Kongenitale Epulis
Anamnese und Befund
Die Allgemeinanamnese stellte sich als unauffällig dar. In der Familienanamnese wiesen Vater und Bruder eine Lippen-Kiefer-Gaumenspalte auf.
Makroskopisch zeigten sich zwei gestielte Tumoren von 10 beziehungsweise 25 mm Durchmesser sowie zwei kleinere, breitbasig aufliegende Tumoren mit einem Durchmesser zwischen 3 und 5 mm. Die Tumoren zeichneten sich durch eine rötliche, homogene, multilobuläre Oberfläche aus (Abbildungen 1 und 2).
Therapie
Aufgrund der Ausmaße der Tumoren und der daraus folgenden Behinderung der selbstständigen Nahrungsaufnahme wurde am neunten postpartalen Tag die Exzision in Intubationsnarkose durchgeführt. Nach komplikationsloser Entfernung der Tumoren, stabilen Vitalparametern und gutem Trinkverhalten wurde die Patientin nach zwei Tagen in die ambulante Kontrolle entlassen. Nebenbefundlich fiel nach Entfernung des Haupttumors auf, dass zusätzlich eine verdeckte Lippenspalte vorliegt. Die Lippenplastik ist im Alter von sechs Monaten geplant.
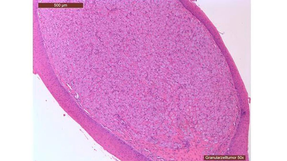
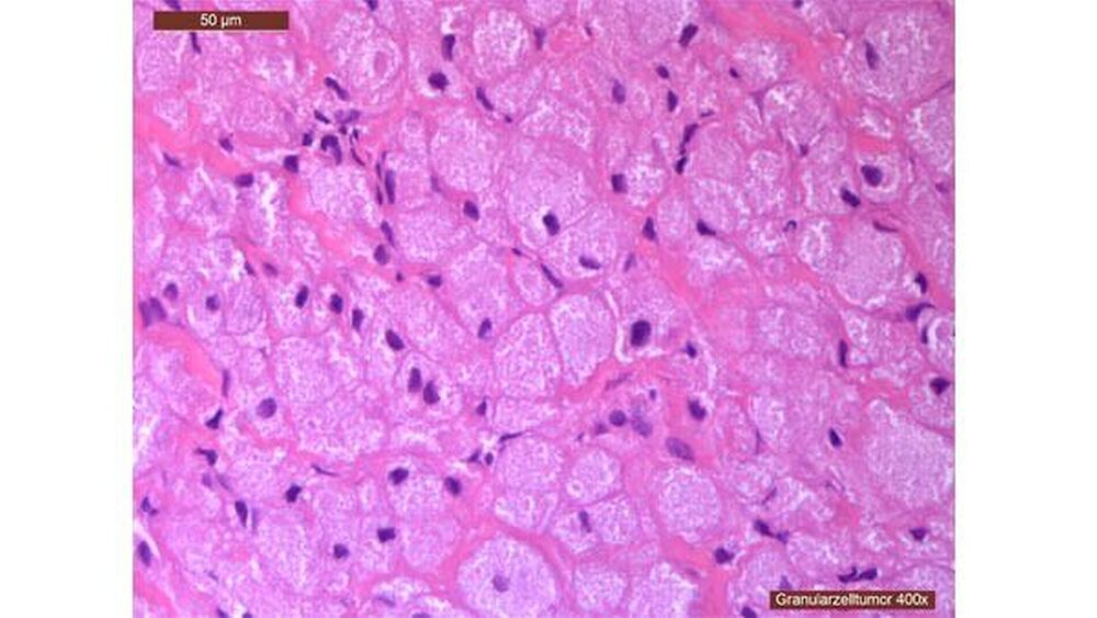
In der histologischen Auswertung (Abbildungen 3 und 4) fand sich ein regelhaftes, teilweise verhornendes bis hyperplastisches Plattenepithel. Ebenfalls wurden floride Ulzerationen innerhalb der Präparate festgestellt. Es zeigten sich Proliferationen von großen, ovalen Zellen mit parazentral gelegenen kleinen, runden Zellkernen sowie eosinophilem, feingranuliertem Zytoplasma. Dazwischen lagen zum Teil dilatierte, dünnwandige Blutgefäße, deren Endothelien unauffällig waren. Histopathologisch entspricht das dem Bild einer kongenitalen Epulis.
###more### ###title### Diskussion ###title### ###more###
Diskussion
Bei der kongenitalen Epulis handelt es sich um einen seltenen, gutartigen Tumor in der Mundhöhle von Neugeborenen [Olsen et al., 2005]. Als Hauptlokalisation dieser Tumorart wird der Kieferkamm lateral der beiden Inzisivi im Ober- und Unterkiefer beschrieben. Im Oberkiefer ist die Häufigkeit der Entstehung drei mal höher als im Unterkiefer. Des Weiteren sind Mädchen acht mal öfter betroffen als Jungen [Bosanquet und Roblin, 2009].
Ab der 25. Schwangerschaftswoche ist der Tumor intrauterin diagnostizierbar [Saki und Araghi, 2014]. Nach der Geburt weist er keine Wachstumstendenz mehr auf. Es wird auch beschrieben, dass es innerhalb von einigen Monaten zu einer vollständigen Rückbildung kommen kann [Straßburg und Knolle, 2011].
Zum ersten Mal beschrieb der Pathologe Ernst Neumann diese Tumorart bei Kleinkindern im Jahre 1871. Seitdem wird dieser auch als Neumannscher Tumor in der Literatur geführt. Definitionsgemäß handelt es sich bei einer Epulis um eine „periphere Granulationsgewebsneubildung im Bereich der Gingiva oder am Alveolarfortsatz“ [Straßburg und Knolle, 2011].
Aufgrund des nicht epidermalen Ursprungs zählen die kongenitale sowie die fissurale Form nicht direkt zu der Art der Epulitiden, weshalb weitere Synonyme verwendet werden: Granularzelltumor, kongenitaler Granularzelltumor, kongenitale granuläre Epulis, kongenitales Granularzellmyoblastom oder kongenitales Granularzellfibroblastom [Kumar et al., 2015; Gerlacht et al., 2009; Kumar et al., 2014].
Ätiologie
Die Ätiologie der Erkrankung ist weitestgehend unbekannt. Es werden myoblastische, odontogene, neurogene, fibroblastische, histiozytische sowie endokrine Ursprünge diskutiert. Bezüglich des Zellphänotypen wurde eine Verwandtschaft mit Myofibroblasten festgestellt. [Kumar et al., 2014; Lapid et al., 2001]
Im Großteil der Literatur wird keine Assoziation mit angeborenen Fehlbildungen oder Zahnanomalien beschrieben. Einige Autoren erwähnen jedoch einen Zusammenhang bei Kindern mit Trisomie X, Neurofibromatose, Polydaktylie oder einer Oberkieferhypoplasie [Aparna et al. 2014].
Klinisch stellt sich eine kongenitale Epulis als einzelner fester Tumor mit regelmäßiger Oberfläche dar. Dieser kann sowohl festsitzend, als auch gestielt auf der Gingivaoberfläche liegen und mehrfach gelappt sein. Er tritt in einer pink-roten Farbe auf. Bei Palpation liegt keine Druckdolenz vor. Seine Größe variiert zwischen wenigen mm bis zu 10 cm. Seine Konsistenz kann sowohl als fest als auch elastisch beschrieben werden. [Bianchi et al., 2015; Merglova et al., 2104]
Angeborene Fehlbildungen wie Epsteinperlen, Teratome, Dermoidzysten und Enzephalozelen sollten für eine korrekte Diagnose differenzialdiagnostisch mit in Betracht gezogen werden. Des Weiteren müssen auch andere benigne und maligne Tumoren wie zum Beispiel Fibrome, Hämangiome, embryonale Rhabdomyosarkome, sowie alveolare Rhabdomyosarkome, Chrondrosarkome und Osteosarkome in Erwägung gezogen werden [Saki und Araghi, 2014; Hiradfar et al., 2016].
Differenzialdiagnose
Bei der Formulierung der Differenzialdiagnose sollten einige Faktoren berücksichtigt werden. Dazu zählen das vermehrte Auftreten bei weiblichen Neugeborenen, fehlendes Wachstumspotenzial nach der Geburt sowie die anteriore maxilläre/mandibuläre Position [Merglova et al., 2014; Gupta et al., 2013]. Laut der Autorengruppe um Kumar et. al. [2014] sind Hämangiome und Lymphangiome im Gegensatz zu der kongenitalen Epulis bei Palpation schwammartig und weisen eine rote bis dunkel blaue Oberfläche auf.
Ein Standardbehandlungsprotokoll liegt nicht vor, wobei die Therapie der Wahl eine chirurgische Entfernung dieses Tumors vorsieht. Dies ist insbesondere der Fall, wenn es durch den Tumor zu einer Störung der Nahrungsaufnahme, Verlegung der Atmung, Zyanose oder Dyspnoe beim Neugeborenen kommt. Der klassischen Entfernung mit dem Skalpell steht die Entfernung mittels Laser (Karbondioxidlaser oder Er,Cr:YSGG Laser) als Alternative gegenüber. [Aparna et al., 2014]
Dr. Bastian Alexander HeidtDr. Dr. Helmut SieberDr. Dr. Mehran MasaeiliDr. Cristian T. RäderKlinik für MKG-Chirurgie, plastische und ästhetische OperationenMalteser KrankenhausSt. Johannes Stift Duisburg-HombergJohannisstraße 21, 47198 Duisburg-Alt-HombergBastian-Alexander.Heidt@malteser.org
Literaturverzeichnis:1. Olson, Marcus, Zuker, Congenital epulis, 20052 Bosanquet, Roblin, Congenital Epulis: A Case Report and Estimation of Incidence, 20093: Saki, Araghi, Multiple Congenital Epulis in Alveolar Ridges of Maxilla and Mandible in a Newborn: A Rare Case Report, 20144: Straßburg, Knolle, Farbatlas und Lehrbuch der Mundschleimhauterkrankungen, 20115: Kumar, Bavle, Umashankar, Sharma, Congenital epulis of the newborn, 20156: Gerlach, Reichert, Driemel, Epulis granulomatosa an einem dentalen Implantat, 20097: Kumar, Prasad, Thomas, Koshy, Congenital epulides: A rare case report, 20148: Lapid, Shaco-Levy, Krieger, Kachko, Sagi, Congenital epulis, 20019: Aparna, Jayanth, Shashidara, Jaishankar, Congenital epulis in a newborn, 201410: Bianchi, Cavalcanti de Araujo, Banterli Ribeiro,Passador-Santos,Soares de Araujo, Borges Soares, Multiple congenital granular cell epulis, 201511: Merglová, Mukensnabl, Andrle, Congenital epulis, 201212: Hiradfar, Zabolinejad, Gharavi, Sebt, Multiple Congenital Epulis of the Mandibular Ridge: A Case Report, 201613: Gupta, Arora, Gupta, Sharma, Congenital granular cell lesion in newborn mandible, 2013






