Lingualtechnik bei komplexer Dysgnathie
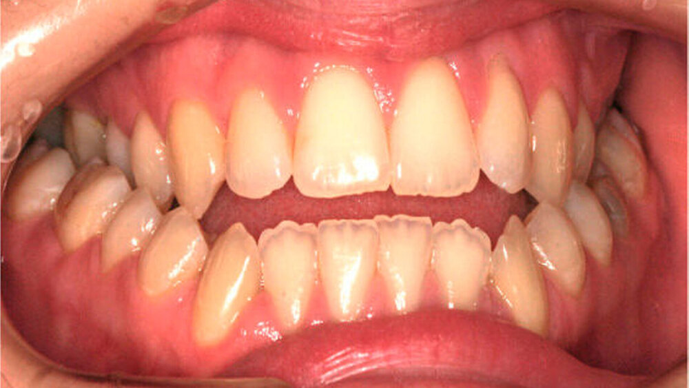
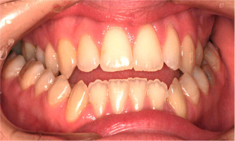
Die Patientin war zu Behandlungsbeginn 26 Jahre alt. Sie wies eine ausgeprägte skelettale Mesialbisslage (Wits: – 15,6 mm) mit retrognather Maxilla (SNA: 76°) und prognather Mandibula (SNB 87°) bei zusätzlicher Mittelgesichtshypoplasie auf (Abbildung 1a). Intraoral bestanden ein frontal offener Biss und eine transversale Enge im Oberkiefer mit zirkulärem Kreuzbiss (Abbildung 1b).
Sie wünschte eine Verbesserung der Kaufunktion, die durch den frontal offenen Biss und den negativen Overjet stark beeinträchtigt war. Ansonsten war sie mit sich und ihrem äußeren Erscheinungsbild zufrieden.
Behandlungssystematik
• konventionelle Gaumennahterweiterung (GNE)
• kieferorthopädische Ausformung der Zahnbögen
• bimaxilläre Umstellungsosteotomie
• Physiotherapie und Logopädie
• kieferorthopädische Feineinstellung der Okklusion
• Retention des Behandlungsergebnisses
Behandlungsablauf
Das Behandlungsziel wurde vor Beginn der Therapie mittel eines Set-ups simuliert (Abbildung 2).
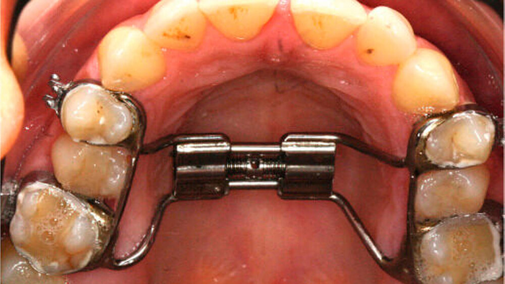
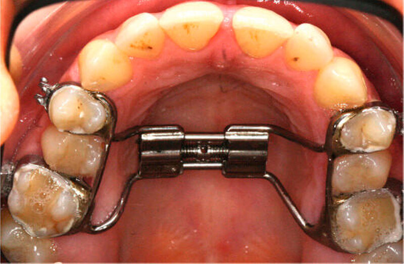
Anfangs wurde bei der Patientin eine transversale Expansion von etwa 5 mm mittels konventioneller GNE (Abbildung 3a) durchgeführt. Nach sechsmonatiger Retention durch Belassen der GNE-Apparatur konnte die individualisierte linguale Apparatur (Incognito, 3M Unitek, TOP-Service für Lingualtechnik GmbH, Bad Essen) eingesetzt werden (Abbildung 3b).
Die Bogensequenz bestand aus folgenden Bogenstärken: 0.14 Nickel-Titan (NiTi), 0.16 NiTi, 0.16 x 0.22 NiTi, 0.16 x 0.22 Stainless Steal (SS), 0.18 x 0.25 SS und einem 0.18.2 x 0.18.2 Titan-Molybdän-Alloy (TMA) für die postoperative Feineinstellung der Okklusion.
Entscheidend bei der präoperativen kieferorthopädischen Therapie war es, den Overbite offen zu halten und die negative sagittale Stufe durch Dekompensation der Incisivi-Position zu vergrößern, um die chirurgische Umstellung zu ermöglichen.
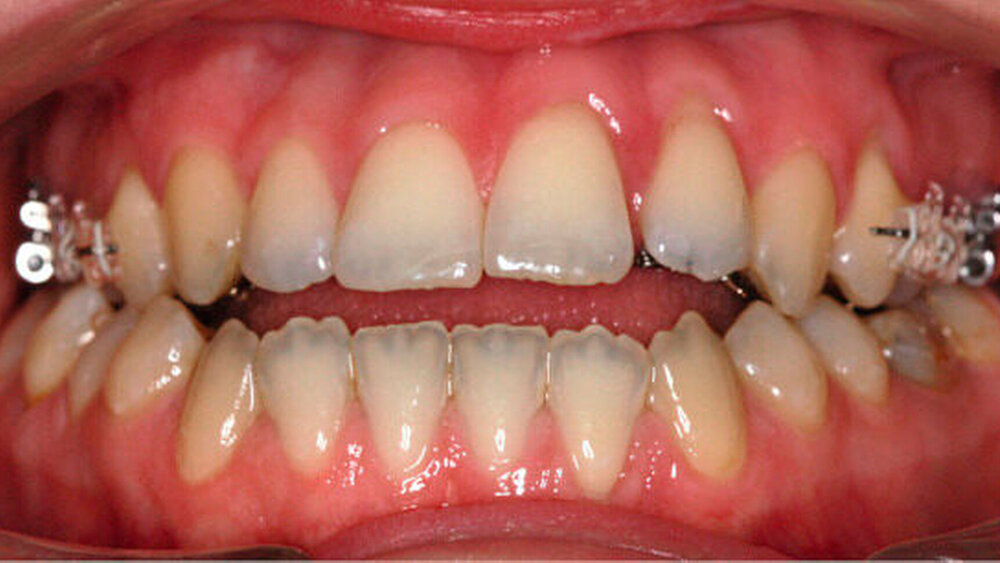
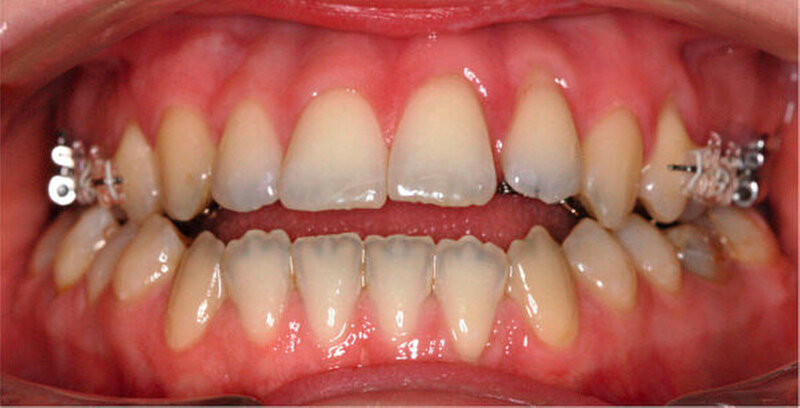
Zwölf Monate nach Beginn der orthodontischen Therapie wurde die bimaxilläre Umstellungsosteotomie durchgeführt. Für die postoperative intermaxilläre Fixierung wurden vestibulär im Seitenzahnbereich Keramikbrackets geklebt (Abbildung 4).
Die Planung der bimaxillären Umstellungsosteotomie erfolgte mittels Modell-Operation und Simulation am Fernröntgenseitenbild (fr-win, Computer konkret, Falkenstein) (Abbildung 5).
Die Maxilla wurde intraoperativ 3 mm vorverlagert, 3 mm posterior impaktiert und transversal 2 mm erweitert. Die Mandibula wurde mittels sagittaler Spaltung nach Obwegeser/Dal Pont 4 mm rückverlagert. Abbildung 6 zeigt den postoperativen Befund am Fernröntgenseitenbild und von extraoral lateral.
Die postoperative kieferorthopädische Aufgabe bestand in der okklusalen Feineinstellung, die mittels 0.18.2 x 0.18.2 TMA- Bogen und dem vertikalen, triangulären Einhängen von Klasse-IV-Elastics realisiert wurde. Die Patientin befand sich zusätzlich in logopädischer und in physiotherapeutischer Behandlung. Das Debonding der lingualen Apparatur erfolgte etwa fünf Monate nach der Operation (Abbildung 7).
Direkt nach dem Debonding wurden linguale Kleberetainer in Ober- und Unterkiefer eingesetzt. Zusätzlich bekam die Patientin eine herausnehmbare Zahnspange, um die okklusale Einstellung und die transversale Breite zu retinieren.
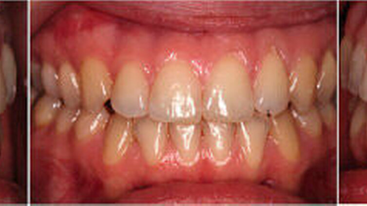
Die aktuelle Dokumentation befindet sich eineinhalb Jahre nach Behandlungsabschluss (Abbildung 8). Die Patientin wird weiterhin jährlich kontrolliert, die Befunde werden dokumentiert und sie weist zurzeit kein Rezidiv auf. Sie ist hinsichtlich des Therapieverlaufs und des Behandlungsergebnisses sehr zufrieden.
Diskussion
Mit diesem kombiniert kieferorthopädisch-kieferchirurgischen Behandlungskonzept und der lingualen Apparatur konnte ein sehr gutes Ergebnis erzielt werden. Entscheidend hierfür waren die verbesserten funktionellen und ästhetischen Kriterien, aber auch die bisher erreichte Stabilität. Notwendig hierfür waren die sehr gute Mitarbeit der Patientin und die Präzision der individualisierten lingualen Apparatur zur Umsetzung des geplanten Set-ups [Pauls HJ, 2008; Pauls AH, 2010].
Bei der Patientin wurde eine bimaxilläre Umstellungsosteotomie mit Le-Fort-I-Osteotomie der Maxilla und sagittaler Spaltung der Mandibula durchgeführt. Als OP-Alternative wurde ihr vonseiten der Mund-Kiefer-Gesichtschirurgie eine Le-Fort-II-Osteotomie vorgeschlagen, da diese die Mittelgesichts-Hypoplasie ästhetisch eventuell besser korrigiert hätte [Hara S et al., 2013].
Die Patientin lehnte dies aufgrund der höheren Operationsrisiken und der Zufriedenheit mit ihrem äußeren Erscheinungsbild jedoch ab.
Die 26-Jährige zeigte nach der konventionellen Gaumennahterweiterung ein geringfügiges Rezidiv, das in der anschließenden Umstellungsosteotomie korrigiert wurde. Alternativ hätte die Gaumennahterweiterung direkt chirurgisch unterstützt durchgeführt und das Ergebnis mit der Apparatur stabilisiert werden können [Prado GP et al., 2013].
Eine dentale Kompensation der Malokklusion war aufgrund der Kombination aus transversaler, sagittaler und vertikaler Problematik und der bereits bestehenden dentalen Kompensation der skelettalen Dysgnathie nicht möglich.
Zusammenfassend bleibt festzustellen, dass die individualisierte linguale Apparatur für die kombiniert kieferorthopädisch-kieferchirurgische Behandlung eine effiziente und ästhetisch ansprechende Behandlungsmöglichkeit darstellt.
Dr. Dr. Collin Jacobs
Poliklinik für Kieferorthopädie
Universitätsmedizin der Johannes Gutenberg-Universität Mainz
Augustusplatz 2
55131 Mainz
collin.jacobs@unimedizin-mainz.de
Dr. Viviana Jacobs
KFO am Zoo
Grunerstr. 52
40239 Düsseldorf
Uwe Schumann
Praxis Schumann Partner
Rüttenscheiderstr. 249
45131 Essen
Prof. Dr. Dr. Christopher Mohr
Universitätsklinik für MKG-Chirurgie
Kliniken Essen-Mitte/Evang. Huyssens-Stiftung
Henricistr. 92
45136 Essen













