Die Evidenz für das multifunktionale Restaurationsmaterial
Unter Federführung der Deutschen Gesellschaft für Zahnerhaltung (DGZ) und der Deutschen Gesellschaft für Zahn-, Mund- und Kieferheilkunde (DGZMK)) wurde jetzt die S3-Leitlinie zum Einsatz von Komposit an bleibenden Zähnen veröffentlicht. Mit dieser Leitlinie existiert für die Anwendung von Komposit jetzt erstmalig eine fundierte Aufbereitung der vorliegenden Evidenz auf Grundlage einer systematischen Literaturrecherche und -auswertung. Die bisherige S1-Handlungsempfehlung aus dem Jahr 2016 ist um die Themen Komposit im Front- und Seitenzahnbereich, in allen Kavitätenklassen und für alternative Indikationen wie Höckerersatz und Zahnformkorrekturen erweitert worden.
Komposit im Seitenzahnbereich: Erkenntnisse und Daten-Gap
In den letzten drei Jahrzehnten wurden in Deutschland bei kariesbedingten und nicht-kariesbedingten Defekten zunehmend zahnfarbene Kompositmaterialien verwendet. Die klinischen Erfahrungen mit dem Füllungswerkstoff sind groß. „Die Aufbereitung der Daten hat allerdings gezeigt, dass sich die langjährige klinische Erfahrung mit Komposit nicht unbedingt in der Datenlage zu Komposit als Werkstoff für direkte Restaurationen im Seitenzahnbereich widerspiegelt“, sagt die Leitlinienkoordinatorin und Mitautorin Prof. Dr. Diana Wolff aus Heidelberg. Komposit schnitt über viele Studien hinweg für die direkte Versorgung bei Klasse-I- und -II-Kavitäten „nur“ gleichwertig gegenüber Amalgam, Keramik und teilweise auch Glasionomerzement ab.
Einschränkend muss jedoch angemerkt werden, dass die verglichenen Kriterien Retention, Fraktur und Sekundärkaries waren, nicht jedoch Ästhetik oder Invasivität der Restauration. Zudem hatte die Zusammensetzung der Kohorten in den vorhandenen Studien - immerhin elf systematische Reviews, inklusive neun Meta-Analysen- einen Einfluss. Oft waren Kinder einbezogen, deren Compliance für den techniksensiblen Werkstoff Komposit manchmal nachteilig war. Bei „reinen Kompositstudien“ an Erwachsenen ohne Vergleichs-Restaurationsmaterial waren die Ergebnisse deutlich besser. Dieser „Daten-Gap“ führte zur evidenzbasierten Kann-Empfehlung: „Kompositrestaurationen können für die direkte Versorgung bei Klasse-I- und -II-Kavitäten verwendet werden“, heißt es daher in der Leitlinie.
Höckerersatz aus Komposit - Stabilität bescheinigt
Die S3-Leitlinie enthält in Erweiterung zu der bisherigen S1-Handlungsempfehlung nun auch eine evidenzbasierte Empfehlung den Höckerersatz betreffend: „Kompositrestaurationen können bei Kavitäten mit Höckerersatz im Seitenzahnbereich angewendet werden.“ Eine Empfehlung, die von den Vertretern aller beteiligten Fachgesellschaften im Konsens verabschiedet wurde. Die Literatur bescheinigt modernen Kompositmaterialien eine adäquate Frakturresistenz und Abrasionsstabilität. Indirekte Restaurationen kommen dann in Betracht, wenn die Verlagerung eines Teils des Fertigungsprozesses nach extraoral zum Beispiel aufgrund eingeschränkter Compliance, schlechter Zugänglichkeit oder komplexer Rehabilitation vorteilhaft ist.
Soll-Empfehlung: Komposit im Frontzahnbereich
Für die Versorgung von Klasse-III- und -IV-Defekten sollen evidenzbasiert ausschließlich direkte Komposite verwendet werden. „Kompositrestaurationen zeigen bei guter bis exzellenter klinischer Qualität evident hohe Überlebensraten“, sagt die Methodikerin der Leitlinie Priv. Doz. Dr. Caroline Sekundo, die mit ihrem Team die vorhandene Literatur systematisch durchsucht und bewertet hat. Zusätzlich sind adhäsiv verankerte Restaurationen aufgrund ihrer geringen Invasivität gegenüber retentiv verankerten oder indirekten Alternativen zu bevorzugen.
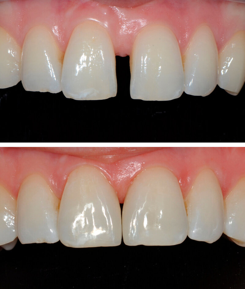
Soll-Empfehlung zu minimal-invasivem Vorgehen bei elektiven Eingriffen
Zur Zahnformkorrektur im Frontzahnbereich sollen evidenzbasiert bevorzugt minimal- oder noninvasive direkte Kompositrestaurationen eingesetzt werden, mit der Option auf indirekte Keramikveneers als Alternative. „Neben dem minimal oder non-invasiven Vorgehen verlängert nicht zuletzt die Reparaturfähigkeit von Kompositen das Restaurationsüberleben“, erläutert Prof. Dr. Cornelia Frese aus Heidelberg als Mitautorin und Mandatsträgerin für die Deutsche Gesellschaft für Präventivzahnmedizin (DGPZM).
Komposit bei Klasse V-Kavitäten: Auf das Adhäsivprotokoll kommt es an!
Für die Retention von Komposit in Klasse-V-Kavitäten ist das Adhäsivprotokoll maßgeblich. Daher heißt es in der Leitlinie, dass bei Gewährleistung adäquater Kontaminationskontrolle und Adhäsivtechnik direkte Kompositmaterialien evidenzbasiert zur Anwendung kommen können. Werden direkte Kompositrestaurationen zur Restauration von Klasse V Defekten verwendet, sollten 2-Schritt-Self-Etch-, 3-Schritt-Etch-and-Rinse-Adhäsivsysteme oder neuere Universaladhäsive verwendet werden.
Von Kariesexkavation bis Lichtpolymerisation
In der S3-Leitlinie sind weitere Punkte mit konsensbasierten Empfehlungen ausgewiesen, die den Erfolg einer Kompositrestauration maßgeblich mitbestimmen:
Pulpanah: selektive, einzeitige Kariesexkavation
Bei der Kariesentfernung sollte bei pulpanahen Dentinläsionen eine einzeitige selektive Kariesentfernung der schrittweisen oder non-selektiven Kariesentfernung vorgezogen werden. Das heißt, in pulpanahen Kavitätenarealen wird die kariös veränderte Zahnhartsubstanz nicht oder nur teilweise exkaviert, während sie in anderen peripheren Kavitätenbereichen bis zur harten (gesunden) Zahnhartsubstanz entfernt wird.
Schmelzätzung und Approximalkontakte
Zur langfristigen Verbesserung der Schmelzrandqualität und Vermeidung von Randverfärbungen sollte ein Anätzen des Schmelzes bei allen direkten Kompositrestaurationen mit Phosphorsäure erfolgen. Zwei-Schritt-Self-Etch-, 3-Schritt-Etch-and-Rinse-Adhäsivsysteme oder Universaladhäsive sollten für direkte Kompositrestaurationen bevorzugt werden. Für die Formgestaltung von Approximalkontakten empfehlen die Leitlinienautorinnen, dass für Klasse-II-Kavitäten anatomisch vorgeformte Teilmatrizen zusammen mit Keil und Ringsystem verwendet werden sollten.
Korrekte Handhabung bei der Lichtpolymerisation
Da die überwältigende Mehrheit der heute verwendeten Kompositmaterialien rein lichthärtend ist, kommt der korrekten Handhabung des Polymerisationsgerätes und der regelmäßigen Prüfung seiner Energieleistung eine besondere Bedeutung für die vollständige Durchhärtung der Kompositrestauration zu. Ein konsensbasiertes Statement erachtet die Punkte Polymerisationsrichtung, Abstand, Durchmesser des Lichtkegels und die eingebrachte Energie (Leistung x Zeit), sowie die Berücksichtigung der Opazität und Farbe des Komposits bei der Dauer der Lichtpolymerisation als wichtige Faktoren, die bei der direkten Restaurationstechnik mit Komposit berücksichtigt werden müssen.
Anwendung von Komposit: Endlich aufbereitete Evidenz anstatt Bauchentscheidung
Die Indikationen für Komposit sind derart vielfältig, dass eine Entscheidung für die beste Vorgehensweise in der konkreten klinischen Situation patientenzentriert und, wann immer möglich, präventionsorientiert erfolgen kann. Die Leitlinienautorinnen stellen die wichtigsten Neuerungen auf der gemeinsamen Jahrestagung von DGZ und DGPro (14. bis 15. Juni 2024, Leipzig) in einer interaktiven Session vor. Die Session erfordert allerdings eine Anmeldung zur Tagung. Nähere Informationen gibt es hier.
DGZ, DGZMK: S3-Leitlinie „Direkte Kompositrestaurationen an bleibenden Zähnen im Front- und Seitenzahnbereich“, Langfassung, Version 2.0, 2024, AWMF-Registriernummer: 083-028. Die Leitlinie ist auf der Webseite der AWMF veröffentlicht.



