Das pleomorphe Adenom des Gaumens
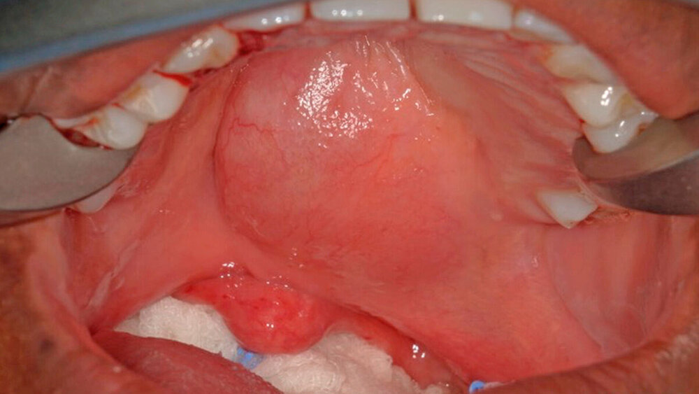
Eine 26-jährige Patientin stellte sich mit einer seit einem Monat bestehenden Raumforderung im Bereich des harten und weichen Gaumens in der Klinik und Poliklinik für Mund-, Kiefer- und Gesichtschirurgie der Universitätsmedizin Mainz vor. In der klinischen Untersuchung zeigte sich eine nicht verschiebliche, nicht druckdolente Raumforderung des Gaumens mit Größenprogredienz, so dass die Indikation zur bildgebenden Diagnostik mittels Magnetresonanztomografie (MRT) gestellt wurde.
In der MRT kam ein glatt begrenzter, 2,7 cm x 2,2 cm x 2,0 cm messender, homogen Kontrastmittel aufnehmender Befund am Übergang vom Hart- zum Weichgaumen zur Darstellung (Abbildung 2).

In der Zusammenschau des radiologischen Befunds mit der klinisch nachvollziehbaren Größenprogredienz wurde die Indikation zur Exzisionsbiopsie in Intubationsnarkose gestellt. Im Hinblick auf die schon in der Bildgebung gut abgrenzbare, vermutlich abgekapselte Raumforderung wurde eine Schnittführung über das Punctum maximum gewählt. Danach erfolgte das stumpfe Herauspräparieren in toto unter Kontinuitätserhalt der Muskel- und Schleimhautschicht in Richtung Nasopharynx. Zur Reduktion des Totraums wurde ein hämostyptischer Kollagenschwamm mit Antibiotikazusatz in die Wundhöhle eingebracht und die Wunde mehrschichtig vernäht (Abbildung 3). Aufgrund des hohen Schwellungs- und Blutungsrisikos erfolgte eine 48-stündige stationäre Überwachung. Der weitere postoperative Verlauf gestaltete sich unter antibiotischer und analgetischer Therapie unauffällig, so dass die Patientin wie geplant nach zwei Tagen in die ambulante Weiterbetreuung entlassen werden konnte.

Keyvan Sagheb
In der histopathologischen Aufarbeitung zeigte sich ein mehrschichtig mit Plattenepithel überkleidetes fibröses Gewebe mit subepithelial scharf begrenzten Läsionen aus myxoidem Stroma mit solide und trabekulär wachsenden epithelialen und myoepithelialen Zellen. Ebenso sichtbar waren tubuläre Strukturen und randlich miterfasstes muköses Speicheldrüsengewebe. So wurde die Diagnose eines pleomorphen Adenoms gestellt.
Diskussion
Speicheldrüsentumore machen nur etwa 0,5 Prozent aller Tumore und sechs Prozent der Kopf-Hals-Tumore aus. 80 Prozent der Speicheldrüsentumore liegen in der Parotis, davon wiederum können 80 Prozent als benigne klassifiziert werden. Das pleomorphe Adenom ist der häufigste Speicheldrüsentumor des Menschen. Der Begriff „pleomorph“ bezieht sich auf die variable Morphologie der Zusammensetzung des Tumorgewebes, wobei es sich nicht wirklich um unterschiedliche Gewebeentitäten handelt, da der Tumor aus nicht mehr als einer Keimschicht entspringt. Tumore, die aus den kleinen Speicheldrüsen entstehen, sind selten und machen nur ein Viertel aller Speicheldrüsentumore aus; hiervon ist das pleomorphe Adenom mit einem Anteil von 45 Prozent auch der häufigste Tumor kleiner Speicheldrüsen [Gujer et al., 2013; Radhika et al., 2020; Yousra und Saliha, 2021].
Die häufigsten Manifestationsstellen sind der Gaumen, die Lippe, die Wange, der Mundboden, der Larynx und die Trachea [Yousra und Saliha, 2021]. Das pleomorphe Adenom tritt sowohl bei Kindern als auch bei Erwachsenen jeden Alters mit einer Prädominanz zwischen dem 30. und dem 60. Lebensjahr auf. Frauen sind doppelt so häufig betroffen wie Männer [International Agency for Research on Cancer, 2017].
Bei dem pleomorphen Adenom handelt es sich um einen benignen Tumor mit variabler zytomorphologischer und architektonischer Manifestation, der vor allem durch seine gemischt epithelialen und myoepithelialen Anteile gekennzeichnet ist [Kumar et al., 2013; International Agency for Research on Cancer, 2017]. Interessant hierbei ist der embryonale Ursprung der Metaplasie, die sowohl aus epithelialem als auch aus mesenchymalem Gewebe entsteht [Yousra und Saliha, 2021].
In Bezug auf die Ätiologie des Tumors ist lediglich bekannt, dass es etwa 15 bis 20 Jahre nach einer Strahlenexposition zu einer nachweislich höheren Inzidenz an pleomorphen Adenomen kommt.
Lokalisiert ist die Raumforderung meist in der Parotis; weitere Manifestationsorte sind mit abnehmender Häufigkeit der Gaumen und die Glandula submandibularis [Saka et al., 2014; Schneider et al., 2017]. Der Tumor tritt meist solitär auf; dennoch gibt es Fälle, in denen meta- und synchrone Zweittumore beschrieben wurden. Ein Sonderfall ist die nasale Form des pleomorphen Adenoms, die sich in 80 Prozent der Fälle in der septalen Mukosa manifestiert und durch ein exophytisches oder polypoides Wachstum gekennzeichnet ist. Klinisch charakteristisch ist die einseitige nasale Obstruktion; nach Ausbreitung in die Sinus maxillares auch das Vorkommen von Epistaxis und einer Sinusitis. Liegt ein nasales pleomorphes Adenom vor, erfolgt die ärztliche Vorstellung meist innerhalb des ersten Jahres nach Erkrankungsbeginn. Bei vollständiger chirurgischer Exzision ist die Prognose gut; die maligne Transformationsrate liegt bei 2,4 bis 10 Prozent [International Agency for Research on Cancer, 2017].
Diagnostik
Das pleomorphe Adenom der Speicheldrüsen zeigt klinisch ein langsames Wachstum. Aufgrund des häufig schmerzlosen Charakters kommt es meist zu einem Wachstum über Jahre hinweg, wobei die klinischen Zeichen in Abhängigkeit von der Lokalisation des Tumors stark variieren können. Das Auftreten von Gesichtsmuskellähmungen als Zeichen einer Destruktion des Nervus facialis oder ein rasches Wachstum hingegen sollten aufgrund des Verdachts auf eine maligne Transformation zu weitergehenden Untersuchungen anregen [International Agency for Research on Cancer, 2017]. Dabei gilt die Regel: Je kleiner die Speicheldrüse, desto wahrscheinlicher ist ein Befund maligne [Yousra und Saliha, 2021].
Makroskopisch zeigt sich meist eine feste, mobile und gut umschriebene Masse mit einer hellen bis gräulichen Färbung und knorpeligen Anteilen. Die typische Kapselbildung entsteht durch eine Druckfibrose des umgebenden Speicheldrüsengewebes und stellt somit eine „falsche Kapsel“ dar [Yousra und Saliha, 2021]. Nicht selten kommt es auch zu degenerativen oder zystischen Veränderungen im Befund; Rezidive präsentieren sich häufig in Form multipler Knoten unterschiedlicher Größe [International Agency for Research on Cancer, 2017].
Die Diagnosestellung erfolgt anhand der typischen Krankheitsgeschichte in Kombination mit dem körperlichen Untersuchungsbefund, der radiologischen Bildgebung und schlussendlich der histopathologischen Untersuchung des Präparats [Yousra und Saliha, 2021]. Die Bildgebung der Wahl ist bei gut zugänglichen Befunden die Sonografie. Sollte diese nicht ausreichen oder ist der Befund – wie im vorliegenden Fall – keiner sonografischen Untersuchung zugänglich, ist eine Magnetresonanztomografie indiziert. In der T2-Wichtung lässt sich das pleomorphe Adenom typischerweise als hyperintense, scharf begrenzte Raumforderung darstellen.
Differenzialdiagnostisch kommen verschiedene Raumforderungen unterschiedlicher Entität infrage. Entsprechend dem klinischen Befund wären sowohl ein palatinaler Abszess als auch odontogene und nicht-odontogene Zysten, eine Mukozele ebenso wie Weichteiltumore und Fibrome in Betracht zu ziehen [Yousra und Saliha, 2021]. Wichtig ist insbesondere die Abgrenzung zu malignen Speicheldrüsentumoren wie dem Mukoepidermoidkarzinom, dem adenoidzystischen Karzinom und dem polymorphen Adenokarzinom [Arumugam et al., 2019], die letztendlich erst durch die histopathologische Aufarbeitung des Präparats erfolgen kann.
Im Rahmen einer Feinnadelbiopsie, die bei Verdacht auf das Vorliegen eines pleomorphen Adenoms aufgrund der Verschleppung von Tumorzellen nicht die Methode der Wahl ist, lassen sich zytologisch Speichelgangepithelzellen, myoepitheliale Zellen und chondromyxoides Stroma darstellen. Die Identifikation des typisch fibrillären Stromas ist zur Diagnosesicherung essenziell [International Agency for Research on Cancer, 2017].
Therapie
Therapie der Wahl ist die Exzision, deren Ausdehnung abhängig von der Lokalisation des Tumors ist. Befindet sich dieser im oberflächlichen Anteil der Parotis, so ist eine laterale Parotidektomie mit Erhalt des Nervus facialis indiziert. Umfasst der Befund die Glandula submandibularis, so empfiehlt sich die Exstirpation der Drüse. Im Bereich des Gaumens wird – wie im vorliegenden Fall – eine Exzision bis auf das Periost durchgeführt [Gujer et al., 2013].
Histopathologisch ist der Befund – entsprechend dem Namen – variabel. Es zeigt sich ein buntes Bild aus epithelialen, myoepithelialen und stromalen Zellen. Das Myoepithel reicht von den duktalen Abschnitten bis in das chondromyxoide Stroma. Auch plattenepitheliale Metaplasien und Keratinperlen sind nicht selten. Die stromalen Anteile könnten sowohl myxoid, lipomatös, chondromatös als auch knöchern sein. Duktale Atypien, diffuse Fibrosen und Nekrosen sollten zu einer ausgedehnteren Probenentnahme zum Ausschluss einer malignen Transformation anregen [Gujeret al., 2013; International Agency for Research on Cancer, 2017].
Genetische Analysen zeigen zu 70 Prozent Translokationen oder intrachromosomale Umverteilungen, die zu Genfusionen im PLAG1-Gen auf Chromosom 8 und im HMGA2-Gen auf Chromosom 12 führen (Wachstumsfaktor- und Zellzyklusdysregulation) [Iida et al., 2020].
Die Prognose bei Vorliegen eines pleomorphen Adenoms ist gut. Rezidive treten bei vollständiger Entfernung des Befunds selten auf; nach einer Punktion oder Eröffnung wird von Rekurrenzraten zwischen 30 und 80 Prozent ausgegangen. Risikofaktoren für das Auftreten von Rezidiven sind das weibliche Geschlecht, ein junges Alter und die Durchführung einer Enukleation gegenüber einer vollständigen Parotidektomie.
Maligne Transformationen treten in etwa 6,2 Prozent der Fälle auf. Risikofaktoren für eine maligne Transformation stellen eine Vorgeschichte mit multiplen Rezidiven, die Lokalisation im tiefen Lappen der Parotis, das männliche Geschlecht und ein höheres Alter dar [International Agency for Research on Cancer, 2017]. Bei einer Entwicklungszeit von unter zehn Jahren liegt die Wahrscheinlichkeit einer malignen Transformation bei zwei Prozent; ist die Entwicklungszeit jedoch höher, steigt das Risiko auf 17 Prozent an [Kämmerer et al., 2009; Gujer et al., 2013].
Beim metastasierten pleomorphen Adenom handelt es sich um eine äußerst seltene Form, die sich rein histologisch vom normalen pleomorphen Adenom nicht unterscheiden lässt. Dabei kommt es jedoch zu einer systemischen Ausbreitung der Tumorzellen, die sich präferenziell in Knochen, im Kopf-Hals-Bereich und in der Lunge ansiedeln. Bislang wurden weniger als 100 Fälle weltweit beschrieben [International Agency for Research on Cancer, 2017].
Fazit für die Praxis
Das pleomorphe Adenom ist der häufigste Speicheldrüsentumor des Menschen und tritt bevorzugt im Bereich der Parotis auf. Andere Lokalisationen sind seltener, etwa der Gaumen und die Glandula submandibularis.
Klinisches Zeichen des pleomorphen Adenoms ist die indolente, langsam – über Jahre – zunehmende Schwellung.
Therapie der Wahl ist die vollständige Exzision des Befunds ohne Verschleppung von Tumorzellen, denn diese erhöht das Rezidivrisiko.
Maligne Transformationen treten mit einer Häufigkeit von 6,2 Prozent auf – das Risiko steigt mit Erkrankungsdauer.
Literaturliste
Arumugam, P., P. J. Christopher, S. Kumar, S. Kengasubbiah and V. Shenoy (2019). "Pleomorphic Adenoma of the Palate: A Case Report." Cureus 11(3): e4308.
Gujer, A., C. Jacobson and K. Grätz (2013). Facharztwissen Mund-, Kiefer- und Gesichtschirurgie. Springer-Verlag Berlin Heidelberg, Astrid Kruse Gujer, Christine Jacobsen, Klaus W. Grätz.
Iida, Y., M. Serizawa, T. Mukaigawa, T. Kamijo, T. Nakajima, K. Asakura, M. Kusuhara, K. Yamaguchi and T. Onitsuka (2020). "Molecular profile of a pleomorphic adenoma of the hard palate: A case report." Medicine (Baltimore) 99(29): e21207.
International Agency for Research on Cancer (2017). WHO Classification of Head and Neck Tumours. Lyon.
Kämmerer, P. W., A. Kreft, T. Toyoshima, B. Al-Nawas and M. O. Klein (2009). "Misleading initial histological diagnosis of a polymorphous low-grade adenocarcinoma in situ ex pleomorphic adenoma-a case report." Oral Maxillofac Surg 13(2): 99-103.
Kumar, V. V., P. W. Kämmerer and C. Walter (2013). "Der besondere Fall: pleomorphes Adenom der kleinen Speicheldrüsen." Zahnärztliche Mitteilungen 103(8): 52-54.
Radhika, T., S. U. Maheswari, K. S. Kumar and N. Jeddy (2020). "Rare histologic presentation of pleomorphic adenoma: A diagnostic dilemma." J Oral Maxillofac Pathol 24(3): 563-567.
Saka, B., P. W. Kämmerer, F. Öri and A. Erbesdobler (2014). "Der besondere Fall: Massive Gaumenschwellung durch ein pleomorphes Adenom." Zahnärztliche Mitteilungen 104(16): 48-50.
Schneider, D., K. Goppold, M. Wöhlke and P. W. Kämmerer (2017). "Der besondere Fall mit CME. Pleomorphes Adenom der Glandulae sal. minores." Zahnärztliche Mitteilungen 107(5): 50-52.
Yousra, Z. and C. Saliha (2021). "Pleomorphic adenoma of hard palate: a case report." Pan Afr Med J 38: 146.




