Wenn der Patient die Prothese nicht akzeptiert
Der zum Zeitpunkt des Erstbefunds 79-jährige Mann stellte sich auf Eigeninitiative zwecks prothetischer Neuversorgung in der Poliklinik für Zahnärztliche Prothetik und Werkstoffkunde der Universitätsmedizin Mainz vor. Allgemeinanamnestisch imponierten ein Diabetes mellitus Typ 2 (HbA1c 6,2–6,7 Prozent) und eine arterielle Hypertonie.
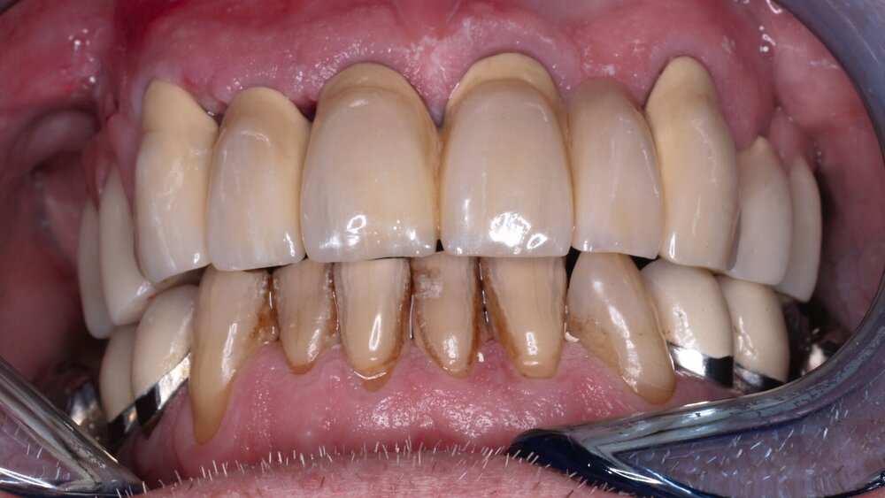
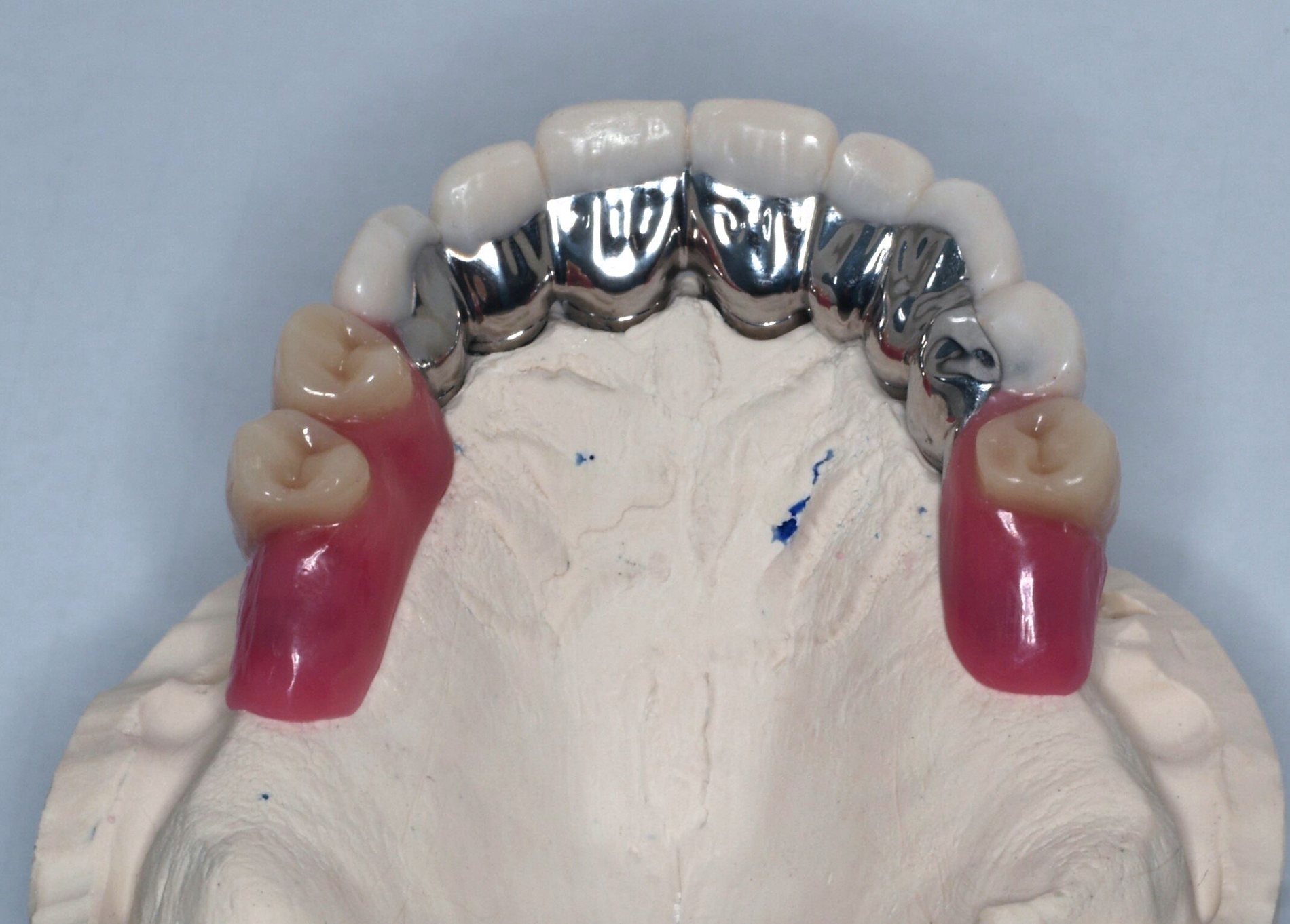
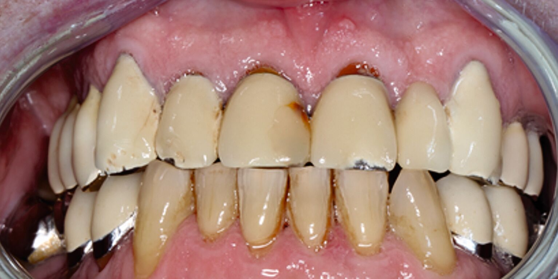
Der Patient stand unter der Dauermedikation von Metformin 500 mg, Ramipril 5 mg, Torasemid 10 mg, Metohexal 47,5 mg, Simvastatin 20 mg, Tamsulosin 0,4 mg und 3 mg Marcumar (INR 2,5–2,8) bei Zustand nach einer Bypass-Operation im Jahr 2019. Klinisch zeigten sich im Oberkiefer insuffiziente, verblockte und verblendete NEM-Kronen mit beidseitigen Gold-Extensionen distal, die über Geschiebe mit dem anterioren Anteil verschraubt waren (Abbildungen 1 und 2). Der Patient berichtete, dass die vorhandenen Kronen und Brücken 1984 eingesetzt worden seien.
Besonders auffällig war eine Dezementierung, die klinisch durch rechtsseitigen Druck und Zug mit einer Pinzette und daraufhin austretende Sulkusflüssigkeit in Regio 14 detektiert wurde. Da entsprechend des synoptischen Behandlungskonzepts [Naumann et al., 2010] bei prothetischer Neuversorgung eine gesamte Evaluation der Restpfeiler erfolgen muss, wurden zunächst die Kronen im Oberkiefer durch Schlitzen und Aufbiegen entfernt. Erst danach ließ sich deren Erhaltungswürdigkeit abschließend beurteilen.
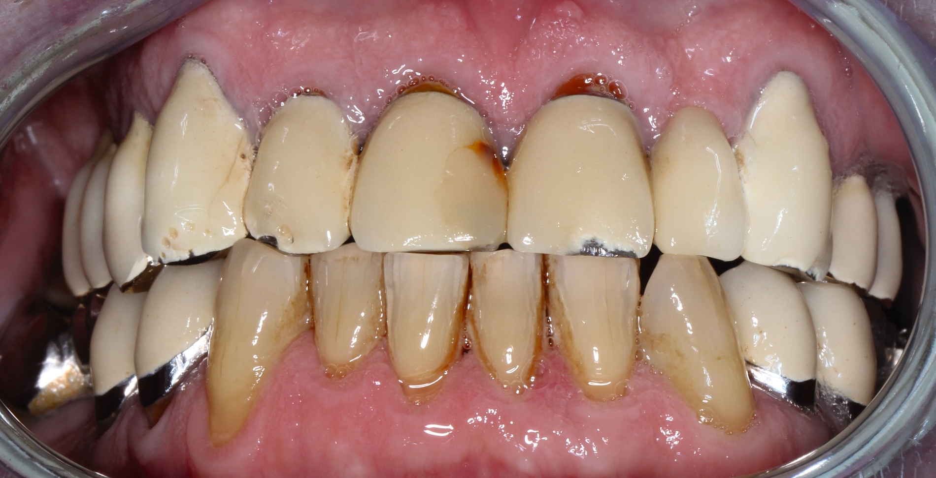
So war der Zahn 14 tief kariös zerstört und nicht-erhaltungswürdig, was mit dem Bild der wahrscheinlich seit Längerem bestehenden Dezementierung korrelierte (Abbildung 3). Die Brücken im Unterkiefer wurden als suffizient befundet. Die Ruheschwebelage wurde mithilfe des Zielinsky-Zirkels auf 2 mm bestimmt. Parodontologisch zeigten sich stabile Verhältnisse. Ein Parodontaler Screening-Index (PSI) wurde erhoben (3-1-1-1-2-2). Der hier auffällige Zahn 14 wurde bereits zuvor beim klinischen Befund als nicht-erhaltungswürdig eingestuft und im Verlauf extrahiert.
Nach Durchführung einer Professionellen Zahnreinigung wurde auf eine intensive parodontologische Therapie verzichtet, da sich bei den Folgeterminen auch die stellenweise auftretenden blutenden Papillen auf Sondieren verbesserten. Das funktionelle CMD-Screening zeigte eine nicht-druckdolente Kaumuskulatur sowie eine symmetrische, uneingeschränkte Mundöffnung ohne Reiben und Knacken.
Tabelle 1 zeigt das entsprechende Befundschema nach der Entfernung der insuffizienten Kronen im Oberkiefer mit den Taschentiefen mesial und distal (TT), den Lockerungsgraden (LG) und den Sensibilitätsüberprüfungen mittels Kältespray (ViPr).
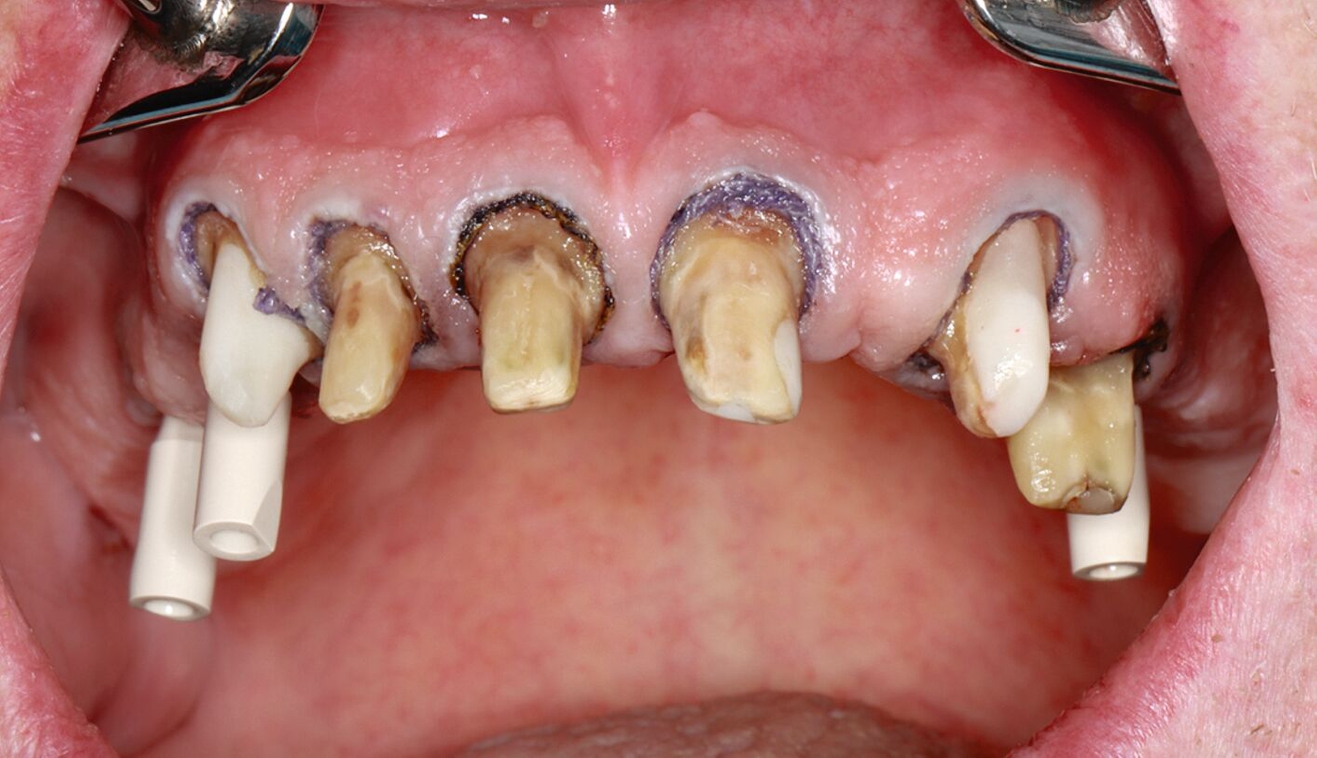
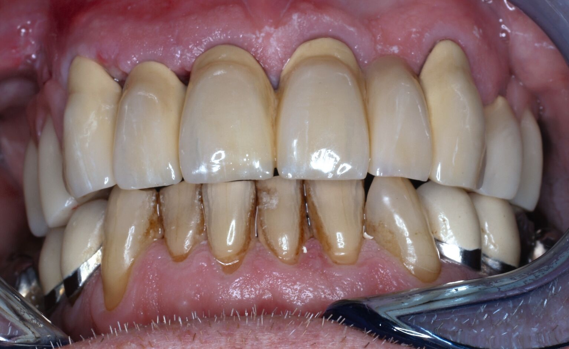
Übergangsweise wurden die verbliebenen Stümpfe mit einem festsitzenden Langzeitprovisorium aus einem Hochleistungspolymer der PET-Gruppe versorgt (Abbildung 4), um Stabilität über einen längeren Zeitraum gewährleisten zu können. Nach der Extraktion des Zahnes 14 und der Abheilung der Extraktionswunde wurde der Patient über die Optionen des definitiven Zahnersatzes aufgeklärt:
Festsitzend mittels Kronen 13–11 + 24, Brücke 21–b–23 + Implantatkronen in Regio 15–14 + 25
Herausnehmbar mittels gaumenfreier Teleskopprothese auf den verbleibenden sechs Oberkiefer-Zähnen
Herausnehmbar mittels Klammer-verankerter Modellgussprothese auf sechs neuen Kronen
Der Patient entschied sich nach ausreichender Bedenkzeit für die herausnehmbare Teleskopprothese. Da er ein Transpalatinalband total ablehnte, wurde ihm als Kompromiss in Aussicht gestellt, dass man bei der hohen Anzahl der Pfeilerzähne auf eine Gaumenabdeckung verzichten könne. Ebenso wurde dem Patienten als weiterer maximaler Kompromiss angeboten, auf eine Fassung beider Tubera zu verzichten, da diese bereits zeitlebens nicht gefasst waren und auch hier ein stark reduziertes Adaptationsvermögen erwartet wurde.
Bei allen Therapievarianten fand das Konzept der verkürzten Zahnreihe Berücksichtigung [Fueki und Baba, 2017; Reissmann et al., 2019; Schierz et al., 2021]. Für den Patienten spielten zudem noch die geringere Behandlungsdauer und die Kosten eine große Rolle. Eine Klammer-verankerte Modellgussprothese als Regelversorgung der gesetzlichen Krankenkasse kam aus ästhetischen Gründen für den Patienten nicht infrage.
Die Stümpfe wurden folglich zur Aufnahme von Teleskopkronen präpariert und mittels Doppel-Fadentechnik für die konventionelle Abformung mit dem Polyether vorbereitet. Nachdem das zahntechnische Labor die NEM-Primärteleskope hergestellt hatte, wurden sie am Patienten anprobiert und mit einem Tropfen provisorischen Zements auf den Stümpfen fixiert (Abbildung 5a), um sie anschließend in der Fixationsabformung mit abzuformen (Abbildung 5b).
Auf dem Meistermodell wurde vom Labor nun der Wachswall zwecks Kieferrelationsbestimmung hergestellt. Nach Überprüfung der Ruheschwebelage von 2 mm wurde der Wachswall verschlüsselt. Bei der Gesamtanprobe konnte neben der Kontrolle der statischen/dynamischen Okklusion und der Ästhetik das spannungsfreie Gleiten des Prothesengerüsts in die Primärteleskope überprüft werden.
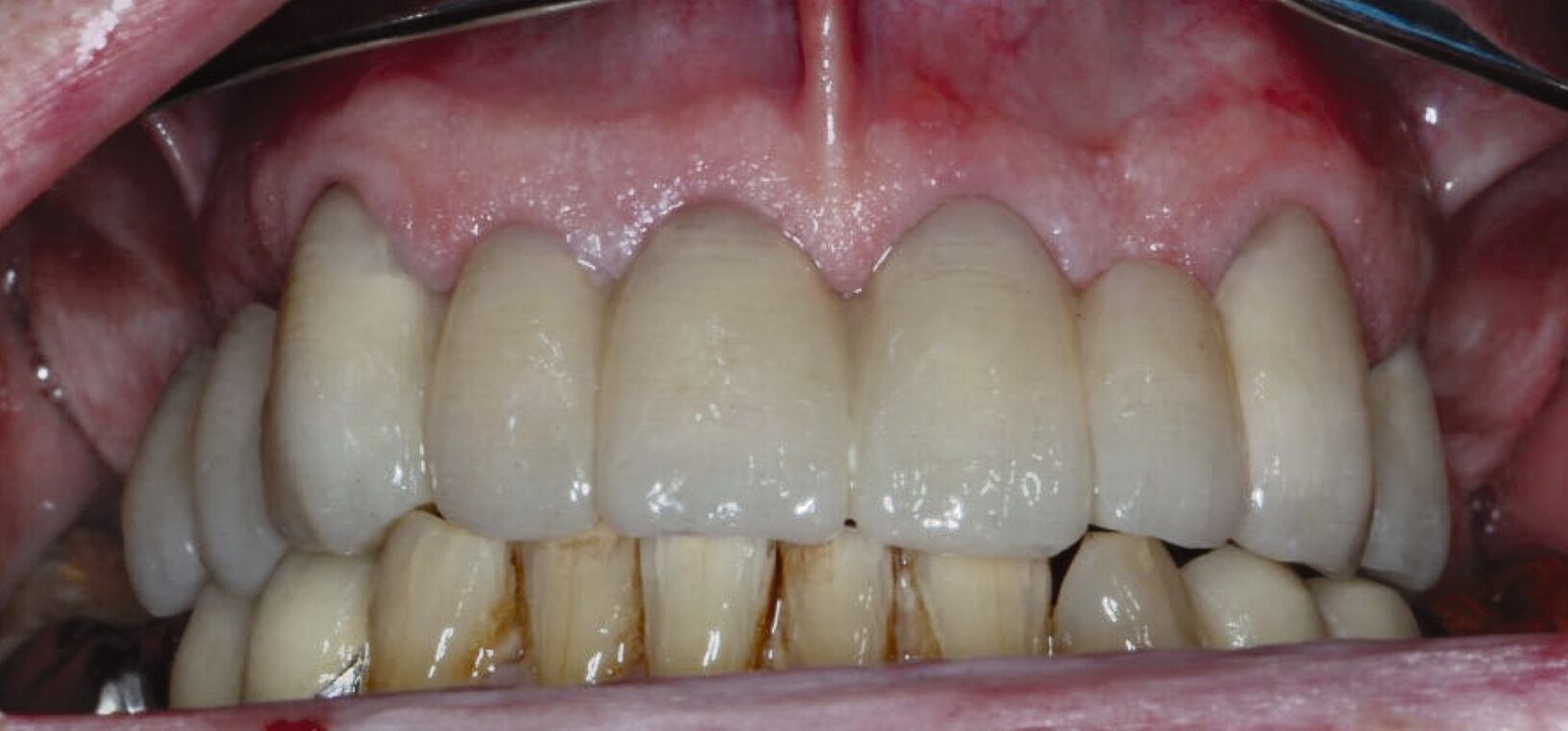
Schließlich erfolgte die Eingliederung der fertigen Teleskopprothese (Abbildung 6). Die Primärteile wurden mit Glasionomerzement auf den Stümpfen zementiert. Nach Entfernung der Zementreste und der erneuten Überprüfung der statischen und der dynamischen Okklusion, ist das gemeinsame Üben des Ein- und Ausgliederns der Prothese gerade bei dieser Art der Arbeit unabdingbar. Eine ausführliche Aufklärung über die Reinigung, Handhabung und das Recall folgte.
Auch wenn der Zahnersatz einwandfrei konstruiert und geplant wurde, stellte der Patient sich in den kommenden Wochen immer wieder mit Problemen beim Herausnehmen der Prothese vor. Auch dezementierte sich das Teleskop an Zahn 23 wiederholt. Zudem beklagte der Patient, dass er generell schlecht mit der Versorgung zurechtkomme. Ihm komme alles „zu dick“ und „zu massiv“ vor. Bereits bei der Aufklärung war deutlich zur Sprache gekommen, dass durch die Konstruktionsart des Zahnersatzes mit drei Schichten (Primär-, Sekundärteleskop und Verblendung) sowohl ästhetische Einbußen als auch Adaptationsschwierigkeiten gegenüber dem vorigen festsitzenden Zahnersatz zu erwarten seien.
Allgemein gelten in der Literatur viele subjektiv gescheiterte, aber objektiv suffiziente Therapieversuche als ein typisches Zeichen einer somatoformen Prothesenintoleranz [Müller-Fahlbusch, 1992]. Des Weiteren werden Beschwerden beschrieben, die nicht ins Bild der jeweiligen Befundsituation passen [Marxkors, et al., 1993]. Die Beschwerden bestehen in der Regel länger als sechs Monate und lassen keine oder zumindest keine direkten Schlüsse auf einen Mangel der prothetischen Arbeit zu [Marxkors und Müller-Fahlbusch, 1976].
Da die Adaptation an den herausnehmbaren Zahnersatz über ein halbes Jahr hinweg ausblieb und der Patient aufgrund der sehr hohen Erwartungshaltung an den Zahnersatz die Situation schließlich nicht weiter tolerieren wollte, wurde nun doch der Weg der festsitzenden Therapiealternative mit dem damit verbundenen chirurgischen Part forciert angestrebt.
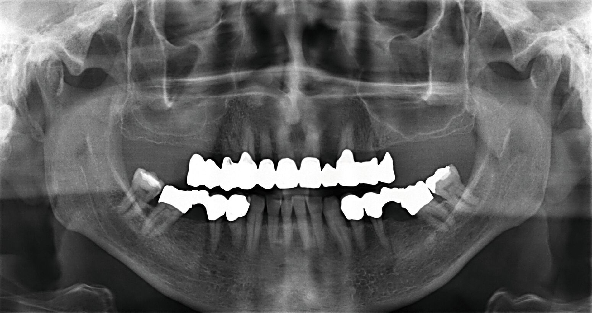
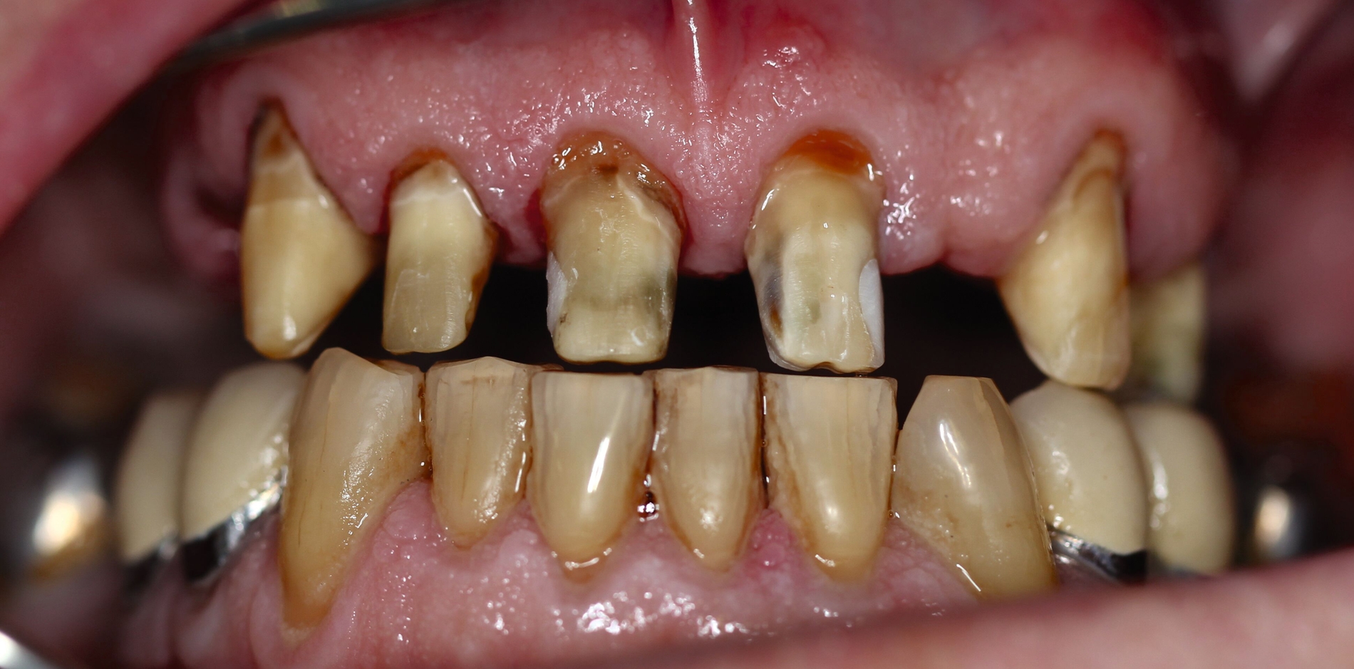
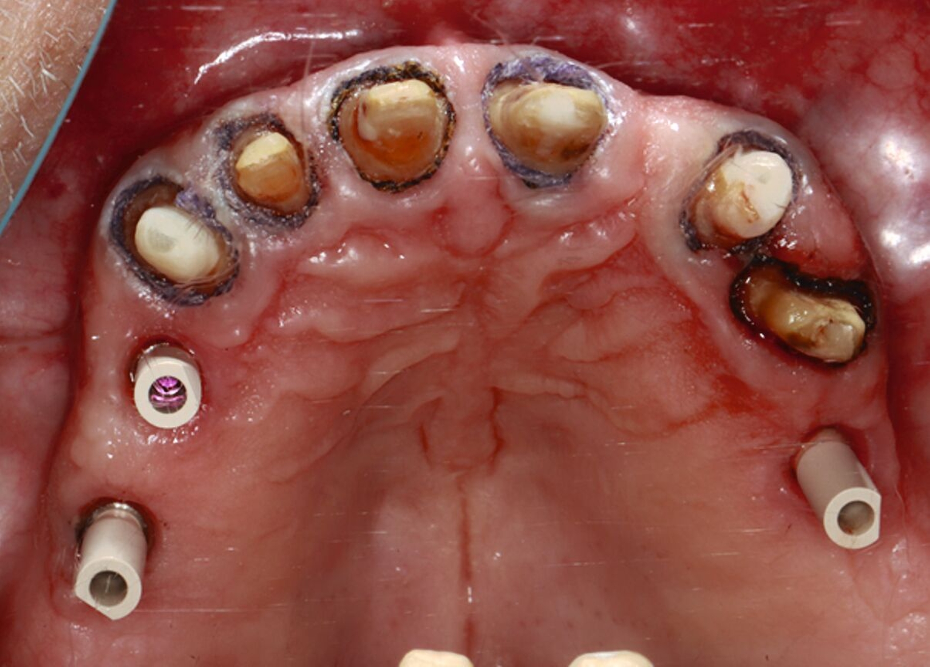
Nach Durchführung einer dentalen Volumentomografie (DVT) wurden daher zahnärztliche Implantate in Regio 14, 15 und 25 im Sinne einer verkürzten Zahnreihe geplant und inseriert (Abbildung 7). Nach dreimonatiger subgingivaler, konventioneller Einheilzeit wurden die Implantate freigelegt. Zwei Wochen später begann man die vorhandenen Primärkronen zu entfernen. Die Stümpfe wurden nachpräpariert und es wurden erneut Fäden gelegt (Abbildung 8a und 8b).
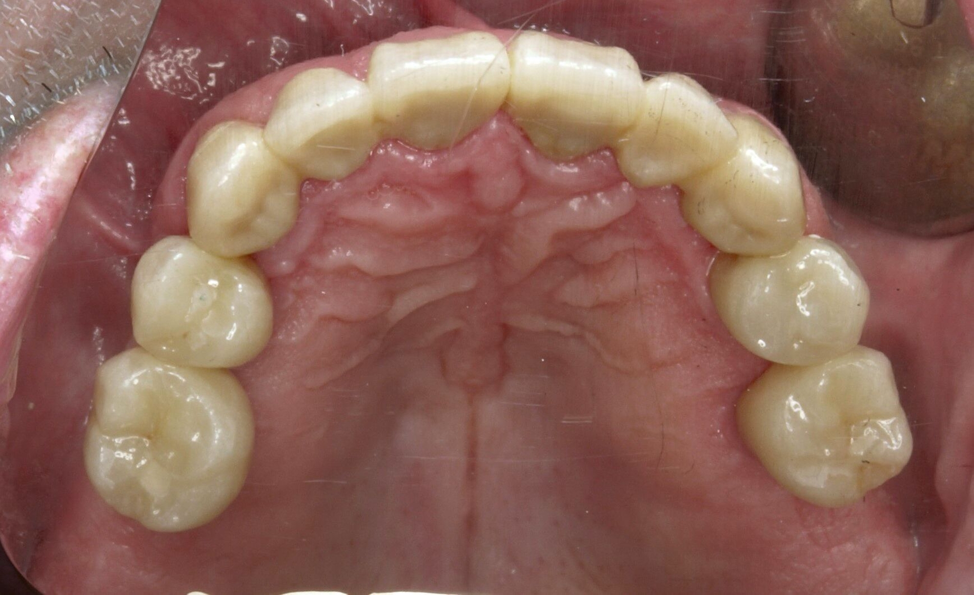
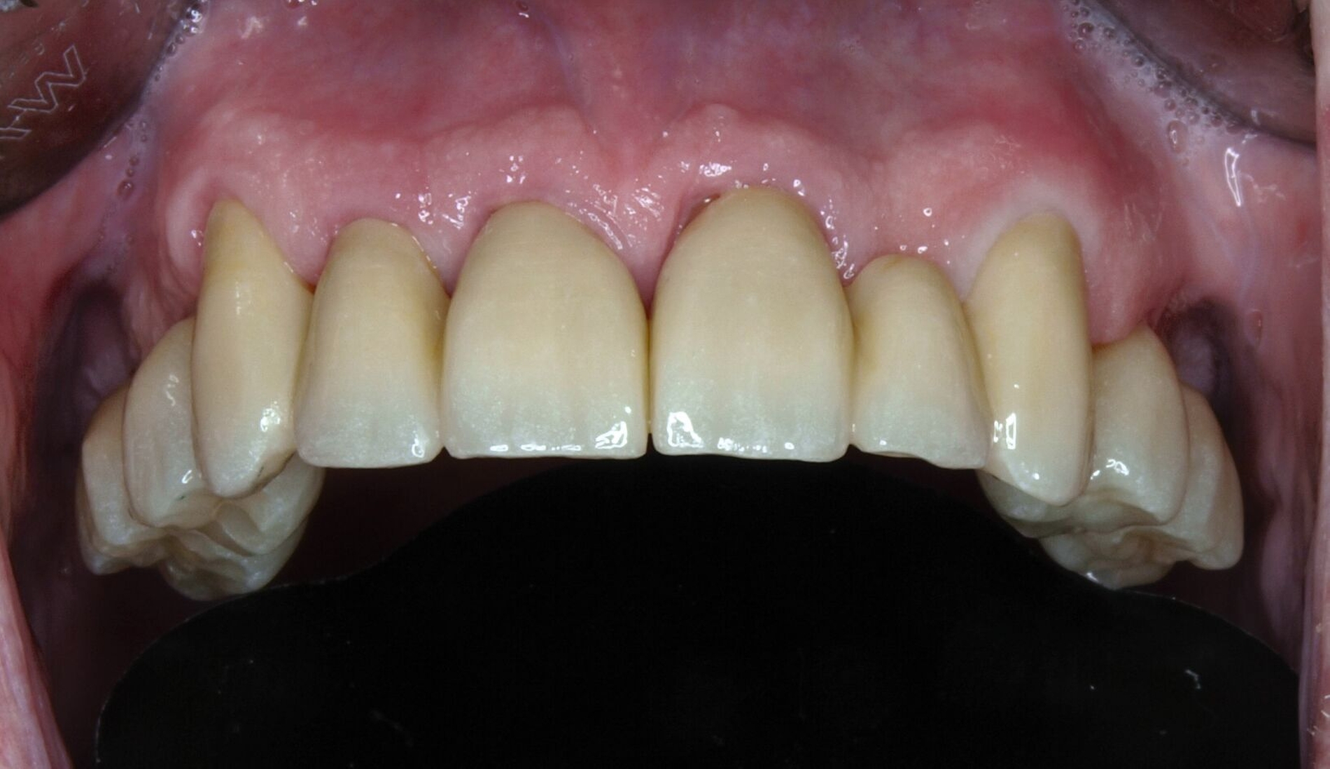
Nachdem die Einheilkäppchen entfernt und die Scanbodies in die Implantate eingeschraubt wurden, erfolgte der Intraoralscan (Abbildung 8c). Der festsitzende Zahnersatz wurde im zahntechnischen Labor designt und aus monolithischem Zirkonoxid gefräst. Die Kronen konnten schließlich selbstadhäsiv auf den Stümpfen befestigt werden. Das Einschrauben der Implantatkronen erfolgte mit Drehmomentschlüssel auf 35 Ncm nach Herstellerangabe. Die Schraubkanäle wurden anschließend verschlossen. Mit dem Endergebnis (Abbildung 8d) zeigte sich der Patient auch im Recallverlauf hochzufrieden.
Um den Sitz der Implantatkronen nach dem Einsetzen zu prüfen, wurden intraorale Tubusaufnahmen im Sinne eines Baseline-Röntgens angefertigt (Abbildung 9). In den Folgeterminen wurde dem Patienten noch eine Aufbissschiene für den Oberkiefer eingegliedert, um etwaigem nächtlichen Bruxismus vorzubeugen. Für die Nachsorge empfiehlt sich ein halbjährliches Kontrollintervall.
Der Fall zeigt einen sehr hohen Behandlungsaufwand mit einer Behandlungsdauer von etwa zwei Jahren (Abbildung 10). Auf zum Teil notwendige endodontische Behandlungen wurde hier aus Gründen der Übersichtlichkeit nicht näher eingegangen.
Diskussion
Immer wieder stößt herausnehmbarer oder kombiniert festsitzend-herausnehmbarer Zahnersatz in Bezug auf die Patientenzufriedenheit an seine Grenzen. Gerade bei älteren Patienten, die ihr ganzes Leben lang festsitzend versorgt waren, wird die Adaptationsgrenze durch einen herausnehmbaren Zahnersatz schnell überschritten.
Denn geriatrische Patienten zeigen nicht selten ein stark reduziertes Adaptationsvermögens [Bär et al., 2009] und können die notwendigen neuen Reflexe nur vermindert oder gar nicht mehr ausbilden [Stiesch und Bremer, 2008]. Sofern eine iatrogene und werkstoffbedingte Prothesenintoleranz ausgeschlossen wurde, kommt eine somatoforme Prothesenintoleranz infrage, die in der Literatur mit unspezifischen Symptomen wie Schmerz, Mundschleimhautbrennen und/oder Gewöhnungsstörungen an den Zahnersatz sowie insbesondere Zubissschwierigkeiten [Wolowsk et al., 2021] angegeben werden.
Wenn ansonsten weder funktionelle noch psychogene Ursachen herangezogen werden können, kann wieder eine rein festsitzende Versorgung Abhilfe verschaffen. Hier ist am ehesten eine rasche Gewöhnung an den Zahnersatz zu erwarten, sofern der Patient zuvor schon festsitzend versorgt war [Stiesch und Bremer, 2008].
Oftmals ist dies aber nicht ohne Insertion von zahnärztlichen Implantaten – wie im vorliegenden Fall – zu realisieren. Die modernen digitalen CAD/CAM-gestützten Versorgungsmöglichkeiten von Zähnen und Implantaten ermöglichen bei der prothetischen Versorgung eine schnelle, suffiziente und teilweise kostengünstigere Alternative zu konventionellen Abformmethoden. In der Literatur geht implantatgestützter Zahnersatz mit erhöhter Patientenzufriedenheit einher, insbesondere wenn die Adaptation an einen konventionellen herausnehmbaren Zahnersatz gescheitert ist [Sharka et al., 2019]. In den meisten wissenschaftlichen Untersuchungen wird hier jedoch die Gruppe der Zahnlosen untersucht, die zumeist einen hohen Benefit bei implantatgestützter Totalprothetik aufweisen [Beresford und Klineberg, 2018; ELsyad et al., 2019; Mumcu et al., 2020].
Interessanterweise konnten in einem Review von Yao et al. in diesem Zusammenhang keine signifikanten Unterschiede zwischen festsitzenden, implantatgetragenen Suprakonstruktionen und herausnehmbaren, implantatgestützten Suprakonstruktionen bezogen auf die Patientenzufriedenheit festgestellt werden [2018], jedoch war eine Tendenz hin zum festsitzenden Zahnersatz zu verzeichnen. Dieses Ergebnis wurde in einem Review und einer Metaanalyse von Borges et al. unterstützt, in dem sowohl die Lebensqualität als auch die Stabilität und die Kaufunktionalität bei festsitzenden Suprakonstruktionen besser abschnitten [2020].
Unser Patient wies eine stark bis extrem verkürzte Zahnreihe auf [Augthun und Mundt, 2008], folglich war sowohl über einen konventionellen herausnehmbaren Zahnersatz als auch über die Wiederherstellung der verkürzten Zahnreihe bis zum ersten Molar aufzuklären [Schierz et al., 2021].
Fazit
In diesem Patientenfall konnte deutlich aufgezeigt werden, dass die Umstellung auf herausnehmbaren Zahnersatz nach bis dato lebenslang festsitzender Versorgung eine Herausforderung für den Behandler sein kann. Trotz einer Durchführung lege artis kam es zu keinem zufriedenstellenden Patientenergebnis, obwohl zum Teil erhebliche Kompromisse bei der Konstruktion des herausnehmbaren Zahnersatzes eingegangen worden waren.
Daher empfiehlt es sich, eine Testhpase für herausnehmbaren Zahnersatz mit Interimsprothesen vorzuschalten, bevor ein labor- und kostenintensiver, definitiver Zahnersatz hergestellt und inkorporiert wird. Da der alternative festsitzende Zahnersatz häufig nur durch Implantate realisiert werden kann, sind der Behandlungsaufwand und die Behandlungsdauer sowie generell eine kostenintensivere Behandlung oftmals maßgebliche Faktoren bei der Entscheidungsfindung.
Fazit für die Praxis
Sollte bei älteren Patienten, die zeitlebens festsitzend versorgt waren, ein herausnehmbarer Zahnersatz ab einem bestimmten Zeitpunkt nicht länger vermeidbar sein, sollte zunächst eine Testphase durchgeführt werden.
Diese Testung kann kostengünstig und schnell mit provisorischen Interimsprothesen erfolgen.
Die modernen CAD/CAM-gestützten Verfahren können bei der Herstellung des definitiven Zahnersatzes eine schnelle, suffiziente und teilweise kostengünstigere Alternative zu konventionellen Abformmethoden darstellen.
Die modernen CAD/CAM-gestützten Verfahren (Intraoralscan, digitales Design und Herstellung der Kronen/Brücken) sowie eine monolithische Materialwahl können hierbei teilweise die Herstellung der prothetischen Versorgung kosteneffizient unterstützen.
Literaturliste
Augthun, M., & Mundt, T. (2008). Implantatprothetische Konzepte zur Ergänzung der verkürzten Zahnreihe. Gemeinsame Stellungnahme der Deutschen Gesellschaft für Zahnärztliche Prothetik und Werkstoffkunde (DGZPW) und der Deutschen Gesellschaft für Zahn-, Mund-und Kieferheilkunde (DGZMK) Stand, 1, 2008.
Bär, C., Reiber, T., & Nitschke, I. (2009). Zahnmedizinische Probleme bei alten Patienten. ZM, 99, 44-49.
Beresford, D., & Klineberg, I. (2018). A Within-Subject Comparison of Patient Satisfaction and Quality of Life Between a Two-Implant Overdenture and a Three-Implant-Supported Fixed Dental Prosthesis in the Mandible. Int J Oral Maxillofac Implants, 33(6), 1374-1382. doi:10.11607/jomi.6666
Borges, G. A., Barbin, T., Dini, C., Maia, L. C., Magno, M. B., Barão, V. A. R., & Mesquita, M. F. (2022). Patient-reported outcome measures and clinical assessment of implant-supported overdentures and fixed prostheses in mandibular edentulous patients: A systematic review and meta-analysis. J Prosthet Dent, 127(4), 565-577. doi:10.1016/j.prosdent.2020.11.005
Fueki, K., & Baba, K. (2017). Shortened dental arch and prosthetic effect on oral health‐related quality of life: A systematic review and meta‐analysis. Journal of Oral Rehabilitation, 44(7), 563-572.
ELsyad MA, Elgamal, M., Mohammed Askar, O., & Youssef Al-Tonbary, G. (2019). Patient satisfaction and oral health-related quality of life (OHRQoL) of conventional denture, fixed prosthesis and milled bar overdenture for All-on-4 implant rehabilitation. A crossover study. Clin Oral Implants Res, 30(11), 1107-1117. doi:10.1111/clr.13524
Marxkors, R., & Müller-Fahlbusch, H. (1976). Psychogene Prothesenunverträglichkeit: ein nervenärztliches Consilium für den Zahnarzt: Hanser.
Marxkors, R., Müller-Fahlbusch, H., & Figgener, L. (1993). Psychosomatisch bedingte Prothesenunverträglichkeiten und Beschwerden im Mund-Kiefer-Gesichtsbereich. Dtsch Zahnärztl(48), 149.
Müller-Fahlbusch, H. (1992). Ärztliche Psychologie und Psychosomatik in der Zahnheilkunde: 2 Tabellen: Thieme.
Mumcu, E., Dayan, S. C., Genceli, E., & Geckili, O. (2020). Comparison of four-implant-retained overdentures and implant-supported fixed prostheses using the All-on-4 concept in the maxilla in terms of patient satisfaction, quality of life, and marginal bone loss: a 2-year retrospective study. Quintessence Int, 51(5), 388-396. doi:10.3290/j.qi.a44368
Naumann, M., Heydecke, G., & Joda, T. (2010). Prothetische Rehabilitation im parodontal geschädigten (aber sanierten) Gebiss. Wissenschaftliche Mitteilung der Deutschen Gesellschaft für Zahnärztliche Prothetik und Werkstoffkunde (DGZPW).
Reissmann, D. R., Wolfart, S., John, M. T., Marré, B., Walter, M., Kern, M., . . . Schierz, O. (2019). Impact of shortened dental arch on oral health-related quality of life over a period of 10 years—A randomized controlled trial. Journal of dentistry, 80, 55-62.
Schierz, O., Reissmann, D. R., Rauch, A., John, M. T., Marré, B., Luthardt, R. G., . . . Kern, M. (2021). Impact of shortened dental arch on oral health-related quality of life. Journal of Evidence Based Dental Practice, 21(4), 101622.
Sharka, R., Abed, H., & Hector, M. (2019). Oral health‐related quality of life and satisfaction of edentulous patients using conventional complete dentures and implant‐retained overdentures: An umbrella systematic review. Gerodontology, 36(3), 195-204.
Stiesch, M., & Bremer, F. (2008). Zahnärztliche Prothetik beim geriatrischen Patienten. zwp.
Wolowski, A., Schneider, H.-J., & Eger, T. (2021). Dental disorders with a psychosocial background. Bundesgesundheitsblatt-Gesundheitsforschung-Gesundheitsschutz, 64, 951-958.
Yao, C. J., Cao, C., Bornstein, M. M., & Mattheos, N. (2018). Patient-reported outcome measures of edentulous patients restored with implant-supported removable and fixed prostheses: A systematic review. Clin Oral Implants Res, 29 Suppl 16, 241-254. doi:10.1111/clr.13286






























