Dentsply Sirona: global ceram.x contest
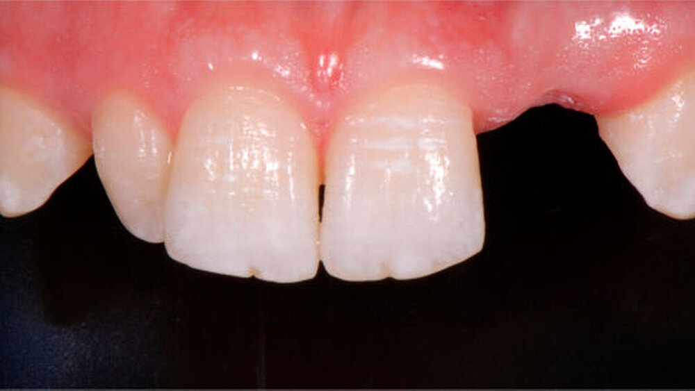
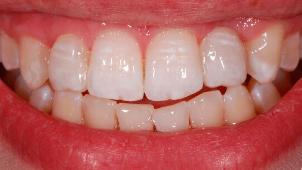
Jeder Teilnehmer hatte sich bereits bei einer nationalen Ausscheidung an die Spitze gesetzt. Nun trafen in Konstanz die Besten der Besten aufeinander. Mit Raissa Indiwina setzte sich erneut, wie im letzten Jahr, eine Indonesierin von der Padjadjaran-Universität auf Platz 1.
Gemeinsam mit der Studentin freuten sich insbesondere ihr Tutor, Dr. Opik Taofik Hidayat, und Prof. Dr. Rainer Seemann, der als Mitglied der dreiköpfigen Jury um 15:15 Uhr den bis zum Zerreißen gespannten Teilnehmern das Ergebnis verkündete. Einen hervorragenden 2. Platz errang Laurent Detzen von der Sorbonne Universtität in Paris; „Bronze“ gewann Yu-Hsin Huang, National Taiwan University – ein Erfolg auch für die beiden Tutoren Prof. Dr. Pierre Colon und Dr. Yu-Chih Chiang. Einen ehrenvollen 5. Platz belegte die deutsche Teilnehmerin Valentina Pankratz (Universität Witten/Herdecke, Tutor: Dr. Lubiša Marković) mit ihrer qualitativ hochwertigen Falldarstellung. Dass es sich bei jedem der vorgestellten Fälle um hervorragende Arbeiten handelte, zeigte, wie nahe die besten Zahnmedizinstudenten der Welt in Konstanz beieinander lagen.
In diesem Sinne konnten sich am Ende alle als Gewinner fühlen, die Anspannung des Wettbewerbs wich, und gemeinsam genoss man eine Führung durch die Stadt Konstanz am Bodensee mit abschließendem gemeinsamen Dinner. Bereits am frühen Nachmittag hatte der Gastgeber Dentsply Sirona zu einer Besichtigung seiner Produktion geladen. Die Studenten waren begeistert, zu sehen, wie genau diejenigen Füllungsmaterialien, Adhäsive und weitere Produkte gefertigt werden, die sie im Rahmen ihrer klinischen Behandlungen bei ihren Fallbeispielen erfolgreich eingesetzt hatten.
Ihre Wettbewerbsbeiträge stellen die drei Sieger in Form von Postern vom 7. bis zum 10. September 2016 auf dem FDI Annual World Dental Congress in Poznań (Polen) aus. Die Besucher wählen ihren Favoriten-Fall und bescheren ihrem „Publikums-Liebling“ nochmals einen attraktiven Sachpreis in Form einer wertvollen Digitalkameraausrüstung für exzellente intraorale Aufnahmen.
Der globale ceram.x case contest wird unter dem neuen Namen Global Clinical Case Contest in der Saison 2016/2017 fortgeführt. Wer sich näher dafür interessiert bzw. selbst teilnehmen möchte, ruft gebührenfrei beim Dentsply Sirona Service Center an (08000/735000) bzw. informiert sich im Internet unterhttp://www.dentsply.com/gccc _blank external-link-new-window








