Bullöse AID
Blasenbildende Autoimmundermatosen (AID) sind eine Gruppe von seltenen Autoimmunerkrankungen, die klinisch durch das Auftreten von Blasen und Erosionen am Integument und an oberflächennahen Schleimhäuten charakterisiert sind [Schmidt and Zillikens, 2011]. Bullöse AID werden in drei Gruppen unterteilt, wobei in diesem Beitrag die ersten beiden Gruppen aufgrund der häufigen Beteiligung der Mundschleimhaut näher besprochen werden:
• Pemphiguserkrankungen
• Pemphigoiderkrankungen
• Dermatitis herpetiformis Duhring.
Pemphiguserkrankungen sind generell durch eine intraepidermale/intraepitheliale Blasenbildung charakterisiert. Pemphigoiderkrankungen und Dermatitis herpetiformis Duhring zeigen histologisch eine subepidermale Spaltbildung [Schmidt and Zillikens, 2011]. Pemphigus-Antikörper sind gegen desmosomale und Pemphigoid-Antikörper gegen hemidesmosomale Strukturproteine von Haut- und Schleimhäuten mit geschichtetem Plattenepithel gerichtet (Abbildung 1). Dagegen erkennen die Autoantiköper bei der Dermatitis herpetiformis Duhring, die die kutane Manifestation einer Zöliakie darstellt, die Enzyme Transglutaminase 3 (epidermale Transglutaminase) und Transglutaminase 2 (Gewebstransglutaminase) [Sardy et al., 2002; Schmidt and Zillikens, 2011; Schmidt and Zillikens, 2013] (Tabelle 1).
In Deutschland und Zentraleuropa ist das bullöse Pemphigoid mit einer Inzidenz von 13 bis 22 Neuerkrankungen / 1 Million Einwohner / Jahr die mit Abstand häufigste bullöse AID, gefolgt von Schleimhautpemphigoid, Pemphigoid gestationis und Pemphigus vulgaris [Bernard et al., 1995; Bertram et al., 2009; Hahn-Ristic et al., 2002; Joly et al., 2012; Marazza et al., 2009a; Schmidt, 2015b]. Die Prävalenz der bullösen AID in Deutschland wird auf rund 40.000 Patienten geschätzt.
Manifestation
Einige der bullösen AID betreffen überwiegend die Schleimhäute. Hierzu zählen Pemphigus vulgaris, paraneoplastischer Pemphigus und das Schleimhautpemphigoid. Andere Erkrankungen, wie bullöses Pemphigoid, lineare IgA Dermatose, Anti- p200 Pemphigoid und Epidermolysis bullosa acquisita können mit Schleimhautveränderungen einhergehen, manifestieren sich jedoch überwiegend mit Läsionen an der Haut. Eine dritte Gruppe von bullösen Autoimmundermatosen weist nie oder sehr selten ( 10 Prozent der Patienten) Läsionen an den Schleimhäuten auf. Hierzu zählen Pemphigus foliaceus, Pemphigoid gestationis und Dermatitis herpetiformis Duhring (Tabelle 1). Bei Erkrankungen mit Schleimhautbeteiligung ist die Mundhöhle am häufigsten betroffen. Jedoch können auch die Schleimhäute von Larynx, Pharynx, Ösophagus, Nase und Genitale sowie beim Schleimhautpemphigoid die Konjunktiven erkranken.
Alleine aufgrund der Klinik können die bullösen AID weder untereinander noch von den wichtigen Differenzialdiagnosen wie Lichen ruber, Herpes-simplex-Virus-Infektion, Lupus erythematodes, Erythema exsudativum multiforme und bullösen Arzneimittelexanthemen (Steven-Johnson-Syndrom und toxische epidermale Nekrolyse) sicher unterschieden werden [Schmidt et al., 2015b].
Hierzu sind die direkte Immunfluoreszenz (IF) einer periläsionalen Probebiospie (gesund aussehende Haut oder Schleimhaut in der Umgebung einer Läsion) und die Histologie einer läsionalen Biopsie (erkrankte Haut) notwendig (Abbildung 2). Ergänzt werden diese beiden Biopsien gegebenenfalls durch serologische Untersuchungen. Für die Betreuung von Patienten mit bullösen AID bedarf es eines interdisziplinären Ansatzes unter Einbeziehung von Zahnmedizinern, Dermatologen, Ophthalmologen, HNO-Ärzten und Gynäkologen, bei ausgeprägtem Befall des Ösophagus auch von Gastroenterologen. Die medikamentöse Therapie wird in der Regel durch Dermatologen in spezialisierten Zentren koordiniert.
Die vorliegende Übersichtsarbeit fokussiert das klinische Bild, die Differenzialdiagnosen und die Diagnostik derjenigen bullösen AID, die mit überwiegender oder häufiger Schleimhautbeteiligung assoziiert sind. Zudem werden therapeutische Grundprinzipien dieser Erkrankungen erläutert.
Pemphiguserkrankungen
Die Inzidenz der Pemphiguserkrankungen liegt in Deutschland bei ein bis zwei Neuerkrankungen / 1 Million Einwohner / Jahr. Rund 80 Prozent der Patienten leiden unter einem Pemphigus vulgaris, 20 Pro-zent unter einem Pemphigus foliaceus. Überwiegend ist das mittlere Lebensalter betroffen mit einem durchschnittlichen Erkrankungsalter von 55 bis 65 Jahren [Schmidt et al., 2015a].
Pemphigus vulgaris:
Patienten mit Pemphigus vulgaris weisen immer Erosionen an den Schleimhäuten auf, fast immer ist die Mundhöhle betroffen. Die Erosionen an der Mundschleimhaut sind in der Regel schmerzhaft. Bevorzugt ist hier die Wangenschleimhaut betroffen, gefolgt von Gaumen, Zunge, Gingiva und Mundboden [Schmidt and Zillikens, 2011].
Daneben können Pharynx, Larynx und Ösophagus sowie die genitale und die perianale Schleimhaut erkranken. Im Lauf der Erkrankung breiten sich die Läsionen oft mit schlaffen Blasen und Erosionen auf die Haut aus. Die Blasen reißen wegen der dünnen Blasendecke rasch ein, so dass sich Erosionen und Krusten bilden (Abbildung 3d).
Immunpathologisch ist das Vorliegen von Autoantikörpern gegen Desmoglein 3 charakteristisch. Die Diagnose erfolgt durch den Nachweis von interzellulären IgG- Ablagerungen im Epithel in der direkten IF einer periläsionalen Biopsie der Mundschleimhaut (Abbildung 4a).
Alternativ kann die Diagnose serologisch mittels Nachweis von Antikörpern gegen Desmoglein 3 im ELISA (Euroimmun, Lübeck; MBL, Nagoya, Japan) gestellt werden [Schmidt et al., 2015b]. Bei ausschließlicher Schleimhautbeteiligung finden sich nur Antikörper gegen Desmoglein 3, bei zusätzlichen Läsionen an der Haut lassen sich zudem Autoantikörper gegen Desmoglein 1 nachweisen [Amagai et al., 1999]. Die Serumspiegel der Anti-Desmoglein-1/3-Autoantikörper korrelieren mit dem Ausmaß der Haut-/Schleimhautläsionen [Harman et al., 2001; Schmidt et al., 2010] und sind somit nicht nur in der Diagnostik, sondern auch zu Therapieentscheidungen im Krankheitsverlauf (wie Reduktion der Kortikosteroiddosen) nützlich [Schmidt et al., 2015b; Schmidt and Zillikens, 2011].
Die Therapie des Pemphigus vulgaris erfolgt durch den langfristigen Einsatz von systemischen Kortikosteroiden (initial 1,0 – 2,0 mg/kg/d Prednisolonäquivalent) [Martin et al., 2009]. In aller Regel werden zusätzlich weitere Immunsuppressiva wie Azathioprin (2,0 – 2,5 mg/kg/d bei normwertiger Thiopurin-Methyltransferase Aktivität), Mycophenolat-Mofetil (2 g/d) oder Mycophenolsäure (1,440 g/d) gegeben [Eming et al., 2015; Hertl et al., 2015].
Alternativ kann das systemische Kortikosteroid mit Cyclophosphamid oder Methotrexat kombiniert werden [Eming et al., 2015]. Anstelle des oralen Kortikosteroids wird häufig eine initial monatliche intravenöse Pulstherapie, mit zum Beispiel Dexamethason 100 mg, an drei aufeinander folgenden Tagen eingesetzt [Eming et al., 2015]. Bei schweren Schleimhautläsionen oder bei Befall von mehr als 30 Prozent der Körperoberfläche können Verfahren eingesetzt werden, die direkt oder indirekt auf die Reduktion der Autoantikörper abzielen [Eming et al., 2015]; hier stehen Immunadsorption, der Anti-CD20-Antikörper Rituximab und hoch dosierte intravenöse Immunglobuline zur Verfügung [Ahmed et al., 2006; Joly et al., 2007; Kasperkiewicz et al., 2012; Schmidt et al., 2009].
Paraneoplastischer Pemphigus:
Der paraneoplastische Pemphigus ist selten. Er geht fast immer mit einer schweren Stomatitis mit ausgedehnten Erosionen der Wangenschleimhaut, Zunge und Lippen einher (Abbildungen 3e und 3f).
Larynx, Pharynx und Ösophagus können ebenfalls betroffen sein. Die Hautveränderungen sind polymorph, häufig lichenoid oder Erythema-exsudativum-multiforme- artig. Die Erkrankung ist obligat mit einer Neoplasie (meist mit hämatologischen Neoplasmen und Thymomen) assoziiert [Anhalt, 2004; Zimmermann et al., 2010].
Die Diagnostik beruht wie beim idiopathischen Pemphigus auf der direkten IF einer periläsionalen Schleimhaut-/Hautprobe und einer läsionalen Biopsie für die Histologie. In der direkten IF sieht man neben der für den Pemphigus typischen, netzförmigen Ablagerung von IgG im Epithel / in der Epidermis auch die für Pemphigoiderkrankungen charakteristische lineare Fluoreszenz der Basalmembranzone. Die Histologie spiegelt das klinische Bild wider und weist häufig Dyskeratosen auf [Zimmermann et al., 2010].
Serologisch lassen sich Autoantikörper gegen Desmoglein 3 und zusätzlich gegen Proteine der Plakinfamilie – Envoplakin, Periplakin, Desmoplakin I/II, Plektin und BP230 –, aber auch gegen α2-Makroglobulin-like-1 nachweisen. Zur Bestimmung von Serumautoantikörpern gegen Envoplakin – das häufigste Zielantigen des paraneoplastischen Pemphigus – steht ein ELISA zur Verfügung (Euroimmun) (Tabelle 2) [Probst et al., 2009].
Pemphigus foliaceus:
Bei dieser Erkrankungsform zeigen sich schlaffe und schnell einreißende Blasen, so dass das klinische Bild meist als blätterteigartige Schuppung und durch Krusten imponiert. Die Schleimhäute sind stets frei. Bei allen Patienten können Autoantikörper gegen Desmoglein 1 nachgewiesen werden [Schmidt and Zillikens, 2011].
Pemphigoiderkrankungen
Schleimhautpemphigoid:
Die Pemphigoiderkrankung ist dadurch charakterisiert, dass sie vorwiegend die Schleimhäute befällt [Chan et al., 2002; Schmidt and Zillikens, 2013]. Sie ist die zweithäufigste bullöse AID und tritt gehäuft ab der siebten Lebensdekade auf [Schmidt and Zillikens, 2013]. Am häufigsten ist die Mundschleimhaut betroffen (85 Prozent der Patienten), gefolgt von den Konjunktiven (65 Prozent) und den Schleimhäuten von Nase (20 bis 40 Prozent), Pharynx (20 Prozent), Vulva, Penis und Anus (20 Prozent) sowie Larynx (5 bis 10 Prozent) und Ösophagus (5 bis 15 Prozent) [Chan et al., 2002; Thorne et al., 2004]. Ist ausschließlich die Mundhöhle betroffen, spricht man von einem oralen Schleimhautpemphigoid, sind die Läsionen auf das Auge beschränkt, von einem okulären Schleimhautpemphigoid.
In der Mundhöhle findet man dann am häufigsten eine desquamative Gingivitis. Erytheme und fibrinbelegte Erosionen sind auch am Gaumen, an der Innenseite der Unterlippe, der Wangenschleimhaut und der Zunge sichtbar (Abbildungen 5a und 5b). Noch intakte Blasen sieht man – wie bei den anderen bullösen AID der Mundschleimhaut – wegen der starken mechanischen Beanspruchung selten. Die Mundschleimhautläsionen heilen in aller Regel ohne Narbenbildung ab.
An den Augen imponiert eine konjunktivale Injektion, gefolgt von Symblephara, Narbensträngen und Trichiasis (Fehlstellung der Wimpern) (Abbildung 5c). Initial leiden die Patienten unter einem Fremdkörpergefühl mit vermehrtem Tränenfluss und Brennen, später kommt es durch das Reiben der Wimpern auf der Hornhaut zu weiteren Irritationen, zu zunehmendem Visusverlust bis hin zur Erblindung [Saw and Dart, 2008].
Läsionen im Larynx können zu lebensbedrohlichen Strikturen führen, im Ösophagus zu ausgeprägter Dysphagie. Das häufigste Zielantigen ist bei etwa 75 Prozent der Patienten BP180 (Typ XVII Kollagen). Anders als beim bullösen Pemphigoid und dem Pemphigoid gestationis (siehe unten) sind die Autoantikörper nicht vorwiegend gegen die 16. nicht-kollagene Domäne (NC16A) von BP180 gerichtet, sondern sie erkennen auch C-terminale Epitope auf diesem Autoantigen. In etwa 25 Prozent der Patienten mit Schleimhautpemphigoid werden Antikörper gegen Laminin 332 detektiert [Bernard et al., 2013; Schmidt et al., 2001]. Die Untersuchung auf Anti-Laminin-332- Antikörper ist von besonderer Bedeutung, da sich bei rund 30 Prozent dieser Patienten ein solides Malignom nachweisen lässt [Egan et al., 2001]. Selten werden beim Schleimhautpemphigoid auch Autoantikörper gegen Typ VII Kollagen und α6β4- Integrin beschrieben [Chan et al., 2002; Schmidt et al., 2001] (Tabelle 2).
Die Diagnose des Schleimhautpemphigoids erfolgt durch den Nachweis von IgG- und/ oder IgA- und/oder C3-Ablagerungen an der epithelialen Basalmembranzone in der direkten IF einer periläsionalen Probebiopsie, meist der Mundschleimhaut (Abbildung 4b).
Wenn sich in der direkten IF eine solche Ablagerung nachweisen lässt, sollte überprüft werden, ob es eine positive Reaktivität gegen Laminin 332 gibt. In einem solchen Fall sollte eine Diagnostik im Hinblick auf Malignome erfolgen (Tumorsuche), um frühzeitig eine Therapie einleiten zu können. Zudem wird die ophthalmologische Vorstellung empfohlen, um konjunktivale Läsionen möglichst frühzeitig zu entdecken.
Die Behandlung des oralen Schleimhautpemphigoids kann zunächst mit topischen Kortikosteroiden der Klasse III und IV als Haftpaste in Kombination mit Dapson (1,0 – 1,5 mg/kg/d bei normaler Glukose-6-Phosphat-Dehydrogenase-Aktivität) erfolgen. Bei ungenügendem Ansprechen sollte eine immunsuppressive Therapie mit systemischen Kortikosteroiden in Kombination mit Dapson oder Mycophenol eingeleitet werden. Die Behandlung aller anderen Lokalisationen – insbesondere bei konjunktivaler und laryngealer Beteiligung – ist eine Herausforderung.
Über den erfolgreichen Einsatz von hoch dosierten intravenösen Immunglobulinen, Immunadsorption und Rituximab wurde dabei berichtet [Le Roux-Villet et al., 2011; Letko et al., 2004]. Bei refraktären oder rasch progredienten konjunktivalen und laryngealen Läsionen ist Cyclophosphamid weiterhin Mittel der Wahl [Chan et al., 2002; Schmidt and Zillikens, 2013].
Bullöses Pemphigoid:
Das bullöse Pemphigoid ist die in Deutschland mit Abstand häufigste bullöse AID. In Deutschland und Zentraleuropa liegt die Inzidenz bei 14 bis 22 neuen Patienten / 1 Million Einwohner / Jahr [Bertram et al., 2009; Joly et al., 2012; Marazza et al., 2009b]. Die Inzidenz steigt ab einem Alter von 70 Jahren dramatisch an. Das mittlere Erkrankungsalter liegt bei 75 bis 80 Jahren. Die Patienten entwickeln pralle Blasen auf erythematösem Grund oder normaler Haut, begleitet von intensivem Juckreiz (Abbildung 6a) [Schmidt et al., 2012]. Nicht selten verläuft die Erkrankung über einen langen Zeitraum ohne Blasenbildung (prämonitorisches Stadium) unter dem Bild eines Ekzems, einer Prurigo simplex subacuta oder von urtikariellen, teilweise figurierten Erythemen. Aus diesem Grund sollte bei älteren Patienten mit chronischem Juckreiz immer ein bullöses Pemphigoid ausgeschlossen werden. Die Schleimhäute sind in etwa 20 Prozent der Patienten befallen, darunter fast immer die Mundschleimhaut. Im Gegensatz zum Pemphigus vulgaris und zum Schleimhautpemphigoid sind die Erosionen und Erytheme der Mundschleimhaut meist mild ausgeprägt und finden sich nur bei gleichzeitig starkem Hautbefall (Abbildung 6b).
Bei Erosionen der Mundschleimhaut kann die Diagnose anhand des Nachweises von IgG und/oder C3 Ablagerungen entlang der epithelialen Basalmembranzone in der direkten IF einer periläsionalen Probebiopsie der Mundschleimhaut erfolgen (Abbildung 4b). Anhand der direkten IF allein kann allerdings das bullöse Pemphigoid nicht vom Schleimhautpemphigoid unterschieden werden. Hierzu bedarf es der klinischen Beurteilung: Bei überwiegendem Schleimhautbefall und nur geringer Hauterkrankung ist ein Schleimhautpemphigoid zu diagnostizieren [Chan et al., 2002]. Zur Abgrenzung einer Epidermolysis bullosa acquisita erfolgt bei positiver direkter IF die serologische Diagnostik. Durch den kombinierten Einsatz des BP180 NC16A und des BP230 ELISA (Euroimmun, MBL) lassen sich bei über 90 Prozent der bullösen Pemphigoid-Patienten Serumautoantikörper nachweisen [Blocker et al., 2012; Charneux et al., 2011]. Autoantikörper- Serumspiegel gegen BP180 NC16A korrelieren beim bullösen Pemphigoid mit der Krankheitsaktivität [Schmidt et al., 2000] und lassen sich somit auch für Therapie entscheidungen im Krankheitsverlauf heranziehen [Schmidt et al., 2015b].
Bei milder Krankheitsaktivität ( 10 Prozent betroffene Körperoberfläche) wird eine Lokal-therapie mit topischem Clobetasolproprionat durchgeführt. In schwereren Fällen wird topisches Clobetasolproprionat (20 bis 40 g/d) mit einer systemischen Therapie kombiniert. Als Systemtherapie wird Prednisolon (initial 0,5 mg/kg/d) eingesetzt, gegebenenfalls in Kombination mit Azathioprin, Dapson, Doxycyclin (200 mg/d), Mycophenolen (2 g/d, 1.440 mg/d) oder Methotrexat. Wenn hierdurch keine klinische Remission erzielt werden kann, werden hoch dosierte intravenöse Immunglobuline, Immunadsorption/Plasmapherese oder Rituximab empfohlen [Eming et al., 2015; Kasperkiewicz et al., 2014; Kasperkiewicz et al., 2011].
Lineare IgA Dermatose:
Die lineare IgA Dermatose ist die häufigste blasenbildende AID im Kindesalter. Ein zweiter Erkrankungsgipfel ist bei 60 Jahren beschrieben [Wojnarowska et al., 1994]. Insgesamt wird die Inzidenz der linearen IgA Dermatose auf 1 /1 Million Einwohner / Jahr geschätzt [Bernard et al., 1995; Bertram et al., 2009; Zillikens et al., 1995]. Klinisch zeigen sich juckende Erytheme sowie pralle Blasen und Bläschen, die häufig annulär angeordnet sind (Abbildung 6c) [Schmidt and Zillikens, 2013]. Eine Schleimhautbeteiligung, meist der Mundschleimhaut, findet sich bei 70 Prozent der Patienten (Abbildung 6d) [Schmidt and Zillikens, 2013]. Die IgA-Autoantikörper sind meist gegen die lösliche Ektodomäne von BP180 (LAD-1) gerichtet (Tabelle 1).
Bei Befall der Mundschleimhaut kann die Diagnose durch den ausschließlichen oder überwiegenden Nachweis von IgA-Ablagerungen entlang der epithelialen Basalmembranzone in der direkten IF einer periläsionalen Probebiopsie der Mundschleimhaut gestellt werden. Mittels serologischer Untersuchungen kann dann das Zielantigen identifiziert werden, in der Regel die lösliche Ektodomäne von BP180, selten Typ VII Kollagen (Tabelle 2).
Die lineare IgA Dermatose spricht gut auf Dapson an, gegebenenfalls in Kombination mit topischen und/oder systemischen Kortikosteroiden (initial Prednisolon 0,5 mg/kg/d).
Epidermolysis bullosa acquisita:
Die Epidermolysis bullosa acquisita ist eine seltene bullöse AID mit einer Inzidenz von weniger als 1 / 1 Million Einwohner / Jahr und durch den Nachweis von Autoantikörpern gegen Typ VII Kollagen definiert [Woodley et al., 1984]. Man unterscheidet eine mechanobullöse Form mit Erosionen und Blasen an mechanisch belasteten Hautarealen, die mit Milien und Narben abheilen, von der inflammatorischen Variante. Diese ähnelt klinisch einem bullösen Pemphigoid, einem Schleimhautpemphigoid oder einer linearen IgA Dermatose [Buijsrogge et al., 2011; Kim et al., 2011; Ludwig, 2013]. Rund 50 Prozent der Patienten weisen eine Beteiligung der Schleimhaut auf (Abbildung 6f) [Buijsrogge et al., 2011].
Die direkte IF einer periläsionalen Schleimhautbiopsie erlaubt bei Nachweis von linearen Ablagerungen von IgG und/oder C3 (gegebenenfalls zusammen mit schwächerer IgA-Bindung) die Diagnose einer Pemphigoiderkrankung. Serologische Analysen mithilfe von Typ-VII-Kollagen-spezifischen ELISA (Euroimmun, MBL) und indirekter IF (Euro-immun) erlauben dann die Abgrenzung zum bullösen Pemphigoid (Tabelle 2).
Bullöse Autoimmunerkrankungen mit seltener Mundschleimhautbeteiligung
Die anderen Pemphigoiderkrankungen (Pemphigoid gestationis und Anti-p200/Laminin γ1-Pemphigoid) und die Dermatitis herpetiformis Duhring gehen nur selten mit Mundschleimhautveränderungen einher.
Das Pemphigoid gestationis manifestiert sich im zweiten oder im dritten Trimenon der Schwangerschaft oder post partum. Urtikarielle Erytheme und juckende Papulovesikel vor allem periumbilikal sowie Serumautoantikörper gegen BP180 NC16A sind typisch.
Das Anti-p200/Laminin γ1-Pemphigoid ähnelt dem bullösen Pemphigoid, tritt jedoch in etwas jüngerem Lebensalter auf (mittleres Erkrankungsalter 40 bis 50 Jahre) [Goletz et al., 2014; Schmidt and Zillikens, 2013]. Immunpathologisch ist der Nachweis von Autoantikörpern gegen das p200-Antigen, ein Protein der unteren Basalmembranzone, und gegen Laminin γ1 typisch [Dainichi et al., 2009; Groth et al., 2011; Zillikens et al., 1996].
Die Dermatitis herpetiformis Duhring ist die kutane Manifestation der glutensensitiven Enteropathie (Zöliakie). Das klinische Bild beinhaltet juckende erythematöse, häufig exkoriierte Papeln und Papulovesikel an den Streckseiten der Extremitäten und gluteal. Die Autoantigene der Dermatitis herpetiformis Duhring sind Transglutaminase 2 und 3 (Tabelle 1).
Diagnosestellung
Entscheidend für die Diagnose ist die korrekte Entnahme von zwei Biopsien, wobei eine aus der zu untersuchenden Läsion und die andere aus der angrenzenden gesunden Schleimhaut/Haut entnommen werden sollte. Die molekulare Identifizierung der meisten Zielantigene wurde durch die Entwicklung kommerzieller Testsysteme für IgG-Antikörper gegen die Hauptzielantigene Desmoglein 3, Desmoglein 1, Envoplakin, BP180 NC16A, BP230 und Typ VII Kollagen möglich (Tabelle 2).
Direkte Immunfluoreszenz (IF):
Die direkte IF ist weiterhin der diagnostische Goldstandard der bullösen AID [Schmidt and Zillikens, 2011]. Die Probeentnahme sollte aus periläsionaler Haut oder Schleimhaut erfolgen, das heißt gesund erscheinender Haut oder Schleimhaut in der Umgebung einer frischen Läsion (Blase oder Erosion) (Abbildung 2). Für die direkte IF sollte die Biopsie keinesfalls aus einer Läsion (sichtbar erkrankter Haut) erfolgen, weil sie hierdurch meist falsch negativ ist. Die abgelagerten Autoantikörper werden durch in der erkrankten Haut freigesetzte Enzyme verdaut und entgehen so ihrem Nachweis. Wichtig ist dann der Transport der Biopsie. Dieser sollte in isotoner Kochsalzlösung oder Michels-Medium erfolgen [Schmidt et al., 2015b]. Dieses einfache Transportmedium wird vom beurteilenden Labor zur Verfügung gestellt. Es ist im Kühlschrank über mehrere Monate haltbar, und die einsendende Klinik/Praxis sollten sich damit möglichst in regelmäßigen Abständen bevorraten. Keinesfalls darf die Biopsie für die direkte IF in Formalinlösung gegeben werden, da hierdurch die Bindung der Autoantikörper an das Gewebe zerstört wird. Durch eine fluoreszenzmarkierte Beschichtung mit antihumanen Antikörpern gegen IgG, IgA, IgM und Komplement C3 wird im untersuchenden Labor die Ablagerung der Autoantikörper visualisiert. So können Pemphigus- (interzelluläre epitheliale/epidermale Ablagerungen, Abbildung 4a) von Pemphigoiderkrankungen (lineare Bindung an der Basalmembranzone, Abbildung 4b) sicher unterschieden werden.
Innerhalb der Pemphigoiderkrankungen erlaubt die direkte IF die Diagnose einer linearen IgA Dermatose (ausschließlich oder überwiegend IgA) [Schmidt, 2015a; Schmidt and Zillikens, 2010; Schmidt and Zillikens, 2016].
Histopathologie:
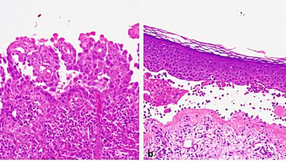
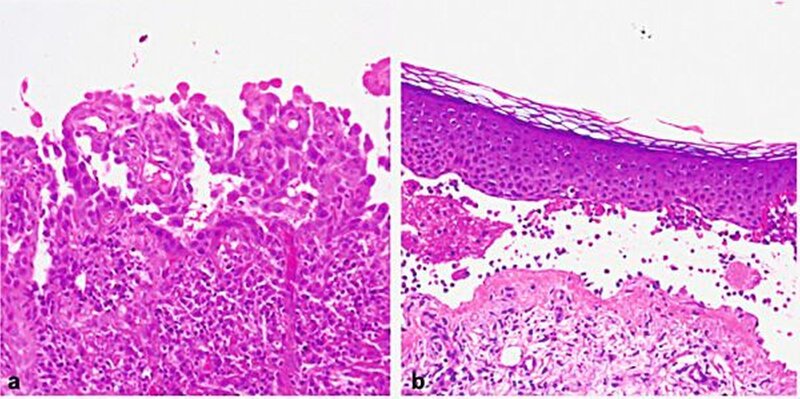
Durch die histologische Untersuchung einer läsionalen Probebiopsie kann man die Ebene der Spaltbildung identifizieren. Die histologische Untersuchung erfolgt mittels einfacher Hämatoxylin-Eosin (HE)-Färbung. Die Pemphiguserkrankungen zeigen eine intraepidermale Spaltbildung und Akantholyse (Abbildung 7a), während die Pemphigoiderkrankungen eine subepidermale Spaltbildung (Abbildung 7b) aufweisen. Eine sichere Differenzierung zwischen den verschiedenen Pemphigoiderkrankungen ist allein anhand der histopathologischen Untersuchung nicht möglich [Schmidt und Zillikens, 2016]. Die Histologie ist vor allem dann hilfreich, wenn die direkte IF sowie die serologische Untersuchung negativ sind, eine bullöse AID daher nicht vorliegt und Differenzialdiagnosen erwogen werden müssen (siehe unten).
Die Serologie:
Der Nachweis zirkulierender Autoantikörper (Serologie) ist notwendig zur genauen Diagnosestellung einer bullösen AID. Dies ist wichtig für die Prognose und für die Einleitung einer zielgerichteten Therapie. Das Serum wird in Speziallabors zunächst in Screeningtests in der indirekten IF auf Meerschweinchen- oder Affenösophagus (sensitivstes Substrat für Pemphigus; Abbildung 8) und 1M NaCl-separierter humaner Haut, sogenannter Spalthaut, untersucht (Abbildung 9). Die humane Spalthaut ist das sensitivste Substrat für Pemphigoiderkrankungen. Bei Verdacht auf einen paraneoplastischen Pemphigus wird aufgrund der starken Expression der Plakine im Urothel Affen- oder Rattenblase als Substrat für den Screeningtest verwendet. In der humanen Spalthaut zeigen sich zwei Bindungsmuster, Bindung am Dach des artifiziellen Spaltes und Bindung am Boden (Abbildung 9).
Autoantikörper gegen BP180, BP230 und α6β4-Integrin binden am Blasendach (Abbildung 9a). Antikörper gegen Laminin 332, p200 Antigen/ Laminin γ1 und Typ VII Kollagen am Blasenboden (Abbildung 9b). Bei der Dermatitis herpetiformis Duhring binden IgA-Autoantikörper gegen das Endomysium der glatten Muskulatur des Affenösophagus.
Abhängig vom Ergebnis der Screeningtests kommen kommerziell verfügbare ELISA und indirekte IF-Tests unter Verwendung rekombinanter Formen der Zielantigene zum Einsatz (Tabelle 2). Bei unklaren Befundkonstellationen oder Zielantigenen, bei denen (noch) kein kommerzieller Assay zur Verfügung steht, werden ELISA- und Westernblot-Untersuchungen benutzt, die nur in spezialisierten Labors als sogenannte „In-Haus-Systeme“ verfügbar sind. So können IgG- und IgA-Autoantikörper gegen C-terminale Epitope von BP180, die lösliche Ektodomäne von BP180 (LAD-1), α6β4-Integrin, das p200-Antigen, Laminin γ1, Laminin 332, Desmoplakin, Periplakin und α2-Makroglobulin-like-1 nur mittels In-Haus-Tests nachgewiesen werden.
Detaillierte Diagnostik
Die periläsionale Biopsie für die direkte IF wird in isotone Kochsalzlösung oder Michels-Medium gegeben und kann dann ungekühlt mit normaler Post an ein spezialisiertes Labor geschickt werden [van Beek et al., 2012]. Das Autoimmunlabor der Hautklinik Lübeck ist akkreditiert (DAkkS D-ML-13069–06–00) und bietet die Durchführung der direkten IF einer Mundschleimhautbiospie an. Es kann derselbe Überweisungsschein wie für die Histologie verwendet werden. Einsendescheine und -medium können bei Bedarf angefordert werden (www.derma.uni-luebeck.de/autoimmunlabor). Die zweite, läsionale Biopsie ist für die histopathologische Untersuchung vorgesehen, wird in Formalin-Lösung gegeben und entweder zusammen mit der ersten Biopsie ins Speziallabor oder – wie gewohnt – zum Pathologen verschickt. Zudem wird die Vorstellung des Patienten bei einem Dermatologen empfohlen, der nach der Untersuchung die serologische Diagnostik zum Nachweis zirkulierender Autoantikörper veranlasst, gegebenenfalls die Therapie einleitet oder an eine spezialisierte Klinik überweist.
Differenzialdiagnosen von Mundschleimhauterosionen
Sollte die direkte IF einer periläsionalen Probebiospie negativ sein und serologische Untersuchungen keinen Nachweis von Autoantikörpern erbracht haben, kann eine bullöse AID nicht diagnostiziert werden. In diesem Fall sollten bei weiterhin bestehendem klinischem Verdacht diese Untersuchungen wiederholt werden. Andererseits sollten folgende Differenzialdiagnosen erwogen werden.
Ein Lichen ruber mucosae kann sich mit flächigen Erythemen, Erosionen und Ulzera der Mundschleimhaut manifestieren (Abbildung 10a). Typischerweise sind Wangenschleimhaut, Zunge und Lippen betroffen. Nicht selten findet sich eine weißliche, streifige oder netzförmige Zeichnung an der Wangenschleimhaut (Wickhamsche Streifung) (Abbildung 10b). Extramukosale Prädilektionsstellen des Lichen ruber sind Kapillitium (vernarbende Alopezie), Nägel (Abbildung 10c) und Handgelenkinnenseiten (stark juckende, polygonale Papeln; Abbildung 10d). In der direkten IF einer periläsionalen Biopsie zeigen sich typischerweise Cytoidkörperchen sowie bandförmige Ablagerungen von Fibrinogen an der Basalmembran mit netzförmigen Ausläufern in die obere Dermis [Schmidt und Zillikens, 2016] (Abbildung 10e).
Eine Herpes-simplex-Virus-Infektion imponiert mit gruppierten Erosionen oder Stecknadelkopf großen Bläschen. Bei ausgeprägtem Befund können die Bläschen konfluieren und großflächige Erosionen bilden (Abbildung 11a). Die Primärinfektion kann sich als Gingivostomatitis herpetica mit sehr schmerzhaften, großflächigen Erosionen darstellen. Herpes simplex Virus Typ I und seltener Typ II lassen sich in der direkten IF eines Blasengrundabstrichs nachweisen [Schmidt and Zillikens, 2016].
Das Erythema exsudativum multiforme tritt relativ plötzlich mit Erosionen der Mundhöhle und Lippen auf (Abbildung 11b). An der Haut manifestieren sich typischerweise schießscheibenförmige Erytheme und erythematöse Plaques. Dem Erythema exsudativum multiforme geht oft eine Herpes-simplex-Virus-Infektion voraus.
Beim Steven-Johnson-Syndrom handelt es sich um eine Unverträglichkeitsreaktion auf Medikamente oder – selten – um eine Hypersensitivitätsreaktion im Rahmen von Infekten, die mit ausgeprägten Erosionen der Mundschleimhaut und Lippen einhergeht. Die Diagnosestellung des Erythema exsudativum multiforme und Steven-Johnson-Syndroms erfolgt mittels Anamnese (Medikamente, Infektionen) und Histologie.
Weitere Erkrankungen, die mit Erosionen der Mundschleimhaut einhergehen, sind die Hand-Fuß-Mund-Erkrankung (Anamnese, Klinik, Serologie), Morbus Crohn (Histologie, gastrointestinale Beteiligung), Morbus Behçet (genitale Läsionen, Augenbeteiligung), Lupus erythematodes (ACR-Kriterien, ANA), Lues I und II (Anamnese, Serologie) und habituelle Aphthen (Anamnese, Ausschlussdiagnose).
Zusammenfassung
Blasenbildende Autoimmundermatosen (AID) sind eine klinisch und immunpathologisch heterogene Gruppe seltener organspezifischer Autoimmunerkrankungen, denen das Auftreten von Blasen und Erosionen sowie die Bindung von Autoantikörpern in der Haut und oberflächennahen Schleimhäuten gemeinsam ist. Unbehandelt kommt es bei fast allen bullösen AID zum Fortschreiten der Erkrankung mit ausgeprägter Morbidität und erhöhter Mortalität. Einige dieser Erkrankungen weisen immer oder häufig Mundschleimhautveränderungen auf, andere selten oder nie.
Pemphigus vulgaris und Schleimhautpemphigoid gehen immer beziehungsweise ganz überwiegend mit Erosionen der Mundschleimhaut einher. Bei diesen Erkrankungen ist der Zahnmediziner häufig die erste Kontaktstelle des Patienten.
Die Kenntnis um Klinik, diagnostische Möglichkeiten und Differenzialdiagosen erlaubt eine zeitnahe Diagnosestellung und Therapieeinleitung. Hierdurch kommt dem Zahnarzt eine wichtige Position bei der Diagnostik und Überweisung an dermatologische Kollegen mit Erfahrung in der Behandlung bullöser AID zu.
Ana Luiza Lima, Prof. Dr. Detlef Zillikens, Prof. Dr. med. Dr. rer. nat. Enno Schmidt
Klinik für Dermatologie, Allergologie und Venerologie
Universität zu Lübeck
Ratzeburger Allee 160, 23538 Lübeck













