Metastase in der Mundschleimhaut
Ein 67-jähriger Patient stellte sich mit einer seit drei Wochen größenprogredienten rot-bräunlichen Schwellung in regio 48 bei seinem Hauszahnarzt vor. In der alio loco angefertigten Panoramaschichtaufnahme zeigte sich eine unscharf begrenzte Aufhellung perikoronal um einen teilretinierten Zahn 048 (Abbildung 1). Daraufhin wurde der Patient an die Klinik für Mund- Kiefer- und Gesichtschirurgie der Uniklinik Bonn überwiesen.
Anamnese und Untersuchtung
Anamnestisch befand sich der Patient zum Zeitpunkt der Untersuchung unter einer laufenden Immuntherapie mit Nivolumab und Ipilimumab bei einem lymphogen und kutan metastasierten Malignen Melanom (pT1b, pN3b, cM1b; Stadium IV AJCC). Die Erstdiagnose und die anschließende operative Entfernung eines superfiziell spreitenden Melanoms im Bereich der linken Flanke erfolgte im Jahre 1992. Kutane und axilläre Lymphknotenfiliae traten erstmalig 2019 auf. Im Verlauf des Jahres 2020 bestätigte sich ein Progress mit thorakaler und pulmonaler Metastasierung.
Zum Untersuchungszeitpunkt ließen sich bei der extraoralen Untersuchung weder eine Gesichtsasymmetrie noch eine Hypästhesie des N. alveolaris inferior und des N. mentalis rechtsseitig verzeichnen. Zervikal ließ sich ein rechtsseitig vergrößerter, derber Lymphknoten palpieren. Enoral imponierte in regio 048 eine circa 2 x 2 cm exophytisch wachsende rot-bräunliche, nicht verschiebliche Mundschleimhautveränderung (Abbildung 2). Die Vitalitätsprobe des Zahnes 47 erwies sich als positiv. Nebenbefundlich zeigte sich eine Karies profunda an 46, ein Wurzelrest 27 und ein retinierter 18.
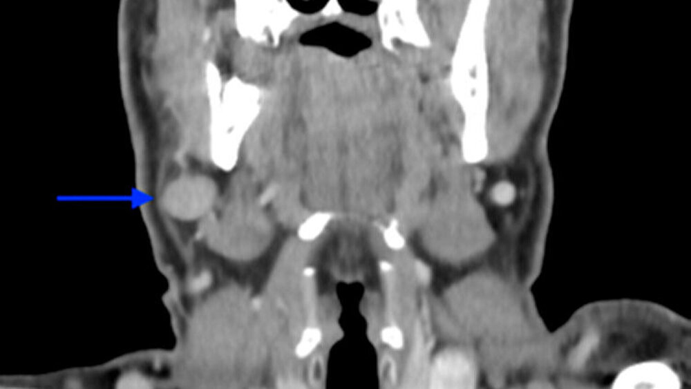
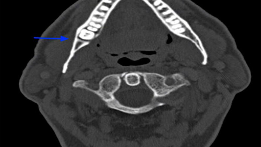
Anhand der klinischen Beurteilung wurde die Verdachtsdiagnose eines Plattenepithelkarzinoms gestellt. Differenzialdiagnostisch kam eine Epulis in Betracht. Zur Beurteilung der Befundausdehnung sowie zur Planung der weiteren Therapie wurde ein CT des Halses mit Kontrastmittel im Rahmen des Stagings durchgeführt. Im CT konnte das Ausmaß der Osteolysen ermittelt werden. Zu dem Zeitpunkt hatte keine Arrosion der Kortikalis stattgefunden (Abbildung 3). Darüber hinaus zeigten sich zahlreiche prominente und insbesondere rechtsseitig vergrößerte zervikale Lymphknoten, welche als metastasenverdächtig eingestuft wurden (Abbildung 4). Aufgrund der unklaren Dignität des Befundes erfolgte zur histologischen Diagnosesicherung die ambulante Probeentnahme in regio 048.
Das histopathologische Gutachten ergab abweichend zum klinischen Befund submuköse Infiltrate eines Malignen Melanoms, welche als eine Metastase des Primärbefundes aus dem Jahre 1992 gewertet wurden.
Nach Eingang des histopathologischen Befundes wurde der Fall im interdisziplinären Tumorboard der Uniklinik Bonn und im Anschluss mit dem Patienten erörtert. Aufgrund der diffusen Metastasierung entschieden wir uns gegen ein operatives Konzept. Des Weiteren wurde im Sinne der ,,best supportive care" die palliative Fortführung der Immuntherapie aufgrund der insgesamt schlechten Prognose empfohlen.
Die entsprechende Immuntherapie wurde im Rahmen der dermato-onkologischen Anbindung an der Uniklinik Bonn fortgeführt. Drei Monate nach dem Erstkontakt in unserer Ambulanz ist der Patient bei reduziertem Allgemeinzustand weiterhin am Leben.
Diskussion
Unklare Raumforderungen im Mundraum stellen den Behandler differenzialdiagnostisch vor eine Herausforderung. Es kommen grundsätzlich verschiedene benigne und maligne Primärbefunde, allerdings auch Metastasen in Betracht. Die enorale Manifestation
metastatischer Tumorzellen von Primärtumoren aus anderen Körperregionen stellt mit ein Prozent eine Rarität dar und weist normalerweise auf einen disseminierten Krankheitsverlauf hin [Shen et al., 2009]. In der Regel ist bei der oralen Metastasierung der Kieferknochen häufiger betroffen als die oralen Weichteile (2:1) [Hirshberg et al., 2008]. Man unterscheidet vor allem intraossäre metastatische Tumoren von oralen Metastasen der Gingiva. Orale Metastasen der Gingiva sind sowohl im Ober- als auch im Unterkiefer lokalisiert, während intraossäre metastatische Tumoren im Unterkiefer, vor allem in der gut vaskularisierten Mandibularregion, häufiger auftreten [Seoane et al., 2009]. Zu den häufigsten Primärtumoren mit oraler Metastasierung zählen unter anderem das Lungen-, Leber-, Nieren-, Kolon-, Mamma- und Prostata-Karzinom. Das metastasierte Maligne Melanom nimmt hierbei einen geringen Stellenwert ein [Hirshberg et al., 2008].
Klinisch imponieren bei Metastasierungen in den Kieferknochen Schwellungen, Schmerzen, Zahnlockerungen und Hyp- oder Parästhesien, die sich in relativ kurzer Zeit entwickeln. Im konventionellen Röntgen sind unscharf begrenzte, osteolytische Läsionen sowie Periostreaktionen als Malignitätskriterien im Kieferknochen zu erkennen. Diese sind als hochgradig malignitätsverdächtig anzusehen und bedürfen umgehender Abklärung.
Die frühe Manifestation der Gingivametastasen ähnelt einer hyperplastischen oder reaktiven Läsion [Barnes et al., 2009]. Aus diesem Grund können sie unter anderem dentale oder parodontale Infektionen vortäuschen. Eine ausbleibende Besserung der Symptome nach einer zeitlich begrenzten Antibiotikatherapie sowie gering erhöhte Infektparameter lassen ein septisches Geschehen unwahrscheinlich erscheinen. Differenzialdiagnostisch ist ein pyogenes Granulom, ein peripheres Riesenzellgranulom oder einer fibröse Epulis in Betracht zu ziehen. Daneben ist vor allem bei positiver Noxenanamnese (Nikotin und Alkohol) auch an ein exophytisch wachsendes Plattenepithelkarzinom der Mundhöhle mitzudenken. Die endgültige Diagnosesicherung erfolgt letztlich immer über die histopathologische Begutachtung.
Die Therapie der Gingivametastasen richtet sich nach dem Ausmaß der Grunderkrankung. In der Regel ist bei Befall der Mundschleimhaut die Metastasierung so weit vorangeschritten, dass primär ein palliatives Konzept angestrebt wird. Die mediane Überlebenszeit seit dem Auftreten von Gingivametastasen bei einem Malignem Melanom beträgt in der Regel 5,2 Monate [Seoane et al., 2009]. Um lokale Exulzerationen sowie pathologische Frakturen zu vermeiden, besteht die Möglichkeit eines palliativen Operationskonzeptes [Garbe et. al, 2004]. Dies muss im Einzelfall geprüft werden und kann zur Linderung von Beschwerden oder zum Funktionserhalt erwogen werden. Für unseren Patienten kam ein palliativ-operatives Therapiekonzept aufgrund der Progredienz der Grunderkrankung und seines reduzierten Allgemeinzustandes nicht in Frage.
Therapie im Wandel durch Einführung der Systemtherapie bei Inoperabilität
Bei inoperablen regionären Metastasen (Stadium III) und Fernmetastasen (Stadium IV) eines Malignen Melanoms besteht die Indikation zu einer medikamentösen Systemtherapie. Die Überlebensraten wurden in den letzten Jahren durch die Einführung von Signaltransduktions-Inhibitoren (BRAF-, MEK- und c-KT-Inhibitoren) und Immuncheckpoint-Inhibitoren (PD1-Monotherapie oder PD1- CTLA4-Antikörpertherapie) deutlich verbessert [Winkler et al., 2017]. Die erhaltende Kombinationstherapie des Patienten mit Nivolumab (PD-1-Antikörper) und Ipilimumab (CTLA-4-Antikörper) erfolgt als Standardtherapie bei bekannter BRAF-Gen-Mutation und kann Ansprechraten von nahezu 60 Prozent erreichen [Roesch et al, 2018]. Diese Therapie führt zu einer Aktivierung der körpereigenen T-Zellen und somit zu einer effektiven Tumorabwehr. Unter dieser Kombinationstherapie konnte in Studien ein medianes Gesamtüberleben von etwa zwei Jahren nachgewiesen werden [Roesch et al, 2018]. In diesem Zusammenhang müssen aber die zum Teil schwerwiegenden immunvermittelten Nebenwirkungen der Therapie kritisch genannt werden, welche prinzipiell jedes Organsystem betreffen können.
Fazit für die Praxis
Unklare Raumforderungen im Mundbereich müssen frühzeitig abgeklärt werden.
Zur endgültigen Diagnosesicherung sowie der damit verbundenen Therapie ist immer die vollständige histopathologische Untersuchung erforderlich.
In Anbetracht der schlechten Prognose eines metastasierten Malignen Melanoms kommt der Prävention und der Früherkennung des aggressiven Hauttumors eine wichtige Bedeutung zu.
Nach der Exzision eines Melanoms sollten regelmäßig Nachsorgeuntersuchungen durchgeführt werden, um eine Metastasierung früh genug zu erkennen.
Literatur
Literatur
Schadendorf, D., van Akkooi, A. C., Berking, C., Griewank, K. G., Gutzmer, R., Hauschild, A., & Ugurel, S. (2018). Melanoma. The Lancet, 392 (10151), 971-984
Lodde, G., Zimmer, L., Livingstone, E., Schadendorf, D., & Ugurel, S. (2020). Malignes Melanom. Der Pathologe, 1-11
Van der Waal, R. I. F., J. Buter, and I. Van der Waal. „Oral metastases: report of 24 cases." British Journal of Oral and Maxillofacial Surgery 41.1 (2003): 3-6.
Hirshberg, Abraham, et al. „Metastatic tumours to the oral cavity–pathogenesis and analysis of 673 cases.” Oral oncology 44.8 (2008): 743-752.
Garbe, C., and T. K. Eigentler. „Therapie des malignen Melanoms im Stadium der Fernmetastasierung." Der Hautarzt 55.2 (2004): 195-213.
Seoane, Juan, et al. „Metastatic tumours to the oral cavity: a survival study with a special focus on gingival metastases.” Journal of clinical periodontology 36.6 (2009): 488-492.
Barnes, Leon. „Metastases to the head and neck: an overview.” Head and neck pathology 3.3 (2009): 217-224.






