Forscher arbeiten an Früherkennungstest für Präkanzerosen
Das Verständnis der Krebsentstehung als immunologischer Prozess setzt sich zunehmend in der medizinischen Forschung durch. Es wird intensiv untersucht wie sich entartete Zellen den Verteidigungsmechanismen des Immunsystems entziehen und welche Zelleigenschaften hierzu beitragen. Die zunehmende Rolle der Immuntherapie in der Behandlung vielfältiger maligner Erkrankungen zeigt hierbei eindeutig, dass diese Forschungsbemühungen zielführend sind und zukünftig ausgebaut werden müssen.
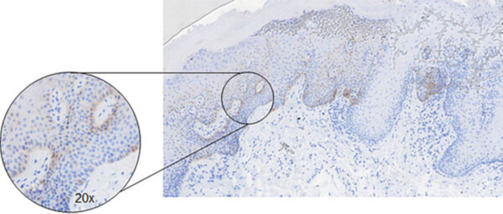
Sowohl beim Plattenepithelkarzinom der Mundhöhle als auch bei Leukoplakien, als einer Gruppe von Vorläuferläsionen dieser bösartigen Erkrankung, konnten ebenfalls verschiedene Fehlregulationen immunologischer Parameter gezeigt werden. Als Forschungsgruppe der Mund-, Kiefer- und Gesichtschirurgischen Klinik des Universitätsklinikums Erlangen bestätigten wir hierbei unter anderem eine veränderte Expression in der Gruppe des Melanoma-associated-Antigens A (MAGE-A) sowie der Polarisation tumorassoziierter Makrophagen in oralen Leukoplakien. Diese Veränderungen waren hochspezifisch in denjenigen Leukoplakien, die im späteren Verlauf eine maligne Entartung zeigten und konnten in den nicht entarteten Läsionen signifikant seltener nachgewiesen werden.
Diese Erkenntnisse bieten die potenzielle Möglichkeit eines Früherkennungsverfahrens für Mundschleimhautveränderungen mit hohem malignem Entartungsrisiko. Um aus dieser Erkenntnis der Grundlagenwissenschaft ein diagnostisches Verfahren im klinischen Alltag etablieren zu können, muss die Aussagekraft zunächst in einem prospektiven Studiensetting bestätigt werden.
Ein neuer diagnostischer Goldstandard?
Die PREDICT-OLP-Studie stellt eine prospektive, multizentrische und interdisziplinäre Untersuchung zur Prädiktion der malignen Entartungstendenz von weißlichen, nicht wegwischbaren Mundschleimhautveränderungen dar. Die PREDICT-OLP-Studie (ClinicalTrials.gov Identifier: NCT03975322) wird von der Deutschen Gesellschaft für Zahn-, Mund- und Kieferheilkunde (DGZMK) gefördert. Ziel der Studie ist die Evaluation des Melanoma-associated-Antigens A (MAGE-A) sowie weiterer immunologischer Marker als objektive Parameter in der Risikoeinschätzung potenzieller Präkanzerosen der Mundschleimhaut. In retrospektiven Studien konnte die Assoziation zwischen der MAGE-A-Expression oraler Leukoplakien und deren maligner Entartung bereits mit sehr hoher Sensitivität und Spezifität nachgewiesen werden.
Aktuell besteht der diagnostische Goldstandard aus dem histologisch bestimmten Dysplasiegrad der Mundschleimhautläsion. Dieses Verfahren ist jedoch sehr subjektiv und mit Hinblick auf die Risikoeinschätzung der Krebsentstehung nur eingeschränkt aussagekräftig. Mit der MAGE-A-Expression möchten wir die aktuell übliche Diagnostik von Mundschleimhautveränderungen um ein objektives Standbein erweitern, um zukünftig Leukoplakien mit hohem Risiko für die Entstehung eines Mundhöhlenkarzinoms frühzeitiger und sicherer erkennen zu können. Aufgrund der hohen Spezifität der MAGE-A-Expression für Zellen mit malignem Potenzial ergibt sich neben der diagnostischen Verwendung gegebenenfalls auch ein Ansatz für eine zielgerichtete Immuntherapie zur Verhinderung der Krebsentstehung.

In den zwei Jahren seit Beginn der Patientenrekrutierung konnten wir deutschlandweit 16 Kliniken und 18 Praxen aus den Fachbereichen Mund-, Kiefer- und Gesichtschirurgie, Oralchirurgie sowie Hals-, Nasen-, Ohrenheilkunde für die Zusammenarbeit gewinnen. Gemeinsam mit diesen Kooperationspartnern gelang es uns bisher, über 100 Patienten in die PREDICT-OLP-Studie einzuschließen. Erste Vorauswertungen zur MAGE-A-Expression laufen bereits, verlässliche Daten sind jedoch erst zu erwarten, wenn ein Großteil der Patienten über einen längeren Zeitraum von mindestens zwei Jahren nachbeobachtet wurde. Die Rekrutierung, die als Zielsetzung 500 eingeschlossene Patienten mit einem Nachbeobachtungszeitraum von mindestens drei Jahren hat, wurde dabei von der COVID-19-Pandemie deutlich erschwert. Wir sind jedoch zuversichtlich, dass wir mit weiteren hinzukommenden Kooperationspartnern sowie dem fortlaufend optimierten Rekrutierungs- und Nachkontrollverfahren unsere langfristigen Studienziele erreichen werden.
Sollte sich die Verlässlichkeit von MAGE-A und weiteren immunologischen Parametern in der Identifizierung von Leukoplakien mit hohem malignem Potenzial unter reellen klinischen Bedingungen bestätigen, könnte die Integration dieser Parameter in die klinische Früherkennung von Leukoplakien mit hohem Risiko für die maligne Transformation zukünftig in Betracht gezogen werden. Die Bestimmung der studienspezifischen immunologischen Parameter erfolgt mittels Immunhistochemie und quantitativer Echtzeit-Polymerase-Kettenreaktion (RT-PCR). Dies sind diagnostische Routineverfahren, die auch dem Großteil niedergelassener Pathologen zur Verfügung stehen. Somit könnten Leukoplakien mit malignem Potenzial auch zukünftig von der Probeentnahme durch beispielsweise den Zahnarzt über die konventionelle Histologie bis zur molekularbiologischen Feindiagnostik mit hoher Verlässlichkeit im ambulanten Sektor diagnostiziert werden.
Bei Interesse an einer Kooperation wenden Sie sich bitte an:
PD Dr. Dr. Manuel Weber
09131/85-33601
Mund-, Kiefer- und Gesichtschirurgische Klinik,
Universitätsklinikum Erlangen










