Sie wurden erfolgreich abgemeldet!

Der besondere Fall

Es war nicht nur die Gingiva

spk
Zahnmedizin
Dieser komplexe Patientenfall wurde von Friedrich Müller aus Flöha eingereicht und ist ein erneuter Beweis für die Interdisziplinarität des Zahnarztberufs.

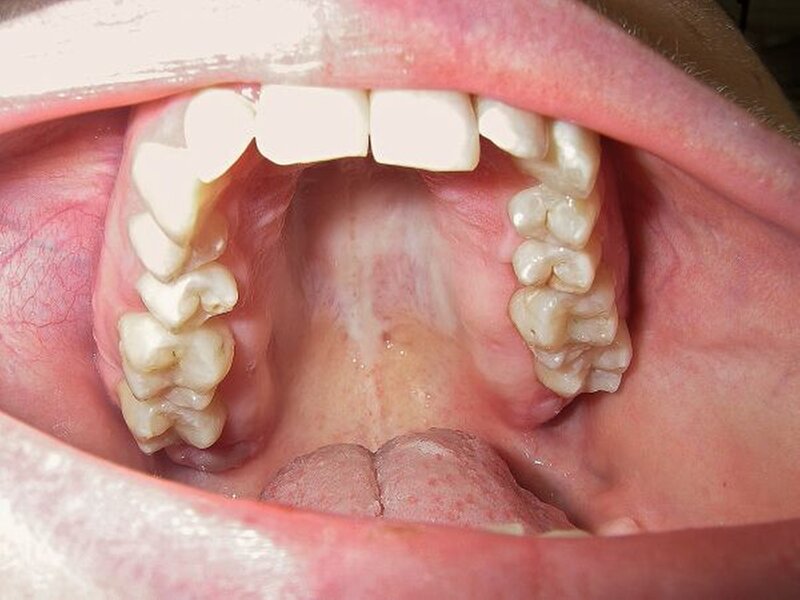
Eine 25-jährige Patientin (ehemalige Raucherin) stellte sich erstmals im vierten Quartal 2008 in unserer Praxis zur zahnärztlichen Kontrolle vor. Es imponierte eine beidseitige Schwellung des Zahnfleisches im Oberkiefer palatinal vom zweiten Prämolaren bis zum dritten Molaren. Das Zahnfleisch blutete stark bei nur leichter Sondierung (Gingivaler Blutungsindex 65 Prozent). Die Mundhygiene war verbesserungsbedürftig (Plaque Control Record 50 Prozent). Die Patientin gab an, dass die Schwellung des Zahnfleisches innerhalb der letzten drei Jahre zugenommen und nun eine Größe angenommen hat, die die Patientin subjektiv stört. Eine familiäre Häufung dieser Zahnfleischschwellung konnte von der Patientin nicht bestätigt werden. Nach einer ausführlichen Hygienisierungsphase und Motivation wurde die Diagnose einer (hereditären) gingivalen Fibromatose in Verbindung mit einer generalisiert moderaten, lokalisiert schweren chronischen Parodontitis gestellt (BOP 83 Prozent). Diese Diagnose wurde freundlicherweise von Professor Dr. Thomas Hoffmann, Dresden, bestätigt. Als weitere Diagnosen wurden ein Tiefbiss mit Deckbisscharakter (Distalbisslage) sowie eine Aplasie des Zahnes 34 mit vollständigem Lückenschluss gestellt. Ebenfalls fand sich ein für PA-Patienten typischer Foetor ex ore. Die Weisheitszähne im Unterkiefer waren im distalen Bereich von einer Schleimhautkapuze bedeckt, so dass sich eine Pericoronitis manifestiert hatte. An den Palatinal- flächen der Weisheitszähne des Oberkiefers kam es durch die Fibromatose zu einer Ausbildung von Pseudotaschen von sieben Millimetern Tiefe. Die Fibromatose wies insgesamt eine sehr weiche und verschiebliche Konsistenz auf.

Eine medikamentös bedingte Ursache im Sinne einer Gingivahyperplasie konnte ausgeschlossen werden. Ebenso erwies sich ein erhöhter Nüchternblutzuckerwert von 121 Milligramm pro Deziliter als möglicher Parodontitis-Co-Faktor nach Abklärung des HbA1c-Wertes als nicht wahrscheinlich. Die bei der Entfernung der oberen Weisheitszähne verursachte Mund-Antrum-Verbindung wurde durch Schwenkung und Dehnung der Fibromatose verschlossen. Die Zähne 38 und 48 wurden ebenfalls entfernt. Die subgingivale Instrumentation (SRP) erfolgte in zwei Sitzungen im Sinne einer Full-Mouth-Disinfection, danach wurde in wöchentlichem Abstand der Blutungs- und Plaqueindex kontrolliert und ein CHX-Präparat in die Taschen instilliert. Zum Zeitpunkt der Reevaluation sechs Wochen nach Scaling / Root Planing konnte erwartungsgemäss keine Remission der Fibromatose festgestellt werden. Es wurde daraufhin die Indikation eines chirurgischen Eingriffs gestellt. Nach paramarginaler Inzision circa fünf Millimeter palatinal vom Sulkus folgte eine intrakrevikuläre Inzision. Das so umschnittene Zahnfleisch wurde im Sinne einer externen Gingivektomie von distal 14/24 bis distal 17/27 entfernt. Im Anschluss wurde ein Full Flap präpariert, der mit einer internen Gingivektomie ausgedünnt wurde. Im dorsalen Bereich wurde eine Tuberplastik in Verbindung mit einer distalen Keilexzsion durchgeführt, so dass eine harmonische Rekonturierung des Zahnfleisches mit Entfernung der Pseudotaschen erreicht werden konnte. Der primäre Wundverschluss wurde mit Einzelknopfnähten erzielt, das gesamte Operationsgebiet im Anschluss mit einer Verbandsplatte abgedeckt. Zwei Wochen postoperativ wurde im Bereich beider Tubera mithilfe des Elektrotoms der Zahnfleischverlauf nochmals korrigiert. Die Patientin war trotz des Umfangs des Eingriffs zu jeder Zeit beschwerdefrei. Das Recallintervall beträgt nach endgültiger parodontaler Risikostratifizierung drei Monate. Der Beginn der notwendigen kieferorthopädischen Behandlung ist noch in 2010 geplant.

Friedrich MüllerDr. Janine MüllerZahnärztliche Gemeinschaftspraxis Dr. MüllerZur Baumwolle 2609557 Flöhafriedrich.mueller@gmx.de

Melden Sie sich hier zum zm Online-Newsletter an

Die aktuellen Nachrichten direkt in Ihren Posteingang

zm Online-Newsletter


Sie interessieren sich für einen unserer anderen Newsletter?
Hier geht zu den Anmeldungen zm starter-Newsletter und zm Heft-Newsletter.