Kurioses: Der wurzellose Brückenpfeiler
Die Zahnärztin schreibt: "Im Dezember kam ein neuer Patient in unsere Praxis. Das ist zum Glück keine Überraschung, sondern kommt schon mal vor. Er hat Schmerzen. Auch das ist ja in einer Zahnarztpraxis nicht überraschend. Er ist 70 Jahre alt und erst vor Kurzem zu seiner Tochter nach Flintbek gezogen. Auch dieser Umstand überrascht nicht.
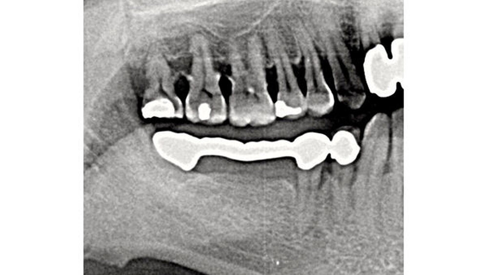
Die Schmerzen betreffen regio 47 bis 48. Ich inspiziere die Region klinisch: Vollguss-Brücke von 44 auf 48, 47 und 46 Zwischenglieder. Der Kronenrand von 48 liegt subgingival, beziehungsweise es fällt auf, dass buccal unterhalb des zu vermutenden Kronenrandes Amalgam angetragen ist.
Das kenne ich vom Prinzip: Man versucht verzweifelt bei Sekundärkaries am Kronenrand eine größere Konstruktion zu retten, indem man exkaviert so gut es machbar ist und den Defekt verschließt. Gut, das mache ich dann adhäsiv, aber egal, solche Rettungsversuche kommen in meiner Behandlung auch immer mal wieder vor.
Meine Verdachtsdiagnose aber bleibt: Kariös zerstörter 48! Zur Unterstützung meines Verdachts mache ich ein OPG. Und dabei erlebe ich die Überraschung: Und glauben Sie mir, ich schaute dreimal hin: Röntgenartefakt? Projektionsfehler? Ich überlegte wirklich kurz, mit welcher anderen Projektion ich diese Wurzel denn darstellen könnte. Die Brücke war sehr alt und musste sowieso runter. Ich handelte. Und war erneut sehr überrascht.
Und der Patient konnte sich dann nach bohrendem Nachfragen auch wieder erinnern: „Ja, ja, da hatte ich schon einmal Beschwerden. Da hat mein Zahnarzt die Brücke heruntergenommen, irgendetwas gemacht und die Brücke wieder eingesetzt. Die Beschwerden gingen weg."
Dieser Fall wurde eingereicht von Susanna Vieregge von der Zahnarztpraxis Alexander Tabakov & Kollegen in Kiel-Flintbek.
Wir suchen Ihre kuriosen Fälle!Haben Sie auch schon geklebte, getackerte Prothesen oder außergewöhnliche Zähne gesehen? Dann greifen Sie zur Kamera! Schicken Sie uns die Fotos (inklusive Quellenangabe) und schreiben Sie unserer Redakteurin E-mail:, welche Geschichte sich hinter Ihrem kuriosen Fall verbirgt. Die Redaktion sammelt die Fälle und veröffentlicht sie dann auf zm-online.de.
Wir freuen uns auf Ihre Geschichten!





