Handelt es sich wirklich um eine rezidivierende Keratozyste?
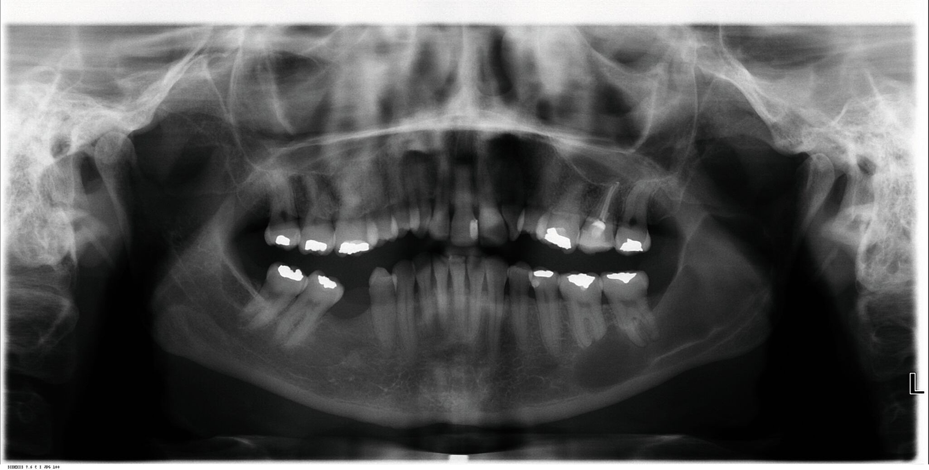
Im Rahmen der zahnärztlichen Routineuntersuchung fiel bei der seinerzeit 44-jährigen Frau eine zystische Läsion des linken aufsteigenden Unterkieferastes mit Ausdehnung nach mesial unter apikaler Beteiligung der Zähne 36 und 37 auf (Abbildung 1), woraufhin alio loco eine Zystektomie mit Wurzelspitzenresektion an den Zähnen 36 und 37 durchgeführt wurde.
Die histopathologische Beurteilung des enukleierten Zystenmaterials bestätigte die Verdachtsdiagnose einer Keratozyste. Als sich zwei Jahre später im Rahmen der regelmäßigen radiologischen Nachkontrollen erneut eine zystenähnliche Struktur im Bereich des linken aufsteigenden Unterkieferastes demarkierte, wurde die Patientin zur weiteren Diagnostik und Therapie an unsere Klinik überwiesen. Eine zusätzlich angefertigte digitale Volumentomografie (DVT) der betreffenden Region (Abbildung 2) erhärtete den klinischen Verdacht eines Keratozystenrezidivs, so dass zunächst eine erneute Zystektomie in Intubationsnarkose durchgeführt wurde.
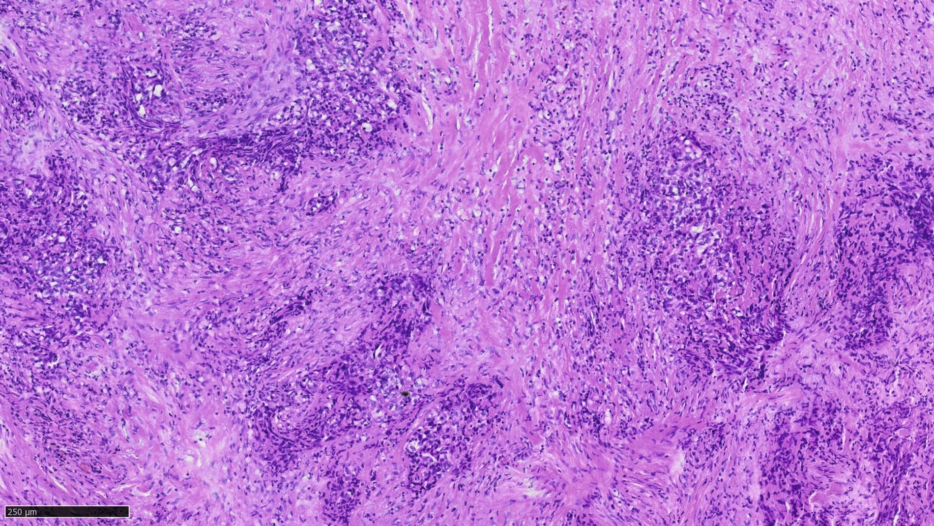
Bei der histopathologischen Untersuchung des Präparats zeigten sich allerdings neben fibrosierten, entzündlich infiltrierten Weichgewebeanteilen atypische, suspekte Epithelien in Stroma-invasiver Konfiguration, die sich in der ergänzenden immunhistochemischen Aufbereitung mit Antikörpern positiv gegen Zytokeratin 5 und 6, Panzytokeratin und p40 kontrastierten. Zudem erwies die supplementäre Untersuchung mit Antikörpern gegen den Proliferationsmarker Ki67 eine deutlich gesteigerte Zellproliferation im Bereich der oben beschriebenen suspekten Epithelanteile. In der Gesamtschau sprachen die vorliegenden Befunde abschließend für die Manifestation eines Stroma-invasiven, intraossären Plattenepithelkarzinoms. Der Befund wurde wiederholt gemeinsam mit den untersuchenden Pathologen diskutiert und abschließend im Sinne eines Sechs-Augen-Prinzips bestätigt (Abbildung 3).
Nach Sicherung der Diagnose wurden im Rahmen des obligaten Stagings umgehend weitere Untersuchungen zur Diagnostik der Tumorausbreitung, darunter eine Computertomografie (CT) mit Kontrastmittel der Kopf/Hals-Region, des Thorax und des Abdomens sowie eine HNO-fachärztliche Mitbeurteilung veranlasst. Die CT erbrachte den Nachweis einer flächigen Kontrastmittelanreicherung mit Kommunikation zur osteolytischen Läsion im vorherigen OP-Gebiet sowie multiple, teils vergrößerte, jedoch nicht primär Metastasen-suspekte Lymphknoten zervikal. Eine thorako-abdominelle Filialisierung konnte ausgeschlossen werden, ebenso erbrachte die Panendoskopie keinen Hinweis auf ein simultanes Zweitkarzinom.
Im weiteren Verlauf erfolgte nach Abschluss der oben genannten Voruntersuchungen eine ausführliche Falldiskussion im interdisziplinären Kopf-Hals-Tumorboard. In der Zusammenschau der Befunde, des jungen Alters der Patientin und der bei adäquater Therapie zur erwartenden funktionalen restitutio ad integrum wurde hier die Empfehlung zur Tumorresektion sowie ipsilateraler Neck Dissection ausgesprochen. Bei intraossärer Lokalisation erfolgte somit unter Einhaltung eines ausreichenden Sicherheitsabstands die Tumorresektion im Sinne einer Kontinuitätsresektion in Intubationsnarkose. Der entstandene Resektionsdefekt wurde komplikationslos mittels eines mikrovaskulär anastomosierten Beckentransplantats primär rekonstruiert. Der postoperative stationäre Aufenthalt gestaltete sich unter antibiotischer und analgetischer Therapie komplikationslos, so dass die Patientin bereits am zweiten postoperativen Tag mit Unterarmgehstützen mobilisiert und am siebten postoperativen Tag bei stabilen Wundverhältnissen und suffizienter Okklusion in die ambulante Weiterbetreuung entlassen werden konnte. Die pathohistologische Aufarbeitung des Resektats bestätigt eine 1,7 cm große, partiell nekrotische Läsion mit Manifestationen des vorbeschriebenen Plattenepithelkarzinoms.
Aktuell befindet sich die Patientin im Rahmen der Tumornachsorge im engmaschigen klinischen Recall. Aufgrund der geringen Tumorgröße und nicht nachweisbarer lymphatischer Metastasierung konnte auf eine adjuvante Bestrahlung verzichtet werden. Die kürzlich erfolgte 12-Monats-CT-Kontrolle nach Therapie zeigte ein regelhaftes Ergebnis ohne Nachweis eines Lokalrezidivs oder pathologisch vergrößerter Lymphknoten (Abbildungen 4 und 5).
Diskussion
Das Mundhöhlenkarzinom zählt mit etwa 350.000 diagnostizierten Neuerkrankungen pro Jahr zu den sechs häufigsten malignen Tumorerkrankungen weltweit. Darunter repräsentiert das Plattenepithelkarzinom (PECA, OSCC) mit über 90 Prozent den größten Anteil bösartiger Tumorerkrankungen der Mundhöhle [Sung et al., 2021].
In Deutschland allein erkranken jährlich circa 14.000 Menschen an einem derartigen Karzinom mit einer deutlichen Dominanz aufseiten der männlichen Patienten (Inzidenz 24/100.000 Neuerkrankungen bei Männern gegenüber 10,7/100.000 bei Frauen in den Jahren 2017/18) [Erdmann et al., 2021]. Grund für die geschlechterspezifischen Abweichungen sind unter anderem das erhöhte Auftreten entsprechender Risikofaktoren in der männlichen Bevölkerung.
Zu den Hauptrisikofaktoren für die Entstehung des Mundhöhlenkarzinoms zählt neben dem Rauchen der chronische Alkoholkonsum, wobei beide Noxen insbesondere in Kombination das Risiko der Karzinomentstehung signifikant potenzieren können [Blatt et al., 2016]. Das mittlere Erkrankungsalter liegt bei Frauen bei 66, bei Männern bei 64 Jahren [Erdmann et al., 2021]. Typische Prädilektionsstellen sind der Zungenrand, der Mundboden und die Alveolarfortsätze [Kämmerer et al., 2017]. Die Prognose des oralen Plattenepithelkarzinoms und dessen krankheitsbedingter Mortalität sind trotz fortschrittlicher, interdisziplinärer Therapiekonzepte mit einer Fünf-Jahres-Überlebensrate von circa 50 Prozent in den vergangenen Jahrzehnten nahezu konstant [Marsh et al., 2011]. Bei Diagnosesicherung im Frühstadium hingegen kann die Überlebensrate 80 Prozent und mehr betragen [Brocklehurst et al., 2013].
Demgegenüber stellt das intraossäre Plattenepithelkarzinom eine seltene Neoplasie dar, die sich anhand ihrer klinisch-pathologischen Merkmale und histologischen Eigenschaften in verschiedene Subtypen untergliedern lässt [Geetha et al., 2015]. Die Einteilung intraossärer Karzinome des Kiefers leitet sich wie folgt aus dem Ursprungsgewebe der malignen Transformation ab [Woolgar et al., 2013]:
Speicheldrüsenkarzinome
Odontogene Karzinome
Primäre intraossäre Plattenepithelkarzinome (PIOSCC).
Die Weltgesundheitsorganisation (WHO) definiert das primäre intraossäre Plattenepithelkarzinom als ein seltenes epitheliales Malignom, das den Kiefer befällt, jedoch keine originäre Verbindung zur Mundschleimhaut hat und sich vermutlich aus Resten des odontogenen Epithels, einer odontogenen Zyste, einem Tumor oder deren gutartigen Vorstufen entwickelt [El-Naggar et al., 2017].
Die genauen pathophysiologischen Prozesse der wie im vorliegenden Fall beschriebenen malignen Transformation einer (rezidivierenden) Keratozyste in ein Plattenepithelkarzinom sind zum jetzigen Zeitpunkt noch nicht vollständig verstanden, jedoch wird davon ausgegangen, dass eine länger bestehende entzündliche Mikroumgebung als Schlüsselfaktor für die maligne Entartung des Keratozystenepithels fungieren kann [Ye et al., 2021].
Einer Übersichtsarbeit von de Morais et al. aus dem Jahr 2021 zufolge manifestiert sich das intraossäre Plattenepithelkarzinom überwiegend im Bereich der posterioren Mandibula. Männer scheinen doppelt so häufig betroffen zu sein wie Frauen. Klinisch imponiert das PIOSCC häufig mit einer Auftreibung der Kortikalis. In einigen Fällen zeigen sich Schmerzen, je nach Lokalisation und Größe sind auch Parästhesien der Lippen oder des Gesichts möglich. Radiologisch präsentieren sich scharf begrenzte oder auch unregelmäßig konturierte Läsionen [de Morais et al., 2021].
Die innere Struktur erscheint in der Regel aufgrund ausbleibender spontaner Reossifizierung transluzent [Huang et al., 2009], was insbesondere vor dem Hintergrund der unspezifischen klinischen Beschwerden häufig die differenzialdiagnostische Unterscheidung zur benignen Zyste erschweren kann. Auch osteolytische Knochenveränderungen bis hin zu pathologischen Frakturen sind beschrieben [Zwetyenga et al., 2001]. Zahnlockerungen im Bereich von Osteolysen sind möglich, Wurzelresorptionen hingegen eher ungewöhnlich [Huang et al., 2009].
Da das PIOSCC keine spezifischen pathohistologischen Merkmale gegenüber metastatischen Prozessen eines regulären Plattenepithelkarzinoms aufweist, muss die Diagnose des primär ossären Plattenepithelkarzinoms immer in Zusammenschau der klinischen und histologischen Befunde getroffen werden.
Zu den diagnostischen Kriterien gehört neben den oben beschriebenen Faktoren im Besonderen das Fehlen eines Primärtumors zum Zeitpunkt der Diagnose [El-Naggar et al., 2017]. Aufgrund seiner Seltenheit sind detaillierte Mechanismen über die klinischen und pathologischen Prozesse des PIOSCC nach wie vor nicht ausreichend untersucht [Ye et al., 2021].
Das Therapieregime sollte folglich analog zu den Empfehlungen der aktuellen S3-Leitlinie „Diagnostik und Therapie des Mundhöhlenkarzinoms“ gewählt werden. Diese richten sich unter Berücksichtigung des Alters und des Allgemeinzustands des Patienten maßgeblich nach dem Krankheitsstadium, dem Auftreten von zervikalen Metastasen sowie der zu erwartenden behandlungsbedingten Morbidität. Kurativ intendiert stellt – sofern möglich – die chirurgische Resektion unter größtmöglichem Erhalt anatomisch funktionaler und ästhetischer Strukturen mit stadienbedingter, adjuvanter oder primärer Radio- und/oder Chemotherapie den derzeitigen therapeutischen Standard dar [AWMF, 2021].
Fazit für die Praxis
Unklare Raumforderungen in Kombination mit Parästhesien im Ausbreitungsgebiet des Nervus alveolaris inferior sind malignomverdächtig.
Intraossäre Plattenepithelkarzinome können sich aus benignen Vorstufen, darunter odontogenen Zysten entwickeln.
Die interdisziplinäre Therapie sollte entsprechend aktueller Leitlinien in einem etablierten Tumorzentrum durchgeführt werden.
Bei Ausbleiben suffizienter Wundheilung nach dentoalveolären Eingriffen (zum Beispiel Zystektomien) ist eine Probeexzision zum Ausschluss eines malignen Prozesses indiziert.
Ferner ist in Bezug auf den hier beschrieben Kasus eine rechtzeitige und ausreichend radikale Entfernung von Keratozysten die beste therapeutische Wahl, um die Inzidenz von Zystenrezidiven und malignen Entartungen zu verringern. Die Gesamtprognose des intraossären Plattenepithelkarzinoms ist allerdings aufgrund seines aggressiven biologischen Verhaltens respektive der hohen Rezidiv- und Metastasierungsraten sowie niedriger Fünf-Jahres-Überlebensraten eher als eingeschränkt einzustufen [Ye et al., 2021; de Morais et al., 2021].
Literaturliste
AWMF. 2021. S3-Leitlinie Diagnostik und Therapie des Mundhöhlenkarzinoms, Version 3.0 - März 2021.
Blatt, S., T. Ziebart, M. Kruger, and A. M. Pabst. 2016. 'Diagnosing oral squamous cell carcinoma: How much imaging do we really need? A review of the current literature', J Craniomaxillofac Surg, 44: 538-49.
Brocklehurst, P., O. Kujan, L. A. O'Malley, G. Ogden, S. Shepherd, and A. M. Glenny. 2013. 'Screening programmes for the early detection and prevention of oral cancer', Cochrane Database Syst Rev: CD004150.
de Morais, E. F., L. M. Carlan, H. G. de Farias Morais, J. C. Pinheiro, H. D. D. Martins, C. A. G. Barboza, and R. de Almeida Freitas. 2021. 'Primary Intraosseous Squamous Cell Carcinoma Involving the Jaw Bones: A Systematic Review and Update', Head Neck Pathol, 15: 608-16.
El-Naggar, AK, JK Chan, JR Grandis, T Takata, and PJ Slootweg. 2017. 'WHO Classification of Tumours, 4th Edition, Volume 9', IARC Press, 9.
Erdmann, Friederike, Claudia Spix, Alexander Katalinic, Monika Christ, Juliane Folkerts, Jutta Hansmann, Kristine Kranzhöfer, Beatrice Kunz, Katrin Manegold, Andrea Penzkofer, Kornelia Treml, Grit Vollmer, Susanne Weg-Remers, Benjamin Barnes, Nina Buttmann-Schweiger, Stefan Dahm, Julia Fiebig, Manuela Franke, Ina Gurung-Schönfeld, Jörg Haberland, Maren Imhoff, Klaus Kraywinkel, Anne Starker, Petra von Berenberg-Gossler, and Antje Wienecke. 2021. "Krebs in Deutschland für 2017/2018." In, 172. Robert Koch-Institut.
Geetha, P., M. L. Avinash Tejasvi, B. B. Babu, H. Bhayya, and D. Pavani. 2015. 'Primary intraosseous carcinoma of the mandible: A clinicoradiographic view', J Cancer Res Ther, 11: 651.
Huang, J. W., H. Y. Luo, Q. Li, and T. J. Li. 2009. 'Primary intraosseous squamous cell carcinoma of the jaws. Clinicopathologic presentation and prognostic factors', Arch Pathol Lab Med, 133: 1834-40.
Kämmerer, Peer, Thomas Morbach, Daniel Schneider, und Jan Liese. 2017. 'Diagnostik potenziell maligner Mundschleimhautveränderungen in der Zahnarztpraxis', wissen kompakt, 11.
Marsh, D., K. Suchak, K. A. Moutasim, S. Vallath, C. Hopper, W. Jerjes, T. Upile, N. Kalavrezos, S. M. Violette, P. H. Weinreb, K. A. Chester, J. S. Chana, J. F. Marshall, I. R. Hart, A. K. Hackshaw, K. Piper, and G. J. Thomas. 2011. 'Stromal features are predictive of disease mortality in oral cancer patients', J Pathol, 223: 470-81.
Sung, H., J. Ferlay, R. L. Siegel, M. Laversanne, I. Soerjomataram, A. Jemal, and F. Bray. 2021. 'Global Cancer Statistics 2020: GLOBOCAN Estimates of Incidence and Mortality Worldwide for 36 Cancers in 185 Countries', CA Cancer J Clin, 71: 209-49.
Woolgar, J. A., A. Triantafyllou, A. Ferlito, K. O. Devaney, J. S. Lewis, Jr., A. Rinaldo, P. J. Slootweg, and L. Barnes. 2013. 'Intraosseous carcinoma of the jaws: a clinicopathologic review. Part III: Primary intraosseous squamous cell carcinoma', Head Neck, 35: 906-9.
Ye, P., T. Wei, Y. Gao, W. Zhang, and X. Peng. 2021. 'Primary intraosseous squamous cell carcinoma arising from an odontogenic keratocyst: case series and literature review', Med Oral Patol Oral Cir Bucal, 26: e49-e55.
Zwetyenga, Narcisse, Jacques Pinsolle, Janine Rivel, Claire Majoufre-Lefebvre, Alain Faucher, and Vincent Pinsolle. 2001. 'Primary Intraosseous Carcinoma of the Jaws', Archives of Otolaryngology–Head & Neck Surgery, 127: 794-97.










