Interdentale Online World Congress: neue Wege zur Ästhetik
Nach dem großen Erfolg des ersten Interdentale Online World Congress (IOWC) Ende 2023 folgt nun die zweite Ausgabe. Am 29. November wird der IOWC 2025 live übertragen aus dem DMG Dental Training Center in Hamburg. Diesjähriges Thema: Digitale und analoge Techniken im Zusammenspiel für optimale Ästhetik.
Acht Fachvorträge, acht Experten, acht Fortbildungspunkte
„Proven by science, perfected in practice: Mastering analogue and digital techniques for exceptional aesthetic results“: Das ist das Motto der englischsprachigen Online-Veranstaltung.
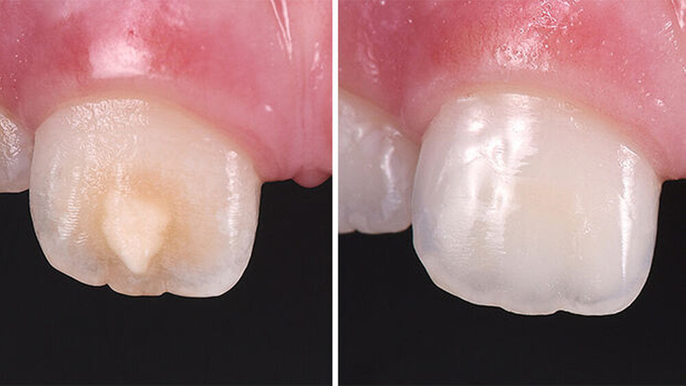
Die Teilnehmenden erhalten praktische Anleitungen, wissenschaftlich fundierte Lösungen und Einblicke in die neuesten Entwicklungen der ästhetischen Zahnmedizin. Von digitalen Bleaching-Workflows über minimal-invasive Infiltrationsbehandlung und neusten Trends bei No-Prep- und Keramik-Veneers bis zur Kraft der Dentalfotografie.
Zum Kreis der international renommierten Referenten gehören PhD. DDS. Eraldo Pesaressi, Dr. Susanne Effenberger, Dr. Alessandra Buhler Borges, Dr. Basel Kharbot, Prof. Leandro Augusto Hilgert, Dr. Alex Rugină, Erik-Jan Muts, M.Sc, und Dr. Edward Li, BDS.
Die Interdentale: Event-Reihe für die junge Zahnmedizin
Die von DMG initiierte Interdentale bietet Vorträge, Interviews, Podiumsdiskussionen, Live-Behandlungen und Workshops mit internationalen Experten aus Universität und Praxis. Im Fokus stehen dabei neben fachlichen Themen auch Aspekte wie Kommunikation, Persönlichkeit und Betriebswirtschaft.
Das IOWC-Ticket beinhaltet den Zugang zum gesamten Live-Programm mit 8 Vorträgen sowie den Link zur Aufzeichnung im Anschluss. Für die Teilnahme werden acht Fortbildungspunkte vergeben.
Für mehr Info und Anmeldung: www.my-interdentale.com






