Bruxismus bei Kindern und Jugendlichen
Nicht-kariöse Zahnhartsubstanzschäden, zu denen sowohl die Folgen von Bruxismus als auch die Molaren-Inzisiven-Hypomineralisation (MIH) zählen, gewinnen mehr und mehr an Bedeutung. Dies liegt vor allem an den Folgen des Caries Decline, der zurückgehenden Kariesprävalenz [Jordan et al., 2014]. Attritionen durch Parafunktionen wie Pressen oder Reiben spielen heutzutage durch das geringere Kariesrisiko und der daraus resultierenden längeren Überlebensdauer der Zähne eine größere Rolle.
Es ist davon auszugehen, dass Bruxismus schon lange ein Problem ist, jedoch der Fokus auf anderen oralen Erkrankungen wie etwa Karies lag. Wichtig bleibt festzuhalten, dass die Manifestation oraler Parafunktionen bereits im Kindes-und Jugendalter erfolgt.
Janine Borngräber
Zahnkultur Berlin-Brandenburg
Helene-Weigel-Platz 2, 12681 Berlin
j.borngraeber@zahnkultur-marzahn.de
2009–2014: Studium der Zahnmedizin an der Universität Leipzig
2014–2018: Angestellte Zahnärztin in verschiedenen Praxen
seit 2018: Angestellte Zahnärztin bei der MVZ Zahnkultur Berlin Brandenburg
2019–2020: Curriculum Kinder-und Jugendzahnmedizin
2021–2023: Masterstudiengang an der Universität Duisburg-Essen, M. Sc. Implantology and Dental Surgery
Definition
Bruxismus stellt einen Sammelbegriff für verschiedene parafunktionelle Aktivitäten dar [Lavigne, 1995]. Die aktuell am häufigsten verwendete Definition beschreibt Bruxismus als eine periodische, stereotype Bewegungsstörung des Kausystems, die Zähneknirschen und -pressen einschließt [Lobbezoo et al., 2013]. Es unterscheiden sich in der Regel die nächtliche Form des Bruxismus von der, die tagsüber auftritt, und die statische von der dynamischen Form. Bei der statischen Form pressen die Zähne fest aufeinander, wohingegen die dynamische Form durch reibende Bewegungen charakterisiert ist. Laut Lavigne existiert noch eine dritte Form – die des ,Zähneklapperns'.
Eine definitive Diagnose für Bruxismus besteht nur, wenn die Betroffenen sowohl anamnestisch darüber berichten als auch klinische Zeichen sichtbar sind [Lobbezoo et al., 2013]. Ob Bruxismus als ,behaviour´ oder ,disorder´ angesehen wird, ist aufgrund der Datenlage momentan noch nicht eindeutig einzuschätzen.
Abgrenzung zu anderen Zahnhartsubstanzdefekten
Neben den traumatisch bedingten nicht-kariösen Zahnhartsubstanzschäden existieren drei weitere stark verbreitete Arten, die sich alle durch den Verlust von Schmelz, Dentin beziehungsweise Zement auszeichnen: Erosion, Attrition und Abrasion. Da bei unterschiedlichen Ursachen verschiedene Präventions- und Therapiemaßnahmen ergriffen werden müssen, ist es wichtig, diese voneinander zu unterscheiden.
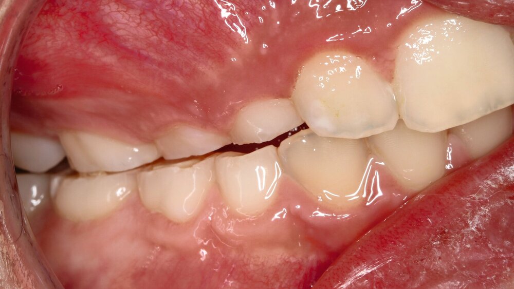
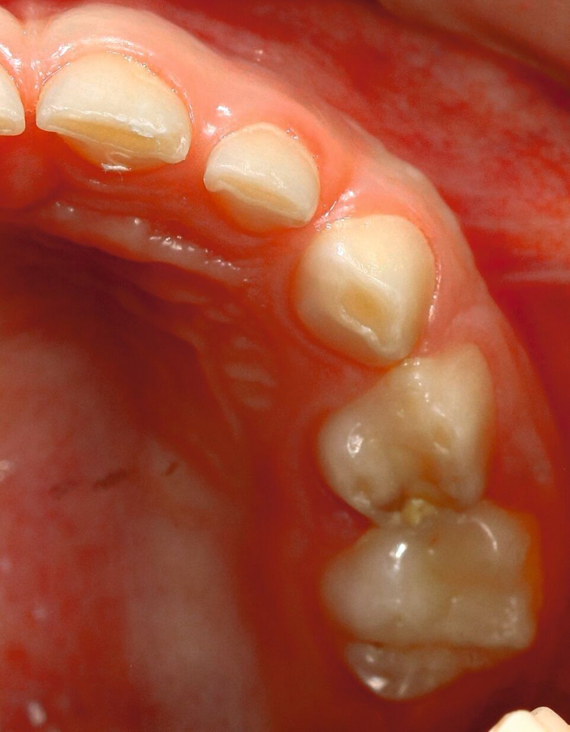
Glänzende Facetten, eine gleichmäßige Abnutzung der Schmelz-und Dentinflächen und das „Schlüssel-Schloss-Prinzip“ werden meist durch Attrition verursacht. Auch Abdrücke in den Weichgeweben wie Lippe und Wange beziehungsweise Frakturen an bestehenden Restaurationen der Antagonisten sind charakteristische Merkmale. Abrasionen hingegen werden extrinsisch durch Fremdkörper verursacht, wohingegen Erosionen auf die Einwirkung von Säuren zurückgehen. Säuren lösen Mineralien aus dem Zahnschmelz heraus. Dadurch kann Zahnhartsubstanz abgetragen werden. Typisch sind sogenannte okklusale Rillen, Abrundungen von Höckern und Auswaschungen (Abbildungen 1 und 2). Typisch ist hier auch der Zahnhartsubstanzverlust an Flächen, die normalerweise nicht okkludieren. Restaurationen zeigen sich erhaben und Amalgam erscheint glänzend [Wetselaar und Lobbezoo, 2016].
Eine präzise Zuordnung der Art des Zahnhartsubstanzverlusts ist häufig schwierig und nicht immer eindeutig möglich, da viele Patienten Mischformen aufweisen. Das „Schlüssel-Schloss-Prinzip“ ist aber das sicherste Diagnosekriterium für Bruxismus. Zur besseren Übersicht sind in Tabelle 1 die Merkmale von Erosionen, Attritionen und Abrasionen aufgelistet.
Prävalenz und Geschlechtsunterschiede
Insgesamt ist Bruxismus in allen Altersgruppen und bei beiden Geschlechtern vertreten, jedoch zeigte sich für das männliche Geschlecht eine prozentual höhere Prävalenz [Ekfeldt, 1989]. Die Angaben zur Häufigkeit von Bruxismus bei Kindern sind eher ungenau und liegen je nach Definition zwischen fünf Prozent und 81 Prozent [Ahmad, 1986; Lindqvist, 1971]. In Deutschland sind bei jedem fünften Jugendlichen deutliche klinische Bruxismuszeichen vorhanden [Jordan et al., 2014]. Attritionen, die bis ins Dentin reichen, weist etwa jeder 20. Teenager auf [Hirsch, 2009].
Ungeklärt ist die Frage der weiteren Entwicklung von Bruxismusaktivitäten. Es gibt Studien, die Bruxismus als temporäres Phänomen der Kindheit und Jugend beschreiben, was sich verliert, und andere, die das Auftreten von Bruxismus im frühen Lebensabschnitt als guten Vorhersageparameter für das Fortbestehen der Parafunktionen im Erwachsenenalter ansehen.
Schlifffacetten können als kumulative Lebenszeiterfahrung angesehen werden, denn je älter ein Patient ist, desto mehr attritierte Zähne sind vorhanden und desto größer ist der Grad der Abnutzung. Aktuelle niederländische Studien zeigen jedoch nicht nur die Zunahme kumulativ mit dem Alter, sondern auch eine Zunahme der Prävalenz bei jüngeren Menschen, wobei das männliche Geschlecht in allen Altersgruppen circa 20 Prozent mehr Attritionen aufweist [Wetselaar et al., 2021]. Der Zeitpunkt des erstmaligen Auftretens von Bruxismus lässt sich im Nachhinein nur sehr schwer feststellen, da die Aktivitäten phasenweise auftreten können. Das bedeutet, dass eine aktuell diagnostizierte Attrition schon Jahre in ihrer Entstehung zurückliegen kann.
Diagnose, Erscheinungsbild und Schweregradeinschätzung
Bruxismus kann anamnestisch, klinisch oder mithilfe von Messgeräten diagnostiziert werden. Wichtig ist dabei herauszufinden, ob Bruxismus akut oder chronisch vorliegt und um welche Variante es sich handelt (dynamisch oder statisch).
Die Anamnese wird durch Interviews und Fragebögen der Kinder und Jugendlichen erhoben und anschließend die Diagnose gestellt – oder indirekt über die Befragung der Eltern. Zu den Untersuchungen mithilfe von Messgeräten zählen die EMG-Untersuchungen (Elektromyografie). Hier kann die Aktivität der Kaumuskulatur während des Schlafens aufgezeichnet und damit der nächtliche Bruxismus nachgewiesen werden. Für diese eher aufwendigen Untersuchungen müssen die Patienten jedoch Messgeräte tragen und in speziellen Schlaflaboren vorstellig werden.
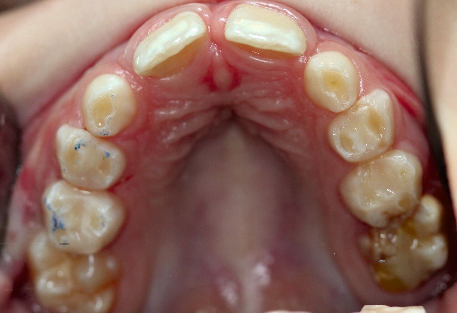
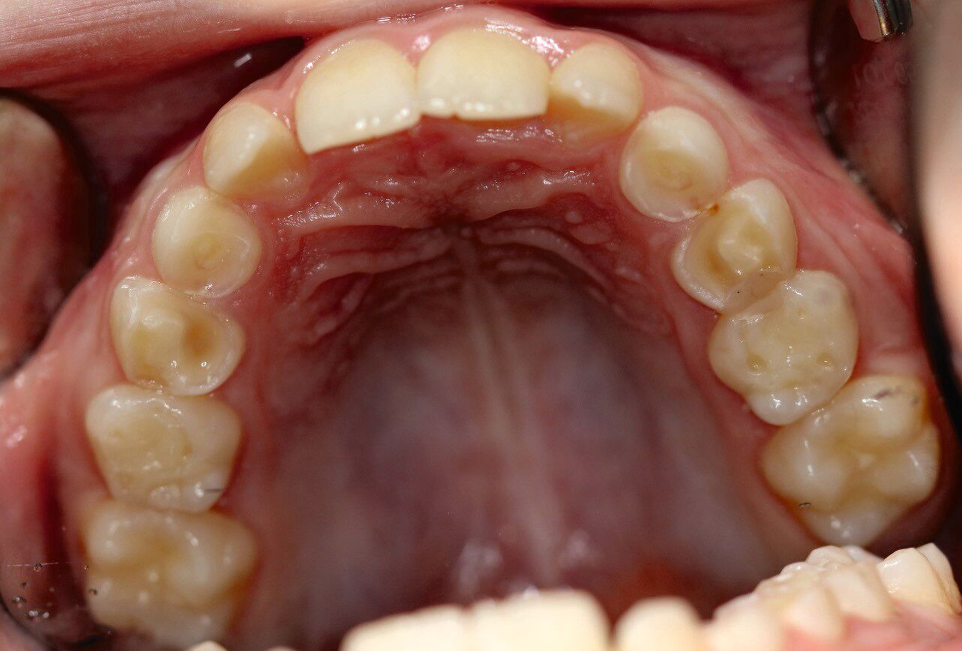
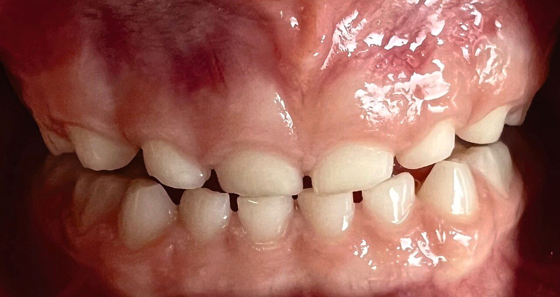
Wenn der Patient nach dem Schlafen über Beschwerden in der Kaumuskulatur oder Beeinträchtigungen im täglichen Leben klagt, handelt es sich um eine schwerwiegende statische Form. Über die Beurteilung der Schlifffacetten an den Front- und Seitenzähnen wird die Diagnose der dynamischen Form erhoben. Diese kann entweder an Studienmodellen oder direkt im Mund erfolgen. Der Schweregrad der Attritionen reicht von der alleinigen Schmelz- bis zur Pulpabeteiligung. Schließlich muss man Zahnhartsubstanzverlust, der bis ins Dentin reicht, bei Kindern und Jugendlichen als schwere Form des Bruxismus bewerten, da die Zähne vergleichsweise kurz in der Mundhöhle sind (Abbildungen 3 und 4).
Bedeutung und Folgen
Die Folgen der Bruxismusaktivität sind abhängig von der Intensität der Parafunktion. Bei eher schwach ausgeprägten Formen sind keine ernsten Folgen zu erwarten, wohingegen es bei intensiver langjähriger Bruxismusaktivität neben den Zahnsubstanzverlusten zu starken Schäden wie Zahnlockerungen, Schäden am Parodont, Zahnschmerzen oder ästhetischen Beeinträchtigungen kommen kann.
Dabei sind insbesondere die langfristigen Folgen für das permanente Gebiss durch im Kindesalter manifest gewordene Bruxismusaktivitäten relevant. Zusätzlich können durch die Überbelastung der Strukturen Schmerzen in der Kaumuskulatur und den Kiefergelenken auftreten. Störungen in der Sprachentwicklung und der sogenannte Spannungskopfschmerz werden in direktem Zusammenhang mit Bruxismus gesehen. Weitere direkte und indirekte Folgen umfassen Schlafstörungen, Schmerzen durch freiliegendes Dentin und Hypersensibilitäten, die Vergrößerung der Kaumuskulatur, keilförmige Defekte, Extraktionen infolge von Pulpafreilegung, die Zunahme erosiver Prozesse, der Verlust von Restaurationen (vor allem an Frontzähnen) sowie Implantatverluste und starke ästhetische Einbußen durch die verkürzten Zahnkronen.
Bedeutung des Kindesalters in der Ätiopathogenese
Bruxismus wird als multifaktoriell bedingt angesehen, dennoch können die Ursachen grob in externe, lokale und zentrale Faktoren unterschieden werden. Das Gewicht der lokalen Faktoren wie okklusaler Störungen ist eher gering, im Unterschied zu den zentralen Faktoren, die die Bruxismusaktivität vermutlich maßgeblich steuern [Lobbezoo und Naeije, 2001].
Der Fokus des Bruxismusproblems bei Kindern und Jugendlichen liegt bei der durch extrinsische Faktoren bedingten zentral erhöhten Aktivität. Nahezu alle in der Literatur beschriebenen Risikofaktoren weisen Angriffspunkte im Zentralnervensystem (ZNS) auf. Das geschieht zum Beispiel über Störungen der Hormon- und Transmitterkonzentrationen, durch Störungen im Tagesrhythmus, durch Reizüberflutung oder als Folge einer aktivitätsfördernden Grunderkrankung. Das können Vorerkrankungen wie ADS/ADHS oder allgemeine Entwicklungsstörungen sein, bei denen mit vermehrtem Bruxismus gerechnet werden muss [Ahmad, 1986; Souza et al., 2014].
Weil Bruxismus bei Kindern überwiegend als nächtliches Phänomen auftritt, kommt dem gestörten Schlaf eine zentrale Bedeutung zu [Castroflorio et al., 2015; Tachibana et al., 2016]. Besonders Schnarchen spielt dabei eine große Rolle [Castroflorio et al., 2017; 2015]. Kinder, die schnarchen oder sogar an Alpträumen leiden, zeigen eine höhere Tendenz für Schlafbruxismus [Alencar et al., 2017]. Andere Risikofaktoren während des Schlafes sind Lärm, Licht im Zimmer oder eine geringe Schlafdauer von weniger als acht Stunden pro Nacht. Des Weiteren können der Missbrauch von Rauschmitteln oder Medikamenten sowie das (Passiv)Rauchen oder Traumata Bruxismus verursachen.
Die zentral erhöhte Aktivität kann über einen erhöhten Cortisolspiegel im Speichel der Kinder und Jugendlichen gemessen werden. Dazu kommen in der Pubertät die hormonellen Umstellungen, die mit einer erhöhten Prävalenz von Bruxismus beim männlichen Geschlecht einhergehen [Buchhardt et al., 2022]. Im Kindes- und Jugendalter können zudem Stress und psychologische Probleme wie Angst und Anspannung Auslöser für Bruxismus sein. Diese werden in Verbindung mit schlechten oralen Gewohnheiten begünstigt. Zu diesen oralen Habits zählen Nägelkauen oder das Kauen auf Gegenständen. Verstärkt wurden diese Effekte durch die ab dem Frühjahr 2020 verhängten Corona-bedingten Quarantäne- und Kontaktbeschränkungen sowie dem eingeschränkten Schul- und Kitabetrieb. Homeschooling, Homeoffice und die häusliche Betreuung der Kinder durch die Eltern führten zu zusätzlichen Belastungen, Stress und auch Schlafstörungen. Zudem verwendeten Kinder und Jugendliche öfter elektronische Geräte. All diese Faktoren begünstigten Bruxismus während der Pandemie [Lima et al., 2022].
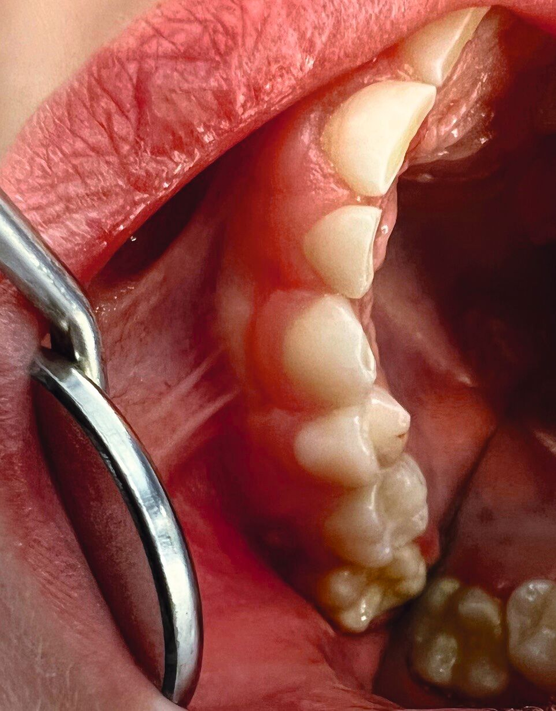
Nicht zuletzt können auch morphologische Gegebenheiten eine ausschlaggebende Rolle in Bezug auf Bruxismus spielen. So können gewisse Zahn- und Kieferfehlstellungen Attritionen fördern, wie dies zum Beispiel beim Kopf- oder Deckbiss der Fall ist (Abbildung 5), während andererseits große vertikale Abweichungen oder sagittale Stufen selten zu klinischen Bruxismuszeichen führen, weil die Zähne nicht in Okklusion stehen. Dies ist meist recht einfach zu diagnostizieren.
Therapieoptionen
Kausale Therapieoptionen
Behandlung von Grunderkrankungen
Bei Vorliegen einer Grunderkrankung, die sekundär zu Bruxismus führt, liegt es nahe, dass die Behandlung der Grunderkrankung eine Reduktion der Bruxismusaktivität verspricht. Dies ist bei Kindern und Jugendlichen mit ADHS der Fall. Eine medikamentöse Behandlung mit zum Beispiel Methylphenidat lindert sowohl die ADHS-Symptome als auch die Bruxismusaktivität [Chin et al., 2018]. Dasselbe Phänomen lässt sich bei Kindern mit diagnostiziertem Asthma beobachten. Kinder mit Asthma leiden häufiger unter Bruxismus. Analog dazu reduziert eine Therapie mit geeigneten Medikamenten sowohl die Asthma- als auch die Bruxismussymptome. Allerdings ist zu beachten, dass eine dauerhafte Inhalationstherapie negative Auswirkungen auf die Mundgesundheit haben kann.
Beeinflussung der Lebensumstände
Die meisten Kinder mit Bruxismus sind jedoch gesund. Es muss hier unbedingt berücksichtigt werden, dass bestimmte Lebensumstände oft komplexe Ursachen für die Entstehung von Bruxismus darstellen. Instabile Familienverhältnisse, Stress, psychische Traumata, plötzliche Veränderungen der Lebenssituation können sich verstärkend auf die Bruxismusaktivität auswirken. Die Pandemie hatte beispielsweise einen negativen Einfluss auf die Bruxismusprävalenz: In Familien mit niedrigem Bildungsniveau wurden ein signifikanter Anstieg von Bruxismus, die vermehrte Nutzung elektronischer Geräte und häufigere Schlafstörungen beobachtet [Lima et al., 2022]. Ähnlich verhält es sich mit dem Passivrauchen, dem besonders Kinder aus Familien mit niedrigem Sozialstatus ausgesetzt sind. Kinder, die dauerhaft Zigarettenrauch einatmen, haben ein erhöhtes Risiko für Bruxismus. Aus diesen Beobachtungen kann geschlussfolgert werden, dass eine Verbesserung der Lebensumstände ganz allgemein zur Reduktion von Bruxismusaktivitäten führt.
Kieferorthopädische Intervention
Bruxismus an sich ist keine Indikation dafür, eine kieferorthopädische Therapie zu beginnen. Wenn nicht eindeutige Zwangsführungen wie die infolge des posterioren unilateralen Kreuzbisses [Tecco und Festa, 2010] vorliegen, scheinen Zahn- und Kieferfehlstellungen keine Auswirkungen auf Bruxismusaktivitäten zu haben. Es wurde sogar nachgewiesen, dass sich Bruxismus in der Population während der kieferorthopädischen Therapie vorübergehend verringert [Hirsch, 2009]. Dies wurde auch in konkreten Patientenkollektiven bei der Therapie mit einer Unterkiefervorschubplatte (MAA = Mandibular Advancement Appliance) in der Altersgruppe 12 bis 19 Jahre beobachtet [Carra et al., 2013].
Die transversale Erweiterung des Oberkiefers erzielte eine Reduktion der Muskelaktivität in der Altersklasse 8 bis 12 Jahre [Bellerive et al., 2015] und kann somit als indirekter Ansatz für eine Reduzierung von Bruxismus angesehen werden. Der Grund dafür kann eine Verbesserung der Atmung sein, darauf wird im Folgeabschnitt eingegangen.
Atemwegsmanagement
Die ungehinderte Atmung, insbesondere die natürliche (Nasen-)Atmung, ist entscheidend für eine gute Schlafqualität. Besonders deutlich wird dies bei Erkrankungen mit Atemwegsobstruktion. Dies bestätigt eine Studie mit 151 Schulkindern, bei der ein Zusammenhang zwischen Schlafbruxismus und Mundatmung festgestellt wurde. Daraus lässt sich schließen, dass die Umstellung von der Mund- auf eine natürliche, physiologische Nasenatmung den Bruxismus minimieren kann. In diesem Kontext wurde beobachtet, dass bestimmte chirurgische Eingriffe wie die Adenotonsillektomie bei Kindern mit Tonsillenhyperplasie eine Verbesserung der schlafbezogenen Atmungsstörungen und zusätzlich eine Reduktion von Bruxismus bewirken konnten. Dieser Effekt beruht auf einer Verbesserung der Atemwegspermeabilität [DiFrancesco et al., 2004]. Da Schnarchen häufig ein Zeichen für die Verlegung der Atemwege darstellt, sollte bei Kindern mit Bezug zu Bruxismus auf die Therapie des Schnarchens ein besonderes Augenmerk gelegt werden.
Verbesserung der Schlafqualität
Auch Schlafstörungen, die in einem engen Verhältnis mit dem Atemwegsmanagement stehen, haben sich als wesentlicher Begleitbefund für Bruxismus herauskristallisiert. Für einen ungestörten Nachtschlaf spielen neben der Freiheit der Atemwege Faktoren wie Lärm, Licht und Temperatur eine große Rolle. Dies ist biologisch plausibel, doch bislang fehlen Studien, die die Evidenz dafür generieren können [Castroflorio et al., 2015].
In einem systematischem Review von DelRosso et al. wird darauf aufmerksam gemacht, dass die Therapie der sogenannten Restless Sleep Disorder (RSD) eine Verbesserung des Nachtschlafs bewirkt – somit könnten möglicherweise auch Erscheinungen wie Bruxismus wirksam reduziert werden [DelRosso et al., 2021].
Reduktion des Medienkonsums
Medien wie der klassische Fernseher können aufgrund des sogenannten blauen Lichts zu Einschlafproblemen und einer kürzeren Gesamtschlafdauer führen. Das gilt auch für Smartphones oder Tablets, insbesondere bei Kindern und Jugendlichen. Bereits jedes zweite Kleinkind zwischen sechs Monaten und vier Jahren hat Zugriff auf solche Geräte [Sierwald et al., 2015]. Eine Studie ergab, dass Teenager im Alter von 13 bis 15 Jahren, die ständig nachts aufwachen, Gesundheitsprobleme haben können. Die Nutzung von Smartphones und elektronischen Medien begünstigt dies [Foerster et al., 2019]. In einer Querschnittsstudie mit 739 Kindern wurde festgestellt, dass eine tägliche Bildschirmzeit von mehr als zwei Stunden und die Nutzung von Mobiltelefonen oder Tablets das Risiko von Bruxismus erhöhen [Silva et al., 2022]. Die Reduktion des Medienkonsums könnte somit auch die Bruxismusaktivitäten verringern.
Psychotherapie/Entspannungstherapie
Anspannung und Angst sind psychische Probleme, die mit einer erhöhten Wahrscheinlichkeit von Schlafbruxismus in Verbindung stehen. Aber nicht nur eine psychosomatische Störung des Kindes, sondern auch ein psychisches Leiden der Mutter können Bruxismus fördern. Ein Entspannungstraining mithilfe psychologischer Techniken kann sich dabei positiv und somit reduzierend auf Bruxismus auswirken.
Symptomatische Therapieoptionen
Medikamentöse Therapie
Eine medikamentöse Therapie wirkt grundsätzlich aktivitätsreduzierend auf alle Muskelgruppen, nicht nur auf die Aktivität der Kaumuskulatur. Die Wirkung erfolgt jedoch über verschiedene Angriffspunkte, zum Beispiel direkt an der Kaumuskulatur oder über eine Reduzierung der zentralnervösen Aktivität.
Medikamente wie Flurazepam und Hydroxyzin zeigen verglichen mit der Ausgangssituation tendenziell eine Abnahme des Schlafbruxismus. Trazodon hingegen wirkt sich nicht nur positiv auf den Schlafbruxismus aus, sondern auch auf die Schmerzen am Morgen. Nebenwirkungen wie Müdigkeit, Übelkeit, Mundtrockenheit oder Juckreiz sind bei den oben genannten Medikamenten allerdings keine Seltenheit. Diese Medikamente sollten demnach bei gesunden Kindern grundsätzlich nicht verordnet werden, wohingegen Melissa officinalis (Zitronenmelisse) unbedenklich eingesetzt werden kann, weil damit nebenwirkungsfrei gute Ergebnisse in der Altersklasse 6 bis 10 Jahre erzielt werden konnten [Tavares-Silva et al., 2019].
Medikamente im Off-Label-Use wie die Injektion von Botulinumtoxin Typ A bei Kindern mit Zerebralparese sind derzeit nur für Einzelfälle im Einsatz. Das Toxin verursacht eine neuromuskuläre Blockade, wodurch eine Reduktion der Bruxismusaktivität erreicht wird [Manzano et al., 2004]. Ein ähnlicher Effekt wurde in einem Fallbericht mit einem autistischem Kind beobachtet [Monroy und da Fonseca, 2006].
Schienentherapie
Die Schienentherapie ist nicht in allen Altersgruppen wirksam und möglich, da zwischen dem sechsten und dem zwölften Lebensjahr der größte Teil des Zahnwechsels stattfindet. Bisher wurde die Therapie bei Kindern im Alter von drei bis fünf Jahren erfolgreich eingesetzt [Hachmann et al., 1999]. Es wird von einer muskelentspannenden Wirkung wie bei Erwachsenen ausgegangen. Ab dem zwölften Lebensjahr dient die Schienentherapie vor allem dem Schutz der Zahnhartsubstanz, insbesondere um zahnärztliche Restaurationen im Frontzahnbereich oder Veneers vor Verlust zu schützen. Dabei werden Schienen mit Eckzahnführung bevorzugt.
Physiotherapie
Eine Physiotherapie soll helfen, Bruxismus zu reduzieren. Bei Kindern im Alter von drei bis sechs Jahren wurde neben einer Reduktion des Bruxismus auch eine Verbesserung der Kopfhaltung festgestellt [Quintero et al., 2009]. Bereits bestehende Kopf- und Nackenschmerzen können durch vektorielle Manipulation oder Mobilisation (osteopathischer Ansatz) vollständig zurückgehen, chronischer Schlafbruxismus kann minimiert werden.
Myofunktionelle Therapie
Mithilfe der Progressiven Muskelentspannung sollen die Patienten lernen, ihre Muskulatur zu lockern und Muskelverspannungen zu vermeiden. Durch den Wechsel von Muskelanspannung und Bewegung soll ein Entspannungszustand erreicht werden. Diese Art der myofunktionellen Therapie wird als Muskelrelaxation nach Jakobson bezeichnet und funktioniert bereits im Vorschulalter. Zusätzlich können optische Markierungen im Raum angebracht werden, die den Patienten immer wieder daran erinnern, seine Muskelaktivität zu kontrollieren. Weitere Methoden, die Muskelaktivität zu unterbrechen, sind die Elektroneurostimulation und das Biofeedback. Die elektrischen und mechanischen Impulse unterbrechen jedoch häufig den Nachtschlaf.
Photobiomodulation
Ziel der Photobiomodulation ist es, durch Bestrahlung bestimmter Trigger- oder Akupunkturpunkte mit einem Low-Level-Laser den Cortisol- und Dopaminspiegel sowie die Muskelaktivität zu verändern und eine schmerzlindernde und muskelentspannende Wirkung zu erzielen. Dieser positive Effekt wurde in einer Studie mit 76 Kindern im Alter von sechs bis zwölf Jahren gezeigt [Salgueiro et al., 2021].
Schlussfolgerung
Das ohnehin sehr komplexe Thema Bruxismus stellt eine Herausforderung für die Generierung evidenzbasierten Wissens und für die tägliche Praxis dar. Im Kindesalter nimmt der nächtliche (unbewusste) Bruxismus eine Schlüsselstellung ein. Nach heutigem Wissensstand liegen die Faktoren für Bruxismus außerhalb des Kausystems, die genaue Ätiopathogenese ist noch weitgehend unverstanden, was eine frühzeitige Prävention und die Möglichkeit einer kausalen Therapie einschränkt.
Für die tägliche Praxis ist es wichtig, das Krankheitsbild zu erkennen und dem Patienten die direkten und indirekten Folgen zu erklären.
Literaturliste
Ahmad, R., 1986. Bruxism in children. J Pedod 10, 105–126.
Alencar, N.A. de, Fernandes, A.B.N., Souza, M.M.G. de, Luiz, R.R., Fonseca-Gonçalves, A., Maia, L.C., 2017. Lifestyle and oral facial disorders associated with sleep bruxism in children. CRANIO® 35, 168–174. doi.org/10.1080/08869634.2016.1196865.
Bellerive, A., Montpetit, A., El-Khatib, H., Carra, M.C., Remise, C., Desplats, E., Huynh, N., 2015. The effect of rapid palatal expansion on sleep bruxism in children. Sleep Breath 19, 1265–1271. doi.org/10.1007/s11325-015-1156-4.
Buchhardt, J., Kiess, W., Körner, A., Biemann, R., Hirsch, C., Child Study Team, L., 2022. The Influence of Steroid Hormones on Tooth Wear in Children and in Adolescents. J Clin Med 11, 3603. doi.org/10.3390/jcm11133603.
Carra, M.C., Huynh, N.T., El-Khatib, H., Remise, C., Lavigne, G.J., 2013. Sleep bruxism, snoring, and headaches in adolescents: short-term effects of a mandibular advancement appliance. Sleep Med 14, 656–661. doi.org/10.1016/j.sleep.2013.03.009.
Castroflorio, T., Bargellini, A., Rossini, G., Cugliari, G., Deregibus, A., 2017. Sleep bruxism in adolescents: a systematic literature review of related risk factors. Eur J Orthod 39, 61–68. doi.org/10.1093/ejo/cjw012.
Castroflorio, T., Bargellini, A., Rossini, G., Cugliari, G., Rainoldi, A., Deregibus, A., 2015. Risk factors related to sleep bruxism in children: A systematic literature review. Arch Oral Biol 60, 1618–1624. doi.org/10.1016/j.archoralbio.2015.08.014Castroflorio, T., Bargellini, A., Rossini, G., Cugliari, G., Rainoldi, A., Deregibus, A., 2015. Risk factors related to sleep bruxism in children: A systematic literature review. Arch Oral Biol 60, 1618–1624. doi.org/10.1016/j.archoralbio.2015.08.014.
DelRosso, L.M., Picchietti, D.L., Spruyt, K., Bruni, O., Garcia-Borreguero, D., Kotagal, S., Owens, J.A., Simakajornboon, N., Ferri, R., 2021. Restless sleep in children: A systematic review. Sleep Medicine Reviews 56, 101406. doi.org/10.1016/j.smrv.2020.101406.
Ekfeldt, A., 1989. Incisal and occlusal tooth wear and wear of some prosthodontic materials. An epidemiological and clinical study. Swed Dent J Suppl 65, 1–62.
Hirsch, C., 2009. No Increased risk of temporomandibular disorders and bruxism in children and adolescents during orthodontic therapy. J Orofac Orthop 70, 39–50. doi.org/10.1007/s00056-009-0820-3.
Jordan, R.A., Bodechtel, C., Hertrampf, K., Hoffmann, T., Kocher, T., Nitschke, I., Schiffner, U., Stark, H., Zimmer, S., Micheelis, W., DMS V Surveillance Investigators’ Group, 2014. The Fifth German Oral Health Study (Fünfte Deutsche Mundgesundheitsstudie, DMS V) - rationale, design, and methods. BMC Oral Health 14, 161. doi.org/10.1186/1472-6831-14-161.
LAVIGNE, G., 1995. Bruxism : Epidemiology, diagnosis, pathophysiology, and pharmacology. Orofacial pain and temporomandibular disorders 387–404.
Lima, L.C.M. de, Leal, T.R., AraúJo, L.J.S. de, Sousa, M.L.C., Silva, S.E. da, Serra-Negra, J.M.C., Ferreira, F. de M., Paiva, S.M., Granville-Garcia, A.F., 2022. Impact of the COVID-19 pandemic on sleep quality and sleep bruxism in children eight to ten years of age. Braz. oral res. 36, e046. doi.org/10.1590/1807-3107bor-2022.vol36.0046.
Lindqvist, B., 1971. Bruxism in children. Odontol Revy 22, 413–423.
Lobbezoo, F., Ahlberg, J., Glaros, A.G., Kato, T., Koyano, K., Lavigne, G.J., de Leeuw, R., Manfredini, D., Svensson, P., Winocur, E., 2013. Bruxism defined and graded: an international consensus. J Oral Rehabil 40, 2–4. doi.org/10.1111/joor.12011.
Lobbezoo, F., Naeije, M., 2001. Bruxism is mainly regulated centrally, not peripherally. J Oral Rehabil 28, 1085–1091. doi.org/10.1046/j.1365-2842.2001.00839.x.
Manzano, F.S., Granero, L.M., Masiero, D., dos Maria, T.B.R., 2004. Treatment of muscle spasticity in patients with cerebral palsy using BTX-A: a pilot study. Spec Care Dentist 24, 235–239. doi.org/10.1111/j.1754-4505.2004.tb01699.x.
Monroy, P.G., da Fonseca, M.A., 2006. The use of botulinum toxin-a in the treatment of severe bruxism in a patient with autism: a case report. Spec Care Dentist 26, 37–39. doi.org/10.1111/j.1754-4505.2006.tb01508.x.
Souza, V.A.F., Abreu, M.H.N.G., Resende, V.L.S., Castilho, L.S., 2014. Factors associated with bruxism in children with developmental disabilities. Braz. oral res. 29, 01–05. doi.org/10.1590/1807-3107BOR-2015.vol29.0009.
Tachibana, M., Kato, T., Kato-Nishimura, K., Matsuzawa, S., Mohri, I., Taniike, M., 2016. Associations of sleep bruxism with age, sleep apnea, and daytime problematic behaviors in children. Oral Dis 22, 557–565. doi.org/10.1111/odi.12492.
Tavares-Silva, C., Holandino, C., Homsani, F., Luiz, R.R., Prodestino, J., Farah, A., Lima, J. de P., Simas, R.C., Castilho, C.V.V., Leitão, S.G., Maia, L.C., Fonseca-Gonçalves, A., 2019. Homeopathic medicine of Melissa officinalis combined or not with Phytolacca decandra in the treatment of possible sleep bruxism in children: A crossover randomized triple-blinded controlled clinical trial. Phytomedicine 58, 152869. doi.org/10.1016/j.phymed.2019.152869.
Tecco, S., Festa, F., 2010. Prevalence of signs and symptoms of temporomandibular disorders in children and adolescents with and without crossbites. World J Orthod 11, 37–42.
Wetselaar, P., Lobbezoo, F., 2016. The tooth wear evaluation system: a modular clinical guideline for the diagnosis and management planning of worn dentitions. J Oral Rehabil 43, 69–80. doi.org/10.1111/joor.12340.
Wetselaar, P., Vermaire, E.J.H., Lobbezoo, F., Schuller, A.A., 2021. The prevalence of awake bruxism and sleep bruxism in the Dutch adolescent population. J Oral Rehabil 48, 143–149. doi.org/10.1111/joor.13117.











