Chronisch apikaler Abszess mit extraoraler Manifestation: die Partsch-Fistel
Anamnestisch berichtete der Patient über eine Persistenz der Raumforderung seit mehreren Wochen. Anfänglich noch als intrakutan wahrgenommenes Geschehen, kam es zu einer Größenzunahme und schließlich zu einer Perforation der Haut im Bereich der linken Wange. Der behandelnde hausärztliche Kollege vermutete ein lokal entzündliches Geschehen und therapierte die entzündlich anmutende Veränderung zunächst topisch mit verschiedenen Salben. Bei weiterer Persistenz überwies er den Patienten an einen Dermatologen. Eine dort verordnete antibiotische Therapie brachte zunächst eine Besserung mit Rückgang der Schwellung, nach Absetzen der Antibiose kam es allerdings erneut zum Progress. Nach der Konsultation eines niedergelassenen Mund-, Kiefer- und Gesichtschirurgen erfolgte die Überweisung des Patienten zur weiteren Therapie.
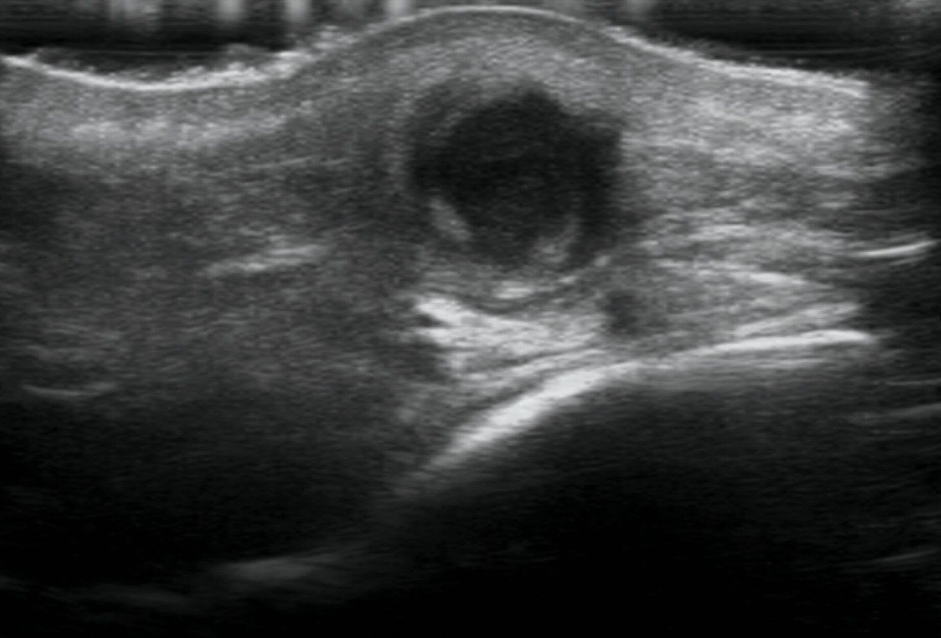
Es präsentierte sich ein Patient in gutem Allgemein- und Ernährungszustand. Relevante Vorerkrankungen ließen sich nicht eruieren. Klinisch zeigte sich eine derb palpable Schwellung der linken Wange mit Adhärenz nach enoral (Abbildung 1). Sonografisch ließ sich ein echoarmes Grundmuster mit Binnenreflexen und unregelmäßiger Wandstruktur darstellen (Abbildung 2). In der anschließenden radiologischen Diagnostik zeigte sich ein periapikal osteolytisch veränderter Knochen im Bereich des Zahnes 37 (Abbildung 3). Nebenbefundlich präsentierte sich eine beginnende apikale Aufhellung an der mesialen Wurzel des Zahnes 36 mit Verdacht auf inkomplette Wurzelkanalfüllung. Die erweiterte Diagnostik mittels Digitaler Volumentomografie offenbarte eine Osteolyse der vestibulären Lamelle in Regio 37 (Abbildung 4). In Zusammenschau der Befunde wurde die Verdachtsdiagnose einer chronisch entzündlichen Veränderung nach Partsch gestellt.
Nach der Planung des Eingriffs wurde der Patient in Intubationsnarkose operiert. Unter vorsichtiger Präparation und Darstellung des Alveolarknochens in Regio 37 ließ sich der bereits sonografisch beschriebene Fistelgang darstellen (Abbildung 5). Anschließend wurde Zahn 37 extrahiert und der entstandene Fistelgang chirurgisch revidiert (Abbildung 6). Die histopathologische Aufbereitung ergab dicht lymphoplasmazellulär infiltriertes Bindegewebe mit zystischer Aufweitung und einer epithelialen Auskleidung. Nach Abschluss der Wundheilung zeigte sich ein zufriedenstellendes kosmetisches Ergebnis ohne Anzeichen eines Rezidivs. Die Wurzelfüllung an Zahn 36 wurde in der Folge revidiert und in der Kontrollaufnahme nach einem Jahr waren keine Auffälligkeiten mehr zu erkennen.
Diskussion
Ein chronisch apikaler Abszess verläuft in vielen Fällen klinisch inapparent. Durch das Ausbleiben der typischen Symptome wie Aufbiss- oder Perkussionsempfindlichkeit manifestiert sich ein entzündlicher Prozess, der allerdings nicht selten zur Ausbildung von submukösen Abszessen oder Infiltraten führt. Bei einem Voranschreiten dieses inflammatorischen Geschehens erfolgt in vereinzelten Fällen eine Ausbreitung in benachbarte Muskellogen, die zum Teil in fulminante Logenabszessformationen mündet. Chronifiziert das apikale Entzündungsgeschehen als umschriebener Prozess im Bereich der Wurzelspitze, führt dies zur Ausbildung eines apikalen Granuloms. Partsch et al. beschrieben bereits 1924 im Handbuch der Zahnheilkunde den Prozess des Voranschreitens dieser Entzündung mit Destruktion des Kieferknochens und des umliegenden Weichgewebes mit anschließender Ausbildung von dermatologischen Symptomen als „chronisch entzündliche Veränderung nach Partsch“ [Partsch et al., 1924].
Die Weiterleitung der Entzündungsreaktion des Zahnes zersetzt zunächst die Spongiosa des Alveolarknochens und durchbricht schlussendlich die Kortikalis und das umgebende Periost [Barrowman et al., 2007]. Entscheidend für die Ausbildung einer extraoralen Manifestation mit Fistelbildung ist die Lagebeziehung dieses Durchbruchgeschehens zur Muskelschicht. Befindet sich der Defekt im Oberkiefer oberhalb des Ansatzes beziehungsweise im Unterkiefer unterhalb des Ansatzes der Muskulatur, besteht die Möglichkeit einer extraoralen Fistelung. Die Entzündung geht dabei den Weg des geringsten Widerstands durch das Weichgewebe. Der Umstand, dass es somit zu einer Entlastung der apikalen Entzündung kommt, erklärt auch das häufige Ausbleiben von dentogenen Symptomen (wie im Vorfeld beschrieben) [McWalter et al., 1988]. Die Ursachen apikaler Entzündungen sind multifaktoriell, wobei die häufigste Ursache die kariöse Läsion mit Pulpabeteiligung darstellt. Nach einer Pulpagangrän kommt es im Rahmen rezidivierender Entzündungen an der Wurzelspitze und im Bereich des Parodonts zur Entwicklung von Granulationsgewebe auf Kosten des faserreichen Bindegewebes. In der Folge entsteht eine periapikale Osteolyse mit der Entwicklung eines apikalen Granuloms oder auch ein Hohlraum, der als radikuläre Zyste bezeichnet wird.
Histologisch zeigt sich beim apikalen Granulom eine chronische Entzündung mit Lymphozyten, Riesenzellen und Fibrosierung. Demgegenüber zeigt die radikuläre Zyste eine Auskleidung mit schmalem, nicht verhornendem Plattenepithel. Die radiologische Unterscheidung zwischen einem apikalen Granulom und einer radikulären Zyste ist oftmals nicht sicher möglich. Allerdings stellen sich radikuläre Zysten radiologisch oft größer dar. Da die Therapie beider Entitäten in den meisten Fällen kaum differiert, ist eine Unterscheidung im Vorfeld nicht immer zwingend erforderlich.
Durch die anhaltende Entzündungsreaktion kommt es bei der chronisch entzündlichen Veränderung nach Partsch zur Bildung eines Granulationsgewebestrangs mit en- oder extraoraler Fistelung [Buch et al., 2003]. Dieser Granulationsgewebestrang wird mit der Zeit epithelialisiert [Johnson et al., 1999]. Als Durchtrittspforten dienen hierbei anatomische Schwachstellen im Bereich des Knochens und des Weichgewebes. Abhängig vom entzündlichen Ursprungsgeschehen können sich Fistelgänge an verschiedenen extraoralen Lokalisationen im Bereich des Gesichts finden. So zeigen Granulome mit Ursprung im Oberkiefereckzahnbereich oftmals Fistelungen im Bereich des medialen Augenwinkels oder des Nasenbodens [Buch et al., 2003]. Fisteln mit Ursprung im Oberkieferseitenzahnbereich münden häufig im lateralen Augenwinkel oder im Bereich der Wange. Unterkieferzähne führen häufig zu Fistelperforationen im Bereich des Kinns, der Wange oder des Unterkieferrands [Johnson et al., 1999; Kaya und Kämmerer, 2020]. Der Großteil dieser chronisch granulierenden Entzündungen geht von Zähnen im Bereich des Unterkiefers aus [Sheehan et al., 2005].
Klinisch zeigt sich eine kutane, knotige Läsion mit einer zentralen Öffnung. Oftmals imponiert diese als derb palpabel und in fortgeschrittenem Stadium als zum Untergrund nur schwer verschieblich. Bei Palpation kann in vielen Fällen Pus aus dem Fistelgang exprimiert werden. Die Palpation des Fistelgangs lässt dabei oft schon Rückschlüsse auf den ursächlichen Zahnfokus zu. Eine Sondierung kann in bestimmten Fällen als sinnvoll erachtet werden. Neben der klinischen Diagnostik sollte eine radiologische Diagnostik zur Identifizierung eines möglichen dentogenen Fokus erfolgen. Hierzu kann eine Panoramaschichtaufnahme oder die Anfertigung eines Zahnfilms empfohlen werden.
Der Umstand, dass sich eine odontogene Ursache mit kutanen Symptomen manifestiert, führt jedoch häufig zu klinischen Fehleinschätzungen. Viele Patienten werden in der Folge teilweise mehrfach lokal chirurgisch –ohne Erfolg – therapiert. Die Differenzialdiagnostik der chronischen Entzündung nach Partsch umfasst eine Vielzahl von Erkrankungen (Tabelle 1). Neben entzündlichen Krankheitsbildern muss auch an ein neoplastisches Krankheitsbild gedacht werden. Eine rein medikamentöse Therapie durch topische Arzneimittel oder eine systemische Antibiotikatherapie führen in der Regel nicht zur vollständigen Ausheilung. Die Therapie der Wahl besteht in der Sanierung des odontogenen Fokus. Dabei kann in Abhängigkeit von der Größe der entzündlichen Veränderung und der Wertigkeit des Zahnes eine endodontische Behandlung oder die Extraktion erfolgen [Sheehan et al., 2005]. Größere osteolytische Prozesse sind gegebenenfalls zu kürettieren. Neben der Fokussanierung sollte die chirurgische Revision des Fistelgangs mit vollständiger Entfernung des epithelialisierten Granulationsgewebestrangs angestrebt werden [Kaya und Kämmerer, 2020]. In den meisten Fällen entsteht ein kosmetisch akzeptables Ergebnis im Bereich der Gesichtshaut. In vereinzelten Fällen kann eine Narbenkorrektur nach vollständiger Abheilung angeschlossen werden.
Fazit für die Praxis
Bei dermatologischer Symptomatik mit extraoraler Fistelgangbildung sollte an eine odontogene Ursache gedacht werden.
Mögliche Differenzialdiagnosen enthalten neben entzündlichen Krankheitsbildern auch neoplastische Erkrankungen.
Die Therapie der Wahl stellt die Fokussanierung in Kombination mit einer chirurgischen Revision der Fistel dar.
Literaturliste
Barrowman, R. A., M. Rahimi, M. D. Evans, A. Chandu and P. Parashos (2007). "Cutaneous sinus tracts of dental origin." Med J Aust 186(5): 264-265.
Buch, R. S. R., B. Fischer, W. K. G. Kleis and T. Reichert (2003). "Chronisch granulierende Entzündung nach Partsch. Chirurgisches Problem dentogener Ursache." Chirurg 74: 757-761.
Buch, R. S. R., B. Fischer, W. K. G. Kleis and T. E. Reichert (2003). "Chronisch granulierendeEntzündung nach Partsch." Der Chirurg 74(8): 757-761.
Johnson, B. R., N. A. Remeikis and J. E. Van Cura (1999). "Diagnosis and treatment of cutaneous facial sinus tracts of dental origin." J Am Dent Assoc 130(6): 832-836.
Kaya, S. and P. W. Kämmerer (2020). "Enorale Ursache einer extraoralen Fistel - chronisch granulierende Parodontitis nach Partsch." Zahnärztliche Mitteilungen 110(14): 38-41.
McWalter, G. M., J. B. Alexander, C. E. del Rio and J. W. Knott (1988). "Cutaneous sinus tracts of dental etiology." Oral Surg Oral Med Oral Pathol 66(5): 608-614.
Partsch, C., B. Williger and E. Hauptmeyer (1924). Die chirurgischen Erkrankungen der Mundhöhle, der Zähne und der Kiefer. München.
Sheehan, D. J., B. J. Potter and L. S. Davis (2005). "Cutaneous draining sinus tract of odontogenic origin: unusual presentation of a challenging diagnosis." South Med J 98(2): 250-252.










