"Kein Konsens mit dem Konsensus"
Leserbrief zum Beitrag: „Moderne Kariestherapie:Konsensusempfehlung zur Exkavation von Karies“, zm 2/2017, S. 84–85.
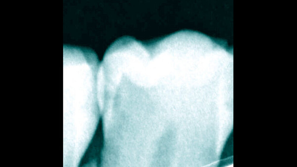
Die These, die aufgestellt wird, lässt sich einfach so formulieren: Am besten sei es doch wohl, die Karies gar nicht entfernen zu müssen, sondern ein Fortschreiten derselben zu verhindern. Dem kann zugestimmt werden, besser wäre es – könnte man hinzufügen – wenn gar keine Karies entstehen würde. Darüber sollte in einer prophylaktisch ausgerichteten Zahnmedizin allgemeiner Konsens herrschen.Doch was ist zu tun, wenn trotz aller Prophylaxe, eine Patientin oder ein Patient eine ausgedehnte Dentinläsion entwickelt und ein restaurativer Eingriff unvermeidlich ist (Abb.1). Nur nebenbei erwähnt diese Konsensusempfehlung, dass dieser Konsens wohl nur für den Fall angewendet werden soll, dass der Patient/die Patientin keinerlei Beschwerden oder maximal eine reversible Pulpitis aufweisen würde.Jeder zahnärztlich Tätige weiß, dass genau diese Diagnose „reversible Pulpitis“ aus klinischen Parametern nicht sicher oder eben gar nicht diagnostiziert werden kann [1]. Also wäre es doch besser, diese Konsensusempfehlung nur auf die Fälle anzuwenden, in denen keinerlei klinischer Anhalt für Beschwerden besteht. Sie sollte dann nicht angewandt werden, wenn ein Patient mit Beschwerden vorstellig wird oder wenn es sich um ein Kariesrezidiv oder eine Sekundärkaries handelt (dazu gibt es nämlich keinerlei klinische Studien).
Neben der Prophylaxe der Karies ist es eine der Hauptaufgaben der restaurativen Zahnerhaltung, Karies zu entfernen und Defekte der Zahnhartsubstanzen wieder zu beseitigen. Nun wäre es bei einer prophylaktisch ausgerichteten Zahnheilkunde sehr sinnvoll, gerade bei der Ersttherapie der Karies möglichst viel gesunde Zahnhartsubstanz zu erhalten und nicht einer „einfacheren Kariestherapie“ zu opfern. Also sollte „extension for prevention“ als Black‘sche Präparationsrichtlinie bei der Primärversorgung nicht mehr angewandt werden [2]. Die iatrogene Entfernung gesunder Restzahnsubstanz sollte doch heute nur dann geschehen, wenn es für die Zugänglichkeit (Kariesentfernung) unbedingt erforderlich ist (Abb. 2/3). Auch für eine folgende plastische Füllungstherapie ist ein Belassen kariesfreier Schmelzanteile sinnvoll, weil gerade dann eine leichtere Gestaltung des approximalen Kontaktbereiches möglich ist (Abb. 2). Hilfsmittel wie schallgetriebene Präparationsansätze lassen heute ohne Weiteres auch eine unter‧minierende Präparation zu [3].
Wenn man die Bilderserie genau betrachtet, die für dieses Konsensuspapier mitveröffentlicht wurde, so kann davon ausgegangen werden, dass es sich bei dem vorgestellten Fall um eine approximal unter‧minierende tiefe Dentinkaries handelte, wobei okklusale und auch approximale, nicht kariöse Schmelzanteile der durchgeführten Kariestherapie zum Opfer gefallen sind. Warum auf den gezeigten Bildern nach Art von „extension for prevention“ eine Kavität frei von Unterschnitten erzeugt wurde, lässt sich aus unserer Sicht wenig mit einem präventionsorientierten Therapiegedanken in Einklang bringen. Wie bereits Elderton [4, 5] postulierte, ist nicht die Karies der „Hauptzerstörer“ von Zahnhartsubstanz, sondern der zahnärztliche Bohrer.
Geht man davon aus, dass bei einer unvollständigen Kariesentfernung auch der adhäsive Verbund zur kariösen Restzahnsubstanz deutlich reduziert ist [6, 7], dann ist es gerade für eine solche Konsensusempfehlung wenig hilfreich, ein heute überholtes oder auch in großen Teilen falsches klinisches Vorgehen (weite Extension) bildlich zu dokumentieren bzw. zu empfehlen und mit einer unvollständigen Kariesexkavation zu kombinieren.
Wer für einen längeren Zeitraum denkt, der sollte gerade nicht bei der Ersttherapie überaus großzügig gesunde Zahnhartsubstanz entfernen. Der Hinweis, dass moderne adhäsive Zahnheilkunde keine Unterschnitte zum Halt benötigt, ist vollkommen korrekt, daraus jedoch im Umkehrschluss aus einer unterminierenden Karies eine weit extendierte Kavität zu präparieren, ist aus unserer Sicht falsch, weil unnötig gesunde Zahnhartsubstanz dem Bohrer zum Opfer fällt. Es gibt keinerlei Untersuchungen, die zeigen, dass es günstiger ist, Unterschnitte in der Kavität, die von der Kariesexkavation herrühren, zu entfernen. Jedoch gibt es ausreichend Untersuchungen, dass kariöses Dentin einen weniger dauerhaften und weniger belastbaren Verbund zu den verschiedenen Adhäsivsystemen eingeht [6, 7]. Das heißt wiederum, dass eine Randundichtigkeit auf Grund eines mangelhaften Verbundes deutlich wahrscheinlicher wird. Dies bedeutet gerade bei einem weit ausgedehnten Kavitätendesign eine reduzierte Haftung bei größerer Belastungsfläche mit folglich höherer Wahrscheinlichkeit für eine Spaltbildung und ein Kariesrezidiv.
Bisher sind wir in der Ausbildung davon ausgegangen, dass bei beschwerdefreien Patienten pulpanahes Dentin vorsichtig und zurückhaltend bearbeitet werden sollte, um artifizielle Eröffnungen der Pulpa zu vermeiden, da direkte Überkappungen eine ungünstige Prognose besitzen [8]. Dies stellt auch in unseren studentischen Behandlungskursen seit Jahrzehnten kein bemerkenswertes Problem dar, weil bei tiefen kariösen Läsionen in der Nähe zur Pulpa kein „blütenweißes“ Dentin für die Kariesfreiheit gefordert wird (Abb. 3). Demgegenüber sollte jedoch der Schmelz-Dentin-Grenze größte Aufmerksamkeit bei der Kariesexkavation geschenkt werden, da eine Kariesfreiheit in diesem Bereich einen beständigeren und dichten adhäsiven Verbund zu Dentin ermöglichen kann.
Die Bilder der Konsensusempfehlung zeigen aber eine deutlich verfärbte und wahrscheinlich kariöse Schmelz-Dentin-Grenze, d. h., kariöses Dentin wurde nicht nur in der Nähe der Pulpa, sondern sehr großflächig auch an der Schmelz-Dentin-Grenze belassen. Nur der äußerste Kavitätenrand approximal erscheint dabei kariesfrei. Ob dies eine dauerhaft dichte Füllung ermöglicht, bleibt sehr ungewiss. Auch für eine Füllung, die mit Kostenträgern abgerechnet werden soll, ergibt sich ein uneinheitliches Bild.Es stellen sich deshalb verschiedene Fragen, die dieser „Konsens“ bisher unbeantwortet lässt: Wer haftet bei einem Misserfolg? Wer haftet bei Fortschreiten der Karies aufgrund einer undichten Füllung? Welches Adhäsivsystem ermöglicht einen dauerhaft dichten und haltbaren Verbund?
Sollte sich ein Kariesrezidiv einstellen und die Karies voranschreiten mit der wahrscheinlichen Folge einer endodontischen Therapie, dann kann von schicksalhaften Vorgängen (Kariesausbreitung), die niemand absehen konnte – auch und gerade in einer juristischen Auseinandersetzung vor Gericht – wohl nicht mehr gesprochen werden. Weil eine solche Therapie mit großflächigem Zurücklassen von kariösem Dentin nur nach einer umfassenden Aufklärung des Patienten über Vor- und Nachteile letztendlich mit seiner dezidierten Einwilligung zu dieser Vorgehensweise überhaupt möglich ist.
Deshalb wäre zu empfehlen, dass über wissenschaftliche Fragestellungen doch weiterhin auch wissenschaftlich gestritten werden sollte. Allerdings sollten klinische Empfehlungen erst dann abgegeben werden, wenn ausreichend Evidenz für eine vorgeschlagene Verfahrensweise vorliegt. Ansonsten begibt man sich in die Gefahr, dass Patienten mit primär kariösen Läsionen zu Testzwecken mit wenig evidenzbasierten Behandlungsweisen versorgt werden und später den Nachteil tragen müssen und sich einer erneuten oder auch deutlich ausgeweiteten Behandlung unterziehen müssen und damit unnötig Schaden erleiden.
M. Pelka und A. Petschelt,Zahnklinik 1 – Zahnerhaltung und ParodontologieUniversitätsklinikum Erlangen
Artikel nicht gefunden id_extern: typo3-import-article-952
<interactive-element xmlns:ns3="http://www.w3.org/1999/xlink" ns3:href="censhare:///service/assets/asset/id/" ns3:role="censhare:///service/masterdata/asset_rel_typedef;key=actual."/>
Literaturliste:1. I. A. Mejare, Axelsson S., Davidson T., Frisk F., Hakeberg M., Kvist T., Norlund A., Petersson A., Portenier I., Sandberg H., Tranaeus S., Bergenholtz G.: Diagnosis of the condition of the dental pulp: a systematic review. Int Endod J 2012; 45: 597–613
2. F. J. Burke.: From extension for prevention to prevention of extension: (minimal intervention dentistry). Dent Update 2003; 30: 492–8, 500, 2
3. F. Decup, Lasfargues J. J.: Minimal intervention dentistry II: part 4. Minimal intervention techniques of preparation and adhesive restorations. The contribution of the sono-abrasive techniques. Br Dent J 2014; 216: 393–400
4. R. J. Elderton.: Iatrogenesis in the treatment of dental caries. Proc Finn Dent Soc 1992; 88: 25–32
5. R. J. Elderton.: Overtreatment with restorative dentistry: when to intervene? Int Dent J 1993; 43: 17–24
6. R. Pinna, Maioli M., Eramo S., Mura I., Milia E.: Carious affected dentine: its behaviour in adhesive bonding. Aust Dent J 2015; 60: 276–93
7. M. Yoshiyama, Tay F. R., Torii Y., Nishitani Y., Doi J., Itou K., Ciucchi B., Pashley D. H.: Resin adhesion to carious dentin. Am J Dent 2003; 16: 47–52
8. L. Bjorndal, Reit C., Bruun G., Markvart M., Kjaeldgaard M., Nasman P., Thordrup M., Dige I., Nyvad B., Fransson H., Lager A., Ericson D., Petersson K., Olsson J., Santimano E. M., Wennstrom A., Winkel P., Gluud C.: Treatment of deep caries lesions in adults: randomized clinical trials comparing stepwise vs. direct complete excavation, and direct pulp capping vs. partial pulpotomy. Eur J Oral Sci 2010; 118: 290–7
Mehr zum Thema: Leserbriefe
Das sagen die Kollegen. In jeder Printausgabe der zm finden Sie ein Leserforum, das wir auf dieser Themenseite sukzessive veröffentlichen.





