Allergengetriggerte lichenoide Mundschleimhautläsion
Zusammenfassung
Allergengetriggerte lichenoide Mundschleimhautläsionen können sowohl beim oralen Lichen planus (OLP) als auch bei der oralen lichenoiden Läsion (OLL) auftreten. Klinisch und histologisch sind OLP und OLL nur schwer voneinander abzugrenzen. Ein OLP kann durch eine histologische Untersuchung gesichert werden. Dabei gilt der OLP als eine potenziell maligne Veränderung.
Basierend auf aktuellen Daten der Literatur steht die OLL im Verdacht, ein erhöhtes Risiko einer malignen Transformation zu haben. Anhand eines klinischen Falls wird gezeigt, dass über eine interdisziplinäre Vorgehensweise in der Allergie- und Schleimhautdiagnostik ein Zusammenhang zwischen einer Kontaktallergie auf Amalgam und den lichenoiden Schleimhautveränderungen bestand. Die anschließende Therapie zeigt exemplarisch die Schritte der zahnärztlichen Versorgungsmöglichkeiten bei multiplen Kontaktallergien auf Dentalmaterialien.
Einleitung
In den letzten Jahren ist eine Zunahme an Sensibilisierungen auf Dentalmaterialien zu beobachten (Syed et al. 2015). Allergien oder Unverträglichkeiten auf dentale Werkstoffe können sich in verschiedenartigen Symptomen äußern. So können rein subjektive Beschwerden wie zum Beispiel Schleimhautbrennen, Mundtrockenheit, Schmerzen (Raap et al. 2012) oder auch Geschmacksbeeinträchtigungen oder -störungen einzeln oder in Kombination mit Schleimhauteffloreszenzen auftreten (Kal et al. 2008). Zu den objektiven und bei den klinischen Untersuchungen festgestellten Reaktionen zählen lichenoide Veränderungen (Laine et al. 1997), sowohl intra- als auch extraoral, Kontaktstomatitis und -dermatitis (Rai et al. 2014).
Der Lichen planus ist eine häufige, chronische mukokutane Erkrankung, die neben der äußeren Haut auch die orale Schleimhaut und die Genitalschleimhaut betreffen kann. Die Prävalenz des oralen Lichen planus (OLP) beträgt etwa 0,1 bis 4 Prozent, dabei sind Frauen im Vergleich zu Männern etwa 1,7-mal häufiger betroffen (Lodi et al. 2005).
Der orale Lichen planus tritt überwiegend im Alter von 30 und 60 Jahren auf (Bork et al. 2008). Die Ätiologie ist bislang nicht vollständig geklärt. Als Ursache wurde eine idiopathische Erkrankung, eine autoimmunologische Reaktion (Parashar 2011), Medikamente oder der Kontakt mit zahnärztlichen Materialien (Ahlgren et al. 2012; Kim et al. 2015) oder ein mechanisches Trauma (Köbner-Phänomen) verantwortlich gemacht. Auch werden virale oder bakterielle Infektionen oder unbekannte Agenzien in der Literatur diskutiert (Koch & Bahmer 1995; Issa et al. 2004; Issa et al. 2005; McParland & Warnakulasuriya 2012; Pang & Freeman 1995; Sugerman & Sabage 2002).
In der Literatur wird berichtet, dass Patienten mit oralem Lichen häufiger unter negativem Stress, Ängsten und Depressionen leiden im Vergleich zur gesunden Kontrollgruppe (Chaudhary 2004). Auch ein stressiger Lebensstil wird mit einem OLP assoziiert (Varghese et al. 2016). Der OLP stellt sich mit charakteristischen weißlichen Streifen, Papeln oder Plaques dar. Zusätzlich können Erytheme, Erosionen und Blasen meist in symmetrischer Verteilung auftreten (Bork et al. 2008; Sugerman & Sabage 2002; Remmerbach 2012).
Orale Läsionen treten vorwiegend an der buccalen Mukosa, Zunge, Gingiva, am Gaumen und an den Lippen auf (Bagán-Sebastián et al. 1992). Der OLP lässt sich in sechs unterschiedliche Erscheinungsformen unterteilen: retikulär, papulär, plaqueförmig, erythematös (atrophisch), ulzerierend und bullös (Andreasen 1968). Der atrophische, der ulzerierende und der bullöse Typ werden auch unter dem Begriff "erosiver Typ" zusammengefasst (Andreasen 1968; Alajbeg et al. 2008).
Der OLP ist von einer oralen lichenoiden Läsion ("oral lichenoid lesion" OLL) klinisch und histologisch nicht immer eindeutig abzugrenzen. Das typische histologische Bild des OLP ist mit dem Vorhandensein von Orthohyper- oder Parakeratosen, einem bandförmigen lymphozellulären subepithelialen Infiltrat und Keratinozyten-Apoptosen (civate bodies) gekennzeichnet (Eisenberg 2000; Sugerman & Sabage 2002; Parashar 2011).
Für die OLL sind ein asymmetrisches Erscheinungsbild und die unmittelbare Nachbarschaft zu den auslösenden Substanzen charakteristisch. OLL können ebenfalls medikamentenassoziiert sein. Nichtsteroidale antiinflammatorische Rheumatika, Antihypertensiva und Antidiabetika, Antikonvulsiva und immunmodulierende Medikamente wurden als mögliche Auslöser beschrieben (Yuan & Woo 2015; Kamath et al. 2015; Siponen et al. 2010).
Schilddrüsenerkrankungen sowie die Einnahme von Schilddrüsenmedikamenten können eine OLL begünstigen (Siponen et al. 2010). Van der Meij und van der Waal gaben 2003 einen Vorschlag mit den modifizierten WHO-Diagnosekriterien zu OLP und OLL zur besseren klinischen Einordnung der Symptome und histologischen Kriterien in das jeweilige Krankheitsbild (van der Meij & van der Waal 2003).
Ähnliche Veränderungen der Mukosa können bei folgenden Differenzialdiagnosen auftreten: Friktionskeratose, Leukoplakie oder ein Lupus erythematodes. Aus zahnärztlicher Sicht stellt die Beseitigung einer Friktionskeratose eine schnelle therapeutische Maßnahme dar. Auslösende Faktoren wie scharfe Kanten an Zahn oder Zahnersatz können schnell behoben werden. Der vorliegende Beitrag zeigt exemplarisch die interdisziplinäre Vorgehensweise in der Allergie- und Schleimhautdiagnostik bei Patienten mit oralen lichenoiden Schleimhauteffloreszenzen und zeigt die Schritte der zahnärztlichen Versorgungsmöglichkeiten auf.
###more### ###title### Fallbeschreibung ###title### ###more###
Fallbeschreibung
Eine 47-jährige Frau stellte sich Anfang 2012 in der Sektion für Klinische und Experimentelle Orale Medizin am Universitätsklinikum Leipzig wegen länger bestehenden typisch weißlichen Schleimhautveränderungen ohne subjektive Beschwerden vor. Nebenbefundlich bestand eine mit L-Thyroxin behandelte Hypothyreose. Beidseits im Planum buccale und in der Kieferwinkelregion rechts zeigten sich sogenannte Wickham-Streifungen mit stellenweise plaqueartigen Inseln sowie einer schwarzen Pigmentierung vestibulär von Zahn 47 (Abb. 1a, b).
Die Zungenränder zeigten mäßig weißliche papulöse Veränderungen auf. Es lag ein insuffizient versorgtes Gebiss mit zahlreichen großflächigen Amalgamfüllungen und insuffizienten Füllungsrändern mit rauen Oberflächen buccal vor. Im Orthopantomogramm zeigte sich als Nebenbefund eine kleine metalldichte Verschattung projiziert auf das mesiale obere Wurzeldrittel des Zahns 47. Dieser Befund korrespondierte mit der klinisch auffälligen Amalgamtätowierung vestibulär in der Umschlagfalte des Zahns 47. In der zahnärztlichen Allgemeinanamnese berichtet die Patientin von einer erschwerten Weisheitszahnentfernung in regio 48 vor einigen Jahren. Die Amalgamfüllungen und eine Brücke im Frontzahngebiet sind seit über 15 Jahren in situ. Die Mundhygiene war zufriedenstellend.
In der allergiespezifischen Anamnese wurde eine Sensibilisierung gegenüber zahnärztlichen Kunststoffen (Bis-GMA), sowie Sensibilisierungen auf Perubalsam, (Chlor-)Methylisothiazolinon, Terpentine und Kobaltchlorid, Kaliumdichromat, Ammoniumtetrachloroplatinat, Thiomersal erwähnt. Weiterhin wurden die Noxen Nikotin und Alkohol verneint. Der Konsum von säurehaltigen Früchten und scharf gewürzten Speisen wurde mit häufig angegeben.
Eine Bürstenbiopsie in regio 47 retromolar ergab ein mäßig zellreiches Präparat mit teils einzeln in kleinen Gruppen gelagerten und großen intermediären Plattenepithelien mit häufig amphophilen Zytoplasma, gering vergrößerten, aufgelockerten Kernen ohne Deformierungen oder nennenswerte Hyperchromasie. Es gab keinen Anhalt auf Tumorzellen.
Dieser Befund passte zu einer erosiv-entzündlichen Veränderung der Mukosa. In der Biopsie der Wangenregion rechts zeigte sich eine geringradig regeneratorische Epithelhyperplasie. Als Diagnosen wurden ein kombiniert retikulär-erosiver Lichen sowie eine lichenoide Kontaktläsion regio 47 und eine Einlagerung von exogenen Pigmenten («Amalgamtätowierung») in regio 47 beschrieben. Vor einem Austausch der Füllungen wurde der Patientin eine erneute Epikutantestung empfohlen. Hier fand sich eine polyvalente Sensibilisierung zusätzlich auf Epoxidharz, Amalgam (mit Zink) und Quecksilber (II)-amid-chlorid sowie vier der getesteten Proben (Tab. 1).
Negativ bzw. unauffällig waren die übrigen Allergene folgender DKG-Reihen (DKS-Standardreihe, Zahntechniker-Hauptreihe, Dentalmetalle). Daraufhin wurde mit der Patientin ein umfangreicher Therapieplan besprochen unter Vermeidung der Allergene in den verwendeten Dentalmaterialien. Die Mitbehandlung erfolgte in der Poliklinik für Zahnärztliche Prothetik in der Sprechstunde für Allergien der Mundschleimhaut und Materialunverträglichkeiten.
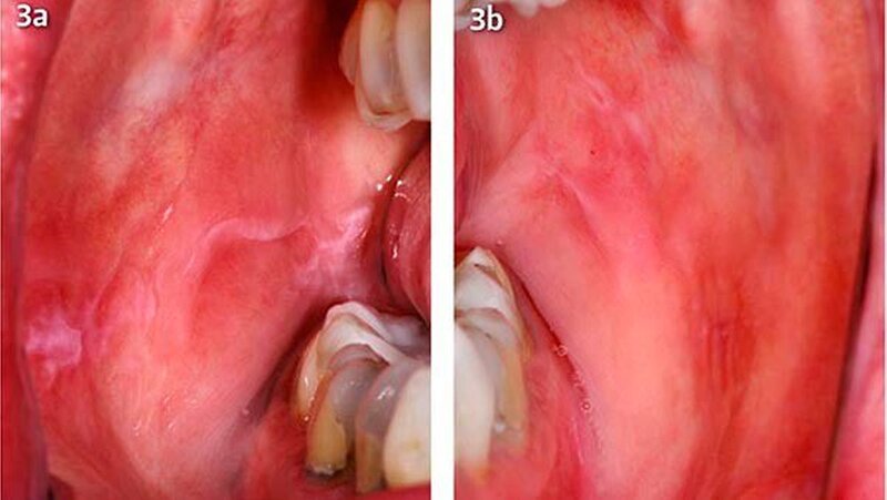
Um eine mögliche Unverträglichkeit der alternativ infrage kommenden Dentalmaterialien auszuschließen, wurde zusätzlich eine intraorale Verträglichkeit mithilfe einer speziell individuell angefertigten Schiene im Oberkiefer durchgeführt (Abb. 2). Zunächst erfolgte ein schrittweiser Austausch der Amalgamfüllungen durch provisorische Glasionomerzementfüllungen (Abb. 3a, b). Es kam zu einem deutlichen Rückgang der lichenoiden Reaktionen im Planum buccale sowie der Zungenränder.
Im Zuge der Sanierung wurde der Zahn 24 extrahiert und nach 5 Monaten ein Titanimplantat inseriert. Die Amalgamtätowierung regio 47 wurde chirurgisch exzidiert (Abb. 4). In der pathologischen Untersuchung zeigte sich ein Fettbindegewebsstück mit Nachweis von schwarz-braunem Fremdmaterial mit umgebend ausgeprägter Fibrose und Sklerose sowie herdförmiger Kalzifikation neben einer mäßiggraden chronischen Entzündungsreaktion. Die definitive Versorgung der Zähne erfolgte mit Vollkeramikkronen, die mit einem Glasionomerzement befestigt wurden.
In den Nachuntersuchungen sechs Monate nach Entfernung der Amalgamfüllungen zeigte sich ein deutlicher Rückgang der lichenoiden Effloreszenzen (Abb. 5a, b). In regio 47 distal bestand ein retikulärer Lichen planus. Die plaqueartigen Inseln im Planum buccale und die großflächigen Wickham-Streifungen sind weitgehend zurückgegangen. Die Patientin befindet sich weiterhin in einem engmaschigen Recall.
###more### ###title### Diskussion ###title### ###more###
Diskussion
Eingangs beschrieben, sind OLL oder der OLP eine typische Reaktion der Mukosa bei Kontaktallergien auf dentale Materialien. Die Studie von Kim et al. zeigte, dass Patienten mit zahnärztlicher Historie und OLP häufig eine positive Reaktion im Epikutantest auf Dentalmaterialien zeigten (Kim et al. 2015). Mehrere Studien konnten nachweisen, dass eine Assoziation zwischen OLL und einer Kontaktallergie auf Quecksilber, das im Amalgam enthalten ist, besteht (Dunsche et al. 2003; Laine et al. 1997; Wong & Freeman 2003; Mutter et al. 2005; Laine et al. 1997; Dunsche et al. 2003).
Koch und Bahmer untersuchten in einer klinischen Studie 194 Patienten mit OLL, OLP und anderen oralen Erkrankungen sowie eine Kontrollgruppe. Es stellte sich heraus, dass eine Sensibilisierung auf Quecksilber eine wichtige Ursache der OLL ist (Koch & Bahmer 1995). In der Untersuchung von Lynch et al. konnte festgestellt werden, dass 53 Prozent der Patienten mit OLL eine positive Reaktion auf Dentalmaterialien zeigten.
Patienten mit einer positiven Epikutantest-Reaktion auf Amalgam zeigten bei Entfernung eine Verbesserung oder eine Remission der OLL (Lynch et al. 2015). In der Studie von Suter und Warnakulasuriya (2016) wurde bei Patienten mit oralen lichenoiden Kontaktläsionen ein Epikutantest durchgeführt (Suter & Warnakulasuriya 2016).
Bei 81 Prozent (n=21) der Fälle, bei denen ein positiver Epikutantest vorlag und ein Austausch der Amalgamfüllungen stattfand, kam es zu einer Abmilderung oder Komplettremission der Symptome (Suter & Warnakulasuriya 2016). Allerdings konnte dieser Effekt nicht in allen Studien nachgewiesen werden (Magnin et al. 2003).
In der Studie von Pang und Freeman wurden bei 16 von 19 Patienten die Amalgamfüllungen ersetzt (Pang & Freeman 1995). Bei 13 Patienten heilte die OLL komplett ab, ein Patient zeigte eine Verbesserung der OLL, und ein Patient wurde nicht nachuntersucht. Bei einem Patienten trat keine Besserung ein, und es entwickelte sich ein orales Plattenepithelkarzinom. Die klinische Abgrenzung zwischen einem OLP und einer OLL ist schwierig. Der OLP zählt zu den potenziell malignen Veränderungen der Mundschleimhaut (Barnard et al. 1993; Holmstrup et al. 1988; Lo Muzio et al. 1998; Silverman et al. 1991; Mignogna 2001; Bornstein et al. 2006; Remmerbach 2012).
In Studien wurde das Malignitätspotenzial der OLL gegenüber dem OLP als erhöht eingestuft (Casparis et al. 2015). Klinisch untypische Veränderungen, die nicht bilateral auftreten, dysplastische Läsionen und solche, die in der histologischen Untersuchung nicht in allen Aspekten mit einem OLP übereinstimmen, weisen nach den Autoren van der Meij et al. (2003) wahrscheinlich ein höheres Risiko der malignen Transformation auf (van der Meij et al. 2003).
Wie an dem vorgestellten Patientenfall konnte durch eine konsequente Entfernung der oralen Allergene eine wesentliche Besserung der Schleimhautsymptomatik erreicht werden. Ob eine Schilddrüsenerkrankung sowie die Einnahme von Schilddrüsenmedikamenten die bestehende lichenoide Schleimhautreaktion begünstigen (Garcia-Pola et al. 2016; Siponen et al. 2010), konnte in diesem vorgestellten Fall bislang nicht eindeutig geklärt werden.
Die Studie von Garcia-Pola et al. zeigte, dass eine OLP mit Schilddrüsenerkrankung im speziellen mit einer Unterfunktion assoziiert sein kann. Allerdings können die oralen lichenoiden medikamenten-assoziierten Läsionen histologisch und vom klinischen Erscheinungsbild nur schwer vom OLP unterschieden werden. Ein unmittelbarer zeitlicher Zusammenhang zwischen dem Auftreten der Veränderung und der Medikamenteneinnahme kann Aufschluss geben.
Die Symptome können sich erst nach einer Latenzphase von Monaten und Jahren zeigen. Ebenso kann sich eine Remission nach mehreren Monaten nach dem Absetzen einstellen (Nobel 2015). Empfindungsstörungen nach zahnärztlichen Behandlungen werden häufig mit den verwendeten Materialien assoziiert, und es wird schnell von einer allergischen Reaktion ausgegangen. Bei diesen handelt es sich hauptsächlich um Typ-IV-Reaktionen vom Spättyp (Kontaktallergie).
Um eine Kontaktallergie nachzuweisen, ist der Epikutantest, auch Patch-Test genannt, die am häufigsten verwendete Methode. Dabei werden die zu testenden Allergene, die in einer Standardreihe festgelegt sind, am Rücken des Patienten aufgebracht und nach 24 oder 48 Std. entfernt. Die Reaktionen werden nach 24, 48 und 72 Stunden abgelesen (Schnuch et al. 2008).
Ein intraoraler Epimukosatest wurde in der Studie von Picarelli et al. bei 86 Patienten beschrieben (Picarelli et al. 2011). Hier wurde auf der Innenseite der Oberlippe ein Testpapier mit einer 5%-Nickelsulfat-Lösung aufgebracht und nach 2 Stunden wieder entfernt. Eine Beurteilung der Mukosa erfolgte unmittelbar nach Entfernung, 24 Stunden und 48 Stunden später. Ein Epimukosatest mit Testsubstanzen einer definierten Konzentration über 48 Stunden frei von zusätzlichen Einflüssen wie zum Beispiel Verdünnung durch Speichel oder mikrobiellen Einflüssen (Herrmann 1989) zu halten und auf ein bestimmtes Schleimhautareal einwirken zulassen, ist technisch schwierig.
Bislang haben Epimukosatests keine praktische Bedeutung für die Erstallergiediagnostik, sind aber für weiterführende Untersuchungen hilfreich. Die hier gezeigte Schiene zur intraoralen Platzierung eines alternativen Dentalmaterials ist vor zahnärztlichen Restaurationsmaßnahmen von hoher praktischer Bedeutung. So können im Vorfeld mögliche Materialien auf Verträglichkeit getestet werden, bevor der Zahnersatz neu angefertigt wird.
Schlussfolgerungen
Anhand dieses klinischen Fallbeispiels wurde die interdisziplinäre Zusammenarbeit zwischen den Fachgebieten der Mundschleimhautdiagnostik, der zahnärztlichen Prothetik und der Allergologie beschrieben. Allergisch assoziierte lichenoide Mundschleimhauteffloreszenzen auf Dentalmaterialien nehmen in der ambulanten Tätigkeit eine eher untergeordnete Stellung ein. Dennoch sind die OLL sowie der OLP ernst zu nehmende Veränderungen.
Können aus zahnärztlicher Sicht typische Differenzialdiagnosen, zum Beispiel Leukoplakien oder Friktionskeratosen, ausgeschlossen werden, ist eine weiterführende Mundschleimhautdiagnostik indiziert. In den Vorsorgeuntersuchungen ist beim Vorhandensein von großflächigen Amalgamfüllungen (Lynch et al. 2015) und herausnehmbarem Zahnersatz auf lichenoide Schleimhauteffloreszenzen zu achten. Eine zusätzliche Abklärung oder gegebenenfalls eine Allergiediagnostik sollten interdisziplinär mit dem behandelnden Zahnarzt einhergehen.
Oberärztin Dr. med. dent. Constanze Olms, MMESpezialistin für ProthetikPoliklinik für Zahnärztliche Prothetik und WerkstoffkundeUniversitätsklinikum LeipzigLiebigstraße 12, 04103 LeipzigE-Mail: constanze.olms@medizin.uni-leipzig.de
Summary/Abstract
Olms C, Remmerbach TW: Allergen-triggered lichenoid oral mucosalesions (in German). SWISS DENLTAL JOURNAL SSO 127: 27–32 (2017)
Allergen-triggered lichenoid oral mucosa lesions may occur both in oral lichen planus (OLP) and oral lichenoid lesions (OLL). Clinically, OLP and OLL are difficult to distinguish from each other. An OL P should be checked by histological examination. Therefore all patients with OLP should be included into a close control interval due to the the potential malignant transformation, whereas in the literature a higher risk of malignancy is attributed to OLL in comparison with OLP. Based on a clinical case, it is demonstrated that an interdisciplinary approach in allergy and mucous diagnosis is necessary to verify the correaltion between a contact allergy to amalgam and the lichenoid mucosal lesions. The subsequent treatment exemplifies the steps of dental therapies with multiple contact allergies to dental materials.









