Eine ästhetische Alternative
Zirkoniumdioxidmaterialien für Brücken und Versorgungen im Seitenzahn sind gang und gäbe. Wie sieht es im ästhetischen Bereich aus?
Zellerhoff:
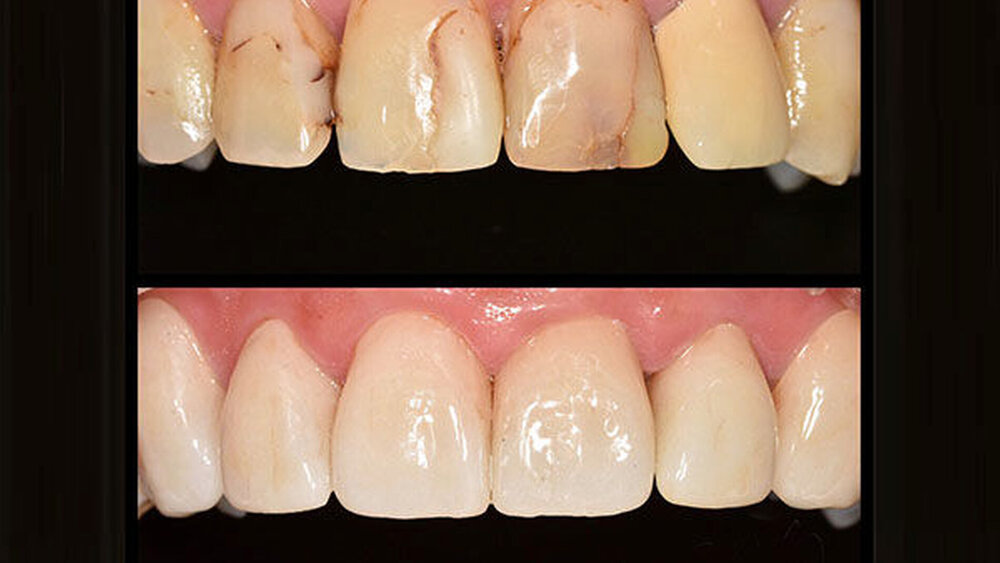
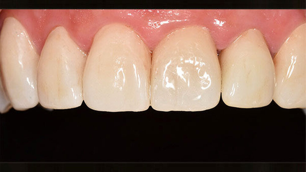
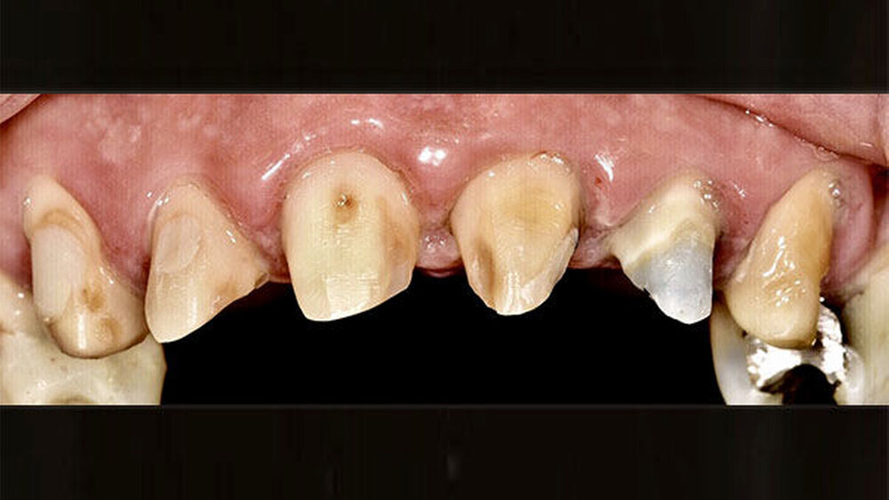
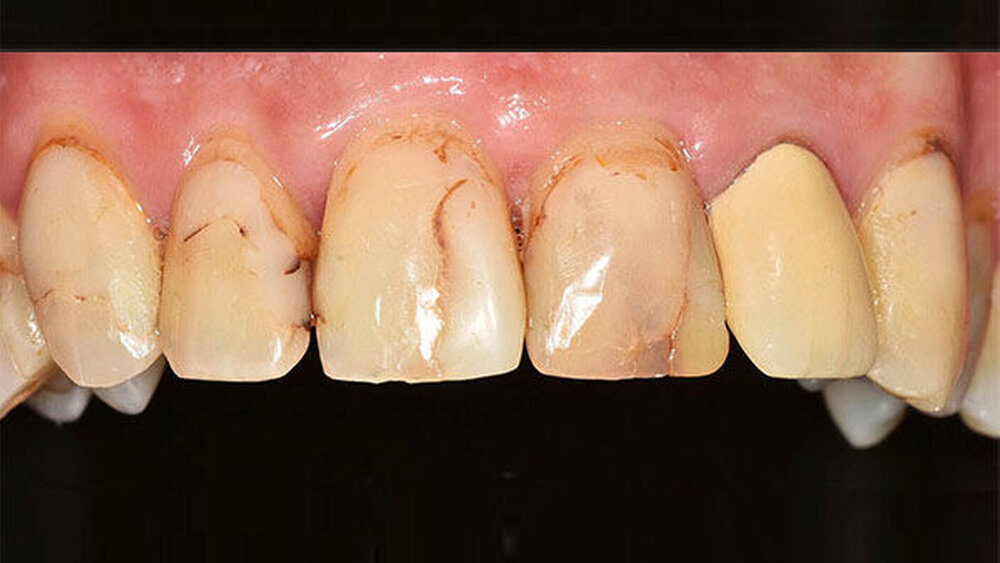
Geschichtetes Zirkonoxid mit einer entsprechenden Transluzenz wie der Kantana Zircona Block eignet sich auch für den Frontzahnbereich. Andere Zirkoniumdioxidmaterialien wirken oft tot, das geschichtete Material hingegen sehr natürlich.
Seit wann setzen Sie die neuen Blöcke ein?
Zellerhoff:
Seit März dieses Jahres standen uns die Blöcke zur Verfügung; wir haben bisher rund 40 Fälle damit versorgt, auch in der ästhetischen Zone.
Was sind die Hauptindikationen?
Zellerhoff:
Die Blöcke eignen sich für fast alle Indikationen. Natürlich machen wir keine Inlays damit, und bei implantatprothetischen Arbeiten halten wir uns derzeit auch noch zurück.
Funktioniert das nicht?
Zellerhoff:
Mit Klebebasen, also zweiteiligen Implantataufbauten, natürlich schon. Wir favorisieren aber die einteilige Versorgung mit CEREC, und den Block zur Verklebung mit der TiBase gibt es derzeit noch nicht, er soll aber kommen. Das gilt übrigens auch für einen Brückenblock.
„Der Block, der Sintern in 30 Minuten ermöglicht“ – mit diesem Slogan wirbt Kuraray für das neue Material. Ist das wirklich zu schaffen?
Zellerhoff:
Wenn man trocken fräst, auf jeden Fall. Ich fräse allerdings noch nass, und das Programm benötigt dann 45 Minuten, denn der Grünling muss erst getrocknet werden. Dazu kommen noch ca. 15 Minuten für den Glasurbrand im Speedfire. Alternativ ist aber auch einfach eine Politur der Restauration möglich.
Wie wird getrocknet?
Zellerhoff:
Wir benutzen dazu auch den Sinterofen „Speedfire“ (Dentsply Sirona). Vortrocknen und Sintern sind dort in einem Programm zusammengefasst. Der Ofen ist komplett ins CEREC-System eingebunden und alle benötigten Informationen werden direkt an ihn übertragen. Im Display muss man dann nur das passende Programm mit Vortrocknen anwählen.
Würden Sie gerne aufs Trockenfräsen umsteigen?
Zellerhoff:
Ja, denn nicht nur die Zeitersparnis ist ein Vorteil. Trocken zu fräsen scheint auch bessere Ergebnisse zu liefern. Wir haben das bei uns im CEREC-Fortbildungszentrum (DDA/ Berlin) an mehreren Blöcken untersucht. Wir haben trocken fräsen, nass fräsen und schleifen direkt miteinander verglichen. Das Resultat: Der Workflow mit Trockenfräsen war nicht nur schneller, sondern augenscheinlich auch präziser.
Zurück zum Katana-Block. Wie steht es mit den mechanischen Eigenschaften?
Zellerhoff:
Die Festigkeit ist ein großer Vorteil, die Biegefestigkeit beträgt 763 MPa. Also lassen sich auch sehr dünne Wandstärken realisieren. Man kann also minimalinvasiv arbeiten. Zudem sind die Ränder noch graziler als bei Glaskeramik.
Warum ist das so?
Zellerhoff:
Da ja Zirkon erst beim Sintern auf die finale Größe schrumpft, muss eine etwa 25 Prozent größere Restauration ausgeschliffen werden, und dies erfolgt mir sehr feinen Fräsern. Also wird ein größeres Werkstück mit kleineren Instrumenten bearbeitet. Dies führt zu hochpräzisen Rändern und Okklusalflächen. Erst dann wird dichtgesintert. Der exakte Schrumpfungsfaktor ist im Barcode auf dem Block hinterlegt. Es ist praktisch kein Nacharbeiten im okklusalen oder approximalen Bereich notwendig. Wir verzichten sogar auf eine Einprobe nach dem Sintern. Wir glasieren sofort. Das ist schon wirklich faszinierend, auch für langjährige „verwöhnte“ CEREC-Anwender.
Kommen wir zur Befestigung.
Zellerhoff:
Bei subgingival liegenden Rändern nutze ich zum Zementieren einen Glasionomerzement oder sonst die adhäsive Befestigung mit Panavia oder Multilink.
Ist das Sintern in der Praxis nicht sehr aufwendig?
Zellerhoff:
Man braucht natürlich mehr Zeit als für eine e.Max-Krone. Muss man aber mit dünnen Schichtstärken und subgingival arbeiten, hat Zirkonoxid Vorteile. Die Festigkeitswerte überzeugen.
Wie reagieren Ihre Patienten?
Zellerhoff:
Mit Begeisterung. Ob ich in der Praxis einen Sinterofen habe oder nicht, ist ihnen natürlich egal. Entscheidend ist, dass die Versorgung in einer Sitzung erfolgt und ein hoch ästhetisches Ergebnis liefert. Wir nutzen derzeit bei vielen Restaurationen die neuen Katana-Blöcke, da uns Passgenauigkeit, Haptik und Ästhetik überzeugen.
Gibt es eigentlich auch Katana-Kontraindikationen?
Zellerhoff:
Nicht wirklich. Ich will es einmal so formulieren: Transluzentes Zirkonoxid ist ein weiterer Pfeil in unserem Materialköcher. Wir haben jetzt die Möglichkeit, auch im sichtbaren Bereich auf ein hochfestes Material zurückzugreifen, ohne auf Ästhetik verzichten zu müssen. Wie bei jedem Material muss man immer abwägen. Alle qualitätsbewussten Zahntechniker und Zahnärzte wissen: Es wird nie „das eine“ Material für jeden FZ geben.












