Überzeugender Auftritt auch nach sechs Jahren
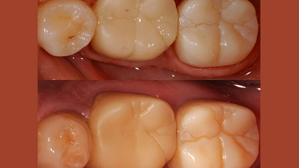
Für die Untersuchung wurden Protemp 4 und ein weiteres Provisorienmaterial auf Bis-Acrylat-Basis verwendet. Verschiedene Patienten mit zwei endodontisch behandelten und mit Wurzelstiften und Stumpfaufbauten versorgten Zähnen erhielten jeweils eine Krone aus jedem Material.
Überzeugendes Langzeitverhalten
Zwischen einem und 72 Monaten nach der Eingliederung der Kronen mit selbstadhäsivem Befestigungszement erfolgten Kontrolluntersuchungen. Beurteilt wurden die Randpassung der Kronen, der Zustand des Weichgewebes, der Verschleiß, der Erhalt der Okklusalkontakte und der anatomischen Form sowie der Oberflächenglanz. Zusätzlich wurde die Zufriedenheit der Patienten ermittelt. Nach 30 Monaten frakturierte jeweils eine Krone pro Material. Beim Recall nach sechs Jahren schnitten die verbleibenden Kronen aus Protemp 4 hinsichtlich aller Kriterien sehr gut ab und die Zufriedenheit der Patienten war sehr hoch.
Ausgezeichnetes Material
Ähnlich gute Ergebnisse erzielte das Produkt in einer klinischen Ein-Jahres-Studie der unabhängigen Fachpublikation THE DENTAL ADVISOR[2]. Untersucht wurden hier die Gesundheit des Weichgewebes, die Fraktur- und Farbbeständigkeit sowie die Reparaturfähigkeit aus Protemp 4 Material gefertigter Kronen und Brücken. In allen Kategorien erhielt das Produkt sehr gute bis exzellente Bewertungen. 2017 erhielt es zudem von THE DENTAL ADVISOR eine Auszeichnung als Long-Term Performer in der Kategorie Provisionals[3].
Gute Wahl
Mit Protemp 4 steht ein bewährtes Material für die Herstellung provisorischer Kronen und Brücken zur Verfügung, das dank sehr guter mechanischer Eigenschaften selbst nach sechs Jahren noch klinisch überzeugt. Zudem ist es einfach zu verarbeiten und zu polieren – für maximale Effizienz in der Praxis. Weitere Informationen unter
.
Literatur
[1] Sabrosa CE, Sartori BT, Andrade P. Long-term Stability of Bisacrylic-composite Crowns Fabricated Chairside after 6 years. CED-IADR/NOF Research Congress 2017, Abstract # 571.[2] 3M ESPE Protemp 4 Temporization Material One-year Clinical Performance. THE DENTAL ADVISOR, Volume 28, Number 3, July-August 2011.[3] 3M Protemp Plus Temporization Material (2017 Product Award). THE DENTAL ADVISOR, Volume 34, Number 31, January-February 2017.




