäsivbrücke zehn Jahre nach Eingliederung keine reduzierte Prognose im Vergleich zu Nachbarzähnen von Implantaten aufwiesen [Okuni et al., 2022].
Für vollkeramische Adhäsivbrücken kann auf Retentionsrillen verzichtet werden, dennoch sollte eine zusätzliche Schmelz-begrenzte Kastenpräparation lingual des Approximalkontakts in Richtung des zu ersetzenden Zahnes erfolgen, die zu einer erhöhten Bruchfestigkeit der Rekonstruktion beiträgt. Die Präparation einer seichten Noppe palatinal kann zu einem eindeutigen Sitz beim Zementieren beitragen [Strub et al., 2011]. Die Präzisionsabformung erfolgt konventionell mit einem individuellen Löffel sowie Abformmassen aus additionsvernetzenden Silikonen oder Polyethern. Alternativ kann die Präparation auch mit Intraoralscannern digital abgeformt werden (Abbildung 2b). Neben dem von den meisten Patienten beschriebenen erhöhten Komfort bietet die digitale Abformung den Vorteil, einzelne Bereiche nachzuscannen, sofern diese nicht ausreichend erfasst wurden. Zudem kann anhand der digitalen Darstellung der beiden Kiefer im Schlussbiss direkt nach der digitalen Abformung geprüft werden, ob der interokklusale Abstand den Anforderungen an die Mindestschichtstärke der Keramik genügt.
Wird die Adhäsivbrücke computergestützt gestaltet (computer-aided design, CAD) und beispielsweise aus Zirkoniumdioxid monolithisch gefräst (computer-aided manufacturing, CAM; Abbildung 2c), kann im Rahmen der digitalen Fertigungsstrecke vollständig auf die Herstellung eines Modells verzichtet werden, sofern auch die Einbringhilfe digital gefertigt wird. Mehrschichtige Zirkoniumdioxid-Ronden mit unterschiedlichen Farb- und Transluzenzabstufungen bieten eine kostengünstige und zeiteffiziente Alternative zur laborseitigen Individualisierung mittels Infiltration der Keramik und/oder Verblendung, die dennoch für viele Patienten eine ausreichend ästhetische Versorgung darstellt (Abbildungen 2c bis 2f).
Um einen langfristig erfolgreichen Klebeverbund zu gewährleisten, sollte ein genaues Klebeprotokoll befolgt werden. Dieses beinhaltet eine absolute Trockenlegung unter Kofferdam [Quigley et al., 2021] sowie eine entsprechende Konditionierung des Zahnes und der Restauration. Oxidkeramiken sollten für eine Oberflächenvergrößerung und die chemische Aktivierung mit Aluminiumpartikeln abgestrahlt werden. Um eine Schädigung der Oberfläche der Oxidkeramik zu vermeiden, sind lediglich eine Partikelgröße von 60 µm und ein Strahldruck von maximal 2 bar zu wählen [Blatz et al., 2016]. Zum Abstrahlen sollte die Adhäsivbrücke in dualhärtenden Knetsilikon eingebettet werden, so dass lediglich die Klebefläche beim Abstrahlen exponiert ist und die anderen Flächen geschützt sind. Wenn möglich, ist ein Abstrahlen nach der finalen Anprobe in der Zahnarztpraxis zu empfehlen, da die höchste Verbundfestigkeit direkt nach dem Abstrahlen mit Aluminiumoxid beobachtet werden konnte [Al-Akhali et al., 2021] und sich weitere Kontaminationen der Klebefläche beispielsweise durch Anproben mit Try-In-Zementen vermeiden lassen.

Zum Verbund von Oxidkeramiken zur Zahnhartsubstanz sollte ein Haftvermittler verwendet werden, der bifunktionelle Phosphorsäuremethacrylatgruppen enthält – zum Beispiel MDP (Methacryloyloxydecyl-Dihydrogenphosphat). Das definitive Einsetzen erfolgt schließlich mit einem Zementierungskomposit des entsprechenden Systems [Özcan und Bernasconi, 2015]. Eine Einbringhilfe, die laborseitig gefertigt wurde, erleichtert eine korrekte und komplikationslose Zementierung der Adhäsivbrücke (Abbildung 1c).
Wie ist die Langzeitprognose?
Die höchsten Überlebensraten von mehr als 95 Prozent konnten für einflügelige Adhäsivbrücken im Frontzahnbereich mit einem Gerüst aus Zirkoniumdioxid über einen Zeitraum von mindestens fünf Jahren beobachtet werden [Thoma et al., 2017; Kern et al., 2017; Naenni et al., 2020]. Häufigste Komplikationen waren hierbei ein Dezementieren der Adhäsivbrücke oder ein geringes Abplatzen der Verblendung. Gelöste Adhäsivbrücken stellen eine vergleichsweise einfache Komplikation dar, da diese ohne großen Aufwand erneut befestigt werden können [Kern et al., 2017]. Frakturen der Gerüste aus Zirkoniumdioxid, die eine Neuanfertigung der Restauration nach sich ziehen würden, spielen eine nur untergeordnete Rolle [Sailer et al., 2007].
Zahngetragene Endpfeilerbrücken
Konventionelle, zahngetragene Endpfeilerbrücken stellen eine prothetische Alternative zu Adhäsivbrücken dar, sofern jene beispielsweise aufgrund größerer Füllungen an den Nachbarzähnen oder funktioneller Aspekte kontraindiziert sind. Wie bei den Adhäsivbrücken lassen sich hierbei auch mit vollkeramischen Materialien besonders ästhetische Ergebnisse erzielen, wobei dem behandelnden Zahnarzt eine Vielzahl zugelassener Keramiken für Frontzahnbrücken zur Verfügung steht. Dennoch geht die Präparation eines Pfeilerzahns mit einem Zahnhartsubstanzverlust von mehr als 65 Prozent sowohl im Front- als auch im Seitenzahnbereich einher, zumal zur Aufnahme einer Endpfeilerbrücke zwei Zähne beschliffen werden müssen [Edelhoff und Sorensen, 2002; 2002a]. Durch den gesteigerten Abtrag an Zahnhartsubstanz besteht ein erhöhtes Risiko für biologische Komplikationen (Pulpitis, Vitalitätsverlust).
Grundsätzlich sind Lithiumdisilikatkeramiken wie IPS e.max CAD (Ivoclar Vivadent, Schaan, Liechtenstein) zur Anwendung als Brücke zugelassen, wobei der zweite Prämolar der distale Pfeiler sein sollte. Zusätzlich ist für diese Anwendung darauf zu achten, dass im Frontzahnbereich das Zwischenglied eine Breite von 11 mm nicht überschreitet und der Verbinder zu den Pfeilerzähnen ausreichend stark gestaltet ist [Ivoclar, 2017].
Monolithische Brücken aus Zirkoniumdioxid stellen hinsichtlich ihrer Bruchfestigkeit eine sicherere Alternative dar. Um bei diesen Oxidkeramiken die Opazität zu reduzieren und die Transluzenz zu erhöhen, wurde unter anderem der Yttrium-Gehalt erhöht [Zhang und Lawn, 2018], so dass heutzutage auch Zirkoniumdioxidkeramiken mit 4 mol-Prozent (4Y-PSZ) und 5 mol-Prozent (5Y-PSZ) hergestellt werden. Diese transluzenteren Oxidkeramiken erwiesen sich in Laboruntersuchungen, verglichen mit herkömmlichen Zirkoniumdioxidkeramiken (3 mol-Prozent Yttrium; 3Y-TZP), als verschleißfest und schonend für die Antagonisten [Zhang et al., 2019] und könnten bezüglich ihrer Bruchfestigkeit die Lücke zwischen Lithiumdisilikatkeramiken und 3Y-TZP-Zirkoniumdioxid schließen [Zhang et al., 2019a]. In vitro zeigte das 4Y-PSZ für viergliedrige Brücken im Seitenzahnbereich eine ausreichende Bruchfestigkeit, wohingegen das 5Y-PSZ für diese Anwendung nicht empfohlen werden kann [Spies et al., 2020]. Ein wesentlicher Vorteil der monolithischen Restaurationen liegt darin, dass kein Abplatzen der Verblendkeramik erfolgen kann. Zudem ist durch den Verzicht der Verblendung eine die Zahnhartsubstanz besonders schonende Präparation möglich. Für hochästhetische Brückenrestaurationen im Frontzahnbereich bietet eine geringe vestibuläre Verblendung mit Unterstützung des Zirkon-Gerüsts bis zur Inzisalkante, wie bei den Adhäsivbrücken, eine sichere und ästhetisch ansprechende Alternative.
Vollkeramiken aus dem 3-D-Drucker?
Die CAD/CAM-Technologie, bei der Restaurationen subtraktiv aus Ronden und Blöcken gefräst werden, bietet vor allem in einem vollständig digitalen Workflow einen vereinfachten Arbeitsablauf. So können moderne Oxidkeramiken innerhalb von 15 Minuten gefräst und in etwa derselben Zeit mit einem entsprechenden Ofen gesintert werden [Cokic et al., 2020]. Dennoch stellen der hohe Werkzeugverschleiß und der gesteigerte Materialverbrauch Nachteile der subtraktiven Fertigung dar.
Im Gegensatz dazu können mittels additiver Fertigung, umgangssprachlich auch 3-D-Druck genannt, Werkstücke ressourcenschonend produziert werden. Hierbei können nahezu alle Materialien gedruckt werden, so dass auch im Bereich der Keramiken in den vergangenen Jahren große Fortschritte erzielt wurden [Alharbi et al., 2017; Hartmann und Stampfl, 2019]. Hierbei werden hauptsächlich harzbasierte Verfahren verwendet, die bereits in der Zahnmedizin zur Herstellung von Modellen oder Bohrschablonen aus Kunststoff angewandt werden. Der Unterschied besteht jedoch darin, dass den photopolymerisierbaren Harzen keramische Partikel zugefügt werden, bevor diese im 3-D-Drucker mithilfe einer Lichtquelle ausgehärtet werden [Revilla-León et al., 2020]. Darüber hinaus sind bei der Fertigung von Keramiken weitere aufwendige Prozessschritte im Anschluss an den Druck notwendig, um die finalen Werkstücke zu erhalten: Nach dem Druckprozess bestehen die Objekte aus keramischen Partikeln, die von einer Polymermatrix umschlossen sind. Diese Matrix muss in einem sogenannten thermischen Entbinderungsprozess, durch Ausbrennen in einem Ofen, entfernt werden [Pfaffinger et al., 2015]. Um Risse im Bauteil zu vermeiden, die beispielsweise durch die gasförmigen Zersetzungsprodukte entstehen könnten, erfolgt der Entbinderungsprozess sehr langsam. Zudem hängt die Dauer dieses Prozessschritts von der Wandstärke des Bauteils ab, da die Gase aus diesem diffundieren müssen [Pfaffinger et al., 2015]. Dünnwandige Bauteile wie Adhäsivbrücken könnten sich daher für die harzbasierte additive Fertigung besser eignen als mehrgliedrige Brücken, da sich der Entbinderungsprozess kürzer und damit wirtschaftlicher gestaltet. Im letzten Schritt wird das Bauteil gesintert. Ein anderes Verfahren ist das Material Jetting, bei dem das Material, ähnlich einem Tintenstrahldrucker, durch hunderte feine Düsen gesprüht und somit Schicht für Schicht aufgebaut wird [Willems et al., 2021]. Dies ermöglicht die Fertigung mit kürzeren Entbinderungszeiten.
Machbarkeitsstudien zur additiven Fertigung von Keramik im dentalen Bereich wurden bisher für Kronen [Wang und Sun, 2021], Brücken und okklusale Veneers [Ioannidis et al., 2020] mit Fokus auf 3Y-TZP-Zirkoniumdioxid durchgeführt, neue Ergebnisse liegen auch zu gedrucktem Lithiumdisilikat vor [Baumgartner et al., 2020]. Nach derzeitigem Stand der Forschung gibt es keine klinischen Daten, wobei die Hersteller an der klinischen Zulassung arbeiten. Die In-vitro-Studien zeigen dennoch, dass gedruckte Keramiken eine wertvolle Alternative zur subtraktiven Fertigung darstellen könnten.
Schlussfolgerungen
Aufgrund ihrer hohen Erfolgsraten bieten einflügelige Adhäsivbrücken aus Zirkoniumdioxid nicht nur bei jungen Patienten eine valide Alternative zur implantatprothetischen Rehabilitation einer Frontzahnlücke. Dennoch sollte auf eine genaue Patientenselektion geachtet werden. Eine geringe vestibuläre Verblendung sowie das genaue Befolgen des Zementierungsprotokolls tragen zu einer langfristig erfolgreichen Versorgung bei. Endpfeilerbrücken aus Zirkoniumdioxid bieten im Vergleich zu Lithiumdisilikat eine erhöhte Bruchfestigkeit, wobei verschiedene Generationen des Zirkoniumdioxids in ihrer Transluzenz variieren. Im Rahmen der digitalen Fertigungsstrecke können monolithische Restaurationen aus Rohlingen gefräst werden, die aufgrund ihres integrierten Farbverlaufs eine kostengünstige Alternative darstellen. Zudem werden vollkeramische Restaurationen mit dem 3-D-Drucker gefertigt, die perspektivisch auch zum klinischen Einsatz kommen könnten.
Literaturliste
1. Edelhoff, D.; Sorensen, J.A. Tooth Structure Removal Associated with Various Preparation Designs for Anterior Teeth. J. Prosthet. Dent. 2002, 87, 503–509, doi:10.1067/mpr.2002.124094.
2. Howe, D.F.; Denehy, G.E. Anterior Fixed Partial Dentures Utilizing the Acid-Etch Technique and a Cast Metal Framework. J. Prosthet. Dent. 1977, 37, 28–31, doi:10.1016/0022-3913(77)90187-1.
3. Wei, Y.-R.; Wang, X.-D.; Zhang, Q.; Li, X.-X.; Blatz, M.B.; Jian, Y.-T.; Zhao, K. Clinical Performance of Anterior Resin-Bonded Fixed Dental Prostheses with Different Framework Designs: A Systematic Review and Meta-Analysis. J. Dent. 2016, 47, 1–7, doi:10.1016/j.jdent.2016.02.003.
4. Sasse, M.; Kern, M. All-Ceramic Resin-Bonded Fixed Dental Prostheses: Treatment Planning, Clinical Procedures, and Outcome. Quintessence Int. 2014, 45, 291–297, doi:10.3290/j.qi.a31328.
5. Kern, M. RBFDPs: Resin-Bonded Fixed Dental Prostheses: Minimally Invasive - Esthetic - Reliable; Quintessence Publishing: Berlin, 2018; ISBN 978-1-78698-020-5.
6. Tezulas, E.; Yildiz, C.; Evren, B.; Ozkan, Y. Clinical Procedures, Designs, and Survival Rates of All-Ceramic Resin-Bonded Fixed Dental Prostheses in the Anterior Region: A Systematic Review. J. Esthet. Restor. Dent. 2018, 30, 307–318, doi:10.1111/jerd.12389.
7. Yazigi, C.; Kern, M. Clinical Evaluation of Zirconia Cantilevered Single-Retainer Resin-Bonded Fixed Dental Prostheses Replacing Missing Canines and Posterior Teeth. J. Dent. 2022, 116, 103907, doi:10.1016/j.jdent.2021.103907.
8. Livaditis, G.J. Cast Metal Resin-Bonded Retainers for Posterior Teeth. J. Am. Dent. Assoc. 1980, 101, 926–929, doi:10.14219/jada.archive.1980.0439.
9. Mourshed, B.; Samran, A.; Alfagih, A.; Samran, A.; Abdulrab, S.; Kern, M. Anterior Cantilever Resin-Bonded Fixed Dental Prostheses: A Review of the Literature: Cantilever Resin-Bonded Fixed Dental Prostheses. J. Prosthodont. 2018, 27, 266–275, doi:10.1111/jopr.12555.
10. Kassenzahnärztliche Bundesvereinigung KZBV. Einigung auf Vergütung bei Adhäsivbrücken mit Metallgerüst ab 1. Juli, Pressemitteilung vom 29.6.2016. (https://www.kzbv.de/pressemitteilung-vom-29-6-2016.1039.de.html; abgerufen am 23.12.2021).
11. Okuni, S.; Maekawa, K.; Mino, T.; Kurosaki, Y.; Kuboki, T. A Retrospective Comparison of the Survival of Vital Teeth Adjacent to Single, Bounded Edentulous Spaces Rehabilitated Using Implant-Supported, Resin-Bonded, and Conventional Fixed Dental Prostheses. J. Dent. 2022, 116, 103911, doi:10.1016/j.jdent.2021.103911.
12. Strub, J.R.; Kern, M.; Türp, J.C.; Witkowski, S.; Heydecke, G.; Wolfart, S. Curriculum Prothetik. Bd. 2: Artikulatoren, Ästhetik, Werkstoffkunde, festsitzende Prothetik; 4., überarb. und erw. Aufl.; Quintessenz-Verl: Berlin, 2011; ISBN 978-3-86867-027-1.
13. Quigley, N.P.; Loo, D.S.S.; Choy, C.; Ha, W.N. Clinical Efficacy of Methods for Bonding to Zirconia: A Systematic Review. J. Prosthet. Dent. 2021, 125, 231–240, doi:10.1016/j.prosdent.2019.12.017.
14. Blatz, M.B.; Alvarez, M.; Sawyer, K.; Brindis, M. How to Bond Zirconia: The APC Concept. Compend. Contin. Educ. Dent. Jamesburg NJ 1995 2016, 37, 611–617; quiz 618.
15. Al-Akhali, M.; Al-Dobaei, E.; Wille, S.; Mourshed, B.; Kern, M. Influence of Elapsed Time between Airborne-Particle Abrasion and Bonding to Zirconia Bond Strength. Dent. Mater. 2021, 37, 516–522, doi:10.1016/j.dental.2020.12.010.
16. Özcan, M.; Bernasconi, M. Adhesion to Zirconia Used for Dental Restorations: A Systematic Review and Meta-Analysis. J. Adhes. Dent. 2015, 17, 7–26, doi:10.3290/j.jad.a33525.
17. Thoma, D.S.; Sailer, I.; Ioannidis, A.; Zwahlen, M.; Makarov, N.; Pjetursson, B.E. A Systematic Review of the Survival and Complication Rates of Resin-Bonded Fixed Dental Prostheses after a Mean Observation Period of at Least 5 Years. Clin. Oral Implants Res. 2017, 28, 1421–1432, doi:10.1111/clr.13007.
18. Kern, M.; Passia, N.; Sasse, M.; Yazigi, C. Ten-Year Outcome of Zirconia Ceramic Cantilever Resin-Bonded Fixed Dental Prostheses and the Influence of the Reasons for Missing Incisors. J. Dent. 2017, 65, 51–55, doi:10.1016/j.jdent.2017.07.003.
19. Naenni, N.; Michelotti, G.; Lee, W.-Z.; Sailer, I.; Hämmerle, C.; Thoma, D. Resin-Bonded Fixed Dental Prostheses with Zirconia Ceramic Single Retainers Show High Survival Rates and Minimal Tissue Changes After a Mean of 10 Years of Service. Int. J. Prosthodont. 2020, 33, 503–512, doi:10.11607/ijp.6737.
20. Sailer, I.; Pjetursson, B.E.; Zwahlen, M.; Hämmerle, C.H.F. A Systematic Review of the Survival and Complication Rates of All-Ceramic and Metal-Ceramic Reconstructions after an Observation Period of at Least 3 Years. Part II: Fixed Dental Prostheses. Clin. Oral Implants Res. 2007, 18, 86–96, doi:10.1111/j.1600-0501.2007.01468.x.
21. Edelhoff, D.; Sorensen, J.A. Tooth Structure Removal Associated with Various Preparation Designs for Posterior Teeth. Int. J. Periodontics Restorative Dent. 2002a, 22, 241–249.
22. Ivoclar Vivadent AG Gebrauchsinformation IPS e.Max CAD Monolithic Solutions Labside 2017.
23. Zhang, Y.; Lawn, B.R. Novel Zirconia Materials in Dentistry. J. Dent. Res. 2018, 97, 140–147, doi:10.1177/0022034517737483.
24. Zhang, F.; Spies, B.C.; Vleugels, J.; Reveron, H.; Wesemann, C.; Müller, W.-D.; van Meerbeek, B.; Chevalier, J. High-Translucent Yttria-Stabilized Zirconia Ceramics Are Wear-Resistant and Antagonist-Friendly. Dent. Mater. 2019, 35, 1776–1790, doi:10.1016/j.dental.2019.10.009.
25. Zhang, F.; Reveron, H.; Spies, B.C.; Van Meerbeek, B.; Chevalier, J. Trade-off between Fracture Resistance and Translucency of Zirconia and Lithium-Disilicate Glass Ceramics for Monolithic Restorations. Acta Biomater. 2019a, 91, 24–34, doi:10.1016/j.actbio.2019.04.043.
26. Spies, B.C.; Zhang, F.; Wesemann, C.; Li, M.; Rosentritt, M. Reliability and Aging Behavior of Three Different Zirconia Grades Used for Monolithic Four-Unit Fixed Dental Prostheses. Dent. Mater. 2020, 36, e329–e339, doi:10.1016/j.dental.2020.08.002.
27. Cokic, S.M.; Vleugels, J.; Van Meerbeek, B.; Camargo, B.; Willems, E.; Li, M.; Zhang, F. Mechanical Properties, Aging Stability and Translucency of Speed-Sintered Zirconia for Chairside Restorations. Dent. Mater. 2020, 36, 959–972, doi:10.1016/j.dental.2020.04.026.
28. Alharbi, N.; Wismeijer, D.; Osman, R. Additive Manufacturing Techniques in Prosthodontics: Where Do We Currently Stand? A Critical Review. Int. J. Prosthodont. 2017, 30, 474–484, doi:10.11607/ijp.5079.
29. Hartmann, M.; Stampfl, J. Additive Fertigung in der digitalen Zahnheilkunde. BHM Berg- Hüttenmänn. Monatshefte 2019, 164, 141–146, doi:10.1007/s00501-019-0834-0.
30. Revilla-León, M.; Meyer, M.J.; Zandinejad, A.; Özcan, M. Additive Manufacturing Technologies for Processing Zirconia in Dental Applications. Int. J. Comput. Dent. 2020, 23, 27–37.
31. Pfaffinger, M.; Mitteramskogler, G.; Gmeiner, R.; Stampfl, J. Thermal Debinding of Ceramic-Filled Photopolymers. Mater. Sci. Forum 2015, 825–826, 75–81, doi:10.4028/www.scientific.net/MSF.825-826.75.
32. Willems, E.; Turon-Vinas, M.; Camargo dos Santos, B.; Van Hooreweder, B.; Zhang, F.; Van Meerbeek, B.; Vleugels, J. Additive Manufacturing of Zirconia Ceramics by Material Jetting. J. Eur. Ceram. Soc. 2021, 41, 5292–5306, doi:10.1016/j.jeurceramsoc.2021.04.018.
33. Wang, W.; Sun, J. Dimensional Accuracy and Clinical Adaptation of Ceramic Crowns Fabricated with the Stereolithography Technique. J. Prosthet. Dent. 2021, 125, 657–663, doi:10.1016/j.prosdent.2020.02.032.
34. Ioannidis, A.; Bomze, D.; Hämmerle, C.H.F.; Hüsler, J.; Birrer, O.; Mühlemann, S. Load-Bearing Capacity of CAD/CAM 3D-Printed Zirconia, CAD/CAM Milled Zirconia, and Heat-Pressed Lithium Disilicate Ultra-Thin Occlusal Veneers on Molars. Dent. Mater. 2020, 36, e109–e116, doi:10.1016/j.dental.2020.01.016.
35. Baumgartner, S.; Gmeiner, R.; Schönherr, J.A.; Stampfl, J. Stereolithography-Based Additive Manufacturing of Lithium Disilicate Glass Ceramic for Dental Applications. Mater. Sci. Eng. C 2020, 116, 111180, doi:10.1016/j.msec.2020.111180.







