Der überstopfte Wurzelkanal
Eine 34-jährige Patientin stellte sich zur Wurzelkanalbehandlung des Zahns 47 und zur Behandlung ihrer generalisierten schweren chronischen Parodontitis in der Poliklinik für Zahnerhaltung und Parodontologie der Universitätsmedizin Rostock vor. Nach Trepanation und manueller Aufbereitung des infizierten Wurzelkanals im Studentenkurs wurde eine Röntgen-Messaufnahme mit einem Guttaperchapoint in der Größe des zuletzt verwendeten Instruments angefertigt.
Die Aufnahme zeigte diesen Guttaperchapoint zwei Millimeter über den röntgenologischen Apex herausragen (Abbildung 1). Der Stift wurde wieder entfernt, eine Zwischeneinlage mit Calciumhydroxid appliziert und der Zahn temporär mit Glasionomerzement verschlossen. Die Patientin verließ die Klinik beschwerdefrei.
Geplant war, die begonnene Behandlung nach der Rückkehr der Patientin aus einem Urlaub in ihrem Heimatland Russland fortzusetzen. Nach der Rückkehr meldete sich die Patientin jedoch telefonisch ab und gab an, keinen weiteren Termin zur Wurzelfüllung und zur Parodontaltherapie zu benötigen, da sie beides in ihrem Urlaub hatte durchführen lassen. Sie stellte sich jedoch im Oktober 2015 mit Beschwerden am Zahn 47 erneut vor. Nach Angaben der Patientin bestand erstmals circa zwei Monate nach Beendigung der Wurzelbehandlung am Zahn 47 im Ausland vor sechs Monaten ein intermittierend-stechender, ausstrahlender Schmerz im Bereich des Unterkiefers rechts mit zunehmender Hypästhesie im Bereich der Unterlippe rechts.
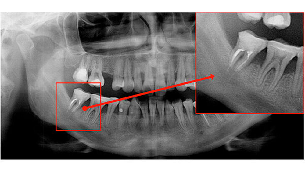
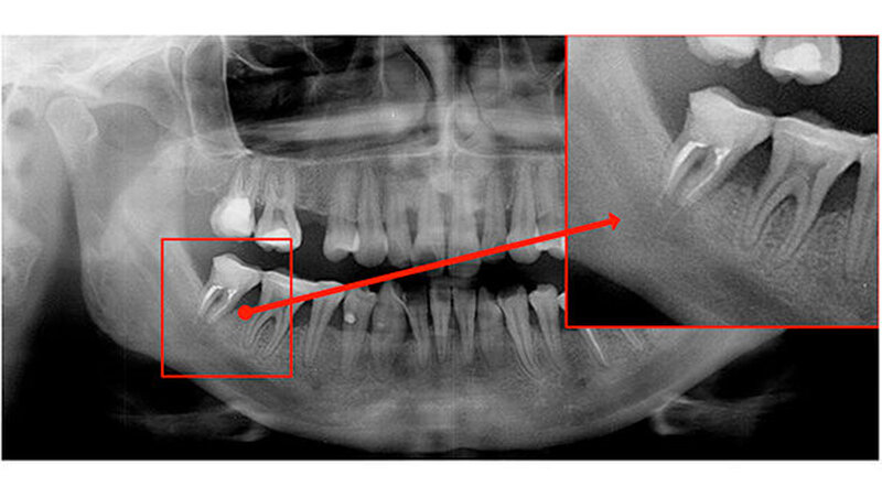
Der Zahn 47 stellte sich parodontal geschädigt und 1-gradig gelockert dar. Das Orthopantomogramm (OPTG) und der anschließend angefertigte Zahnfilm (Abbildungen 2 und 3) zeigten am Zahn 47 apikal weit überextrudiertes Wurzelfüllmaterial. Die Patientin wurde aufgrund der klinischen und der röntgenologischen Befunde sofort an die Klinik und Poliklinik für Mund-, Kiefer- und Gesichtschirurgie überwiesen.
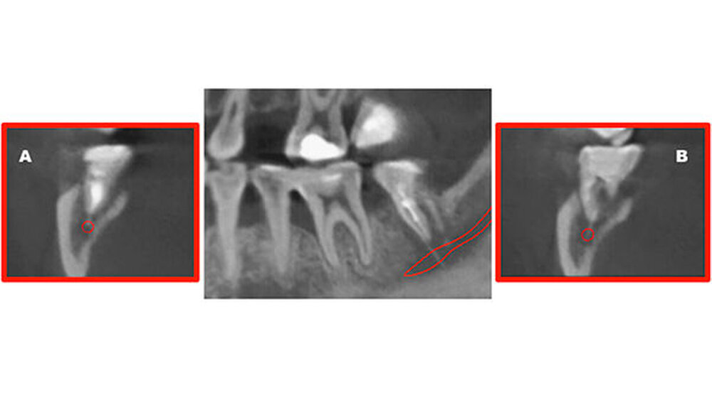
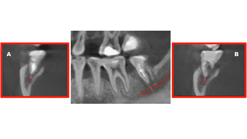
Die dreidimensionale Darstellung des Unterkiefers rechts mittels digitaler Volumentomografie (DVT, Abbildung 4) vervollständigte den Nachweis von röntgenopakem Material im Bereich der Wurzelspitzen des Zahnes 47 mit direktem Kontakt zum Nervus alveolaris inferior. Die Rücksprache mit dem ausländischen Behandler ergab die Information, dass es sich bei dem Füllmaterial um Guttapercha zusammen mit einem paraformaldehydhaltigen Zement handelte.
Nach ausführlicher Aufklärung der Patientin über den Befund erfolgte die Extraktion des Zahnes 47 (Abbildung 5) sowie unter dem Operationsmikroskop die vollständige Entfernung von Wurzelfüllmaterial und residualen Sealerbestandteilen aus dem Nerven und dem Canalis mandibularis rechts. Der durch die Reinigung eröffnete Nervus alveolaris inferior wurde mit resorbierbaren, polyfilen Nähten rekonstruiert und anschließend mit einer porcinen Kollagenmembran zum Schutz ummantelt (Abbildungen 6 und 7).
Postoperativ zeigte sich im weiteren Verlauf eine vollständige Rückbildung der Beschwerdesymptomatik sowie eine in den Nachsorgeuntersuchungen von nunmehr vier Monaten vollständige Rückbildung der präoperativ bestehenden Hypästhesie im Bereich der rechten Unterlippe.
Diskussion
Schädigungen des N. alveolaris inferior nach endodontischer Behandlung können als Folge einer Überinstrumentation und/oder eines Überfüllens der Wurzelkanäle auftreten, wobei sowohl mechanische, thermische als auch chemische Reize kausal sein können. Insgesamt handelt es sich mit einer geschätzten Inzidenz von circa einem Prozent bei den unteren Prämolaren um eine - beispielsweise im Vergleich mit der Nervschädigung durch die operative Entfernung von Weisheitszähnen - seltene, aber durchaus ernste Komplikation [Knowles et al., 2003].
Im Bereich der zweiten Molaren im Unterkiefer ist die knöcherne Distanz zwischen den Apices und dem Nervkanal - wie im beschriebenen Fall - oftmals geringer als ein Millimeter, was zu derartigen Schäden prädisponieren kann [Pogrel, 2007].
Die häufigsten Symptome einer Nervenverletzung sind Schmerz und Parästhesie (Kribbelgefühle, Jucken, Schwellungsgefühl, Brennen der Haut) [Renton et al., 2012] gefolgt von Missempfindung, Dysästhesie, Hypersensibilität, Hypästhesie und Hyperästhesie [Juodzbalys et al., 2011; Juodzbalys et al., 2013]. Die Symptomatik kann unter Umständen - wie im vorliegenden Fall - auch erst nach einiger Zeit auftreten [Khawaja und Renton, 2009].
Therapeutisches Mittel der Wahl stellt die frühzeitige Entfernung des störenden Objekts dar [Khawaja et al., 2009; Scala et al., 2014], wobei sowohl eine apikale Kürettage mit oder ohne Wurzelspitzenresektion als auch die Entfernung der nicht erhaltungswürdigen Zähne in Erwägung gezogen werden müssen. Eine adäquate Planung des Eingriffs erfordert neben der klinischen eine umfassende radiologische Diagnostik.
Sämtliche endodontischen Materialien müssen sorgfältig und minimal-traumatisierend entfernt werden. Insbesondere Zemente mit Paraformaldehyd haben ein hohes neurotoxisches Potenzial [Brodin et al., 1982], weshalb im vorliegenden Fall der Nerv unter dem Operationsmikroskop von Sealer- und Zementresten befreit wurde.
Sollte ein chirurgisches Vorgehen abgelehnt werden, kann als Alternative eine Medikation mit Prednisolon und Pregabalin angesetzt werden [Alonso-Ezpeleta et al., 2014], wobei hier die Datenlage nicht ausreichend valide ist. Generell wird eine chirurgische Revision in den ersten zwölf Monaten postoperativ angeraten [Biglioli et al., 2015]. Sollte das den Nerven beeinträchtigende Fremdmaterial nicht entfernt werden, kann dies zu einer Axonotmesis oder sogar zu einer Neurotmesis mit dauerhafter Einschränkung der Sensibilität führen [Giuliani et al., 2001].
Bei der mechanischen Schädigung des Nervens ist die frühzeitige mikrochirurgische Rekonstruktion das Mittel der Wahl. Hier beschreiben Bagherie et al. eine Erfolgsrate von 81,7 Prozent für die mikrochirurgische Rekonstruktion des Nervus alveolaris inferior [Bagheri et al., 2012]. Der Erfolg der Therapie fällt mit der Dauer zwischen Verletzung des Nervens und Intervention deutlich ab [Khawaja et al., 2009; Shavit et al., 2014; Bagheri et al., 2012].
Zusammenfassend lässt sich sagen, dass die Schädigung des Nervus alveolaris inferior im Rahmen einer endodontischen Behandlung zwar eine schwerwiegende Komplikation darstellt, die aber bei rechtzeitiger Diagnosestellung und Therapie in spezialisierten Zentren mit Erfolg und wie in diesem Fall ohne Folgeschäden behandelbar ist.
Info
Fazit für die Praxis
Das Überpressen von Füllmaterialien in den Nervus alveolaris inferior im Rahmen einer Wurzelkanalbehandlung im Unterkiefer stellt ein seltenes Ereignis dar.
Nichtsdestotrotz erfordert eine der‧artige Komplikation eine weitergehende Behandlung.
Vor allem die chirurgische Entfernung der Wurzelfüllmaterialien stellt dabei die Methode der Wahl dar.
Aufgrund der großen Gefahr an (iatrogenen) Nervschädigungen sollte diese Behandlung in spezialisierten Zentren erfolgen.
PD Dr. Dr. Peer Wolfgang Kämmerer, Dr. Dr. Michael Dau
Klinik und Poliklinik für Mund-, Kiefer- und Plastische Gesichtschirurgie der Universitätsmedizin Rostock
Schillingallee 35, 18057 Rostock
Anne-Kathrin Pröhl
Poliklinik für Zahnerhaltung und Parodontologie der Universitätsmedizin Rostock
Strempelstr. 13, 18057 Rostock











