Hautemphysem nach Extraktion der Weisheitszähne
Abstract
Eine Luftansammlung in der Unterhaut ist eine seltene Komplikation in der Kieferchirurgie. In den meisten Fällen resorbiert der Körper die Luft. Dringt sie jedoch in tiefere Körperregionen vor, können lebensbedrohliche Komplikationen wie Kompression des Tracheobronchialbaums oder ein Mediastinalemphysem entstehen und sich außerdem Mikroorganismen aus der Mundhöhle im Bauchraum verteilen. Daher ist eine schnelle Diagnose wichtig.
Charakteristisch für ein Hautemphysem ist zum einen eine sichtbare Schwellung und zum anderen ein hörbares Knistern. In diesem Fallbericht entwickelte sich nach einer bilateralen chirurgischen Weisheitszahnentfernung bei einem 30-jährigen Tourette-Patienten ein ausgeprägtes Hautemphysem. Mithilfe eines zehn Zentimeter Redon-Drainagerohrs löste sich das Hautemphysem zehn Tage nach der Extraktion der Weisheitszähne vollständig auf.
Der Fall
Ein 30-jähriger Mann stellte sich mit einem stark angeschwollenen Gesicht in der Klinik für Mund-, Kiefer- und Gesichtschirurgie in Luzern vor. Die diffusen Schwellungen im Gesicht hatten sich nach einer bilateralen chirurgischen Weisheitszahnentfernung im Unterkiefer mit Lokalanästhesie am selben Tag entwickelt, erzählte er. Der Patient leidet seit seiner Kindheit am Tourette-Syndrom.
Das Gilles de la Tourette-Syndrom (GTS) ist eine Erkrankung, bei der Kinder und Erwachsene eine Vielzahl von motorischen und/oder vokalen Tics zeigen. Motorische Tics sind in der Mehrzahl kurze irreguläre Bewegungen [Ganos et al., 2014]. Am häufigsten treten sie im Gesicht und am Kopf auf. Betroffene blinzeln, grimassieren und verdrehen die Augen. Häufig sind motorische Tics auch an den Schultern und Armen zu beobachten. Seltener - aber nicht ungewöhnlich - sind Tics am Rumpf und an den Beinen.
Darüber hinaus weisen GTS-Patienten oft psychische Störungen [Suppa, 2014] auf. In der neurologischen Forschung wird der hirnorganische Hintergrund zu dieser Erkrankung als eine Gehirnreifungsstörung mit einem Mangel an motorischen Hemmungsmechanismen bezeichnet [Ganos, 2014].
Tic verstärkte den Luftdruck
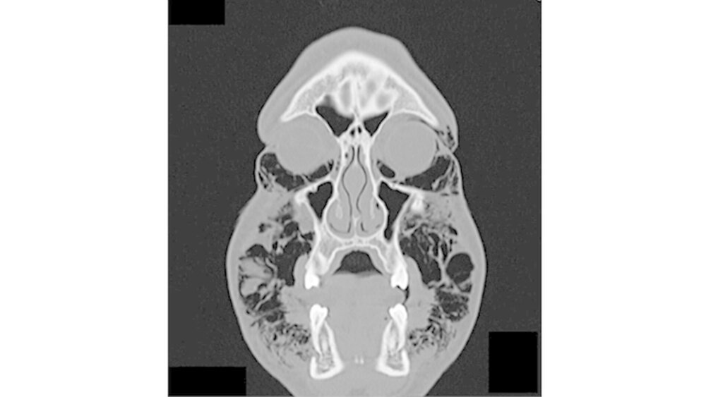
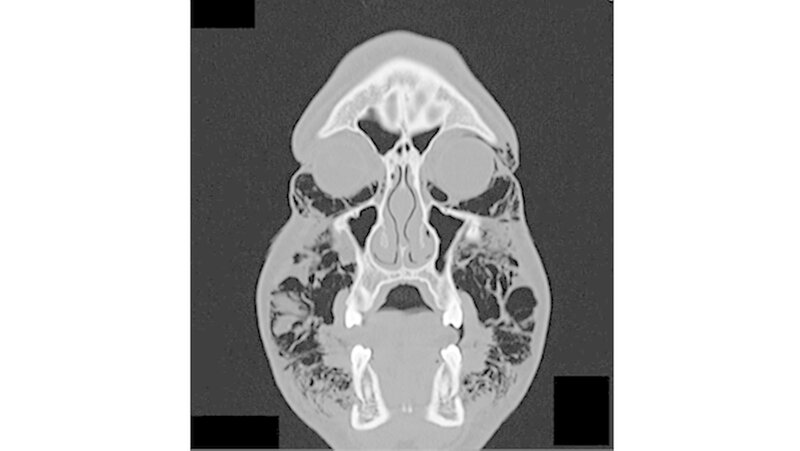
Permanent wiederholte er das Valsalva-Manöver, indem er Atemluft gegen seine verschlossenen Lippen presste. Bei der Aufnahme war der Patient hämodynamisch stabil. Die Funktionen von Nervus facialis sowie Nervus trigeminius waren normal. Auch die Entzündungswerte befanden sich im normalen Bereich. Klinisch war eine umfangreiche Schwellung im gesamten Gesichtsbereich sichtbar. Zudem hatte der Patient Schwierigkeiten, die Augen zu öffnen (Abbildungen 1 und 2).
Bei der Palpation war eine offensichtliche Schwellung der Periorbitalregion, der Wangen sowie der Supraklavikulargruben tastbar. Der enorale Befund zeigte eine nicht vollständig geschlossene Extraktionsalveole. Eine Entzündung war jedoch nicht zu erkennen. Mundboden und Rachenbereich waren von der Luftansammlung nicht betroffen. Der Patient konnte schlucken, doch das Atmen fiel im schwer.
###more### ###title### Therapie ###title### ###more###
Therapie
Aufgrund des umfangreichen Emphysems wurde der Patient stationär überwacht. Zur Vermeidung postoperativer Wundinfektionen wurde eine Antibiotikaprophylaxe durchgeführt (Amoxicillin/Clavulansäure, 2,2 g intravenös 2x die). Darüber hinaus wurden Kortikosteroide (Solu - Medrol 250 mg) intravenös zweimal täglich für zwei Tage verordnet.
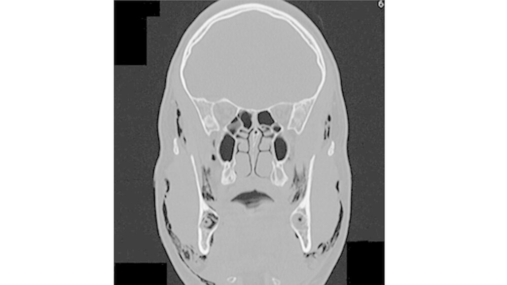
Dem Patienten wurde die korrekte Handhabung mit dem 10 cm langen Redon Drainagerohr erläutert. Das Rohr verhindert den Aufbau des Luftdrucks in der Mundhöhle (Abbildung 6). Nach drei Tagen waren die Schwellungen im Gesicht etwa um die Hälfte zurückgegangen, so dass der Patient die Klinik verlassen konnte. Oral wurde eine Antibiotikaprophylaxe für sieben Tage fortgesetzt (Amoxicillin / Clavulansäure, 875/125 mg dreimal täglich). Die Luftansammlung hatte sich nach dieser Zeit vollständig aufgelöst.
Diskussion
Ein Hautemphysem nach einer Zahnbehandlung tritt eher selten auf, kann jedoch zu einem Mediastinalemphysem oder einer Mediastinitis führen. Daher ist eine schnelle Diagnose von größter Bedeutung. Eine Verteilung der Luft im subkutanen Raum erhöht das Risiko einer späteren Bindegewebsinfektion. Häufig ist die eingeführte Luft auf den subkutanen Raum begrenzt und führt zu einer lokalen Schwellung ohne Anzeichen einer Entzündung, wie zum Beispiel Erytheme oder einer Lymphadenopathie [Wakoh et al., 2000; McKenzie und Rosenberg, 2009]. Es besteht jedoch ein potenzielles Risiko, dass sich die Luft im periorbitalen Raum und Mediastinums verteilt [McKenzie und Rosenberg, 2009].
Aufgrund der Verbindung von Gesichtsbereich und Mediastinum besteht zudem ein erhöhtes Risiko, dass Bakterien im Retropharyngealraum sowie im Mediastinum lebensbedrohliche Infektionen hervorrufen können [McKenzie und Rosenberg, 2009, Ali et al., 2000; Oliver und Coulthard, 2002]. Grundsätzlich sind zwei Faktoren Voraussetzung für die Bildung eines Hautemphysems: wenn Luft unter Druck in das Gewebe gepresst wird und sich über die kommunizierenden Gesichts- und Halslogen verbreitet kann [McKenzie und Rosenberg, 2009].
In der Literatur sind die häufigsten Ursachen für Hautemphyseme die Verwendung von Turbinenhandstücken [McKenzie und Rosenberg, 2009; Heyman und Babayof,1995] sowie das Vorhandensein von Luft in der Injektionsspritze [McKenzie und Rosenberg, 2009; Heyman und Babayof, 1995]. Darüber hinaus kann ein Hautemphysem durch Husten, Rauchen oder Erbrechen verursacht werden. [McKenzie und Rosenberg, 2009].
In diesem Fall führte die Kombination von bilateraler chirurgischer Weisheitszahnextraktion im Unterkiefer und das Vorhandensein des motorischen Tics, Luft gegen die geschlossenen Lippen zu pressen, zu diesem Befund. Der Bildungsmechanismus in diesem speziellen Fall ist vergleichbar mit dem ersten veröffentlichten Fall eines Hautemphysems vor mehr als 100 Jahren: Ein Hornbläser hatte unmittelbar nach einer Zahnextraktion [Turnbull, 1900] sein Instrument gespielt.
Bei dem Verdacht auf ein Hautemphysem ist eine gründliche klinische Untersuchung nötig. Der Patient sollte in eine spezialisierte MKG-Klinik überwiesen werden. Das diagnostische Procedere umfasst eine klinische Untersuchung, Laboranalyse (CRP-Spiegel) und ein CT der betroffenen Region. Nach dem Ausschluss lebensbedrohlicher Komplikationen wird eine Antibiotikaprophylaxe empfohlen [McKenzie und Rosenberg, 2009].
Patrick Tomasetti, Johannes Kuttenberger und Renzo Bassetti, Distinct subcutaneous emphysema following surgical wisdom tooth extraction in a patient suffering from ‘Gilles de la Tourette syndrome’, J Surg Case Rep. 2015 Jun; 2015(6): rjv068. Published online 2015 Jun 15. doi: 10.1093/jscr/rjv068
Literatur
Ali A, Cunliffe DR, Watt-Smith SR Surgical emphysema and pneumomediastinum complicating dental extraction. Br Dent J 2000, [PubMed]
Ganos C, Kuhn S, Kahl U, Schunke O, Feldheim J, Gerloff C et al. Action inhibition in Tourette syndrome. Mov Disord 2014, [PubMed]
Heyman SN, Babayof I Emphysematous complications in dentistry, 1960–1993: an illustrative case and review of the literature. Quintessence Int 1995, [PubMed]
McKenzie WS, Rosenberg M Iatrogenic subcutaneous emphysema of dental and surgical origin: a literature review. J Oral Maxillofac Surg 2009, [PubMed]
Oliver R, Coulthard P Post-operative surgical emphysema following the use of a peak flow meter. Br J Oral Maxillofac Surg 2002, [PubMed]
Suppa A, Marsili L, Di Stasio F, Berardelli I, Roselli V, Pasquini M et al. Cortical and brainstem plasticity in Tourette syndrome and obsessive-compulsive disorder. Mov Disord 2014, [PubMed]
Turnbull A. A remarcable coincidence in dental surgery. Br Med J 1900, [PubMed]
Wakoh M, Saitou C, Kitagawa H, Suga K, Ushioda T, Kuroyanagi K Computed tomography of emphysema following tooth extraction. Dentomaxillofac Radiol 2000, [PubMed]








