Ist ein spontaner Lückenschluss vorhersagbar?
Es ist eine respektable Leistung der deutschen Zahnärzteschaft, dass die Kariesinzidenz in den vergangenen Jahrzehnten durch nachhaltige Prophylaxe und Aufklärung in Kinder-gärten, Schulen und Praxen einen deutlichen Rückgang erfahren hat. Der Verlust eines ersten Molaren wurde zur Seltenheit – doch inzwischen ist die Problematik durch die Molaren-Inzisiven-Hypomineralisation vermehrt wieder in den Fokus gerückt [Jordan et al., 2016].
Der erste Molar nimmt eine Schlüsselrolle im Gebiss ein. Ein früher Verlust kann durch Kippungen der Nachbarzähne und durch okklusale Interferenzen zu einer erheblichen Störung der Okklusionsentwicklung führen. Insbesondere bei jungen Patientinnen und Patienten stellt sich die Situation problematisch dar, da wegen des Wachstums definitive prothetische Versorgungsansätze kaum zu realisieren sind und Platzhalter im wachsenden Gebiss häufiger Adaptationen bedürfen. Neben der prothetischen Versorgung oder der Autotransplantation von Zähnen stellt der kieferorthopädische Lückenschluss einen differenzialtherapeutischen Lösungsansatz in der Patientenversorgung dar.
In einer epidemiologischen Studie [Albadri et al., 2007] an drei britischen Zentren wurden Daten von 300 Patienten mit einer Indikation zur Extraktion eines ersten Molaren untersucht. Man beobachtete in 25 bis 48 Prozent der Fälle eine Indikation zur Ausgleichsextraktion weiterer Molaren. Indikationen für die Extraktion waren zu 70 Prozent Karies und zu elf Prozent eine Molaren-Inzisiven-Hypomineralisation. Die Behandlungen erfolgten meist um das elfte Lebensjahr und in 47 bis 77 Prozent der Fälle war eine Allgemeinanästhesie erforderlich.
Der kieferorthopädische Lückenschluss nach dem Verlust erster Molaren ist insbesondere im Unterkiefer eine große Herausforderung. Zwar können verschiedene Einflussfaktoren – zum Beispiel Engstände, ein frontal offener Biss, hyperdivergente Basen und entsprechende Verankerungsstrategien – den Erfolg dieser Maßnahmen begünstigen, doch die Behandlung ist sehr aufwendig, beinhaltet einige Risiken und zieht meist eine lang andauernde und belastende Therapie nach sich [Kirschneck et al, 2022; Reichert, 2021]. Da Karies in der deutschen Bevölkerung sich in manchen Bevölkerungsgruppen polarisiert [Jordan et al., 2016], sollte man den kieferorthopädischen Lückenschluss besonders kritisch hinterfragen, wenn Zweifel an der Compliance bestehen. Wenn keine Weisheitszähne angelegt sind oder eine starke Atrophie in der Extraktionsregion [Stoppenbrink et al., 2019] stattgefunden hat, sollte man ebenfalls Alternativen in Betracht ziehen. Grundsätzlich wäre es klinisch von Vorteil, valide Parameter zu entwickeln, die einen spontanen Lückenschluss vorhersagbar machen, so dass man die Mitarbeit der Patienten weniger stark beansprucht und den kieferorthopädischen Therapieaufwand deutlich reduziert. Vor diesem Hintergrund empfiehlt die im Jahr 2014 für England publizierte „National clinical guidelines for the extraction of first permanent molars in children“ [Cobourne et al., 2014] im Oberkiefer eine Extraktion des ersten Molaren vor der Eruption des zweiten Molaren und im Unterkiefer dann, wenn der zweite Molar das Entwicklungsstadium „E“ [Demirjian et al., 1973] erreicht hat (Bildung der Furkation beginnt, die Wurzellänge ist noch kürzer als die Kronenlänge).
Die stärksten Daten, die dieser Empfehlung zugrunde liegen, stammen von der Arbeitsgruppe Teo et al. aus dem Jahr 2013 [Teo et al., 2013]. Sie beobachteten bei 236 Zähnen, dass im Oberkiefer bei einer Extraktion des ersten Molaren vor dem Durchbruch des zweiten Molaren 92 Prozent der Zähne eine zufriedenstellende Stellung einnahmen. Im Unterkiefer lag die Erfolgsquote bei nur 66 Prozent. Die schlechte Erfolgsquote im Unterkiefer motivierte zu einer Nachuntersuchung der erfolgreichen Fälle. Die Ergebnisse wurden 2016 im European Journal of Orthodontics publiziert [Teo et al., 2016]. In dieser Arbeit wurden drei Faktoren identifiziert, die die Wahrscheinlichkeit eines spontanen Lückenschlusses begünstigen:
Der zweite Prämolar ist gefangen in der Bifurkation des zweiten Milchmolaren.
Der zweite Molar ist relativ zum ersten Molar mesial anguliert.
Ein Weisheitszahn ist vorhanden.
Wenn diese Parameter erfüllt waren, lag die Wahrscheinlichkeit für einen erfolgreichen und spontanen Lückenschluss durch den zweiten Molaren im Unterkiefer bei 85 Prozent. Leider fand diese Publikation wegen ihres späteren Erscheinungsdatums keinen Eingang in die „National Guideline“ und bis heute in der zahnmedizinischen Fachwelt nur wenig Beachtung [Al Khalaf et al., 2022; Dastouri et al., 2020; Wu et al., 2017]. Wie wir in unseren Praxen diese Empfehlung ab 2016 umgesetzt und welche positiven Erfahrungen wir damit gemacht haben, veranschaulichen die vier Patientenfälle.
Patientenfall 1: Sechsjährige Patientin mit Hypomineralisationsstörungen an den Zähnen 36 und 46
<image seo-title="" alt-text="" xlink:href="censhare:///service/assets/asset/id/261761" xlink:role="censhare:///service/masterdata/asset_rel_typedef;key=actual."/>
Abb. 1a: Klinische Situation im Jahr 2015 bei der Erstvorstellung: Bislang war keine konservierende Versorgung der betroffenen Zähne erfolgt.
<image seo-title="" alt-text="" xlink:href="censhare:///service/assets/asset/id/261763" xlink:role="censhare:///service/masterdata/asset_rel_typedef;key=actual."/>
Abb. 1b zeigt den radiologischen Befund im Jahr 2019. Der Zahn 46 wurde aufgrund seines Zerstörungsgrades mit einer Stahlkrone versorgt.
<image seo-title="" alt-text="" xlink:href="censhare:///service/assets/asset/id/261764" xlink:role="censhare:///service/masterdata/asset_rel_typedef;key=actual."/>
Zu diesem Zeitpunkt lagen alle drei Entscheidungsparameter von Teo et al. [2016] positiv vor und der Zahn wurde entfernt (Abbildung 1c).
<image seo-title="" alt-text="" xlink:href="censhare:///service/assets/asset/id/261767" xlink:role="censhare:///service/masterdata/asset_rel_typedef;key=actual."/>
Abb. 1d: Verlaufskontrolle im Jahr 2023. Zu diesem Zeitpunkt war ein vollständiger Lückenschluss durch den Zahn 47 erfolgt.
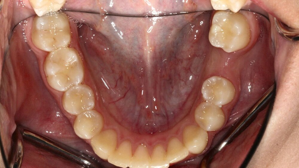
Patientenfall 2: Neunjähriger Patient mit kariös geschädigten Zähnen 36 und 46
<image seo-title="" alt-text="" xlink:href="censhare:///service/assets/asset/id/261770" xlink:role="censhare:///service/masterdata/asset_rel_typedef;key=actual."/>
Abb. 2a: In der Aufnahme aus dem Jahr 2017 erkennt man einen sehr hohen Zerstörungsgrad der Zähne 36 und 46 sowie eine apikale Beherdung der Zähne. Diese wirkte verdrängend auf die Zahnkeime 37 und 47, so dass ein Entscheidungskriterium von Teo et al. [2016], die mesiale Angulation des zweiten Molaren, nicht gegeben war.
<image seo-title="" alt-text="" xlink:href="censhare:///service/assets/asset/id/261777" xlink:role="censhare:///service/masterdata/asset_rel_typedef;key=actual."/>
Abb. 2b: Klinische Verlaufskontrolle aus dem Jahr 2021: Man erkennt zwar eine distale Drift der Prämolaren, doch nahm der Zahn 37 die Position des Zahnes 36 ein. Zahn 47 jedoch konnte die Position von Zahn 46 nicht zufriedenstellend einnehmen.
<image seo-title="" alt-text="" xlink:href="censhare:///service/assets/asset/id/261778" xlink:role="censhare:///service/masterdata/asset_rel_typedef;key=actual."/>
Ursächlich war in diesem Fall eine okklusale Interferenz durch den Zahn 16 (Abbildung 2c).
Patientenfall 3: Neunjährige Patientin mit Hypomineralisationsstörung an Zahn 36
<image seo-title="" alt-text="" xlink:href="censhare:///service/assets/asset/id/261779" xlink:role="censhare:///service/masterdata/asset_rel_typedef;key=actual."/>
Abb. 3a: Klinische Situation aus dem Jahr 2021: Der Zahn 36 hat eine Hypomineralisationsstörung und weist eine starke Destruktion auf.
<image seo-title="" alt-text="" xlink:href="censhare:///service/assets/asset/id/261780" xlink:role="censhare:///service/masterdata/asset_rel_typedef;key=actual."/>
Abb. 3b: Radiologische Situation aus dem Jahr 2021: Nebenbefundlich erkennt man einen posterioren Engstand und einen hohen Zerstörungsgrad des Zahnes 16. Von den Entscheidungsparametern von Teo et al. [2016] lag auch hier keine Mesialangulation des Zahnes 37 vor.
<image seo-title="" alt-text="" xlink:href="censhare:///service/assets/asset/id/261781" xlink:role="censhare:///service/masterdata/asset_rel_typedef;key=actual."/>
Abb. 3c: Da nicht alle Parameter zutrafen und man im Fall zuvor einen unerwünschten Distaldrift der Prämolaren beobachtet hatte, entschied man sich für eine Hemisektion des Zahnes 36, um für einen möglichen kieferorthopädischen Restlückenschluss das Knochenangebot zu erhalten. In Vorbereitung auf die Hemisektion wurde eine Pulpaamputation der vitalen Pulpa des Zahnes 36 mit anschließender direkter Überkappung mittels hydraulischem Kalziumsilikatzement (Biodentine, Septodont) und adhäsiver Deckfüllung durchgeführt. Dieses Vorgehen hatte zudem den Vorteil, dass durch Prämolarisierung des mesialen Anteils bei unvollständigem Lückenschluss eine weitere Therapieoption zur Verfügung stand. Abbildung 3c dokumentiert die Verlaufskontrolle aus dem Jahr 2023, vor Aufnahme der kieferorthopädischen Therapie. Der Zahn 37 nahm das volle Raumangebot ein und es fand keine Bewegung der Prämolaren nach distal statt.
Patientenfall 4: Hypomineralisationsstörung bei einem achtjährigen Patienten
<image seo-title="" alt-text="" xlink:href="censhare:///service/assets/asset/id/261782" xlink:role="censhare:///service/masterdata/asset_rel_typedef;key=actual."/>
In der Abbildungen 4a aus dem Jahr 2018 erkennt man eine ausgeprägte Molaren-Inzisiven-Hypomineralisations-Problematik an Zahn 46.
<image seo-title="" alt-text="" xlink:href="censhare:///service/assets/asset/id/261783" xlink:role="censhare:///service/masterdata/asset_rel_typedef;key=actual."/>
In der Abbildungen 4b aus dem Jahr 2018 erkennt man eine ausgeprägte Molaren-Inzisiven-Hypomineralisations-Problematik an Zahn 46. Radiologisch treffen alle drei Entscheidungsparameter von Teo et al. [2016] zu. Folglich entschied man sich für eine Extraktion.
<image seo-title="" alt-text="" xlink:href="censhare:///service/assets/asset/id/261785" xlink:role="censhare:///service/masterdata/asset_rel_typedef;key=actual."/>
Die Abbildungen 4c bis 4e dokumentieren die Verlaufskontrollen aus den Jahren 2019, 2021 und 2023. Man erkennt eine sehr gute Entwicklung des Zahnbogens und einen spontanen Lückenschluss durch den Zahn 47.
<image seo-title="" alt-text="" xlink:href="censhare:///service/assets/asset/id/261786" xlink:role="censhare:///service/masterdata/asset_rel_typedef;key=actual."/>
Die Abbildungen 4c bis 4e dokumentieren die Verlaufskontrollen aus den Jahren 2019, 2021 und 2023. Man erkennt eine sehr gute Entwicklung des Zahnbogens und einen spontanen Lückenschluss durch den Zahn 47.
<image seo-title="" alt-text="" xlink:href="censhare:///service/assets/asset/id/261787" xlink:role="censhare:///service/masterdata/asset_rel_typedef;key=actual."/>
Die Abbildungen 4c bis 4e dokumentieren die Verlaufskontrollen aus den Jahren 2019, 2021 und 2023. Man erkennt eine sehr gute Entwicklung des Zahnbogens und einen spontanen Lückenschluss durch den Zahn 47.
Resümee
In der Originalpublikation von Teo et al. [2016] ist die Vorhersagbarkeit eines spontanen Lückenschlusses nach Extraktion eines unteren ersten Molaren unter Anwendung der Entscheidungsparameter sehr hoch und sollte als Ergänzung der 2014 publizierten „National Guideline“ [Cobourne et al., 2014] betrachtet werden. Dennoch ist die Datenlage nicht ausreichend, um die Maßnahme umfassend empfehlen zu können. Aus unserer bisherigen Erfahrung hat die Maßnahme aber eine sehr hohe Erfolgsquote, sogar wenn man das Zeitfenster zur Extraktion etwas überschritten hat oder nicht alle Entscheidungsparameter positiv beschieden sind.
Da die Extraktion des ersten Molaren eine sehr weitreichende Entscheidung ist, sollte sie nur mit größter Vorsicht und im Konsens aller beteiligten zahnmedizinischen Fachdisziplinen getroffen werden. Und da die Indikation bereits in einem sehr jungen Alter gestellt wird und die Extraktion üblicherweise erst stattfindet, wenn alle zahnerhaltenden Maßnahmen erfolglos angewandt wurden, ist es von großer Wichtigkeit, den Patienten und seine Erziehungsberechtigten frühzeitig in die Entscheidungsfindung einzubeziehen.
Die Extraktion des ersten Molaren ist definitiv kein Routineeingriff, dennoch sollte sie fester Bestandteil einer Beratung bei einer ausgeprägten Molaren-Inzisiven-Hypomineralisation sein. In jedem Fall sind eine gute Diagnostik und eine vorausschauende kieferorthopädische Planung erforderlich. Empfehlenswert sind ein frühes kieferorthopädisches Konsil und ein engmaschiger Recall, um den „idealen“ Zeitpunkt zur Extraktion nicht zu verpassen.
Da mitunter ein langer Zeitraum zwischen der Extraktion des ersten Molaren und der Eruption des zweiten liegt, sind komplementäre Maßnahmen, etwa das Eingliedern eines Lückenhalters, zu bedenken, um einerseits eine Übereruption des Antagonisten oder eine Distaldrift der intramaxillären Dentition andererseits zu vermeiden. In der Praxis hat sich ein je sechsmonatiges Recallintervall in der kieferorthopädischen wie in der hauszahnärztlichen Praxis bewährt, so dass alternierend eine vierteljährliche Kontrolle der Situation stattfindet und bei Bedarf schnell interveniert werden kann. Komplementäre Maßnahmen aus Gründen des Knochenerhalts, wie die hier dargestellte Hemisektion, sind eine mögliche Ergänzung und können zum Beispiel therapeutisch genutzt werden, wenn ein kompletter Lückenschluss von posterior nicht gewünscht ist.
Ein vorhersagbarer spontaner Lückenschluss ist in jedem Fall wünschenswert und vorteilhaft für Patient und Behandler. Besonders wenn vor dem Hintergrund aufwendiger konservierender oder kieferorthopädischer Maßnahmen Zweifel an der Compliance bestehen, sind die Kriterien von Teo et al. [2016] eine praxisorientierte Hilfestellung bei der Entscheidungsfindung und bieten eine erhöhte Prognosesicherheit hinsichtlich des angestrebten Behandlungsergebnisses. Daher sollten die Entscheidungskriterien gleichermaßen in der Kieferorthopädie und in der allgemeinzahnärztlichen Praxis bekannt sein, da die Weichenstellung für ein Gelingen dieser Behandlung oft schon vor dem üblichen Alter für eine kieferorthopädische Erstuntersuchung fallen muss.
Literaturliste
Albadri S, Zaitoun H, McDonnell ST, Davidson LE. Extraction of first molar teeth: Results from three dental hospitals. British Dental Journal 2007;203:E14.
Al Khalaf R, Neves AA, Warburton F, Banerjee A, Hosey MT. Management of compromised first permanent molars in a cohort of UK paediatric patients referred to hospital-based services. Int J Paediatr Dent. 2022 Sep;32(5):724-736. doi: 10.1111/ipd.12951. Epub 2022 Apr 15. PMID: 34967478; PMCID: PMC9540387.
Cobourne MT, Williams A, Harrison M. National clinical guidelines for the extraction of first permanent molars in children Br Dent J. 2014 Dec 5;217(11):643-8. doi: 10.1038/sj.bdj.2014.1053.
Dastouri M, Kowash M, Al-Halabi M, Salami A, Khamis AH, Hussein I. United Arab Emirates dentists' perceptions about the management of broken down first permanent molars and their enforced extraction in children: a questionnaire survey. Eur Arch Paediatr Dent. 2020 Feb;21(1):31-41. doi: 10.1007/s40368-019-00434-8. Epub 2019 Mar 18. PMID: 30887464.
Demirjian A, Goldstein H, Tanner JM. A new system of dental age assessment. Human Biology (1973) May;45(2):211-27.
Jordan RA, Micheelis W. Fünfte Deutsche Mundgesundheitsstudie (DMS V). Deutscher Zahnärzte Verlag DÄV (2016) ISBN 978-3-7691-0020-4.
Kirschneck C, Reichert C, Proff P. Kieferorthopädische Mesialisationstherapie der 7er bei nicht-erhaltungswürdigen MIH-Molaren – Indikation, Extraktionszeitpunkt und Prognose. Informationen aus Orthodontie & Kieferorthopädie 2022; 54(02): 97-103 DOI: 10.1055/a-1821-6531.
Reichert C. Sechs vor zwölf – Kieferorthopädische Lösungsansätze beim Verlust erster Molaren. Bayrisches Zahnärzteblatt (2021) Juli/August:60-66.
Stoppenbrink D, Daratsianos N, Kutschera E, Scharf S, Braumann B, Götz W, Jäger A, Reichert C. Dimensional changes of the alveolar ridge contour of the premolar extraction site in adolescents. Journal of Orofacial Orthopedics (2019) DOI: 1007/s00056-019-00182-w.
Teo T K, Ashley P F, Parekh S, Noar J. The evaluation of spontaneous space closure after the extraction of first permanent molars. Eur Arch Paediatr Dent 2013; 14: 207-212. 22.
Teo T K, Ashley P F, Derrick D. Lower first permanent molars: developing better predictors of spontaneous space closure. Eur J Orthod. 2016 Feb;38(1):90-95. doi: 10.1093/ejo/cjv029. Epub 2015 Apr 17.
Wu M, Chen L, Bawole E, Anthonappa RP, King NM. Is there sufficient evidence to support an optimum time for the extraction of first permanent molars? Eur Arch Paediatr Dent. 2017 Jun;18(3):155-161. doi: 10.1007/s40368-017-0283-y. Epub 2017 Mar 28. PMID: 28353198.




