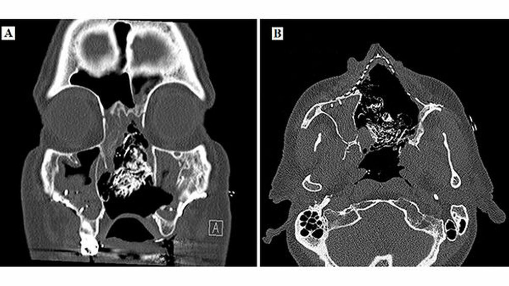
Mit Le-Fort-I den NNH-CA entfernt
Paul
Heymann
,
Anne
Attrodt
,
Christine
Moll
,
Andreas
Neff
,
Thomas
Ziebart
,
Afshin
Teymoortash
Zahnmedizin
Zahnärztliche Mitteilungen







