"Durchbruch in der zahnmedizinischen Bildgebung"
Eine kleine kabellose Doppelspule aus Metall wird über die Zahnbereiche gestülpt und verstärkt das MRT-Signal bis zu zehnfach. Die Spule ist mit allen MRT-Geräten kompatibel und wird in Freiburg bereits in der Operationsplanung eingesetzt.
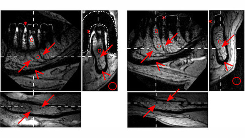
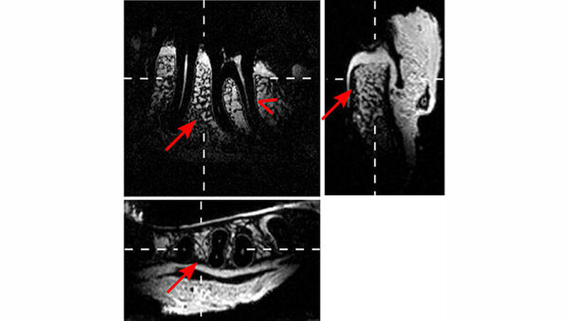
Kieferknochen, Gefäß-Nerven-Stränge und das Weichgewebe werden dargestellt
„Die neue Methode trägt wesentlich dazu bei, dass die Magnetresonanztomografie in Zukunft die konventionelle Röntgendiagnostik in der Zahn-, Mund- und Kieferheilkunde ersetzen wird“, sagt Oberärztin Prof. Katja Nelson. „Vor einer Operation können wir Kieferknochen, Gefäß-Nerven-Stränge und das umgebende Weichgewebe darstellen und so bei der Operation besonders schonend vorgehen, ohne den Nerv zu treffen.“ Da für die Patienten keine Strahlenbelastung besteht, könnten Ärzte die Bildgebung auch erstmals zur regelmäßigen Kontrolle des Heilungsverlaufs einsetzen.
Artikel nicht gefunden id_extern: typo3-import-article-432
<interactive-element xmlns:ns3="http://www.w3.org/1999/xlink" ns3:href="censhare:///service/assets/asset/id/" ns3:role="censhare:///service/masterdata/asset_rel_typedef;key=actual."/>
Kernstück der Dental-MRT-Methode ist eine etwa einen Zentimeter hohe Spule aus zwei parallel angeordneten Metallringen. Aufgrund ihrer elektrophysikalischen Eigenschaften verstärkt die Doppelspule die MRT-Signale des umschlossenen Gewebes. Dadurch wird eine Auflösungsgenauigkeit von etwa einem Drittel Millimeter erreicht, die der des Röntgens nahekommt. Die Spule funktioniert ohne Energie und ist für den Patienten absolut ungefährlich. „Unsere Lösung für ein altes Problem der Zahnheilkunde ist an sich technisch recht einfach und trotzdem eine echte Innovation“, sagt Studienleiter Jan-Bernd Hövener.
Mithilfe der entwickelten drahtlosen, intraoralen, induktiv-gekoppelten Spulen kann demnach ein MRT in einer ausgewählten Region mit hoher Auflösung in einer klinisch möglichen Zeit von etwa vier Minuten erstellt werden. In der Vergangenheit wurde den Forschern zufolge schon versucht, das MRT-Signal mit Einzelspulen zu verstärken, allerdings ohne durchschlagenden Erfolg. Die jetzt verwendete Doppelspule erlaube nun Bilder von wesentlich höherer Qualität. Dass die Spule kein Kabel benötigt, erleichtere zudem den Einsatz für den Patienten. Die Freiburger Forscher haben die neue Methode bereits patentieren lassen.
Das Team um PD Dr. Jan-Bernd Hövener, Emmy-Noether-Gruppenleiter an der Klinik für Radiologie des Universitätsklinikums Freiburg, hat die kabellose Spule entwickelt. Ärzte um Prof. Katja Nelson, Oberärztin an der Klinik für Mund-, Kiefer- und Gesichtschirurgie des Universitätsklinikums Freiburg, wiesen den Nutzen in der Diagnostik und Planung vor einer Operation nach.
Dental MRI using wireless intraoral coils; Scientific ReportsDOI: 10.1038/srep23301Magnetic resonance imaging of intraoral hard and soft tissues using an intraoral coil and FLASH sequences; European RadiologyDOI: 10.1007/s00330-016-4254-1











