Diffus sklerosierende Osteomyelitis der Kiefer – eine oft fehlinterpretierte Entität
Bei der Osteomyelitis handelt es sich um ein entzündliches Geschehen des Knochens. Der Begriff Osteomyelitis entstammt den griechischen Wörtern „osteon“ (Knochen) und „muelinos“ (Mark). In der medizinischen Terminologie versteht man unter dem Begriff Osteomyelitis allerdings eine Entzündung des gesamten Knochens unter Einbeziehung von Kortikalis und Periost. Diese Definition trägt dem Umstand Rechnung, dass die Entzündung in der Regel nicht nur das Knochenmark, sondern all diese Strukturen betrifft – wenn auch in unterschiedlichem Ausmaß [Baltensberger, 2013].
Für die Kieferosteomyelitiden wurde bereits eine große Zahl unterschiedlicher Klassifikationen vorgestellt. Unter diesen, zum Teil verwirrenden Klassifikationen ist die Zürich-Klassifikation diejenige, die im klinischen Alltag regelmäßig Anwendung findet, da diese sowohl die klinische Symptomatik als auch den Verlauf der Erkrankung berücksichtigt. Die Zürich-Klassifikation unterscheidet drei Typen der Kieferosteomyelitis: die akute, die sekundär-chronische und die primär-chronische Osteomyelitis [Baltensberger, 2013]. Während es sich bei der akuten und der, im zeitlichen Verlauf hieraus entstehenden sekundär-chronischen Osteomyelitis der Kiefer um eine pyogene bakterielle Infektion der Kiefer handelt, liegt der primär-chronischen Form keine bakterielle Infektion zugrunde.
Entsprechend der Zürich-Klassifikation wird bei der primär chronischen Osteomyelitis zwischen drei Subtypen unterschieden: einer juvenilen Form („early onset“), einer adulten Form („adult onset“) und den Syndrom-assoziierten Formen [Baltensberger, 2013]. Im klinischen Gebrauch wird der Terminus der „diffus-sklerosierenden Osteomyelitis“(DSO) synonym für die primär-chronische Form verwendet.
Ätiologie
Die DSO der Kiefer ist eine seltene, chronisch inflammatorisch verlaufende Erkrankung mit bislang ungeklärter Ätiologie [Otto et al., 2017; Hallmer et al., 2018]. Symptome dieser Erkrankung sind periodisch-rezidivierende Schwellungen der betroffenen Kieferareale, die regelmäßig mit Kieferklemme und zum Teil erheblicher Schmerzsymptomatik einhergehen. Diese aktiven Phasen können wenige Tage bis mehrere Wochen dauern und stehen im Wechsel mit symptomfreien Intervallen. Da es sich um ein aseptisch-inflammatorisches Geschehen handelt, finden sich klinisch bei erhaltender Integrität der Mundschleimhaut keine exponierten Knochenareale, Fisteln oder Pusaustritt. Prädilektionsort ist in der Regel der Unterkiefer [Freudlsperger und Hoffmann, 2014].
Die initiale Entstehung der DSO wird von einigen Autoren auf eine geringgradige Infektion zurückgeführt, obwohl sich typischerweise nach Probeentnahmen bei der mikrobiologischen Differenzierung entweder keine Bakterien oder nur die üblichen Kontaminationen durch orale Kommensalen nachweisen lassen [van Merkesteyn et al., 1988]. Der Einsatz gängiger Antibiotikapräparate mit breitem Spektrum führt bei dieser Entität typischerweise nicht zur Ausheilung beziehungsweise Symptomfreiheit [Freudlsperger und Hoffmann, 2014].
Diagnostik
Die korrekte Diagnose der DSO gelingt durch die Korrelation des klinischen Bildes mit der radiologischen Bildgebung: Wie erwähnt ist das klinische Bild von periodisch-rezidivierenden Schwellungen, begleitet von Kieferklemme und erheblichen Schmerzsensationen bei Fehlen von Hinweisen für eine bakterielle Infektion (erhaltender Integrität der Mundschleimhaut ohne exponierte Knochenareale, Fisteln oder Pusaustritt) pathognomonisch für diese Entität.
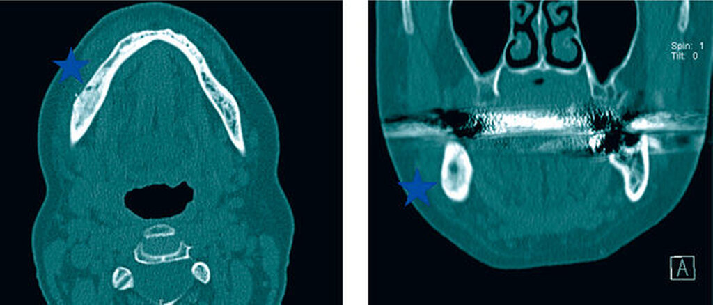
In radiologischen Untersuchungen zeigt sich bei konventionellen Röntgenaufnahmen und in der CT-Bildgebung im betroffenen Kieferareal eine vermehrte Sklerosierung des Knochens ohne Sequesterbildung (Abbildungen 1 bis 3). In der Szintigrafie des Unterkiefers zeigt sich ein chronisch entzündlicher Prozess ohne Anzeichen für eine floride bakterielle Entzündung [van Merkesteyn et al., 1988] (Abbildung 3).
Therapie
Konservative Therapieansätze – die Gabe von Corticosteroiden und nichtsteriodalen Antirheumatika (NSAR) – erbrachten ebenso wie eine prolongierte Antibiotikatherapie keine zufriedenstellenden Ergebnisse. Zahnärztliche Maßnahmen wie endodontische oder parodontale Behandlungen sowie lokal begrenzte chirurgische Eingriffe wie Zahnextraktionen und die Dekortikation des Kieferknochens bleiben in der Regel ohne Therapieerfolg [Otto et al., 2017]. In vielen Fällen konnte erst nach vollständiger Entfernung der betroffenen Kieferareale, bis hin zur Kontinuitätsresektion, eine Linderung der Beschwerdesymptomatik erreicht werden [Ogawa et al., 2001].
Ein neuer und Erfolg versprechender Therapieansatz scheint die Therapie mit antiresorptiven Medikamenten zu sein. Erste positive Ergebnisse im Sinne einer Remission der Beschwerdesymptomatik konnten mit der Gabe von Bisphosphonatpräparaten wie Ibandronat erzielt werden [Otto et al., 2015]. In neueren Untersuchungen wurde statt Ibandronat Denosumab verabreicht [Otto et al., 2017; Hallmer et al., 2018], das aufgrund fehlender Bindung an den Knochen den Vorteil einer deutlich geringeren Halbwertszeit hat, was die langfristige Wirkung und den Eintritt möglicher unerwünschter Wirkungen besser kalkulierbar macht. Denosumab ist ein humaner monoklonaler IgG2-anti-RANKL-Antikörper, der die Effekte von Osteoprotegerin (OPG) imitiert. Im Gegensatz zu OPG ist Denosumab hochselektiv, das heißt der Antikörper bindet nicht an andere Vertreter der TNF-Familie und ermöglicht dadurch die spezifische Inhibierung der RANKL-Aktivität. Nach subkutaner Injektion von Denosumab dauert es relativ lange, bis die Plasmaspitzenkonzentration erreicht ist; als minimale Frist werden fünf Tage und als maximale 42 Tage angegeben. Die biologische Verfügbarkeit liegt bei 61 Prozent. Die Halbwertszeit bewegt sich in der Größenordnung von 30 Tagen. Eine Nieren- oder eine Leberinsuffizienz lässt keine Verzögerung der Elimination erwarten [Burkiewicz et al., 2009; Geusens, 2009].
Bei Patienten, die unter DSO litten und mit Denosumab therapiert wurden, trat bereits einige Tage nach Verabreichung des Präparats eine signifikante Linderung bis hin zur Remission der Beschwerden ein. Unerwünschte Wirkungen wie unten beschrieben traten bei den Probanden während des Untersuchungszeitraums nicht auf. Bislang ist der Wirkstoff zur Behandlung der DSO allerdings nicht zugelassen, es handelt sich daher um einen Off-Label-Use. Diese Untersuchungen von Otto et al. decken sich mit den Erfahrungen unserer Klinik [Otto et al., 2017]. Im Rahmen individueller Heilversuche wurde Denosumab bei insgesamt vier Patienten eingesetzt. Im Durchschnitt trat nach fünf Tagen ein Intervall vollständiger Beschwerdefreiheit ein, dem nach 120 Tagen der Wiedereintritt der Beschwerdesymptomatik folgte (Abbildung 5).

Diskussion
Die einwandfreie Diagnosestellung bei DSO ist mitunter herausfordernd. Patienten, die unter dieser Entität leiden, haben in der Regel eine lange Anamnese mit Beteiligung mehrerer Vorbehandler und/oder multiplen Therapieversuchen. Nicht selten wird zunächst versucht, den Patienten durch endodontische oder parodontale Therapien Linderung zu verschaffen. Bei Ausbleiben eines Therapieerfolgs schließen sich im Verlauf chirurgische Maßnahmen wie – zum Teil multiple – Zahnextraktionen oder Dekortikationen an, was ebenfalls nicht zur Remission der Symptome führt. In den vergangenen 24 Monaten stellten sich fünf Patienten in unserer Klinik vor, bei denen – basierend auf klinischer Symptomatik und wegweisender Bildgebung – die Diagnose einer DSO gestellt werden konnte. Im Mittelwert litten diese Patienten seit sechs Jahren unter der entsprechenden Symptomatik und hatten vier Vorbehandler. Bei vier dieser Patienten wurde im Rahmen der Vorbehandlung mindestens ein Zahn entfernt, unter diesen waren drei Patienten, bei denen anschließend der Versuch einer Dekortikation unternommen wurde.
Auf der einen Seite zeigen sich Schwierigkeiten bei der korrekten Einordnung der präsentierten Symptome, die immer wieder zur Fehldiagnose einer akuten oder einer sekundär chronischen Osteomyelitis verleiten können, auf der anderen Seite die Problematik, ein für den Patienten sinnvolles Therapiekonzept zu erarbeiten. Wie beschrieben, scheinen im Fall einer DSO weder pharmakotherapeutische Ansätze mit dem Einsatz von Corticosteroiden, NSAR und Antibiotikapräparaten noch Zahnextraktionen oder Dekortikationen der betroffenen Kieferareale sinnvolle Therapiekonzepte zu sein [Otto et al., 2017; Hallmer et al., 2018]. Oftmals konnte bislang erst nach vollständiger Entfernung der betroffenen Kieferareale, bis hin zur Kontinuitätsresektion, eine Linderung der Beschwerdesymptomatik erreicht werden [Ogawa et al., 2001].
Einen vielversprechenden Ansatz stellt der Einsatz gängiger Antiresorptiva (Bisphosphonatpräparate) oder der monoklonale Antikörper Denosumab dar [Otto et al., 2015 und 2017]. Hierbei ist zu beachten, dass es sich beim Einsatz dieser Präparate um einen Off-Label-Use handelt, sie sind also für die Behandlung der DSO (noch) nicht zugelassen.
Von enormer Wichtigkeit ist die strenge Prüfung der Indikation vor dem Einsatz dieser Präparate. So würde der Einsatz bei pyogen-bedingter Osteomyelitis dem Patienten eher schaden als helfen. Für den zahnärztlichen Behandler ist es in erster Linie wichtig, die vorliegenden Symptome richtig einzuordnen: Bei einer wegweisenden klinischen und radiologischen Symptomatik ist eine Zuweisung an eine Klinik für Mund-, Kiefer- und Gesichtschirurgie dem eigenen Behandlungsversuch vorzuziehen. Von enormer Bedeutung ist die interdisziplinäre Zusammenarbeit zwischen Zahnärzten und MKG-Chirurgen im Fall einer geplanten Therapie mit Antiresorptiva.
Gemäß der aktuellen S3-Leitlinie „Antiresorptiva-assoziierte Kiefernekrosen“ soll von zahnärztlicher Seite vor dem Beginn einer Therapie mit antiresorptiven Medikamenten eine Fokussuche, prothetische Anpassung und Sanierung von Infektionen und Bakterieneintrittspforten im Mund-Kiefer-Bereich erfolgen. Unter dem Einsatz von Antiresorptiva soll zur Früherkennung und Senkung der Inzidenz medikamentenassoziierter Kiefernekrosen (ARONJ) ein risikoadaptiertes Recall erfolgen. Zur Verbesserung und Vereinfachung der interdisziplinären Kommunikation dient zum Beispiel der konsentierte AGSMO-Laufzettel, der unter www.onkosupport.de/asors/content/e4126/e1743/e1861/e1862 heruntergeladen werden kann (Abbildung 6).
Fazit für die Praxis
Es ist wichtig, die diffus sklerosierende Osteomyelitis korrekt zu diagnostizieren und die Symptome richtig einzuordnen.
Eine frühzeitige Zuweisung an eine Klinik für MKG-Chirurgie ist eigenen Behandlungsversuchen vorzuziehen.
Zahnärztliche und chirurgische Therapien führen oftmals nicht zu einer Remission der Beschwerdesymptomatik.
Therapieversuche mit antiresorptiv wirksamer Medikation erbrachten bei kleinen Patientenkollektiven vielversprechende Ergebnisse.
Eine gute interdisziplinäre Zusammenarbeit zwischen Zahnärzten und MKG-Chirurgen vor und unter antiresorptiver Therapie ist obligat.
Literaturliste:
Baltensberger M, Die akute und sekundär-chronische Osteomyelitis des Kiefers. MKG-Chirurg 2013, 6:80–87 DOI 10.1007/s12285-012-0321-z
Burkiewicz JS et al. Ann Pharmacother 2009; 43: 1445-55
Freudlsperger C, Hoffmann J. Osteomyelitis der Kiefer. ZM 24/2014
Hallmer F, Korduner M, Møystad A, Bjørnland T. Treatment of diffuse sclerosing osteomyelitis of the jaw with denosumab shows remarkable results-A report of two cases. Clin Case Rep. 2018 Oct 26;6(12):2434-2437. doi: 10.1002/ccr3.1894. PMID: 30564344; PMCID: PMC6293128.
Ogawa A et al. Treating chronic diffuse sclerosing osteomyelitis of the mandible with saucerization and autogenous bone grafting Oral Surg Oral Med Oral Pathol Oral Radiol Endod 2001;91:390-4
Otto S et al. Ibandronate treatment of diffuse sclerosing osteomyelitis of the mandible: Pain relief and insight into pathogenesis Journal of Cranio-Maxillo-Facial Surgery 43 (2015) 1837e1841
Otto S, Burian E, Troeltzsch M, Kaeppler G, Ehrenfeld M. Denosumab as a potential treatment alternative for patients suffering from diffuse sclerosing osteomyelitis of the mandible - A rapid communication. J Craniomaxillofac Surg. 2018 Apr;46(4):534-537. doi: 10.1016/j.jcms.2017.10.011. Epub 2017 Oct 16. PMID: 29510893.
S3-Leitlinie Antiresorptiva-assoziierte Kiefernekrosen [2017], AWMF Registernummer: 007-091,
Schiegnitz E, Al-Nawas B, Hoefert S, Otto S, Pautke C, Ristow O, Voss P, Grötz KA
Van Merkesteyn, J. P., R. H. Groot, J. Bras and D. J. Bakker (1988). „Diffuse sclerosing osteomyelitis of the mandible: clinical radiographic and histologic findings in twenty-seven patients.“ J Oral Maxillofac Surg 46(10): 825–829.









