Dentinkaries im bleibenden Zahn
Zusammenfassung
Ziel dieser Literaturübersicht ist, Behandlungsmöglichkeiten beim bleibenden Zahn mit radiologisch fortgeschrittener (pulpanaher) Dentinkaries aufzuzeigen und gegeneinander abzuwägen. Moderne Therapiekonzepte werden hierfür in ihren historischen Kontext gestellt.
Dank adhäsiver Füllungsmaterialien kann heute defektbezogen therapiert werden. In diesem Zusammenhang stellt sich die alte Frage neu, ob Karies komplett exkaviert und damit eine Exposition der Pulpa riskiert werden soll oder ob es nicht vielleicht besser wäre, bewusst Karies zurückzulassen oder gar die Läsion lediglich zu versiegeln.
Auf der einen Seite der klinischen Überlegungen steht der Infekt des Dentins, auf der anderen die Immunantwort in der Pulpa mit den entsprechenden möglichen Komplikationen für den Patienten. Beide Aspekte werden in dieser Arbeit beleuchtet, und biologische Überlegungen sowie vergleichende klinische Studien zu den verschiedenen Interventionsmodalitäten werden diskutiert. Es wird auch untersucht, in welchen Situationen modernere Kalzium-Silikat-Zemente zur Abdeckung der Pulpa-Dentin-Wunde dem Goldstandard Kalziumhydroxid überlegen sein könnten.
Einleitung
Die defektbezogene Kariestherapie hat die restaurative Zahnerhaltung revolutioniert. Dank adhäsiver Materialien können betroffene Zähne unter maximalem Erhalt gesunder Zahnhartsubstanz restauriert werden (Frankenberger & Blunck 2012). Auch bezüglich der Entfernung tief kariöser Zahnhartsubstanz werden weniger invasive Ansätze diskutiert und untersucht. Seit sehr langer Zeit werden verschiedene Exkavationsmethoden vorgeschlagen, um eine Exposition der Pulpa zu verhindern (Tomes 1859, Bonsack 1952).
Allerdings haben sich diese vitalerhaltenden Massnahmen bei tief kariösen Zähnen weder an den Lehrinstitutionen noch in der Privatpraxis wirklich durchgesetzt (Schwendicke et al. 2013b). Die erzielten Erfolgsraten variierten relativ stark (Aguilar & Linsuwanont 2011, Schwendicke et al. 2013a). Demgegenüber hat die komplette Kariesexkavation, wenn die Pulpa nicht eröffnet wird, eine hohe Erfolgschance im Sinne einer bestehen bleibenden Vitalität der Pulpa (Fitzgerald & Heys 1991).
Wird die Pulpa beim Exkavieren eröffnet, dann zeigt eine lege artis durchgeführte, komplette Wurzelkanalbehandlung (Pulpektomie) in Longitudinalstudien stabile Resultate und entzündungsfreie Verhältnisse (Ng et al. 2007). Hier muss allerdings einschränkend hinzugefügt werden, dass Querschnittsstudien aus aller Welt auf eine insuffiziente endodontische Versorgung der Bevölkerung hinweisen (Pak et al. 2012).
Mit der Einführung rotierender Nickel-Titan-Instrumente, neuer Wurzelkanalfüllungsmethoden, des Operationsmikroskops und akkurater elektronischer Längenmessgeräte wurde zwar die Qualität der endodontischen Behandlung verbessert (Dahlström et al. 2011), trotzdem bleibt die Endodontie eines der technisch anspruchsvollsten Teilgebiete der Zahnmedizin. Es scheint wohl auch so zu sein, dass bei Weitem nicht alle Zahnärzte sich entsprechend schulen lassen oder evidenzbasierte Lehrinhalte in der täglichen Praxis anwenden (Dahlström et al. 2015).
Eine Wurzelkanalbehandlung ist komplex, zeitaufwendig und dementsprechend zumindest anfänglich deutlich kostspieliger als eine einfache Füllungstherapie. Rechnet man jedoch die bei vitalerhaltenden Therapien tief kariöser Zähne wie beispielsweise bei der direkten Pulpaüberkappung viel häufiger als bei entsprechenden Wurzelkanalbehandlungen notwendigen Folgetherapien mit ein, könnte die Kosten-Nutzen-Bilanz je nach Kalkulationsmodell und klinischer Ausgangssituation ausgeglichen werden oder sogar zugunsten der primären Pulpektomie ausfallen (Schwendicke & Stolpe 2014).
Dies gilt allerdings grundsätzlich nicht bei jugendlichen Zähnen mit nicht abgeschlossenem Wurzelwachstum, welches möglichst zum Abschluss gebracht werden sollte (Krakow et al. 1977). Als Alternative zur Pulpektomie wird beim Zahn mit einer kariös entzündeten und therapeutisch eröffneten Pulpa die Entfernung der koronalen Pulpa (Pulpotomie) als Definitivbehandlung diskutiert (Simon et al. 2013).
Auch zeigen neuere Studien zur direkten Überkappung mittels eines Kalziumsilikatzements (Portlandzement oder Mineral-Trioxid-Aggregat, MTA) gegenüber der klassischen Technik mittels Kalziumhydroxid verbesserte Resultate (Hilton et al. 2013, Mente et al. 2014). Diese Materialien sind im Gegensatz zu Kalziumhydroxid nicht nur desinfizierend, sondern ermöglichen zusätzlich einen bakteriendichten Verschluss und induzieren eine Kalziumphosphat-Präzipitation in ihrer Umgebung (Torabinejad & Parirokh 2010, Zhang et al. 2009).
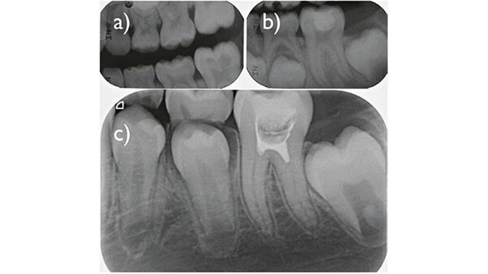
Es ist das Ziel dieser Arbeit, die Behandlungsmöglichkeiten beim bleibenden Zahn mit einer Karies, die radiologisch nahe an den Pulpenraum reicht (Abb. 1), kritisch zu untersuchen und gegeneinander abzuwägen. Insbesondere wurden zwei Parameter analysiert:
1) die Interventionsgrenze der Therapie und
2) der Einfluss des Materials, das auf die Dentin- respektive die Pulpawunde appliziert wird.
Die vorliegende Arbeit gibt einen Überblick über die gängigen Behandlungsmethoden, diskutiert Studien und beleuchtet wissenschaftliche, biologische und klinische Fragestellungen. Insbesondere wird aufgezeigt, welche Aspekte zurzeit noch nicht hinreichend bekannt sind.
Wie bereits in einem systematischen Ansatz erkannt wurde, ist die vorliegende Fragestellung zu komplex, als dass sie mit einem systematischen Review ausgeleuchtet werden könnte (Bergenholtz et al. 2013). Die Fragestellung wurde dementsprechend in der Form einer klassischen Literaturübersicht angegangen. Moderne Therapiekonzepte werden hierbei in ihren historischen Kontext gestellt.
Material und Methoden
Für die vorliegende Literaturübersicht wurde mit folgenden Medical Subject Headings (MeSH) gearbeitet: "Dental Caries", "Dental Pulp", "Dental Pulp Capping", "Dental Pulp Exposure", "Dental Pulp Devitalization", "Dental Pulp Necrosis", "Dental Pulp Test", "Pulp Capping and Pulpectomy Agents", "Pulpotomy". Diese Schlagwörter wurden je nach Fragestellung mit "and" oder "or" verknüpft.
Ergänzend wurde nach folgenden Begriffen gesucht: "Stepwise Excavation" und "Caries Excavation". Hierzu wurde die Medline-Datenbank durchsucht. Artikel in englischer, deutscher und französischer Sprache mit englischem Abstract wurden berücksichtigt. Die Literaturlisten der gefundenen Artikel wurden manuell durchgesehen und auf weitere relevante Arbeiten hin untersucht. Dasselbe wurde mit Textbüchern und Übersichtsartikeln zu diesem Thema gemacht. Es wurde versucht, jedes der folgenden Themen historisch aufzuarbeiten.
Voraussetzung zum möglichen Vitalerhalt der Pulpa
Karies ist die häufigste Erkrankung der Zahnhartsubstanz und eine der am weitesten verbreiteten mikrobiell verursachten Krankheiten überhaupt (Bowen 2015). Mit zunehmender Läsionstiefe steigt das Risiko für pathogene Veränderungen in der Pulpa (Reeves & Stanley 1966).
Die Grundlagen jeglicher minimalinvasiven Therapie in der Kariologie und Endodontologie basieren auf der fundamentalen Beobachtung, dass die Entzündungszustände, die wir behandeln respektive zu verhindern suchen, durch Bakterien verursacht sind (Kakehashi et al. 1965). Dabei ist zu beachten, dass vitales Pulpagewebe nicht infiziert ist. Bakterien sammeln sich in den bereits nekrotisierten Bereichen der Pulpa (Langeland 1987). Dementsprechend werden Zähne, welche histologisch nekrotische und von Bakterien besiedelte Bereiche in der Pulpa aufweisen, als irreversibel pulpitisch bezeichnet (Seltzer et al. 1963, Guthrie et al. 1965).
Diverse Autoren studierten den Zusammenhang zwischen der Bakterien-Eindringtiefe und der pulpalen Beeinträchtigung. Erste Entzündungszeichen konnten sogar schon bei einer reinen Schmelzläsion nachgewiesen werden (Brännström & Lind 1965), doch so lange die Karies nicht bis zur Hälfte der Dentindicke vorgedrungen ist, sind meist keine signifikanten Pulpaveränderungen festzustellen. Bis zu einer intakten Restdentindicke von 0,5 mm gilt die darunterliegende Pulpa als noch nicht infiziert (Reeves & Stanley 1966, Langeland 1987).
Eine markante Zunahme von pathologischen Veränderungen ist erst erkennbar, wenn die Mikroorganismen bis ins Tertiärdentin vordringen (Reeves & Stanley 1966). Unter tiefen kariösen Läsionen kann sich in der Pulpa ein chronisches Entzündungsexsudat mit Lymphozyten, Makrophagen und Plasmazellen befinden (Björndal & Mjör 2001). Diese Pulpitis ist nicht unbedingt mit Schmerzen verbunden (Seltzer et al. 1965). Alternativ dazu kann die Pulpa bereits infizierte, durch neutrophile Granulozyten bedingte Gewebseinschmelzungen aufweisen (Guthrie et al. 1965, Langeland 1987).
Es scheint so zu sein, dass die Entzündungsreaktionen in der Pulpa durch die Zusammensetzung der Mikrobiota (früher: Flora) in der Karies bestimmt sind (Hahn et al. 1991, Hahn & Liewehr 2007). Dieser essenzielle Punkt wird aber in der Regel übersehen. Es gibt zurzeit keine diagnostischen Verfahren, die die mikrobielle Zusammensetzung des Dentininfekts aufzeigen könnten. Gängige Detektionsmethoden, die den Infekt im Dentin illustrieren, sind unspezifisch und unterscheiden nicht zwischen verschiedenen Bakterienarten (Lennon et al. 2006).
In der Diskussion um Sinn und Unsinn einer kompletten Kariesexkavation sind auch etablierte Autoren teilweise einem Trugschluss erlegen. Es wurde davon ausgegangen, dass bei der Progredienz einer Kariesläsion vor allem der Biofilm, der der Läsion aufliegt beziehungsweise in äußeren Anteilen der Läsion vorhanden ist, eine Rolle spiele und zu entfernen sei und es somit grundsätzlich unnötig wäre, infiziertes, demineralisiertes Dentin zu entfernen (Kidd 2004).
Dabei wird aber außer Acht gelassen, dass die Pulpa in Kariesnähe lokal irreversibel geschädigt sein und sich somit über die Dentintubuli infizieren könnte. Diese Situation wiederum führt wohl unausweichlich zu einer Nekrose der gesamten Pulpa und zu apikaler Parodontitis (Langeland 1987).
Zentral für ein Überleben der Pulpa ist also nicht nur der Infektionsgrad des Dentins, sondern in mindestens so starkem Ausmaß der zum Zeitpunkt der Intervention bestehende Schädigungsgrad der Pulpa (Tronstad & Mjör 1972).
Mikroorganismen nisten sich in nekrotischen Anteilen des Pulpagewebes ein und lösen somit die weitere Nekrotisierung derselben via die unspezifische Immunantwort aus. Dies geschieht über die Chemotaxis (molekulare Anlockung) von neutrophilen Granulozyten, welche gewebseinschmelzende Enzyme produzieren und somit Mikroabszesse verursachen (Wahlgren et al. 2002).
Diagnostik bei fortgeschrittenen Dentinläsionen
Die klinische Diagnose "reversible Pulpitis" erfolgt unter der Annahme, dass sich eine Pulpa von einem bestehenden Reiz nach dessen Entfernung wieder erholen kann (Warfvinge & Bergenholtz 1986, Glickman 2009). Bei einer "irreversibel" geschädigten Pulpa sind die Chancen für eine Normalisierung des Gewebes allein durch Entfernung des Reizes klein. In den meisten Fällen braucht es hier eine Teil- oder Totalexzision der betroffenen Pulpaanteile.
Es sollte allerdings klar sein, dass Studien, die das histologische Bild einer Zahnpulpa mit deren Überlebenschancen nach Vitaltherapie vergleichen, aus methodischen Gründen unmöglich sind. Dementsprechend sind alle Studien, welche Pulpitiden aufgrund ihres histologischen Bildes in reversibel und irreversibel eingeteilt haben, bis zu einem gewissen Grade fragwürdig. Noch fragwürdiger ist es, Pulpitiden aufgrund ihrer klinischen Präsentation in reversibel oder irreversibel zu unterteilen, denn hierzu fehlen ausreichende diagnostischen Grundlagen (Marending Soltermann 2014).
Bereits ältere Studien haben gezeigt, dass eine Korrelation zwischen klinischer und histologischer Pulpadiagnose sehr eingeschränkt ist (Baume 1970, Seltzer et al. 1963, Johnson et al. 1970, Garfunkel et al. 1973, Dummer et al. 1980). Dies gilt besonders für Zähne, die nicht spontan schmerzen. Die Begriffe "irreversible", aber vor allem "reversible Pulpitis" sind daher nicht wirklich fundiert.
Bezüglich der Diagnose "irreversible Pulpitis" zeigten Ricucci und Mitarbeiter in einer kürzlich erschienen Arbeit, dass bei Verwendung definierter Kriterien sehr wohl eine Übereinstimmung zwischen der klinischen und der histologischen Diagnose bestehen kann(Ricucci et al. 2014). Spontanschmerz war hier das Leitsymptom: Wenn ein tief kariöser Zahn spontan und dauernd schmerzte, war auch die Pulpa in 27 von 32 Fällen derart entzündet, dass ein Vitalerhalt ohne zumindest der Entfernung der koronalen Pulpa (Pulpotomie, Abb. 1) unwahrscheinlich bis unmöglich schien. Diese Studie scheint klar darauf hinzuweisen, dass tief kariöse Zähne mit Spontanschmerzen endodontisch behandelt werden müssen.
Was die Studie allerdings offenlässt, ist die Frage nach den entsprechenden Zähnen, welche nicht schmerzten. Diese Kontrollgruppe war nämlich ungünstig gewählt, indem gesunde und nur schwach kariöse Zähne darin einflossen. Retrospektive Studien an Zähnen mit apikaler Parodontitis zeigen, dass fast die Hälfte der betroffenen Zähne nie schmerzten, die irreversible Pulpitis also vom Patienten mehr oder weniger unbemerkt verlief (Michaelson & Holland 2002).
Exkavationskonzepte
In der Literatur finden sich verschiedene minimalinvasive Techniken, die hier besprochen werden sollen. Die übergeordneten Ziele sind das Aufhalten der Kariesprogression und die (Teil-)Vitalerhaltung der Pulpa. Die Terminologie ist nicht standardisiert, und es gibt in den Studien teilweise beträchtliche Unterschiede, was den Grad der Kariesentfernung betrifft.
Trotzdem lassen sich drei unterschiedliche Konzepte abgrenzen (Abb. 1):
1) Kariesversiegelungsmethode:
Karies wird nur im Schmelz entfernt, die Dentinkaries wird belassen (Jeronimus et al. 1975, Handelman et al. 1976).
2) Partielle Kariesentfernung:
Pulpanah wird Restkaries belassen. Hierbei gibt es grundsätzlich zwei beschriebene Vorgehensweisen:
- schrittweise Kariesexkavation:
Restkaries wird chemisch behandelt und nach einer provisorischen Füllungsphase von ein paar Monaten komplett exkaviert (Bodecker 1938, Sowden1956);
- indirekte Überkappung mit direkt anschließender definitiver Restauration:
Restkaries wird chemisch behandelt und dann wird direkt definitiv versorgt (Gruythuysen et al. 2010, Maltz et al. 2012).
Zwischen dem Exkavieren bis auf hartes Dentin und einem bewussten Zurücklassen von kariösem Dentin gibt es auch noch weitere Exkavationskonzepte, die das Dentin weniger aggressiv abtragen als die klassische Methode mittels Rosenbohrer. Zu nennen wären hier die Verwendung von nicht-metallischen Bohrern für die Exkavation (Boston 2003) oder die chemische Behandlung der Karies gefolgt von einer Exkavation mit Handinstrumenten (Schutzbank et al. 1978, Ericson et al. 1999).
Bezüglich der Anzahl kultivierbarer Bakterien, die nach diesen Methoden zurückbleiben, unterscheiden sich diese nur wenig bis gar nicht vom bewussten Zurücklassen von Karies nahe der Pulpa (Schwendicke et al. 2015). Auf diese Konzepte wird in diesem Text dementsprechend nicht speziell eingegangen. Ebenfalls nicht weiter besprochen werden die sogenannte Hall- und die ART(Atraumatic Restorative Treatment)-Technik.
Bei der Hall-Technik, welche um die Jahrtausendwende bei Milchzähnen eingeführt und später auch an bleibenden Zähnen eingesetzt wurde,- wird die Schmelz- und Dentinkaries vollständig stehen gelassen und lediglich durch eine Stahlkrone abgedeckt (Innes et al. 2006). Bei der ART-Technik, welche in den 80ern in Tansania für ländliche Gebiete in der Dritten Welt für Community Oral Health Workers (COHWs) entwickelt wurde, wird die kariöse Läsion nur mit Handinstrumenten gesäubert und mit einem Füllungsmaterial wie etwa Glasionomerzement gefüllt (Bresciani 2006). In die Studien zur Kariesversiegelung und zur Hall-Technik wurden nur kariöse Läsionen, die bis maximal die Hälfte der Dentinschicht betrafen, mit eingeschlossen.
3) Komplette Kariesentfernung:
Bei dieser traditionellen Methode wird das erweichte Dentin komplett entfernt. Falls die Pulpa dabei eröffnet wird, gibt es drei Möglichkeiten, diese ganz oder partiell vital zu erhalten:
- direkte Überkappung (Glass & Zander 1949, Castagnola & Orlay 1950);
- partielle Pulpotomie (Cvek 1978);
- volle Pulpotomie, auch bezeichnet als Pulpenkammer-Pulpotomie (Zander 1939).
Bei allen Verfahren wird die Kavität schlussendlich mit einer permanenten Restauration versorgt, welche einen guten peripheren Verschluss gewährleistet und den Mikroorganismen den weiteren Zugang zu Substrat aus der Mundhöhle entzieht.
Bei den verschiedenen Exkavationskonzepten gilt es einiges zu bedenken: Präoperativ sowie auch noch während der Kariesexkavation ist es schwierig, einzuschätzen, ob es bei einer kompletten Kariesentfernung - sei es in einem oder in mehreren Schritten - zu einer Pulpaeröffnung kommen wird. Es ist nicht bekannt, wie viel Tertiärdentin allenfalls gebildet wurde respektive wie dick das Restdentin nach vollständiger Exkavation sein wird. Schließlich ist bei einer partiellen Kariesexkavation auch nicht klar, wie viel infiziertes Dentin zurückgelassen wird (Bergenholtz & Spångberg 2004). Diese Überlegungen sollen in den folgenden Kapiteln vertieft werden.
1) Kariesversiegelung
In den 70ern des letzten Jahrhunderts wurde die Notwendigkeit einer Kariesexkavation komplett infrage gestellt. Diverse Autoren konnten in prospektiven Studien aufzeigen, dass die Kariesaktivität unter versiegelten Läsionen gestoppt werden konnte, indem den Mikroorganismen im Dentin die Zufuhr von Nährstoffen verwehrt wurde (Jeronimus et al. 1975, Handelman et al. 1976, Mertz-Fairhurst et al. 1979, Jensen & Handelman 1980, Handelman et al. 1981).
Einerseits nahmen die klinisch und radiologisch gemessenen Läsionstiefen innerhalb der Beobachtungszeiten von zwei Wochen bis fünf Jahren ab, und andererseits reduzierte sich die Anzahl vorhandener Mikroorganismen stark, oder es konnten gar keine Keime mehr nachgewiesen werden, wenn die Versiegelung dicht blieb. Mertz-Fairhurst und Mitarbeiter zeigten in ihrer prospektiv angelegten Langzeitstudie über zehn Jahre mit einem 4-Zellen-Studiendesign, dass mit Komposit versiegelte okklusale Dentinkaries weniger Misserfolge (Sekundärkaries und Randimperfektionen) aufwies als unversiegelte konventionelle Amalgamrestaurationen, bei denen komplett exkaviert wurde (Mertz-Fairhurst et al. 1998).
Signifikant besser als diese beiden Gruppen haben, über die zehn Jahre, aber versiegelte Amalgamrestaurationen nach kompletter Exkavation abgeschnitten. Während in dieser Studie die Schmelzkaries entfernt und die Dentinkaries in den entsprechenden Untersuchungsgruppen komplett zurückgelassen wurde, wurde in den zuvor erwähnten Studien die Schmelzkaries in der Regel nicht entfernt, sondern nur geätzt.
Aufgrund von methodischen Unterschieden lassen diese Studien somit keinen direkten Vergleich zu. In sämtlichen Arbeiten zur Kariesversiegelung wurden nur kariöse Läsionen, die bis maximal die Hälfte der Dentinschicht betrafen, mit eingeschlossen. Ob sich dieses Konzept also für radiologisch pulpanahe Läsionen eignet, ist mehr als fraglich. Mikrobiologisch betrachtet wäre einem solchen Vorgehen entgegenzuhalten, dass sich in tieferen Schichten einer Dentinläsion viele asaccharolytische Keime befinden (Hahn et al. 1991), welche auch ohne Zufuhr exogener Nährstoffe überleben können, beispielsweise über die Metabolisierung von Peptiden aus dem Dentinliquor.
Weerheijm und Mitarbeiter konnten in einer retrospektiven Studie unter 50 % von intakt versiegelten Läsionen noch kariogene Mikroorganismen finden (Weerheijm et al. 1992). Mikroorganismen scheinen in der tiefen Karies zu persistieren, während sie in seichten Läsionen nach Versiegelung oft bis unter die Nachweisgrenze abnehmen (Jeronimus et al. 1975). Ein weiteres Problem bei der partiellen Kariesentfernung ist, dass bei einem Zahnarztwechsel die bestehende Restauration als insuffizient eingestuft und durch eine neue ersetzt wird (Bakhshandeh et al. 2012).
Schwendicke und Mitarbeiter haben in einer 2014 erschienenen In-vitro-Untersuchung verschiedene Substanzen zur Markierung von kariösem Dentin getestet. Eine Unterscheidung von inaktiven und progredierenden Läsionen soll dadurch bei einer radiologischen Kontrolluntersuchung möglich werden. Allerdings sind hierzu noch weitere, auch klinische Untersuchungen nötig, um die Effektivität dieses Konzepts nachzuweisen (Schwendicke et al. 2014).
In den zum Thema Versiegelung durchgeführten Studien wurden jeweils nur Klasse-I-Läsionen mit eingeschlossen. Aus Studien mit partieller Kariesentfernung ist bekannt, dass mehrflächige Läsionen schlechtere Langzeitresultate erzielen als Klasse-I-Läsionen (siehe weiter unten). Approximalläsionen sind beim Erwachsenen aber deutlich häufiger vorzufinden als rein okklusale Defekte (Varrela 1991, Menghini et al. 2010).
Läsionen im Seitenzahnbereich, die radiologisch bis ins mittlere Dentin reichen, sind zu 100 % eingebrochen (Pitts & Rimmer 1992). Bei eingebrochenen Läsionen im Approximalbereich sind Versiegelungen nicht mehr indiziert. Dementsprechend fallen momentan propagierte Methoden zur interproximalen Kariesinfiltration (Phark et al. 2009) nicht in den Themenbereich der vorliegenden Arbeit.
2) Partielle Kariesentfernung
Bereits John Tomes schrieb im Jahre 1859 in seinem Lehrbuch, man solle besser verfärbtes Dentin über der Pulpa belassen, als zu riskieren, den Zahn zu verlieren (Tomes 1859).
Wie einem Artikel von Bonsack über "le coiffage naturel ou indirect" in der Schweizerischen Monatsschrift für Zahnheilkunde aus dem Jahre 1952 zu entnehmen ist (Bonsack 1952), gab es schon früher hitzige Diskussionen zwischen Befürwortern und Gegnern des beabsichtigten Belassens von Restkaries. Der Autor empfahl bei Zähnen mit fortgeschrittenen Dentinläsionen, eine dünne Schicht Karies in unmittelbarer Nähe der Pulpa zu belassen, um die Vitalität der Pulpa nicht zu gefährden. In der Peripherie der Kavität sei aber die vollständige Exkavation wichtig, um einen dichten Verschluss zu erreichen. So werde die Progression der Karies gestoppt, auch wenn nicht alle Bakterien entfernt würden. Das Konzept des schrittweisen Exkavationsverfahrens wurde, wie übrigens fast alle minimalinvasiven Exkavationsmethoden, zunächst nur für Milchzähne beschrieben (Bodecker 1938).
Sowden berichtete später über dessen Anwendung nicht nur bei Milch-, sondern auch bei bleibenden Zähnen mit tiefer Dentinkaries (Sowden 1956). Über einen Zeitraum von sieben Jahren behandelte er rund 4.000 asymptomatische Zähne (Milch- und bleibende Zähne, Patienten 2- bis 79-jährig). Die in der ersten Sitzung nur partiell exkavierten Läsionen wurden mit einer 1 mm dicken Kalziumhydroxidschicht abgedeckt und mit einer nicht kompaktierten Amalgamfüllung temporär verschlossen.
Zwei bis drei Wochen später erfolgte die vollständige Exkavation und definitive Versorgung des Zahns mit konventionellem Amalgam. Bei der radiologischen und der klinischen Nachuntersuchung wurde eine von der Pulpa ausgehende Rekalzifizierung der zurückgelassenen Karies festgestellt (Sowden 1956). Law & Lewis führten dieselbe Methodik bei Milch- und jungen bleibenden Zähnen durch (Law & Lewis 1961). Die vollständige Exkavation erfolgte aber erst nach sechs Monaten. Radiologische Nachkontrollen wurden in verschiedenen Zeitintervallen durchgeführt und mit dem postoperativen Bild verglichen. In fast allen Fällen zeigte sich nach sieben Tagen eine radioopake Abgrenzung auf der pulpalen Seite der zurückgelassenen Karies.
Nach zwei Jahren Beobachtungszeit konnte eine Erfolgsrate von 76 % gezeigt werden (keine Pulpaexposition bei vollständiger Exkavation und normale klinische und radiologische Verhältnisse). Als Ursache für den Misserfolg von 14 Zähnen wurde einerseits eine anfänglich nicht-diagnostizierte irreversible Pulpitis und andererseits der Verlust von intermediären, nicht kompaktierten Amalgamfüllungen genannt (Law & Lewis 1961).
Verschiedene andere In-vivo-Studien berichteten in den 60er-Jahren über die Remineralisationsmöglichkeit von kariösem Dentin (Ehrenreich 1968, Kerkhove et al. 1967) und bestätigten, dass eine komplette Kariesexkavation nicht eine unbedingte Voraussetzung darstellt, um die Progression des Hartgewebsinfekts zu stoppen. Das Belassen von tiefer Karies wurde aber auch von mehreren prominenten Autoren heftig kritisiert, weil weder die Läsionstiefe noch der Entzündungszustand der Pulpa präoperativ adäquat beurteilt werden kann (Langeland 1981, Bergenholtz & Spångberg 2004).
Schrittweise Exkavation oder sofort definitive Versorgung?
Im Zusammenhang mit der partiellen Kariesexkavation drängt sich die Frage nach dem Sinn eines zweizeitigen Vorgehens mit einer provisorischen Zwischenphase auf. Wenn sich pulpanahe Restkaries tatsächlich arretieren lässt, dann scheint es nicht unbedingt nötig zu sein, ein zweites Mal zu exkavieren (Kidd 2004, Ricketts et al. 2006, Björndal 2013).
Darüber, ob eine Reintervention im Sinne einer schrittweisen Exkavationstechnik überhaupt notwendig ist, sind sich weder Forscher noch Kliniker einig. Es ist schwierig, zu sagen, welches Behandlungsverfahren das bessere ist, da randomisierte klinische Studien von hoher Qualität fehlen (Ricketts et al. 2013, Schwendicke et al. 2013a).
Die schrittweise komplette Exkavation in zwei (oder mehreren) Sitzungen hat folgende Vorteile: Bei der Reintervention kann zum einen das demineralisierte Dentin visuell und taktil erneut beurteilt werden, und zum anderen ist die vollständige Exkavation dann sicherer, da trockenes kariöses Dentin einfacher zu entfernen ist und in der Zwischenzeit die Restdentindicke durch Tertiärdentin vergrößert wurde. Außerdem können allfällige Veränderungen der Pulpareizleitung festgestellt und die Reaktion des Zahns überprüft werden.
Die Befürworter der partiellen Exkavation mit sofortiger definitiver Versorgung kritisieren allerdings, dass viele Patienten zum zweiten Termin nicht erscheinen und der Zahn wegen Verlust/Teilverlust der intermediären koronalen Versorgung dann einen Misserfolg erleidet (Maltz et al. 2012).
Jüngere Studien zeigen, dass Zähne, die mittels partieller Kariesexkavation, indirekter Pulpaüberkappung und direkt anschließender definitiver Versorgung während Jahren beschwerdefrei und ohne radiologische Anzeichen von Pathologie bleiben können (Maltz et al. 2012).
Diese Behandlungsmethode ist, wenn sie funktioniert, einfacher, patientenfreundlicher und günstiger als eine nach Komplettexkavation allfällig notwendige Wurzelkanalbehandlung, und durch die kürzere Behandlungszeit werden die Unannehmlichkeiten vor allem für wenig kooperierende, junge Patienten limitiert (Gruythuysen et al. 2010). Es bleibt jedoch unklar, ob ein Zurücklassen von Karies zu einer positiven oder negativen Entwicklung der Gesamtsituation führt. Weniger Pulpaexpositionen und postoperative Symptome stehen hier technischen Misserfolgen und möglicher, nicht aufgehaltener langfristiger Kariesprogression gegenüber.
In einer randomisierten 2-Zenter-Studie wurde die partielle Kariesentfernung mit direkt definitiver Versorgung mit der schrittweisen Exkavation verglichen und nach drei Jahren klinisch und radiologisch nachuntersucht (Maltz et al. 2012). Die Erfolgsrate (positiver Kältetest, keine Spontanschmerzen, keine Klopfempfindlichkeit und keine periapikale Aufhellung) betrug bei der partiellen Kariesexkavation 91 % (5 Misserfolge) und bei der schrittweisen Exkavation 69 % (21 Misserfolge). Von den 147 Zähnen in der Gruppe mit der schrittweisen Exkavation standen 46 im zweiten Termin nicht zur Verfügung. Diese Zähne hatten eine signifikant schlechtere Erfolgsrate als die Zähne mit vollendeter Behandlung (13 % versus 88%).
Dies bedeutet, dass die schrittweise Exkavation nach drei Jahren dieselben Erfolgsraten liefert wie die partielle Kariesexkavation, sofern die Patienten auch zum zweiten Termin (vollständige Exkavation und definitive Restauration) erscheinen. Misserfolge sind hauptsächlich undicht gewordenen provisorischen Füllungen geschuldet, so dass dieses Kriterium einer gründlichen Abwägung bedarf. Einflächig restaurierte Zähne zeigten hierbei deutlich bessere Ergebnisse als mehrflächig restaurierte, was auch in früheren Studien zur schrittweisen Kariesexkavation bei tiefer Dentinkaries bereits beobachtet wurde (Maltz et al. 2011).
Materialtechnische Aspekte
Eine systematische Übersichtsarbeit wies darauf hin, dass das Unterfüllungsmaterial keinen Einfluss auf den Einhalt der Kariesprogression hat (Miyashita et al. 2007). Demgegenüber steht eine klassische Studie zur Behandlung der Dentinkavität mit Kalziumhydroxid (Eidelman et al. 1965). Hier wurde bei Zähnen mit fortgeschrittener Dentinkaries anfangs nur die eine Hälfte der Karies von der pulpalen Wand komplett entfernt (split-tooth-design). Sowohl der komplett exkavierte Anteil wie auch die Restkaries wurden mit Kalziumhydroxid abgedeckt und der Zahn mit Amalgam versorgt.
Die Zähne wurden nach zwei, vier, sechs, acht oder zwölf Wochen wieder eröffnet und die andere Hälfte komplett exkaviert. Die kariösen Dentinspäne bei der ersten und der zweiten Exkavation wurden gesammelt und auf deren Phosphorgehalt als Index für den Remineralisationsgrad getestet. Die Phosphorkonzentration nahm während der Behandlung mit Kalziumhydroxid signifikant zu. Zwischen dem Behandlungsintervall und der Zunahme der Phosphorkonzentration konnte allerdings kein Zusammenhang aufgezeigt werden.
Fast alle Zähne zeigten radiologisch eine pulpa-nahe radioopake Zone. Die Zähne der Kontrollgruppe, welche anstelle von Kalziumhydroxid mit Wachs intermediär abgedeckt wurden, zeigten weder eine Zunahme in der Phosphorkonzentration noch eine Sklerosierungszone bei der radiologischen Kontrolle. Diese Studie scheint darauf hinzuweisen, dass nicht nur das Abdichten des infizierten Restdentins, sondern auch dessen Desinfektion eine Rolle bei der Remineralisation der belassenen Karies spielen kann.
Dies wurde in einer ähnlich angelegten Studie an 40 bleibenden Zähnen mit tiefer Karies bestätigt (Leung et al. 1980). Nicht-komplett exkaviertes Dentin wurde dabei vor und nach einer indirekten Überkappung mit Dycal (Dentsply Tulsa Dental Specialties) auf die Anwesenheit kultivierbarer Bakterien hin untersucht. Als Kontrolle diente ebenfalls eine indirekte Überkappung mit Wachs. Unter dem Kalziumhydroxidpräparat kam es nach vier Wochen zu einer Bakterienreduktion von 1.5 log 10-Stufen (das heißt über 90 %), unter Wachs gab es keine Reduktion.
Es wurde später auch gezeigt, dass antimikrobielle Substanzen, wie beispielsweise Glutaraldehyd, die Desinfektion unter Kompositrestaurationen verbessern können (Felton et al. 1989). Glutaraldehyd ist Bestandteil von gewissen älteren Dentin-Bonding-Systemen, welche zumindest in vitro neueren Systemen ohne Glutaraldehyd bezüglich der Desinfektion von Dentintubuli überlegen sind (Schmidlin et al. 2004). Obwohl die Toxizität durch die Bindefähigkeit des Glutaraldehyds an Kollagen infolge Quervernetzung reduziert wird, bleibt es doch eine potenziell pulpatoxische Substanz (Zielinski 2010).
Ob das Inkorporieren von Desinfektionsmitteln in Bonding-Systeme allerdings notwendig ist oder ob die Kavität vor dem Einbringen nicht einfach besser mit einem herkömmlichen wässrigen Desinfektionsmittel gereinigt werden soll, ist fraglich. In einer kürzlich erschienenen randomisierten klinischen Studie (Hashem et al. 2015) wurden stark kariöse Zähne (mindestens ¾ der Dentinschicht penetrierend) entweder mit einem Kalziumsilikatzement (Biodentine; Septodont) oder einem Glasionomerzement (Fuji IX; GC) indirekt überkappt. Pulpanah wurde Restkaries belassen. Klinisch wurde bei allen Zähnen eine reversible Pulpitis diagnostiziert, allerdings variierte die Intensität der Symptome von mild bis stark. Die periapikale Situation wurde vor und zwölf Monate nach indirekter Überkappung mittels Einzelzahnröntgen und DVT radiologisch untersucht.
Die klinischen Erfolgsraten der beiden Materialien unterschieden sich nicht (83 %). Hingegen zeigten die Zähne, welche mit Biodentine überkappt wurden, dreidimensional-radiologisch bessere Erfolgsraten. In der Glasionomerzement-Gruppe kam es häufiger zu einer Neuentwicklung von periapikalen Läsionen als in der Kalziumsilikatzement-Gruppe, allerdings waren die Zähne mit milden respektive schweren Symptomen nicht gleichmäßig auf die beiden Gruppen verteilt. Insgesamt kam es bei 18 % der Zähne zu einer Pulpanekrose (Hashem et al. 2015).
Adhäsion an kariöses Dentin
Die adhäsiven Haftkräfte nehmen mit zunehmendem Kariesgrad ab. Die beim infizierten Dentin gebildete Hybridschicht (30–60 μm) reichte um ein Vielfaches tiefer als beim demineralisierten Dentin (6–8 μm) und beim normalen Dentin (< 1 μm) (Yoshiyama et al. 2003).
In einer Studie von Maltz und Mitarbeitern kam es in fünf von zwölf Zähnen mit mehrflächigen Restaurationen nach partieller Kariesexkavation zu einer Zahn- oder Restaurationsfraktur (Maltz et al. 2011). In einer In-vitro-Studie zeigten auch Zähne mit einflächigen okklusalen Restaurationen nach partieller Kariesexkavation signifikant reduzierte Frakturfestigkeit (Hevinga et al. 2010).
Diese Daten weisen darauf hin, dass man bei partieller Exkavation und anschließender adhäsiver Versorgung nur eine möglichst geringe kariöse Dentinfläche nahe der Pulpa stehen lassen und indirekt überkappen soll, um die Stabilität des restaurierten Zahns nicht zu kompromittieren.
3) Komplette Kariesentfernung
Die Wahrscheinlichkeit, dass die Pulpa bei einer einzeitigen kompletten Kariesentfernung eröffnet wird, ist signifikant größer als bei einem schrittweisen Vorgehen mit abschließend kompletter Kariesexkavation (Leksell et al. 1996, Björndal et al. 2010).
In der randomisierten Multizenterstudie von Björndal und Mitarbeitern an Zähnen mit Karies, die radiologisch bis ins innere Viertel des Dentins von adulten Zähnen mit abgeschlossenem Wurzelwachstum reichte, kam es bei einer einzeitigen kompletten Kariesentfernung in 28,9 % und bei der schrittweisen Exkavation in 17,5 % zu einer Eröffnung des Pulpenraums.
Dabei wird spekuliert, dass das Verlagern und Einbringen von kariösem Material in die Pulpa bei kompletter Exkavation mit Eröffnung der Pulpa einen schlechten Einfluss auf deren Überlebenswahrscheinlichkeit hat (Björndal et al. 2010). Dieser Punkt wird als Hauptargument von den Befürwortern der partiellen Kariesexkavation angeführt. Musste die Pulpa in der Björndal-Studie direkt überkappt werden, dann überlebte sie das erste Jahr in über 65 % der Fälle nicht. Bei den Zähnen in dieser Untersuchung, im Gegensatz zu einer viel zitierten älteren Studien zum Thema (Leksell et al. 1996), welche höhere Erfolgsraten zeigte, waren die Patienten erwachsen und somit das Wurzelwachstum abgeschlossen.
Zudem wurden in der Björndal-Studie Zähne mit milden bis moderaten präoperativen Schmerzen eingeschlossen (Ausschlusskriterien: Zähne mit anhaltenden unerträglichen Schmerzen, den Schlaf störende Schmerzen), was die hohe Misserfolgszahl erklären könnte. Diese Zähne hatten dann auch eine signifikant geringere Erfolgsrate als schmerzfreie Zähne. Das Risiko für eine Pulpaexposition war bei Zähnen mit milden bis moderaten präoperativen Schmerzen selbst bei schrittweiser Exkavation erhöht (Björndalet al. 2010).
Präoperative Schmerzen sind deshalb als starkes diagnostisches respektive prognostisches Kriterium zu sehen, was wiederum oben erwähnte histologische Beobachtungen bestätigt (Ricucci et al. 2014). Bezüglich Diagnostik kann die komplette Kariesexkavation hier einen klaren Vorteil gegenüber dem Belassen tiefer Restkaries bieten. Eröffnet man die Pulpa bei Komplettexkavation nicht, so kann man mit ziemlich hoher Wahrscheinlichkeit davon ausgehen, dass sie zumindest über ein Jahr vital bleibt (Fitzgerald & Heys 1991, Björndal et al.2010).
Eröffnet man die Pulpa, dann kann man zusätzlich wichtige Informationen erhalten. Es kommt klinisch immer wieder vor, dass anstatt Blut ein Eitertropfen aus dem unter dem kariösen Dentin eröffneten Pulpenraum quillt, was als sicheres Zeichen zu werten ist, dass man diesen Zahn endodontisch behandeln muss. Das Ausmaß der Blutung selbst lässt auch Schlüsse auf den Entzündungszustand der Pulpa zu.
In einer japanischen Studie über die direkte Pulpaüberkappung nach kompletter Kariesexkavation mittels Kalziumhydroxid wurde geschaut, wie stark es aus dem Pulpenraum blutete (Matsuo et al. 1996). Blutete es nur leicht, so waren 31 von 37 Behandlungen erolgreich (Nachuntersuchung im Zeitraum von 3 bis 36 Monaten). Blutete es allerdings stark, also so, dass das Blut approximal aus der Kavität herausquoll, so waren nur noch fünf von neun Behandlungen von Erfolg gekrönt.
Direkte Überkappung
Kommt es nach kompletter Kariesexkavation zur Eröffnung des Pulpenraums, so ist die minimalinvasivste Behandlung die direkte Pulpaüberkappung. Die publizierten Resultate zu den Erfolgsaussichten dieser Behandlung variieren stark. Das hat grundsätzlich einmal mit der Heterogenität der Studien bezüglich der Einschlusskriterien für die zu überkappenden Zähne zu tun. In zweiter Linie hängt der Erfolg auch von der klinischen Vorgehensweise und vom technischen Können der Behandler ab. Trotzdem sind verschiedene Faktoren benennbar, die eine zentrale Rolle zu spielen scheinen.
Damit das beachtliche Heilungs- und Reparaturvermögen der Pulpa-Dentin-Einheit nicht gestört wird, ist die Abwesenheit von Bakterien der wohl wichtigste Faktor (Kakehashi et al. 1965, Bergenholtz et al. 1982, Cox et al. 1982). Das zeigt sich beispielsweise in der Tatsache, dass direkte Überkappungen bei Zähnen mit bis in den Pulpenraum reichender Karies eine viel niedrigere Erfolgsaussicht haben als solche, bei denen die Pulpa "akzidentell", also im harten Dentin, eröffnet wurde (Al-Hiyasat et al. 2006).
Daneben spielt natürlich auch der zum Zeitpunkt der Überkappung bestehende Entzündungszustand der Pulpa eine zentrale Rolle. Wie oben erwähnt ist der Grad der Bakterienpenetration direkt mit dem Entzündungszustand korreliert (Reeves & Stanley 1966). Nyborg schlussfolgerte bereits in den Fünfzigerjahren des letzten Jahrhunderts aus seinen Fällen, dass symptomfreie direkt überkappte Zähne klinisch zwar eine relativ gute Erfolgsrate zeigten (86 %), die allerdings bei der histologischen Untersuchung auf 62 % relativiert wurde. Zähne mit präoperativen Symptomen hatten auch klinisch eine geringe Erfolgsaussicht (46 %) (Nyborg 1958).
Später wurden Erfolgsraten von 80 bis 90 % nach mindestens vier Jahren erreicht, wenn die Methode nur bei beschwerdefreien Zähnen mit akzidentell eröffneten Pulpen, also nicht bei penetrierender Karies, angewendet wurde (Haskell et al. 1978, Baume & Holz 1981, Hörsted et al. 1985, Al-Hiyasat et al. 2006).
Ernüchternder waren die Resultate einer Untersuchung, die im klinischen Studentenkurs mit Kalziumhydroxid nach Kariesexkavation und einer Pulpaeröffnung von weniger als 1 mm2 direkt überkappte, anfänglich symptomlose Zähne über zehn Jahre verfolgte: Die jährliche Misserfolgsrate nahm über die Zeit nicht ab. Nach fünf Jahren waren noch 37 % der direkt überkappten Pulpen vital, nach zehn Jahren lediglich noch 13 % (Barthel et al. 2000).
Jugendliche Zähne mit noch nicht vollständig geschlossenem Apex zeigten bei einer direkten Überkappung mit Kalziumhydroxid nach sieben Jahren bessere Erfolgschancen als ausgereifte Zähne (Auschill et al. 2003). Die bessere Vaskularisation bei diesen Zähnen unterstützt wohl die Immunabwehr und die Reparaturmöglichkeiten der Pulpa.
Alle oben erwähnten Studien wurden mit einem Kalziumhydroxidpräparat zur direkten Pulpenüberkappung durchgeführt. Es bleibt die Frage, ob neuere Materialien einen besseren Erfolg bringen könnten.
Materialtechnische Aspekte
Kalziumhydroxid wurde von Hermann in die Zahnheilkunde eingeführt, und zwar zum Desinfizieren und Füllen von Wurzelkanälen (Hermann 1920). In der Folge wurden verschiedene kalziumhydroxidhaltige Suspensionen entwickelt und vermarktet, zunächst in Deutschland und dann, als deutsche Produkte während des Zweiten Weltkriegs nicht mehr zugänglich waren, auch in anderen Ländern wie der Schweiz, Frankreich und den USA (Castagnola & Orlay 1950).
In ihrer klassischen Studie an gesunden Prämolaren, die aus orthodontischen Gründen gezogen wurden, zeigten Glass & Zander, dass sich nach direkter Überkappung mit Kalziumhydroxid eine Dentinbrücke bildet, wohingegen nach derselben Intervention mit Zinkoxid-Eugenol die Pulpawunde nicht heilte (Glass & Zander 1949).
Diese Beobachtungen hatten zur Folge, dass das Konzept der direkten Überkappung mittels Kalziumhydroxid auch bei kleinen Eröffnungen der Pulpa nach Kariesexkavation zur Anwendung kam (Castagnola & Orlay 1950). Ziel der direkten Überkappung wäre eine vollständige Dentinbrückenbildung ohne oder mit nur geringer Entzündungsreaktion des angrenzenden Pulpagewebes.
Die reparative Dentinbrückenbildung mittels Kalziumhydroxidpräparaten nach akzidenteller, trauma- und kariesbedingter Pulpaeröffnung wurde von verschiedenen Autoren untersucht. Die Applikation von Kalziumhydroxid führt zu einer lokalen Gewebsnekrose und nicht immer zu einer vollständigen Dentinbrückenbildung (Stanley & Lundy 1972, Klaiber 1984, Beetke et al. 1990).
Die Fähigkeit von Kalziumhydroxid, eine Dentinbrückenbildung zu induzieren, ist bei nur kurzfristig gegenüber der Mundhöhle exponierten Pulpen gegeben (Cox et al. 1982). Eine bestehende Pulpaentzündung verschlechtert die Fähigkeit zur Hartgewebsbildung (Pajarola 1940, Nyborg 1958, Harris & Bull 1966, Sela & Ulmansky 1970). Allerdings ist auch bei Zähnen mit irreversibler Pulpaentzündung eine Dentinbrückenbildung nachgewiesen worden (Tronstad & Mjör 1972). Eine Dentinbrücke ist deshalb nicht unbedingt ein Kriterium für eine Heilung der Pulpa (Tronstad & Mjör 1972).
Tierstudien am Affen haben auch gezeigt, dass bei einer entzündeten Pulpa Kalziumhydroxid als Überkappungsmaterial die Situation eher verschlimmert als verbessert, da es ja seinerseits, abgesehen von seiner antimikrobiellen Wirkung, eine Pulpaentzündung induziert (Tronstad & Mjör 1972).
Neben dem klassischen Verfahren der direkten Pulpaüberkappung mit Kalziumhydroxid wurden verschiedene andere Materialien (Zinkoxid-Eugenol, Biorex, Ledermix, Zinkphosphat, Komposit) auf ihre Wirksamkeit bei der Vitalerhaltung der Pulpa geprüft. Die Reaktion von gesunden sowie entzündeten Pulpen auf diese Materialien wurde histologisch an Ratten, Hunden, Affen sowie am Menschen untersucht. Eine komplette Dentinbrückenbildung wurde meist nicht vorgefunden, und die Reaktionen der Pulpa variierten von wenigen Entzündungszellen im Bereich der Expositionsstelle bis hin zur totalen Pulpanekrose unabhängig vom verwendeten Überkappungsmaterial (Glass & Zander 1949, Sela & Ulmansky 1970, Shovelton 1972, Tronstad & Mjör 1972, Langeland 1981, Cox et al. 1987).
Bioaktive Zemente auf Kalziumsilikatbasis wie zum Beispiel MTA (ProRoot MTA; Dentsply) hingegen sind heute das Material der Wahl bei der direkten Überkappung. Retrospektive klinische Studien haben mindestens so gute oder sogar bessere Resultate gezeigt als bei entsprechender Überkappung mit einem Kalziumhydroxidpräparat (Cho et al. 2013, Mente et al. 2014).
Eine randomisierte klinische Studie in 35 Zahnarztpraxen zeigte klar bessere Resultate, wenn direkte Pulpaüberkappungen mit MTA anstelle von Kalziumhydroxid durchgeführt wurden (Hilton et al. 2013). Die klinischen Misserfolgswerte nach 24 Monaten lagen für direkte Überkappungen mit Kalziumhydroxid bei etwas über 30 %, für diejenigen mit MTA bei knapp 20 % (Hilton et al. 2013).
In histologischen Studien wurden jeweils gesunde Zähne direkt überkappt (Accorinte et al. 2008, Nair et al. 2008). Die Hartgewebsbildung erfolgte nach einer Überkappung mit MTA schneller als mit Kalziumhydroxid. Nach 60 Tagen waren die Resultate betreffend Hartgewebsbildung und Entzündungsantwort in der Pulpa jedoch ähnlich (Accorinte et al. 2008).
Ein Nachteil zumindest der ersten Generation von Kalziumsilikatzementen (ProRoot MTA; Dentsply) ist, dass diese die Zahnhartsubstanz verfärben können und deswegen im Frontzahnbereich nicht angewendet werden sollten (Krastl et al. 2013). Kalziumsilikatzemente der ersten Generation enthalten Bismutoxid, um die Röntgendichtigkeit zu verbessern (Camilleri et al. 2013).
Neuere Materialien, wie beispielsweise Biodentine (Septodont) und EndoSequence (Brasseler USA), welche Zirkonoxid als Röntgenopaker beinhalten, scheinen diesen Effekt jedoch auch zu haben (Beatty & Svec 2015), allerdings in abgeschwächter Form (Kohli et al. 2015). Das Bismutoxid wird hauptsächlich für die Kalziumsilikatzement-bedingten Zahnverfärbungen verantwortlich gemacht (Xuereb et al. 2015). Von einem schweizerischen Hersteller gibt es einen Kalziumsilikatzement (MedCem GmbH), der gar keinen röntgenopaken Zusatz enthält. Studien zu dessen Tendenz, Zähne zu verfärben, gibt es nicht.
Zusammenfassend kann gesagt werden, dass Kalziumsilikatzemente bei der direkten Überkappung gegenüber Kalziumhydroxidpräparaten einen biologischen Vorteil bringen. Es sind aber keine Wundermittel, so dass die Indikationsstellung für die direkte Überkappung noch immer auf nicht schmerzende Seitenzähne mit akzidentell oder minimal eröffneter Pulpa zu beschränken ist. Bei entsprechenden Frontzähnen ist aus ästhetischen Überlegungen entweder auf ein einen bismutfreien Kalziumsilikatzement oder ein entsprechendes Kalziumhydroxidpräparat auszuweichen (Krastl et al. 2013).
Pulpotomie
Aufgrund der Tatsache, dass die Infektausbreitung in der Pulpa naturgemäß von koronal nach apikal verläuft und man zurzeit klinisch nicht wissen kann, wo sich die Infektionsfront genau befindet (Rechenberg & Zehnder 2014), steigt die Wahrscheinlichkeit, auf gesundes Pulpengewebe im kariösen Zahn zu stoßen, je weiter apikal wir vordringen (Langeland 1987).
Cvek griff diese Idee auf und propagierte das Verfahren der partiellen Pulpotomie. Hierzu werden mittels eines sterilen Rosenbohrers die ersten ca. 2 mm der exponierten Pulpa bis zum mutmaßlich gesunden Pulpagewebe entfernt, um das Überkappungsmaterial aufzulegen (Cvek 1978). Das Konzept basierte allerdings auf histologischen Beobachtungen bei traumatisch exponierten Pulpen mit komplizierter Kronenfraktur. Es wurde zunächst auch nur bei solchen angewendet. Später wurde die partielle Pulpotomie mit Kalziumhydroxidüberkappung mit gutem Erfolg auch bei tief kariösen bleibenden Zähnen bei Kindern und Jugendlichen durchgeführt (Mejare & Cvek 1993). Allerdings fehlte in dieser Studie eine Kontrollgruppe, was die Interpretation wie bei allen dieser rein beobachtenden Studien respektive Fallserien schwierig macht.
In ihrer randomisierten Studie zur Kariesexkavation randomisierten Björndal und Mitarbeiter auch die Fälle mit Pulpaexposition in einem sogenannten "nested trial", also einer randomisierten Studie innerhalb der groß angelegten Hauptstudie. Die eine Gruppe von eröffneten Pulpen wurde konventionell direkt überkappt, die andere nach einer partiellen Pulpotomie (Björndal et al. 2010).
Die Resultate waren für beide Gruppen gleich schlecht: 68 % Misserfolge bei direkter Überkappung, 66 % nach partieller Pulpotomie. Die partielle Pulpotomie scheint also, zumindest beim adulten Zahn mit Karies bis zur Pulpa, keinen Vorteil gegenüber der direkten Überkappung zu bringen.
Zander berichtete schon in den 30er Jahren des letzten Jahrhunderts über die Reaktion der Pulpa auf die Platzierung von Kalziumhydroxid im Rahmen einer vollen Pulpotomie (Zander 1939). Er präsentierte einen Fallbericht eines 9-jährigen Jungen, bei dem das Wurzelwachstum zum Abschluss gebracht wurde, indem man eine sogenannte vitale Pulpa-Amputation durchführte. Dies stand im Gegensatz zu den damals verbreiteten Pulpotomien, welche das Restgewebe im Zahn mumifizierten. Bei vitalen Zähnen mit nicht abgeschlossenem Wurzelwachstum, welche eine traumatische oder kariesbedingte Exposition der Pulpa erleiden, ist die Pulpotomie seither die Behandlung der Wahl (Goldsmith et al. 2002, Krakow et al. 1977).
Durch das Belassen der vitalen Pulpa im Bereich der Wurzeln ist der Pulpa-Dentin-Komplex dazu befähigt, das Wurzelwachstum fortzusetzen. Das Heilungspotenzial ist hoch, so lange die Wurzelkanalpulpa nicht instrumentiert wird oder Mikroorganismen in die Pulpa einwandern. Eine Pulpaantwort ist grundsätzlich produktiv und nicht degenerativ (Massler 1972).
Die Autoren der klassischen Studien zum Thema (Patterson 1967, Goldman 1974) erachteten dieses Verfahren aber nur als ersten Schritt in der endodontischen Therapie. Sobald das Wurzelwachstum abgeschlossen war, wurde eine konventionelle Wurzelkanalbehandlung empfohlen, um eine kalzifizierende Degeneration, eine Obliteration des Wurzelkanals oder eine interne Resorption zu unterbinden. Tatsächlich sind der Grad und die Geschwindigkeit der Dentinbildung nach Pulpotomie sehr variabel. Bei Zähnen, die einem Trauma ausgesetzt waren, kam es zum Teil zu keiner Dentinneubildung, in anderen Fällen trat eine komplette Obliteration des Wurzelkanalsystems auf (Hallet & Porteous 1963).
Leider gibt es nicht viele Langzeitstudien zur Pulpotomie und keine zu dieser Behandlungsoption nach Kariesexkavation und exkavationsbedingter Exposition der Pulpa. Die Einschätzung der Vitalität nach einer Pulpenkammer-Pulpotomie ist schwierig. In einer prospektiven Studie reagierten die meisten Zähne nicht mehr auf den Kältetest oder ergaben zweifelhafte Ergebnisse nach einer Pulpenkammer-Pulpotomie und Abdeckung mit MTA (Simon et al. 2013).
Die meisten Zähne reagierten noch auf den elektrischen Pulpatest, allerdings auf unterschiedliche Reizniveaus (Simon et al. 2013). Dementsprechend kann die Überlebensrate der Pulpen nach diesem Eingriff klinisch nur abgeschätzt werden. Es ist anzunehmen, dass sie zu hoch beziffert wird, da viele Pulpen ohne Begleitsymptome nekrotisieren (Michaelson & Holland 2002). In der Studie von Simon und Mitarbeitern verursachten 14 von 17 pulpotomierten kariösen Zähnen postoperative Schmerzen (Simon et al. 2013). Nur bei fünf Zähnen verschwanden diese innerhalb der ersten fünf Tage. Bei drei Zähnen (18 %) wurde schließlich eine Pulpektomie eingeleitet. Die geschätzte Erfolgsrate wurde dementsprechend mit 82 % angegeben (Simon et al. 2013). Zwischen der vollen (Pulpenkammer-)Pulpotomie und direkter Überkappung vergleichende Studien gibt es keine.
Materialtechnische Aspekte
Bei der partiellen Pulpotomie ist es aufgrund der ersten randomisierten Studie unklar, ob Kalziumsilikatzemente gegenüber dem Kalziumhydroxid einen Vorteil bringen (Chailertvanitkul et al. 2014).Vergleichende Studien zu vollen Pulpotomien mit Kalziumhydroxid versus Kalziumsilikatzementen liegen keine vor.
Grundsätzlich gilt die Überlegung, dass Kalziumhydroxidpräparate immer dann von Vorteil sind, wenn man im ästhetischen Bereich arbeitet und wenn man einen zweiten Eingriff tätigen will, also zum Beispiel bei abgeschlossenem Wurzelwachstum eine konventionelle Wurzelkanalbehandlung durchführen will. Kalziumsilikatzemente haben hier den Nachteil, dass sie ans Dentin binden und sehr hart werden (Caronna et al. 2014).
Dementsprechend kann man einen Zweiteingriff bei einem voll pulpotomierten und mit Kalziumsilikatzement überkappten Zahn fast nur unter dem Operationsmikroskop durchführen. Die geschätzte Erfolgsrate nach Pulpotomie als Definitivbehandlung mit einem Kalziumsilikatzement liegt bei jungen Patienten nach zwei bis drei Jahren jedoch hoch, nämlich bei 90 % (Alqaderi et al. 2014), und ist somit vergleichbar mit den von Wurzelkanalbehandlungen erzielten Erfolgsraten bei Zähnen ohne anfängliche apikale Osteolyse.
In einer iranischen randomisierten Multizenterstudie zum Vergleich von Pulpotomie und einzeitiger Wurzelkanalbehandlung bei Zähnen mit irrever sibler symptomatischer Pulpitis wurden in der Pulpotomiegruppe die vitalen Wurzelpulpen mittels eines Kalziumsilikatzements abgedeckt. Nach zwei Jahren lag die Erfolgsrate der vitalen Pulpatherapie bei ca. 80 % und war vergleichbar mit derjenigen nach Pulpektomie (Asgary & Eghbal 2013, Asgary et al. 2013).
Die Autoren waren der Meinung, dass die Vitalerhaltung der Pulpa mittels Pulpotomie nicht nur eine zeit- und kostengünstige Alternative zur Pulpektomie darstelle, sondern sogar bessere Ergebnisse liefere. Hier muss allerdings einschränkend erwähnt werden, dass in dieser Studie während der endodontischen Behandlung nicht mit Natriumhypochlorit gearbeitet, sondern lediglich mit sterilem Wasser gespült wurde.
Allgemeine Unklarheiten bei vitalerhaltenden Maßnahmen
Schon einige Autoren der klassischen Literatur haben Bedenken dahin gehend geäußert, dass es nach direkter oder indirekter Überkappung zu einer kontinuierlichen Stimulation der Dentinbildung kommen kann (Seltzer & Bender 1958, Massler 1972).
In einer Studie bei Affen war die reparative Dentinbildungsrate nach Pulpaüberkappung in den ersten 50 Tagen maximal. Danach nahm die Sekretionsrate wieder stark ab und war nach 100 Tagen wieder im normalen Rahmen (McWalter et al. 1977). Deshalb nimmt man nicht an, dass vom Kalziumhydroxid als Überkappungsmaterial eine persistierende Stimulation der Dentinbildung ausgeht. Allerdings ist bei experimentellen Tierstudien von einer gesunden Pulpa auszugehen, einer Situation, welche sich grundsätzlich nicht mit der klinischen Gegebenheit einer vorgeschädigten Pulpa vergleichen lässt.
Wenn man die zahlreichen Studien zur Versorgung von tiefkariösen Dentinläsionen durchforstet, findet man kaum Hinweise darauf, dass Pulpaobliterationen eine häufige Komplikation darstellen. Der klinische Alltag eines Endodontologen zeigt aber ein anderes Bild (Abb. 2). Während die einen Autoren die reparative Dentinbildung als Folge von vorangegangenen pathologischen Veränderungen sehen (Reeves & Stanley 1966), glauben andere, dass es sich dabei um einen potenziell nützlichen Effekt der Pulparegeneration handelt (Goldberg et al. 2008) und ein konservatives Therapieverfahren trotz erheblicher Pulpaentzündung zu einer günstigen Prognose führen kann (Gruythuysen et al. 2010).
Zu diesem Thema fehlt es eindeutig an Langzeitstudien am Menschen. Bevor solche Daten existieren, lässt sich das hier beschriebene Thema nicht abschließend diskutieren.
Ein weiterer Aspekt, welcher in der Literatur gar nicht oder nur sehr ungenügend besprochen wird, ist die Desinfektion der Dentin- oder der Pulpawunde nach erfolgter mechanischer Therapie. Zwar haben viele der oben erwähnten Studien eine desinfizierende Maßnahme vorgenommen, bevor der Zahn prothetisch versorgt wurde. Wie und mit welchen Mitteln diese Desinfektion der Wunde allerdings erfolgte, ist weder standardisiert noch systematisch untersucht.
Wie oben angesprochen, gibt es jedoch durchaus Hinweise darauf, dass desinfizierende Lösungen oder Überkappungsmaterialien einen Vorteil bringen können (Eidelman et al. 1965, Leung et al. 1980). Was ganz sicher eine zentrale Rolle spielt, ist der dichte Verschluss der Kavität gegenüber der inhärent bakterie nbeladenen Umgebung der Mundhöhle (Bergenholtz et al. 1982), der möglichst rasch nach der vitalerhaltenden Massnahme erfolgen sollte (Mente et al. 2014).
Zusammenfassung und abschließende Bemerkungen
Grundsätzlich lässt sich aufgrund der momentanen Kenntnislage nicht klar sagen, welche Intervention wann die beste ist. Insbesondere beim bleibenden Zahn mit voll ausgebildetem Wurzelwachstum und Karies bis ins pulpennahe Dentin spricht nichts dagegen, bis auf hartes Dentin zu exkavieren und, wenn die Karies bis in die Pulpa reicht, eine Wurzelkanalbehandlung einzuleiten. Alle anderen Vorgehensweisen sind zwar von hohem akademischem Interesse, aber momentan nicht genügend mit verlässlichen Daten untermauert.
Anders sieht es beim Zahn mit nicht-abgeschlossenem Wurzelwachstum aus. Obwohl auch hier gute vergleichende Studien weitgehend fehlen, macht es Sinn, zumindest in den Wurzelkanälen eine vitale Pulpa zu erhalten, damit sich die Wurzel voll ausbilden kann. Wie weit man schließlich mit der Exkavation geht, hängt von der Compliance des Patienten und auch davon ab, in welchem Grad die Pulpa entzündet ist. Bestehen bereits Schmerzen, sollte man eine volle Pulpenkammer-Pulpotomie in Betracht ziehen, um die Wahrscheinlichkeit zu erhöhen, im gesunden Gewebe zu überkappen.
Aus technischer Sicht stellt sich dann die Frage, ob man zur Überkappung der Pulpenstümpfe in den Wurzelkanälen einen Kalziumsilikatzement nimmt oder ein herkömmliches Kalziumhydroxidpräparat. Letzteres hat den Vorteil, dass man die Wurzelkanäle einfacher auffinden kann, falls später doch noch eine komplette Wurzelkanalbehandlung (Pulpektomie) nötig werden sollte.
Abschließend lassen sich folgende Aussagen treffen:
Reine Versiegelungen bei bleibenden Zähnen mit tiefer Karies sind nicht indiziert.
Bei spontan schmerzenden Zähnen mit abgeschlossenem Wurzelwachstum und tiefen kariösen Läsionen sollte von vitalerhaltenden Methoden abgesehen werden.
Nicht invasive Exkavationsmethoden im Sinne eines Belassens von Restkaries haben den inhärenten Nachteil der Nichtbeurteilbarkeit des Infektionsgrads des pulpennahen Dentins und des Entzündungsgrades der Pulpa selbst und somit der Ungewissheit darüber, ob diese die Therapie langfristig überleben kann. Das intentionelle Belassen von Restkaries sollte momentan dem asymptomatischen Zahn mit dem noch nicht abgeschlossenen Wurzelwachstum beim nicht gut kooperie renden Kind vorbehalten bleiben.
Direkte Überkappungen sollten zumindest im nicht ästhetischen Bereich mit einem Kalziumsilikatzement wie MTA und nicht mehr mit Kalziumhydroxidpräparaten durchgeführt werden. Im ästhetischen Bereich ist auf einen bismutfreien Kalziumsilikatzement oder ein entsprechendes Kalziumhydroxidpräparat auszuweichen.
Die Pulpenkammer-Pulpotomie könnte sich als valide Alternative zur konventionellen Wurzelkanalbehandlung (Pulpektomie) bei Zähnen mit Karies bis in die Pulpa erweisen. Gut kontrollierte Studien und Langzeitbeobachtungen bezüglich Obliteration der Wurzelkanäle stehen allerdings noch aus.
Marending M1, Attin T, Zehnder M., Treatment options for permanent teeth with deep caries. in: Swiss Dent J. 2016;126(11):1007-1027. PMID:27874916




