Die Schienung von Zähnen im Rahmen der Parodontitistherapie
Dentale Schienungen sind möglicherweise die älteste existierende Zahnbehandlung; Drahtschienen konnten bereits an den sterblichen Überresten von Menschen aus Gizeh (Ägypten), die 2.500 Jahre vor unserer Zeit lebten, gefunden werden [Watkins und Hemmings, 2000]. Schienungen mobiler Zähne werden auch heute noch durchgeführt, jedoch bieten die Möglichkeiten der modernen Zahnmedizin bessere Befestigungsmöglichkeiten und einen höheren Komfort für die Patientinnen und Patienten.
Dr. Daniela Hoedke, M.Sc.
Oberärztin in der Abteilung für Parodontologie, Oralmedizin und Oralchirurgie, Charité – Universitätsmedizin Berlin
Aßmannshauser Str. 4–6, 14197 Berlin
daniela.hoedke@charite.de
Studium der Zahnmedizin an der Friedrich-Schiller-Universität Jena
Promotion, Universität Jena
Studium der Epidemiologie an der Berlin School of Public Health (MSc)
DG PARO-Spezialistin für Parodontologie®
Forschungsschwerpunkte: parodontaler Behandlungsbedarf in verschiedenen Populationen sowie nach verschiedenen parodontalen Therapien
Univ.-Prof. Dr. Henrik Dommisch
Direktor der Abteilung für Parodontologie, Oralmedizin und Oralchirurgie
CharitéCentrum 3 für Zahn-, Mund- und Kieferheilkunde, Charité – Universitätsmedizin Berlin
Aßmannshauser Str. 4-6, 14197 Berlin
henrik.dommisch@charite.de
2004: Promotion, Universität Kiel
2002–2014: wissenschaftlicher Mitarbeiter und Oberarzt in der Poliklinik für Parodontologie, Zahnerhaltung und Präventive Zahnheilkunde, Universität Bonn
2006–2007: Postdoctoral Fellow
2007–2022: Affiliate Professor (University of Washington, Seattle, USA)
2008: Habilitation, Venia legendi, Universität Bonn
seit 2014: Universitätsprofessor und Direktor an der Charité
Spezialist für Parodontologie® der DG PARO, Spezialist für Endodontologie der DGET, Präsident der DG PARO und der BG PARO
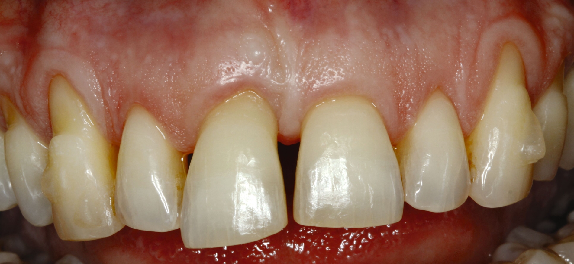
Eine erhöhte Zahnmobilität bei Patienten mit Parodontitis kann infolge einer parodontalen Entzündung auftreten, die Folge einer okklusalen Dysfunktion sein oder bei einem reduzierten Parodont vorkommen, wenn sich das Rotationszentrum der Zähne aufgrund des Knochenabbaus nach apikal verschoben hat und somit der Hebel, auf den die Kaukräfte einwirken, größer geworden ist (Abbildung 1) [Mühlemann, 1960]. Dies kann den oralen Komfort der Patienten – inklusive Phonetik, Abbeiß- und Kaufunktion – stark beeinträchtigen und sich auch auf die Ästhetik auswirken. Während die Mobilität der Zähne bei parodontalen Entzündungen nach einer systematischen Parodontitistherapie abnehmen kann und daraus resultierende okklusale Frühkontakte durch gezieltes Einschleifen, gegebenenfalls in Kombination mit Schienungen, adressiert werden können, existiert keine kausale Therapie zur Reduktion der Mobilität von Zähnen mit reduziertem Parodont bei horizontalem Knochenverlust.

Die Schienung von Zähnen beinhaltet die mehr oder weniger rigide Verbindung der Kronen von zwei oder mehr Zähnen, so dass die relative Beweglichkeit der Zähne reduziert und die auf einen geschienten Zahn auftreffende Kraft auf die Wurzeln aller geschienten Zähne übertragen wird [Smith und Sechell, 1986]. Die reduzierte Beweglichkeit geschienter, parodontal kompromittierter Zähne kann die parodontale Heilung im Rahmen der aktiven Parodontitistherapie begünstigen. Dies kann die Lebenserwartung dieser Zähne erhöhen und sowohl die Kaufunktion als auch den mundbezogenen Patientenkomfort verbessern [Kathariya et al., 2016].
Indikationen für parodontale Schienungen
Schienungen von Zähnen mit erhöhter Mobilität werden bei Patientinnen und Patienten mit Parodontitis in verschiedenen Indikationen durchgeführt, zum Beispiel bei einem reduzierten parodontalen Attachment zur Wiederherstellung einer kontrollierten Okklusion, bei okklusalen Dysfunktionen sowie im Rahmen regenerativer parodontalchirurgischer Maßnahmen bei Lockerungsgraden der Zähne ≥ II [Cortellini et al., 2001]. Der Vollständigkeit halber sei hier erwähnt, dass zusätzlich zu den parodontalen Indikationen Schienungen mobiler Zähne auch zur Ruhigstellung von Zähnen infolge Zahntraumata und im Rahmen der kieferorthopädischen Retention durchgeführt werden [Nolte, 2022].
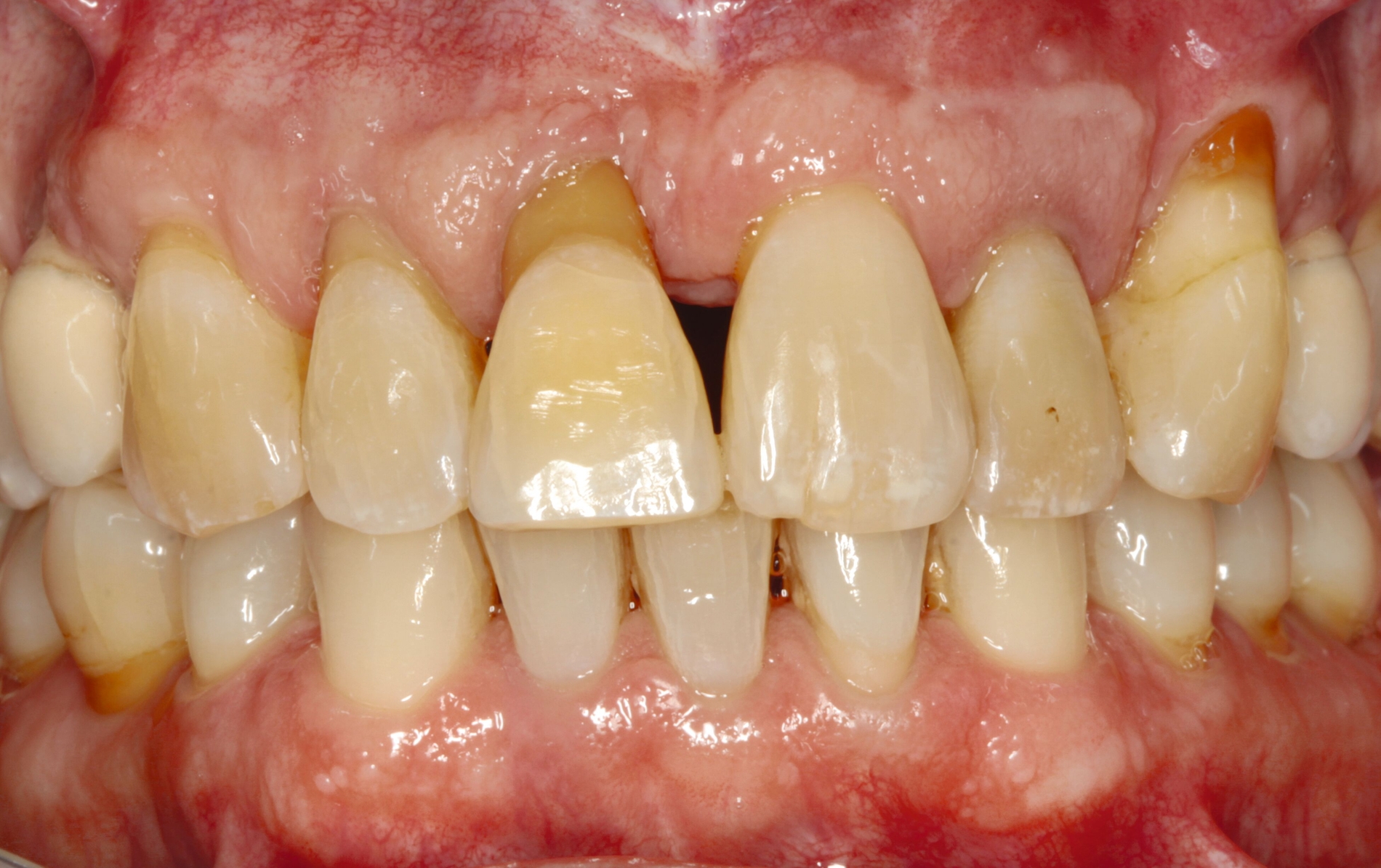
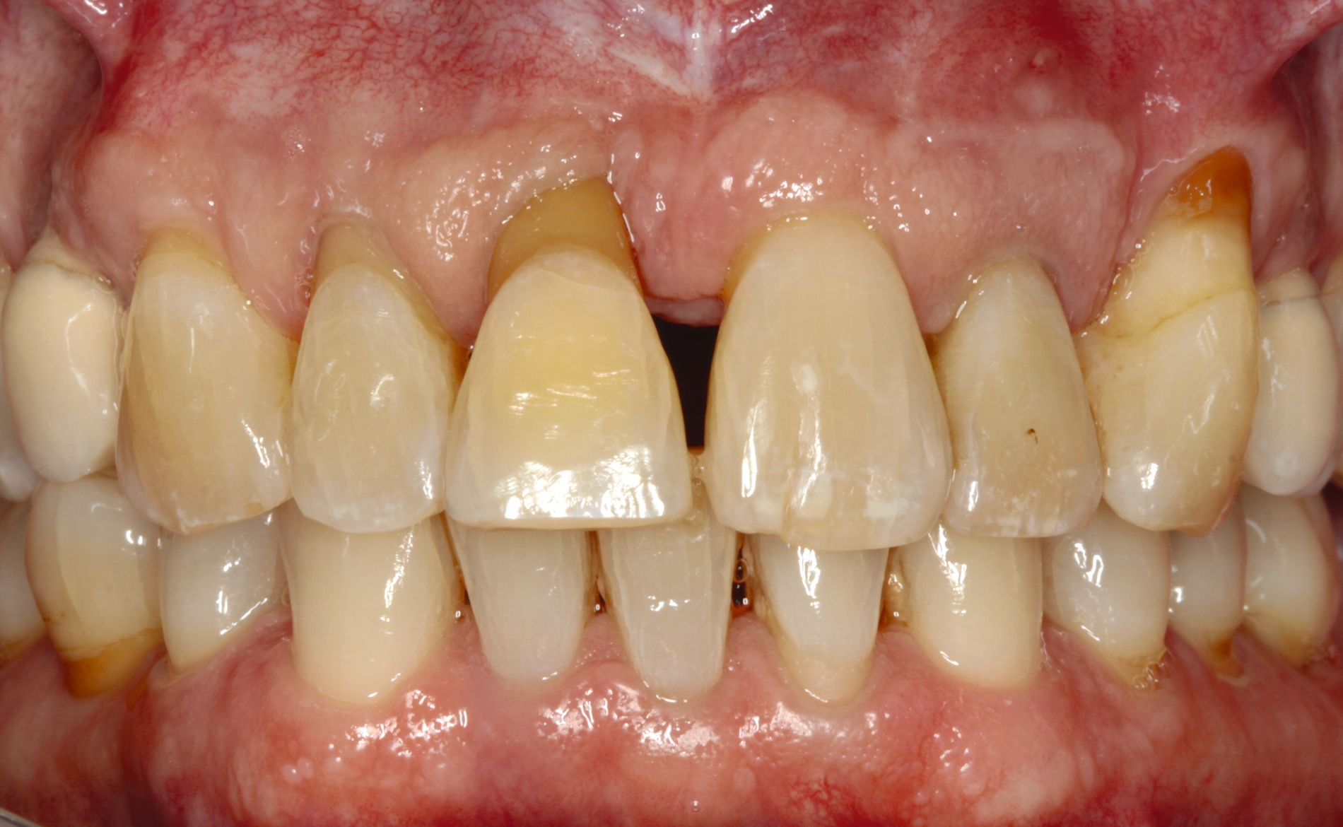
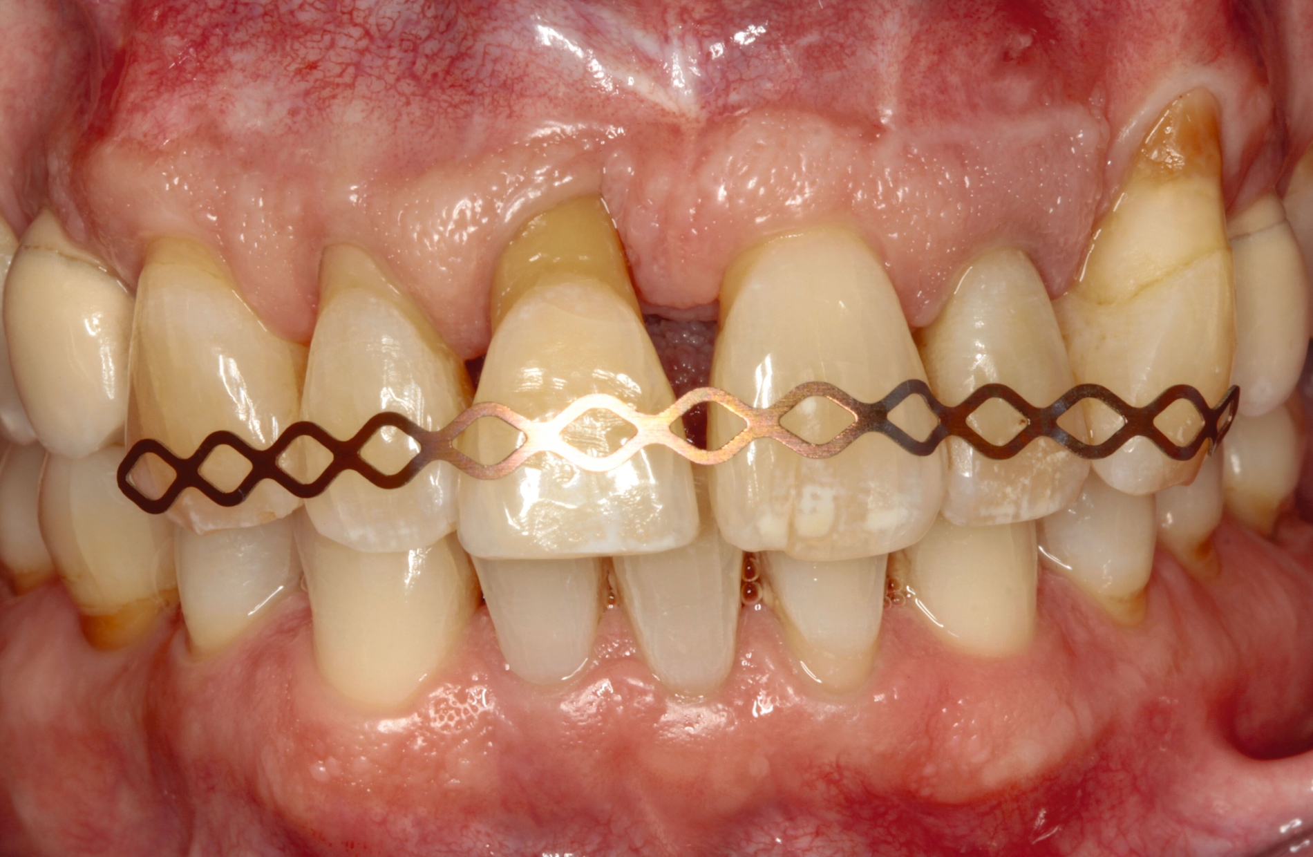
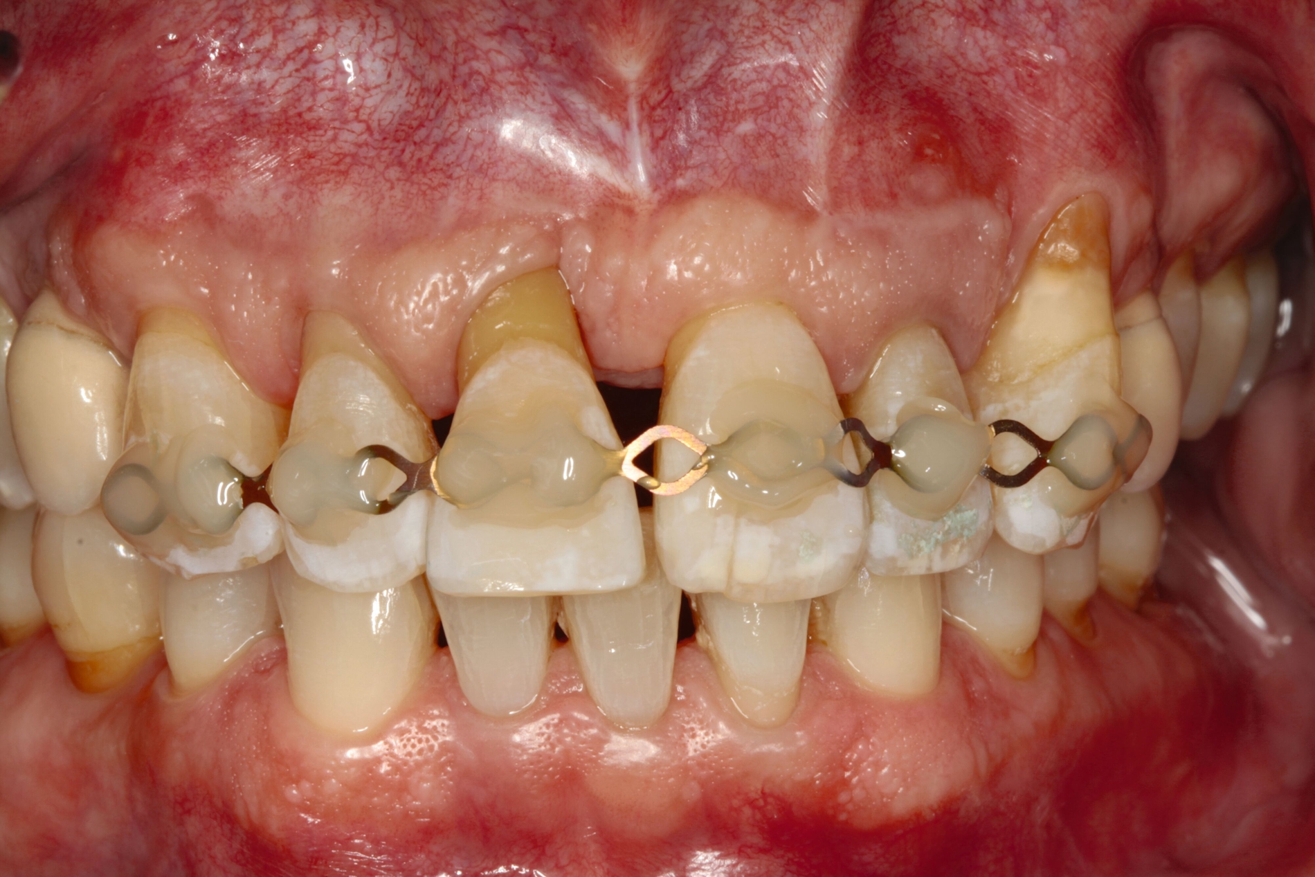
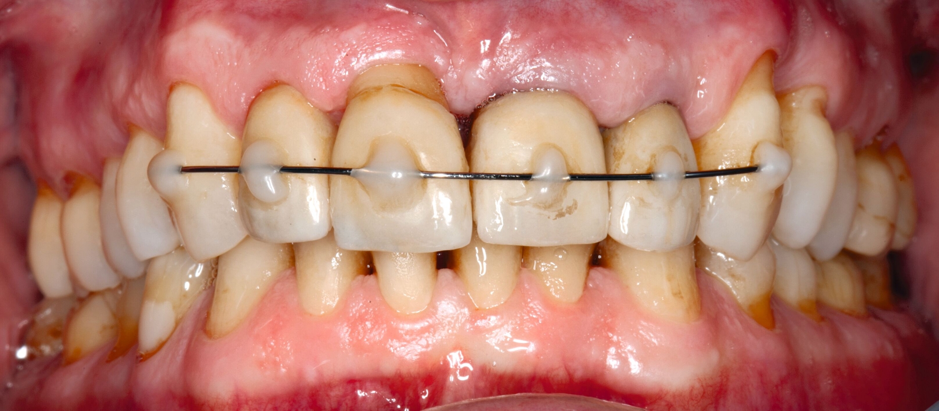
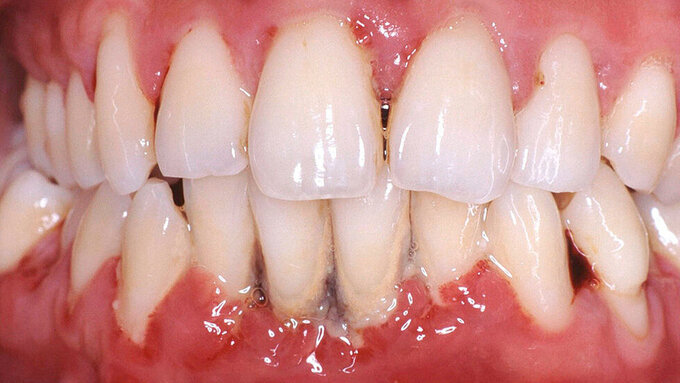
Schienung bei okklusaler Dysfunktion
Okklusale Dysfunktionen können zu einer traumatischen Okklusion führen. Darunter werden okklusale Kräfte verstanden, die zu einer Verletzung der Zähne oder deren Parodont führen [Jepsen et al., 2018]. Klinische Anzeichen können eine erhöhte Zahnmobilität, Zahnwanderungen, Fremitus (Vibration beim Abtasten der Zähne in Okklusion), okklusale Diskrepanzen, Schlifffacetten, Zahnfrakturen, thermische Empfindlichkeit, Beschwerden oder Schmerzen beim Kauen sein. Typische röntgenologische Befunde sind ein erweiterter Parodontalspalt, Wurzelresorptionen oder auch Hyperzementosen [Fan und Caton, 2018]. Während unter dem primären okklusalen Trauma das Einwirken zu großer Kräfte auf Zähne mit gesundem Parodont verstanden wird, beschreibt das sekundäre okklusale Trauma zu hohe Kräfte im reduzierten Parodont [Armitage, 1999; Ishikawa et al., 1999; Fan und Caton, 2018; Jepsen et al., 2018].
Möglichkeiten zur Therapie des okklusalen Traumas sind das selektive Einschleifen okklusaler Frühkontakte, die Schienung der betroffenen Zähne oder gegebenenfalls auch kieferorthopädische Bewegungen der Zähne sowie eine Kombination der genannten Therapieformen [Fan und Caton, 2018; Dommisch et al., 2022]. Ein Beispiel für eine Schienung bei Vorliegen einer okklusalen Dysfunktion ist in Abbildung 2 dargestellt.
Schienung mobiler Zähne im Rahmen der regenerativen Parodontalchirurgie
Regenerative parodontalchirurgische Eingriffe werden bei infraalveolären Defekten und bei Furkationsbefall Grad ≥ II in bestimmten Lokalisationen durchgeführt und haben das Ziel, die Ausbildung von neuem parodontalem Gewebe zu induzieren [Cortellini et al., 2001]. Diese Eingriffe sind durchaus techniksensibel und verschiedene Faktoren haben Einfluss auf das Therapieergebnis [Herrera et al., 2022]. Neben patientenbezogenen Faktoren, beispielsweise Patientenadhärenz oder Tabakkonsum, zählen das chirurgische Lappendesign und die Art des Wundverschlusses zu diesen Faktoren [Nibali et al., 2020; Sanz et al., 2020]. Vor dem Hintergrund der Bedeutung der Wundstabilität wird ebenfalls die Schienung mobiler Zähne als möglicher Einflussfaktor diskutiert [Kao et al., 2015].
Der Einfluss dentaler Schienungen von mobilen Zähnen auf die Ergebnisse regenerativer parodontalchirurgischer Eingriffe ist bis dato nicht vollumfassend untersucht worden. Die wenigen existierenden Studien zeigen heterogene Ergebnisse [Kao et al., 2015]. Während geschiente Zähne in einer klinischen Studie, in der Knochenersatzmaterial zur Anwendung kam, mehr Attachmentgewinne, größere Sondierungstiefenreduktionen und geringere Lockerungsgrade im Vergleich zu nicht geschienten Zähnen zeigten, konnten andere Untersuchungen keinen Einfluss von verschiedenen Mobilitätsgraden (ohne dass eine Schienung durchgeführt wurde) auf die Ergebnisse regenerativ behandelter Zähne zeigen [Schulz et al., 2000; Trejo und Weltman, 2004].
Entsprechend der hier aufgeführten schwachen wissenschaftlichen Evidenz lässt sich schlussfolgern, dass Zähne mit einem Lockerungsgrad II oder höher möglicherweise von einer Schienung vor regenerativen parodontalchirurgischen Eingriffen profitieren können [Cortellini et al., 2001]. Diskutiert wird in diesem Zusammenhang die Förderung der Stabilität des Blutkoagulums durch die Reduktion der Mobilität der Zähne in der Heilungszeit. Nicht zuletzt kann durch eine Schienung das aufgrund der Mobilität mögliche sekundäre okklusale Trauma reduziert beziehungsweise eliminiert werden. In diese Schienungen wird in der Regel jeweils ein benachbarter Zahn ohne erhöhte Mobilität einbezogen. Zwei verschiedene Schienungen zur Reduktion der Mobilität im Rahmen der regenerativen Parodontalchirurgie sind in den Abbildungen 3 und 4 dargestellt.
Schienung mobiler Inzisivi mit reduziertem Parodont
Unterkieferfrontzähne sind mit Abstand die am häufigsten von einer Zahnlockerung betroffenen Zähne, gefolgt von Oberkieferfrontzähnen [Gupta et al., 2023]. Zahnlockerungen von Inzisivi korrelieren mit dem Attachmentlevel und werden vorwiegend bei Patienten mit Parodontitis im Stadium IV festgestellt [Khoo und Watts, 1988; Deng et al., 2022].
Eine erhöhte Mobilität von parodontal betroffenen Zähnen kann auch nach der Durchführung einer systematischen Parodontitistherapie bestehen bleiben, wenn infolge der parodontalen Destruktion nur ein stark reduziertes Parodont verbleibt. Im reduzierten Parodont führen die gleichen Kräfte aufgrund geänderter Hebelverhältnisse zu einer stärkeren Auslenkung der Zähne (Abbildung 1). Die Schienung gelockerter Frontzähne mit reduziertem Parodont verbessert die Phonetik und die Fähigkeit, abbeißen zu können. Schienungen können eine langzeitprovisorische Lösung für mobile Zähne mit reduziertem Parodont sein.
Arten von Schienungen
Schienungen, die der Reduzierung der Mobilität dienen, sind in der Regel nicht herausnehmbar, sondern werden unter Anwendung der Adhäsivtechnik direkt am Zahn verankert. Für die Schienung können externe und interne Schienungen aus Komposit allein oder in Verbindung mit Draht, Glasfaser und Metallgittern zur Anwendung kommen.
Dem gegenüber stehen herausnehmbare Schienen, die beispielsweise zur Therapie des Bruxismus oder auch zur kieferorthopädischen Retention zur Anwendung kommen können.
Dentale Schienungen können im Hinblick auf die Schienungsdauer, die Rigidität der Schienung und die Schienungsmaterialien unterschieden werden. Darüber hinaus können Schienungen bezüglich ihrer Schienungsdauer in semipermanente Schienungen und permanente Schienungen unterschieden werden.
Semipermanente Schienungen
Für vorübergehende Schienungen eignen sich Draht-Komposit- oder auch Glasfaser-Komposit-Schienungen. Diese verblocken die Approximalräume nicht und ermöglichen eine unkomplizierte, restfreie Entfernung des Kompositmaterials zum Zeitpunkt der Schienenentfernung. Bei geplanten kieferorthopädischen Behandlungen im Anschluss an einen regenerativen parodontalchirurgischen Eingriff kann auch erwogen werden, die Brackets vor dem Eingriff anzubringen und die Zähne während des operativen Eingriffs und über die Heilungszeit mit einem starren kieferorthopädischen Bogen zu schienen. Draht-Komposit-Schienungen können sowohl mit kieferorthopädischen Drähten als auch unter der Verwendung von Titan-Trauma-Splints (TTS, Medartis, Basel, Schweiz) durchgeführt werden. Wichtig ist das Vorbiegen der Drahtmaterialien vor der Anbringung, um einen spannungsfreien Sitz der Schienungen zu gewährleisten und die Ausübung kieferorthopädischer Kräfte der Drähte auf die Zähne zu vermeiden. Ein großer Vorteil von Draht-Komposit-Schienungen ist der Erhalt der physiologischen Eigenbeweglichkeit der Zähne. Draht-Komposit-Schienungen lassen sich aufgrund von Platzmangel nicht in allen Fällen auf der oralen Seite der Zähne anbringen und können zu ästhetischen Beeinträchtigungen führen.
Permanente Schienungen
Es gibt viele Möglichkeiten, permanente Schienungen von Zähnen mit Komposit alleine oder in Kombination mit Glasfasern durchzuführen. Die Verblockung der Approximalräume benachbarter karies- und füllungsfreier Zähne mit Komposit stellt eine ästhetisch akzeptable Schienung dar und kann so vorgenommen werden, dass die parodontale Reinigungsfähigkeit erhalten bleibt (Abbildung 5). Als Nachteil dieser rigiden Schienungsform sind mögliche Schienungsfrakturen zu nennen, die insbesondere bei höheren Mobilitätsgraden vorkommen. Glasfaser-Komposit-Schienungen weisen ebenfalls eine hohe Rigidität auf. Sie können zahnhartsubstanzschonend an den oralen Flächen der Zähne angebracht werden. Alternativ kann bei gut ausgeformten Zahnbögen im Frontzahngebiet eine inzisale Schienung vorgenommen werden. Dafür ist zumeist eine Präparation erforderlich, um Platz für das Schienungsmaterial zu schaffen. Bei approximalen Füllungen oder bei Karies an angrenzenden Flächen benachbarter Zähne können auch zwei Approximalfüllungen miteinander verbunden werden, um eine Schienung durchzuführen.
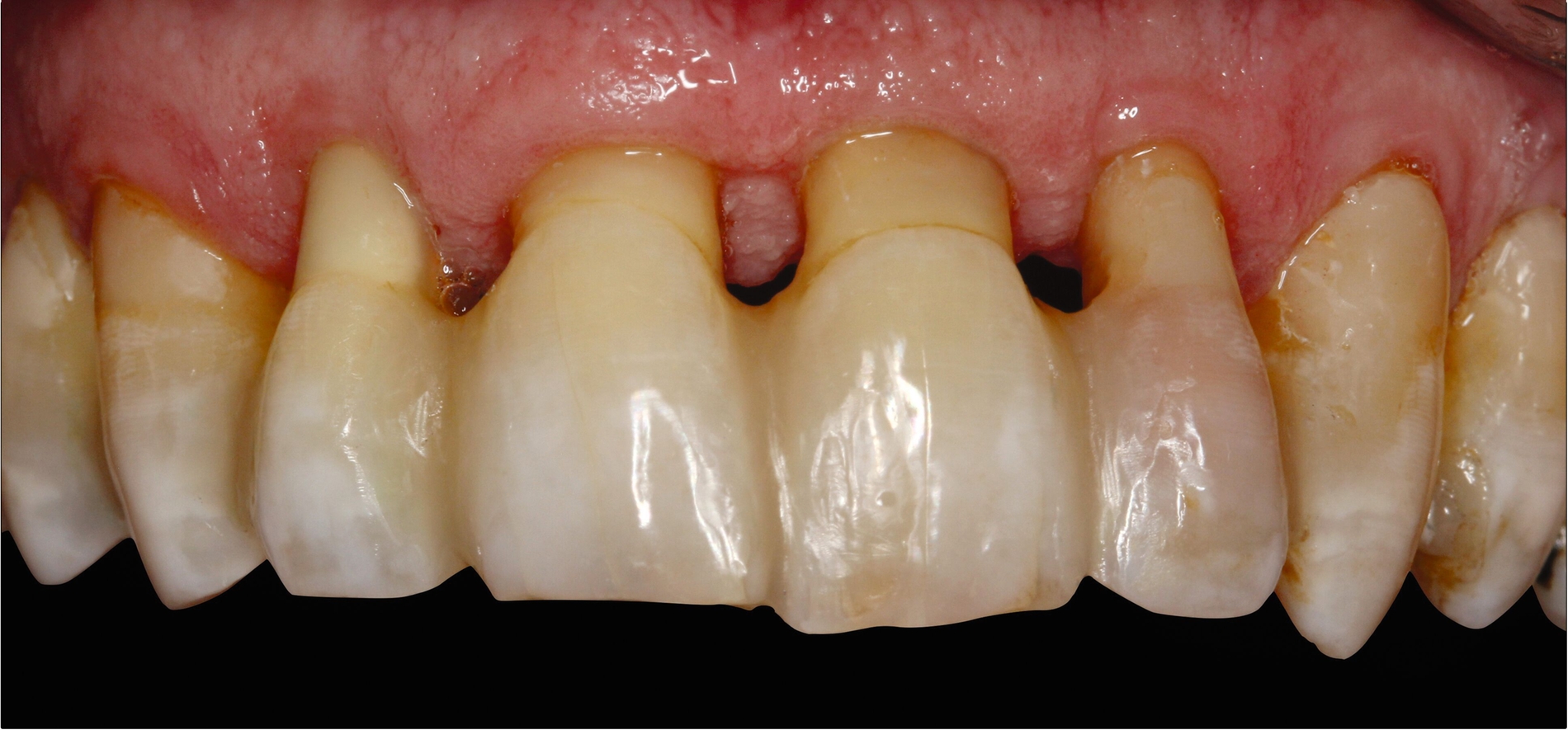
Eine weitere Möglichkeit der permanenten Schienung besteht in der vertikalen Verlängerung des Kontaktpunktes von Zähnen durch hochwertiges Kompositmaterial im Rahmen von Frontzahnverbreiterungen zur Reduktion der „schwarzen Dreiecke“ (Abbildung 6). Diese Schienungsform erhält die physiologische Eigenbeweglichkeit der Zähne und die parodontale Reinigungsfähigkeit.
Fixierung mobiler Zähne während des Schienungsprozesses
Während der Anbringung von Schienungen kann die erhöhte Mobilität der Zähne den Schwierigkeitsgrad der Behandlung erhöhen. Es gibt verschiedene Möglichkeiten, die Zähne in der gewünschten Position zu fixieren und somit die Zähne in der richtigen Position schienen zu können. Eine Möglichkeit der Fixierung besteht im temporären Anbringen von Komposit ohne adhäsive Verankerung auf der gegenüberliegenden Seite der Zähne, an der die Schienung angebracht werden soll [Kumbuloglu et al., 2011]. Nach Anbringen der Schienung kann das nicht-adhäsiv verankerte Komposit restlos entfernt werden. Eine zweite Möglichkeit besteht in der Herstellung von zahntechnisch hergestellten, abnehmbaren Widerlagern aus einem Kompositmaterial für die zu schienenden Zähne, die zuvor in der gewünschten Position gescannt wurden. Optische Abformungen weisen im Gegensatz zu klassischen Abformungstechniken mit Abformmassen in der Regel kein Risiko für eine Stellungsänderung der mobilen Zähne auf. Diese Widerlager halten die Zähne während der Anbringung der Schienung in der gewünschten Position [Liu et al., 2023].
Ergebnisse zur klinischen Fragestellung
Sonnenschein und Kollegen haben retrospektiv die parodontale Stabilität sowie die Zahnverlustrate geschienter Unterkieferzähne wie auch die Funktionszeit der Schienungen selbst bei 39 Patientinnen und Patienten über einen Zeitraum von drei bis zu 15 Jahren untersucht [Sonnenschein et al., 2017]. Die Schienungen wurden an Zähnen mit den Lockerungsgraden I–III und einem radiologisch festgestellten Knochenverlust von mehr als 50 Prozent entweder mit Komposit allein oder als Komposit-Glasfaser-Schienung durchgeführt. Alle Patienten erhielten eine systematische Parodontitistherapie und wurden in ein UPT-Programm integriert. Der mittlere Attachmentverlust der geschienten Zähne betrug zum Zeitpunkt der Ausgangsuntersuchung 5,6 ± 1,7 mm und war nach drei Jahren auf 5,1 ± 1,7 mm gesunken und blieb über den gesamten weiteren Beobachtungszeitraum stabil. Innerhalb der ersten drei Jahre ist keiner der geschienten Zähne verloren gegangen. Ein Zahn wurde nach sieben Jahren, ein weiterer Zahn nach zwölf Jahren entfernt. In beiden Fällen waren endodontische Komplikationen (Wurzelfraktur sowie persistierende apikale Entzündung) die Extraktionsgründe. Nach drei Jahren waren 74,4 Prozent, nach zehn Jahren 67,3 Prozent der Schienung noch in Funktion.
In einer aktuellen systematischen Übersichtsarbeit und Metaanalyse haben Dommisch und Kollegen den Einfluss von Schienungen plus Einschleiftherapie bei Patienten mit Parodontitis im Stadium IV auf Zähne mit okklusaler Dysfunktion im Hinblick auf die Überlebensrate von Zähnen, auf klinische parodontale Parameter sowie auf den Patientenkomfort untersucht [Dommisch et al., 2022]. Die Zahnverlustraten bei 72 Patienten mit 311 geschienten Zähnen unterschieden sich nach zwei Jahren nicht wesentlich zwischen geschienten (gewichtete mittlere Inzidenz: 8,4 Prozent) und nicht geschienten Zähnen (gewichtete mittlere Inzidenz 10,1 Prozent). Statistische Vergleichsuntersuchungen zwischen beiden Gruppen waren aufgrund der nicht vergleichbaren Daten (Attachmentverlust, Knochenverlust und Lockerungsgrade) in der Ausgangssituation nicht möglich. Aufgrund der geringen verfügbaren Evidenz (zwei Studien) konnte keine abschließende Bewertung bezüglich des Effekts der Schienung auf parodontale Parameter und auf Zahnverlust vorgenommen werden. Schienungen können jedoch zur Verbesserung der Kaufunktion und somit zum Patientenkomfort beitragen.
Literaturliste
Armitage, G. C. (1999). „Development of a classification system for periodontal diseases and conditions.“ Ann Periodontol 4(1): 1-6.
Cortellini, P., M. S. Tonetti, N. P. Lang, J. E. Suvan, G. Zucchelli, T. Vangsted, M. Silvestri, R. Rossi, P. McClain, A. Fonzar, D. Dubravec and P. Adriaens (2001). „The simplified papilla preservation flap in the regenerative treatment of deep intrabony defects: Clinical outcomes and postoperative morbidity.“ Journal of Periodontology 72(12): 1702-1712.
Deng, K., S. Uy, C. Fok, M. R. Fok, G. Pelekos and M. S. Tonetti (2022). „Assessment of masticatory function in the differential diagnosis of Stage IV periodontitis: A pilot diagnostic accuracy study.“ J Periodontol 93(6): 803-813.
Dommisch, H., C. Walter, J. C. Difloe-Geisert, A. Gintaute, S. Jepsen and N. U. Zitzmann (2022). „Efficacy of tooth splinting and occlusal adjustment in patients with periodontitis exhibiting masticatory dysfunction: A systematic review.“ J Clin Periodontol 49 Suppl 24: 149-166.
Fan, J. and J. G. Caton (2018). „Occlusal trauma and excessive occlusal forces: Narrative review, case definitions, and diagnostic considerations.“ J Clin Periodontol 45 Suppl 20: S199-S206.
Gupta, S., S. Mukhiya, A. Kafle, S. Ghimire and U. K. Acharya (2023). „Tooth Mobility among Patients visiting a Tertiary Care Centre: A Descriptive Cross-sectional Study.“ JNMA J Nepal Med Assoc 61(257): 30-35.
Herrera, D., M. Sanz, M. Kebschull, S. Jepsen, A. Sculean, T. Berglundh, P. N. Papapanou, I. Chapple, M. S. Tonetti, E. W. Participants and M. Consultant (2022). „Treatment of stage IV periodontitis: The EFP S3 level clinical practice guideline.“ Journal of Clinical Periodontology 49(S24): 4-71.
Ishikawa, I., M. K. McGuire, B. L. Mealey, T. M. Blieden, G. L. Douglass, M. Hallmon, M. Nevins, G. P. Pini Prato, A. M. Polson, R. G. Schallhorn and J. Wennström (1999). „Consensus Report: Occlusal Trauma.“ Annals of Periodontology 4(1): 108-108.
Jepsen, S., J. G. Caton, J. M. Albandar, N. F. Bissada, P. Bouchard, P. Cortellini, K. Demirel, M. de Sanctis, C. Ercoli, J. Fan, N. C. Geurs, F. J. Hughes, L. Jin, A. Kantarci, E. Lalla, P. N. Madianos, D. Matthews, M. K. McGuire, M. P. Mills, P. M. Preshaw, M. A. Reynolds, A. Sculean, C. Susin, N. X. West and K. Yamazaki (2018). „Periodontal manifestations of systemic diseases and developmental and acquired conditions: Consensus report of workgroup 3 of the 2017 World Workshop on the Classification of Periodontal and Peri-Implant Diseases and Conditions.“ J Clin Periodontol 45 Suppl 20: S219-S229.
Kao, R. T., S. Nares and M. A. Reynolds (2015). „Periodontal regeneration - intrabony defects: a systematic review from the AAP Regeneration Workshop.“ J Periodontol 86(2 Suppl): S77-104.
Kathariya, R., A. Devanoorkar, R. Golani, N. Shetty, V. Vallakatla and M. Y. Bhat (2016). „To Splint or Not to Splint: The Current Status of Periodontal Splinting.“ J Int Acad Periodontol 18(2): 45-56.
Khoo, K. K. and T. L. Watts (1988). „Upper anterior tooth mobility. Selected associations in untreated periodontitis.“ J Periodontol 59(4): 231-237.
Kumbuloglu, O., A. Saracoglu and M. Ozcan (2011). „Pilot study of unidirectional E-glass fibre-reinforced composite resin splints: up to 4.5-year clinical follow-up.“ J Dent 39(12): 871-877.
Liu, Y., S. Bai, S. Zhong, H. Liu, M. Tian, L. Niu and M. Fang (2023). „Digital workflow for periodontal splinting with a guided device.“ J Esthet Restor Dent 35(4): 621-624.
Mühlemann, H. (1960). „Ten years of tooth-mobility-measurements.“ J Periodontol 31(110-112.).
Nibali, L., V. P. Koidou, M. Nieri, L. Barbato, U. Pagliaro and F. Cairo (2020). „Regenerative surgery versus access flap for the treatment of intra-bony periodontal defects: A systematic review and meta-analysis.“ J Clin Periodontol 47 Suppl 22: 320-351.
Nolte, D. (2022) „Therapie des dentalen Traumas bleibender Zähne.“ AWMF-Registriernummer: 083-004.
Sanz, M., D. Herrera, M. Kebschull, I. Chapple, S. Jepsen, T. Beglundh, A. Sculean, M. S. Tonetti, E. F. P. W. Participants and C. Methodological (2020). „Treatment of stage I-III periodontitis-The EFP S3 level clinical practice guideline.“ J Clin Periodontol 47 Suppl 22(Suppl 22): 4-60.
Schulz, A., R. D. Hilgers and W. Niedermeier (2000). „The effect of splinting of teeth in combination with reconstructive periodontal surgery in humans.“ Clin Oral Investig 4(2): 98-105.
Smith, B. and D. Sechell (1986). Compation to Dental Studies Vol.3: Clinical Dentistry. R. AHR. Oxford, Blackwell Scientific Publications: 519-529.
Sonnenschein, S. K., C. Betzler, M. A. Rutters, J. Krisam, D. Saure and T. S. Kim (2017). „Long-term stability of splinted anterior mandibular teeth during supportive periodontal therapy.“ Acta Odontol Scand 75(7): 475-482.
Trejo, P. M. und R. L. Weltman (2004). „Favorable periodontal regenerative outcomes from teeth with presurgical mobility: a retrospective study.“ J Periodontol 75(11): 1532-1538.
Watkins, S. J. and K. W. Hemmings (2000). „Periodontal splinting in general dental practice.“ Dent Update 27(6): 278-285.
Zitzmann, N. und Dommisch H. (2022). „Parodontitistherapie: Maßnahmen bei okklusalem Trauma“. ZMK 11/2022 (38), 584-593.























