Granularzelltumor der Zunge
Kasuistik
Eine 42-jährige Patientin wurde wegen einer nodulären Veränderung des rechten Zungenkörpers überwiesen. Palpatorisch handelte es sich um einen Befund in einer Ausdehnung von etwa drei Millimetern, der unmittelbar unter der Schleimhaut gelegen, als kugelförmiges Knötchen imponierte. Die Patientin hatte den Befund seit einigen Wochen gespürt und meinte zuletzt ein Größenwachstum wahrzunehmen. Schmerzen, Sensibilitätsstörungen oder Funktionsbehinderung bestanden nicht. Ein Aufbisstrauma oder auch eine Fremdkörpereinsprengung wurde anamnestisch verneint.
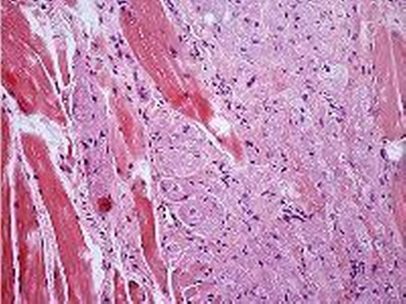
Der klinisch nicht sichtbare Befund wurde in toto exzidiert. Hierbei zeigte sich eine im Anschnitt weißlich-gelblich erscheinende Läsion (Abb. 1), die unmittelbar subepithelial gelegen war. Der noduläre Befund erschien gegen die Muskulatur nicht klar abgegrenzt und wies keine Kapselbildung auf. Histologisch (Abb. 2 a,b) zeigte sich ein unmittelbar unter dem Plattenepithel gelegener, aus großen polygonalen Zellen zusammengesetzter Tumor. Die Zellen weisen ein eosinophiles, ausgeprägt granuläres Zytoplasma auf. In der immunhistologischen Darstellung wird S-100, ein typischer Marker neuraler Zellen, exprimiert (Abb. 3). Es ergab sich damit die abschließende Diagnose eines Granularzelltumors der Zunge.
Diskussion
Granularzelltumoren oder Abrikossoff-Tumoren sind seltene benigne Neubildungen, die sich im Kopf-Hals-Bereich insbesondere an der Zunge und in der Schleimhaut des Ösophagus manifestieren [Billeret Lebranchu, 1999]. Sie werden heute überwiegend als Derivate neuraler Zellen aufgefasst, so dass mitunter auch die Bezeichnung Granularzell-Schwannom verwendet wird [Neville et al., 2002]. Obwohl benigne, sind diese Tumoren nicht durch eine Kapsel abgegrenzt. Vom histologischen Bild ist ein pseudoinvasives Wachstumsmuster, insbesondere in die benachbarte Muskulatur, besonders charakteristisch (Abb. 4). Es ist daher nicht verwunderlich, dass aufgrund der engen Beziehung zur Muskulatur dieser Tumor von seiner Erstbeschreibung her [Abrikossoff, 1926] myogenen Ursprungs, als Granularzell-Myoblastom angesprochen wurde.
Granularzelltumoren treten überwiegend solitär auf und betreffen etwas häufiger das weibliche Geschlecht. Eine maligne Verlaufsform ist sehr ungewöhnlich und wird lediglich bei ein bis drei Prozent dieser ohnehin seltenen Tumoren gesehen [Becelli et al., 2001]. Aufgrund der lokalen Invasionstendenz besteht die Therapie der Wahl trotz des benignen Charakters der Läsion in der erweiterten Exzision und einer regelmäßigen Nachkontrolle [Piazza et al., 1999]. Für die zahnärztliche Praxis stellt diese Entität vor allem eine seltene Differentialdiagnose zu kleinen Speicheldrüsen-Extravasationszysten oder zu Tumoren der kleinen Speichedrüsen dar.
PD Dr. Dr. Martin KunkelProf. Dr. Dr. Torsten E. ReichertKlinik für Mund-, Kiefer- und GesichtschirurgieJohannes Gutenberg-UniversitätAugustusplatz 2, 55131 Mainz



