Ausgedehntes, progredient wachsendes Lipom der vorderen Halsregion
Der 43-Jährige erschien einige Tage nach seiner Konsultation bei einer niedergelassenen MKG-Chirurgin. Grund der Überweisung war die Bitte der Therapieübernahme aufgrund einer großen zervikalen Raumforderung. Die spezielle Anamnese zeigte, dass diese Raumforderung seit etwa zwei Jahren bestand.
Bereits zum damaligen Zeitpunkt hatte der Patient einen niedergelassenen Kollegen mit der Bitte um Mitbeurteilung aufgesucht. Eine daraufhin angefertigte Magnetresonanztomografie zeigte einen circa 24 mm x 40 mm großen Befund im Bereich des mittleren Halsdreiecks, der keine Zeichen von Infiltration im Bereich der Gefäße oder der umgebenden Muskulatur aufwies (Abbildung 2).
Bei fehlenden Malignitätszeichen und der Abwesenheit klinischer Symptome wie Gefühlsstörungen, Schwindel, Schmerzen oder B-Symptomatik hatte man sich damals mit dem Patienten gegen die Entfernung der Raumforderung und für eine Verlaufskontrolle entschieden. Zwei Jahre später suchte der Patient dann erneut eine niedergelassene MKG-Chirurgin auf – dieses Mal aufgrund einer konstant progredienten Volumenzunahme der linken Halsseite und einem zunehmenden Druckgefühl über den Zeitraum der vergangenen zwei Jahre.
Eine radiologische Verlaufskontrolle mittels Magnetresonanztomografie brachte eine deutliche Volumenzunahme der bereits bekannten Raumforderung zur Darstellung. Es imponierte eine Größe von 36 mm x 47 mm in Kombination mit einer vorangeschrittenen Verdrängungstendenz im Bereich der zervikalen Muskulatur (Abbildung 3). Darauf folgte die Überweisung des Patienten zur weiteren Therapieübernahme.
Bei der Erstvorstellung in unserer Klinik präsentierte sich der Patient in einem guten Allgemein- und Ernährungszustand. Anamnestisch konnten keine zugrundeliegenden Vorerkrankungen, keine Dauermedikationen oder Allergien festgestellt werden.
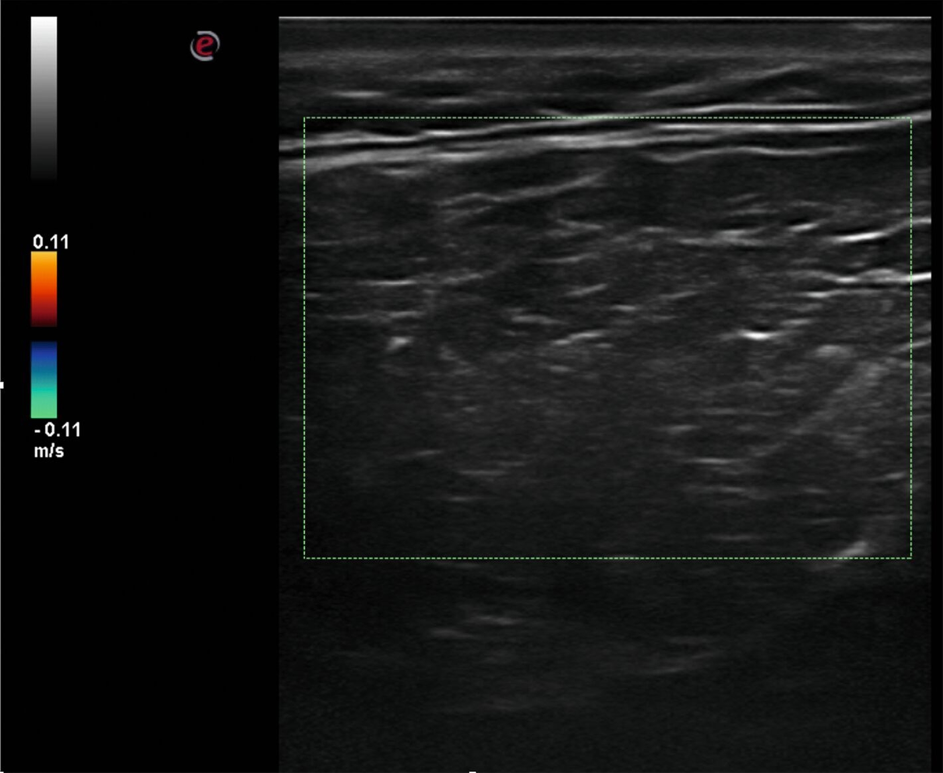
Die klinische Untersuchung zeigte einen verschieblichen, weichen und nicht druckdolenten Befund, der bereits zu einer sichtbaren Volumenzunahme der linken Halsseite geführt hatte (Abbildung 1). Zur erweiterten Diagnostik erfolgte eine Sonografie, in der sich ein Befund mit gefiedertem Binnenecho darstellen ließ (Abbildung 4). Malignitätszeichen fanden sich auch zu diesem Zeitpunkt weiterhin nicht. Es wurde die Verdachtsdiagnose eines Lipoms gestellt.
In Zusammenschau der Befunde und aufgrund einer deutlichen Größenprogredienz verständigten wir uns im Konsens mit dem Patienten auf eine Entfernung des Befunds. Die Operation erfolgte einige Wochen später in Intubationsnarkose. Dabei wurde über einen submandibulären Zugang der Befund zunächst unter Schonung der umgebenden Strukturen dargestellt. Bei Exploration des Situs zeigte sich die Raumforderung gut abgrenzbar in der linken Regio cervicalis anterior mit einer bindegewebigen Kapsel überzogen (Abbildung 5). Unmittelbar kaudal des Befunds konnten die großen Halsgefäße identifiziert werden (Abbildung 6).
Nach vorsichtiger Präparation konnte die Raumforderung schließlich in toto entfernt und an die Pathologie gegeben werden (Abbildung 7). Eine Infiltration von Nachbarstrukturen durch den Befund war nach ausgedehnter Exploration des Op-Gebiets nicht ersichtlich. Abschließend wurde eine Redon-Drainage eingelegt und der Wundbereich mehrschichtig verschlossen.
Der Patient verließ die Klinik zwei Tage später nach Entfernung der Drainage ohne Schmerzen, Gefühlsstörungen oder Einschränkungen im Bereich des Nervus facialis. Die histologische Aufbereitung des Gewebes bestätigte die Verdachtsdiagnose eines Lipoms. Eine weitere Therapie schloss sich danach nicht an.
Diskussion
Lipome sind die häufigsten benignen Tumoren des Menschen mit mesenchymalem Ursprung. Etwa fünf Prozent aller weichgeweblichen Tumoren sind Lipome, wobei 13 Prozent davon im Kopf-Hals-Bereich auftreten [Singh et al., 2014]. Deren typische Lokalisation in dieser Region sind das Occiput und der hintere Halsbereich. Ein Auftreten im vorderen Hals- oder Submandibularbereich ist vergleichsweise selten.
Aufgrund der komplexen anatomischen Strukturen im Kopf-Hals-Bereich können sich wichtige Nerven und Gefäße, die teilweise einen oberflächlichen Verlauf nehmen, in unmittelbarer Nähe zu Lipomen befinden. Lipome liegen in der Regel subkutan und können überall dort auftreten, wo sich Fettgewebe findet [Charizfa et al., 2022]. Darüber hinaus existieren auch tief im Weichgewebe gelegene oder intraossäre Lipome [Weiss, 1996]. Bestehend aus ausgereiften Adipozyten, zeigen Lipome ein eher langsames Wachstum, besitzen nur wenig Adhärenz zum umgebenden Gewebe und werden in den meisten Fällen von einer dünnen, bindegewebigen Kapsel umhüllt. Davon abzugrenzen sind Sonderformen wie beispielsweise das Angiolipom, das Spindelzell-Lipom oder das Lipoblastom, die sich histologisch anders präsentieren können.
Die Ätiologie von Lipomen ist nicht vollständig geklärt. Aktuelle Forschungsarbeiten zeigen, dass Lipome mit einer Veränderung im HMGA2-Gen assoziiert sein könnten. Möglicherweise besteht auch eine Korrelation zwischen einem Weichgewebe-Trauma und der Entwicklung von Lipomen in den betroffenen Arealen [Aust et al., 2007]. Einige seltene Erkrankungen wie die hereditäre Lipomatosis oder das Gardner-Syndrom sind mit dem gehäuften Auftreten von Lipomen assoziiert. In seltenen Fällen kann es zu einer malignen Transformation von Lipomen zu einem Liposarkom kommen [Casani et al., 2005].
Oftmals als Zufallsbefund, nicht selten durch die Patienten selbst als nicht druckdolente und verschiebliche Raumforderung identifiziert, sind kleinere Lipome in der Regel harmlos. Wird eine bestimmte Größe überschritten oder treten sie in einer bestimmten Lokalisation auf, können sich allerdings Schmerzen oder die Beeinträchtigung bestimmter Organe einstellen. Dies wiederum stellt eine Indikation zur Entfernung der Befunde dar. Auch aufgrund kosmetischer Beeinträchtigungen kann eine Entfernung indiziert sein.
Neben der klinischen Untersuchung können die Computertomografie, die Magnetresonanztomografie und die Sonografie zur erweiterten Diagnostik vor einer Therapie eingesetzt werden. Gerade im Kopf-Hals-Bereich können Nachbarstrukturen hierdurch gut abgegrenzt werden. Neben dem Liposarkom sind andere mögliche Differenzialdiagnosen wie pleomorphe Adenome, epidermale Zysten, subkutane Metastasen, eine noduläre Fasziitis oder eine Veränderung im Bereich von Schild- und Speicheldrüsen von Lipomen abzugrenzen [Ortiz-Miranda et al., 2011].
Die klinische und radiologische Unterscheidung zwischen Lipom und Liposarkom kann Ärztinnen und Ärzte vor eine Herausforderung stellen. Diese ist allerdings von entscheidender Bedeutung, da der therapeutische Ansatz der beiden Entitäten sich grundlegend unterscheidet und andere Therapieformen beinhaltet. Die Behandlung eines malignen Liposarkoms erfolgt in der Regel multimodal und umfasst neben der chirurgischen Therapie auch eine Strahlen- und oder Chemotherapie [Crago & Dickson, 2016].
Die Therapieoptionen für die Behandlung von Lipomen sind in der Literatur vielfältig beschrieben. Neben der kompletten Exzision der entsprechenden Befunde finden sich Steroidinjektionen, Liposuktionen und Teilentfernungen von Lipomen [Barisella et al., 2020]. Therapie der Wahl stellt die Exzision des Lipoms über einen chirurgischen Zugang je nach Lokalisation dar. Komplikationen nach chirurgischer Entfernung von Lipomen sind Hämatome, Serome, Narbenbildung, die Verletzung von Nachbarstrukturen und in seltenen Fällen Fettembolien [Jain et al., 2020].
Die Prognose dieser benignen Tumore ist im Normalfall gut [Johnson et al., 2018]. Nach vollständiger Entfernung zeigen sich nur selten Rezidive, die meist von verbliebenen Resten der umgebenden Kapsel ausgehen. Eine Entfernung des Befunds mit der Kapsel in toto ist daher unbedingt anzustreben.
Fazit für die Praxis
Lipome sind die häufigsten mesenchymalen Tumore.
Bei Größenprogredienz oder ästhetischen Einschränkungen sollten symptomatische Befunde entfernt werden.
In seltenen Fällen kann eine maligne Transformation erfolgen.
Literatur
Singh M, Saxena A, Kumar L, Karande SK, Kolhe Y. Giant lipoma of posterior cervical region. Case Rep Surg. 2014;2014:289383.
Charifa A, Azmat CE, Badri T. Lipoma Pathology. StatPearls. Treasure Island (FL)2022.
Weiss SW. Lipomatous tumors. Monogr Pathol. 1996;38:207-39.
Aust MC, Spies M, Kall S, Jokuszies A, Gohritz A, Vogt P. Posttraumatic lipoma: fact or fiction? Skinmed. 2007;6(6):266-70.
Casani AP, Marchetti M, Dallan I, Cagno MC, Berrettini S. Liposarcoma of the cervico-nuchal region. Otolaryngol Head Neck Surg. 2005;133(4):641.
Ortiz-Miranda M, Mojica-Manosa P, Magraner M, Bredy R. Parapharyngeal space tumor: undifferentiated sarcoma of the parotid gland. A case report. Bol Asoc Med P R. 2011;103(3):42-6.
Crago AM, Dickson MA. Liposarcoma: Multimodality Management and Future Targeted Therapies. Surg Oncol Clin N Am. 2016;25(4):761-73.
Barisella M, Giannini L, Piazza C. From head and neck lipoma to liposarcoma: a wide spectrum of differential diagnoses and their therapeutic implications. Curr Opin Otolaryngol Head Neck Surg. 2020;28(2):136-43.
Jain S, Maingi S, Sofia AS, Rai AK. A case report of giant anterior neck lipoma. Int J Otorhinolaryngol Head Neck Surg. 2020;6:1213–5
Johnson CN, Ha AS, Chen E, Davidson D. Lipomatous Soft-tissue Tumors. J Am Acad Orthop Surg. 2018;26(22):779-88.










