Das vergessene Gelenk
Das Kiefergelenk als „forgotten joint“ zu bezeichnen, mag insbesondere aus kieferorthopädischer Sicht unpassend erscheinen. Für Patienten mit juveniler idiopathischer Arthritis (JIA) beschreibt diese Formulierung jedoch eine Realität, da rheumatisch bedingte Destruktionen des Kiefergelenks hier aufgrund des klinisch oft symptomlosen Verlaufs nicht oder erst sehr spät erkannt werden [Meyer et al., 2003]. Arabshahi und Cron beschrieben 2006 in ihrem Review eine Beteiligung der Kiefergelenke von 17 bis 87 Prozent der JIA-Patienten. Klinisch können eine eingeschränkte Mundöffnung, erschwertes Kauen und Schmerzen bei Kieferbewegung imponieren, häufig jedoch fehlen diese klinischen Symptome vollständig und die Untersuchungsbedingungen, bei den oft sehr jungen Patienten, erschweren ein frühes Erkennen der Erkrankung. Folgen sind bei 30 Prozent der JIA-Patienten mikrognathe Unterkiefer und bei über zwei Drittel Malokklusionen. Für Arabshahi und Cron ist die Kiefergelenkentzündung der am häufigsten nicht erkannte und nicht behandelte Befund bei JIA – daher „the forgotten joint.“
JIA in Zahlen
JIA ist eine Gelenkentzündung, die vor dem 16. Lebensjahr beginnt und mindestens sechs Wochen dauert. Der Höhepunkt des Auftretens ist zwischen dem zweiten und vierten sowie zwischen dem achten und dem zwölften Lebensjahr. Nur selten werden diese sehr jungen Patienten Kiefer- orthopäden vorgestellt. JIA tritt regional unterschiedlich auf mit einer Inzidenz von 0,8 bis 22,6 Fällen pro 100.000 Kinder, wobei Mädchen häufiger als Jungen betroffen sind. Nach der aktuellen ILAR-Klassifikation [Petty et al., 2004] wird derzeit in sieben Subgruppen unterteilt. Eine Differenzierung zwischen Oligo- und Polyarthritis erfolgt anhand der Anzahl der betroffenen Gelenke. Das Risiko einer Kiefergelenkbeteiligung ist erhöht bei frühem Krankheitsbeginn, langer Dauer und bei oligo-, aber insbesondere bei polyartikulären Verlaufsformen [Petty et al., 2004; Tzaribachev et al., 2010].
Klinische Manifestationen
Aus der Klinik und Dokumentation von 16 Jahren Rheumasprechstunde in der Poli- klinik für Kieferorthopädie am Universitätsklinikum Hamburg (UKE) hat der typische Rheumapatient einen asymmetrischen Distalbiss mit vergrößertem Overjet, eine Unterkiefermittenabweichung bei Kinn- asymmetrie sowie eine asymmetrische Höhe der Kieferwinkel und des aufsteigenden Astes. In der Funktionsanalyse zeigt sich eine reduzierte Mundöffnung – auch asymmetrisch, mit oder ohne Schmerz.
Ein weiterer Hinweis auf rheumatische Veränderungen des Kiefergelenks kann der reduzierte Vorschub oder die eingeschränkte Laterotrusion sein. Häufig imponieren Druckdolenzen im Kondylenbereich, oder auch ausstrahlende beziehungsweise muskuläre Schmerzen im Kieferwinkel, im M. masseter und gegebenenfalls im M. temporalis. Im Folgenden werden die „Hinweise“ für eine Beteiligung der Kiefergelenke bei JIA zusammengefasst:
• verminderte Bewegungsfähigkeit
• Abweichung des Unterkiefers zur betroffenen Seite (Mundschluss, Mundöffnung, Protrusion)
• Schmerzen bei Bewegung
• eingeschränkte Kaufunktion
• Druckdolenz
• Gelenkgeräusche
• asymmetrische Höhe der Kieferwinkel
JIA tritt auch bei Patienten mit einer Neutralbisslage und bei einer Anomalie des progenen Formenkreises auf, in diesen Fällen weicht der klinische dann vom oben beschriebenen typischen Befund ab.
JIA – Risiko für die Kiefergelenke
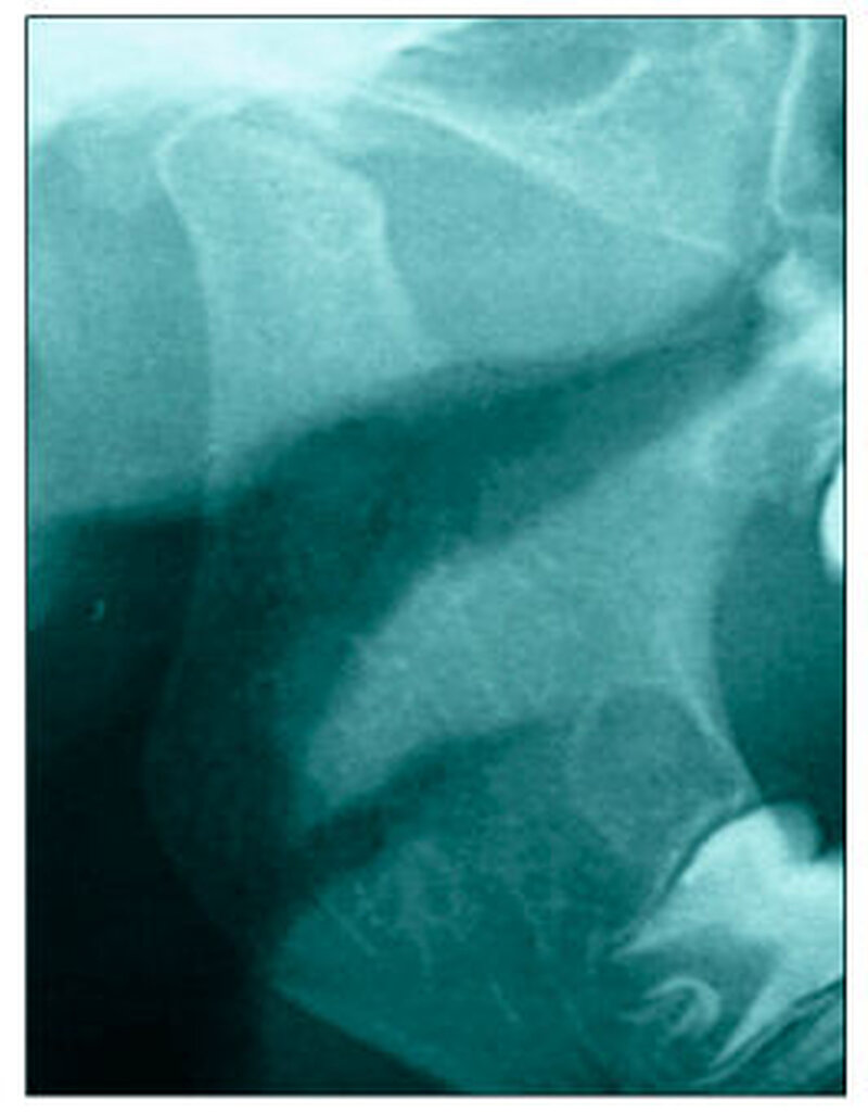
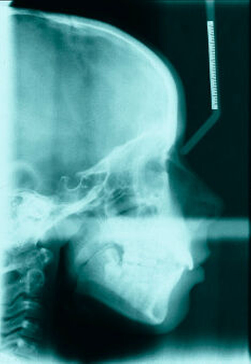
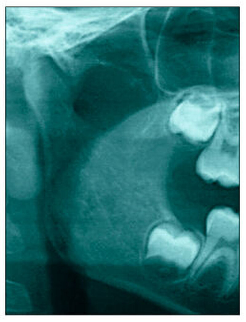
Bereits 2004 wies Carla Evans [Evans, 2005] auf das Risikomanagement bei Allgemeinerkrankungen hin und stellte am Beispiel der JIA dar, dass Unterkieferrücklagen und frontal offene Bisse aus der Kiefergelenkzerstörung entstehen können. Die Röntgenaufnahmen einer JIA-Patientin mit oligoartikulärer Form und Beteiligung des rechten Kiefergelenkes zeigen den typischen Verlauf sehr gut. Bei ursprünglich sehr dezenten Befunden, wie einer s-förmigen Mundöffnung von 44 mm, einer geringen Mittenabweichung um 2 mm nach rechts und einem frontal offenem Biss klagte sie über Schmerzen beim Essen, was den Anlass zur weiteren Diagnostik bot. Die erste Panoramaröntgenschichtaufnahme (Abbildung 1a-c) zeigt auf der rechten Seite einen abgeflachten Kondylus und eine bereits verstrichene Fossa condylaris. Ein Jahr später vermittelt das Fernröntgenseitenbild (Abbildung 1d) trotz fortschreitender kondylärer Resorption ein harmonisches Bild, während nach drei Jahren bei voranschreitendem Abbau des rechten Kondylus (Abbildung 1e) eine Rücklage der Mandibula und eine Bissöffnung manifest sind (Abbildung 1f).
Diagnostik
Die Diagnostik der JIA setzt sich aus vier Komponenten zusammen:
Anamnese
klinische Untersuchung
Panoramaröntgenschichtaufnahme (OPG, PSA)
Magnetresonanztomografie (MRT) mit Kontrastmittel oder Sonografie (US).
Anamnese und Klinische Untersuchung
Zur Erkennung und zur Bestätigung des Verdachts auf JIA dient ein rheumaspezifischer Anamnese- und Untersuchungs- bogen. Er beinhaltet Fragen nach der Dauer der Kieferveränderung und nach den „Essgewohnheiten“, denn wird überwiegend weiche oder flüssige Nahrung konsumiert, könnte dies auf Schmerzen und einen Vermeidungsmechanismus hinweisen. Die Frage nach Kiefer- oder Ohrenschmerzen sollte um die nach einem Druckgefühl vor dem Ohr erweitert werden, denn Patienten klagen oft über Schmerzen im Kieferwinkel, jedoch nicht im Kiefergelenk. Ein wichtiger Faktor ist auch die Frage nach der genetischen Prädisposition. Neben dem Befall anderer Gelenke interessieren auch sportliche Aktivitäten. Nicht selten werden die Eltern der Patienten vom Arzt mit dem Hinweis auf Wachstumsprozesse beruhigt. Bei Bestehen von Verdachtsmomenten sollten diese Aussagen kritisch hinterfragt werden. In der klinischen Befunderhebung hat sich eine systematische Untersuchungsroutine in Anlehnung an die klassische Funktions- und Strukturanalyse bewährt.
Die Fernröntgenseitenaufnahme in Abbildung 2a zeigt ein „rheumatisches“ Profil mit retraler, hypoplastischer Mandibula, oft kombiniert mit einer Schwäche des M. masseter auf der betroffenen Seite. Der Funktionsschmerz erzeugt „Kaufaulheit“. Die Gesichtsasymmetrie (Abbildung 2b) betrifft meist Kinn, aufsteigenden Ast und die Höhe der Kieferwinkel. Auch die nicht dentoalveoläre Mittellinienverschiebung kann auf eine JIA hinweisen. Kreuzbisse variieren in Abhängigkeit vom Grad der Unterkiefermittenabweichung. Gemeinsame Auftreten eines frontal offenen Bisses und eines vergrößerten Overjet sind als klinische Anzeichen zu bewerten.
Bildgebende Diagnostik: OPG, MRT und US
Mithilfe der Panoramaröntgenschichtaufnahme lässt sich in bis zu 67 Prozent der Fälle bereits eine Kiefergelenkdestruktion bei Kindern mit JIA feststellen [Küseler et al., 1998; Twilt et al., 2004; Abramowicz et al., 2014]. Eigene Untersuchungen bestätigten die Eignung als Screening-Verfahren [Mäckelmann, 2008].
Bei 152 durchschnittlich 12-jährigen Rheumapatienten wurden die kondyläre Morphologie und Symmetrie beziehungsweise Asymmetrie im Vergleich zu einer Kontrollgruppe anhand der OPG analysiert. Zur Analyse erfolgte die Zuordnung zu vier morphologischen Graden je Kondylus (Abbildung 3a-d). Bei 45 Prozent der Rheumapatienten waren morphologische Veränderungen im Rahmen kondylärer Resorption unterschiedlicher Ausprägung zu finden. Die „Kontrollpatienten“ ohne JIA zeigten nur zu 14 Prozent formatypische Kondylen. Der Unterschied zwischen den beiden Gruppen war signifikant. Daher sollte bei der Routineauswertung von Panoramaröntgenschichtaufnahmen auf diese Anzeichen geachtet werden, insbesondere auch unter dem Aspekt, dass laut Assaf [2011] durchschnittlich 4,3 Jahre zwischen Erstmanifestation der JIA und Erstvorstellung in der Rheumasprechstunde des UKE liegen.
Das Magnetresonanztomogramm (MRT) mit Kontrastmittel ist Goldstandard zum Ausschluss beziehungsweise Nachweis einer akuten Entzündung und indiziert zur Koordination therapeutischer Interventionen [Kellenberger et al., 2015]. Eine Aufschlüsselung der MRT-Befunde von 20 JIA-Patienten der Hamburger JIA-Sprechstunde aus der Dissertation von Assaf [2011] zeigt in 57,5 Prozent eine Deformierung oder Abflachung des Kieferköpfchens, bei 47,5 Prozent eine Synovitis oder Kapsulitis und bei 25 Prozent Erosionen/ Irregularitäten der Kieferköpfchenoberfläche. Diskusdeformierungen traten ebenso bei 25 Prozent auf, Gelenkspaltergüsse hatten 12,5 Prozent, eine subchondrale Perfusionssteigerung 7,5 Prozent und 5 Prozent ein deformiertes oder destruiertes Tuberculum articulare.
Zur hochauflösenden Sonografie (US) bestätigte ein Vergleich US vs. MRT [Assaf, 2011] anhand der oben genannten 20 Patienten in der Mehrzahl eine Übereinstimmung. Gemäß Jank et al. [Jank et al., 2005; Jank, 2007] sind Gelenkergüsse (durch hohe Entzündungsaktivität der JIA) sehr gut mittels hochauflösender US-Diagnostik darstellbar (Sensitivität 81 Prozent, Spezifität 100 Prozent, Genauigkeit 95 Prozent). Assaf et al. kamen zu dem Schluss, dass die Sensitivität der MRT höher ist als die der Sonografie, vor allem bei der Evaluierung akut entzündlicher Prozesse, jedoch die hochauflösende US-Diagnostik als Screening-Verfahren überaus interessant ist, um frühzeitig Veränderungen zeitnah und effektiv behandeln und ein Fortschreiten der Destruktion aufhalten zu können [Assaf, 2011; Assaf et al. 2013]. Assaf bezifferte für einen Kiefergelenkerguss bei JIA auf 100 Prozent Sensitivität, Spezifität und Genauigkeit, relativierte jedoch für entzündliche Veränderungen im Bereich des Discus articularis (Sensitivität 82 Prozent, Spezifität 87 Prozent, Genauigkeit 86 Prozent).
Therapeutische Aspekte und Konzepte
Die zunächst konservative Therapie hat das Ziel die entzündungsbedingte Progredienz von Kiefergelenkzerstörung und Wachstumseinschränkung des Gesichtsschädels zu unterbrechen. Die Korrektur der Malokklusion folgt der Beseitigung der Funktionseinschränkungen. Bereits 1986 dokumentierten Melsen et al. [Melsen et al., 1986] die Möglichkeiten der Funktionskieferorthopädie (FKO) für Patienten mit hemifazialer Mikrosomie – Kondylus und/oder aufsteigender Ast sowie weitere Gelenkstrukturen (Muskulatur, Nerven, Gefäße) sind rudimentär entwickelt oder fehlen. So werden „kondylär betroffene“ Syndrompatienten, Kollumfrakturen und Rheumapatienten funktionell behandelt und Wachstum auch ohne kondylären Gelenkknorpel oder bei beschädigten Kondylen, induziert. Hierbei wird apparativ über „Protrusionsgeräte“ funktionell stimuliert und eine Symmetrisierung der Kiefer und des Wachstums erreicht. Ob Aktivator, Bionator oder Funktionsregler (Fränkel) – es sollte ein FKO-Gerät Anwendung finden, das die funktionelle Stimulation anstrebt und, wie bereits 1998 an Patienten mit hemifazialer Mikrosomie gezeigt, zu einer Remodellierung der betroffenen Kondylen führt (Abbildung 4 und 5 [Kahl-Nieke und Fischbach 1998]).
Im „Hamburger Therapiekonzept“ werden dabei zwei Therapiephasen unterschieden: Erstens: Die aktive Phase der JIA mit Entzündung in einem oder beiden Kiefergelenken. Der Gelenkschutz hat Priorität. Die Kiefer- gelenke werden durch adjustierte, nach individueller Funktionsanalyse und Registrierung hergestellte Schienen (Protrusionsschiene) entlastet. Die zeitgleiche medikamentöse Therapie (antiinflammatorisch, analgetisch) erfolgt durch Kinderrheumatologen und wird unterstützt durch physiotherapeutische Maßnahmen zum Erhalt der Unterkieferbeweglichkeit. In einigen komplexen therapieresistenten Fällen kann eine intraartikuläre Corticosteroidinjektion notwendig werden.
Zweitens: Die Remissionsphase. Zum Erhalt von Form und Funktion, zur Normalisierung der Okklusion inklusive Ausgleich der Gesichtsasymmetrie und zur Remodellierung der Kiefergelenke werden Aktivatoren aus weichem Kunststoff oder klassische FKO-Geräte getragen. Die Ventralentwicklung des Unterkiefers bei JIA-Patienten erfolgt sukzessiv in kleinen Schritten à 2 mm (Konstruktionsbissnahme). Sollte eine 3-D-Ausformung der Zahnbögen mittels Multiband-Bracket-Apparaturen (MB) inzidiert sein, erfolgt diese mit simultan im Gegenkiefer eingegliederter Schiene zum „Gelenkschutz“. Chirurgische Verfahren (kombiniert kieferorthopädische-kieferchirurgische Konzepte) kommen erst im Erwachsenenalter zum Einsatz, wenn die Entzündung erfolgreich therapiert werden konnte und das Kiefer-Gesichts-Wachstum vollständig abgeschlossen ist.
Fazit
Die „Entdeckung“ einer JIA im Kiefergelenk ist unabdingbare Voraussetzung für eine zeitnahe Ausschöpfung der therapeutischen Möglichkeiten. Der Höhepunkt des Auftretens zwischen dem zweiten und vierten und zwischen dem achten und zwölften Lebensjahr und die weitestgehend unauffällige klinische Symptomatik erschweren die Diagnostik und erfordern äquivalente Screening-Verfahren. Der Sensibilisierung von Zahnärzten und Kieferorthopäden bezüglich der Analyse vorhandener OPG und gezielter anamnestischer Fragestellungen kommt daher eine große Bedeutung zu: Oft sind sie Erstentdecker einer JIA. Mit rechtzeitiger und interdisziplinär abgestimmter Diagnostik und Therapie können gravierende Fehlentwicklungen der Kiefer und des Gesichtsschädels und somit Beeinträchtigungen der Lebensqualität verhindert werden.
Prof. Dr. Bärbel Kahl-Nieke
Poliklinik für Kieferorthopädie, Zentrum für Zahn-, Mund- u. Kieferheilkunde Universitätsklinikum Hamburg-Eppendorf
Martinistr. 52, 20246 Hamburg
kahl-nieke@uke.de















![Abbildung 5a und b: en face Vergleich mit 5 Jahren prätherapeutisch und mit 17 Jahren nach Therapie- und Wachstumsabschluss bei o.g. Patientin mit hemifazialer Mikrosomie [Kahl-Nieke und Fischbach, 1998] |](/fileadmin/_processed_/c/b/csm_151339-flexible-1900_f498056fba.jpg)


