Der Fall: Ein komplexes Odontom
"Die Patientin (Jahrgang 1955) stellte sich erstmals am 22.8.2003 in unserer Praxis vor. Sie war beschwerdefrei und hatte den Wunsch nach einer klinischen und röntgenologischen Untersuchung, einer konservierenden Therapie einzelner Zähne sowie der Überkronung von 16 und 17. Sie kam nicht auf Überweisung.
Verdachtsdiagnose
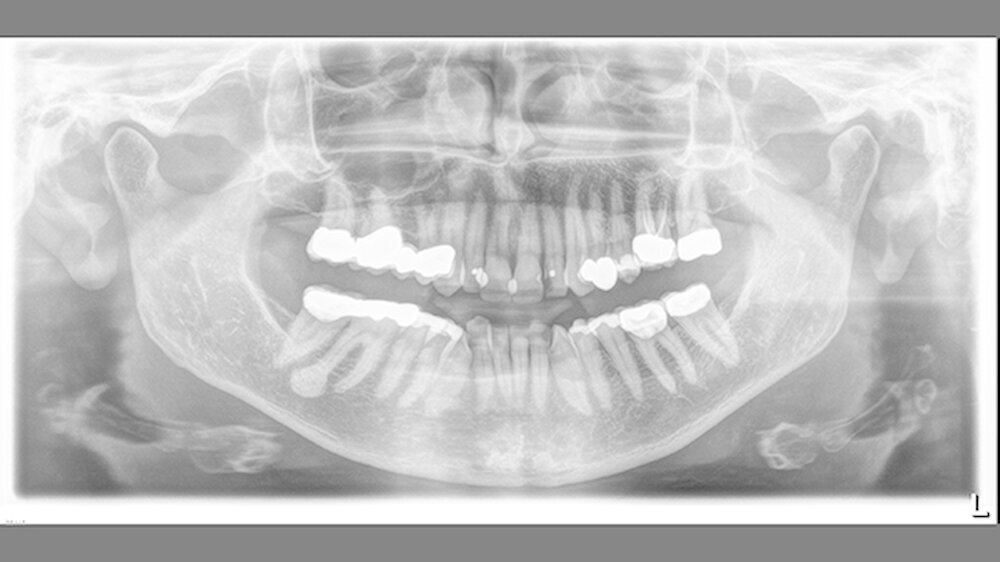
Auf dem Orthopanthomogramm stellte sich an der distalen Wurzel des Zahns 46 eine halbmondförmige, etwa zehn Millimeter große röntgenopake Verschattung dar. Dazu war eine etwa drei Millimeter große eiförmige dorsal davon gelegene kleine Auftreibung zu sehen, die mit der Wurzelspitze in Verbindung zu stehen schien. Die Vitalitätsprüfung des Zahns 46 war eindeutig positiv. Die Verdachtsdiagnose lautete „sklerosierende Ostitis 46“.
Aufgrund der Symptomlosigkeit und der benignen Prognose wurde von einer Therapie zu diesem Zeitpunkt abgesehen. Wir vereinbarten mit der Patientin allerdings eine weitere grobmaschige Röntgenverlaufskontrolle.
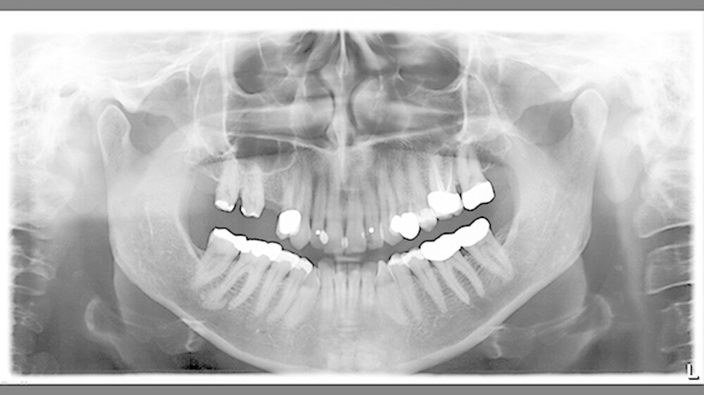
Follow-up
Bei einer erneuten röntgenologischen Untersuchung am 17.8.2015 hatte sich die Verschattung deutlich vergrößert und in ihrer Form verändert. Nun imponierte eine birnenförmige, gleichmäßig strukturierte, feinkörnig-dichte Raumforderung in Verbindung mit einer starken Auftreibung der Wurzelspitze und caudal davon eine halbmondförmige gleichartige Struktur getrennt durch einen sehr feinen Spalt.
Der Zahn 46 reagierte immer noch eindeutig vital auf den durchgeführten Kältetest. Palpatorisch war im Bereich der distalen Wurzel des 46 vestibulär eine harte und nicht druckdolente Auftreibung zu tasten. Es gab keinerlei Anzeichen einer akuten Entzündung. Auch die regionalen submandibulären Lymphknoten waren unauffällig. Eine vorgeschlagene DVT lehnte die Patientin aus Kostengründen ab.
###more### ###title### Therapieentscheidung ###title### ###more###
Therapieentscheidung
Wegen der eindeutigen Wachstumstendenz in unmittelbarer Nähe des Mandibularkanals entschieden wir uns nach Besprechung mit der Patientin für eine operative Entfernung dieser Raumforderung. Anschließend sollte eine histologische Untersuchung des Resektats erfolgen.
Aufgrund des Eingriffs war eine Vitalerhaltung des Zahns nicht möglich. So führten wir nach Zustimmung der Patientin präoperativ am 26.8.2015 eine endodontische Behandlung durch. Die beiden mesialen Wurzelkanäle enthielten eine vitale gesunde Wurzelpulpa, die beiden distalen Kanäle waren stark obliteriert und zeigten ein avitales und mazeriertes Pulpagewebe.
Am 18.11.2015 erfolgte nach antibiotischer Abdeckung mit Amoxycillin und Sedierung mit 5 mg Midozalam (Dormicum) i.V. unter Leitungsanästhesie die Entfernung des Tumors.
Die OP-Situation
Die fast kugelförmige 2,5 cm große dentinähnliche Struktur war cranial fest mit der Wurzel bis ins coronale Wurzeldrittel verwachsen, nach caudal allerdings von der Spongiosa durch einen feinen Bindegewebsspalt getrennt, so dass sie nach Absetzung von der Wurzel und weitreichender Resektion der buccalen Knochenwand nach horizontaler Trennung am „Äquator“ in zwei Teilen in toto entfernt werden konnte.
Aus der klinisch unauffälligen Spongiosa kam es intraoperativ zu einer sehr starken venösen Sickerblutung, die sich nach dreiminütiger Kompression spontan einstellte. Auf das Einbringen von Knochenwachs konnte somit verzichtet werden. Der cranial eröffnete Mandibularkanal wurde mit mehreren Lagen Kollagenvlies (Baxter) abgedeckt (im postoperativen OPT gut zu erkennen) und der Mucoperiostlappen konnte einschichtig speicheldicht vernäht werden.
Postoperative Verlaufskontrolle
Die postoperative Verlaufskontrolle war regelrecht, die Patientin beschwerdefrei, die Nahtentfernung erfolgte zehn Tage postoperativ ohne Probleme. Die histologische Beurteilung ergab ein „ungewöhnliches hochdifferenziertes komplexes Odontom".
Dieser Fall wurde eingereicht von Dr. Jörg Schmoll, Konrad-Adenauer-Ring 10, 69214 Eppenheim






