Die chirurgische Kronenverlängerung
Der Wunsch einer Verbesserung der Ästhetik der Oberkieferfront stellt ein bedeutendes Tätigkeitsfeld in der Parodontologie dar. Der Begriff der „Rot-Weiß- Ästhetik“ ist mittlerweile Bestandteil fast aller chirurgischen Kongresse und zentrales Thema in implantologischen und parodontologischen Fachzeitschriften.
Definition
Der passive Zahndurchbruch beginnt nach dem vollständigen Durchbruch der anatomischen Zahnkrone und nach Eintreten eines antagonistischen Zahnkontakts (nach aktivem Zahndurchbruch). Er wird über eine fortschreitende Proliferation des Saumepithels nach apikal bewirkt. Diese Proliferation setzt sich bis etwa ein bis zwei Millimeter koronal der Schmelz-Zementgrenze fort und ereignet sich ohne jegliche vertikale Bewegung des Zahns. Ist bei Patienten mit abgeschlossenem Kieferwachstum der passive Durchbruch immer noch nicht beendet, so spricht man vom unvollständigen passiven Zahndurchbruch.
Fallbeispiel
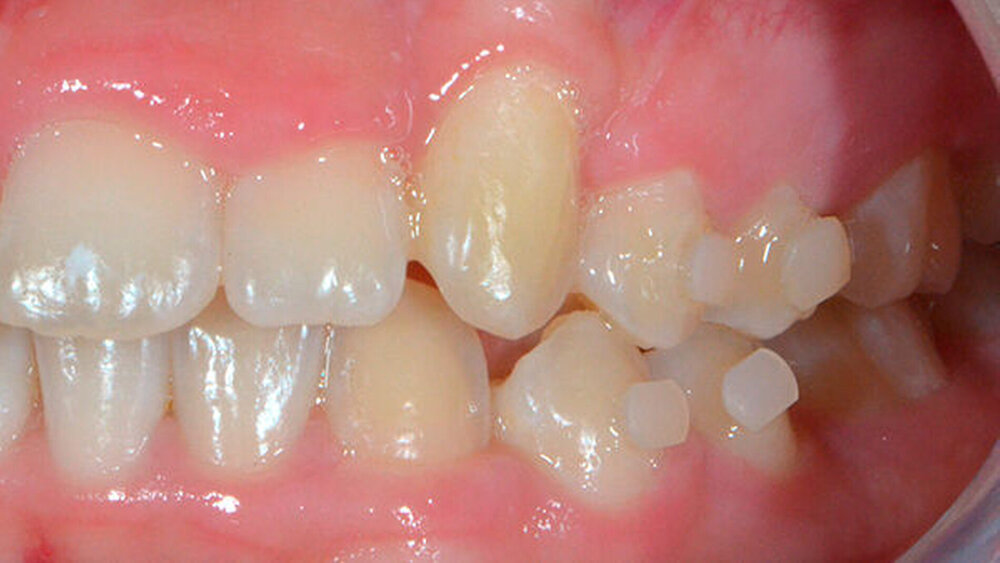
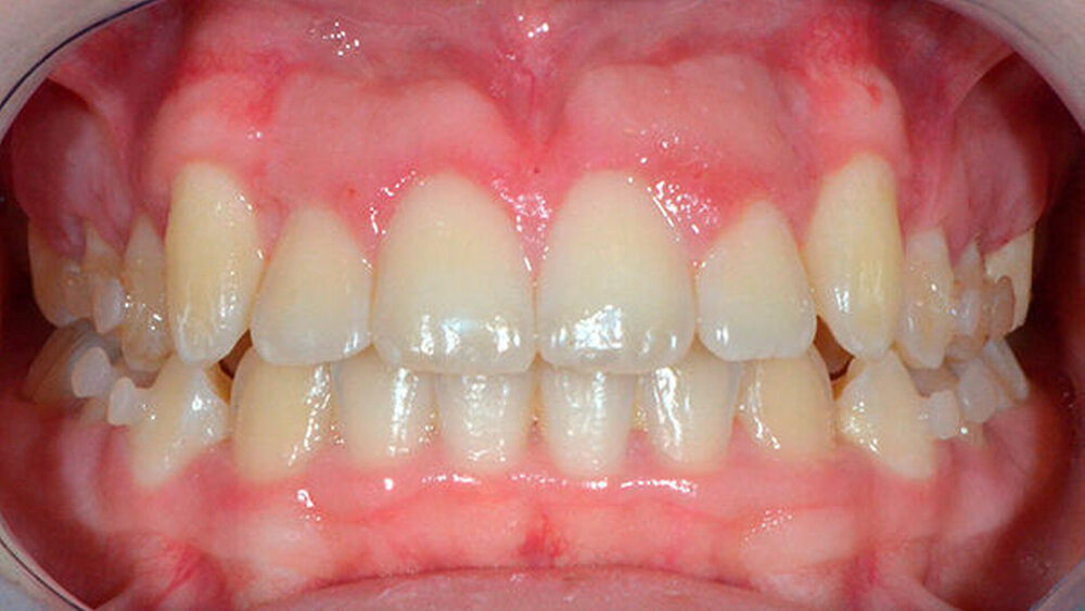
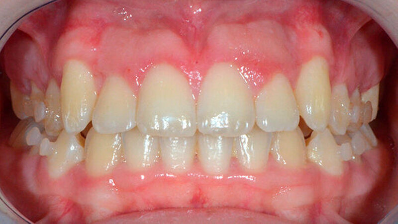
Anamnese: Eine 17-jährige Patientin stellte sich in der Praxis vor. Sie empfand die langen Zahnkronen der beiden oberen Eckzähne als störend (Abbildung1). Der Wunsch des Überweisers und der Patientin war eine Rezessionsdeckung und Kürzung der sichtbar klinischen Kronenlänge, um den Zahnfleischverlauf der Oberkieferzähne zu harmonisieren.
Die kieferorthopädische Behandlung wurde mit einer Multibracketapparatur durchgeführt und galt als abgeschlossen. Kunststoffknöpfchen wurden im Seitenzahngebiet angebracht, um das Settling im Seitenzahngebiet noch zu verbessern. Es lag eine zufriedenstellende Mundhygiene vor. Die Patientin ist allgemein gesund und Nichtraucherin.
Befundung: Die Sensibilitätsprobe und der Plaque-Index zeigen sich unauffällig. Es liegt ein breites Band an keratinisierter Gingiva vor. Der Inzisalkantenverlauf der oberen Frontzähne stimmt weitgehend mit der Form und dem Abstand der Ober- und Unterlippe beim Lachen funktionell und ästhetisch überein. Die dentale Mittellinie liegt annähernd in der Gesichtsmitte und die Bipupillarlinie zeigt sich parallel zur Okklusionsebene. Der Verlauf des limbus alveolaris liegt nahe der Schmelz-Zement-Grenze (im Zahnfilm mit Sonde messbar).
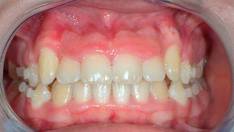
Die Sondierungstiefen der Oberkieferzähne zeigen Auffälligkeiten: Zahn 12-22 vestibulär 5-6 mm und palatinal 3 mm, Zahn 13,23 zirkulär 2 mm, Zahn 14,15,24,25 zirkulär 4 mm. Die OK-Front steht im labialen Kippstand, die Eckzähne im vestibulären Außenstand und in Infraposition. Die Zähne 12 und 22 stehen im distalen Kippstand. Das Breiten-Längenverhältnis der oberen Inzisivi beträgt etwa 1:1 (Abbildung 2). Somit wirken die Zähne quadratisch.
Diagnose: Es liegt ein Mukogingivaldefekt der Zähne 14,15,12-22,24,25 aufgrund eines unvollständigen passiven Zahndurchbruchs vor.
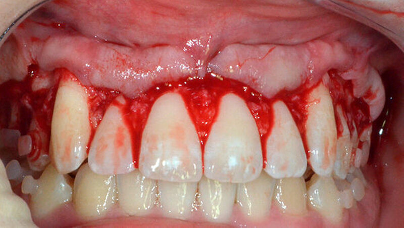
Therapie: In Lokalanästhesie wurde ein apikaler Verschiebelappen mit einer Osteoplastik und Ostektomie durchgeführt. Nach bonesounding (Sondierung unter LA) wurde die Schnittführung markiert (Abbildung 3).
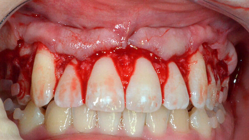
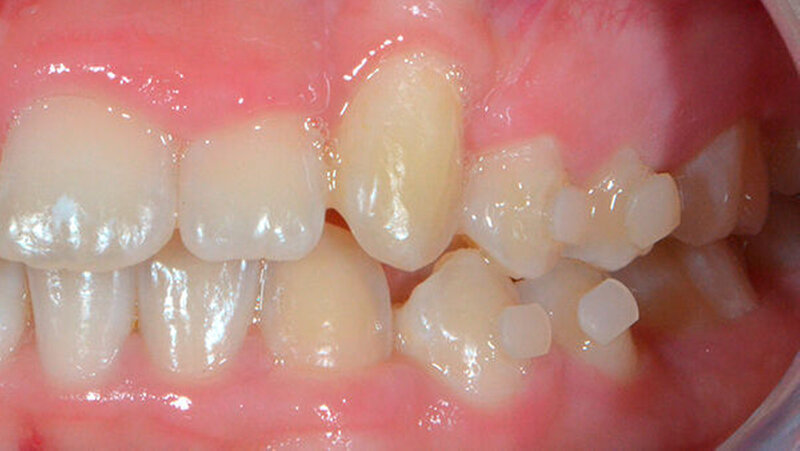
Im Bereich der Inzisivi und Prämolaren wurde ein paramarginaler Zahnfleischlappen gebildet, im Bereich der Canini eine marginale Schnittführung gewählt (Abbildung 4). Die chirurgischen Papillen wurden in einer split-flap-Technik (teilschichtiger Bindegewebe-Mukosa-Lappen) mit Belassen des Periosts präpariert.
Apikal davon wurde das Periost inzidiert und ein Mukoperiostlappen gebildet. Die belassenen anatomischen Papillen wurden entepithelisiert und dienten als Empfängerbett für die chirurgischen Papillen. Das vestibulär der Zahnwurzeln gelegene Zahnfleisch wurde vollschichtig vom Knochen bis etwa 4 mm apikal des Knochenkamms gelöst.
Anschließend wurden die wulstigen Knochenareale über rotierende Diamanten und Piezochirurgie (Osteoplastik) ausgedünnt. Eine großzügige interdentale Knochenreduktion musste hier ebenfalls vorgenommen werden. Zuletzt erfolgt die Ostektomie bis 1mm apikal der Schmelz-Zementgrenze mit einem Knochenskalpell (Abbildung 5).
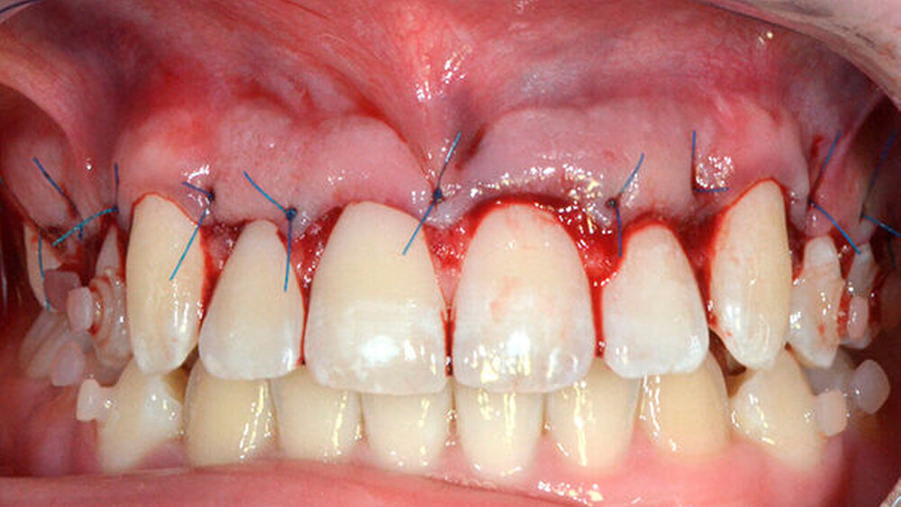
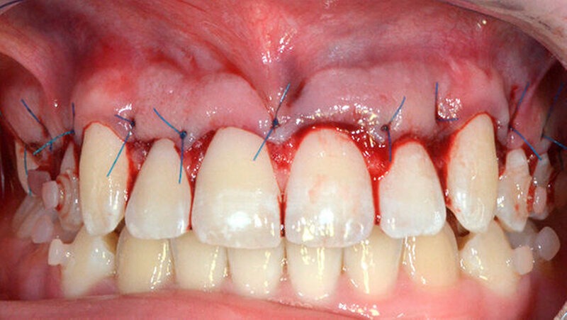
Der Zahnfleischlappen wurde über vertikale Matratzennähte und Einzelknopfnähte etwa 1 mm koronal der Schmelz-Zementgrenze adaptiert. Der koronale Anteil der chirurgischen Papillen heilt per sekundam intentionem (Abbildung 6).
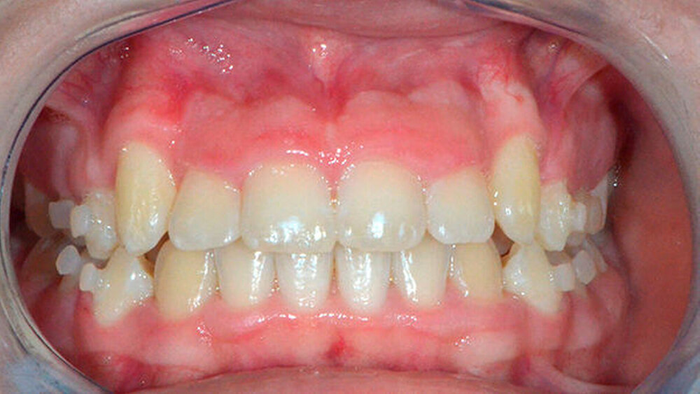
Die Wundheilung gestaltete sich unauffällig. Eine detaillierte Instruktion zur Mundhygiene in der ersten postoperativen Woche wurde durchgeführt. Nach sieben Tagen konnten die Fäden entfernt werden. Die Abbildungen 10 und 11 zeigen die Situation nach vollständiger Abheilung.
Diskussion
Die Mukogingivalchirurgie wird heute als Plastische Parodontalchirurgie bezeichnet, weil dieser Begriff schon eine Vielzahl an Behandlungsarten beinhaltet [Miller et al., 1996; McGuire et al., 1998].
Im Normalfall stellen sich Patienten mit unvollständigem passiven Zahndurchbruch ohne oder nur mit geringen Entzündungszeichen des parodontalen Stützapparats vor. Die Klassifikation des unvollständigen passiven Zahndurchbruchs ist in Abbildung 7 wiedergegeben. Liegt eine Entzündung vor, so hat die Behandlung derselbigen Vorrang.
Sollte sich keine zufriedenstellende Mundhygiene-Compliance zeigen, wird von plastischer Parodontologie abgeraten [Nowzari, 2001]. Hauptunterschied der ästhetischen Kronenverlängerung im Vergleich zur klassischen chirurgischen Kronenverlängerung ist die Schonung der Interdentalpapillen (ästhetischer Anspruch) durch einen ausschließlich vestibulären Zugang [Sonick, 1997; Oringer et al., 1999]. Weitere Autoren beschreiben die minimalinvasive Kronenverlängerung ohne Lappenbildung mit speziell „kopfdiamantierten“ Piezoinstrumenten [Striegel,Schwenk, 2005], was jedoch eine limitierte Indikation bei dicken gingivalen Biotypen mit dicker Knochenanatomie mit sich bringt.
Früher wurde zur Behandlung eines unvollständigen passiven Zahndurchbruchs ausschließlich eine Gingivektomie durchgeführt. Aufgrund des hohen Rezidivrisikos ergänzte man die Osteoplastik und gegebenenfalls die Ostektomie [Zucchelli, 2014, Ästhetische Parodontologie].
Die operative Technik wird hauptsächlich durch die keratinisierte Gingiva und die Lage des limbus alveolaris vorgegeben. Je nach Höhe der keratinisierten Gingiva liegt eine Klasse 1 (hohes Band bis apikal der Schmelz-Zement-Grenze) oder 2 (schmales Band bis auf Höhe der Schmelz-Zement-Grenze) vor. Liegt der limbus alveolaris koronal/an der Schmelz-Zement-Grenze, handelt es sich um Unterklasse A. Liegt dieser apikal, wird er der Kategorie B zugeordnet.
Die Auswertung der Befunde im vorliegenden Fall zeigte, dass die Klasse 1B vorliegt (siehe Tabelle in Abbildung 8). Aufgrund des hohen Bandes an keratinisierter Gingiva wurde paramarginal inzidiert. Bei den Klassen 1A oder 2A wird tendenziell marginal inzidiert [Bensimon, 1999].
Teilweise wünschen Patienten von sich aus keine Veränderung der dento-fazialen Ästhetik. Allerdings wissen sie oft nicht, welche medizinischen Möglichkeiten es gibt beziehungsweise sie setzen sich nicht mit denkbaren ästhetischen Verbesserungen auseinander. Außerdem kennen sie in der Regel nicht den Grund einer mangelhaften Gesichtsästhetik.
Das gummy smile: Ursachen eines „gummy smile“ sind vielgestaltig: Eine zu kurze Oberlippe, ein vertikales Wachstum des Oberkiefers oder ein unvollständiger passiver Zahndurchbruch sind die häufigsten Gründe, weshalb beim Lachen ein Großteil des Zahnfleisches sichtbar wird. Als ästhetisch ansprechend gilt ein Lächeln, bei dem die oberen Zahnkronen vollständig und etwa ein Millimeter Zahnfleisch sichtbar wird. Ist ein über etwa 3 mm sichtbarer Zahnfleischanteil vorhanden, wird es von Patienten als wenig attraktiv bewertet [Zucchelli, 2014, Ästhetische Parodontologie].
Eine Studie von Kokich et al., 1999 untersuchte, ab wann ein „gummy smile“ als unästhetisch angesehen wird. Hier zeigte sich, dass Kieferorthopäden ab zwei Millimeter sichtbarem Zahnfleisch, Laien ab vier Millimeter ein Lächeln als unästhetisch empfanden.
Andere Autoren sehen die Schwelle bei drei Millimetern sichtbarem Zahnfleisch [Zucchelli 2014, Ästhetische Parodontologie]. Bei einem idealen Lächeln verläuft die Lippenlinie entlang der marginalen Gingiva [Hempton et al., 2004] oder 1 mm apikal davon [Zucchelli, 2014, Ästhetische Parodontologie].
Mit zunehmendem Alter wird die Oberlippe länger. Dies stellt einen therapiebeeinflussenden Faktor dar, da die oberen Frontzähne nicht zu stark intrudiert werden sollten. Eine tiefe Lachlinie kann den Patienten optisch älter erscheinen lassen.
Ob eine kieferorthopädische Therapie das Auftreten von unvollständigem passivem Zahndurchbruch begünstigt, wird häufig kontrovers diskutiert. Eine Studie von 2014 [Nart et al., 2014] konnte hier aber keinen signifikanten Zusammenhang nachweisen.
Für Patienten mit einem „gummy smile“ über 4 mm gibt es 3 unterschiedliche Behandlungsmöglichkeiten [Kokich, 1993]:
1) kieferchirurgische Verlagerung der Maxilla nach kranial
2) parodontalchirurgische apikale Verschiebung der Gingivaränder
3) kieferorthopädische Intrusion der oberen Inzisivi mit konservierendem/prothetischem Schneidekantenaufbau.
Wie findet der Behandler nun die richtige Methode? Der Schlüssel hierzu liegt in der Diagnose.
Die diagnostischen Maßnahmen umfassen die Vermessung der Breiten-Längen-Verhältnisse klinischer Zahnkronen [Rufenacht, 1990] und der Kronen-Wurzel-Verhältnisse der Zähne [Kokich, 1993]. Hier muss differenzialdiagnostisch eine ausgeprägte Abrasion/Attrition ausgeschlossen werden. Eine Sondierung der Zahnsulki dient der ersten Orientierung. Die Sondierung betroffener „kurz erscheinender Zähne“ ist jedoch kein hinreichendes Kriterium [Zucchelli 2014, Ästhetische Parodontologie].
Hohe Sondierungstiefen entsprechen gingivalen Pseudotaschen, geringe Sondierungstiefen schließen einen unvollständigen passiven Zahndurchbruch keinesfalls aus, sondern können ebenso Hinweis auf die Lage des Knochenkamms koronal der Schmelz-Zementgrenze sein.
Die konventionelle Röntgendiagnostik (Zahnfilm) ist zwingender Bestandteil der Untersuchung. Eine metrische Analyse der Ober- und Unterlippenlinie beim Lachen, die Okklusionsebene und der Inzisalkantenverlauf können weitere Hinweise auf einen Bedarf an kieferorthopädischer, prothetischer oder kieferchirurgischer Mitbehandlung geben. Ebenso sollte die Zahnstellung in Bezug auf die Gesichtssymmetrie untersucht werden.
Die Sulkushöhe der oberen Frontzähne verläuft bei den seitlichen Inzisivi etwa 1 mm kaudaler, wie bei den mittleren Inzisivi und Canini [Stähli et al., 2015].
Der gingivale Phänotyp ist wichtig, wenn über Risiken und Therapiefolgen aufgeklärt wird. Eine dicke Gingiva ist weniger transparent und zudem weniger traumatisierbar. Auf der anderen Seite scheint die Rezidivgefahr nach einem resektiven Eingriff bei dicken Biotypen häufiger aufzutreten [Hempton et al., 2004)]
Fotoausdrucke (Foto vom Patientengesicht, in dem das „gummy smile“ durch harmonisches Lächeln ersetzt wird) und Mock-ups (Kosten-Nutzen-Abwägung) helfen bei der Indikationsstellung. Die bevorstehende Veränderung der dento-fazialen Ästhetik muss beim Aufklärungsgespräch deutlich gemacht werden. Ebenso ist eine sensible Einschätzung der Erwartungen, Wünsche und Compliance des Patienten von hohem Wert und kann gegebenenfalls zur Ablehnung der Therapie auf Behandlerseite führen.
Zu den genannten untersuchten Parametern kommt das individuelle ästhetische Empfinden des Patienten hinzu, da es nicht ausreicht, wenn der Parodontologe erkennt, dass mit einem Eingriff dem Patienten geholfen werden kann [Hempton et al., 2004]. Hier sollte schon durch mehrfache Patientenaufklärung eine Sensibilisierung von Wünschen und Vorstellungen erfolgen.
Der gründlichen Diagnostik von Patienten mit einem hohen Lachen kommt eine enorme Bedeutung zu. Zusammen mit der Erfahrung und manuellen Fertigkeit des operativ tätigen Parodontologen ist dies der Schlüssel zum Erfolg.
Wie oben beschrieben liegen die Ursachen in
a) einer kurzen Oberlippe (anatomisch oder muskulär) [Alleen, 2002],
b) einem ausgeprägten vertikalen Wachstum des Oberkiefers [Garber et al., 1996]
oder wie vorliegend c) einem unvollständigen passiven Zahndurchbruch.
Liegt die Ursache in einer zu kurzen Oberlippe, wird die Möglichkeit beschrieben, über eine minimalinvasive operative Therapie den Oberlippenheber zu schwächen und somit eine hohe Lachlinie zu senken [Dayakar et al., 2014].
Im Falle eines vertikalen Wachstums des Oberkiefers kann ein orthognather kieferchirurgischer Eingriff angezeigt sein. Liegt ausschließlich im Frontzahnbereich zu viel Zahnfleisch frei und ist eine geringe Sondierung sowie physiologischer Position des limbus alveolaris diagnostizierbar, liegt die Alternativtherapie (wie bei einem ungünstigen Wurzel-Kronen-Verhältnis) in einer Intrusion der oberen Frontzähne mit anschließendem prothetischem oder konservierendem Aufbau [Kokich et al., 2006].
Das Vortäuschen einer Rezession der oberen Eckzähne und die Anpassung des Lappendesigns stellen im vorliegenden Fall Herausforderungen dar. Der ausgeprägte unvollständige passive Zahndurchbruch der Inzisivi und Prämolaren und die prominente Stellung der Eckzähne im Zahnbogen verstärken den Ersteindruck, dass eine Rezession vorliegt. Die Eckzähne sind regelrecht durchgebrochen und nicht chirurgisch-kieferorthopädisch eingestellt worden.
Bei dieser Anamnese erscheint die Zahnkrone häufig verlängert, da der Durchbruch durch die mucosa alveolaris erfolgt. Wäre für die Eckzähne mehr Platz vorhanden, hätte man über die kieferorthopädische Therapie die Eckzähne etwas weiter extrudieren können, wodurch der Zahnfleischsaum mit nach kaudal gekommen wäre.
Eine weitere kieferorthopädische Therapiealternative wäre die Intrusion der Inzisivi mit anschließender resektiver PA-Chirurgie. Allgemein kann eine Intrusion „Pseudotaschen“ bilden, die über die chirurgische PA entfernt werden können, um die Krone optisch zu verlängern und Keimnischen zu eliminieren.
Zusammenfassung
Ziel der chirurgischen Behandlung eines unvollständigen passiven Zahndurchbruchs ist eine Verbesserung der Ästhetik, die Eliminierung von Pseudotaschen und eine Erleichterung der häuslichen Mundhygiene sowie einen harmonischen, girlandenförmigen Gingivaverlauf mit ausreichender Höhe und Dicke des keratinisierten Gewebes zu erzielen [Zucchelli, 2014]. Weiterhin sollte die Rezidivgefahr durch Ausdünnen der vestibulären Knochenanteile und Resektion des Knochens an der Schmelz-Zement-Grenze vermieden werden.
Dr. Otmar Elsäßer, MKG Solitude
Solitudestraße 24, 71638 Ludwigsburg
Tel: 07141.97676.0
info@mkg-solitude.de
Dr. Ingrid Schmitt, Kieferorthopädin
Hauptstraße 161, 68259 Mannheim
Literaturverzeichnis
Alleen, E.P.: (2002).”The role of Periodontal Plastic Surgery in Esthetic Dentistry.” Texas Dental Journal October: 1008-1015
Bensimon, G.C.: (1999). “Surgical Crown-Lengthening for Procedure to Enhance Esthetics.” Int J Periodontics Restorative Dent 19(4): 333-341
Dayakar, M.M.: (2014). „Lip repositioning: An Alternative Cosmetic Treatment for Gummy Smile.” J Indian Soc Periodontol 18(4): 520-523
Garber, D.A. and Salama, M.A.: (1996). “The aesthetic smile: diagnosis and treatment” Periodontology 2000 11:18-28
Hempton, T.: (2004). Aspekte in der amerikanischen Parodontologie und Implantologie. Teil 4: Die Kronenverlängerung in der anterioren ästhetischen Zone der Maxilla. Dental Implantology 8
Kokich, V.G.: (1993). „Esthetics and anterior tooth position: An orthodontic perspective. Part III. Mediolateral relationships.” J Esthet Dent 5: 200-207
Kokich V.O.: (1999). “Comparing the perception of dentists and lay people to altered dental esthetics.” J Esthet Dent 11: 311-324
Kokich, V.G. and V.O.: (2006). “Correcting Anterior Esthetic Dilemmas – Part 2: What and How?” Inf Orthod Kieferorthop. 38: 247-256
Miller, P.D.: (1996). “The development of periodontal plastic surgery.” Periodontology 2000 11:7-17
McGuire M.K.: (1998). Periodontal plastic surgery. Dental Clinics of North America, Advances in Periodontics, Part II. 42: 411-465
Nart J.: (2014). „Prevalence of altered passive eruption in orthodontically treated and untreated patients.“ J Peridontal 85(11)
Nowzari, R.: (2001). „Aesthetic osseous surgery in the treatment of periodontics.“ Periodontology 2000 27: 8-28
Oringer, J.R. and Iacono, V.J.: (1999) “Current Periodontal Plastic Procedures Around Teeth and Dental Implants.” NYSDJ June/July: 26-31
Rufenacht, C.R.: (1990). Fundamentals of Esthetics. Quintessenz, Chicago IL
Stähli, A.: (2015). Die chirurgische Kronenverlängerung zur Verbesserung der biologischen Breite und Ästhetik. Swiss Dental J Vol. 125: 577-586
Sonick, M.: (1997). „Esthetik Crown Lengthening for Maxillary Anterior Teeth.” Compendium of Continuing Education in Dentistry 18(8): 807-819
Striegel, M., Schwenk, T.: (2005). „Orale Harmonie durch weiße und rote Ästhetik“ Cosmetic Dentistry 4: 16-19
Zucchelli, G.: (2014). “Ästhetische Parodontologie”, Quintessenz














