Die ektodermale Dysplasie
Zusammenfassung
Die ektodermale Dysplasie (ED) umfasst eine heterogene Gruppe von Erbkrankheiten, denen Entwicklungsstörungen von Derivaten des embryonalen Ektoderms gemeinsam sind. Die Diagnosestellung einer ED erfolgt in der Regel zu einem relativ späten Zeitpunkt, meist in Zusammenhang mit einem verzögerten Zahndurchbruch. Aufgrund der hohen Prävalenz an oralen Fehlbildungen ist auch der Zahnarzt bei der Diagnosestellung gefordert.
Um den jungen Patienten trotz fehlender Zähne eine adäquate soziale Integration zu ermöglichen, ist eine frühe zahnärztliche Intervention angezeigt. Mittels einer prothetischen Rehabilitation können einerseits die Ästhetik, andererseits auch die Kaufunktion und die Phonetik und somit das Selbstvertrauen entscheidend verbessert werden.
Aufgrund der Komplexität dieser Patientenfälle ist eine multidisziplinäre koordinierte Zusammenarbeit von Kinderärzten und -zahnärzten, Kieferorthopäden, Oral- oder Kieferchirurgen und Prothetikern entscheidend, um den Patienten bis ins Erwachsenenalter kompetent zu betreuen. Anhand zweier Falldarstellungen werden einfache prothetische Versorgungen eines Geschwisterpaars aufgezeigt.
Einleitung
Die ektodermale Dysplasie (ED) umfasst eine heterogene Gruppe von Erbkrankheiten, die durch eine Entwicklungsfehlbildung von mindestens zwei ektodermalen Strukturen gekennzeichnet ist. Bisher sind über 200 verschiedene Formen mit einer breiten genetischen Heterogenität bekannt, wobei der genetische Defekt in nur etwa 30 Prozent der diagnostizierten Fälle bekannt ist. Eine Korrelation zwischen Genotyp und Phänotyp konnte bislang nicht aufgezeigt werden. Der Umstand, dass die Diagnosestellung meist erst deutlich nach der Geburt erfolgt, erschwert die Sammlung und Archivierung von Patientendaten erheblich und erklärt die beschriebene Unterdiagnostizierung dieser Erbkrankheit.
Bis anhin bestehen in der Zahnmedizin kaum Studien von ausreichender Qualität bei Patienten mit ED. Bei den meisten Veröffentlichungen handelt es sich um Fallberichte mit schwacher wissenschaftlicher Evidenz (Bergendal 2010, Cluzeau et al. 2011; Schneider et al. 2011).
Für die Entwicklung der ektodermalen Strukturen ist eine komplexe reziproke Signalinteraktion zwischen dem embryonalen Ektoderm und dem darunterliegenden Mesoderm verantwortlich. Insbesondere die Haut, Zähne und Hautanhangsgebilde wie Haare, Nägel, Schweiß und Talgdrüsen sind betroffen. Aber auch Brust und Schilddrüsen, Thymus, Kornea und Konjunktiva, Tränengang und -drüse sowie zahlreiche neuro- und mesektodermale Strukturen wie Pigmentzellen der Haut und Haarknospen, Dermis, Hypodermis, Dentin und Teile des maxillofazialen Skeletts können eine Fehlbildung aufweisen (Clauss et al. 2008).
Die häufigste Form ist die hypohidrotische ektodermale Dysplasie (HED), die bereits 1848 erstmals beschrieben wurde (Thurnam 1848). Typische Leitsymptome dieser Form sind Hypohidrose (verminderte Schweißsekretion), Hypotrichose (wenig und dünnes Haar) und Hypodontie (fehlende Zahnanlagen). Die Speichelproduktion ist mehrheitlich stark vermindert und entspricht im Durchschnitt nur 25 Prozent der Norm. Die Unfähigkeit der Wärmeregulation kann zu einer Hyperthermie und einer potenziellen Hirnschädigung führen, weshalb das Mortalitätsrisiko insbesondere in den ersten vier Lebensjahren erhöht ist. Ansonsten weisen die betroffenen Menschen sowohl eine normale Lebenserwartung als auch Intelligenz auf.
Die Inzidenz bei dieser auch als anhidrotische ED oder Christ-Siemens-Touraine-Syndrom bezeichneten Form beträgt 1-10:100.000. Das Vererbungsmuster ist meist X-chromosomal rezessiv (Bergendal 2010; Lexner et al. 2007; Mortier & Wackens 2004). Ende des letzten Jahrhunderts wurde auf dem X-Chromosom auf dem Locus Xq12Xq13.1 eine Gen-Mutation entdeckt (Kere et al. 1996). Das entsprechende Gen (EDA-Gen genannt) kodiert das Protein Ektodysplasin A, welches für die Entwicklung von ektodermalem Gewebe verantwortlich ist. Bei dieser X-chromosomalen Vererbungsart sind Knaben deutlich häufiger und schwerwiegender betroffen als Mädchen, die als Trägerin des Gendefekts in der Regel nur milde Symptome zeigen.
Bei der autosomal dominanten und autosomal rezessiven Form der HED führt eine Mutation des Signalrezeptors EDAR (Ektodysplasin-Rezeptor) oder des Signalmoleküls EDARADD (EDAR-associated death domain) zu einer Störung der Signalkaskade in der Entwicklung von ektodermalen Strukturen (Bergendal 2010, Mortier & Wackens 2004).
Patienten mit ED leiden häufig an einer Oligodontie, definiert als schwere Hypodontie mit einer Nichtanlage von mindestens sechs permanenten Zähnen (Weisheitszähne ausgeschlossen) (Schalk van der Weide 1992). Die häufigsten Nichtanlagen im Milchgebiss sind die lateralen Inzisiven sowie die ersten Molaren im Ober- und im Unterkiefer; im bleibenden Gebiss die oberen ersten Prämolaren und die unteren Frontzähne. Am häufigsten vorhanden sind im Milchgebiss die ersten Inzisiven, die Eckzähne und die zweiten Molaren, jeweils im Oberkiefer; in der bleibenden Dentition die oberen ersten Molaren und die zentralen Inzisiven (Parsché et al. 1998).
Als Folge der Nichtanlagen unterbleibt die Ausbildung des Alveolarfortsatzes. Generell kann auch der Zeitpunkt des Zahndurchbruchs deutlich verzögert sein. Zudem sind Form und Strukturveränderungen der Zähne in Form von Zapfenzähnen und taurodonten Molaren häufig (Abb. 1).
Ein verändertes Schädelwachstum führt zu typischen Schädeldeformationen mit einer verringerten vertikalen Gesichtshöhe. Dies führt zusammen mit den häufig vorhandenen periorbitalen Falten und Hyperpigmentierungen, den ausgeprägten Supraorbitalwülsten, einer Sattelnase, einem flachen Gesichtsprofil und dünnem Haar zu einem typischen greisenartigen Gesicht (Johnson et al. 2002; Kramer et al. 2007; Parsché et al. 1998).
###more### ###title### Falldarstellung ###title### ###more###
Falldarstellung
In den vorliegenden Falldokumentationen eines Geschwisterpaars werden die Problematik dieser Erkrankung und die jeweils gewählte prothetische Versorgung beschrieben.
Fall 1
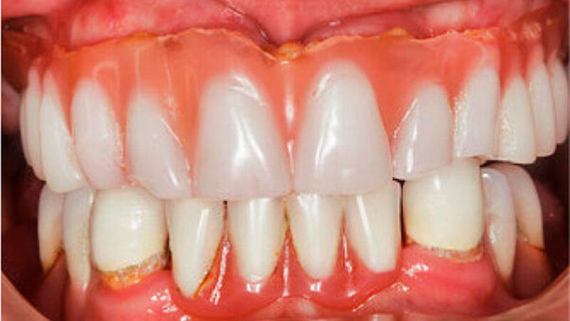
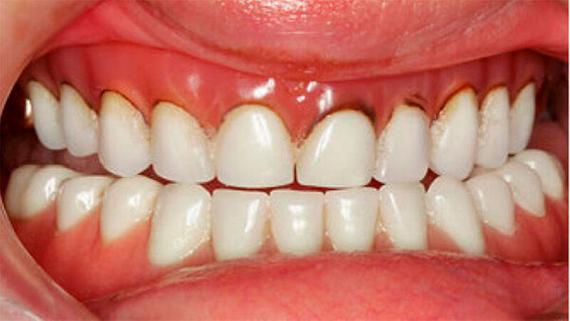
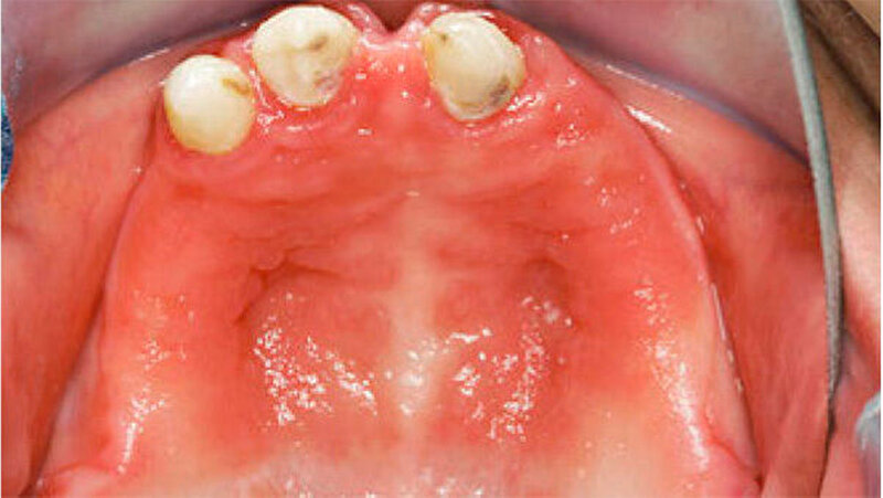
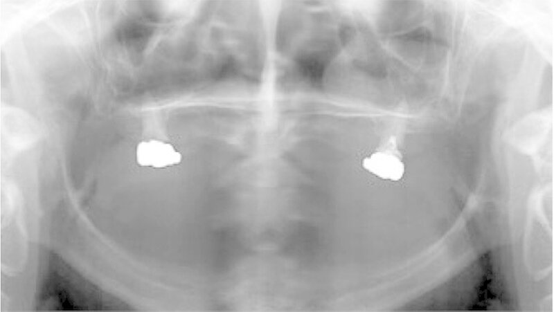
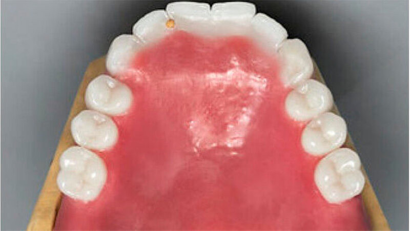
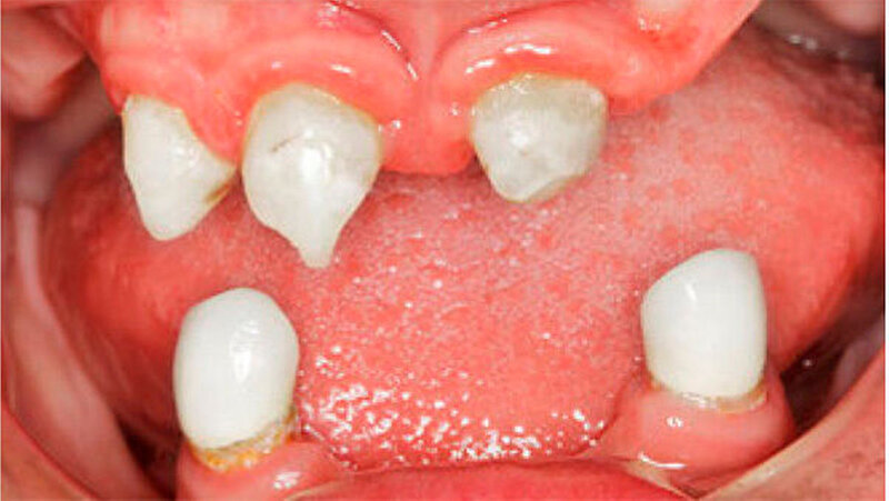
Der bei Behandlungsbeginn 14-jährige Patient war mit einer neun beziehungsweise fünfjährigen Prothese im Unter- beziehungsweise Oberkiefer versorgt (Abb. 2 und 3). Die angelegten Zapfenzähne 12, 11 und 21 waren bereits mehrfach konservierend restauriert und wiesen diverse Stellen mit Sekundärkaries auf. Die Kronenränder der Zähne 33 und 43 waren deutlich sondierbar. Der Kieferkamm im Unterkiefer war aufgrund der fehlenden Zahnanlagen sehr schmal (Abb. 4 bis 6). Die Panoramaschichtaufnahme zeigte das reduzierte vertikale Knochenangebot (Abb. 7). Da die Vitalerhaltung der wenigen Restzähne aufgrund des jungen Alters des Patienten unbedingt anzustreben war, wurde als Behandlungsziel im Ober- und Unterkiefer eine Versorgung mit Hybridprothesen, retiniert auf Teleskopkronen, festgelegt.
Um die Realisierbarkeit des Therapieziels zu überprüfen, erfolgte im Vorfeld eine diagnostische Aufstellung der Prothesenzähne im Ober- und im Unterkiefer, was eine adäquate Analyse des intra- und intermaxillären Platzangebots ermöglichte (Abb. 8 bis 10). Nun wurden die Pfeilerzähne für die Rekonstruktion mit Teleskopkronen präpariert (Abb. 11). Die individuellen Abformlöffel für die definitive Abformung entsprachen einem Duplikat der diagnostischen Aufstellungen des Ober- und Unterkiefers aus durchsichtigem Kunststoff. Dies ermöglichte gleichzeitig die Montage der Meistermodelle und die Übertragung der Gesamtaufstellung auf das Meistermodell.
Nach Einprobe der Aufstellung der Prothesenzähne in Wachs wurden die Primärteile aus Gold und deren Galvano-Sekundärteile hergestellt. Letztere wurden in die fertige Prothese eingeklebt (Abb. 12 und 13). Auf eine gegossene Gerüstverstärkung wurde aufgrund des ausreichenden Platzangebots und der relativ geringen Kaufkräfte bei dieser, als Übergangsprothese geplanten Arbeit, aus Kostengründen verzichtet. Zur Erhöhung der Bruchzähigkeit erfolgte die Prothesenherstellung mit dem IvoBase® System (IvoBase® Injector, IvoBase® High Impact). Eine zusätzliche Glasfaserverstärkung zur Frakturprophylaxe wurde in den Prothesenkunststoff eingearbeitet.
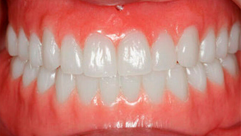
Durch Einbeziehung der Restbezahnung als Pfeilerzähne, und unter Beachtung deren Vitalerhaltung konnte der Patient funktionell und ästhetisch mit stabil verankerten Hybridprothesen rehabilitiert werden (Abb. 14 und 15). Teleskopkronen und -prothesen weisen Studien zufolge eine gute Langzeitprognose auf. Eine regelmäßige Nachsorge ist aber entscheidend für den Erfolg der Rekonstruktion. Da die Speichelmenge bei diesem Patienten im Normbereich liegt, ist diesbezüglich nicht von einem erhöhten Kariesrisiko auszugehen. Eine ungenügende Mundhygiene oder Mitarbeit hingegen stellen Risikofaktoren für biologische Komplikationen wie Parodontitis oder Karies dar. Nachteilig für den Erfolg der Rekonstruktion kann sich die relativ geringe Pfeilerzahl und deren Verteilung im Kiefer auswirken (Wöstmann et al. 2007).
Bei dieser Übergangsprothese sind notwendige Anpassungen und Reparaturen während der Wachstumsphase relativ einfach umsetzbar. Bei prothetisch stabiler Versorgung können nun der Patient und die Familie über die prospektiven Therapieoptionen und deren Konsequenzen informiert und darauf vorbereitet werden.
Langfristig kann eine Versorgung mit Implantaten in Erwägung gezogen werden. Limitierende anatomische Strukturen bedürfen allerdings einer genauen Implantatdiagnostik. Im Ober- und im Unterkiefer scheint die Versorgung mit implantatgetragenen, festsitzenden oder bedingt abnehmbaren Rekonstruktionen umsetzbar. Eine vorgängige chirurgische Optimierung des Knochenangebots zumindest im Oberkiefer ist wahrscheinlich. Die Hypoplasie der Maxilla kann, falls gewünscht, mittels Umstellungsosteotomie kompensiert werden.
###more### ###title### Fall 2 ###title### ###more###
Fall 2
Bei dieser bei Behandlungsbeginn 16-jährigen Patientin waren seit Geburt nur die beiden ersten Molaren im Oberkiefer ausgebildet. Die Folge waren schmale und niedrige Alveolarkämme mit einem flachen Gaumengewölbe (Abb. 16 und 17). Die röntgenologische Abbildung bestätigte das geringe vertikale Knochenangebot. Eine Formanomalie der Zahnwurzeln ließ auf taurodonte Molaren schließen. Beide Molaren wiesen ausgedehnte kariöse Läsionen auf (Abb. 18).
Die Patientin war mit einer knapp neunjährigen Teilprothese im Ober- und einer zweijährigen Totalprothese im Unterkiefer versorgt. Beim Lachen wurden die nicht mehr altersentsprechenden Prothesenzähne mit den deutlichen Randverfärbungen ersichtlich (Abb. 19). Das sagittale Wachstum des zahnlosen Unterkiefers führte in den letzten zwei Jahren aufgrund der verstärkten Kontakte im Frontzahnbereich zu einer beidseitigen Nonokklusion im Seitenzahnbereich (Abb. 20). Eine rasche Verbesserung der Ästhetik als auch der Funktion war unbedingt angezeigt, um das Selbstbewusstsein dieses puberalen Mädchens zu stärken.
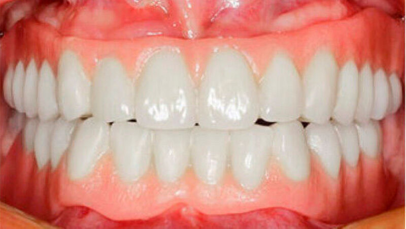
Aufgrund des anatomisch sehr ungünstigen Prothesenlagers war der Erhalt der Restbezahnung im Oberkiefer anzustreben. Nach Kariesexkavation und Wurzelkanalbehandlung konnten beide Zähne mit einer Wurzelstiftkappe versorgt und die alten Prothesen entsprechend umgebaut werden. Im Anschluss an die Meisterabformungen und an die Ausrichtung der Wachswälle wurden die Modelle schädelbezogen einartikuliert, und die Prothesenzähne nach ästhetischen und funktionellen Richtlinien aufgestellt. Eine bilateral balancierte Okklusionsbeziehung konnte umgesetzt werden. Im Oberkiefer wurde eine gerüstverstärkte Totalprothese hergestellt, die auf den beiden Wurzelstiftkappen 16 und 26 verankert war. Im Unterkiefer konnte die Patientin mit einer Totalprothese versorgt werden (Abb. 21 bis 23).
Verbunden mit dem Umstand, dass die Patientin eine ausgeprägte Oligosialie aufweist, ist das Kariesrisiko und hiermit verbunden, auch das Pfeilerzahnrisiko deutlich erhöht. Regelmäßige Kontrolluntersuchungen sind zwingend. Da das Kieferwachstum noch nicht abgeschlossen ist, werden weitere zahnärztliche Behandlungen unumgänglich sein. Diese wenig invasive und relativ zeitnah umsetzbare Therapie erlaubte jedoch eine deutliche Verbesserung der Funktion und der Ästhetik und führte zu einer sichtlichen Stärkung des Selbstbewusstseins. Weitere zukünftige aufwendigere Behandlungsoptionen - insbesondere implantatgetragene Restaurationen - können nun nach abgeschlossenem Wachstum, auf der Basis einer ästhetisch und funktionell akzeptablen Ausgangslage, im Behandlungsteam geplant werden.
Im Falle einer gewünschten Korrektur der mikrognathen Maxilla wird eine Umstellungsosteotomie notwendig. Zur Komfortsteigerung ist im Oberkiefer eine implantatretinierte, gaumenfreie Rekonstruktion (abnehmbar oder bedingt abnehmbar) anzustreben. Voraussetzung ist eine vorgängige Optimierung des Knochenbetts mittels Sinusbodenelevation in Kombination mit einem autologen Knochenblocktransplantat. Im Unterkiefer scheint aufgrund des geringen Knochenangebots und der fehlenden Hart- und Weichgewebe die Versorgung mit einer Hybridprothese, retiniert auf interforaminalen Implantaten, adäquat.
Eine eingehende Diagnostik ist unabdingbar, um die Vor- und Nachteile, Risiken und Prognosen der Behandlungsoptionen aufzuzeigen und mit der Patientin zu besprechen.
Diskussion
Die Herstellung der Kaufunktion, der Ästhetik und der Phonetik ist bei Patienten mit fehlenden Zähnen im Allgemeinen und solchen mit ED im Speziellen entscheidend für deren soziale Integration. Letztere bedürfen einer frühen prothetischen Rehabilitation, in der Regel vor dem Einschulungsalter. Mit einfachen und noninvasiven Verfahren können Kinder bereits ab einem Alter von zwei bis drei Jahren mit einfachen Kunststoff- oder Nylonprothesen versorgt werden (Klineberg et al. 2013b).
Das ungünstige Prothesenlager bei diesen Patienten erschwert allerdings das Erreichen eines adäquaten Prothesenhalts. Diverse Studien, mit bisher allerdings geringer Patientenpopulation und Beobachtungszeit, konnten zeigen, dass bei Patienten sowohl mit ED im Allgemeinen als auch im wachsenden Kiefer im Speziellen erfolgreich implantiert werden kann (Bergendal et al. 1991; Guckes et al. 2002; Kearns et al. 1999; Yap & Klineberg 2009).
Hierbei ist jedoch mit einem erhöhten Implantatverlustrisiko, insbesondere Frühverlust, zu rechnen. Dies ist einerseits auf die ungünstige anatomische Ausgangslage und die schmalen Knochenstrukturen zurückzuführen. Andererseits konnte aber auch gezeigt werden, dass mit der Mutation des EDA-Gens strukturelle und morphologische Veränderungen der Knochenstruktur einhergehen. Inwieweit diese erhöhte Knochendichte für den Erfolg der Implantate entscheidend ist, bleibt noch zu klären (Clauss et al. 2008; Ruhin et al. 2001).
Generell ist die Implantaterfolgsrate in der Mandibula höher (Bergendal et al. 2008; Guckes et al. 2002; Kearns et al. 1999; Li et al. 2011; Sweeney et al. 2005; Yap & Klineberg 2009). Zu beachten ist, dass sich Ober- und Unterkiefer während des Wachstums entwickeln, während sich ein Implantat ähnlich wie ein ankylosierter Zahn verhält. Dies kann im wachsenden Kiefer zu einer unvorhersehbaren Implantatposition und zu einer Modifikation des Knochenwachstums führen. In zahnbenachbarten Regionen resultiert aufgrund des ausbleibenden vertikalen Wachstums des Alveolarfortsatzes zudem eine Infraokklusion der Implantatrekonstruktion.
Das transversale Wachstum erfolgt im Oberkiefer vornehmlich an der medianen Sutur des Os palatinum. Um eine Wachstumshemmung zu verhindern, darf somit keine Verblockung der beiden Kieferhälften während des Wachstums erfolgen. Im Unterkiefer hingegen ist das transversale Wachstum nach Schluss der Symphysensutur bereits nach sechs Lebensmonaten abgeschlossen. Da das sagittale Wachstum der Mandibula vornehmlich an den Kondylen stattfindet, gilt die anteriore Unterkieferregion beim zahnlosen ED-Patienten für eine frühe Implantation im wachsenden Kiefer als am besten geeignet (Johnson et al. 2002; Kearns et al. 1999; Klineberg et al. 2013a, 2013b; Kramer et al. 2007).
Bei der Interpretation der Studienresultate ist allerdings zu beachten, dass es sich bei allen bisherigen Studien um eine eher kleine Population handelt, die zudem einer kurzen Beobachtungszeit unterlag. Randomisierte klinische Kontrollstudien zu dieser Thematik existieren bislang nicht. Es wird deshalb nach wie vor der Standpunkt vertreten, dass vor Wachstumsabschluss in der Regel nicht implantiert werden soll.
Eine Implantation bei Patienten mit einer schweren Oligodontie oder Hypodontie kann allerdings dann erwogen werden, wenn es das Wachstumsmuster in spezifischen Fällen erlaubt. Dies gilt insbesondere für den zahnlosen Unterkiefer, wo im individuellen Fall im interforaminalen Bereich in einem Alter von sieben bis acht Jahren frühzeitig implantiert werden kann. Dennoch erfordern fehlende Langzeitresultate von Implantationen bei Patienten mit ED während des Wachstums eine generelle Zurückhaltung implantologischer Eingriffe. Allgemeine Regeln zur Therapiewahl sind aufgrund von großen interindividuellen Unterschieden nicht angezeigt. Die Behandlungsplanung muss patientenspezifisch erfolgen (Klineberg et al. 2013b).
###more### ###title### Fazit und Nachsorge ###title### ###more###
Fazit und Nachsorge
Die beiden vorgestellten Patienten aus der gleichen Familie waren bei Behandlungsbeginn bereits im Schulalltag integriert. In erster Linie war eine Optimierung der Funktion und der Ästhetik anzustreben, um dadurch das Selbstvertrauen und die soziale Integration zu verbessern. Eine zahnärztliche Behandlung stellt für die jungen Patienten und für deren Angehörige aber eine nicht zu vernachlässigende zeitliche wie physische und psychische Belastung dar, insbesondere unter Beachtung der pubertären Lebensphase und der an die Kinder gestellten schulischen Anforderungen.
Auch wenn bei beiden Patienten langfristig eine implantatunterstützte Rekonstruktion anzustreben ist, müssen sowohl das erhöhte Implantatverlustrisiko bei Patienten mit ED im Wachstum als auch die erhöhte Belastung für die jungen Patienten berücksichtigt werden. In vielen Fällen sind präimplantologisch zusätzliche chirurgische Eingriffe zur Optimierung des Knochenbetts erforderlich.
Beide Patienten haben sich im Laufe der Kindheit bestens an die abnehmbaren Prothesen adaptiert, was die Anfertigung von neuen Prothesen zum damaligen Zeitpunkt unterstützt hat. Dank der Einbeziehung der Restbezahnung als Verankerungspfeiler für die Prothesen konnte vorerst ohne aufwendige chirurgische Therapie ein ausreichender Prothesenhalt erreicht werden. Bei beiden Patienten handelt es sich aufgrund des noch nicht vollständig abgeschlossenen Wachstums allerdings um eine Zwischenlösung. Diese erlaubt Behandler, Patient und Eltern ohne Zeitdruck gemeinsam eine Planung für die zukünftigen zahnärztlichen Behandlungen zu erarbeiten, sich auf die zukünftigen Eingriffe psychologisch vorzubereiten und einen idealen Zeitpunkt für die anstehenden Maßnahmen auszuwählen.
Die Komplexität dieser Erkrankung bedingt ein engmaschiges Nachsorgeintervall. Kieferwachstum führt zu okklusalen Verschiebungen als auch zu Veränderungen des Prothesenbetts. Zudem weisen viele Patienten mit ED aufgrund von Entwicklungsstörungen der Speicheldrüse eine verminderte Speichelsekretion auf. Aufgrund der resultierenden fehlenden Lubrifikation und Remineralisierungsfähigkeit kann die Kariesanfälligkeit erhöht sein. Die Schleimhäute sind gerötet und oftmals leicht verletzlich, die Patienten klagen über Sprech-, Schluck- und Kaubeschwerden (Lexner et al. 2007). Bei Menschen mit ED ist die Prävalenz von oralen Fehlbildungen mit 75 bis 80 Prozent sehr hoch (Hobkirk et al. 2006).
Diagnosen werden in vielen Fällen aufgrund von Nichtanlagen gestellt. Dies verdeutlicht die entscheidende Bedeutung der Zahnärzte bei der Diagnosestellung. Bei verzögertem Zahndurchbruch ist der Zahnarzt verpflichtet, weitere Abklärungen zu veranlassen (Kramer et al. 2007). Die Komplexität dieser Erkrankung erfordert aber zwingend eine multidisziplinäre Zusammenarbeit von Kinderzahnärzten, Kieferorthopäden, Prothetikern und Kieferchirurgen (Yap & Klineberg 2009).
Verdankungen
Bei den beiden Patienten möchten wir uns ganz herzlich für deren Offenheit und Mitarbeit bedanken. Den Herren ZTM Fernando Pasamontes (Zug, CH) und Andreas Lorenzon (Zürich, CH) danken wir für die engagierte und hochwertige Umsetzung und Ausführung der zahntechnischen Arbeiten. Der Selbsthilfegruppe Ektodermale Dysplasie e.V. danken wir für die hilfreiche Unterstützung der Betroffenen.
Abstract
Glenz F, Marinello C P: Ectodermal dysplasia. A challenge for dentists (in German). SWISS DENTAL JOURNAL SSO 125: 1221–1227 (2015)
Ectodermal dysplasias (EDs) form a large clinically and genetically heterogeneous group of manifestations characterized by dystrophy or agenesis of embryologic ectodermal derivatives. Therefore skin, nails, hair, teeth and secretory organs are mainly affected. Hypohidrotic ectodermal dysplasia (HED) is the most common ED syndrom. It is characterized by atrichosis or hypotrichosis, anodontia or hypodontia and hypohidrosis. Missing teeth or retarded eruption of teeth often leads to the diagnosis of ED, which emphasizes the significance of an appropriate dental examination. Tooth agenesis and its effects on craniofacial structures are often the most signicificant clinical and therapeutical problem. It is a challenge to manage the functional, esthetic and psychosocial needs of these patients and therefore requires the involvement of different specialists, such as pediatrists, pedodontists, oral surgeons and prosthodontists.
Glenz F1, Marinello CP, Ektodermale Dysplasie,in: Swiss Dent J. 2015;125(11):1221-34. [Article in French, German], PMID:26631270


























