Das Stiefkind der deutschen Prothetik
Seit Einführung des Ney-Klammersystems [Ney Company, 1957] in den Fünfzigerjahren hat sich die gussklammerverankerte Teilprothetik in Deutschland kaum weiterentwickelt. Das BIOS-System sollte die Steuerbarkeit der Klammerretention verbessern [Brunner et al., 1988], hat sich aber nur wenig durchsetzen können. Klinische Entscheidungsfindungen zugunsten gussklammerverankerter Teilprothesen beschränken sich meist auf ungünstige patienten-, organ- oder zahnbezogene Prognoseeinschätzungen oder sind aufgrund finanzieller Limitationen alternativlos. Retrospektive Studien zu Erfolgsraten [Carlsson et al., 1971; Schwalm et al., 1977; Kerschbaum et al., 1979] unterliegen daher häufig einem negativen Bias und befeuern den schlechten Ruf der Gussklammer [Jacoby et al., 2014]. Dogmen zur Prothesengestaltung werden von Auflage zu Auflage durch die Lehrbücher getragen, die Honorierung ist eher schmal und das Thema Gussklammer dürfte die Karriere eines Hochschullehrers oder einer -lehrerin kaum beflügeln. Kurz, die gussklammerverankerte Modellgussprothese darf mit Recht als das „Stiefkind der deutschen Prothetik“ bezeichnet werden.
Der demografische und der gesellschaftliche Wandel könnten ein Umdenken einleiten. So fordert die DMS V vor dem Hintergrund steigender Lebenserwartungen, „geeignete zahnmedizinische Konzepte für die Lebensphase nach dem Renteneintritt und einer einsetzenden sowie zunehmenden Gebrechlichkeit bereitzuhalten“ [Jordan et al., 2016]. Die besonderen Herausforderungen der geriatrischen Zahnmedizin sowie die Diskussion um die Ressourcenallokation im Gesundheitssystem könnten die Gussklammer in ihrer Effizienz, minimalen Invasivität und (scheinbaren) Einfachheit wieder sichtbarer in den Fächer der prothetischen Planungsalternativen rücken.
Die oben skizzierte Patientenklientel ist an der Poliklinik für Zahnärztliche Prothetik der Medizinischen Fakultät Carl Gustav Carus in Dresden überproportional vertreten (meist durch Überweisungen aus der Praxis). Im Folgenden soll dieser Beitrag anhand von vier Fallbeispielen Varianten der tradierten gussklammerverankerten Teilprothetik vorstellen, die den besonderen Anforderungen oder Wünschen dieser Patienten mit zufriedenstellenden Ergebnissen gerecht werden konnten – ästhetisch wie funktionell.
Patientenfall 1
Das Orthopantomogramm (Abbildung 1) zeigt die desolate Gebisssituation einer 31-jährigen Patientin mit ansonsten unauffälliger Anamnese. Die Patientin wurde nach Abschluss der Extraktionstherapie zur prothetischen Beratung und Weiterbehandlung an unsere Poliklinik überwiesen.
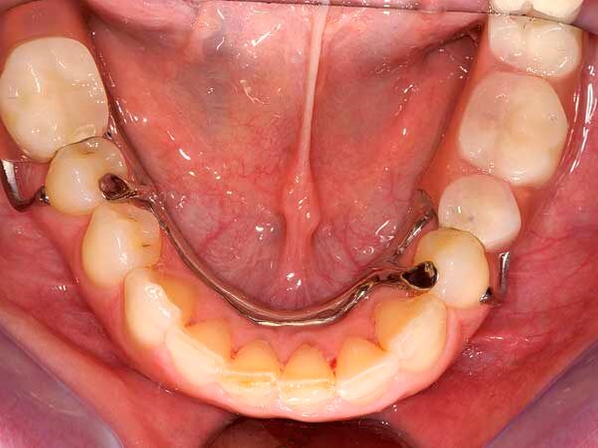
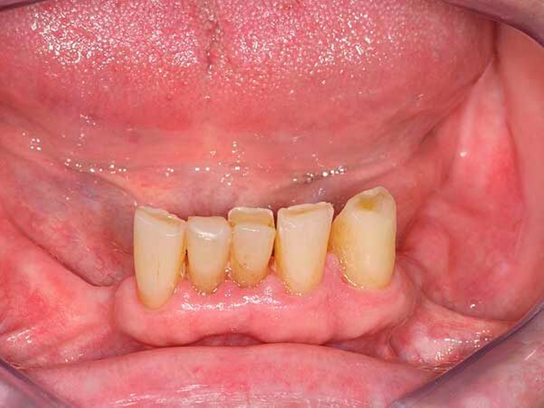
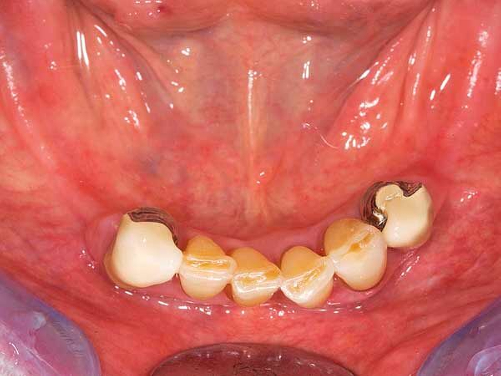
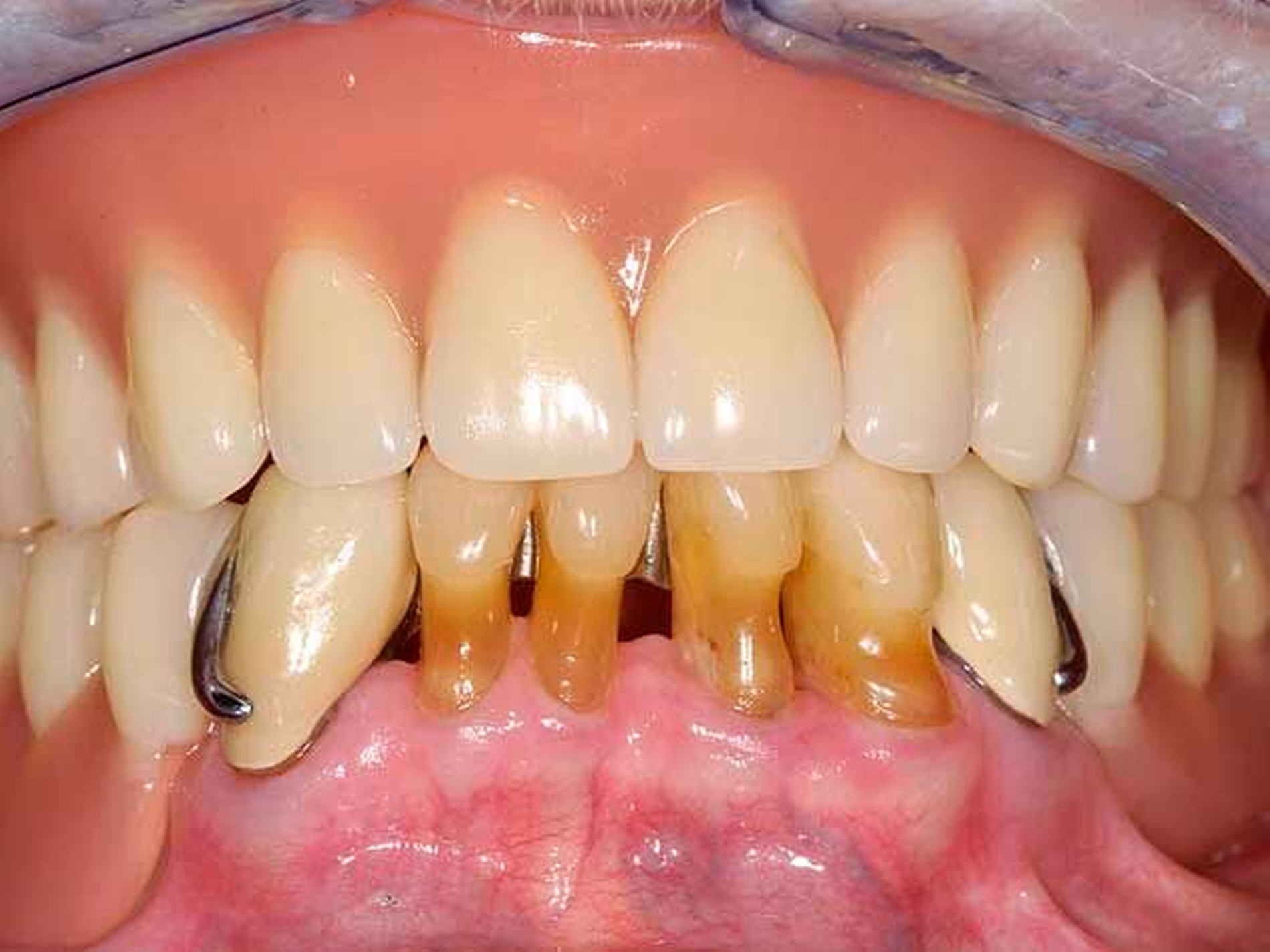
Im Oberkiefer gestattete die Lückengebisstopografie festsitzenden Zahnersatz gemäß den Richtlinien der gesetzlichen Krankenkassen. Im Unterkiefer verblieb nach Extraktion ein karies- und füllungsfreies anteriores Restgebiss von 34 nach 45 (Abbildung 2). Versorgungen mit implantatgestütztem Zahnersatz oder kombiniert festsitzend-herausnehmbarem Zahnersatz schieden aus Kostengründen aus. Angesichts der normalerweise sichtbaren Gussklammer-Verankerungen an den Prämolaren fürchtete die junge Frau eine Demaskierung als Prothesenträgerin.
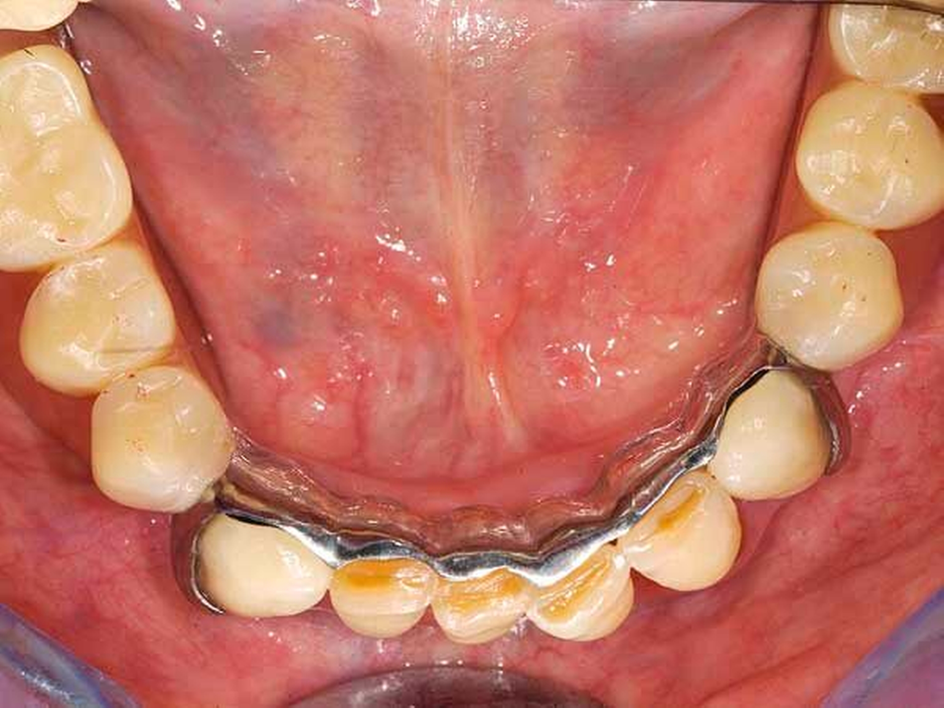
Die Patientin konnte mit einer Modellgussprothese und zwei RPI-Klammern an den Zähnen 34 und 45 erfolgreich versorgt werden (Abbildungen 3 und 4). RPI steht für Rest (meist sattelferne Abstützung), Proximal Plate (approximale Führungsfläche), l-bar (i-förmiger Retentionsteil). Das RPI-Klammersystem wurde 1963 von Kratochvil [Kratochvil, 1963] eingeführt und von Krol 1973 [Krol, 1973] weiterentwickelt. Das Klammersystem ist kein Exot. Es findet sich in nahezu allen internationalen Standardlehrbüchern der Prothetik und gilt als das mit am besten bewährte Klammersystem für die bilaterale Freiendsituation [Davenport et al., 1992; Krol, 1999; Carr et al., 2000].
Die proximale Platte der RPI-Klammer blockiert wirkungsvoll dislozierende Sattelbewegungen (Abbildung 5), der von gingival inserierende Retentionsarm ist nahezu unsichtbar. Aufgrund des langen Federweges ist der Retentionsarm praktisch ermüdungsfrei und lässt sich gegebenenfalls leicht aktivieren. Die Abstützung liegt sattelfern analog einer Back-Action-Klammer. Für die RPI-Klammer wird am Ankerzahn neben der üblichen mesialen Klammerauflage die disto-approximale Wand parallel zur Einschubrichtung im Schmelz präpariert (Abbildung 6). Die Präparation sollte mindestens 1 mm oberhalb der Papille enden. Die präparierte Fläche dient der flächigen Anlage der proximalen Platte (Abbildung 3).
Unsere Einrichtung konnte bereits Erfahrung mit dem RPI-Klammersystem machen. Ästhetik und Klammerfunktion sind der einer Back-Action- oder G-Klammer (Ney-Klammer #4) überlegen. Kontraindikation sind hoch ansetzende Wangenbändchen oder sehr stark unter-sich-gehende Kieferkämme, die von gingival inserierende Retentionsarme geteilter Klammern nicht zulassen.
Kritische Betrachtung:
Therapiemittel der ersten Wahl wäre im vorliegenden Fall der implantatgestützte Zahnersatz zur Wiederherstellung der Molarenstütze im Unterkiefer. Die Abwägung Gussklammer versus kombiniert festsitzend-herausnehmbarer Zahnersatz ist differenzierter zu betrachten. Auch bei schonender Kronenpräparation liegt die Wahrscheinlichkeit eines Vitalitätsverlusts bei etwa 15 Prozent nach zehn Jahren [Erpenstein et al., 1992; Libby et al., 1997; Goodacre et al., 2003]. Somit liegt die Wahrscheinlichkeit des schicksalhaften Vitalitätsverlusts mindestens eines Zahnes bei einer Präparation von vier Zähnen (wie für einen Attachment-verankerten Zahnersatz) um die 50 Prozent. Bei adäquater Mundhygiene provoziert die minimalinvasive Gussklammerverankerung im vorliegenden Fall weder Vitalitätsverlust noch andere biologische Komplikationen [Bergman et al., 1995]. Strategisch sollte die „prothetische Karriere“ des Restgebisses implantatgestützen Zahnersatz zu einem späteren Zeitpunkt nicht von vornherein ausschließen. Träte dieser Fall ein, so hätte die einfache Gussklammerverankerung der jungen Patientin ein nahezu intaktes Restgebiss im Unterkiefer bewahrt.
Patientenfall 2
Das Orthopantomogramm (Abbildung 7) zeigt die Gebisssituation eines 89-jährigen Patienten mit kardiovaskulärer Anamnese (Herzinfarkt, Stent-Implantate) und deutlich reduziertem, fast hinfälligem Allgemeinzustand. Der Patient erhält 14(!) verschiedene Medikationen. Der überweisenden Kollegin erschien die Behandlung in der Praxis zu riskant. Nach Abschluss der Extraktionstherapie stellte sich der Patient zur prothetischen Beratung und Weiterversorgung an unserer Poliklinik vor. Im Oberkiefer wurde ein totaler Zahnersatz geplant. Im Unterkiefer verblieb ein karies- und füllungsfreies Restgebiss von 33 nach 42 (Abbildung 8). Aus gesundheitlichen Gründen schied eine Präparation der karies- und füllungsfreien Zähne für die Aufnahme von Doppelkronen oder metallkeramischen Kronen mit oralen Fräsungen aus.
Front- und Eckzähne sind aufgrund ihrer Anatomie grundsätzlich schlecht für die Aufnahme von Gussklammern geeignet. Die Lösung in diesem zweiten Fall bestand in der Anwendung zweier geteilter Klammern (Roach-Klammer), ausgeführt als Druckanker (Abbildungen 9 und 10). Lingual wurden die Zähne 33 und 42 mit den oralen Klammerarmen großflächig von disto- nach mesioapproximal gefasst. Gegebenenfalls müssen, nach Augenmaß senkrecht zur Einschubrichtung, die Tuberculi und der distoapproximale Kontaktpunkt im Schmelz mit einem Diamantfinierer leicht abgeflacht werden. Die Präparation für die orale Klammerauflage in Höhe der Tuberculi muss konsequent als Stufe von 1 mm Tiefe parallel zur Okklusionsebene eingeschliffen werden. Die Auflage selbst ist in den oralen Klammerarm integriert. Die vestibulären Retentionsarme liegen dem Zahn nicht passiv an, sondern stehen unter Vorspannung und drücken den Ankerzahn bei eingegliedertem Zahnersatz aktiv gegen das starre Widerlager der oralen Umfassung. Dies sichert in Verbindung mit der weiten, fast geschiebeartigen oralen Fassung und der integrierten Klammerauflage eine akzeptable Kippmeiderfunktion.
Die großflächigen Umfassungen der oralen Ankerzahnflächen erhöhen das Kariesrisiko, dem kann mit adäquater Mundhygiene und Fluoridierung begegnet werden. Zur Optimierung der parodontalen Hygienefähigkeit wurden die Regeln der „Grenzraumgestaltung nach Marxkors“ (brückenzwischengliedartige Gestaltung des ersten Prothesenzahnes mit metallischer Basis, Durchspülbarkeit, Insertion des sublingualen Bügels in den Sattel eine Prämolarenbreite hinter dem endständigen Zahn [Marxkors, 2007]) konsequent umgesetzt (Abbildungen 11 und 12).
Kritische Betrachtung:
Alternative prothetische Therapieoptionen für diesen Fall wären sicherlich kombiniert festsitzend-herausnehmbarer Zahnersatz in der Ausführung als Kronen und Modellguss oder eine Doppelkronenverankerung. Diese schieden aufgrund der geringen körperlichen Belastungskapazität aus, sowohl im Hinblick auf die Anzahl der notwendigen Zahnarztbesuche als auch auf die physischen Belastungen während der prothetischen Behandlung. Gerade bei notwendigen Verankerungen im Front- und Eckzahnbereich sollten die Grundregeln der Prothesendynamik konsequent beachtet werden: eine funktionelle Extension des freiendenden Sattels, Beschränkung der Zahnreihe auf die ersten zwei Drittel der Sattellänge, um die Hebelkräfte gering zu halten. So wurde in diesem Fall auf eine Aufstellung der zweiten Molaren verzichtet.
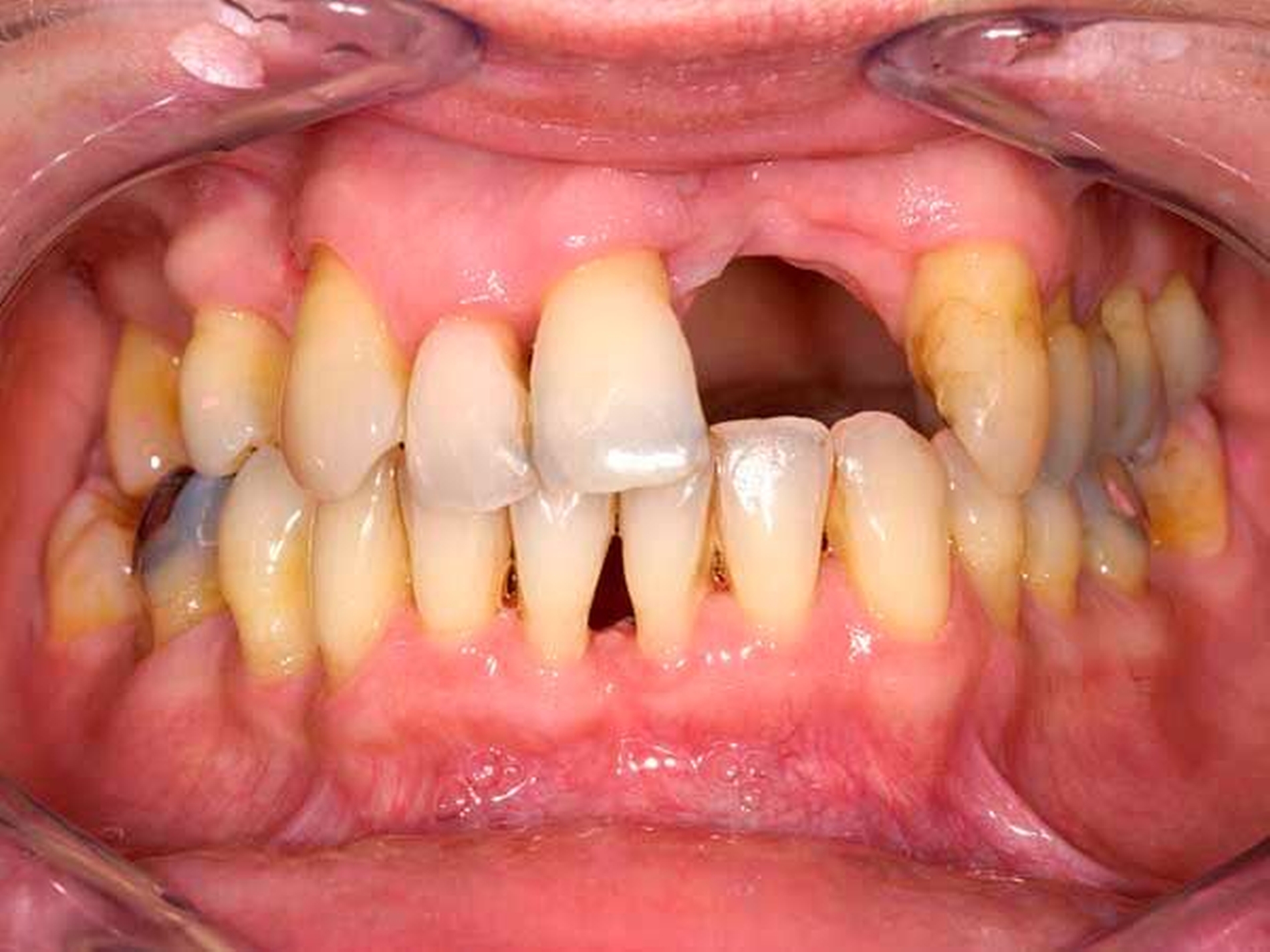
Patientenfall 3
Das Orthopantomogramm (Abbildung 13) zeigt die Gebisssituation einer 92-jährigen Patientin mit reduziertem, aber altersgerechtem Allgemeinzustand. Die Zähne 33 und 43 tragen intakte metallkeramische Kronen eines kombiniert festsitzend-herausnehmbarem Zahnersatzes mit eingearbeiteten Klammerauflagen und oralen Fräsungen (Abbildung 14). Der Gegenkiefer ist suffizient mit einem totalen Zahnersatz versorgt. Grund der Überweisung war ein sehr flacher Mundboden, der einen adäquat dimensionierten und positionierten sublingualen Bügel nicht zuließ. Die klinische Entscheidung fiel zugunsten eines gussklammerverankerten Zahnersatzes mit lingualer Platte als großem Verbinder (Abbildungen 15 und 16).
Unterdimensionierte, mit fortlaufenden Klammern ergänzte Bügel haben sich nach Erfahrungen an unserer Institution wenig bewährt. Linguale Platten sind mechanisch sehr stabile große Verbinder, bedecken aber die marginalen Parodontien des anterioren Restzahnbestands und sind daher parodontalhygienisch ungünstiger einzustufen als sublinguale Bügel. Keinesfalls jedoch sind sie mit Kragenplatten einfacher temporärer Teilprothesen gleichzusetzen. Letztere traumatisieren aufgrund fehlender okklusaler Abstützung die bedeckten parodontalen Gewebe.
Wie der sublinguale Bügel setzt die linguale Platte suffiziente Klammerfunktionen, vor allem eine okkusale Abstützung in beiden Quadranten, voraus. Sie liegt den oralen Flächen des anterioren Restgebisses passiv und spaltfrei an, die marginale Gingiva und die sublinguale Schleimhaut sind analog einem konventionellen sublingualen Bügel hohlgelegt.
Kritische Betrachtung:
Die internationale Literatur sieht die linguale Platte als großen Verbinder der zweiten Wahl, wenn bei hohem Mundboden, absehbaren Erweiterungen oder der Notwendigkeit horizontaler Schubverteilung ein Sublingualbügel nicht sinnvoll erscheint. Kritikpunkte sind die fehlende Selbstreinigung und die fehlende mechanische Stimulation durch Nahrung [LaVere, 2005]. Allerdings fanden klinische Studien bei adäquater Mundhygiene bei lingualer Platte und sublingualem Bügel eine kaum veränderte Mikroflora des marginalen Parodontiums, die Patientenakzeptanz ist vergleichbar [Campbell, 1977; Hansen et al., 1985; LaVere, 2005; Ao et al., 2013]. Ästhetisch können bei offenen Interdentalräumen sichtbare Metallanteile stören (Abbildung 16).
Während die alternative Versorgungsform, in diesem Fall sechs Doppelkronen im Sinne einer Pfeilerintegration mit Ersatz des sublingualen Bügels durch ein Tertiärgerüst, wahrscheinlich weitgehend konsensfähig ist, stößt die linguale Platte in Deutschland aufgrund der häufig notwendigen parodontalen Bedeckung eher auf Ablehnung. Eine kritische Betrachtung der biologischen Risiken für das Restgebiss lässt jedoch Zweifel an dieser Wertung. Doppelkronen bergen Risiken der Kronenrandkaries plus des Beschleiftraumas plus der Zahnfraktur (cave: UK-Incisivi) durch mechanischen Überlastung plus der Gingivitis und Parodontitis durch deutliche Überkonturierung – immerhin addieren sich in einer Frontzahndoppelkrone sechs Werkstoffschichten. In der Summe dürften die biologischen Risiken der „German Crown“ in diesem Fall über denen der lingualen Platte liegen.
Patientenfall 4
Das Orthopantomogramm (Abbildung 17) zeigt die Gebisssituation einer 49-jährigen Patientin nach Abschluss einer parodontalen Vorbehandlung. Die sehr gepflegte Patientin betreibt eine intensive Mundhygiene, legt hohen Wert auf ihre äußere Erscheinung. Ihre finanzielle Limitation lässt aber keine implantatprothetische oder aufwendige kombiniert festsitzend-herausnehmbare Versorgung zu. Da die Patientin eine hohe Lachlinie hat und eine Demaskierung durch sichtbare Gussklammern im Bereich der Frontzähne fürchtete (Abbildung 18), verweigerte sie konventionellen gussklammerverankerten Zahnersatz und trug entgegen ausdrücklichem zahnärztlichem Rat dauerhaft eine rein schleimhautgelagerte Teilprothese. Die Patientin wurde mit der Bitte um Beratung und Behandlungsübernahme an unsere Einrichtung überwiesen.
Diese Patientin konnte an unserer Einrichtung mit der Modifikation eines gussklammerverankerten Zahnersatzes versorgt werden, bei dem die anterioren sichtbaren Klammer-Retentionsarme aus dem gingivafarbenen Kunststoff Polyamid-12 (Valplast) angefertigt wurden (Abbildungen 19 und 20). Die Polyamidretentionarme müssen aufgrund des wesentlich geringeren Elastizitätsmoduls gegenüber einer CoCrMo-Legierung wesentlich breiter gestaltet werden. Sie liegen allerdings nur den vestibulären Flächen der Ankerzähne an und sind unter der partiell mitbedeckten Gingiva hohlgelegt (Abbildung 21).
Das metallische Gerüst der Teilprothese ist bis auf den Verzicht der anterioren Retentionsarme konventionell mit großem Verbinder, kleinen Verbindern, oralen Klammerarmen und Auflagen gestaltet, posterior findet eine konventionelle Ney-Klammer #1 Anwendung. Die Patientin ist mit dem ästhetischen Ergebnis zufrieden. Inzwischen konnte eine Reihe Patienten mit ähnlicher ästhetischer Problematik versorgt werden (Abbildung 22).
Kritische Betrachtung:
Definitiver Zahnersatz, aus Polyamid-12 (wie Valplast, Sunflex und mehr) gefertigt, gilt in der deutschen Zahnmedizin als obsolet, da der elastische Prothesenkörper durch ungünstigere Lastverteilungen wahrscheinlich die Resorption der knöchernen alveolären Strukturen begünstigt [Blankenstein, 2009] und ist durch die gesetzlichen Krankenkassen nicht erstattungsfähig. Auf den hier angefertigten Zahnersatz treffen diese beiden Einschränkungen nicht zu. Große wie kleine Verbinder, orale Klammerarme und -auflagen sind in üblicher Dimensionierung starr in einer CoCrMo-Legierung ausgeführt. Sie garantieren eine identische Biodynamik bezüglich Abstützung, Sicherung gegen horizontale Schübe, reziproker Wirkung, Kraftableitung ins Gaumengewölbe und starrer Kopplung der Kieferhälften und erfüllen somit die Bedingungen der erstattungsfähigen Regelversorgung. Lediglich die elastischen Retentionsarme und die Kunststoffanteile des Sattels sind aus Polyamid-12 gefertigt.
Polyamid-12 gilt als monomerfreier, hypo-allergener Biowerkstoff und reagiert äußerst robust und nahezu ermüdungsfrei auf elastische Wechselbelastungen. Dennoch wohnen Polyamid-12 einige inhärente Limitationen inne:
Geeignete Lückengebiss-Topografie: Retentionsarme aus Polyamid-12 können nur aus Schalt- oder Freiendlücken herausgeführt werden. Die notwendige Dimensionierung lässt einen Überwurf aus einer geschlossenen Zahnreihe, wie zum Beispiel bei einer Bonwill-Klammer, nicht zu.
Polyamid-12 wird bei 250 °C bis 350 °C unter hohem Druck in eine Hohlform injiziert. Das Material ist inert und lässt sich chemisch kaum an andere Kunststoffe wie PMMA ankoppeln. Daher sind Erweiterungen, Reparaturen oder Unterfütterungen nicht ohne Weiteres möglich.
Die Verfärbungsneigung ist gegenüber PMMA geringfügig erhöht [Wieckiewicz et al., 2014].
Bei trockener Lagerung verliert Poliamid-12 seine Elastizität. Dieser Vorgang ist reversibel. Dennoch sollte Zahnersatz mit Anteilen aus Polyamid-12 permanent in einem feuchten Milieu lagern [Wieckiewicz et al., 2014].
Rotational Path of Insertion: Die unsichtbare Modellgussprothese
„Schläge, Bodychecks, Puckeinschläge“, so erklärt John Tripp, deutsch-kanadische Eishockeylegende, in einem Interview 2016 den Verlust seiner Incisivi im Oberkiefer [www.express.de/sport, 2016]. Auch andere Sportarten mit intensivem Ball-, Schläger- oder Körperkontakt fordern ihren Zoll an Frontzähnen. Während der aktiven Karrieren ist die Indikation mit implantatgestützem Zahnersatz zur Versorgungen dieser sportunfallbedingten Lücken fragwürdig. „Wenn ich später mal einen anderen Beruf habe, denke ich über feste Implantate nach“, beendet Tripp das Interview.
Dennoch sollen die Lücken außerhalb der Sportarenen mit Zahnersatz geschlossen sein, der möglichst unsichtbar, minimalinvasiv und vollständig parodontal gestützt auch großen Steaks standhalten kann. Ein Lösungsansatz ist die Modellgussprothese mit rotierendem Einschub (Rotational Path of Insertion). Anstelle der vestibulären Retentionsarme besitzen die anterioren Klammern proximale Platten, die in die mesio-approximalen Infrawölbungen der lückenbegrenzenden Ankerzähne einrotiert werden (Abbildungen 23 bis 28). Orale flächig anliegende Klammerarme mit integrierten Auflagen sichern die anteriore okklusale Abstützung und Schubverteilung. Posterior wird der Prothesensitz mit konventionellen Ney-Klammern gesichert. Die posteriore Klammerretention unterdrückt ein unbeabsichtigtes Ausrotieren der Prothese. Auch dieses Konzept ist weder neu noch exotisch, sondern findet sich in zahlreichen internationalen Standardlehrbüchern [Davenport et al., 1992; Krol, 1999; Carr et al., 2000]. Klassische Indikationen sind vor allem größere, mittenübergreifende Front- oder Front-Eckzahnlücken der Kennedy-Klasse IV. Voraussetzung sind parodontal gesunde, möglichst vollständige Seitenzahnreihen, da die anterioren Ankerzähne, meist Canini oder Prämolaren, nicht körperlich gefasst und einem distal gerichteten Schub ausgesetzt sind, der erst von der posterioren Klammerverankerung abgefangen wird.
Unsere Klinik widmet sich diesem Konzept erst seit kurzer Zeit und hat bisher keine eigene klinische Erfahrung. Für Unterrichts- und Anschauungszwecke angefertigte Modellgussgerüste belegen aber die lehrbuchgerechte Funktionstüchtigkeit des „Rotational Path of Insertion“ (Abbildungen 23 bis 28).
Fazit
Aufgrund unterschiedlicher Gesundheitssysteme auf unserem Planeten haben Zahnärztinnen und Zahnärzte unterschiedliche Therapiekonzepte zur Versorgung von Lückengebissen entwickelt. Zweifellos verfügt Deutschland über eines der am höchsten entwickelten Gesundheitssysteme. Dennoch leben auch hierzulande Patienten, denen aus finanziellen, gesundheitlichen oder auch aus anderen Gründen der Zugang zu unserer hochtechnologischen restaurativen Zahnmedizin verwehrt ist. Wollen wir die therapeutischen Möglichkeiten für diese Patienten etwas weiter ausloten, kann ein Blick über den Tellerrand in die Praxen unserer Kolleginnen und Kollegen in anderen Ländern nicht schaden.
Prof. Dr. Klaus W. Böning
Leiter Zahnmedizinische Propädeutikund experimentelle Zahnmedizin
Poliklinik für Zahnärztliche Prothetik
Universitätsklinikum Carl Gustav Carus an der Technischen Universität Dresden
Fetscherstr. 7401307 Dresden
klaus.boening@uniklinikum-dresden.de
Literatur
1. Ney Company. Die gegossene partielle Prothese. 2. Auflage, Degussa, Frankfurt/Main 1957.
2. Brunner T, Kundert M: Gerüstprothetik. Planungsrichtlinien und Konstruktionsvorschläge. Basel, Karger, 1988.
3. Carlson GE, Hedegard B, Koivumaa KK. Studies in Partial Denture Prosthesis. IV. A Longitudinal Study of Mandibular Partial Dentures with Double Extension Saddles. Acta Odontol. Scand. 1965;23: 443-72.
4. Carlson GE, Hedegard B, Koivumaa KK. The Current Place of Removable Partial Dentures in Restorative Dentistry, Dent Clin North Am. 1971;14: 553-68.
5. Schwalm CA, Smith DE, Erickson JD. A clinical study of patients 1 to 2 years after placement of removable partial dentures. Journal of Prosthetic Dentistry, 1977.
6. Kerschbaum T, Henrich H: Karies an überkronten und nichtüberkronten Halte- und Stützzähnen. Dtsch Zahnarztl Z 1979;34:645–649
7. Jacoby ST, Rädel M, Böning KW. Biologische Komplikationen an unterschiedlichen Verankerungselementen von abnehmbarem Zahnersatz. Dtsch Zahnärztl Z 2014;69:277-84
8. Jorden AR. Fünfte Deutsche Mundgesundheitsstudie. Institut der Deutschen Zahnärzte.BZÄK/KZBV, 1. Auflage Berlin/Köln, August 2016
9. Kratochvil FJ. Influence of occlusal rest position and clasp design on occlusal forces on movement of abutment teeth. J Prosthet Dent 1963;13:114-24.
10. Krol AJ. RPI (rest, proximal plate, I bar) clasp retainer and its modifications. Dent Clin North Am 1973;17:631-49.
11. Davenport JC, Basker RM, Heath RJ, Ralph JP. A Colour Atlas of Removable Partial Dentures 1992, Wolfe Medical Publications LTD, 2-16 Torrington Place, London, WC1E7LT, England
12. Krol AJ Removable partial denture design: Outline syllabus 1999. Indent, 57 Ridgewood Drive, San Rafael, CA 9401.
13. Carr AB, McGivney GP, Brown DT. McCracken's Removable Partial Prosthodontics, 11th Edition. 2000. Elsevier Mosby, 11830 Westline Industrial Drive, St. Louis, Missouri 63146.
14. Erpenstein H, Kerschbaum Th, Fischbach H. Verweildauer und klinische Befunde bei Kronen und Brücken Eine Langzeitstudie. Dtsch Zahnärztl Z. 1992;47:315-9.
15. Goodacre CJ1, Bernal G, Rungcharassaeng K, Kan JY. Clinical complications in fixed prosthodontics. J Prosthet Dent. 2003 Jul;90(1):31-41.
16. Greg Libby, Michael R. Arcuri, William E. LaVelle, Lisa Hebl. Libby G, Longevity of fixed partial dentures. J Prosthet Dent 1997; 78:127–31
17. Bergman B, Hugoson A, Olsson CO: A 25 year longitudinal study of patients treated with removable partial dentures. J Oral Rehabil 1995;22:595–99
18. Markkors R. Lehrbuch der zahnärztlichen Prothetik. 2007 Deutscher Ärzteverlag, Dieselstrasse 2, 50859 Köln
19. Hansen CA, Campbell DJ. Clinical comparison of two mandibular major connector designs: the sublingual bar and the lingual plate. J Prosthet Dent. 1985;54:805-9.
20. Campbell LD. Subjective reactions to major connector designs for removable partial dentures. J Prosthet Dent. 1977;37:507-16.
21. LaVere AM. Selection of a major connector for the extension-base removable partial denture. J Prosthet Dent 2005;94:207–8
22. Ao A, Wakabayashi N, Nitta H, Igarashi Y. Clinical and microbiologic effects of lingual cervical coverage by removable partial dentures. Int J Prosthodont. 2013;26:45-50.
23. Blankenstein F. Wissenschaftliche Mitteilung der Deutschen Gesellschaft für zahnärztliche Prothetik und Werkstoffkunde (DGZPW) Verwendung thermoplastischer Nylon-Kunststoffe als Prothesenbasismaterial ZM Nr. 19/2009, S. 42 – 44
24. Wieckiewicz M, Opitz V, Richter G, Boening KW. Physical Properties of Polyamide-12 versus PMMA Denture Base Materials. BioMed Research International 2014; Article ID 150298,http://dx.doi.org/10.1155/2014/150298
25. Kölns berühmteste Zahnlücke: Haie-Kapitän John Tripp zeigt seine Kauleiste. www.express.de/sport/koelns-beruehmteste-zahnluecke-haie-kapitaen-john-tripp-zeigt-seine-kauleiste-3867844



























