Der Fall: Therapieoptionen bei MIH
Der letzte Fall zum Thema MIH beschrieb die Grenzen der Füllungstherapie bei Zähnen mit Molaren-Inzisiven-Hypomineralisation (MIH). Anhand der dargestellten Fälle wurde schon deutlich, dass Behandlungsmaßnahmen oft nur für den speziellen Einzelfall getroffen werden können.
Auf das dort zitierte Positionspapier der EAPD (European Association of Paediatric Dentistry) [Lygidakis et al., 2010] soll nun im Speziellen eingegangen werden, weil in diesem Hinweise für das Management der verschiedenen MIH-Befunde von der Prävention bis hin zur Extraktion dargestellt werden – zwar auch mit dem Hinweis, dass viele der Maßnahmen wiederholt oder erweitert werden müssen, aber aufgrund der immer noch hohen Aktualität dieser Publikation sollen an dieser Stelle verschiedene Patientenfälle die dort beschriebenen Möglichkeiten darstellen.
Die MIH ist selten ein Zufallsbefund bei einer Routineuntersuchung, sondern in der Regel sind die mit der MIH verbundenen Beschwerden ursächlich für den Zahnarztbesuch. Die meisten der von MIH betroffenen Kinder weisen ein gesundes Milchgebiss auf, einige haben Karies-Erfahrung.
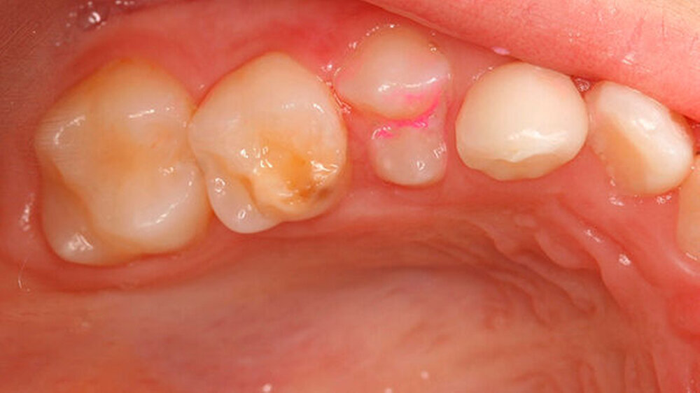
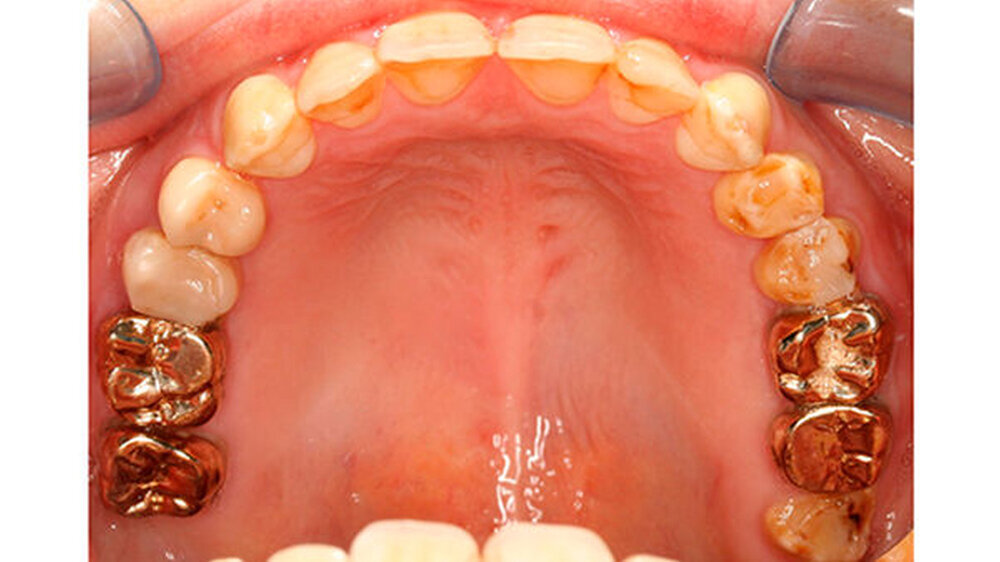
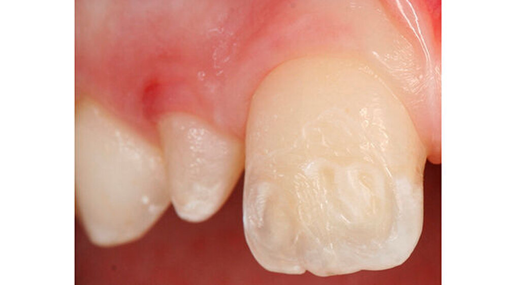
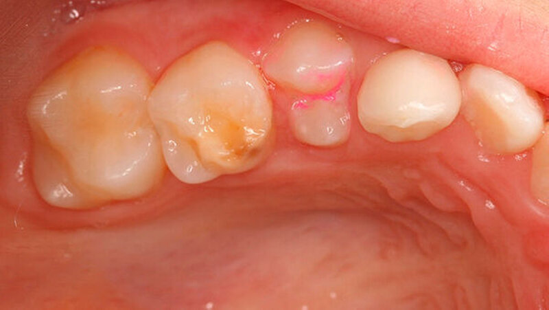
Mit dem Durchbruch der ersten bleibenden Molaren treten dann bisher unbekannte Beschwerden auf wie zum Beispiel eine übermäßig ausgeprägte Kälte-/Wärmeempfindlichkeit. Für manche Kinder wird dadurch nicht nur die Mundhygiene sondern auch die Nahrungsaufnahme erschwert. Zusätzlich bricht oft schon in der Durchbruchs-Phase der Schmelz ein (Abbildung 1), was die Überempfindlichkeit in teils akute Zahnschmerzen übergehen lässt.
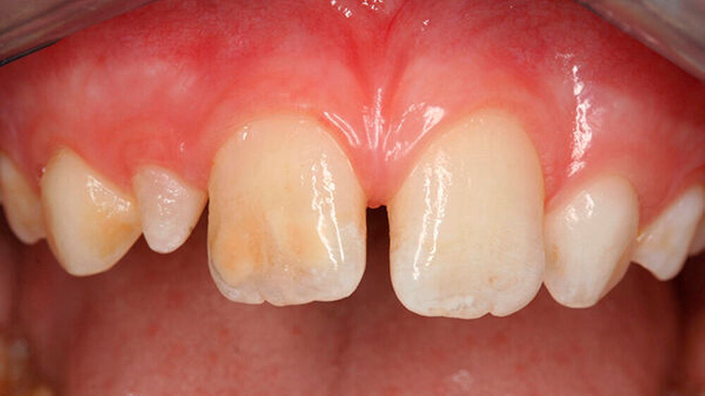
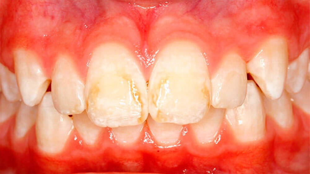
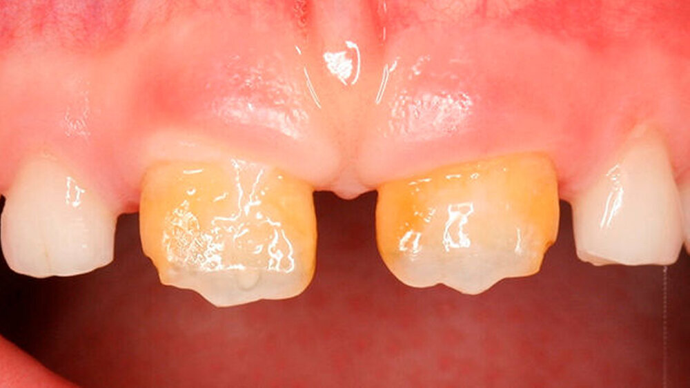
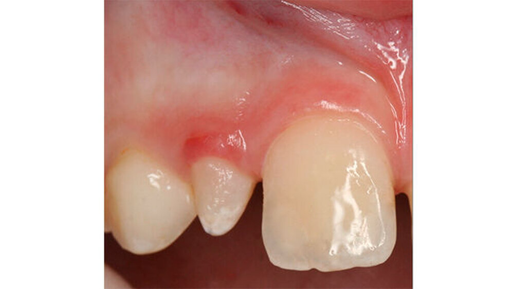
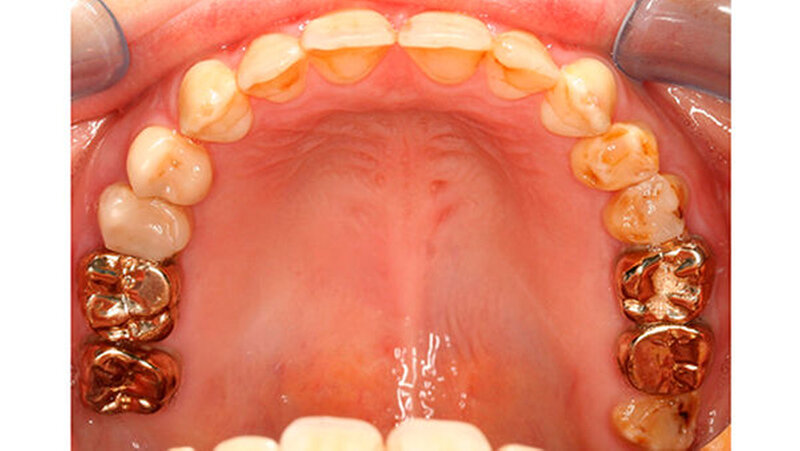
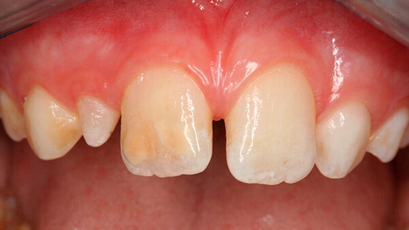
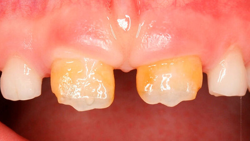
Das klinische Bild der MIH reicht von einem bis zu vier betroffenen Molaren, nur selten sind alle Zähne in ähnlicher Ausprägung geschädigt [Weerheijm et al., 2001]. Die bleibenden Frontzähne können ebenfalls betroffen sein, diese weisen allerdings in der Regel keinen Schmelzeinbruch auf und sind selten bis gar nicht überempfindlich [Weerheijm et al., 2001] (Abbildung 2).
Bisher wurde nicht beschrieben, dass die Frontzähne nur allein betroffen sein könnten. Meist wird - wenn die Frontzähne zusätzlich zu den Molaren betroffen sind - über mangelnde Ästhetik geklagt und die Kinder aufgrund ihres Aussehens gehänselt.
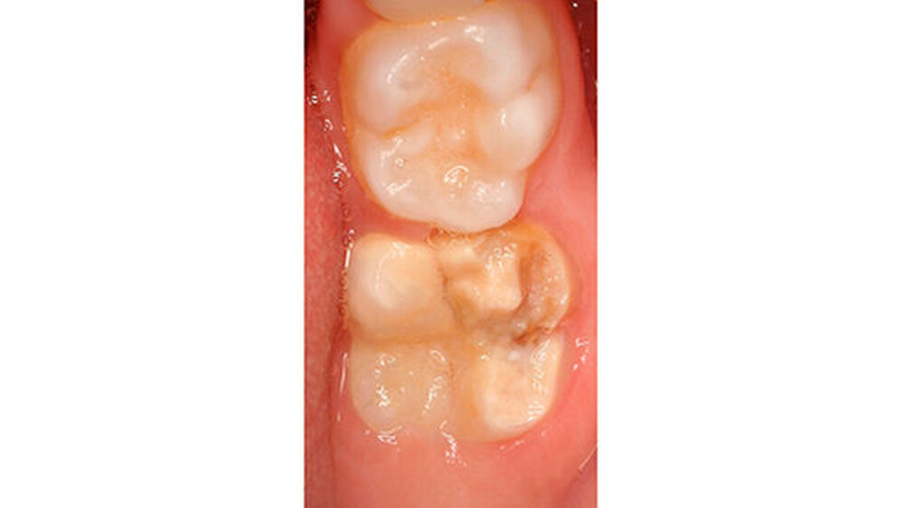
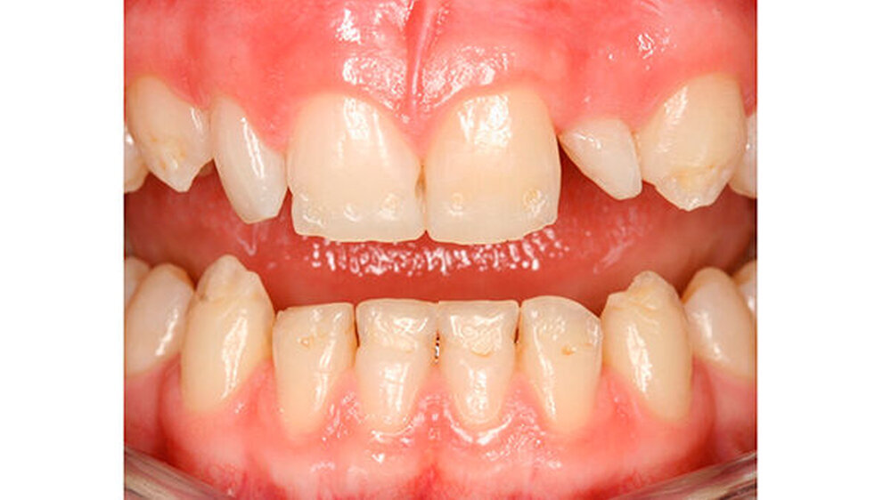
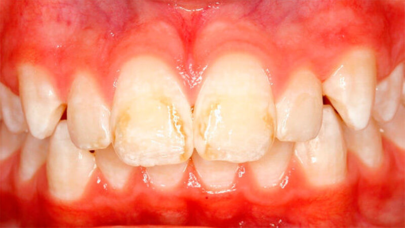
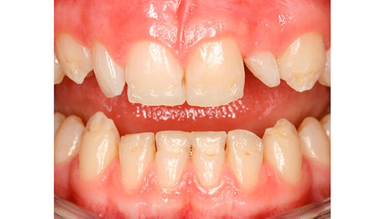
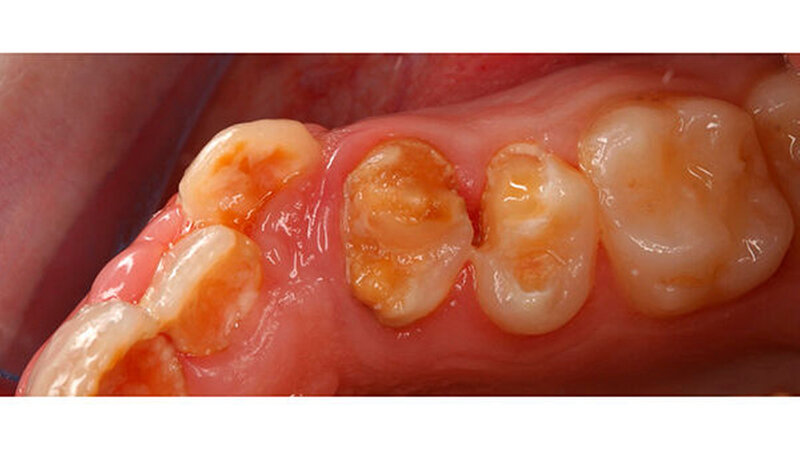
Bei einigen Patienten bestand allerdings auch schon im Milchgebiss eine Neigung zu Hypomineralisationen (Abbildung 3), klassifiziert wurden diese inzwischen als MDH (=deciduous molar hypomineralization) [Elfrink et al., 2012]. Inwiefern eine Hypomineralisation im Milchgebiss aber tatsächlich einen Indikator für eine MIH im bleibenden Gebiss darstellt, ist bisher nicht genauer zu beschreiben [Elfrink et al., 2012].
Die Behandlung der MIH stellt an Patienten und Behandler dadurch ganz besondere Herausforderungen, denn zu der Schmerzempfindlichkeit/Überempfindlichkeit der Zähne kommt die in der Regel schlechte Anästhesierbarkeit der betroffenen Zähne hinzu [Steffen & van Waes, 2011]. Die Behandlungsnotwendigkeit im Durchbruch erschwert das Kavitätendesign, die Trockenlegung und die Wahl des Füllungsmaterials erheblich [Lygidakis et al., 2010]. Aber auch nach vollständigem Durchbruch bleibt die Frage des Kavitätendesigns und der erforderlichen Restauration bestehen [Lygidakis et al., 2010].
Der überdurchschnittlich hohe Erneuerungs- beziehungsweise Reparaturbedarf der Restaurationen in MIH-Zähnen ist inzwischen belegt [Jälevik & Klingberg, 2012].
###more### ###title### Diagnose ###title### ###more###
Diagnose
Die Diagnose der Molaren-Inzisiven-Hypomineralisation basiert auf zwei Befunden:
den betroffenen Index-Zähnen (1. bleibende Molaren, gegebenenfalls bleibende Frontzähne)
dem Ausschluss aller anderen Strukturanomalien
Die EAPD hat kurz nach der Festlegung der Definition einfach anzuwendende Kriterien zur Klassifizierung der MIH entwickelt (Weerheijm et al., 2003). Diese orientieren sich am Schweregrad der Erkrankung (und jeweils an dem Zahn, der am schwersten betroffen ist).
Für eine erste Klassifikation ist diese Einteilung sehr hilfreich. Jedoch gibt es Kritik, dass sie keinen Anhalt über die zum Befund dazugehörigen Therapieoptionen gibt. Es ist davon auszugehen, dass eine solche Klassifikation bald publiziert werden wird.
Behandlungsablauf
Grundsätzlich umfasst die Therapie der MIH alle Optionen von typischen Maßnahmen der Individualprophylaxe bis hin zur Extraktion eines oder mehrerer betroffener Zähne.
Sofern nicht anders genannt, beziehen sich alle hier genannten Empfehlungen auf das Positionspapier der EAPD [Lygidakis et al., 2010].
Schwierigkeiten bei der Prophylaxe ergeben sich meist dann, wenn die professionelle Reinigung und Behandlung mit Fluorid erschwert sind, weil die Hypersensibilitäten einen normalen Zugang zu den betroffenen Zähnen und Umgang mit den Produkten verhindern.
Empfohlen sind daher
engmaschige Recall-Intervalle
regelmäßige Zahnreinigungen
Applikation von Fluorid-, CHX-, oder CPP-ACP-Produkten
Fissurenversiegelungen
Desensibilisierungen mittels Dentinadhäsiven oder Versieglerprodukten
###more### ###title### Vorgehen bei eingebrochenen Läsionen ###title### ###more###
Vorgehen bei eingebrochenen Läsionen
An dieser Stelle ist zunächst zu betonen, dass es grundsätzlich keine Garantie dafür gibt, dass die beschriebenen Prophylaxemaßnahmen einen (weiteren) Schmelzeinbruch verhindern könnten. Viele von ihnen sind deshalb als temporär zu betrachten beziehungsweise dienen der Herabsetzung der Hypersensibilitäten für einen möglichst langen Zeitraum.
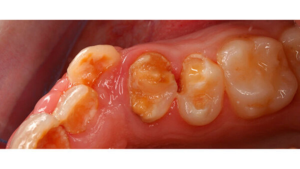
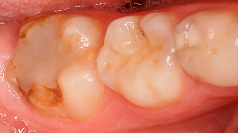
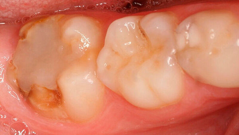
Wie im Fall zur Füllungstherapie ausführlich beschrieben, ist der Haftverbund der derzeit verfügbaren Materialien aufgrund des hypomineralisierten Schmelzes in der Regel nicht zufriedenstellend und oft von einem frühzeitigen Füllungsverlust und/oder einem weiteren Einbruch in den an die Restauration angrenzenden Bereichen begleitet (Abbildungen 9 und 10).
Je nach Größe des eingebrochenen Defekts werden folgende Optionen – in Abhängigkeit von Alter des Patienten, Lokalisation und Schweregrad der betroffenen Zähne und Anästhesierbarkeit - für den Seitenzahnbereich empfohlen:
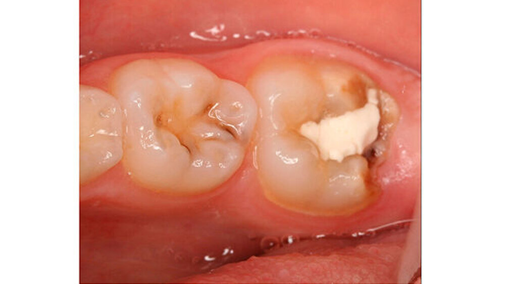
Temporäre Versorgung mit Glasionomerzement: Insbesondere in schlecht trocken zu legenden Bereichen kann ein Glasionomerzement eine vorübergehende Lösung darstellen. Hinzu kommen die Bindung an Schmelz und Dentin und Fluoridabgabe. Da bei MIH-Zähnen aber oft die Kaulast tragenden Bereiche betroffen sind, sind Glasionomerzemente wiederum als eher ungeeignet einzustufen und werden deshalb nur als vorübergehende Therapieoption empfohlen (Abbildung 11).
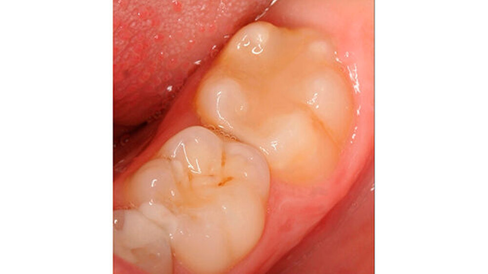
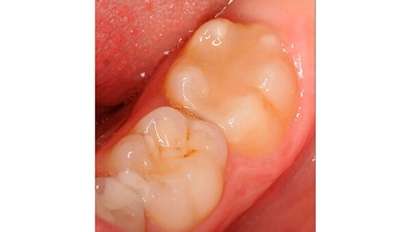
Für kleine und mittelgroße Defekte sind Komposite sehr gut geeignet. Wenig kann zu der Verwendung eines geeigneten Adhäsivsystems gesagt werden, aus einer knapp zehn Jahre alten Untersuchung geht hervor, dass self-etch Systeme möglicherweise den total-etch Systemen überlegen sein können, weil es hier nicht mehr zu Interferenzen nach dem Abspülen kommt. Die größte Schwierigkeit besteht hierbei aber, dass für eine akzeptable Haltbarkeit dieser Restaurationen gefordert wird, die Kavitätenränder in gesunden Schmelz zu legen. Aufgrund des Umfanges der Läsionen sind die Voraussetzungen für diese Maßnahme nur selten erfüllt (vgl.Fallbeispiel auf zm-online). (Abbildung 12).
Häufig werden konfektionierte Stahlkronen als eine gute Versorgungsmöglichkeit stark betroffener Molaren genannt. Prinzipiell ist dies auch richtig, jedoch sollten sich Patient und Behandler bewusst sein, dass es – sofern nicht tatsächlich die gesamte Zahnkrone von der Hypomineralisation betroffen ist – in der Regel aufgrund der notwendigen Präparation auch zu einem Verlust von (klinisch) gesunder Zahnhartsubstanz kommt.
Laborrestaurationen: Neben den in dieser Fallserie schon vorgestellten kompositbasierten Laborrestaurationen (vgl.//www.zm-online.de/home/zahnmedizin/Der-Fall-Verdacht-auf-Fluorose_271574.html#6):Fall auf zm-online) können auch metallbasierte Restaurationen zum Einsatz kommen. Grundsätzlich wird eine Forderung nach möglichst zahnhartsubstanzschonenden Materialien ausgesprochen, um mögliche Schäden der Pulpa zu vermeiden.
Sofern keine der bisher genannten Optionen einen akzeptablen Erfolg bringt oder der betroffene Zahn/die betroffenen Zähne nicht erhaltungswürdig erscheinen, kann die Extraktion in Erwägung gezogen werden. Dabei sollte aber gemeinsam mit dem Kieferorthopäden eine Übereinstimmung über den bestmöglichen Zeitpunkt sowie die Nachkontrolle/Nachbehandlung getroffen werden. Eine Extraktion ohne Follow-up führt andernfalls in der Regel zu Resultaten wie in demschon publizierten Fallund birgt das Risiko deutlich erhöhten Therapiebedarfs unter verschlechterten Bedingungen zu einem späteren Zeitpunkt.
Für die Frontzähne bei MIH wird laut der EAPD folgendes Vorgehen empfohlen:
Bleichen und/oder Mikroabrasion können eine Verbesserung der Ästhetik bewirken, ein Ergebnis ist aber oft nur schwer vorherzusagen und gelegentlich wird sogar eine Kombination beider Verfahren notwendig. Die Mikroabrasion erscheint gelegentlich für die Behandlung milchig-weißer Defekte besser zu wirken als das Bleichen, wohingegen dieses für gelblich-braune Defekte eher geeignet zu sein scheint. Eine anschließende Versiegelung kann das Ergebnis optimieren.
Die Infiltration dieser Läsionen wurde ebenfalls diskutiert, zeigt aber ebenfalls bisher keine vorhersagbaren Ergebnisse.
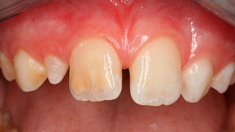
In schwerwiegenden Fällen kann der Einsatz eines Komposits das beste Ergebnis erzielen (Abbildungen 2, 13 und 14)
###more### ###title### Anmerkungen zu den Therapieoptionen ###title### ###more###
Anmerkungen zu den Therapieoptionen
Oft können die genannten Empfehlungen nur einen Hinweis auf das Management geben – die Entscheidung kann immer nur nach sorgfältiger Betrachtung der Behandlungsumstände erfolgen. Dazu gehören die Wünsche des Patienten beziehungsweise der Patientenfamilie, die Erfahrung und Möglichkeiten des Behandlers sowie auch durch die gewählte Behandlung entstehende Kosten.
Fazit
Solange die Ursache der Molaren-Inzisiven-Hypomineralisation nicht geklärt ist, werden auch die Therapiemöglichkeiten eingeschränkt bleiben. Der Bedarf an Forschung, Weiterbildung und Aufklärung ist enorm und wird mit Sicherheit noch viele Jahre in Anspruch nehmen.
stefanie.a.feierabend@gmail.com
Anmerkung: Das hier meist zitierte EAPD-Positionspapier isthierfrei zugänglich (englischsprachig).
Literatur:
Elfrink ME, ten Cate JM, Jaddoe VW, Hofman A, Moll HA, Veerkamp JS (2012) Deciduous molar hypomineralization and molar incisor hypomineralization. J Dent Res 91:551-555
Jälevik B, Klingberg G (2012) Treatment outcomes and dental anxiety in 18-year-olds with MIH, comparisons with healthy controls - a longitudinal study. Int J Paediatr Dent 22:85-91
Lygidakis NA, Wong F, Jälevik B, Vierrou AM, Alaluusua S, Espelid J (2010) Best clinical practice guidance for clinicians dealing with children presenting with molar-incisor-hypomineralisation (MIH): an EPAD policy document. Eur Arch Paediatr Dent11:75-81
Steffen R, van Waes H (2011) Die Behandlung von Kindern mit Molaren-Inzisiven-Hypomineralisation – Eine Herausforderung bei der Schmerzkontrolle und Verhaltenssteuerung. Quintessenz 2011; 62(12):1585
Weerheijm KL, Jälevik B, Alaluusua S (2001) Molar-Incisor Hypomineralisation. Caries Res 35:390-391
Weerheijm KL, Duggal M, Mejàre I, Papagiannoulis L, Koch G, Martens LC, Hallonsten AL (2003) Judgement criteria for Molar-Incisor-Hypomineralisation (MIH) in epidemiological studies: a summary of the European meeting on MIH held in Athens, 2003. Eur Arch Paediatr Dent 3:110-113
Mehr zum Thema: MIH
Bei der systemisch bedingten Hypomineralisation können beide Dentitionen betroffen sein. Hier sehen Sie verschiedene Therapieoptionen.




















