CAD/CAM-gefertigte Table Tops korrigieren die Bisslage
Mit der fortschreitenden Alterung unserer Gesellschaft und den veränderten Ernährungsgewohnheiten zeigen sich als Begleiterscheinungen vermehrt ausgeprägte funktionelle und chemische Destruktionen an der Zahnhartsubstanz. Erosionen an den Zähnen haben in der Bevölkerung westlicher Industriestaaten inzwischen die Dimension einer „Volkskrankheit“ erreicht. Erosionen sind Zahnschäden, die durch den direkten Kontakt eines sauberen Zahnes mit Säuren verursacht werden. Die Säuren können Mineralien aus der Zahnoberfläche herauslösen, wodurch Zahnhartsubstanz abgetragen wird und Defekte in der Zahnoberfläche entstehen.
Auch Magensäure kann Zahnschäden verursachen, wenn sie häufig auf die Zähne einwirkt. Das kann beispielsweise der Fall sein bei Magenerkrankungen mit Reflux (wie Sodbrennen) und bei regelmäßigem Erbrechen, beispielsweise bei Essstörungen. Säuren kommen vor in Medikamenten und Nahrungsergänzungsmitteln als Brause oder Kautabletten (Vitamin-C- oder Magnesium-Präparate) sowie in Obst, Säften, Erfrischungsgetränken und Zitrusfrüchten. Erste Anzeichen für Erosionen bleiben oft unbemerkt, da sie in der Regel keine Beschwerden verursachen. Wenn sich kleine, muldenförmige Defekte auf den Kauflächen oder flächen-förmige Defekte an den Außenflächen der Zähne bemerkbar machen, kann es sich um Erosionen handeln. Im fortgeschrittenen Stadium können eine Temperaturempfindlichkeit und Verfärbungen auftreten. Manchmal erscheinen die Schneidekanten durchscheinend oder kürzer. Im weiteren Verlauf können die Zähne wie „abgeschmolzen“ aussehen. Auch infolge mastikativer Dysfunktionen, Bruxismus und Veränderungen der Bisslage können Schmelz und Dentin in erheblichem Umfang abradiert werden. Wird eine umfangreiche Veränderung der Zahnoberflächen nicht therapeutisch behandelt, können daraus Störungen der Phonetik und der Kaufunktion im stomatognathen System resultieren sowie Kiefergelenksbeschwerden ausgelöst werden.
Die Rehabilitation von stark abradierten und/oder erodierten Zähnen durch okklusale Veneers ist meist komplex und oft nur durch die Neugestaltung der Okklusalflächen aller Zähne möglich. Dazu bieten sich relativ dünne, keramische Restaurationen an, die bei minimaler Präparation an der noch verbliebenen Zahnhartsubstanz adhäsiv befestigt werden. Die Substitution einer kompletten, okklusalen Kaufläche kann je nach Ausdehnung durch Onlays, Onlay-Veneers oder Teilkronen vorgenommen werden. Der Vorteil dieses Konzepts ist, dass selektiv die relevanten Kauflächenanteile eines Zahnes ersetzt werden können, ohne eine invasive Präparation für eine Vollkrone. Die Verwendung einer defektorientierten, keramischen Kaufläche in Form einer adhäsiv befestigten Okklusionsschale gewährleistet eine zufriedenstellende ästhetische Adaptation an die Restzahnhartsubstanz sowie eine gute chemische und mechanische Beständigkeit.
Angezeigt sind Kauflächen-Veneers – auch Table Tops genannt – im Abrasions- oder Erosionsgebiss zur Wiederherstellung von anatomischen Kauflächen nach funktionsmorphologischen Prinzipien. Sie dienen ebenso zur Bisshebung, bei Bisslageänderungen und zur Wiederherstellung einer adäquaten statischen und dynamischen Okklusion. Kontraindiziert sind Kauflächen- Veneers im kariesanfälligen Gebiss und bei weiter bestehenden erosiven Einwirkungen, da die Gefahr einer Sekundärkaries, eines Rezidivs oder einer erosiven Schädigung (zum Beispiel approximal oder zervikal) im Vergleich zu einer Vollkrone größer ist. Die Anwendung wird eingeschränkt, wenn die Schmelzmenge eine unzureichende Haftfläche bietet oder wenn die Restkronenlänge aufgrund einer ungünstigen anatomischen Form zu kurz ausfällt. Problematisch sind Veneers auch dann, wenn Zähne rotiert sind oder zu eng stehen [Kern et al., 2012].
Bei Bisslageänderungen aufgrund von Erosionen beziehungsweise Abrasionen kann man die erforderliche Erhöhung der Vertikaldimension der Okklusion (VDO) auch dadurch erzielen, indem nur ein Kiefer (OK oder UK) versorgt wird. Die Entscheidung, nur einen Kiefer zu rekonstruieren, wird von einer vorherigen funktionellen und ästhetischen Analyse der Ausgangssituation sowie von den vorhandenen, intakten Restaurationen beeinflusst. Unter ästhetischen Gesichtspunkten sind die Übergänge zwischen den Kauflächen-Veneers und der natürlichen Zahnhartsubstanz im Unterkiefer weniger auffällig als im Oberkiefer.
Um den therapeutischen Erfolg komplexer Rehabilitationen vorhersagbarer zu machen, kann nach initialer Schienentherapie eine bis zu einjährige Zwischenversorgung mit Langzeitprovisorien, das heißt Kauflächen-Veneers aus Polymethylmethacrylaten (PMMA), zum Einsatz kommen [Schweiger et al., 2011]. Die einzeln CAD/CAM-gefertigten Veneers werden adhäsiv eingesetzt, so dass der Patient die neue Situation funktionell und ästhetisch testen und den Behandlungserfolg im Vorfeld verifizieren kann.
Alternativ werden Methoden auf der Basis von laborgefertigten Eierschalenprovisorien [Otto, 2004} und chairside gefertigten Provisorien mit Tiefziehschienen vom diagnostischen Wax-up [Lerner, 2008] in der Literatur beschrieben. Bei klassischen Verfahren ist es meistens erforderlich, die Zähne zeitgleich zu beschleifen. Demgegenüber kann durch den Einsatz adhäsiv befestigter langzeitprovisorischer, zahnfarbener PMMA-Restaurationen eine segmentierte Überführung in die definitiven Versorgungen vorgenommen werden. Auf diese Weise können entsprechend den individuellen Präferenzen des Patienten und des Behandlers zunächst die Seiten- und später die Frontzähne eines jeden Kiefers in keramische Restaurationen überführt werden [Bonilla et al., 2001]. Die langzeitprovisorischen Versorgungen können heute durch die CAD/CAM-Technik qualitativ hochwertig zu wirtschaftlichen Bedingungen hergestellt werden. Sie sind einer klassischen Schienentherapie klar überlegen, da sie „rund um die Uhr“ in Funktion bleiben und die neuen Zahnproportionen und das angestrebte Okklusionskonzept „Probe gefahren“ und gegebenenfalls modifiziert werden können [Kavoura et al., 2005]. Ziele dieser neuen Behandlungskonzepte sind die Verbesserung der Vorhersagbarkeit der Ergebnisse und eine minimalinvasive Behandlung.
Rehabilitation der vertikalen Kieferrelation
Für eine gute Langzeitprognose der neuen Kauflächen ist die genaue Planung der neu einzustellenden Okklusion von entscheidender Bedeutung [Keough, 2003]. Wichtige Parameter sind die Bestimmung der Zentrikrelation [Abduo, 2012], eine adäquate Einstellung der Vertikaldimension und der Okklusionsebene, die maxilläre und die mandibuläre Inzisalkantenposition und die okklusale Oberflächenmorphologie der Seitenzähne [Edelhoff et al., 2013; Schweiger et al., 2011].
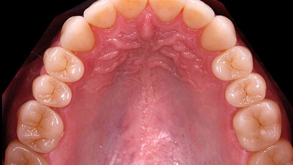
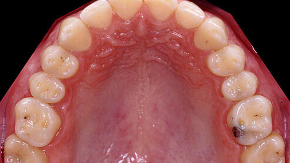
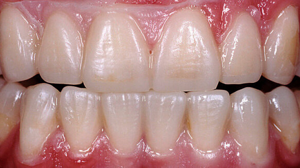
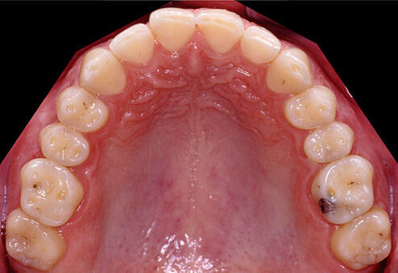
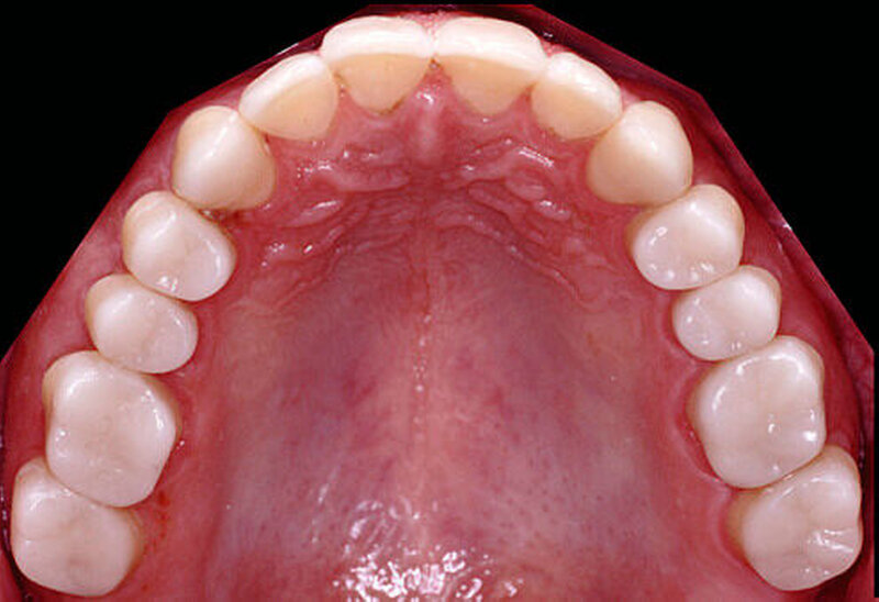
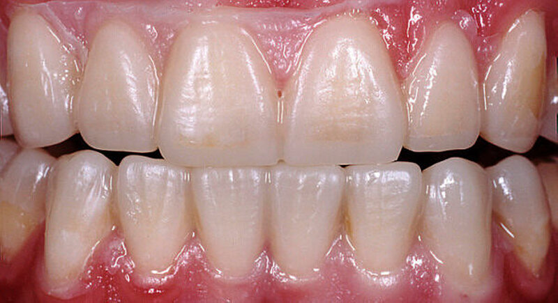
Nach einer klinischen Funktionsanalyse (Abbildungen 1 und 2) werden Situationsmodelle hergestellt und diese anhand einer arbiträren Scharnierachsbestimmung und eines Zentrikregistrats im Artikulator montiert. Die für die spätere Versorgung funktionell und ästhetisch ideale Vertikaldimension wird durch ein analytisches Wax-up eingestellt (Abbildung 3). Dieses wird in eine diagnostische Schablone (Tiefziehfolie) für eine „ästhetische Evaluierung“ durch den Zahnarzt und den Patienten überführt. Dazu kann die Schablone mit niedrigviskösem Komposit gefüllt und reversibel auf die mit flüssiger Vaseline isolierten Zähne gesetzt werden. Findet dieser Restaurationsvorschlag die Zustimmung des Patienten, wird im zahntechnischen Labor eine in der Höhe und in der Bisslage dem Wax-up entsprechende Repositionsschiene mit Front-Eckzahn-Führung angefertigt. Diese Schiene sollte circa drei Monate möglichst permanent getragen werden. Diese „funktionelle Evaluierung“ dient dazu zu prüfen, ob der Patient die neue Bisslage beschwerdefrei toleriert [Edelhoff et al., 2013; Harper, 2000; Rivera-Morales et al.,1992].
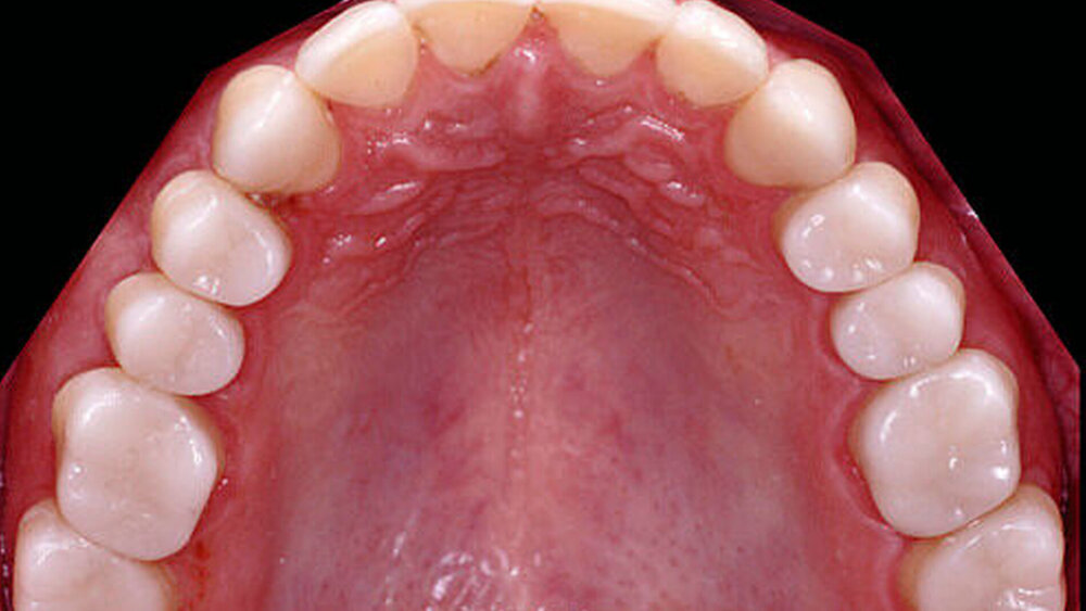
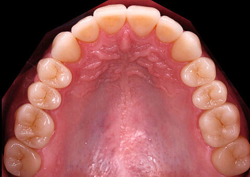
Wird die Bisslage vom Patienten beschwerdefrei akzeptiert, kann die Übertragung der Situation entweder direkt in vollkeramische Restaurationen oder zunächst in CAD/CAM-gefräste, langzeitprovisorische Repositions-Veneers oder -Onlays aus Hochleistungs- polymer – meist PMMA-Material – erfolgen (Abbildung 4). Für die Konstruktion können die Datensätze der Wax-up-Modelle verwendet werden. Die Table Tops werden gewöhnlich mittels Adhäsivtechnik auf natürlichen Zähnen und Kunststofffüllungen befestigt, können allerdings auch bei entsprechender Vorbehandlung (intra-orales Anstrahlen) auf metallischen und keramischen Restaurationsoberflächen eingesetzt werden [Bertolotti et al., 1994]. Da die neue Bisssituation nun permanent inkorporiert ist, können sich die neuronalen Bewegungsmuster besser adaptieren. Um künftig funktionelle Beschwerden nach definitiver Rekonstruktion der vertikalen Kieferrelation möglichst auszuschließen, sollte diese semipermanente Phase für etwa sechs bis zwölf Monate beibehalten werden.
Wurde die provisorische Restauration funktionell und ästhetisch vom Patienten akzeptiert, kann mit der definitiven Versorgung begonnen werden. Es bietet sich eine quadrantenweise Präparation und Kieferrelationsbestimmung an, wobei die vertikale und die horizontale Kieferrelation nicht mehr ver-ändert werden. Die definitive Versorgung, zum Beispiel mit glaskeramischen Einzelzahnrestaurationen, kann konventionell mit der Presstechnik oder mit der CAD/CAM-Technik erfolgen. Im Idealfall könnten bei der CAD/CAM-Technik die Datensätze der langzeitprovisorischen Onlays für die Konstruktion der vollkeramischen Kauflächen verwendet werden.
Präparation und Materialien
Als Werkstoff für die provisorischen Kau- flächen-Veneers sind PMMA-basierte Polymere (wie Telio CAD, Ivoclar; artBloc Temp, Merz; CAD-Temp, Vita Zahnfab.) verwendbar, die mit verschiedenen CAD/CAM-Systemen gefräst werden können [Edelhoff et al., 2012].
Für die Umsetzung in die definitiven Kauflächen-Veneers bieten sich folgende Materialien an: Presskeramik (IPS e.max Press, IPS Empress Esthetic) oder die CAD/CAM-Fertigung mit vorkristallisierten Blöcken (IPS e.max CAD). Aufgrund der hohen Belastung im Kauflächenbereich sollte im Seitenzahnbereich monolithischen Lithiumdisilikat(LS2)-Restaurationen der Vorzug gegeben werden (Abbildung 5) [Güß, 2010]. Bei der Präparation ist zu beachten, dass der adhäsive Verbund zum Zahnschmelz als besser einzustufen ist als zum Dentin. Gleichzeitig stabilisiert das im Vergleich zum Dentin höhere Elastizitäts-Modul des Zahnschmelzes die Keramik. Im Zweifelsfall sollte daher vorzugsweise Schmelz erhalten und stattdessen eine geringere Keramikschichtstärke realisiert werden. Falls erforderlich, wird die Okklusalfläche mit einem Finierdiamanten (25 bis 40 µm Korn) geringfügig abgetragen; unter okklusalen Kontaktpunkten maximal 1,5 mm unter Berücksichtigung der dynamischen Okklusion. Die Präparationstiefe sollte auf die durch einen Silikonschlüssel oder eine Tiefziehfolie darstellbare Außenkontur der definitiven Restauration (Wax-up) ausgerichtet sein und kontrolliert werden. Ein zirkulärer Stützrand ist nicht erforderlich; die Präparationsgrenze sollte jedoch nach Möglichkeit vorhandene Füllungskavitäten überdecken [Edelhoff et al., 2013; Kern et al., 2012}. Die okklusale Schichtstärke von Polymer- und Keramikonlays konnte in einer In-vitro-Untersuchung bis zu 0,3 mm reduziert werden [Schäfer, 2014]. Hinsichtlich der klinischen Bewährung vollkeramischer Kauflächen-Veneers ist die Datenlage zurzeit noch unzureichend. Für monolithische Kauflächen-Veneers aus Lithiumdisilikat bestehen auf Molaren günstige Prognosen [Clausen et al., 2010].
Univ.-Prof. Dr. Daniel Edelhoff
Poliklinik für Zahnärztliche Prothetik
Klinikum der Universität München
Goethestr. 70
80336 München







