Komplikationsmanagement bei einer nichtkonventionellen Kiefergelenkendoprothese
Im September 2022 suchte eine 57-jährige Patientin wegen Beschwerden im rechten Kiefergelenkbereich mit Schmerzausstrahlung in die Temporalregion und eingeschränkter Mundöffnung die Ambulanz der Klinik und Poliklinik für Mund-, Kiefer- und Gesichtschirurgie auf. Die Anamnese ergab eine mehrjährige Krankengeschichte mit mehreren Voroperationen aufgrund eines ossifizierten chrondomyxoiden Fibroms im rechten Kiefergelenk.
Die vorangegangenen Eingriffe umfassten eine initiale Kondylektomie mit Temporalis-Faszieneinlage und nachfolgender Spacer-Implantation. Dies wurde ergänzt durch eine Osteotomie des aufsteigenden Unterkieferastes mit autologer Knocheninterposition im Jahr 2011. Aufgrund von Schmerzen und anhaltenden Okklusionsstörungen wurde im Jahr 2019 eine individuelle Kiefergelenkendoprothese aus Zirkoniumdioxid implantiert.
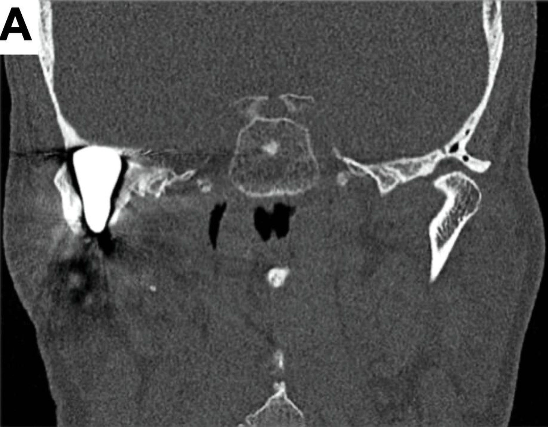
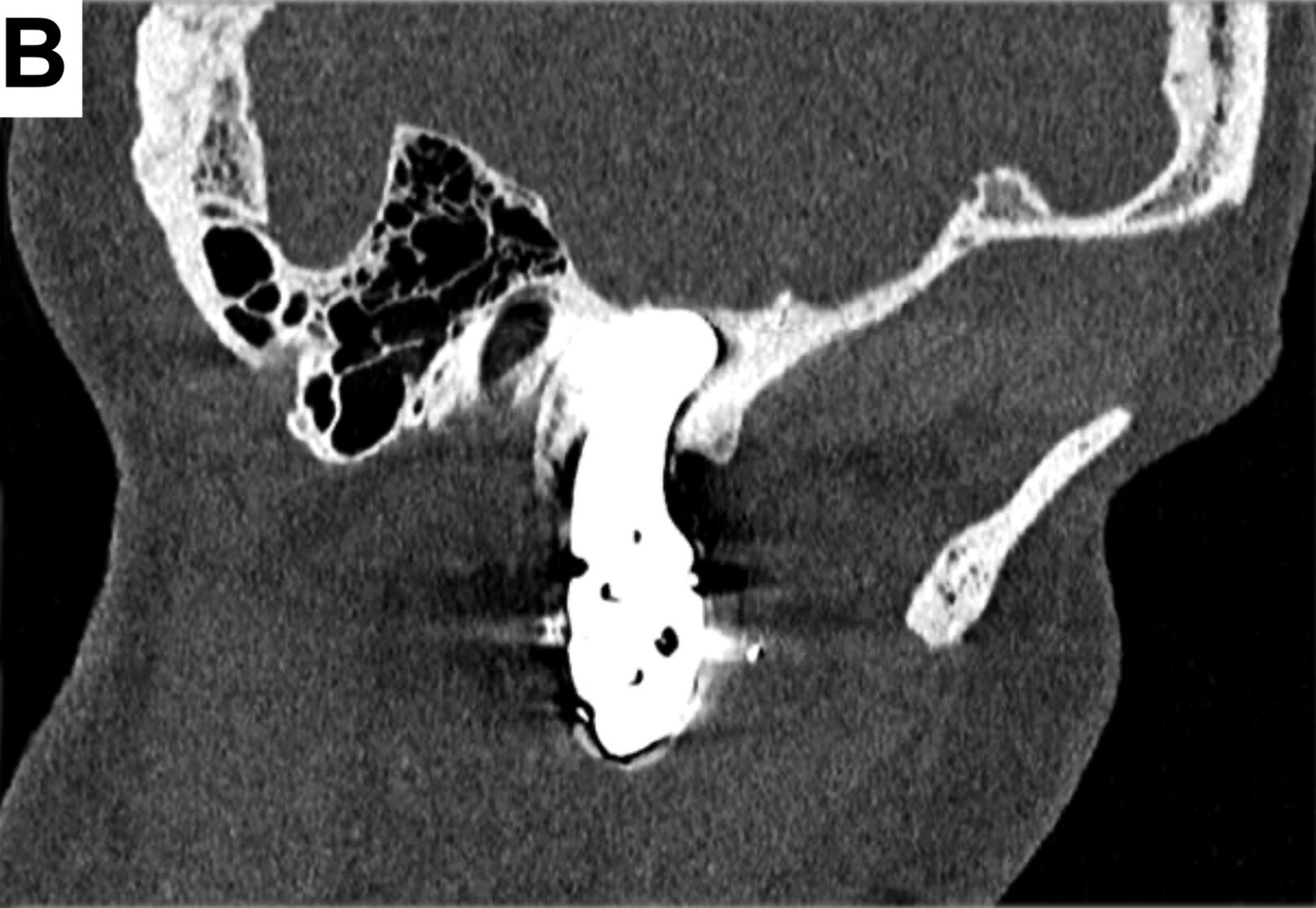
Bei der computertomografischen Untersuchung, die während der Patientenvorstellung durchgeführt wurde, wurde der totale Ersatz des rechten Kondylus durch die bereits beschriebene Endoprothese festgestellt, jedoch ohne Ersatz der Fossa mandibulae, was einem partiellen Kiefergelenkersatz entsprach. Das in situ befindliche Prothesenwerkstück hatte bereits zu einer nahezu vollständigen Erosion der mittleren Schädelbasis geführt (Abbildung 1).
Um eine weitere Dislokation nach intrakraniell zu vermeiden, erfolgte eine Woche nach der Erstvorstellung der Patientin die Entfernung des Endoprothesenwerkstücks (Abbildung 2).
Nach einer achtmonatigen Konsolidierungsphase unter Verwendung einer Okklusionsschiene wurde zur Planung einer industriell gefertigten CAD/CAM-Kiefergelenk-Totalendoprothese ein Dünnschicht-CT durchgeführt (Abbildung 3).

Die finale patientenspezifische CAD/CAM-Kiefergelenkendoprothese wurde von der Firma Materialise in Löwen, Belgien, hergestellt. Vier Monate nach der Explantation konnte die Patientin erfolgreich mit Ersatz von Kondylus und Fossa mandibularis versorgt werden (Abbildung 4).

Der postoperative Verlauf verlief unauffällig, so dass bereits nach vier Wochen mit leicht dehnenden Mundöffnungsübungen begonnen werden konnte (Abbildung 5).
Diskussion
Es wird angenommen, dass mehr als 20 Prozent der Gesamtbevölkerung unter Kiefergelenkbeschwerden und damit verbundenen orofazialen Schmerzphänomenen leiden [Melo et al., 2023; Melou et al., 2023; Minervini et al., 2023]. Obwohl die meisten dieser Fälle primär muskulär bedingt sind, unterliegt das Kiefergelenk ähnlichen pathologischen Veränderungen wie andere Gelenke im menschlichen Körper. Dazu zählen degenerative Erkrankungen wie Arthrose, Traumafolgen, gut- und bösartige neoplastische Veränderungen, infektiöse Prozesse sowie Entwicklungsanomalien [Thiem et al., 2020].
Die Therapieoptionen umfassen sowohl konservative als auch operative Ansätze. Letztere beinhalten die Durchführung totalendoprothetischer Gelenkersatzverfahren unter Verwendung sowohl konfektionierter als auch patientenspezifischer Implantate. Historisch gesehen wurde und wird der totalendoprothetische Ersatz vorwiegend für stark geschädigte, oft bereits mehrfach voroperierte Kiefergelenke (KG) reserviert, die als „end stage disease“ (Wilkes-Stadien V und VI) klassifiziert werden und nicht mehr auf konservative oder konventionelle chirurgische Methoden ansprechen [Dolwick und Widmer, 2023].
In den vergangenen Jahren hat sich das Anwendungsspektrum jedoch erweitert, beispielsweise durch den frühzeitigen Einsatz totaler Gelenkersatzverfahren bei unter medikamentöser Behandlung progressiven autoimmunen Erkrankungen wie der rheumatoiden Arthritis [Sarlabous et al., 2021; Patel et al., 2022; Schmidt et al., 2022]. Die aktuelle internationale Fachliteratur stuft den in Deutschland verfügbaren totalen alloplastischen Kiefergelenkersatz als sichere und effektive Behandlungsoption für irreparabel geschädigte Kiefergelenke ein.
Endoprothetik im Wandel der Zeit – historische Perspektive
Unter dem Begriff der Endoprothese versteht man allgemein den teilweisen oder vollständigen Ersatz von Gelenken mithilfe eines dauerhaft im Körper verbleibenden Implantats. Der Pionier der endoprothetischen Gelenkersatztechnik war Dr. Marius Nygaard Smith-Peterson (1886–1953). Im Jahr 1939 beschrieb er ein Verfahren zum Ersatz der Hüftgelenkspfanne (Acetabulum) unter Verwendung von Vitallium. In den folgenden Jahren wurden sowohl die Materialzusammensetzung als auch die Operationstechniken kontinuierlich verbessert und perfektioniert. Diese Fortschritte wurden auf andere Gelenke übertragen und die endoprothetische Chirurgie entwickelte sich weiter. Die häufigsten Anwendungen von Endoprothesen sind der Ersatz von Hüft- und Kniegelenken. Allein im Jahr 2022 wurden in Deutschland insgesamt 255.886 künstliche Hüft- und 199.527 künstliche Kniegelenke erfolgreich implantiert [gbe-bund.de, 2023].
Die historische Entwicklung beim Kiefergelenkersatz spiegelt eine bedeutende Evolution in der chirurgischen Praxis und den Materialwissenschaften wider. Ein Durchbruch gelang, als John Murray Carnochan im Jahr 1840 die interpositionelle Arthroplastik einführte und dabei einen Holzblock zur Behandlung der Kiefergelenksankylose verwendete [Mercuri, 2019]. Die Einführung von Silikonelastomeren im 20. Jahrhundert markierte eine neue Ära aufgrund ihrer vermeintlichen Biokompatibilität und Stabilität [Mercuri, 2019]. Kiehn wandte Prinzipien der Hüftendoprothetik auf das Kiefergelenk an, indem er eine Vitallium-Mandibula-Fossaplatte und eine Vitallium-modifizierte Cargill-Hahn-Ramus/Kondylen-Prothese verwendete [Kiehn et al., 1979]. Diese Kombination zeigte in einer Studie mit 23 von 27 erfolgreichen Eingriffen vielversprechende Ergebnisse. Tierstudien von Kummoona replizierten Kiehns Arbeit und demonstrierten die Biokompatibilität dieser Implantate [Kummoona, 1978]. Kent, Block und Homsy brachten die Kiefergelenk-Endoprothetik mit der Einführung von Dacron/Proplast-Teflon und späteren UHMWPE-Fossa-Komponenten (ultra-high-molecular-weight polyethylene) weiter voran. Ihre Prothesen erreichten eine hohe Erfolgsquote in einer Nachuntersuchung von 192 Patienten [Kent et al., 1986].
Insgesamt war der Weg der alloplastischen Implantate in der Kiefergelenkchirurgie jedoch von erheblichen Herausforderungen geprägt, insbesondere durch Fehlschläge mit verschiedenen Materialien, einschließlich Polytetrafluorethylen, Silikongummi und minderwertigen metallischen Implantaten. Diese Misserfolge waren teilweise auf das Übersehen wichtiger Lektionen aus früheren orthopädischen Versuchen zurückzuführen. In den vergangenen 25 Jahren wurde jedoch ein bemerkenswerter Fortschritt bei der Überwindung dieser Herausforderungen erzielt. Dieser Fortschritt wurde durch streng konzipierte Vor-Markt-Zulassungsstudien für patientenspezifische und serienmäßige Kiefergelenk-Totalendoprothesen vorangetrieben und spielte eine entscheidende Rolle bei der Optimierung des Implantatdesigns und der Materialauswahl. Ende des 20. Jahrhunderts entwickelten Sonnenburg und Sonnenburg eine Kiefergelenkendoprothese mit einer Chrom-Kobalt-Molybdän-Ramus-Kondylen-Komponente und einer UHMWPE-Fossa, ähnlich den orthopädischen Gelenkprothesen [Sonnenburg and Sonnenburg, 1985; 1990]. Das wachsende Interesse am alloplastischen Kiefergelenkersatz führte zur FDA-Zulassung von patientenspezifischen CAD/CAM-Prothesen durch TMJ Concepts Inc., Camarillo, Kalifornien, USA; heute Stryker Corporation, Michigan, USA, im Jahr 1997 und der serienmäßigen Biomet Microfixation TMJ TJR-Prothese, was eine neue Ära in der personalisierten Kiefergelenk-Rekonstruktion einläutete [Mercuri et al., 1995].
Konfektioniert versus patientenspezifisch
Grundsätzlich unterscheidet man zwischen konfektionierten („Stock“)-Prothesen, die in unterschiedlichen Größen erhältlich sind und eine intraoperative Anpassung der anatomischen Knochenanlagerungsflächen erforderlich machen, und sogenannten „custom-made“, also patientenspezifischen Prothesen, die auf der Basis präoperativer 3-D-Bilddaten des Patienten hergestellt werden. Das bekannteste und als erstes von der FDA in den USA zugelassene Stock-Prothesensystem trägt die Bezeichnung „Biomet Microfixation TMJ Replacement System“ und wird durch Zimmer Biomet Holdings, Inc., Indiana, USA (damals Biomet Microfixation, Jacksonville, Florida, USA) vertrieben. Die FDA-Zulassung der ersten und über mehrere Jahre einzigen „custom-made“-Kiefergelenkendoprothese erfolgte durch das Unternehmen TMJ Concepts [Wolford und Mehra, 2017]. Da sich das Indikationsspektrum für den alloplastischen Kiefergelenkersatz bislang auf „end-stage“-Erkrankungen (Wilkes-Stadien V und VI) mit ohnehin meist komplexen anatomischen Grundbedingungen reduzierte, verwundert es nicht, dass die Nachfrage nach patientenspezifischen Implantatsystemen mit situationsadaptiertem Design heute deutlich höher liegt als nach konfektionierten Produkten.
Dies spiegelt sich nicht zuletzt in den Empfehlungen der aktuell gültigen S3-Leitlinie zum totalen alloplastischen Kiefergelenkersatz wieder, in der Behandler dem Einsatz von „custom-made“-Prothesen – aufgrund fehlender Notwendigkeit zur Modifizierung des Prothesenlagers, geringerer Operationsdauer, individuell adaptierbarer Passform und Variabilität der Fixationsschrauben – bei gegebener Indikation den Vorzug geben sollten [AWMF, 2020]. Die in Deutschland heute verfügbaren Prothesensysteme bestehen alle aus einem Kondylus-Implantat aus Kobalt-Chrom-Molybdän oder einer Titanlegierung, einem Fossa-Implantat mit einer Gelenkfläche aus UHMWPE mit oder ohne Titanbasisplatte und den dazugehörigen Fixierungsschrauben aus einer Titanlegierung [AWMF, 2020].
Die Therapieziele bei der Durchführung des totalen alloplastischen Kiefergelenkersatzes umfassen die Entfernung von erkranktem Gewebe und dessen funktionsfähigen Ersatz, die Okklusionskorrektur und die Verbesserung der Mundöffnung. Zusätzlich zielt die Therapie darauf ab, Gesichtsdeformitäten zu korrigieren, die Kaufunktion und die Nahrungsaufnahme zu verbessern, den Progress von Kiefergelenkerkrankungen zu verzögern oder zu verhindern und Schmerzen zu reduzieren.
Primäre Indikationen für die Therapie des Kiefergelenks umfassen fortgeschrittene Kiefergelenkdestruktionen im Endstadium, wie Osteoarthritis und Osteoarthrose (Wilkes-Stadien V und VI), verursacht durch degenerative Prozesse, posttraumatische Zustände und multiple Voroperationen einschließlich vorangegangenem Gelenkersatz. Darüber hinaus beinhalten sie schwere entzündliche Erkrankungen, die das Kiefergelenk zerstören (zum Beispiel rheumatoide Arthritis, Psoriasis-Arthropathie), die therapierefraktäre Ankylose des Kiefergelenks sowie kongenitale oder erworbene Aplasien, Hypoplasien oder Deformationen der Kiefergelenke und Neoplasien oder Raumforderungen, die die Funktionalität des Kiefergelenks beeinträchtigen.
Sekundäre Indikationen für die Therapie des Kiefergelenks beinhalten Okklusionsstörungen, die weder konservativ noch mit konventionellen chirurgischen Verfahren (wie autologem Kiefergelenkersatz oder Umstellungsoperationen) effektiv behandelt werden können. Ebenso gelten therapierefraktäre Schmerzen und chronische, funktionsassoziierte Beschwerden des Kiefergelenks sowie eine eingeschränkte Mundöffnung, die zu Problemen bei der Nahrungsaufnahme, zu Kommunikationseinschränkungen und zu Atemwegsobstruktionen führen können, als sekundäre Indikationen [AWMF, 2020].
Absolute Kontraindikationen für den alloplastischen Kiefergelenkersatz bestehen bei einem unzureichenden Verständnis des Patienten über die Bedeutung, mögliche Einschränkungen und Komplikationen der Therapie, einer bekannten Allergie gegen Prothesenmaterialien, akuten Infektionen, Osteomyelitiden und nicht kontrollierten Malignomen im OP-Gebiet. Relative Kontraindikationen beinhalten nicht adäquat therapierte systemische Erkrankungen wie Diabetes mellitus und rheumatoide Arthritis, schwere Immunschwäche, Nikotinabusus in der perioperativen Phase sowie unzureichende Qualität und Quantität des Knochens als Lager für die Prothese [AWMF, 2020].
Komplikationen nach einem alloplastischen Kiefergelenkersatz treten in variierenden Häufigkeiten auf, mit Narbenbildung und temporären Schädigungen des Nervus facialis als häufigste, jeweils mit circa 23 Prozent und 15 Prozent, wobei permanente Nervschäden mit vier Prozent selten und heterotope Knochenformationen mit elf Prozent vergleichsweise häufig sind. Als weitere Komplikationen gelten hypersensitivitätsvermittelte Materialunverträglichkeiten mit Knochendestruktionen sowie Prothesendislokationen und -versagen, mit Raten zwischen fünf und elf Prozent [AWMF, 2020].
Bewertung des vorgestellten Falls
Über die Komplikation einer Knochenerosion in Richtung der Schädelbasis (wie im aufgeführten Fallbericht) gibt es nur wenige Literaturangaben, interessanterweise vornehmlich im Zusammenhang mit dem Auftreten von Fremdkörperriesenzellgranulomen als Folge einer immunologischen Reaktion auf Prothesenmaterialien wie VITEK / Proplast-Teflon, nicht jedoch infolge der Verwendung von Prothesen aus Titan oder Kobalt-Chrom-Molybdän [Berarducci et al., 1990; Chuong und Piper, 1992; Smith et al., 1993; Felstead und Revington, 2011]. Dies ist am ehesten darauf zurückzuführen, dass kein in Deutschland oder den USA zugelassenes Kiefergelenk-Endoprothesensystem auf dem Markt verfügbar ist, das den isolierten Langzeiteinsatz einer Ramus-/Kondyluskomponente aus den entsprechenden Materialien ohne eine entsprechende Fossakomponente vorsieht, oder als solche in der isolierten Verwendung zugelassen wurde. Zur Anwendung von Gelenkkomponenten aus Zirkoniumdioxid als Grundgerüstwerkstoff einer der oben genannten Prothesenkomponenten besteht bisher keine ausreichende wissenschaftliche Evidenz. Somit kann deren Einsatz als patientenindividuelles Implantat im Sinne einer Sonderanfertigung ohne CE-Konformitätskennzeichnung (diese ist entsprechend Artikel 20 (1) der EU-Medizinprodukteverordnung/MDR hierbei nicht erforderlich) aufgrund fehlender klinischer Evidenz nicht empfohlen werden.
Fazit für die Praxis
Individualisierte Therapieansätze: Verschiedene Ursachen von Kiefergelenkerkrankungen und anatomische Gegebenheiten erfordern maßgeschneiderte Behandlungsansätze.
Endoprothetik als Option: Der totalendoprothetische Ersatz ist eine Schlüsselbehandlung für schwer geschädigte Kiefergelenke, die herkömmlichen Therapien nicht oder nicht mehr zugänglich sind.
Bewusstsein für Risiken: Behandler müssen sich der Indikationen, Kontraindikationen und Komplikationsrisiken eines alloplastischen Kiefergelenkersatzes bewusst sein, um individuell adaptierte Therapieempfehlungen auszusprechen und Patienten entsprechend sinnvoll zu beraten und aufzuklären.
Einhaltung ethischer Standards: Bei Behandlungen, insbesondere mit nicht CE-zertifizierten Implantatsystemen, sind ethische Richtlinien und die Zustimmung von Ethikkommissionen unerlässlich.
Ein Einsatz ohne artikulierende Fossa-Komponente wie im geschilderten Fall stellt weiterhin einen Behandlungsansatz ohne wissenschaftliches Fundament dar und muss daher ebenso wie die Verwendung nicht anwendungsbezogen zugelassener Werkstückkomponenten als fragwürdig betrachtet werden. Hierbei ist hervorzuheben, dass die Verwendung eben solcher „Sonderanfertigungen“ wie im Fallbeispiel nicht die Kriterien eines Heilversuchs erfüllt, da entsprechend der Deklaration von Helsinki dieser das Fehlen nachgewiesener Maßnahmen oder die Unwirksamkeit bekannter Maßnahmen (hier: Unwirksamkeit, Unverträglichkeit oder Materialversagen zugelassener Kiefergelenk-Endoprothesensysteme) voraussetzt [World Medical Association, 2022]. Liegt diese Voraussetzung nicht vor, gilt die Durchführung als experimentell, wozu die Genehmigung der zuständigen Ethikkommission vorliegen muss. Diese Besonderheit muss im Rahmen der ohnehin umfassenden OP-Aufklärung mit dem Patienten explizit besprochen werden.
Literaturliste
AWMF (2020) „AWMF S3-Leitlinie Diagnostik und Therapie des Mundhöhlenkarzinoms, Langversion, 2020, AWMF Registernummer: 007-106.“ DOI: register.awmf.org/assets/guidelines/007-106k_S3_Totaler_alloplastischer_Kiefergelenkersatz_2020-04.pdf.
Berarducci JP, DA Thompson and RB Scheffer: Perforation into middle cranial fossa as a sequel to use of a proplast-teflon implant for temporomandibular joint reconstruction. Journal of Oral and Maxillofacial Surgery 48:496-498, 1990.
Chuong R and MA Piper: Cerebrospinal fluid leak associated with proplast implant removal from the temporomandibular joint. Oral Surg Oral Med Oral Pathol 74:422-425, 1992.
Dolwick MF and CG Widmer: Temporomandibular joint surgery: the past, present, and future. Int J Oral Maxillofac Surg 2023.
Felstead AM and PJ Revington: Surgical Management of Temporomandibular Joint Ankylosis in Ankylosing Spondylitis. International Journal of Rheumatology 2011:1-5, 2011.
gbe-bund.de. (2023). „Anzahl der Implantationen künstlicher Kniegelenke in deutschen Krankenhäusern nach Altersgruppe im Jahr 2022.“ Retrieved 26.12.2023, from de.statista.com/statistik/daten/studie/785126/umfrage/implantationen-kuenstlicher-kniegelenke-in-deutschen-krankenhaeusern-nach-alter/
Kent JN, MS Block, CA Homsy, JM Prewitt and R Reid: Experience with a polymer glenoid fossa prosthesis for partial or total temporomandibular joint reconstruction. Journal of Oral and Maxillofacial Surgery 44:520-533, 1986.
Kiehn CL, JD DesPrez and CF Converse: Total Prosthetic Replacement of the Temporomandibular Joint. Annals of Plastic Surgery 2:5-15, 1979.
Kummoona R: Functional rehabilitation of ankylosed temporomandibular joints. Oral Surgery, Oral Medicine, Oral Pathology 46:495-505, 1978.
Lima F, LGC Rios, LR Paranhos, WA Vieira and D Zanetta-Barbosa: Survival of temporomandibular total joint replacement: A systematic review and meta-analysis. J Oral Rehabil 2023.
Melo V, L Monteiro, C Orge, M Sales, J Melo, B Rodrigues and A Melo: Prevalence of temporomandibular disorders in the Brazilian population: A systematic review and meta-analysis. Cranio 1-8, 2023.
Melou C, JL Sixou, C Sinquin and D Chauvel-Lebret: Temporomandibular disorders in children and adolescents: A review. Arch Pediatr 30:335-342, 2023.
Mercuri LG: Temporomandibular joint replacement devices - dark past to challenging future. Stomatological Disease and Science 2019:2019.
Mercuri LG, LM Wolford, B Sanders, RD White, A Hurder and W Henderson: Custom CAD/CAM total temporomandibular joint reconstruction system. Journal of Oral and Maxillofacial Surgery 53:106-115, 1995.
Minervini G, R Franco, MM Marrapodi, L Fiorillo, G Cervino and M Cicciu: Prevalence of temporomandibular disorders in children and adolescents evaluated with Diagnostic Criteria for Temporomandibular Disorders: A systematic review with meta-analysis. J Oral Rehabil 50:522-530, 2023.
Patel K, B Gerber, K Bailey and NR Saeed: Juvenile idiopathic arthritis of the temporomandibular joint - no longer the forgotten joint. Br J Oral Maxillofac Surg 60:247-256, 2022.
Sarlabous M, M El-Rabbany, M Caminiti and DJ Psutka: Alloplastic Temporomandibular Joint Replacement in Patients With Systemic Inflammatory Arthritis and Connective Tissue Disorders. J Oral Maxillofac Surg 79:2240-2246, 2021.
Schmidt C, R Reich, B Koos, T Ertel, MO Ahlers, M Arbogast, I Feurer, M Habermann-Krebs, T Hilgenfeld, C Hirsch, B Hugle, T von Kalle, J Kleinheinz, A Kolk, P Ottl, C Pautke, M Riechmann, A Schon, L Skroch, M Teschke, W Wuest and A Neff: Controversial Aspects of Diagnostics and Therapy of Arthritis of the Temporomandibular Joint in Rheumatoid and Juvenile Idiopathic Arthritis-An Analysis of Evidence- and Consensus-Based Recommendations Based on an Interdisciplinary Guideline Project. J Clin Med 11:2022.
Smith RM, MS Goldwasser and SR Sabol: Erosion of a Teflon-Proplast implant into the middle cranial fossa. Journal of Oral and Maxillofacial Surgery 51:1268-1271, 1993.
Sonnenburg I and M Sonnenburg: Total condylar prosthesisfor alloplastic jaw articulation replacement. Journal of Maxillofacial Surgery 13:131-135, 1985.
Sonnenburg M and I Sonnenburg: Development and clinical application of the total temporomandibular joint (T.M.J.) endoprosthesis. Rev Stomatol Chir Maxillofac 91:165-169, 1990.
Thiem DGE, B Al-Nawas and PW Kämmerer: Ankylosis of the temporomandibular joint-impression free CAD/CAM based joint replacement using patient-specific implants. J Surg Case Rep 2020:rjaa416, 2020.
Wolford LM and P Mehra: Custom-Made Total Joint Prostheses for Temporomandibular Joint Reconstruction. Baylor University Medical Center Proceedings 13:135-138, 2017.
World Medical Association (2022). WMA DECLARATION OF HELSINKI – ETHICAL PRINCIPLES FOR MEDICAL RESEARCH INVOLVING HUMAN SUBJECTS. Unproven Interventions in Clinical Practice. Fortaleza, Brazil, World Medical Association. 64.





















