Beidseitige Ankylose der Kiefergelenke
Nach einem Sturz hatte sich der 22-jährige Mann folgende Verletzungen zugezogen: distale Femurschaft- und Femurhalsfraktur rechts, Patellafraktur rechts, Steißbeinfraktur, Mediastinalemphysem, Belüftungsstörung der Lunge, ausgedehnte Weichteilverletzungen im Gesichtsbereich, Zahnluxationen,-avulsionen und -frakturen, komplexe Frakturen im Mittelgesicht sowie Trümmerfrakturen insbesondere der Kinnregion und der Kiefergelenke beidseits mit Luxationen im Kiefergelenk beidseits sowie Fraktur der Fossa articularis links.
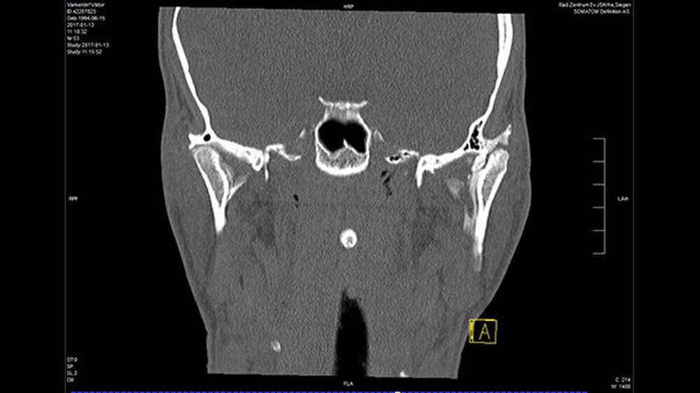
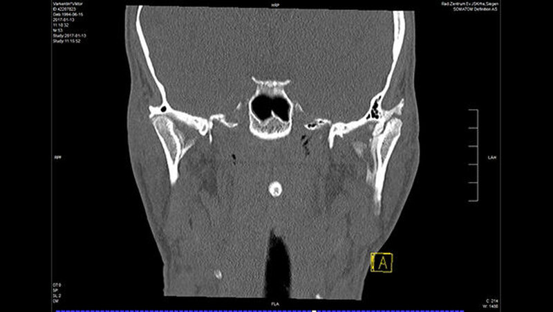
In der Folge entwickelte sich binnen fünf Monaten eine absolute Mundöffnungsbehinderung. Die SKD betrug null Millimeter. Passend zur klinischen Symptomatik zeigten sich radiologisch die Zeichen einer knöchernen Ankylose der Kiefergelenke beidseits Typ III nach Sawhney [1986] (Abbildung 1a-d).
Dem Patienten wurde der totale Gelenkersatz beidseits mit auf der Basis der gewonnenen CT-Daten individuell erstellten Fossa-Komponenten aus einem speziellen Kunststoff (Ultra High Molecular Weight Polyethylene) und individuellen Gelenkkopfprothesen aus einer titanbeschichteten Chrom-Kobalt-Legierung vorgeschlagen (Biomet Microfixation Inc., Vertrieb Zimmer Biomet Deutschland GmbH). Der Patient und seine Angehörigen wurden in intensiven Gesprächen über die Vorteile und Risiken des Eingriffs aufgeklärt.
Nach Akzeptanz des Behandlungsplans wurden beidseits die TEPs (Totalendoprothesen) über jeweils einen präaurikulären und einen retromandibulären Zugang implantiert. Diese Prothesen wurden mit Schrauben mit exakt am CT-Datensatz definierten Schraubenlängen fixiert. Bei der Planung der Schraubenpositionierung wurde auch der Verlauf N. alveolaris inferior berücksichtigt und der Nerv geschont.
Vor der definitiven Fixierung der Prothesen wurden Dummys als Test eingesetzt, um eine optimale Positionierung der passgenauen finalen Prothesen zu erreichen (Abbildung 2 bis 9). Abbildung 10 a und 10b zeigen die postoperative Röntgenkontrolle.
Am zweiten postoperativen Tag begann eine intensive Physiotherapie. Bereits fünf Wochen später betrug die maximale Mundöffnung aktiv 26 mm (Abbildung 11), passiv 32 mm. Nach Stabilisierung einer individuell maximalen Mundöffnung ist die dentale Sanierung geplant, an die bislang situationsbedingt in keiner Weise zu denken war.
###more### ###title### Diskussion ###title### ###more###
Diskussion
Bei Kiefergelenkankylosen werden bindegewebige und knöcherne Ankylosen unterschieden. Knöcherne Ankylosen können durch unterschiedliche Ursachen hervorgerufen werden wie Entzündungen, Tumore oder - und dies ist die häufigste Ursache - Traumata. Aufgrund exzellenter Versorgungsmöglichkeiten werden traumatische Ankylosen seit vielen Jahren in Mitteleuropa kaum noch gesehen.
Die Behandlung der knöchernen Ankylosen erfolgte typischerweise durch Resektion eines möglichst breiten Knochenanteils im Ankylosebereich und Interposition von Gewebe zur Vermeidung einer Re-Ankylose („Gap-arthroplasty“).
Als Interpositionsmaterialien wurden autogene Strukturen wie Muskel oder Faszien , aber auch alloplastische Materialen wie etwa Gold- oder Tantalfolien oder auch Silastik verwendet. Die Ergebnisse waren aber nicht regelmäßig befriedigend. Häufig kam es zu Rezidiven [Giannakopoulos et al., 2012; Jones, 2013].
Mit der Totalendoprothetik des Kiefergelenks aus den in der Kasuistik angegebenen biokompatiblen Materialien werden deutlich vorhersehbarere Resultate erzielt [Quinn, 2000; Jones, 2013]. Prinzipiell sind bei Totalendoprothesen zwei Verfahren zu unterscheiden:
a) die Verwendung standardisierter Prothesen, die in drei Größen sowohl für den Fossa-Bereich wie auch für die Gelenkkopfregion zur Verfügung stehen
b) individuell, auf CT-Daten hergestellte Prothesen
Letztere haben mehrere Vorteile:
a) Verkürzte Operationszeit
b) Perfekte Passung
c) Schonung nervaler Strukturen
d) Reduktion der Infektionsgefahr durch Vermeidung überlappender intra- und extraoraler OP-Schritte.
Die Nachteile liegen in einer längeren Vorbereitungszeit und deutlich höheren Kosten. Die Vorteile der individuell hergestellten Prothesen sind jedoch so gravierend, dass die Nachteile bei den seltenen Indikationen zur Totalendoprothetik in Kauf genommen werden sollten [Abramowicz et al., 2012].
Das Indikationsspektrum ist allerdings nicht nur auf die beschriebene Ankylose beschränkt, sondern kann durch folgende Krankheitsbilder nach genauer Abwägung erweitert werden: Substanzverlust im Gelenkbereich (zum Beispiel Resorption, anlagebedingt, rheumatoide Arthritis, Trauma, Tumor), schwerwiegende Arthrosen [Machon et al., 2012; Lobo Leandro et al., 2013]).
Ein bedeutender und häufig übersehener Aspekt liegt in der vitalen Bedrohung von Menschen mit eingeschränkter Mundöffnung, da in Notfällen die Intubation erschwert oder sogar unmöglich ist. Kontraindikationen bestehen vor allem bei aktiven putriden Infektionen, Kindern und Jugendlichen, Allergien, Allgemeinerkrankungen mit erhöhter Gefahr des Prothesenverlustes und Aversionen des Patienten gegen Fremdmaterialien [Giannakapoulos et al., 2012; Machon et al., 2013; Lobo Leandro et al., 2013].
Vor der Indikationsstellung zur TEP sollten weniger eingreifende, nicht-operative und operative Maßnahmen sorgfältig abgewogen oder bereits durchgeführt worden sein. Sollte sich dann jedoch die Indikation zur TEP ergeben, profitieren die Patienten regelmäßig von dieser Technik [Aagaard und Thygesen; 2014]. Der Wert der postoperativen Physiotherapie kann nicht hoch genug eingestuft werden [Westermark, 2010]. Bei besonders schweren Verläufen kann zusätzlich zur TEP die Anwendung von Botulinum-Toxin und anderen konservativen Therapiemaßnahmen indiziert sein [Aagaard und Thygesen; 2014].
Abschließend soll darauf hingewiesen werden, dass Patienten mit künstlichen Gelenken bei zahnärztlichen Eingriffen antibiotisch abgeschirmt werden müssen, um eine Protheseninfektion zu vermeiden. Die MRT-Diagnostik ist nach Insertion der hier verwendeten Medizin-Produkte nach Angaben des Herstellers bedingt möglich.
Prof. Dr. Dr. Berthold H. HellCoordt Alexander BüddickerDr. Dr. Philipp KleyKlinik für Mund-, Kiefer- und Gesichtschirurgie -plastische OperationenDiakonie Klinikum, Standort Jung StillingWichernstr. 40, 57074 Siegen
Literatur
Aagaard, E.; Thygesen, T.: A prospective single –centre study on patient-outcomes following temporomandibular joint replacement using a custum-made Biomet TMJ prosthesis. Int J Oral Maxillofac Surg 2014; 43: 1229 – 1235.
Abramowicz, S.; Barbick, M.; Rose, P.; Dolwick, M.F.: Adaptability of stock TMJ prosthesis to joints that were previously treated with custom joint prosthesis. Int J Oral Maxillofac Surg 2012; 41: 518 – 520.
Giannakopoulos, H. E.; Sinn, D. P.; Quinn, P. D.: Biomet microfixation temporomandibular joint replacement system: A 3-year follow-up study of patients treated during 1995 to 2005. J Oral Maxillofac Surg 2012; 70: 787 – 794.
Jones, R.H.B.: The use of virtual planning and navigation in the treatment of temporomandibular joint ankylosis. Australian Dental Journal 2013; 58: 358 – 367.
Lobo Leandro, L.F.; Ono, H.Y.; de Souza Loureiro, C. .C..; Marinho, K.; Garcia Guevara, H.A.: A ten-year experience and follow-up of three hundred patients fitted with Biomet/Lorenz microfixation TMJ replacement system: Int J Oral Maxillofac Surg 2013; 42: 1007 – 1013.
Machon, V.; Hirjak, D.; Beno, M.; Foltan, R.: Total alloplastic temporomandibular joint replacement: the Czech-Slovak initial experience. Int J Oral Maxillofac Surg 2012; 41: 514 – 517.
Quinn, P.D.: Alloplastic reconstruction of the temporomandibular joint. SROMS 2000; 7: 1 – 20.
Sawhney, C. P.: Bony ankylosis of the temporomandibular joint: Follow-up of 70 patients treated with arthroplasty and acrylic spacer interposition. Plast Reconstr Surg 1986; 77: 29 – 38.
Westermark, A.: Total reconstruction of the temporomandibular joint. Up to 8 years of follow-up of patients with BiometRtotal joint prostheses. Int J Oral Maxillofac Surg 2010; 39: 951 – 955.



















