Systemische und andere parodontale Zustände
Zahlreiche systemische Erkrankungen können den Beginn und die Progression einer Parodontitis beeinflussen oder eine negative Auswirkung auf die parodontalen Strukturen haben.
Die neue Klassifikation gingivaler Rezessionen, basierend auf dem interdentalen Attachmentverlust, kombiniert klinische Parameter einschließlich des gingivalen Phänotyps und Charakteristika der exponierten Wurzeloberfläche.
Okklusale Kräfte können Zähne und den parodontalen Zahnhalteapparat beschädigen.
Entwicklungsbedingte oder erworbene mit Zähnen oder Zahnersatz assoziierte Zustände können für Erkrankungen des Parodonts prädisponieren.
Parodontale Abszesse und Endo-Paro-Läsionen können ebenfalls das Parodontium schädigen.
Einleitung
Menschliche Parodontalerkrankungen umfassen ein breites Spektrum von Zuständen, zusätzlich zu den gingivalen Erkrankungen und der Parodontiti
„Parodontale Erkrankungen umfassen ein breites Spektrum von Zuständen, zusätzlich zu den gingivalen Erkrankungen und der Parodontitis.“
Einige davon sind mit dem Plaque-Biofilm verbunden, während andere unabhängig von der Biofilmakkumulation entstehen und entweder durch den Biofilm modifiziert werden können oder durch diesen unbeeinflusst sind. Es war Aufgabe der Arbeitsgruppe 3 des 2017 World Workshop, die Klassifikation von 1999 hinsichtlich der parodontalen Manifestationen systemischer Erkrankungen sowie der entwicklungsbedingten und erworbenen Zustände zu überprüfen, zu aktualisieren sowie Falldefinitionen und diagnostische Überlegungen zu entwickeln.
Parodontale Manifestationen systemischer Erkrankungen und Zustände
Es gibt seltene systemische Erkrankungen, wie zum Beispiel das Papillon-Lefèvre-Syndrom, die zur frühzeitigen Manifestation einer schweren Parodontitis führ
„Die Bedeutung des gingivalen Phänotyps ist nun berücksichtigt.“
Sie haben durch Beeinflussung der parodontalen Entzündung einen großen Einfluss auf den Verlust von parodontalen Geweben. Solche Bedingungen werden unter der Überschrift „Parodontitis als Manifestation einer systemischen Erkrankung“ zusammengefasst und die Klassifizierung basiert auf der primären systemischen Erkrankung unter Verwendung von ICD-10-Codes.
Es gibt häufigere systemische Erkrankungen – wie zum Beispiel Diabetes mellitus –, die wichtige Modifikatoren des Verlaufs der Parodontitis sind. Allerdings sollte die Diabetes-assoziierte Parodontitis nicht als eigenständige Diagnose angesehen werden – Diabetes ist jetzt in die neue klinische Klassifizierung der Parodontitis als Deskriptor in den Grading-Prozess einbezogen. In ähnlicher Weise wird das Rauchen – heute als Nikotinabhängigkeit und als chronisch-rezidivierende Erkrankung mit erheblichen negativen Auswirkungen auf das Parodontium angesehen – jetzt auch als Deskriptor in die Grad-Beurteilung einbezogen.
Andere systemische Erkrankungen, wie beispielsweise neoplastische Erkrankungen, können die parodontalen Gewebe unabhängig von Biofilm-bedingten Entzündungen beeinträchtigen. Sie werden ebenfalls basierend auf der primären systemischen Erkrankung (unter Verwendung von ICD-10-Codes) klassifiziert und sind nun zusammengefasst gruppiert als „systemische Erkrankungen oder Zustände mit Einfluss auf die parodontalen Stützgewebe“.
Mukogingivale Zustände
Die Bedeutung des Gingiva-Phänotyps – einschließlich der Gingivadicke und -breite – wird jetzt anerkannt und eine neue Klassifikation für gingivale Rezessionen ist eingeführt worden. Dabei werden klinische Parameter wie der gingivale Phänotyp, der interproximale Attachmentverlust und die Charakteristika der freiliegenden Wurzeloberfläche kombiniert.
Mukogingivale Zustände werden nach gingivalem Phänotyp, interproximalem Attachmentverlust und den Charakteristika der exponierten Wurzeloberfläche klassifiziert.
Okklusales Trauma und traumatische okklusale Kräfte
Der Terminus „traumatische okklusale Kraft“ ersetzt den Begriff „exzessive okklusale Kraft“ aus der früheren Klassifikation von 1999. Darunter wird jede okklusale Kraft verstanden, die zu einer Verletzung an Zähnen, beispielsweise als übermäßige Abnutzung oder Fraktur, und/oder am parodontalen Halteapparat führt.
„Okklusales Trauma“ ist ein histologischer Begriff zur Beschreibung der Verletzung des parodontalen Attachmentapparats.
Das Vorhandensein von traumatischen okklusalen Kräften und okklusalem Trauma kann durch einen oder mehrere der folgenden Punkte angezeigt sein:
(a) Fremitus (adaptive Zahnbeweglichkeit),
(b) fortschreitende Zahnbeweglichkeit,
(c) thermische Empfindlichkeit,
(d) übermäßige okklusale Abnutzung,
(e) Zahnwanderung,
(f) Beschwerden/Schmerzen beim Kauen,
(g) Zahnfrakturen,
(h) röntgenologisch erweiterter Parodontalspalt,
(i) Wurzelresorption,
(j) Hyperzementose.
Anzumerken ist, dass einige der Anzeichen und Symptome traumatischer okklusaler Kräfte und des okklusalen Traumas auch mit anderen Zuständen einhergehen können. Deshalb muss eine angemessene Differentialdiagnostik durchgeführt werden, um andere ätiologische Faktoren auszuschließen.
„Traumatische okklusale Kraft“ tritt anstelle des bisherigen Begriffs „exzessive okklusale Kraft“.
Traumatische okklusale Kräfte führen zu adaptiver Mobilität bei Zähnen mit normalem Halt (primäres okklusales Trauma) und zu fortschreitender Mobilität bei Zähnen mit reduziertem Halt (sekundäres okklusales Trauma), was in der Regel eine Schienung erfordert.
Es gibt keine Evidenz aus Humanstudien, dass traumatische okklusale Kräfte die Progression der Parodontitis beschleunigen oder dass sie nicht-kariöse zervikale Läsionen oder gingivale Rezessionen verursachen können.
Zahnersatz- und zahnbezogene Faktoren
Dieser Abschnitt wird in der neuen Klassifikation erweitert. Er umfasst alle Faktoren, die Biofilm-bedingte gingivale Erkrankungen / Parodontitis modifizieren oder dafür prädisponieren.
- Der Begriff „biologische Breite“ wird durch den Begriff „suprakrestales Gewebeattachment“, bestehend aus Saumepithel und suprakrestalem Bindegewebe, ersetzt.
„Parodontale Abszesse können eine rasche Gewebedestruktion verursachen und die Zahnprognose beeinträchtigen.“
- Eine Verletzung des suprakrestalen Bindegewebes durch die Restaurationsränder ist mit einer Entzündung und dem Verlust von parodontalem Stützgewebe verbunden.
- Das Design, die Herstellung, die Eingliederung und die Materialien, die für zahngetragene Restaurationen und Maßnahmen für festen Zahnersatz verwendet werden, können mit Plaqueanlagerung, gingivaler Rezession und Verlust von parodontalem Stützgewebe verbunden sein.
- Anatomische Faktoren des Zahnes (zum Beispiel zervikale Schmelzprojektionen, Schmelzperlen, Entwicklungsrillen), enger Wurzelabstand, Anomalien und Frakturen sowie die Beziehungen der Zähne im Zahnbogen stehen im Zusammenhang mit gingivaler Entzündung, verursacht durch den dentalen Plaque-Biofilm und den Verlust von parodontaler Stützgewebe.
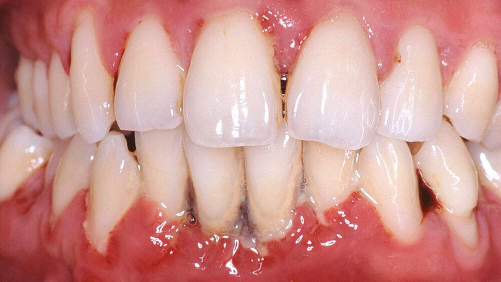
Parodontale Abszesse
Falldefinition: Ein parodontaler Abszess ist eine lokalisierte Ansammlung von Pus innerhalb der gingivalen Wand der parodontalen Tasche / des Sulkus, was zu einem erheblichen Gewebeabbau führt. Die primär erkennbaren Anzeichen oder Symptome, die mit einem Parodontalabszess einhergehen, können ovoide (eiförmige) Erhebungen in der Gingiva entlang der lateralen Seite der Wurzel und Blutungen bei der Sondierung sein. Andere Anzeichen und Symptome sind Schmerzen, Eiteraustritt bei Sondierung, tiefe parodontale Taschen und erhöhte Zahnbeweglichkeit.
„Endo-parodontale Läsionen treten in akuter und chronischer Form auf.“
Ein parodontaler Abszess kann sich in einer bereits vorhandenen parodontalen Tasche entwickeln – beispielsweise bei Patienten mit unbehandelter Parodontitis, während unterstützender Therapie, nach Scaling und Wurzelglättung oder nach systemischer antimikrobieller Therapie. Ein parodontaler Abszess, der an einer Stelle auftritt, die zuvor parodontal gesund war, ist allgemein mit einer Vorgeschichte von Impaktion oder schädlichen Gewohnheiten verbunden.
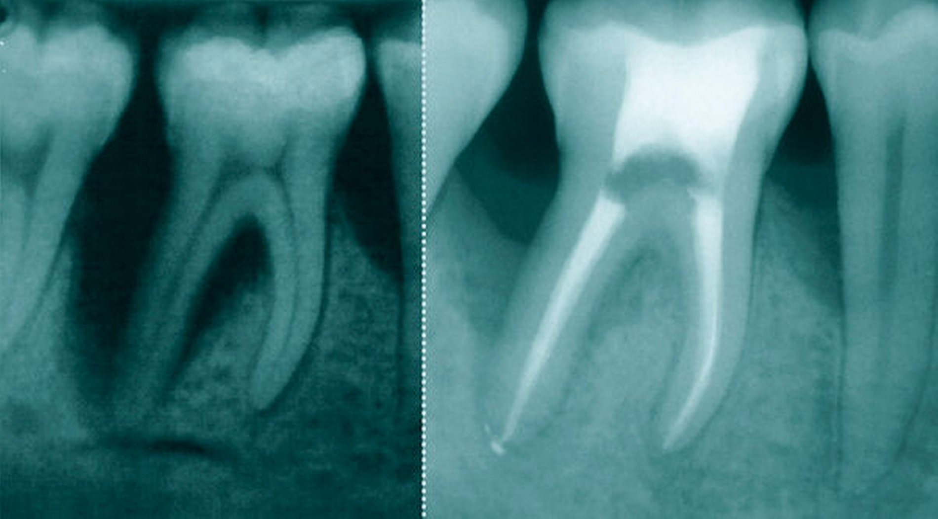
Endo-parodontale Läsionen
Endo-parodontale Läsionen sollten nach Anzeichen und Symptomen klassifiziert werden, die einen direkten Einfluss auf ihre Prognose und Behandlung haben – zum Beispiel die An- oder Abwesenheit von Frakturen und Perforationen und die An- oder Abwesenheit einer Parodontitis.
Falldefinition: Eine endo-parodontale Läsion ist eine pathologische Kommunikation zwischen den Pulpa- und Parodontalgeweben an einem Zahn, die in akuter oder chronischer Form auftreten kann. Die primären Anzeichen, die mit einer solchen Läsion verbunden sind, sind tiefe parodontale Taschen, die bis zur Wurzelspitze reichen und/oder eine negative/veränderte Reaktion auf Vitalitätstests der Pulpa.
Andere Anzeichen/Symptome können sein:
(a) röntgenologische Hinweise für Knochenverlust im apikalen oder im Furkationsbereich,
(b) spontaner Schmerz oder Schmerz bei Palpation/Perkussion,
(c) eitriges Exsudat/Suppuration,
(d) Zahnbeweglichkeit,
(e) Fistelgang/Fistel,
(f) Kronen- und/oder Gingivafarbveränderungen.
Anzeichen von endo-parodontalen Läsionen im Zusammenhang mit traumatischen und/oder iatrogenen Faktoren können Wurzelperforation, Fraktur/Rissbildung oder externe Wurzelresorption sein. Diese Zustände beeinträchtigen die Prognose des betroffenen Zahnes drastisch.
Autor: Søren Jepsen, Bonn
Herausgegeben von der European Federation of Periodontology (EFP)
Avenida Doctor Arce, 14. Office 38, 28002 Madrid, Spain
Deutsche Übersetzung: Søren Jepsen, Henrik Dommisch
Dieser klinische Leitfaden wird neben der Publikation in der zm auch in den Medien der Deutschen Gesellschaft für Parodontologie e.V. (DG PARO) verbreitet.
Zum Autor: Søren Jepsen ist Professor und Direktor der Klinik für Parodontologie, Zahnerhaltung und Präventive Zahnheilkunde an der Universität Bonn. Er war von 2004 bis 2017 im Vorstand des Exekutiv-Komitees der European Federation of Periodontology (EFP) tätig, zunächst als Vorsitzender der Forschungskommission (2004–2010) und später als Präsident (2015–2016). Er war ebenfalls Co-Chair des Organisations-Komitees für den AAP/EFP World Workshop on the Classification of Periodontal and Peri-implant Diseases and Conditions (2017) und wissenschaftlicher Präsident des EuroPerio9-Kongresses (2018). Prof. Jepsen hat zahlreiche Auszeichnungen erhalten, unterhält eine umfangreiche Vortrags- und Publikationstätigkeit, ist Co-Editor des Journal of Clinical Periodontology und Mitglied der Editorial Boards von Clinical Oral Implants Research, des European Journal of Oral Implantology und des Chinese Journal of Dental Research.
Weiterführende Literatur:
Proceedings of the World Workshop on the Classification of Periodontal and Peri-implant Diseases and Conditions, co-edited by Kenneth S. Kornman and Maurizio S. Tonetti. Journal of Clinical Periodontology, Volume 45, Issue S20, June 2018.
Die Proceedings beinhalten:
- Jepsen S, Caton JG, et al. Periodontal manifestations of systemic diseases and developmental and acquired conditions: Consensus report of workgroup 3 of the 2017 World Workshop on the Classification of Periodontal and Peri-Implant Diseases and Conditions: S219-S229.
- Albandar JM, Susin C, Hughes FJ. Manifestations of systemic diseases and conditions that affect the periodontal attachment apparatus: case definitions and diagnostic considerations: S171-S189.
- Cortellini P, Bissada NF. Mucogingival conditions in the natural dentition: narrative review, case definitions and diagnostic considerations: S190-S198.
- Fan J, Caton JG. Occlusal trauma and excessive occlusal forces :narrative review, casedefinitions, and diagnostic considerations: S199-S206.
- Ercoli C, Caton JG. Dental prostheses and tooth-related factors: S207-S218.
- Herrera D, Retamal-Valdes B, Alonso B, Feres M. Acute periodontal lesions (periodontalabscesses and necrotising periodontal diseases) and endo-periodontal lesions: S78-S94.
- Papapanou PN, Sanz M, et al. Periodontitis: Consensus report of workgroup 2 of the 2017 World Workshop on the Classification of Periodontal and Peri-implant Diseases and Conditions, S162-S170.
- Cairo F, Nieri M, Cincinelli S, Mervelt J, Pagliaro U. The interproximal clinical attachment level to classify gingival recessions and predict root coverage outcomes: an explorative and reliability study. J Clin Periodontol. 2011; 38: 661–666.
- Pini-Prato G, Franceschi D, Cairo F, Nieri M, Rotundo R. Classification of dental surfacedefects in areas of gingival recession. J Periodontol. 2010; 81: 885–890.
Die neue Klassifikation parodontaler und peri-implantärer Erkrankungen und Zustände
Søren Jepsen, Henrik Dommisch
Die European Federation of Periodontology (EFP) hat einen Leitfaden zur Anwendung der neuen Klassifikation parodontaler und peri-implantärer Erkrankungen und Zustände entwickelt. Die zm veröffentlichen den von Prof. Dr. Dr. Søren Jepsen, Bonn, (für die EFP) und Prof. Dr. Henrik Dommisch, Berlin, (für die DG PARO) ins Deutsche übersetzten Leitfaden – analog der Gliederung der EFP – in vier Teilen:
1. <link url="https://www.zm-online.de/artikel/2019/erfolg-durch-personalisierte-intervalle/die-neue-klassifikation-parodontaler-und-peri-implantaerer-erkrankungen-und-zustaende" target="new-window" url-fragment="" seo-title="" follow="follow">Parodontale Gesundheit und Gingivitis (zm 11/2019)
2. <link url="https://www.zm-online.de/artikel/2019/neue-aera-in-der-prophylaxe-beginnt/staging-und-grading-der-parodontitis-am-patientenfall" target="new-window" url-fragment="" seo-title="" follow="follow">Parodontitis (zm 12/2019)
3. Systemische und andere parodontale Zustände (in diesem Heft)
4. Peri-implantäre Gesundheit, peri-implantäre Mukositis und Peri-implantitis (zm 14/2019)
Søren Jepsen, Henrik Dommisch















