„Dojena“ – der Nächste bitte!
Unsere Arbeit in Darsilami war intensiv und erfüllend. Jeden Morgen starteten wir mit einem „Health Talk“, bei dem wir mit den Menschen über Gesundheit und insbesondere über Mundhygiene sprachen. Danach teilten wir uns in Teams auf und arbeiteten an verschiedenen Einsatzorten: in der Zahnstation, im Health Center sowie in naheliegenden Schulen und Kindergärten.
In den Schulen und Kindergärten erwarteten uns einfache Bedingungen, dennoch führten wir zahnmedizinische Untersuchungen und Behandlungen durch. Die benötigten Materialien hatten wir in Koffern mitgebracht. Für die Behandlung nutzten wir externe Motoren mit selbst gebastelter Wasserkühlung in Form von Plastikflaschen mit aufgeklebten stumpfen Kanülen. Als Behandlungsstuhl diente uns ein einfacher Tisch, den wir zweckmäßig umfunktionierten. Für viele Kinder war es der erste Zahnarztbesuch, den sie mit großer Neugierde verfolgten.
Das Projekt
Im Jahr 2023 machten Elias Khoury, Djan Pelser und Prof. Fouad Khoury den Auftakt für eine Reihe von Hilfseinsätzen in dem kleinsten Land Afrikas. Mit über 450 Kilogramm humanitären Hilfsgütern reisten sie in das Zentrum der Deutschen Stiftung „REMIS Health-Centre Köln-Darsilami in the Gambia e.V.“. Ihr Ziel war auch, lokale Kräfte in modernen Behandlungsmethoden zu schulen und nachhaltige Perspektiven zu schaffen. Die lokalen Kräfte sind häufig angelernte Zahnärzte ohne formale Ausbildung. Zwar gibt es im Land die Möglichkeit, Zahnmedizin zu studieren, doch der Zugang zur Bildung ist stark begrenzt. Über die Hälfte der Bevölkerung kann nicht lesen und schreiben, was die Chance auf eine fundierte medizinische Ausbildung nahezu unmöglich macht. Dieser Einsatz legte den Grundstein für ein langfristiges Engagement, das nun mit den nachfolgenden Projekten kontinuierlich ausgebaut wird.
In die Zahnstation strömten täglich mehr als 50 Patientinnen und Patienten mit überwiegend akuten Beschwerden. Unsere erste Frage lautete fast immer: „Nin ju maa lea kademe?“ – Wo sind die Schmerzen? Neben der Behandlung akuter Beschwerden – etwa ausgedehnte Abszesse oder notwendige Zahnextraktionen – konzentrierten wir uns auf Präventionsmaßnahmen, um die Mundgesundheit nachhaltig zu fördern.
Wasserkühlung mithilfe von Plastikflaschen
Hier standen uns mehrere Behandlungsräume zur Verfügung: Draußen auf dem Innenhof des Health Centers befindet sich ein klimatisierter Container mit einer Behandlungseinheit, eine zweite Einheit ist im Gebäude der Zahnstation stationiert. In anderen Räumen gibt es Tische mit verstellbarer Lehne. Hier behilft man sich mit Ventilatoren gegen die schwüle Hitze, die vor allem in der Regenzeit herrscht.
Damit der Zugang zur zahnärztlichen Versorgung dauerhaft gewährleistet ist, bestand ein Schwerpunkt unserer Arbeit darin, die Schulung der einheimischen Zahnärzte in Theorie und Praxis fortzusetzen. Neben Zahnextraktionen führen die einheimischen Kollegen inzwischen auch Komposit-Füllungen durch. Dabei korrigierten wir den Irrglauben, dass schmerzende Zähne immer entfernt werden müssen, und vermittelten, wie Zähne unter bestimmten Voraussetzungen erhalten werden können.
Abszess-Behandlung: Druckabfluss plus Antibiotikatherapie
Viele der zahlreichen Patienten stellten sich mit teils ausgedehnten Abszessen vor. Im folgenden Fall wurde bei einem jungen Patienten nach ausführlicher Anamnese, Untersuchung und Diagnostik die Verdachtsdiagnose eines Wangenabszesses gestellt.
Ein intraoraler Fistelgang wurde identifiziert und chirurgisch erweitert. Der Eiter konnte durch täglichen Druckabfluss entfernt werden, ergänzt durch notwendige intraorale Punktionen. Zusätzlich erhielt der Patient eine Antibiotikatherapie. Innerhalb einer Woche zeigte sich eine deutliche Verbesserung seines Zustands, so dass er entlassen werden konnte.
Alveolarfortsatzfraktur: Fixierung mit Kupferdraht aus Stromkabel
Neben der Behandlung von Abszessen versorgten wir auch notfallmäßig Frakturen. Ein besonderer Fall war ein kleiner Junge mit starken Schmerzen im Oberkiefer, der sich nach einem Unfall eine Alveolarfortsatzfraktur zugezogen hatte. Da spezielle Materialien fehlten, schienten wir die Fraktur nach erfolgreicher Reposition mit einem isolierten Kupferdraht aus einem Stromkabel – eine kreative und effektive Lösung. Der Junge wurde zur wöchentlichen Kontrolle einbestellt, um den Heilungsverlauf sicherzustellen.
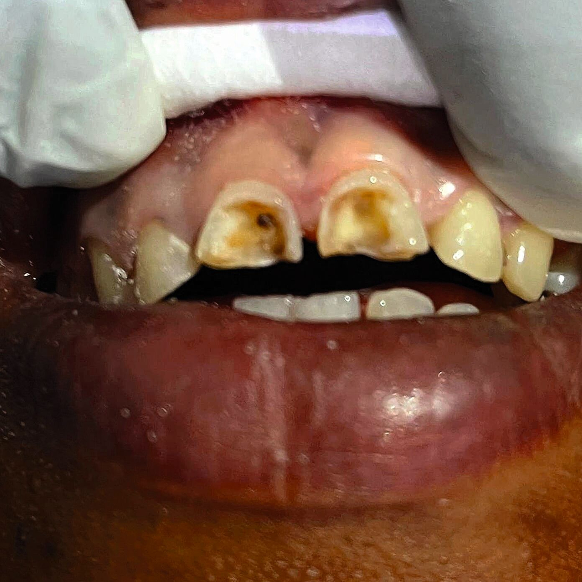
Kompositaufbau beim Frontzahn: ein neues Lächeln
Viele Patienten wiesen stark kariöse Frontzähne auf, die aufgrund des fortgeschrittenen Substanzverlusts und der besonderen Bedingungen vor Ort eine große Herausforderung darstellten. Mit Geduld und sorgfältiger Arbeit konnten die betroffenen Zähne jedoch Schritt für Schritt erfolgreich von einem einheimischen Zahnarzt mit unserer Unterstützung rekonstruiert werden.
Health-Talks für eine bessere Mundhygiene
Vor Ort stellten wir fest, dass die Einheimischen nur wenig über Mundhygiene wissen. Zähneputzen ist hier eher die Ausnahme. Oft fehlt es auch am Geld für grundlegende Pflegeprodukte wie Zahnbürsten und Zahnpasta. Stattdessen verwendet die einheimische Bevölkerung in Gambia traditionell das sogenannte Zahnputzholz, das aus den Bäumen wie dem Salvadora persica stammt. Allerdings reicht dessen Verwendung allein natürlich nicht aus, so dass die Mundhygiene der Menschen vor Ort in einem alarmierend schlechten Zustand ist.
Unsere morgendlichen „Health Talks“ sollten gegen diesen Zustand arbeiten und den Grundstein für eine nachhaltige Präventionsarbeit bilden. Dabei vermittelten wir einfache, aber wirkungsvolle Strategien zur Zahngesundheit, insbesondere während der Schwangerschaft und wiesen dabei besonders auf den negativen Einfluss von Zucker hin. Das Interesse und die Neugierde waren groß. Wie wir hören, werden die „Health Talks“ von den einheimischen Zahnärzten immer noch eigenständig fortgeführt.
Neue Mülltonnen für ein besseres Abfallmanagement
Unsere Arbeit in Darsilami zeigte, wie eng medizinische Versorgung, Prävention und Hygiene verknüpft sind. Die Initiative „Keep your city clean“, unterstützt von Prof. Fouad Khoury, stärkt das Gesundheitsbewusstsein durch ein besseres Abfallmanagement: 100 neue Mülltonnen und ein Müllwagen reduzieren Schmutz und Krankheitsrisiken deutlich.
Im Verbund mit zahnmedizinischen Fortschritten und der Präventionsarbeit verbessern solche Maßnahmen nachhaltig die Lebensbedingungen. Studierende aus ganz Deutschland haben sich bereits für die kommenden Hilfseinsätze angemeldet – das Engagement für Gambia lebt weiter.












