Minimalinvasive Rehabilitation mit direkten Kompositrestaurationen im Frontzahnbereich
Der 57-jährige Patient wünschte sich im Oberkieferfrontzahnbereich eine Verbesserung der ästhetischen Situation. Die Allgemeinanamnese war unauffällig. Im Rahmen der speziellen Anamnese wurde ein erhöhtes Risiko für säurebedingte Zahnhartsubstanzschäden festgestellt. Die Erosionsanamnese ergab einen häufigen Verzehr von säurehaltigen Lebensmitteln als exogenen Faktor bei normaler Salivation.
Planung und Ziele
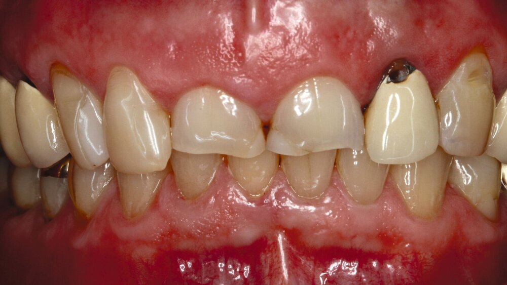
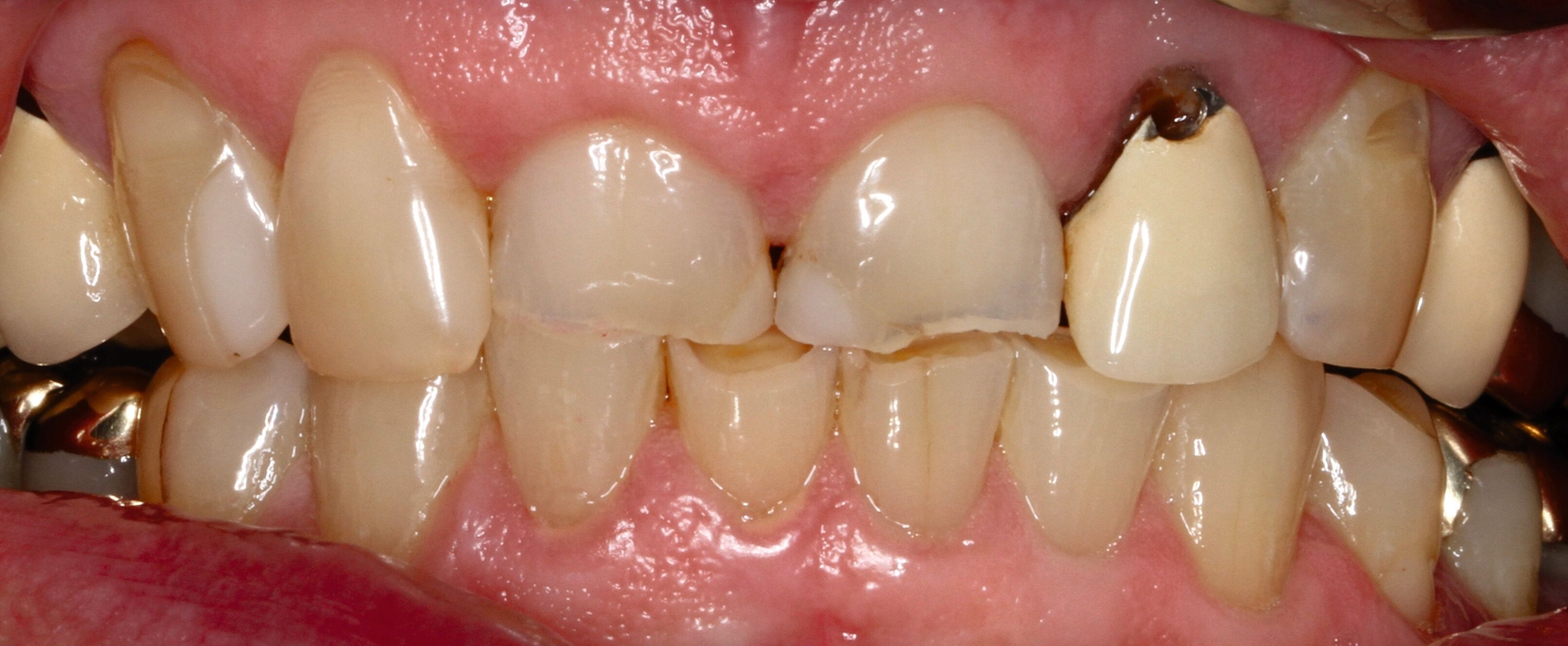
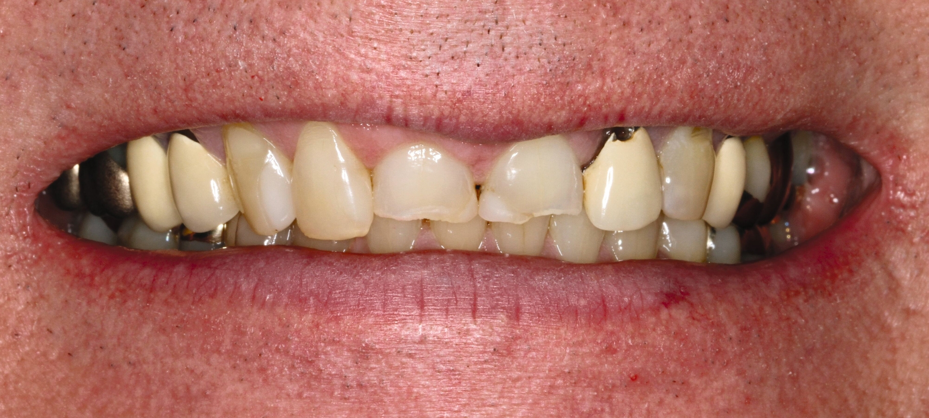
Die dentale Ausgangssituation zeigte im Seitenzahnbereich ein suffizient konservierend und prothetisch versorgtes Gebiss der zweiten Dentition sowie im Frontzahnbereich nicht kariogene Zahnhartsubstanzverluste und eine defekte Krone mit Sekundärkaries (Abbildungen 1 und 2).
Zur Verbesserung der Ästhetik und des Wohlbefindens des Patienten standen die Harmonisierung der Lachlinie und des Frontzahnbogens sowie Farb- und Formkorrekturen der Oberkieferfrontzähne im Fokus. An den Zähnen 11 und 21 waren Zahnhartsubstanzverluste durch Erosion und Attrition zu erkennen. Zahn 23 hatte ebenfalls einen erosiven Defekt, Zahn 13 eine farblich abweichende Kompositrestauration und die Zähne 14 und 24 wiesen keilförmige Defekte zervikal der Kronenränder auf, die einen suffizienten Randschluss haben (Abbildung 1a).
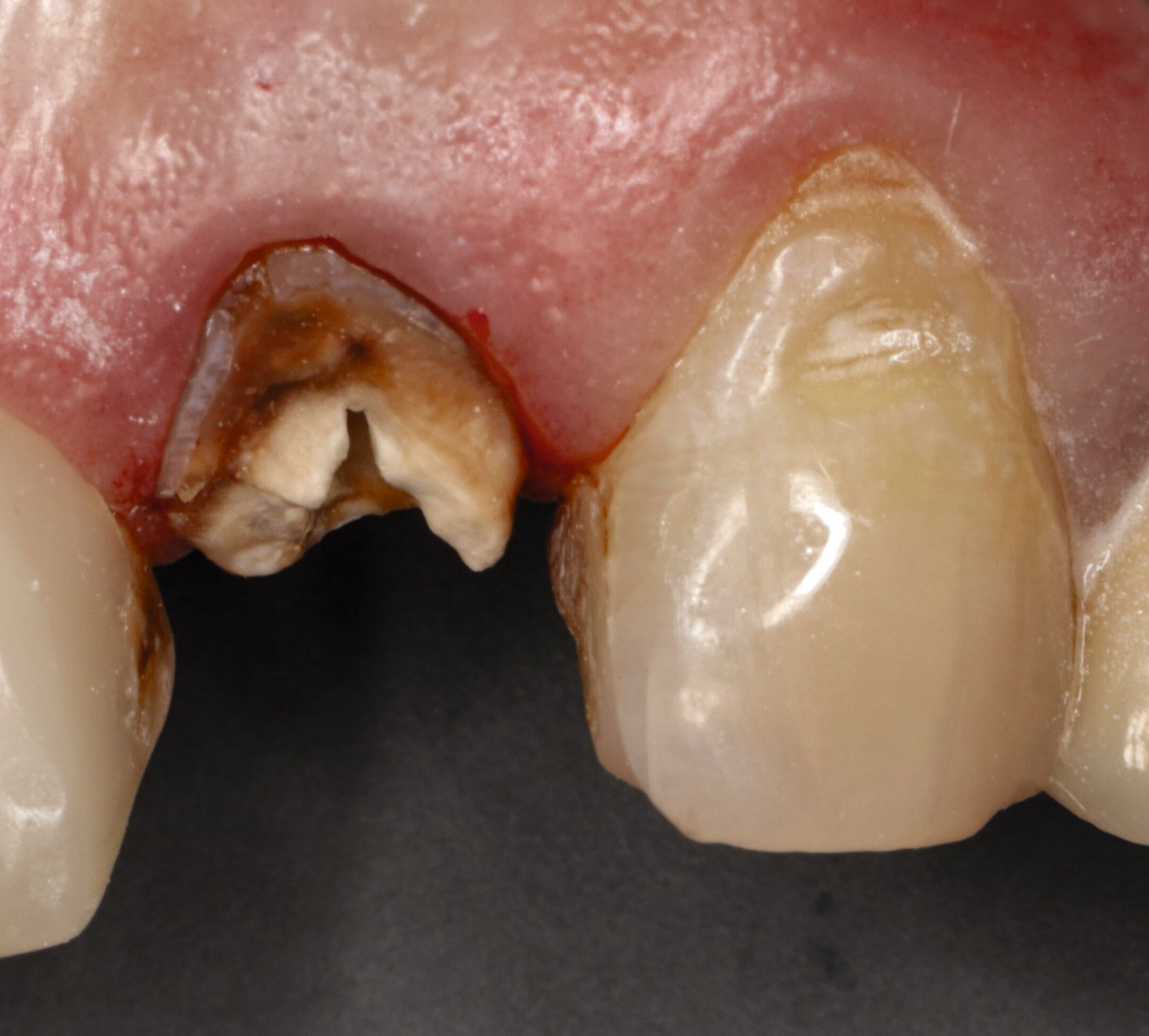
Vor 25 Jahren hatte der Patient ein Frontzahntrauma an Zahn 22 erlitten, der daraufhin mit einer Wurzelspitzenresektion und einer retrograden Amalgamfüllung versorgt worden war (Abbildung 3a). Dabei war die Zahnkrone mit einer keramisch verblendeten Stiftkrone aus Nichtedelmetall rekonstruiert worden, die nun aufgrund von Sekundärkaries insuffizient und gelockert war, jedoch keine Beschwerden verursachte. Klinisch wies der Zahn eine sehr kurze klinische Krone ohne ausreichendes Ferruledesign auf (Abbildung 5a) [Naumann et al., 2018a; Naumann et al., 2018b]. Neben dem Verdacht auf einen obliterierten mittleren Wurzelkanalabschnitt gab es röntgenologisch keinen Hinweis auf apikale Osteolysen oder parodontale Auffälligkeiten (Abbildung 3b). Der Patient entschied sich trotz des erhöhten Zahnhartsubstanzdefekts für den Zahnerhalt durch einen adhäsiv verankerten Kompositaufbau.
Die Zähne 11, 21 und 32–42 wiesen aufgrund des Zahnverschleißes stark verkürzte klinische Kronen auf. Durch diese Zahnhartsubstanzverluste sind die genannten Zähne über die Zeit elongiert – gut erkennbar an dem in Richtung Okklusionsebene verschobenen Verlauf des Gingivalsaums –, wodurch sich ein frontaler Tiefbiss und in Protrusion eine verzahnte Frontzahnführung im Schlüssel-Schloss-Prinzip mit veränderter Rot-Weiß-Ästhetik adaptiert haben. Daraus resultiert ein verringertes Platzangebot in statischer und in dynamischer Okklusion (Abbildungen 1b und 1d).
Neue Fallserie aus der Zahnerhaltung
Liebe Kolleginnen und Kollegen,
die Zahnerhaltung mit all ihren Facetten nimmt einen immer größeren Anteil des Alltags in der zahnärztlichen Praxis ein. Immer mehr Menschen behalten ihre natürlichen Zähne bis ins hohe Alter, was den Fokus der zahnärztlichen Versorgung erheblich verändert und neue Probleme mit sich bringt. Eine komplexere Diagnostik, Wurzelkaries, subgingivale Restaurationsränder, Tooth-Wear und multimorbide Patienten – um nur einige zu nennen – stellen uns vor neue Herausforderungen. Gleichzeitig erlauben uns neue Materialien, Konzepte und minimalinvasive Techniken, heute nicht nur viel Zahnhartsubstanz-schonender zu restaurieren, sondern auch Zähne zu erhalten, die früher als nicht mehr erhaltungsfähig galten.
Die Deutsche Gesellschaft für Zahnerhaltung (DGZ) hat es sich zur Aufgabe gemacht, diese Weiterentwicklungen zu fördern und den aktuellen Stand der Technik sowie die neuen Versorgungsmöglichkeiten zugänglich zu machen. In loser Folge soll daher an dieser Stelle eine Auswahl klinischer Fallberichte aus unserem Juniorspezialisierungsprogramm veröffentlicht werden. Diese Fälle illustrieren nicht nur die Vielfalt und das Innovationspotenzial der modernen Zahnerhaltung, sondern verdeutlichen auch, wie wichtig und lohnend es ist, sich mit den Feinheiten und neuen Entwicklungen der Disziplin vertraut zu machen.
Ich lade Sie herzlich ein, sich inspirieren zu lassen und neue Impulse für die eigene Praxis zu gewinnen. Denn: Die moderne Zahnerhaltung bietet viele kreative substanzschonende Lösungen!
Viel Freude bei der Lektüre!
Ihr Sebastian Paris
Präsident der Deutschen Gesellschaft für Zahnerhaltung e.V. (DGZ)
Aufgrund der funktionell akzeptablen und insgesamt suffizienten Restaurationen im Ober- und im Unterkieferseitenzahnbereich wurde von einer Neuversorgung dieser Restaurationen zur Veränderung der vertikalen Kieferrelation abgesehen. Der Patient legte Wert darauf, dass der Behandlungsumfang, die Kosten und ein weiterer Substanzverlust auf ein Minimum beschränkt werden. Um die Möglichkeiten der minimalinvasiven restaurativen Zahnmedizin und die Wünsche des Patienten zu vereinen, wurde ein Behandlungskonzept mit adhäsiv verankerten direkten Kompositrestaurationen umgesetzt (Materialliste) [DGZMK, 2024; Loomans et al., 2017].
Therapie
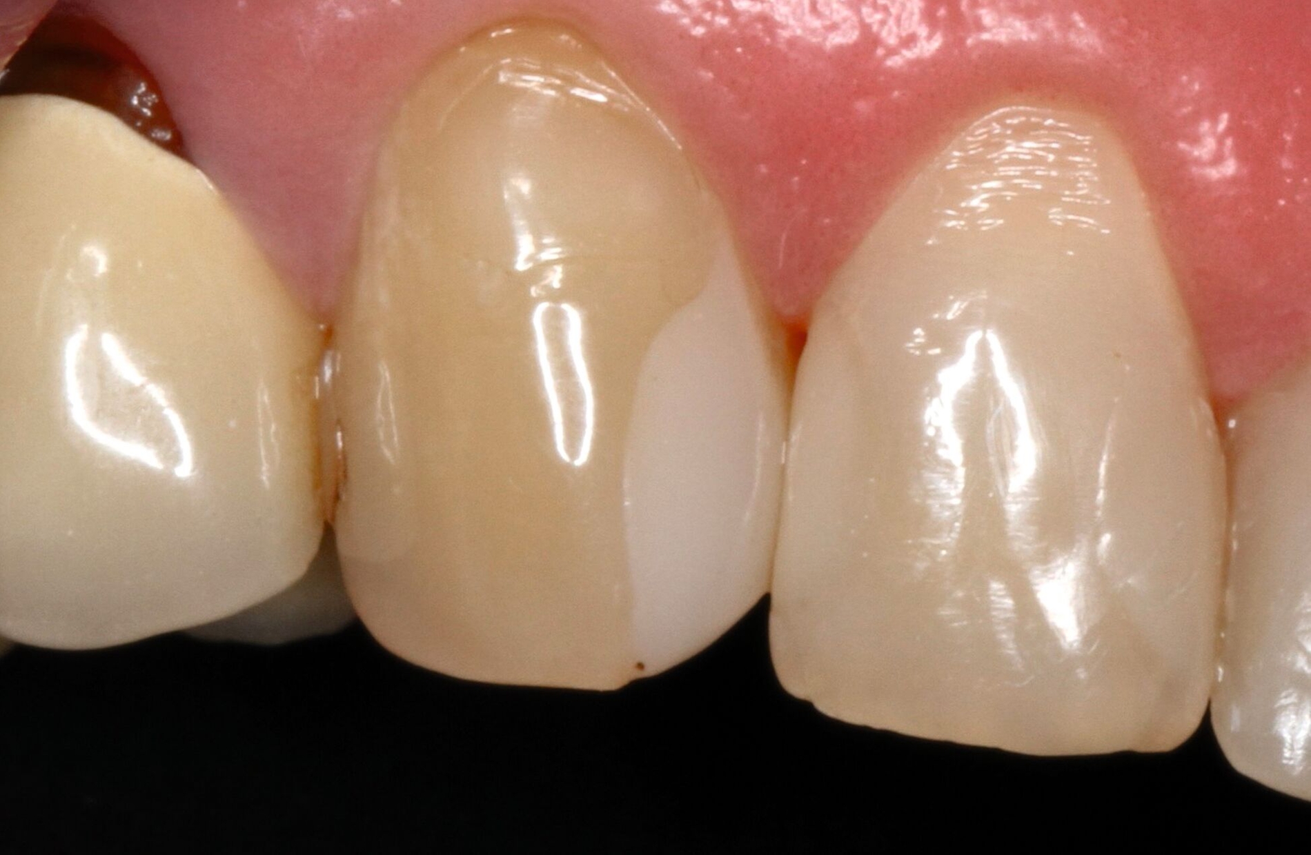
Direkte Kompositveneers an Zahn 11 und 21
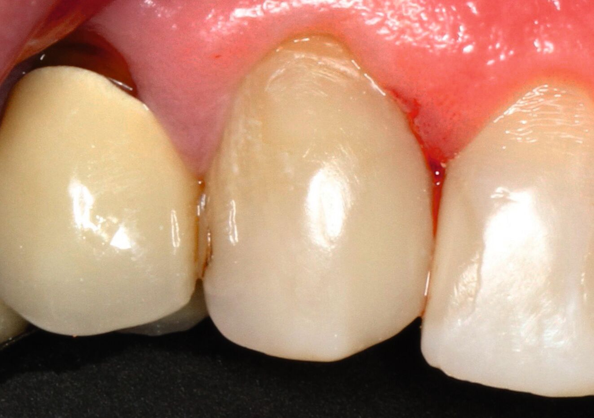
Nach Herstellung eines Wax-ups wurde zur Visualisierung des erzielten Ergebnisses und zur Kontrolle der Funktion ein intraorales Mock-up angefertigt (Abbildungen 4a bis 4d). Zur definitiven Versorgung wurden die Zähne 11 und 21 mit einem Universaladhäsiv im Etch & Rinse-Modus unter Verwendung eines Silikonschlüssels als Formhilfe sowie der Anlage von Frontzahnmatrizen (Unica anterior) mit direkten Kompositveneers in Inkrementschichttechnik restauriert (Abbildungen 4e bis 4g). Auf eine Gingivektomie zur Harmonisierung der Rot-Weiß-Ästhetik der elongierten Zähne 11 und 21 wurde auf Wunsch des Patienten verzichtet.
-> Der Vorteil der gewählten Frontzahnmatrizen liegt in der optimalen Visualisierung der finalen Form der Restauration und in der adäquaten Gestaltung der interproximalen Kontakte und zervikalen Ränder durch Gingivaretraktion [Urkande et al., 2023; Amaro et al., 2021].
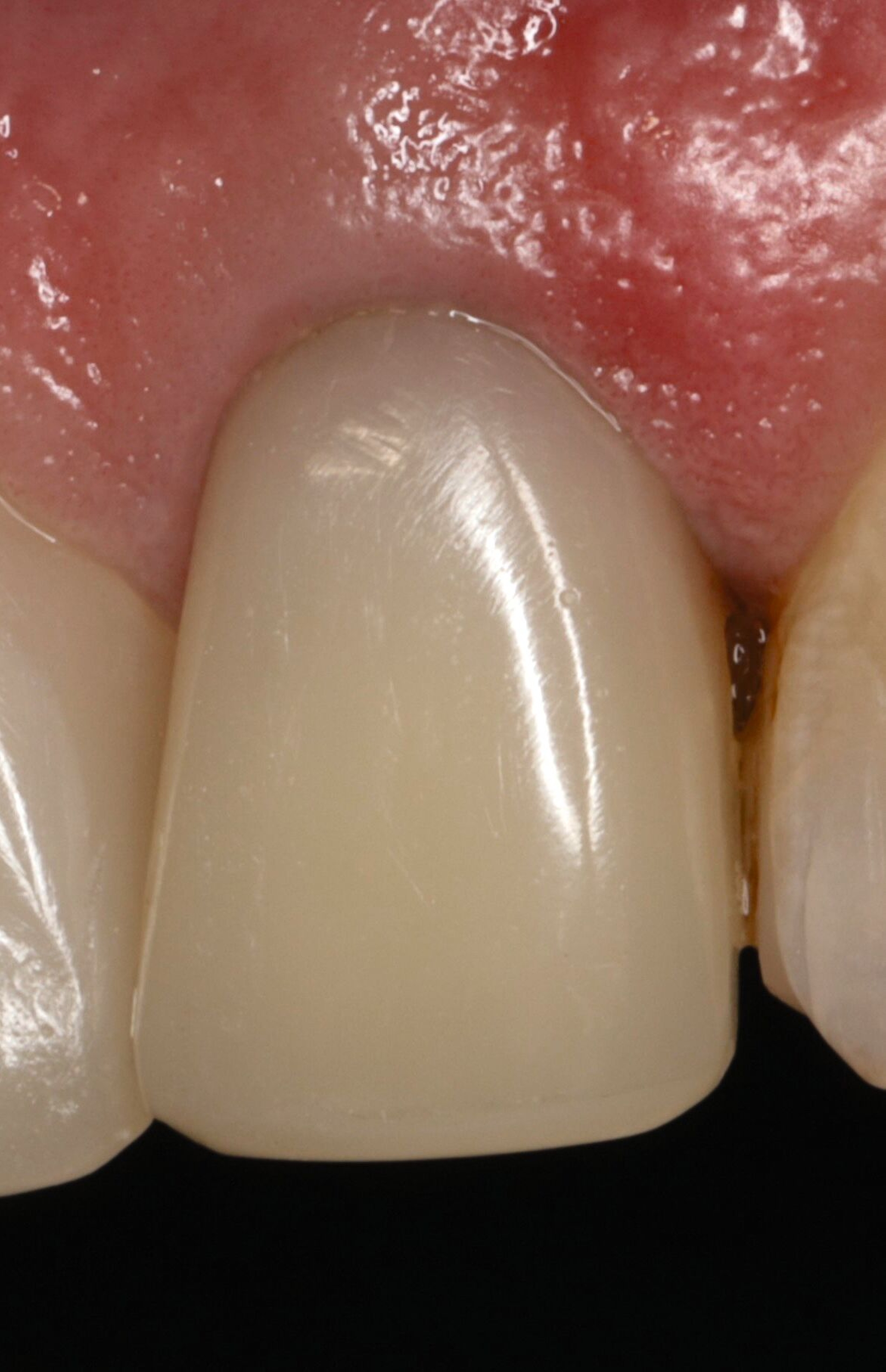
Direkt modellierte Kompositkrone an Zahn 22
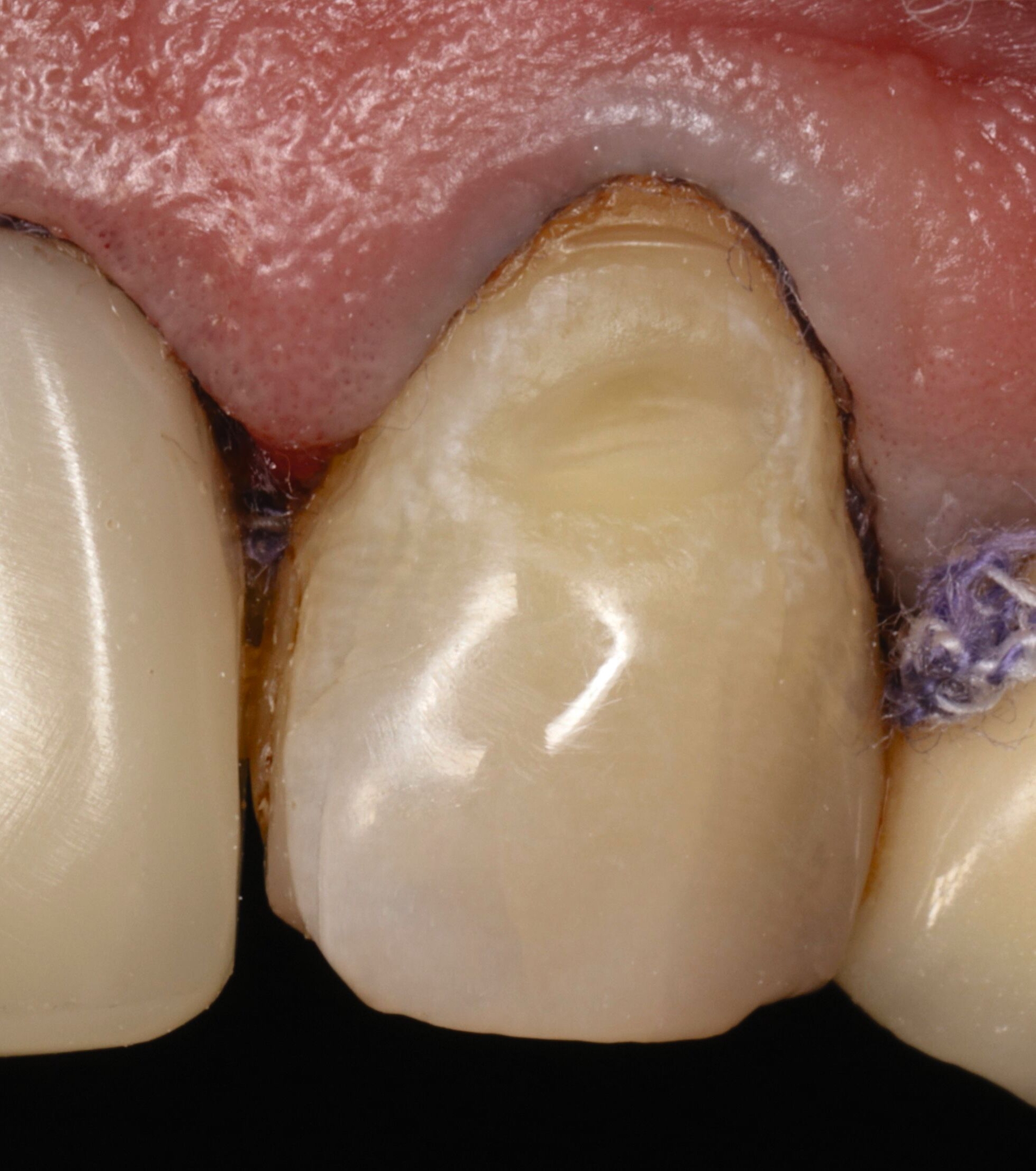
Für die restaurative Therapie von Zahn 22 wurde die alte Stiftkrone entfernt und die Stiftbohrung an die neue Indikation angepasst (Abbildungen 5a und 5b). Die Zahnkrone wurde dabei in drei Phasen wiederhergestellt: adhäsives Zementieren eines konfektionierten Glasfaserstifts, Stumpfaufbau und Modellation einer direkten Kompositkrone mit Silikonschlüssel, Frontzahnmatrize für komplexe Situationen und Schneepflugtechnik (Abbildungen 5c bis 5e) [Urkande et al., 2023; Amaro et al., 2021; Frese, 2020; Mannocci et al., 2002; Dimitrouli et al., 2011; Opdam et al., 2003]. Im Röntgenkontrollbild zeigt sich ein suffizienter Stiftaufbau (Abbildung 6).
-> Bei der Schneepflugtechnik wird eine dünne Schicht fließfähiges Komposit ohne Lichtpolymerisation auf die Zahn- oder Restaurationsoberfläche aufgetragen, ein mittelvisköses Komposit darüber adaptiert und beides zusammen polymerisiert. Ziele dieser Methode sind eine blasenfreie Adaptation des Komposits an die Zahnoberfläche sowie eine homogene Restauration [Opdam et al., 2003].
Klasse-IV-Kompositreparatur an Zahn 13
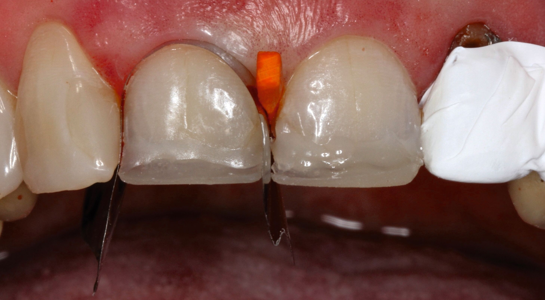
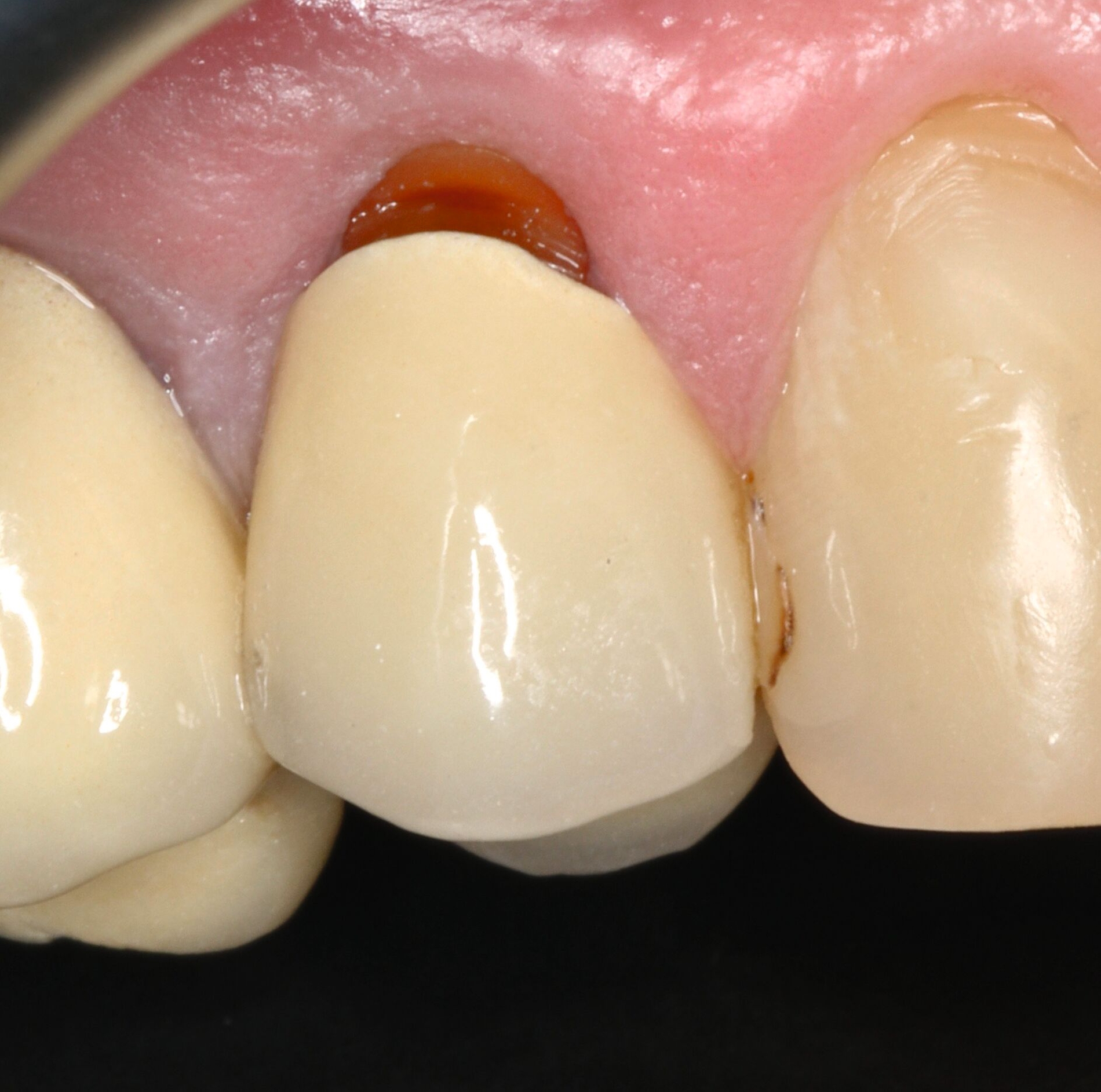
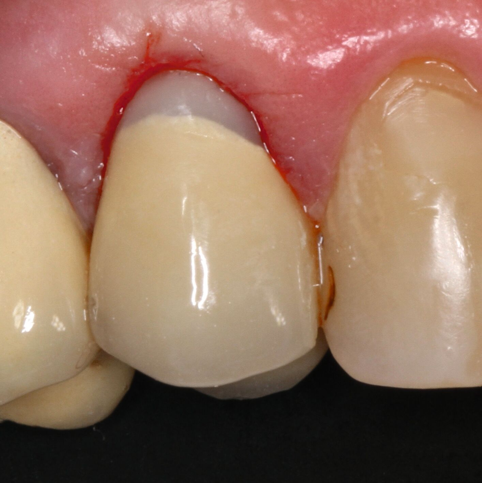
Zur Harmonisierung des Erscheinungsbildes wurde nach partieller Entfernung der alten Restauration eine Farbkorrektur an Zahn 13 im Sinne einer Kompositreparatur vorgenommen. Die Vorbehandlung der Zahn- beziehungsweise der Restaurationsoberfläche erfolgte durch Sandstrahlen mit Aluminiumoxidpulver, Schmelzkonditionierung mit Phosphorsäure und einem Universaladhäsiv [Lührs, 2015]. Nach Aufbau der palatinalen Wand wurde die Randleiste mit der dynamischen Matrizentechnik ausgeformt und die Vestibulärfläche rekonstruiert [Krastl et al., 2020].
-> Bei der dynamischen Matrizentechnik wird eine transparente Matrize im Approximalraum angebracht, eine leistenförmige Wulst aus Komposit dagegen geschichtet und die Matrize nach palatinal durchgezogen, um die Randleiste auszuformen und einen Approximalkontakt herzustellen (Abbildung 7).
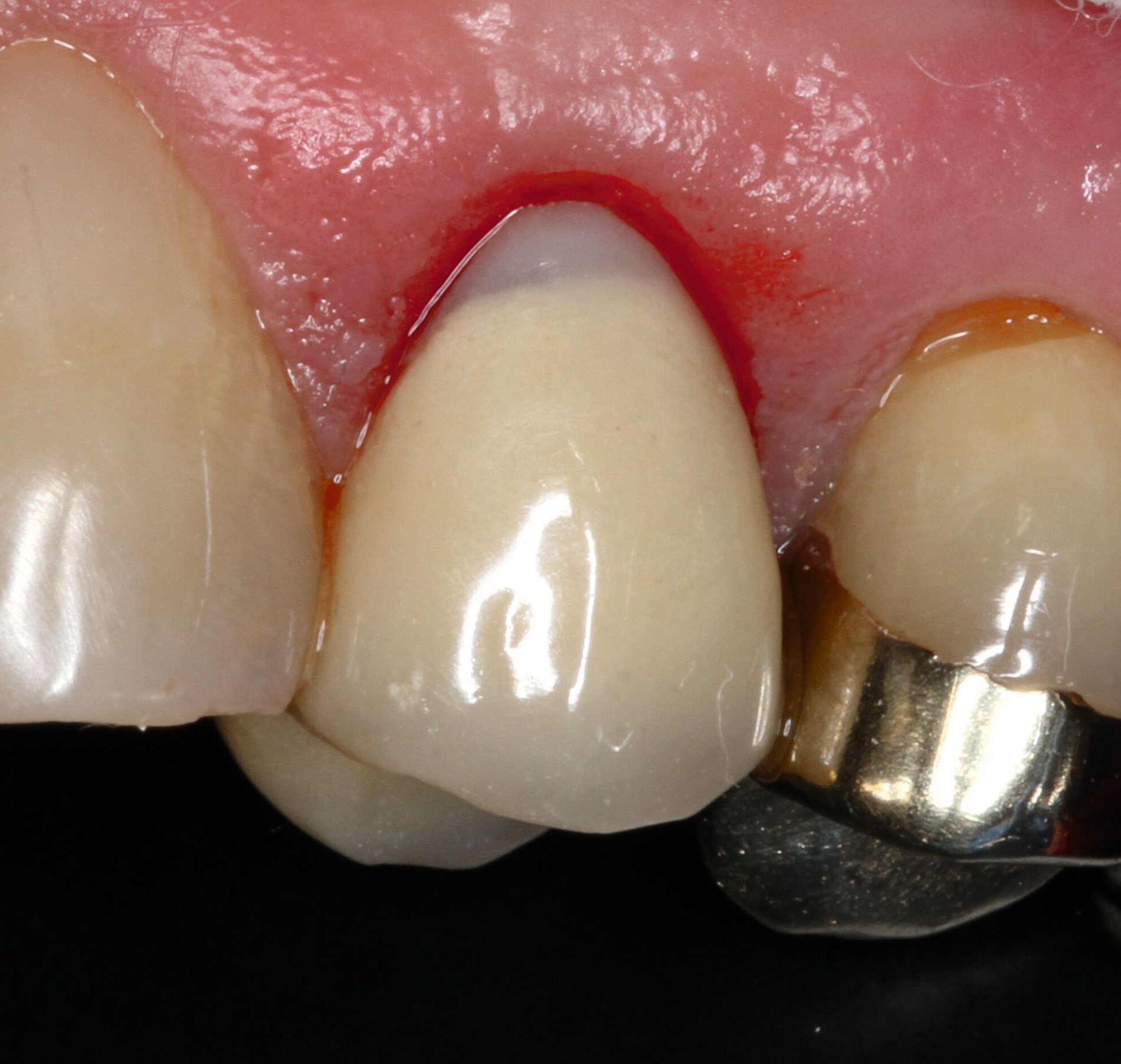
Klasse-V-Restauration an Zahn 23
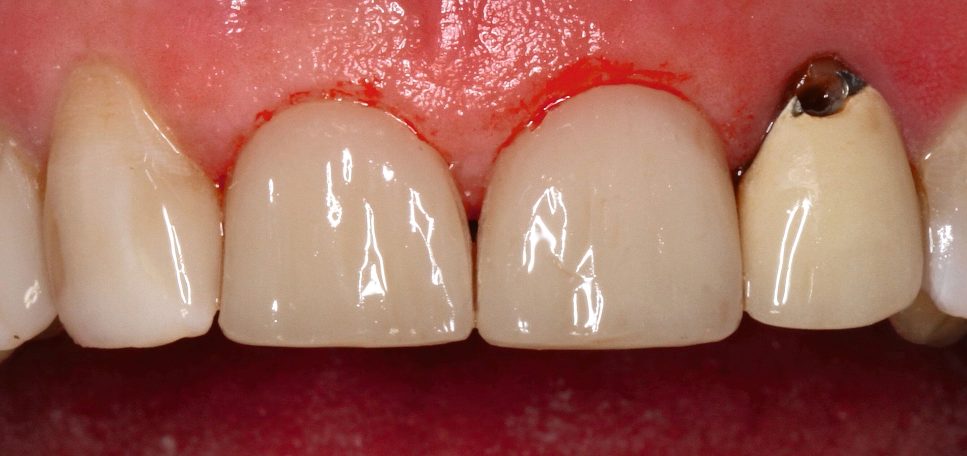
Der klassische Erosionsdefekt mit einem schmalen, zervikal gelegenen, intakten Schmelzrand sowie einer plaquefreien Oberfläche an Zahn 23 wurde mit einer direkten Kompositrestauration nach Legen eines Retraktionsfadens therapiert (Abbildung 8).
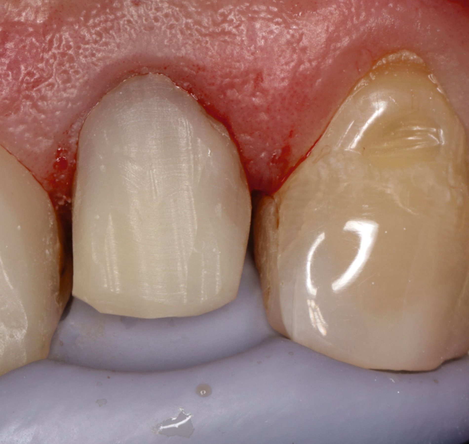
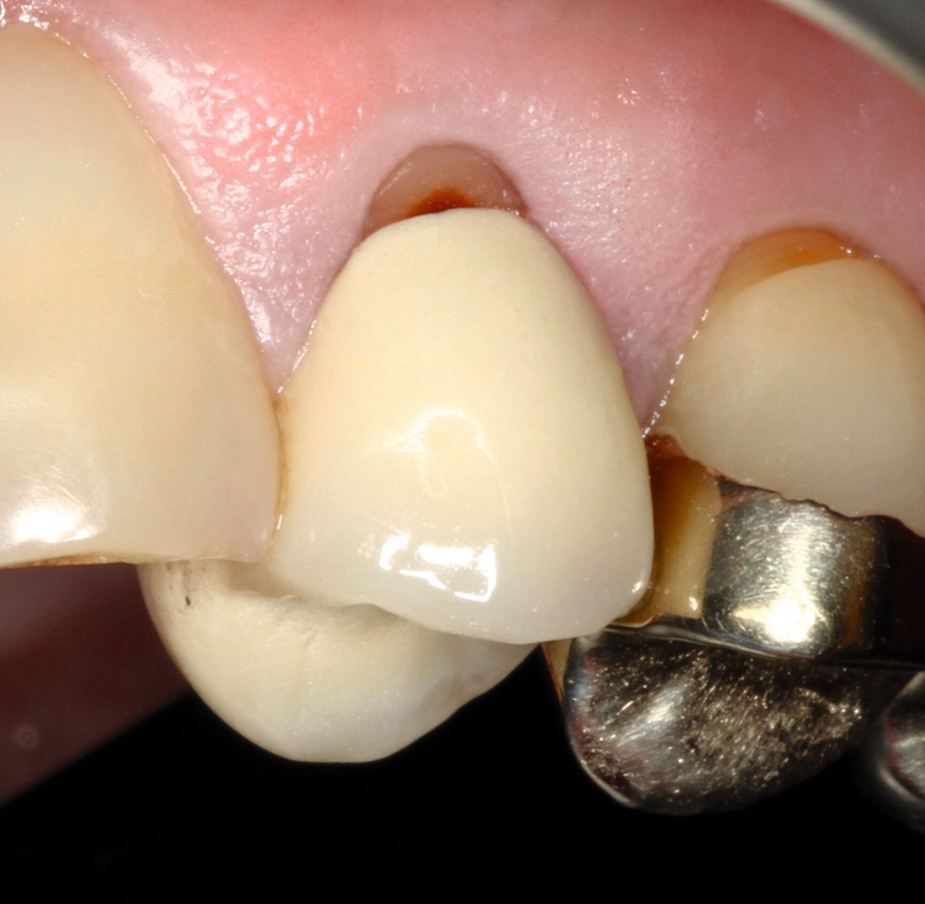
Klasse-V-Kompositreparaturen an Zahn 14 und 24
Die keilförmigen Defekte an den Zähnen 14 und 24 empfand der Patient bei Kontakt mit der Zunge als mechanische Irritationsstelle, weshalb eine Kompositreparatur zur Schonung der sonst intakten prothetischen Versorgung und der Zahnhartsubstanz eine sinnvolle und minimalinvasive Option darstellte [Jain et al., 2022]. Dabei wurden Retraktionsfäden zur Defektdarstellung eingebracht, die Dentinoberflächen mit einem Rosenbohrer mechanisch angeraut, die metallkeramischen Kronenränder mit CoJet-Sand silikatisiert, mit einem Silan silanisiert und die gesamte Restaurationsfläche mit einem 10-MDP-haltigen Universaladhäsiv vorbehandelt, um eine suffiziente Haftung zu generieren (Abbildungen 9 und 10) [Lührs, 2015; Stangel et al., 1987; Loguercio et al., 2015; Lührs et al., 2020; Ozcan und Niedermeier, 2002; Hickel et al., 2013]. Aufgrund der stark unterschiedlichen Transluzenz von Kronenmaterial und Komposit war es nicht möglich, eine unsichtbare Reparatur zu erzielen.
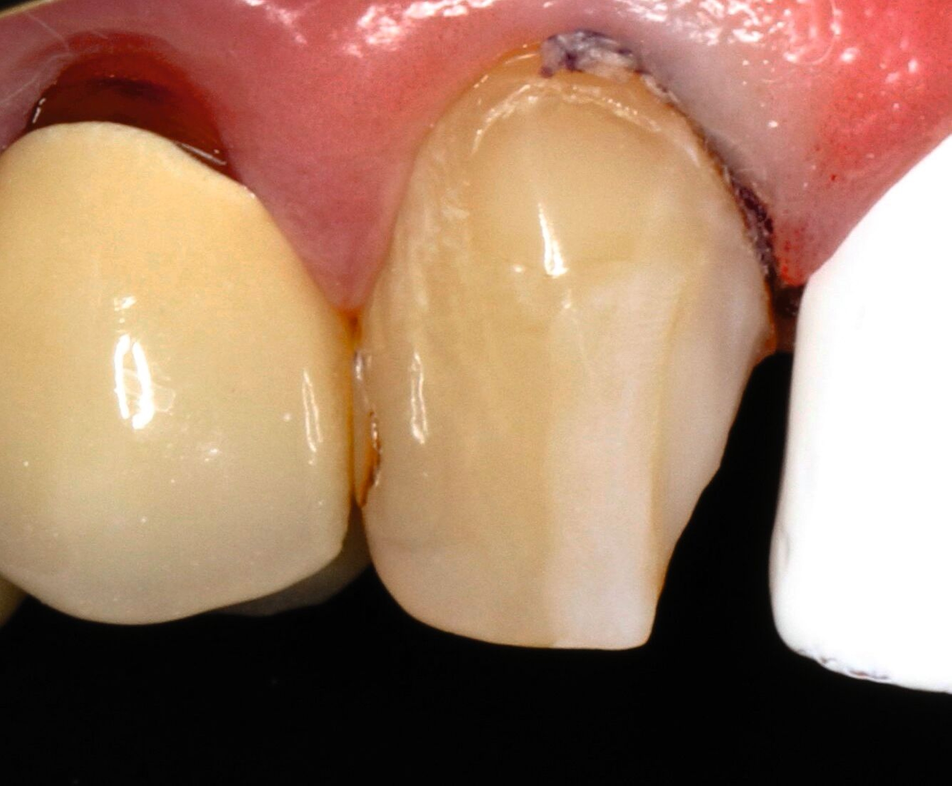
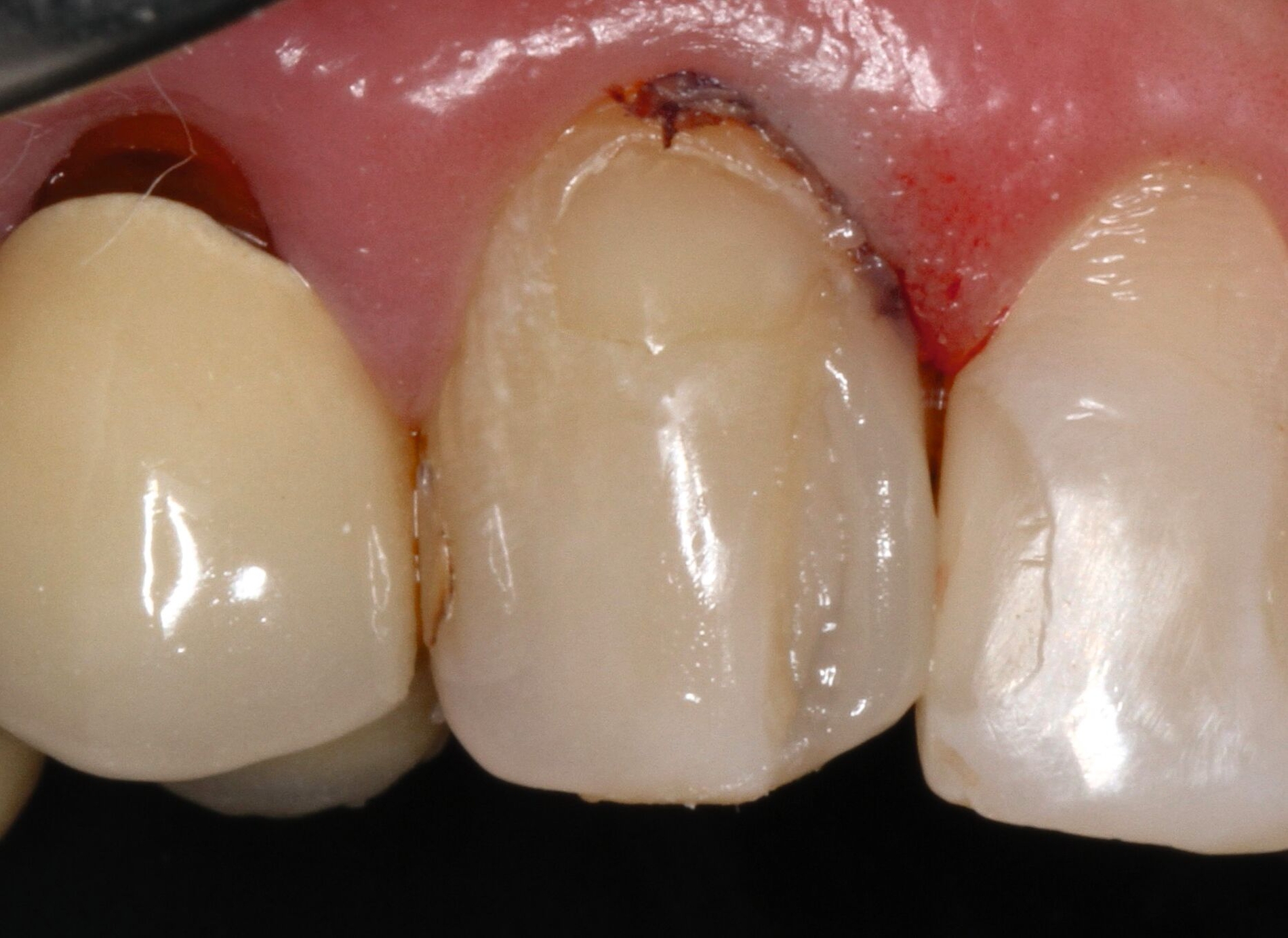
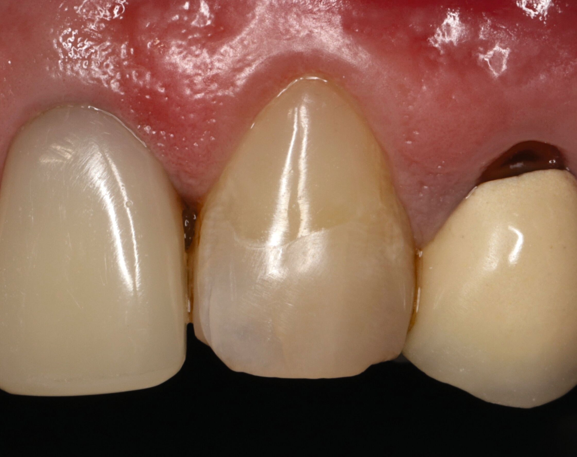
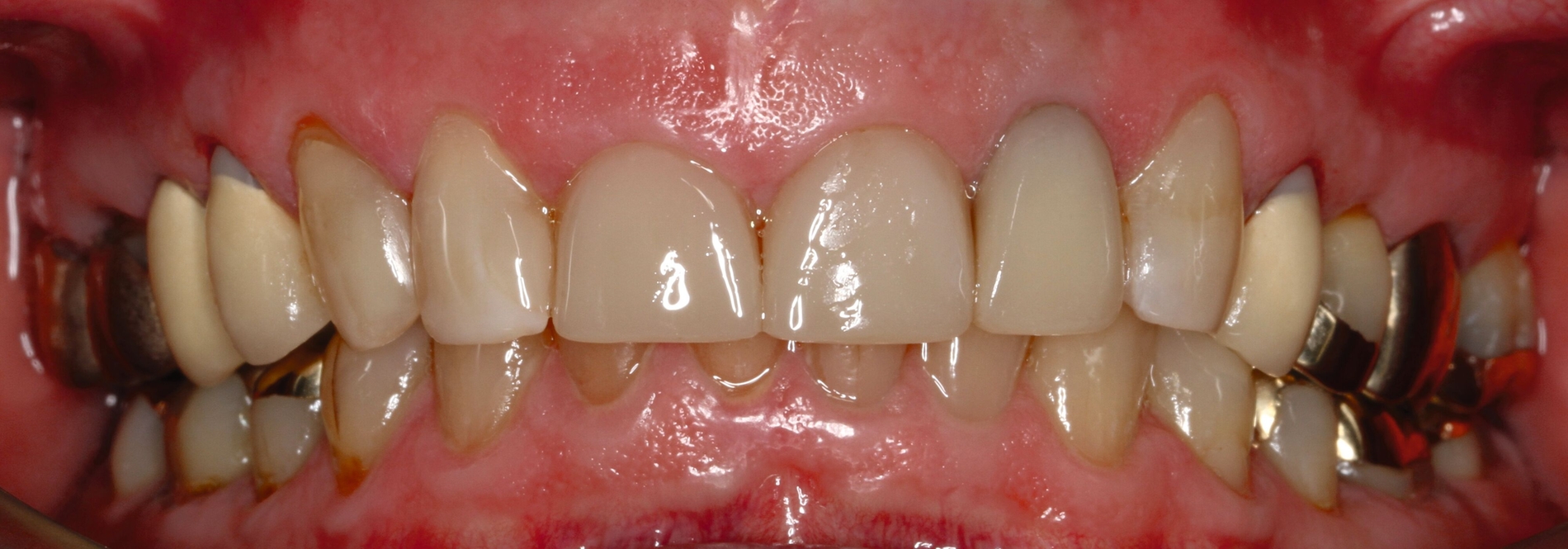
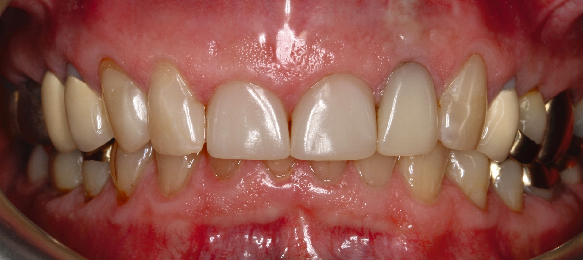
Nach Beendigung der restaurativen Therapie (Abbildungen 11 und 12) wurde dem Patienten zur Schonung der Zahnhartsubstanz und der Restaurationen vor Parafunktionen eine adjustierte Oberkiefer-Aufbissschiene für die Nacht angefertigt. Es wurde ein konsequentes Recall-Programm (nach drei, sechs, neun und zwölf Monaten, danach halbjährlich) realisiert, um die Restaurationen, die Erosionsanamnese sowie die häusliche Mundhygiene zu kontrollieren. Nach zwanzig Monaten Beobachtungszeitraum zeigen sich suffiziente Restaurationen (Abbildung 13). Der Patient ist mit der Ästhetik und der Funktion sehr zufrieden, sein Wohlbefinden hat sich gegenüber dem Ausgangszustand deutlich gesteigert.
Diskussion
Risikoabschätzung
Die moderne Adhäsivtechnik mit 10-MDP-haltigen Universaladhäsiven ermöglicht eine langzeitstabile restaurative Therapieoption von Zahnhartsubstanzdefekten mit Komposit [DGZMK, 2024; Wolff et al., 2010; Loomans et al., 2017; Frese et al., 2013]. Der Erfolg hängt von der korrekten Materialverarbeitung, der Vermeidung von Vorkontakten, der Patientenmitarbeit (Compliance) und dem Recall-Programm ab. Zusätzlich sollten präventive Maßnahmen zur Vermeidung weiterer säurebedingter Zahnhartsubstanzverluste ergriffen werden, um deren Progression zu verhindern und überstehende Füllungsränder zu vermeiden. Dazu zählen eine Ernährungsberatung und -umstellung sowie die Empfehlung von zinn- und fluoridhaltigen Mundhygieneprodukten [Carvalho et al., 2015; Schlueter et al., 2009].
Der Zahn 22 erfordert aufgrund seiner Vorschädigung eine individuelle Betrachtung. Die semipermanente direkte Restauration ist ein letzter Versuch des Zahnerhalts, jedoch mit unklarer Langzeitprognose. Ein Versagen der Restauration zieht einen Zahnverlust nach sich und erfordert im Anschluss eine prothetische Versorgung.
Behandlungsalternativen
Eine alternative Behandlung vor Rehabilitation der Frontzahnästhetik bei vorliegendem Tiefbiss wäre eine generalisierte Bisshebung mit neuen direkten oder indirekten Restaurationen im Ober- und Unterkieferseitenzahnbereich gewesen. Aufgrund der Invasivität bei vorhandenen suffizienten Restaurationen und dem Patientenwunsch wurde von dieser aufwendigen Therapie abgesehen.
Eine invasivere Behandlungsoption für den Frontzahnbereich hätte die Kombination von direkten und indirekten Restaurationen umfasst. Die Zähne 14, 22 und 24 hätten beispielsweise mit neuen Keramikkronen, die Zähne 11 und 21 mit Keramikkronen/-veneers und die Zähne 13 und 23 mit Komposit versorgt werden können. Keramikrestaurationen zeigen zwar nach 2,5 Jahren eine höhere Überlebensrate als Kompositrestaurationen [Meijering et al., 1998], verursachen jedoch einen deutlich höheren Verlust an Zahnhartsubstanz. Weiterhin ist die Reparaturfähigkeit bei indirekten Restaurationen im Vergleich zu Kompositmaterialien sowohl technisch kompliziert als auch ästhetisch (farblich) eingeschränkt [Lührs, 2015; Frese et al., 2020]. Im vorgestellten Fall wurde aus Gründen der Einheitlichkeit in den benachbarten ästhetischen Bereichen dasselbe Material für alle direkten Restaurationen gewählt.
Die alternative Versorgung für Zahn 22 wäre nach Extraktion eine Implantatversorgung gewesen. Die sonst im Frontzahnbereich sowohl ästhetisch als auch funktionell geeignete Versorgung mit einer einflügeligen Klebebrücke wäre bei diesem Patienten aufgrund des Tiefbisses ohne vorherige Bisshebung nicht möglich gewesen. Darüber hinaus ist das adhäsive Prozedere zur Befestigung einer Klebebrücke an der Palatinalfläche des Zahnes 21 aufgrund der großflächigen Dentinexposition kontraindiziert. Da die prothetische Wertigkeit des Zahnstumpfes begrenzt ist, kann eine Implantatversorgung als Sekundärtherapie in Betracht gezogen werden, falls die Primärtherapie keinen Langzeiterfolg zeigt.
Fazit
Die Anwendung moderner etablierter adhäsiver Techniken zur minimalinvasiven Behandlung von kariogenen und nicht kariogenen Zahnhartsubstanzdefekten ist von großer Bedeutung für langzeitstabile Ergebnisse. Jede Behandlung sollte nach einem stufenweisen Konzept – von minimalinvasiv bis invasiv –, abhängig vom Defekt und vom Patientenwunsch durchgeführt werden.
Literaturliste
Amaro I, Saraiva J, Gomes AC, Araújo A, Marto CM, Coelho A, Ferreira MM, Paula A, Carrilho E. Direct Restorations for Anterior Esthetic Rehabilitation and Smile Symmetry Recovery: Two Case Reports. Symmetry. 2021;13(10):1848.
Carvalho TS, Colon P, Ganss C, Huysmans MC, Lussi A, Schlueter N, Schmalz G, Shellis RP, Tveit AB, Wiegand A. Consensus report of the European Federation of Conservative Dentistry: erosive tooth wear--diagnosis and management. Clin Oral Investig. 2015;19(7):1557-61.
DGZMK S3-Leitlinie (Langfassung) 2024: 083-028: Direkte Kompositrestaurationen an bleibenden Zähnen im Front- und Seitenzahnbereich; Zugriff: 16.06.2024 15:00 Uhr.
Dimitrouli M, Günay H, Geurtsen W, Lührs AK. Push-out strength of fiber posts depending on the type of root canal filling and resin cement. Clin Oral Investig. 2011;15(2):273-81.
Frese C. Glasfaserverstärkte Restaurationen. zm online 2020;110:56-58.
Frese C, Schiller P, Staehle HJ, Wolff D. Recontouring teeth and closing diastemas with direct composite buildups: a 5-year follow-up. J Dent. 2013;41(11):979-85.
Frese C, Wohlrab T, Soliman S, Hahn B, Büsch C, Babai A, Krastl G, Wolff D. A Multicenter Trial on the Long-term Performance of Direct Composite Buildups in the Anterior Dentition - Survival and Quality Outcome. J Adhes Dent. 2020;22(6):573-80.
Hickel R, Brüshaver K, Ilie N. Repair of restorations--criteria for decision making and clinical recommendations. Dent Mater. 2013;29(1):28-50.
Jain A, Schollmeyer A, Peter T, Xie XJ, Anamali S. Survival analysis of crown margin repair: A retrospective study in a dental school setting. J Am Dent Assoc. 2022;153(5):414-20.
Krastl G, Weiger R, Filippi A. Zahntrauma - Therapieoptionen für die Praxis: Krastl G, Amato J, Soliman S, Hahn B. Restauration von Kronenfrakturen. 1. Auflage, Berlin, Quintessence Publishing, 2020, S. 41.
Loguercio AD, Luque-Martinez I, Lisboa AH, Higashi C, Queiroz VA, Rego RO, Reis A. Influence of Isolation Method of the Operative Field on Gingival Damage, Patients' Preference, and Restoration Retention in Noncarious Cervical Lesions. Oper Dent. 2015;40(6):581-93.
Loomans B, Opdam N, Attin T, Bartlett D, Edelhoff D, Frankenberger R, Benic G, Ramseyer S, Wetselaar P, Sterenborg B, Hickel R, Pallesen U, Mehta S, Banerji S, Lussi A, Wilson N. Severe Tooth Wear: European Consensus Statement on Management Guidelines. J Adhes Dent. 2017;19(2):111-119.
Lührs AK. Reparatur zahnärztlicher Seitenzahnrestaurationen – immer noch obsolet? Dtsch Zahnärztl Z. 2015;70:98-109.
Lührs AK, Jacker-Guhr S, Günay H, Herrmann P. Composite restorations placed in non-carious cervical lesions-Which cavity preparation is clinically reliable? Clin Exp Dent Res. 2020;6(5):558-67.
Mannocci F, Bertelli E, Sherriff M, Watson TF, Ford TR. Three-year clinical comparison of survival of endodontically treated teeth restored with either full cast coverage or with direct composite restoration. J Prosthet Dent. 2002;88(3):297-301.
Meijering AC, Creugers NH, Roeters FJ, Mulder J. Survival of three types of veneer restorations in a clinical trial: a 2.5-year interim evaluation. J Dent. 1998;26(7):563-8.
Naumann M, Schmitter M, Frankenberger R, Krastl G. „Ferrule Comes First. Post Is Second!“ Fake News and Alternative Facts? A Systematic Review. J Endod. 2018a;44(2):212-19.
Naumann M, Schmitter M, Krastl G. Postendodontic Restoration: Endodontic Post-and-Core or No Post At All? J Adhes Dent. 2018b;20(1):19-24.
Opdam NJ, Roeters JJ, de Boer T, Pesschier D, Bronkhorst E. Voids and porosities in class I micropreparations filled with various resin composites. Oper Dent. 2003;28(1):9-14.
Ozcan M, Niedermeier W. Clinical study on the reasons for and location of failures of metal-ceramic restorations and survival of repairs. Int J Prosthodont. 2002;15(3):299-302.
Schlueter N, Klimek J, Ganss C. Efficacy of an experimental tin-F-containing solution in erosive tissue loss in enamel and dentine in situ. Caries Res. 2009;43(6):415-21.
Stangel I, Nathanson D, Hsu CS. Shear strength of the composite bond to etched porcelain. J Dent Res. 1987;66(9):1460-5.
Urkande NK, Mankar N, Nikhade PP, Chandak M, Ikhar A, Patel A. Anterior Matrix Systems for Composite Restorations: A Review. Cureus. 2023;15(4):e37145.
Wolff D, Kraus T, Schach C, Pritsch M, Mente J, Staehle HJ, Ding P. Recontouring teeth and closing diastemas with direct composite buildups: a clinical evaluation of survival and quality parameters. J Dent. 2010;38(12):1001-9.







































