CAD/CAM für die Implantatprothetik
Für den langfristigen klinischen Erfolg einer Implantation ist neben der Osseointegration des Enossalteils vor allem ein inniger Weichgewebskontakt zur Abdichtung der gingivalen Gewebe und der Suprastruktur erforderlich [de Kok, 2006]. Bei geringer Weichgewebshöhe ist ein großer Implantatdurchmesser vorteilhafter für das Gingivamanagement [Tarnow, 2000]. Während die Ausbildung der interproximalen Papille von der Höhe des krestalen Knochens bestimmt wird [Tarnow, 2003], unterstützt ein individuell konturiertes Abutment das Weichgewebe. Ist die Mukosa dünner als zwei Millimeter, ist aus ästhetischen Gründen ein Keramik-Abutment zu bevorzugen [Konermann, 2010]. Hierbei optimiert die Individualisierung des Emergenzprofils den supragingivalen Randverlauf und verbessert die „rote Ästhetik“. Für ein dauerhaftes Behandlungsergebnis sollte das periimplantäre Weichgewebe zu einem frühen Zeitpunkt mit individuellen Heilungs-Abutments ausgeformt werden. Dadurch entsteht ein Durchtrittsprofil, das weitgehend dem natürlichen Zahn entspricht [Nölken, 2011].
Ersatz metallischer Strukturen
Konfektionierte Keramik-Abutments eignen sich besonders für klinische Situationen, in denen die Abutmentform bereits eine weitgehende, optische Pfeilergeometrie für die spätere Prothetik erreicht hat und nur noch ein geringes Beschleifen des Abutments erfordert. In den Fällen, in denen ausgeprägte Angulationen vorhanden sind und die Form des konfektionierten Aufbaus stark von der natürlichen Pfeilergeometrie abweicht, ist das individuell gefertigte, vollkeramische Abutment angezeigt. Speziell gestaltete Abutments, die bereits die Geometrie eines beschliffenen Prämolaren oder Molaren nachbilden, sind für eine anatomisch korrekte Gerüstgestaltung auch aus mechanischen Gründen vorteilhafter.
Abutments aus Zirkoniumdioxid (ZrO2) verursachen grundsätzlich weniger mukosale Verfärbungen als Metall-Abutments. Ferner ist die Weichgewebsintegration von ZrO2vergleichbar mit jener von Titan [Nakamura, 2010]. Eine Literaturstudie zeigte, dass die Überlebenswahrscheinlichkeit von Abutments aus ZrO2und Titan mit etwa 99 Prozent nach fünf Jahren sich nicht signifikant unterscheiden [Sailer, 2009]. Bei Titan-Abutments wurde jedoch häufiger von ästhetischen Problemen berichtet. Bei den ZrO2-Abutments stehen heute folgende Ausführungen zur Wahl:
• Konfektionierte Abutments mit einer zentralen, metallischen Halteschraube
• Individuell im CAD/CAM-Verfahren gefertigte Abutments
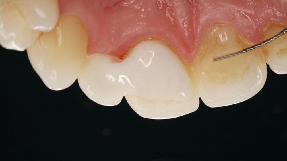
• Zweiteilige (Hybrid-)Abutments, bei denen die Enossalverbindung über eine Titanhülse hergestellt wird (Abbildung 1), die mit einem ZrO2-Abutment (Überwurfteil) verklebt wird [Beuer, 2011].
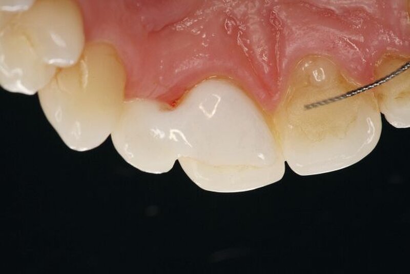
Weitere Arbeiten belegen, dass ZrO2-Abutments für Einzelzahnimplantate auch im Molarenbereich mit guten Prognosen genutzt werden können (Abbildung 2) [Ca-nullo, 2007; Nothdurft, 2009; Zembic, 2009]. Zweiteilige ZrO2-Abutments bieten den Nutzen, dass sie ähnlich geformt werden können wie ein beschliffener, natürlicher Pfeiler [Rinke, 2012]. Im fünfjährigen Beobachtungszeitraum zeigten individualisierte ZrO2-Abutments auf Einzelzahnimplantaten im Frontzahn- und im Molarengebiet, die über eine Implantat-Abutment-Verbindung mit einem Metall-Sekundärteil (Titan-Mesiostruktur) verfügten, aufgrund der hohen Stabilität eine sehr gute klinische Überlebensrate [Zembic, 2010]. Studienergebnisse belegen, dass es mit ZrO2zu einer verbesserten Weichsgewebsadaptation und zu einer geringeren, mikrobiellen Belagsbesiedlung kommt. Weniger entzündliche Reaktionen führen wiederum zu langfristig stabileren klinischen Ergebnissen [Zitzmann, 2002]. Durch die Ausformung des Weichgewebes wird die Überschussentfernung bei Zementierung erleichtert, da der marginale Rand der Restauration in den gut zugänglichen, intrasulkulären Bereich gelegt werden kann.
Für die Herstellung individueller Abutments und Mesiostrukturen sowie der definitiven Krone oder Brücke aus ZrO2oder Lithiumdisilikat (LS2) haben sich die CAD/CAM-Verfahren bewährt [Beuer, 2011]. Neue, lichtoptische Scannersysteme ermöglichen die digitale Intraoralabformung mit hoher Genauigkeit und unterstützen automatisierte Prozesse, die nicht nur einen Vorschlag für das spätere Abutment-Design, sondern mithilfe von Querschnittsbildern auch Vorlagen zur Gestaltung der idealen Morphologie und für das transgingivale Emergenzprofil liefern.
Digitaler Fortschritt für Implantat und Ästhetik
Der Vorteil der virtuellen Konstruktion liegt in der großen Varianzbreite des Designs. Zusätzliche Halteelemente können in die Konstruktion der Suprastruktur integriert werden [Rinke, 2012]. Die marginale Passung von computergestützt produzierten Suprastrukturen wurde in In-vitro-Studien untersucht. So wurde eine mittlere Spaltbreite von 40 bis 50 µm festgestellt [Takahashi, 2003], in einer anderen Studie 25 µm [Torsello, 2008]. Somit ist das Ergebnis besser als die Passgenauigkeit von gegossenen Edelmetallgerüsten (78 µm) [Torsello, 2008].
Implantat-Suprastrukturen aus NEM zeigten mittlere Spalten von 200 bis 230 µm [de Torres, 2007].
Die Verbindung zwischen dem Enossalpfeiler aus Titan und vollkeramischen Abutments ist immer noch Gegenstand der Diskussion. Problematisch ist der Schraubensitz, denn durch das Verschrauben von ZrO2auf Metall entsteht geometrieabhängig eine Zugspannung in der Keramik, die zum klinischen Versagen führen kann [Magne, 2010]. Bei der Verwendung einer Titan-Mesiostruktur, die in das Titan-Enossalteil eingreift und von einem individuellen ZrO2-Aufbau ummantelt wird, kann das Risiko der Zugspannung umgangen werden. Risiken bieten lange Kronen, geringe Pfeilerdurchmesser, geringe Wandstärken der Aufbauteile und scharfkantige Übergänge zwischen Elementen zur Rotationssicherung. Einteilige ZrO2-Abutments ohne Zwischenstruktur bieten den Vorteil, dass keine Klebereste im Sulkus das Weichgewebe reizen können. Die Haltbarkeit der Klebung am Interface von Titanimplantat und Mesiostruktur erhielt eine gute Prognose [Ebert, 2007].
Frage nach klinischer Bewährung
Haben Oxidkeramiken eine gute klinische Performance als Gerüstwerkstoff für Kronen und Brücken nachgewiesen, gibt es laut Prof. Axel Zöllner, Witten-Herdecke, noch Indikationen, die eine sorgfältige Nutzen-abwägung hinsichtlich der einzusetzenden Therapiekonzepte und Werkstoffe benötigen.
Im Frontzahn- und im Prämolarenbereich sind aus ästhetischen Gründen vollkeramische Implantat-Abutments zur Maskierung von Titanstrukturen angezeigt und vertretbar (Abbildung 3). Für den Vollkeramikeinsatz auf Implantaten im Molarenbereich liegen nur wenige klinische Studien vor, die zumindest einen fünfjährigen Beobachtungszeitraum dokumentieren [Hobkirk, 2009]. Zeigen Vollkeramik-Kronen auf vitalen Molaren eine gute Überlebensrate, vergleichbar mit VMK-Kronen [Pjetursson, 2007], unterliegen implantatgetragene Einzelkronen auf ZrO2-Gerüst einem höheren Misserfolgsrisiko [Schwarz, 2011] und erfordern eine sorgfältige Überprüfung der funktionellen Situation. Mehrgliedrige Brücken mit ZrO2-Gerüsten auf vitalen Pfeilerzähnen haben sich bewährt [Al-Amloh, 2010]; auf implantatgetragenen Pfeilern besteht jedoch das Risiko von Verblendfrakturen (Chipping), die bereits kurz nach Eingliederung auftreten können [Larsson, 2006]. In einer kontrollierten In-vivo-Studie verglich Zöllner Brücken mit ZrO2-Gerüst auf natürlichen Zähnen und auf Implantaten. Bei den implantatgetragenen Suprakonstruktionen traten in einem erheblichen Umfang Verblendfrakturen auf. In Anbetracht dessen, dass dafür vermutlich die fehlende Eigenbeweglichkeit der osseointegrierten Implantate verantwortlich ist und zu einer stärkeren kaufunktionellen Belastung der Suprakonstruktion im Vergleich zu natürlichen Zähnen führt, empfahl Zöllner, sorgfältig das Okklusionskonzept implantatgetragener Kronenkauflächen in der Planung zu definieren. Um das Abplatzen der Verblendkeramik unter Kaudruckbelastung zu verhindern, sollten keine Okklusionskontakte auf der Randleiste positioniert werden. Kontakte sollten in die Mitte der Kaufläche oder auf den zentrischen Höcker gelegt werden [Scherrer, 2010].
Gerüste mit einer uniformen Wandstärke führen zu stark überhöhten Verblendschichtstärken und damit zu einem höheren Frakturrisiko in der Verblendung. Um dieses auf ZrO2-Gerüsten generell zu vermeiden, sollten die Kronenkappen anatoform – das heißt der anatomischen Außenform folgend – gestaltet werden, um Spannungen am Interface von Gerüst zur Verblendung zu vermeiden [Bauer, 2010]. Dies wird dadurch erreicht, dass die Krone im CAD/CAM-Verfahren gleichmäßig um Schmelzschichtdicke reduziert wird, um Raum für die manuelle Verblendung zu schaffen. Dadurch werden auch die Höcker ausgeformt zur Unterstützung der Kontaktpunkte. Neue Optionen in der Verblendtechnik bietet Lithiumdisilikat im Überpressverfahren, das über eine höhere Biegebruchfestigkeit verfügt als die konventionell geschichtete Feldspat-Verblendkeramik [Stawarczyk, 2011].
CAD/CAM steigert Qualität und Produktivität
Die Digitalisierung von Praxisvorgängen und die Computerunterstützung von Behandlungsabläufen ist in der Zahnarztpraxis angekommen. Diese Entwicklung hat in jüngerer Zeit besonders die Datenerfassung von Gebisssituationen und die digital gesteuerte Fertigung von vollkeramischen Restaurationen vorangetrieben. PD Dr. Petra Güß, Freiburg, machte die Situation unter dem Thema „Digitaler Workflow und Vollkeramik“ transparent. Die Referentin belegte mit publizierten Daten, dass die digitale Intraoralabformung bereits die Genauigkeit von Elastomerabformungen erreicht und teilweise übertrifft. Der entscheidende Vorteil der digitalen Intraoralabformung liegt darin, dass unmittelbar nach dem Scannen eine dreidimensionale Ansicht der Präparation verfügbar ist, mit der unter multiplen Perspektiven und Detailansichten präparative Unzulänglichkeiten detektiert und sofort behoben werden können. Neben dieser Standardisierung liegt der weitere Nutzen in der direkten Übertragung der klinischen Situation als Datensatz auf die weiteren zahntechnischen Arbeitsschritte.
Die Automatisierung von Arbeitsabläufen bei der Herstellung von Zahnersatz ist inzwischen in den zahntechnischen Labors zum Standard geworden. Die Nutzung von digital erzeugten Datensätzen, das computergestützte Konstruieren von Restaurationen auf dem Bildschirm sowie die NC-gesteuerte (Numerical Control) Verarbeitung von Silikat- und Oxidkeramiken hat die Produktivität erheblich gesteigert und die Reproduzierbarkeit der Ergebnisse möglich gemacht. Dadurch werden industrielle Qualitätsstandards erreicht. Nach den Ausführungen von PD Dr. Florian Beuer und ZT Josef Schweiger, München, die zum Thema „Die Zukunft ist digital“ referierten, werden sich CAD/CAM-Systeme noch mehr vernetzen und die Behandlung in der Praxis in die digitale Prozesskette einbeziehen. Der Fokus liegt zurzeit auf der Weiterentwicklung des digitalen Arbeitsablaufs durch die Einführung intraoraler Erfassungssysteme für prothetische Rekonstruktionen.
Adhäsivbrücke für den Lückenschluss
Für die rehabilitierende Prothetik wurde unter Einsatz der Adhäsivtechnik die „einflügelige vollkeramische Adhäsivbrücke aus Zirkonoxidkeramik“ für den Lückenschluss mit minimal-invasiver Vorbereitung entwickelt. Prof. Matthias Kern, Kiel, hat in diesem Bereich umfangreiche Erfahrungen gesammelt. Adhäsivbrücken mit ZrO2-Gerüst, verklebt mit einem Flügel am Nachbarzahn, gelten inzwischen als erprobte Therapielösung für den Lückenschluss im Frontzahnbereich (Abbildung 4). Mit dieser Technik wurde bewiesen, dass durch die einflügelige Versorgungsart die Eigenbeweglichkeit der Zähne erhalten bleibt. Dadurch kann in angezeigten Fällen das Beschleifen kariesfreier Lateralzähne für eine konventionelle Brücke oder ein Implantat, zum Beispiel bei insuffizienter Knochensituation oder im juvenilen Gebiss, substituiert werden [Kern, 2011; Mehl, 2007] – siehe auch zm 97, 17, S. 60-62 (2007) Stellungnahme DGZMK [Kern, Kerschbaum, 2007].
Das Qualitätssicherungsprojekt mit vollkeramischen Restaurationen (Ceramic Success Analysis) der AG Keramik wurde von Dr. Bernd Reiss, Malsch, vorgestellt. Die klinischen Erfahrungen umfassen mittlerweile – zusammen mit Pilotstudien – mehr als 20 Jahre. Das Programm ermöglicht dem einzelnen Zahnarzt seine individuelle Standortbestimmung: Der klinische Verlauf seiner Befunddaten wird ausgewertet und anonymisiert in Vergleich mit den Durchschnittswerten aller Teilnehmer gestellt. Damit ist eine deutlich größere Praxisnähe gewährleistet als bei Fremdstudien, die häufig nicht das Prozedere in der eigenen Praxis widerspiegeln. Bisher nehmen rund 200 Zahnärzte an der Studie teil. Derzeit bilden 4 516 Einsetzbefunde die Grundlage für die Analysen, und mehr als 5 000 Nachuntersuchungen an 2 366 Zähnen fließen in die Auswertung ein. Neuerdings können die Befunddaten unter www.csa-online.net in einem Passwort-geschützten Bereich eingegeben werden. Neben der tabellarischen Darstellung der Ergebnisse erhält der Teilnehmer auch eine individuelle Kaplan-Maier-Auswertung [Reiss, 2011].
Diese Zusammenfassung beruht vornehmlich auf den Ausführungen der Referenten Prof. Axel Zöllner, Witten-Herdecke, Dr. Siegfried Marquardt, Tegernsee, Implantologe und Vorstandsmitglied der DGÄZ, sowie ZTM Rainer Semsch, Münstertal, unter der Moderation von Prof. Robert Sader, Frankfurt/Main, und Dr. Bernd Reiss aus Malsch. Ein ausführlicherer Tagungs- bericht mit den Vorträgen aller Referenten kann beim Autor angefordert werden.
Manfred Kern
Schriftführer AG Keramik
Fritz-Philippi-Str. 7
65195 Wiesbaden







