Adhäsivbrücke als Alternative zum Implantat
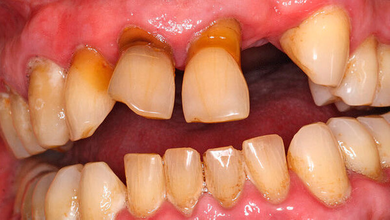
Ein 80 Jahre alter Patient stellte sich im September 2016 in der Poliklinik mit der Bitte um festsitzende Versorgung der Frontzahnlücke in Regio 22 vor (Abbildungen 1 und 2). Der Zahn 22 musste vor etwa einem Jahr – parodontal bedingt – extrahiert werden.
Seitdem war die Lücke durch einen Interimsersatz versorgt. Nach klinischer und röntgenologischer Befundung stellt sich schnell die Problematik dar, die im Rahmen der Versorgung dieser Frontzahnlücke auftreten wird.
Therapieplanung
Weiterhin werden eine Therapie-bedürftige Karies an 17 und ein apikal beherdeter 16 diagnostiziert, deren Behandlung ebenfalls durchgeführt wird.
Die Versorgung der Frontzahnlücke in Regio 22 wird intensiv mit dem Patienten diskutiert. Aufgrund des absoluten Mangels an ortsständigem Knochen, des hohen Patientenalters sowie der eher mäßigen Mundhygiene scheidet eine Implantation mit Knochenaugmentation aus. Hinzu tritt die starke, vor allem im Frontzahngebiet ausgeprägte Parodontitis. Ein langfristiger Erhalt des endodontisch versorgten 11 sowie des stark parodontal kompromittierten 21 erscheint unrealistisch.
Für eine konventionelle brückenprothetische Versorgung scheiden die Schneidezähne ebenfalls aus: Zum langfristig prognostisch sicheren Ersatz des 22 wären Extraktionen und mehrere Substanz-opfernde Präparationen unausweichlich. Aufgrund des hohen Patientenalters und des Ausscheidens klassischer prothetischer Rehabilitationsmaßnahmen wird die Frontzahnlücke mit einer Adhäsivbrücke aus Metallkeramik versorgt (Abbildungen 3 und 4).
Durch die parodontal bedingte Elongation von 11 und 21 musste ein Kompromiss hinsichtlich der Gestaltung des Brückengliedes 22 im Hinblick auf dessen inzisale Ausdehnung erfolgen, so dass nun 23 kürzer ist als 22 (Abbildung 5). Ein halbes Jahr später befindet sich die Restauration unverändert in situ.
Diskussion
Die Adhäsivbrücke ist in ihrer einflügeligen Variante inzwischen eine vollwertige prothetische Versorgungsalternative gegenüber der Einzelzahnimplantation. Die im Rahmen der Präparation verursachten Substanzschäden belaufen sich bei klassischen Präparationen auf bis zu 60 Prozent und für den Pfeilerzahn einer Adhäsivbrücke auf etwa 10 Prozent [Peters, 1986], wobei der Substanzverlust durch Anwendung der einflügeligen Adhäsivbrücke weiterhin rückläufig ist.
Die klassische zweiflügelige Marylandbrücke zeigt gegenüber der einflügeligen Variante signifikant schlechtere Überlebenszeiten, wobei insgesamt positive Langzeitresultate sowohl für die metallbasierte als auch für die keramische Adhäsivbrücke festgestellt werden können [Botelho et al., 2016].
Ein artgerechtes klinisches Vorgehen vorausgesetzt, wird von Überlebensraten von 95 Prozent nach sechs Jahren bei der Verwendung klassischer metallkeramischer Adhäsivbrücken berichtet [Rammelsberg et al., 1995].
Vorteile entstehen für den Patienten durch die Halbierung der Pfeilerzähne, die zur Präparation herangezogen werden müssen, durch die vereinfachte Reinigungsfähigkeit gegenüber der Einzelzahnimplantation sowie durch die reduzierten Kosten [Ernst et al., 2016].
Laut aktueller Stellungnahme der DGZMK soll der zur Präparation herangezogene Pfeilerzahn karies- und füllungsfrei sein, wobei kleinere Füllungen, die sich vollständig in die Präparation einschließen lassen, toleriert werden können [Kern, 2005].
Max Lukas
Univ.-Prof. Dr. Dipl.-Chem. Brita Willershausen
Universitätsmedizin der Johannes Gutenberg-Universität Mainz
Poliklinik für Zahnerhaltungskunde und Parodontologie
Augustusplatz 2, 55131 Mainz
max-lukas@hotmail.de
Literaturliste
S. P. Vergleich der Abschliffmenge bei Adhäsivankern und bei Kronen. Quintessenz 1986;37:2039-44.
Botelho MG, Chan AW, Leung NC, Lam WY. Long-term evaluation of cantilevered versus fixed-fixed resin-bonded fixed partial dentures for missing maxillary incisors. J Dent 2016;45:59-66.
Rammelsberg P. BM, Pospiech P et al. Erweiterte Indikation adhäsiver Restaurationen als ästhetische und substanzschonende Alternative zur konventionellen Brücken. Dtsch. Zahnärztl. Zeitschrift 1995;50:224-27.
Ernst CS, H.; Nauth,C. Vom Exoten zum „State of the Art“: einflügelige Klebebrücken. ZMK 2016;10:650-64.
Kern M. Clinical long-term survival of two-retainer and single-retainer all-ceramic resinbonded fixed partial dentures. Quintessence Int 2005;36(2):141-7.







