Feste Zähne über Nacht
Drohende oder vorhandene Zahnlosigkeit ist für viele Patienten ein Zustand, der mit einer erheblichen Beeinträchtigung der Lebensqualität verbunden ist. Meist durchläuft der Patient einen schleichenden Übergang zwischen der vertrauten funktionsgerechten Versorgung und einer unbefriedigenden Situation, die für den Patienten mit bislang unbekannten Problemen verbunden ist. Durch den Verlust wichtiger Pfeilerzähne wird die Kaufunktion maßgeblich beeinträchtigt. Festsitzender Zahnersatz wird hinfällig oder der Halt einer bestehenden Prothese verschlechtert sich. Die Kaufunktion wird als stark eingeschränkt empfunden. Zusätzliche ungünstige Auswirkungen können durch ein unzureichendes Prothesenlager hervorgerufen werden, das mit einer zunehmenden Kieferkammatrophie einhergeht.
Die Kieferkammatrophie ist ein ganz entscheidendes Merkmal bei der Einschätzung von Behandlungsfällen mit Zahnlosigkeit beziehungsweise drohendem Zahnverlust. Sie hat verschiedene Ausprägungen. Durch Inaktivitätsatrophie nach Zahnverlust tritt zunächst eine vertikale Resorption ein. Diese ist gekennzeichnet durch eine Abnahme der Kieferkammbreite und wird durch schleimhautgetragene Prothesen verstärkt. Durch muskulären Druck von Lippe, Wange und Zunge entsteht in der Folge die horizontale Resorption. Sie ist mit einer Abnahme der Kieferkammhöhe verbunden. In fortgeschrittenen Stadien kann bei Zahnlosigkeit ein stabiler Prothesenhalt nur noch durch den Einsatz von Implantaten gewährt werden. Da in vielen Fällen das Knochenlager durch Kieferkammatrophie für eine Implantation unzureichend ist, gelten aufwändige augmentative Maßnahmen als unabdingbare Voraussetzung für eine erfolgreiche Implantation.
Die konventionelle Therapie des zahnlosen Patienten ist die Totalprothese. Sie stellt eine Therapieoption dar, die seit mehreren Jahrhunderten Anwendung findet. Schon George Washington war froh, durch eine Totalprothese dem Schicksal einer allen Mitmenschen offenkundigen Zahnlosigkeit zu entrinnen. Wenngleich die Technik der Totalprothese seit Washington viele wichtige Fortschritte, insbesondere hinsichtlich der Abdrucktechnik und der Basisgestaltung, erfahren hat, ist ihr klinischer Erfolg – vor allem in Fällen mit Kieferkammatrophie – kaum vorhersagbar.
Es ist deswegen nur folgerichtig, dass am Anfang der wissenschaftlichen Implantologie die Versorgung des zahnlosen Patienten stand. Seit den Veröffentlichungen der Branemårk-Gruppe weiß die zahnmedizinische Öffentlichkeit, dass zahnlose Patienten durch enossale Implantate mit festsitzendem Zahnersatz versorgt werden können. Die erste Veröffentlichung aus dem Jahr 1983 dokumentierte bereits 400 Behandlungsfälle. In der Folge entstanden eine ganze Reihe von technischen Modifikationen, so auch der Einsatz von herausnehmbaren prothetischen Konstruktionen, retiniert durch Kugelkopfattachments, Lokatoren, Stegreiter oder Teleskope.
Trotz der dokumentierten, eindrucksvollen Bewährung von prothetischen Konstruktionen auf Implantaten hatte das initial propagierte Konzept des implantatgetragenen Zahnersatzes eine Reihe von Einschränkungen.
Für einen festsitzenden Zahnersatz werden in der Regel sechs bis acht Implantate benötigt. Um diese Therapieoption zu realisieren, sind häufig aufwändige Rekonstruktionen des Kieferkamms, zum Teil unter Nutzung extraoraler Spenderregionen, notwendig.
Komplexe Kieferkammrekonstruktionen führen jedoch zu vermehrten postoperativen Beschwerden und einer langen Behandlungszeit. Bis zum Einsetzen des Zahnersatzes vergehen deswegen häufig mehr als zwölf Monate. Patienten wünschen jedoch eine kurze Behandlungszeit, und die meisten von ihnen stehen aufwändigen augmentativen Maßnahmen sehr skeptisch gegenüber. Gerade bei Patienten im fortgeschrittenen Lebensalter ist die zu erwartende Behandlungszeit ein äußerst wichtiges Entscheidungskriterium. Die Beschleunigung von prinzipiell erprobten Therapie- verfahren ist somit eine Anforderung, die eine erhebliche Verbesserung der realen Versorgung zum Ziel hat. Sofortversorgungen nach dem All-on-4 Konzept mit und ohne Einsatz von Zygoma-Implantaten können diese erwünschte Minimierung der Behandlungszeit leisten.
Das All-on-4 Konzept
Alle Modifikationen dieses Konzeptes zielen auf festsitzenden Zahnersatz, denn Sofortversorgungen mit herausnehmbarem implantatgetragenem Zahnersatz auf Kugelkopfattachments, Lokatoren oder Teleskopen sind sehr risikobehaftet, da während der Einheilphase der Implantate eine Primärverblockung fehlt.
Der Begriff All-on-4 wurde von Maló eingeführt, der im Jahr 2005 eine wissenschaftliche Dokumentation über ein entsprechend versorgtes Patientenklientel veröffentlichte. Die Verlustrate der Implantate war nicht höher als bei konventionellen implantologischen Behandlungsprotokollen. Seither ist dieses Konzept eine Alternative zu den vorher beschriebenen Therapieoptionen. Es ermöglicht eine festsitzende Sofortversorgung auf vier Implantaten.
Dieses Vorgehen ist allerdings chirurgisch, prothetisch und zahntechnisch sehr techniksensitiv und erfordert eine optimale logistische Zusammenarbeit zwischen Chirurg, Zahnarzt und Zahntechniker.
Durch die geringere Anzahl benötigter Implantate sind die Kosten für solch eine Versorgung nicht höher als bei Steg- oder Teleskopversorgungen. Augmentationen können in den meisten Fällen vermieden werden.
Bei der Sofortversorgung nach dem All-on-4 Konzept (Abbildung 1a-d) werden die frontalen Implantate gerade inseriert und axial belastet, die distalen in der Regel anguliert (Abbildung 2). Durch die Angulation kann ein externer Sinuslift im Oberkiefer umgangen und eine ausreichende Primärstabilisation für eine Sofortversorgung erreicht werden. Im Unterkiefer verhindert das Foramen mentale bei gerader Insertion häufig eine dorsale Positionierung der Implantate. Durch die Angulation der distalen Implantate werden das Belastungspolygon optimiert und ausgeprägte distale Cantilever (Extensionsbrücken) vermieden.
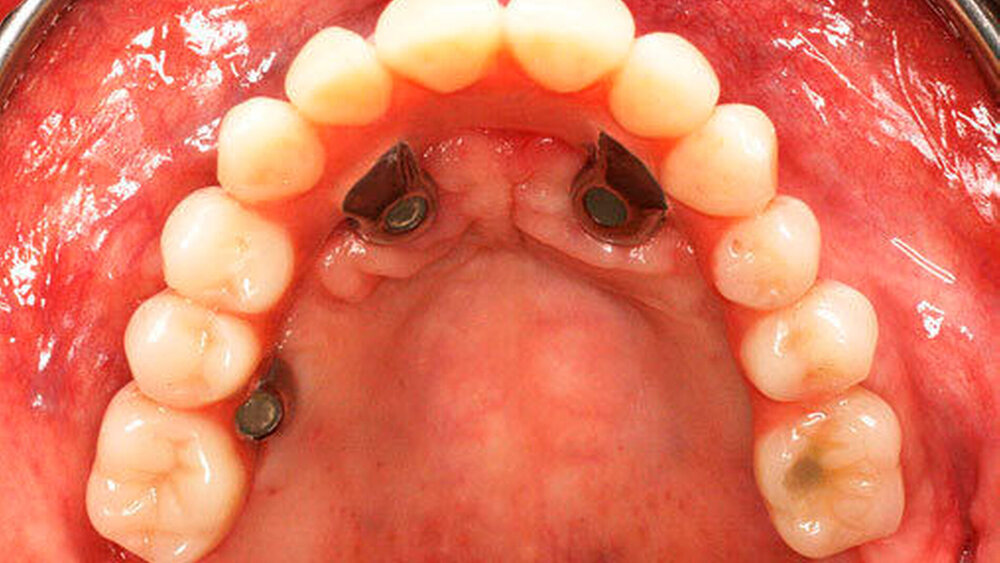
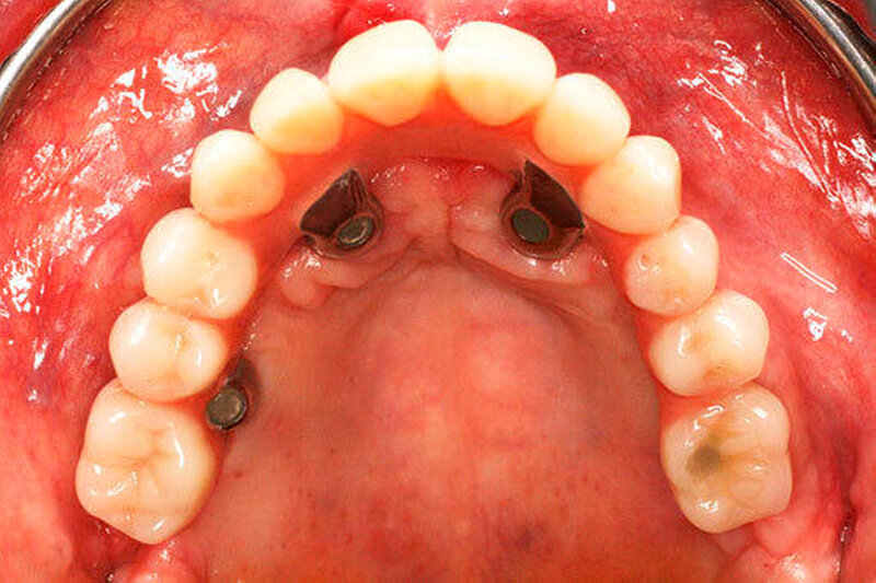
Entscheidend für den Erfolg dieses Konzepts ist die Hygienefähigkeit des Zahnersatzes. Die Basis des Zahnersatzes sollte konvex gestaltet werden und nur linear zum Kieferkamm Kontakt haben (Abbildung 1d). Diese Gestaltung erleichtert eine einfache Mundhygiene mit Interdentalbürsten und Zahnseide. Die Hygienefähigkeit einer All-on-4 Konstruktion ist somit vergleichbar mit einer Stegversorgung. Entscheidend für die Ästhetik ist die präoperative Feststellung der Lippenlachlinie. Diese entscheidet über die Resektionshöhe des Kieferkamms. Die Ästhetik wird bei dieser Versorgungsart ausschließlich über den Zahnersatz erreicht (Abbildung 1d). Die „rote Ästhetik“ kann durch die Verwendung von Prothesenkunststoff individuell und natürlich gestaltet werden. Der Zahnersatz ist bei diesem Konzept okklusal mit den Implantaten verschraubt (Abbildung 1c). Bei Notwendigkeit, zum Beispiel bei Reparaturen, kann dieser durch den Behandelnden leicht ab- genommen werden.
Das All-on-4 Konzept auf Zygoma-Implantaten
Eine erhebliche Erweiterung der Indikation des All-on-4 Konzeptes konnte durch den Einsatz von Zygoma-Implantaten erzielt werden. Zygoma-Implantate werden im Os zygomaticum verankert und erreichen auch in Situationen mit starker Kieferkammatrophie eine hohe Primärstabilität. Herkömmliche augmentative Verfahren können so vermieden werden. Zygoma-Implantate wurden zunächst bei Patienten mit besonderen Dysplasien im Kieferbereich und bei Tumorpatienten nach Resektion von Kieferanteilen eingesetzt. Balshi war einer der ersten Kliniker, der mit speziell gestalteten Implantaten entsprechende Fälle versorgte. Die Übertragung des All-on-4 Konzeptes auf Zygoma-Implantat-getragene Versorgungen ist insbesondere mit dem Namen Malavez verbunden, die sich sehr um diese Technik verdient gemacht hat. Dieses Konzept auf Zygoma-Implantaten wird angewendet in Fällen mit ausgeprägter Kieferkammatrophie im Oberkiefer (Abbildung 4a). Die Zygoma-Implantate werden in aller Regel in ITN inseriert. Lediglich ein externer Sinuslift ist als augmentative Maßnahme notwendig (Abbildungen 4b und c). Durch dieses Vorgehen können aufwändige augmentative Verfahren umgangen werden. Die prothetische Versorgung der Zygoma-Implantate entspricht dem Vorgehen wie beim All-on-4 Konzept und erfolgt einen Tag postoperativ. Erreicht wird, wie beim ursprünglichen All-on-4 Konzept, eine festsitzende Sofortversorgung (Abbildungen 3 und 4d).
Während die Behandlungszeit bei komplexen Augmentationen ein Jahr und mehr betragen kann, ist bei Verwendung von Zygoma-Implantaten eine festsitzende Sofortversorgung möglich. Eine Kombination von konventionellen Implantaten bei lokal ausreichendem Knochenangebot mit Zygoma-Implantaten bei lokal unzureichendem Knochenangebot ist möglich.
Priv.-Doz. Dr. Michael Korsch, M.A.
Akademie für ZÄ Fortbildung Karlsruhe
Lorenzstr. 6, 76135 Karlsruhe
michael_korsch@za-karlsruhe.de
und Zentrum für Implantologie und Oralchirurgie
Berliner Str. 41, 69120 Heidelberg
mk@drkorsch-heidelberg.de













