Möglichkeiten der intraoralen Reparatur von Verblendkeramikfrakturen
Speziell bei Zirkonoxidrestaurationen der ersten Generation war die Abplatzung von Verblendkeramik die Art von Misserfolg, die schließlich zur Weiterentwicklung hin zu den monolithischen Restaurationen führte. Denn die Misserfolgsraten betrugen über zehn Prozent nach drei Jahren [Beuer et al., 2009; 2010] und 32 Prozent nach zehn Jahren [Sax et al., 2011]. Vor gut einem Jahrzehnt war dies eines der bestimmenden Themen auf den prothetischen Kongressen und viele Forschergruppen weltweit befassten sich damit.
Univ.-Prof. Dr. Florian Beuer, MME
Direktor der Abteilung für Zahnärztliche Prothetik, Funktionslehre und Alterszahnmedizin,
Centrum für Zahn-, Mund- und Kieferheilkunde,
Charité – Universitätsmedizin Berlin
Aßmannshauser Str. 4-6, 14197 Berlin
florian.beuer@charite.de
1994–1999: Studium der Zahnheilkunde an der Ludwig-Maximilians-Universität (LMU) München
2000–2001: Assistent in freier Praxis
2002–2015: Wissenschaftlicher Mitarbeiter, Funktionsoberarzt, Oberarzt und leitender Oberarzt an der Poliklinik für Zahnärztliche Prothetik der LMU (Direktor: Prof. Dr. Dr. h. c. Wolfgang Gernet)
2007–2008: Forschungsaufenthalt am Pacific Dental Institute in Portland/Oregon, USA (Direktor: John A. Sorensen DMD, PhD)
2015: Direktor Zahnärztliche Prothetik, Alterszahnmedizin und Funktionslehre, Charité – Universitätsmedizin Berlin.
2020: Editor in Chief International Journal of Computerized Dentistry (Quintessence Publishing Group)
2021: Präsident Deutsche Gesellschaft für Implantologie (DGI)
2022: Active Fellow American Academy of Prosthodontics
Durch Anpassung der Brandführung während der Verblendung und vor allem durch den Einsatz digital gefertigter Verblendungen aus Lithiumdisilikat verbesserte sich die klinische Bewährung signifikant [Cacaci et al., 2017; Cantner et al., 2019]. Mit dem Erfahrungshorizont von gut anderthalb Jahrzehnten stellt sich aus heutiger Perspektive die Frage, ob eine Abplatzung von Keramik nun einen klinischen Misserfolg darstellt oder nicht.
Die Frage lässt sich nicht pauschal beantworten, denn in manchen Fällen ist die Abplatzung einer relativ kleinen Keramikscherbe durchaus ein absoluter Misserfolg, der zu einer Neuanfertigung der prothetischen Restauration führt (Abbildung 1). In den meisten Situationen wird jedoch die Entfernung der entstandenen scharfen Kante, vor allem bei kleineren Frakturen im Seitenzahnbereich, ausreichend sein. Damit ist die Funktion jedoch nicht komplett wiederhergestellt.
Die Frakturmuster unterscheiden sich bei den verschiedenen Fertigungskonzepten. Während verblendete Gerüste aus Metalllegierungen und aus Zirkonoxid zu großflächigen Abplatzungen neigen, bei denen im Fall der Metallgerüste die Fraktur oft bis zum Gerüst reicht (Fallbeispiel 1), zeigen Restaurationen aus hochfesten Glaskeramiken häufig nur minimale Abfrakturen (Fallbeispiel 2).
In einer randomisierten klinischen Studie hatten mit Lithiumdisilikat verblendete Seitenzahnbrücken signifikant weniger Verblendungsfrakturen als klassisch verblendete Zirkonoxidgerüste, auch die Ausdehnungen der Fraktur unterschieden sich. Lithiumdisilikat zeigte kleine Splitterfrakturen, während die klassische Verblendkeramik großflächiger abplatzte [Grohmann et al., 2015].
Eine keramische Verblendung erhält ihre Eigenschaften durch eine Reihe von Arbeitsschritten, die jedoch immer die Verarbeitung im keramischen Ofen erfordern. Die vollständige Reparatur einer solchen Verblendung wäre deshalb folgerichtig nur außerhalb des Mundes im keramischen Ofen durch erneutes Anbrennen von Verblendkeramik möglich. Auf Zähnen ist dies kaum denkbar, da die Restauration ja fest eingesetzt ist und eine gewaltsame Entfernung eher noch mehr Schäden verursachen würde. Bei Implantaten wäre dies eventuell vor allem bei verschraubten Lösungen einfacher, doch auch hier ist die keramische Restauration meist mit einer Titanklebebasis verbunden, von der sie gelöst werden müsste.
Die Hauptschwierigkeit bei der Reparatur im keramischen Ofen dürfte aber die Wasseraufnahme der Verblendkeramik während ihrer Zeit im Mund sein. Durch die während des Verblendvorgangs entstandenen Einschlüsse und Poren nimmt die Verblendung auch eine gewisse Menge an Wasser durch die Feuchtigkeit in der Mundhöhle auf. Während des Aufheizvorgangs im Ofen, selbst wenn er langsam und vorsichtig durchgeführt wird, kommt es häufig vor, dass durch die Ausdehnung des Wassers bei der Temperaturerhöhung und beim Verdampfen die Verblendung großflächig abgesprengt wird. Selbst wenn es also möglich sein sollte, die verblendete Restauration extraoral neu zu bearbeiten, müsste diese vorab erst aufwendig und langwierig getrocknet werden – kein wirklich praktikabler Ansatz für die Reparatur.
Welche pragmatischen Alternativen gibt es also? Es bietet sich eine direkte Reparatur im Patientenmund mit Komposit an. Wenn man es schafft, zu den Oberflächen der Restauration eine adhäsive Verbindung herzustellen, ist die Vorgehensweise ähnlich dem Schichten einer Kompositfüllung [Proano et al., 2021].
Patientenfall 1
Anhand eines klinischen Beispiels soll die Vorgehensweise bei einer großflächigen Verblendfraktur kurz erklärt werden. Ein 85-jähriger Patient stellte sich mit einer großflächig frakturierten metallkeramischen Restauration am Zahn 37 vor.
Um ein sauberes und trockenes Arbeitsfeld zu haben, das für den erfolgreichen adhäsiven Verbund des Komposits zu den Restaurationsoberflächen entscheidend ist, wurde Kofferdamspanngummi angelegt (Abbildung 2a), die verbleibenden Spalten wurden mit Teflonband abgedichtet (Abbildung 2b). Als Nächstes wurde die Oberfläche mittels Abstrahlen (Cojet Sand 30 µm Körnung, 3M, Landsberg am Lech) gereinigt und angeraut (Abbildung 3). Zur Herstellung des adhäsiven Verbunds zum Metallgerüst und zur verbliebenen Verblendkeramik bietet sich die Verwendung eines Universaladhäsivs an (hier: Monobond Plus, Ivoclar, Schaan, Liechtenstein). Das Universaladhäsiv wurde in einer Schicht aufgetragen und anschließend wurden 60 Sekunden Trocknungszeit abgewartet (Abbildung 4).
Da das Metallgerüst exponiert war und das Füllungskomposit nicht in der Lage ist, das Metall vollständig abzudecken, ohne dass später ein grauer Schleier sichtbar ist, wurde ein Kompositopaker (SR Nexco Opaker, Ivoclar) in zwei Schichten deckend aufgetragen und photopolymerisiert (Abbildung 5). Anschließend wurde die anatomische Kontur des Zahnes mit einem Komposit in Schichttechnik wiederhergestellt (Abbildung 6). Nach Entfernung des Kofferdams wurde die Okklusion kontrolliert.
Auf der reparierten Oberfläche sollten sich vor allem keine Frühkontakte und Kontakte in der dynamischen Okklusion befinden. Schließlich erfolgte die Politur mit einem Kompositpoliersystem (Abbildung 7).
Patientenfall 2
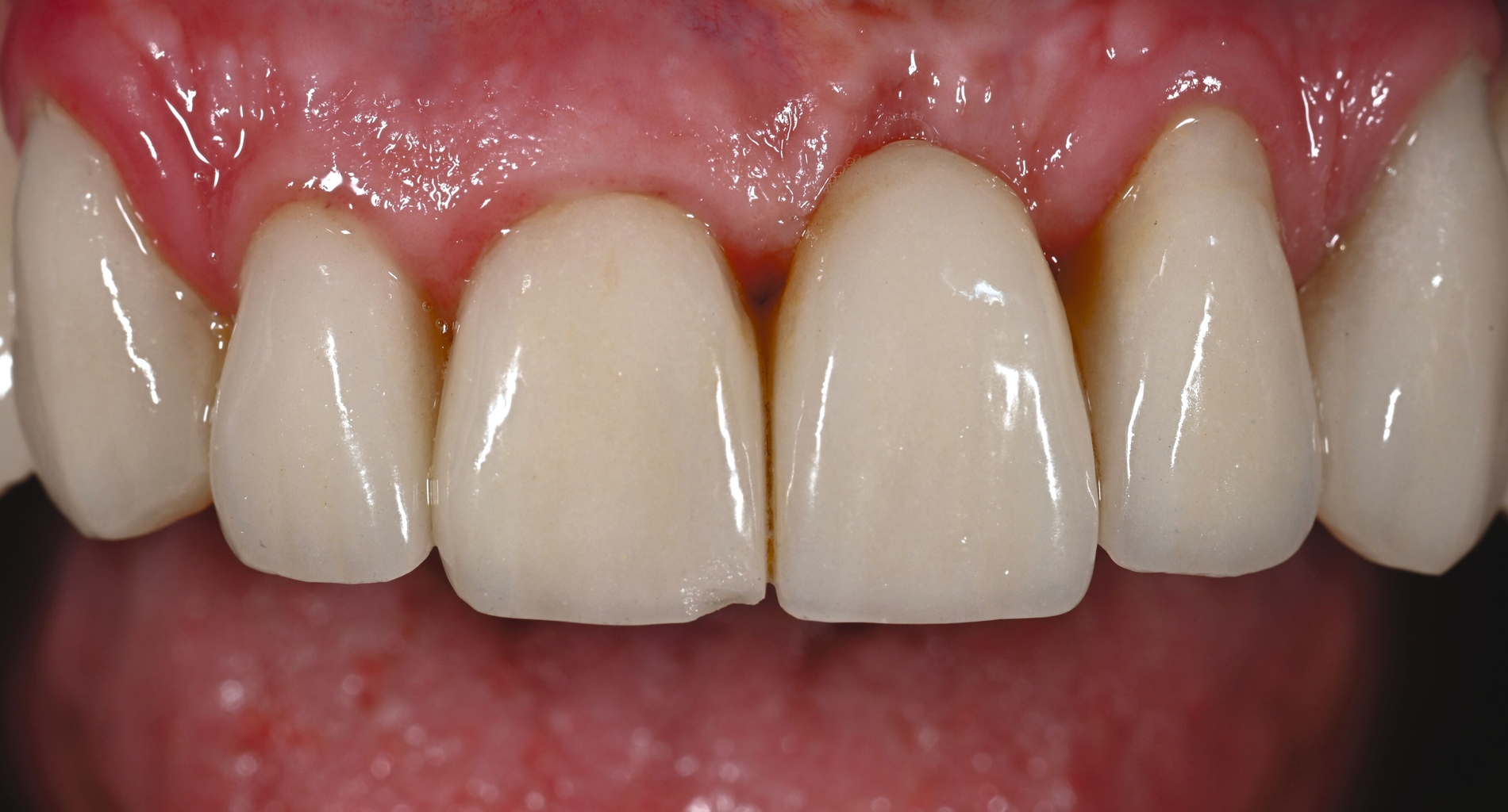
Die 40-jährige Patientin stellte sich zweieinhalb Jahre nach Insertion einer dreigliedrigen Brücke aus Lithiumdisilikat mit Verblendung in den ästhetisch relevanten Bereichen mit einer Fraktur der mesialen Ecke der Krone des zentralen Schneidezahns vor (Abbildung 8).
Eine reine Politur oder eine extraorale Reparatur kamen aus den oben genannten Gründen als Therapie nicht infrage. Daher wurde auch hier der Weg der direkten intraoralen Reparatur mit Komposit gewählt [Proano et al., 2021]. Um ein trockenes und sauberes Arbeitsumfeld zu haben, wurde Kofferdamspanngummi angelegt (Abbildung 9) und die intakte Keramikoberfläche mit Teflonband geschützt (Abbildung 10). Somit konnte sichergestellt werden, dass während des anschließenden Abstrahlens nur die zu bearbeitende Fläche behandelt wurde (Abbildung 11).
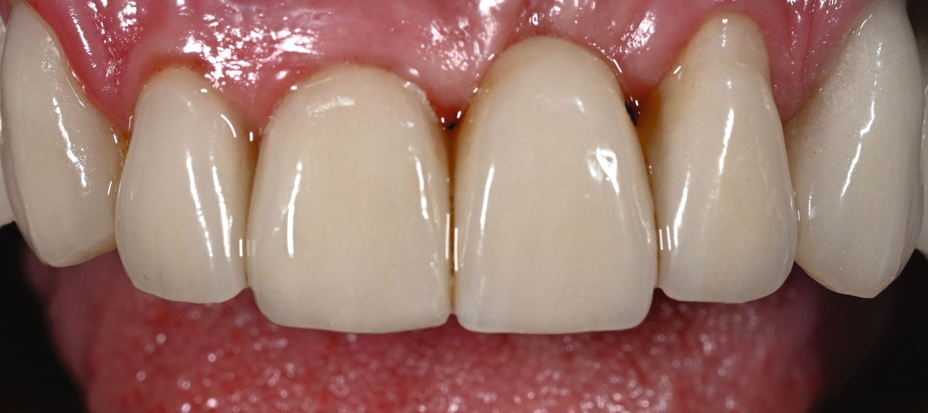
Der Ablauf gleicht dem oben beschriebenen Vorgehen, auch hier muss nun durch den Haftvermittler (Monobond Plus) chemisch an die zu reparierende Oberfläche angekoppelt werden (Abbildung 11). Dann kann allerdings sofort mit Komposit die anatomische Form wiederhergestellt und auf Opaker verzichtet werden. Das Komposit wird im Überschuss aufgetragen (Abbildung 12), anschließend ausgearbeitet und poliert (Abbildung 13). Das Ergebnis ist sowohl funktionell als auch ästhetisch ansprechend und die Reparatur fügt sich harmonisch in die Restauration ein. Auf Sprechabstand ist sie nicht erkennbar.
Diskussion
Die intraorale Reparatur stellt eine pragmatische Wiederherstellung der anatomischen Form einer frakturierten keramisch verblendeten Oberfläche dar [Saravia-Rojas et al., 2023]. Das Verfahren eignet sich sicher nicht für jede klinische Situation, kann aber oft die Zeit bis zur neuen Versorgung funktionell überbrücken und damit die klinische Einsatzzeit der frakturierten Restauration entscheidend verlängern.
Einschränkend muss sicherlich angemerkt werden, dass es sich um im Mund geschichtetes Komposit handelt und dieses von seinen sämtlichen Eigenschaften – Ästhetik, Oberflächenqualität, anatomische Form – der Verblendkeramik aus dem Labor unterlegen ist. Neben der okklusalen Belastung entscheidet der adhäsive Verbund des Komposits zur Restauration über den klinischen Erfolg. Bei Beachtung der oben genannten Punkte lässt sich manche Fraktur auch für den mittelfristigen Einsatz wiederherstellen und dem Patienten bleiben somit aufwendigere Versorgungen erspart.
Auch wenn es keine echten Langzeitdaten aus klinischen Studien gibt, empfiehlt sich als akute Maßnahme immer zuerst die beschriebene Reparatur, bevor man die aufwendige und invasivere Erneuerung der Restauration plant.
Literaturliste
Beuer, F., et al., Three-year clinical prospective evaluation of zirconia-based posterior fixed dental prostheses (FDPs). Clin Oral Investig, 2009. 13(4): p. 445-51.
Beuer, F., et al., Prospective study of zirconia-based restorations: 3-year clinical results. Quintessence Int, 2010. 41(8): p. 631-637.
Cacaci, C., et al., Clinical performance of screw-retained and cemented implant-supported zirconia single crowns: 36-month results. Clin Oral Investig, 2017. 21(6): p. 1953-1959.
Cantner, F., et al., Clinical performance of tooth- or implant-supported veneered zirconia single crowns: 42-month results. Clin Oral Investig, 2019. 23(12): p. 4301-4309.
Grohmann, P., et al., Three-unit posterior zirconia-ceramic fixed dental prostheses (FDPs) veneered with layered and milled (CAD-on) veneering ceramics: 1-year follow-up of a randomized controlled clinical trial. Quintessence Int, 2015. 46(10): p. 871-80.
Proano, L., et al., A Simple Technique to Repair Feldspathic Porcelain Chipping in Screw-retained Implant-supported Prosthesis: A Clinical Technique. J Contemp Dent Pract, 2021. 22(1): p. 101-104.
Saravia-Rojas, M.A. and R. Geng-Vivanco, Clinical protocol for intraoral repair of a chipped all-ceramic crown: a case report. Gen Dent, 2023. 71(1): p. 54-57.
Sax, C., C.H. Hammerle, and I. Sailer, 10-year clinical outcomes of fixed dental prostheses with zirconia frameworks. Int J Comput Dent, 2011. 14(3): p. 183-202.
Thompson, J., et al., Survival analysis of zirconia implant-supported, fixed complete dentures: A 5-year retrospective cohort study. J Prosthet Dent, 2023.





















