Ein neues Grundlagenpapier zum Kinderschutz
Ein erkranktes und unversorgtes Gebiss bei Kindern und Heranwachsenden kann ein erstes Alarmzeichen für die gesundheitliche Vernachlässigung oder sogar eine Gefährdung des Kindeswohls sein“, sagte die BZÖG-Vorsitzende Dr. Ilka Gottstein, als sie das Grundlagenpapier in Hamburg vorstellte. Der BZÖG-Fachzahnarzt Dr. Pantelis Petrakakis, der die Inhalte mit erarbeitet hat, fügte hinzu: „Auf Basis der sogenannten dentalen Vernachlässigung können Zahnärztinnen und Zahnärzte besonders gut dazu beitragen, gefährdete Kinder früh zu erkennen – sowohl in der Zahnarztpraxis als auch im Rahmen von Vorsorgeuntersuchungen in Kitas und Schulen.“
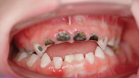
Was charakterisiert „Dental Neglect“?
Die Arbeitsgruppe Kinderschutz (AGK) des BZÖG hat sich vor diesem Hintergrund zum Ziel gesetzt, eine Übersicht über bestehende Schutzkonzepte zu schaffen und diese der Öffentlichkeit zur Verfügung zu stellen. Darüber hinaus planen die Mitglieder, selbst übergreifende Konzepte zu erarbeiten und dabei Akteurinnen und Akteure aus unterschiedlichen Fachrichtungen und Organisationen einzubeziehen.
Mit ihrem 22-seitigen Grundlagenpapier legt die AGK die Basis: Das Papier geht auf die rechtlich relevanten Grundlagen zum Kinderschutz in Deutschland ein, beschreibt aus fachlicher Sicht, was eine dentale Vernachlässigung – auch als „Dental Neglect“ bezeichnet – charakterisiert, und welche Zusammenhänge mit einer Kindeswohlgefährdung bestehen können. Der umfassende Blick auf das komplexe Thema, insbesondere der Fokus auf zahnmedizinische Aspekte, macht das Papier zu einem informativen Ausgangspunkt für Fachkräfte sowohl in den Zahnarztpraxen als auch in den öffentlichen Gesundheitsdiensten, der so bisher noch nicht vorlag.
Die Autorinnen und Autoren beschreiben unter Einbeziehung der aktuellen Kinderschutzleitlinie ausführlich, was eine zahnmedizinische Nicht- oder Unterversorgung ausmacht – das können zum Beispiel kariöse Zähne oder Infektionen der Mundhöhle sein – und ab wann diese Anzeichen auf eine Kindeswohlgefährdung hinweisen. Hier sollten Zahnärztinnen, Zahnärzte und andere Dentalfachkräfte etwa bei Verletzungen der Mundschleimhaut wie einem gerissenen Lippenbändchen oder bei Zahnfrakturen aufmerksam werden. Außerhalb der Mundhöhle können Ohr- oder Augenverletzungen sowie Hämatome im Gesicht ein Hinweis sein.
Die AGK geht in dem Papier auch auf die wichtigsten Rechtsgrundlagen ein, angefangen beim Gesundheitsdienstgesetz und den Kinderschutzgesetzen auf Bundes- und Länderebene bis zu den Datenschutzgesetzen – und wie diese zum einen Fachkräfte in den zahnärztlichen Gesundheitsdiensten und zum anderen Berufsgeheimnisträgerinnen und –träger betreffen.
Kontakt besteht zu allen Kindern
Wegen ihres aufsuchenden Ansatzes spielt aus Sicht der AGK die zahnmedizinische Früherkennung im Rahmen der bei den kommunalen Gesundheitsämtern angesiedelten Gruppenprophylaxe eine besonders wichtige Rolle, um potenzielle Kindeswohlgefährdung zu erkennen. „Durch die regelmäßigen Vorsorgeuntersuchungen können sehr viele Kinder sehr frühzeitig in ihrer Lebenswelt erreicht und zahnärztlich untersucht werden. Diese Betreuungsstrukturen ermöglichen den Kontakt zu allen Kindern. Dies ist insbesondere bei Kindern aus Familien mit einem problematischen sozialen Hintergrund von Bedeutung, die häufig aus unterschiedlichen Gründen einen eher eingeschränkten Zugang in die Arzt- und Zahnarztpraxis haben“, sagte Petrakakis beim ÖGD-Kongress in Hamburg. So sei es möglich, frühzeitig Hilfe anzubieten und zu vermitteln.
Auf Basis der sogenannten dentalen Vernachlässigung können Zahnärztinnen und Zahnärzte besonders gut dazu beitragen, gefährdete Kinder früh zu erkennen.
Dr. Pantelis Petrakakis, BZÖG
Um den Kinderschutz zu stärken, strebt die AGK wissenschaftliche Kooperationen mit medizinischen und zahnmedizinischen Fachgesellschaften, fachspezifischen Bildungsinstitutionen, berufspolitischen oder fachlichen Verbänden sowie mit Fakultäten der Zahn-, Kinder- und Rechtsmedizin an. Außerdem wollen die Mitglieder die zahnärztlichen Dienste in Deutschland bei der Konzeption und der Umsetzung von Kinderschutzkonzepten unterstützen. „Gerne stehen wir den relevanten Akteurinnen und Akteuren auf kommunaler Ebene bei der Erarbeitung und Umsetzung von Präventionsprogrammen zur Seite und zeigen ihnen Möglichkeiten für Kooperationen auf“, fügte Gottstein hinzu. „Durch solche Netzwerke entsteht die Chance, aus den Erfahrungen Anderer zu lernen und ein strukturiertes Vorgehen erfolgreich in den Arbeitsalltag zu integrieren.“
Die Verstetigung von Schutzkonzepten würde der BZÖG begrüßen. Aktuell zeigten Erfahrungen aus den bestehenden Konzepten verschiedene interne sowie externe Hindernisse in deren Umsetzung und Etablierung auf, für die eine „ganze Reihe von Ursachen“ infrage kämen, heißt es im Grundlagenpapier: „Mit Blick auf einen erhöhten Dokumentations-, Gesprächs- und Nachsorgeaufwand ist mit der Umsetzung von Kinderschutzkonzepten ein erhöhter Ressourceneinsatz verbunden, der das Personal der Zahnärztlichen Dienste bindet und konsequenterweise zu einem deutlichen zeitlichen Mehraufwand neben der notwendigen Erfüllung der Pflichtaufgaben führt. Abhilfe müssen eine Erhöhung personeller Ressourcen sowie die Festschreibung des Kinderschutzes in den einschlägigen Gesundheitsdienstgesetzen der Länder schaffen.“
Das Grundlagenpapier der AG Kinderschutz des Bundesverbands der Zahnärztinnen und Zahnärzte des Öffentlichen Gesundheitsdienstes finden Sie hier zum Download.






