Okkulter Spritzenabszess nach Leitungsanästhesie
Eine 38-jährige Patientin wurde in unsere Ambulanz der Uniklinik Aachen mit Verdacht auf eine craniomandibuläre Dysfunktion (CMD) zur weiteren Abklärung überwiesen. Die Patientin berichtete über eine zunehmende Einschränkung der Mundöffnung und rezidivierende Schmerzen im Bereich des linken Kiefergelenks. Diese würden insbesondere beim längeren Kauen und bei Mundöffnung auftreten.
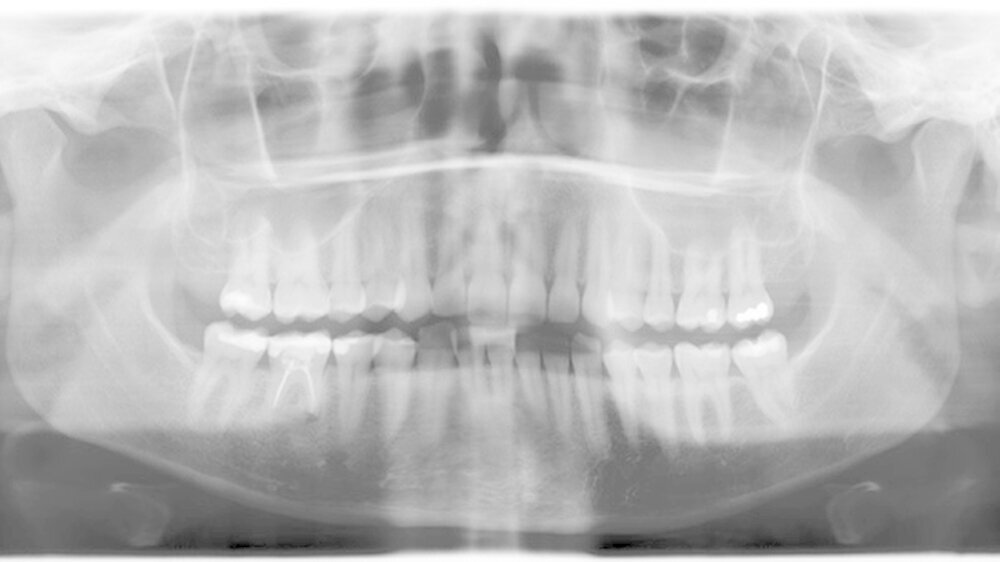
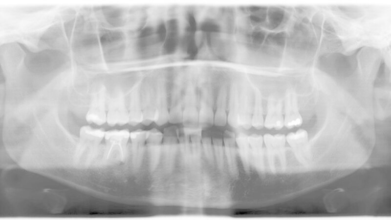
Anamnestisch wurde einen Monat zuvor eine Füllungstherapie beim Hauszahnarzt am Zahn 37 durchgeführt (Abbildung 1). Die Beschwerden seien zum ersten Mal etwa drei Tage nach der Zahnbehandlung aufgetreten und hätten sich kontinuierlich verschlimmert.
Eine zweiwöchige orale Therapie mit Clindamycin 1200 mg/d habe zu keiner Besserung geführt. Die supportive analgetische Therapie mit Ibuprofen 400 mg habe nur eine kurzfristige Schmerzlinderung bewirkt.
Die Patientin gab an, Nichtraucherin zu sein. Anamnestisch bestanden keine somatischen Vorerkrankungen und keine feste Medikation.
Klinischer Befund
Klinisch waren extraoral keine Schwellung oder Rötung im Bereich des Kiefergelenks links erkennbar. Die lokoregionalen Lymphknoten waren nicht vergrößert. Es bestand eine Kieferklemme mit etwa 8mm Schneidekantendistanz (Abbildung 2) und das linke Kiefergelenk war bei direkter Krafteinwirkung leicht druckdolent. Enoral waren die sichtbaren Mundschleimhäute blass rosa, ebenfalls ohne Anhalt auf eine Schwellung oder Entzündung.
Der M. pterygoideus medialis sinister war mäßig druckdolent. Das Gebiss war sowohl konservativ als auch prothetisch vollständig saniert und gepflegt. Alle Zähne im zweiten und dritten Quadranten, inclusive des Zahnes 37, waren vital und perkussionsnegativ.
Verlauf
Bei Verdacht auf auf eine Myositis (DD bakterielle Muskelentzündung nach Leitungsanästhesie) wurden der Patientin Amoxicillin/Clavulansäure 875mg/125mg sowie Celecoxib 100 mg dreimal täglich verordnet. Es wurde ein Wiedervorstellungstermin in fünf Tagen vereinbart. Am Wiedervorstellungstag berichtete die Patientin über eine nur geringfügige Besserung der Beschwerden, so dass wir uns bei unauffälligen laborchemischen Entzündungsparametern für ein MRT des linken Kiefergelenks entschieden haben.
Diagnostik
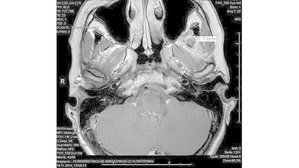
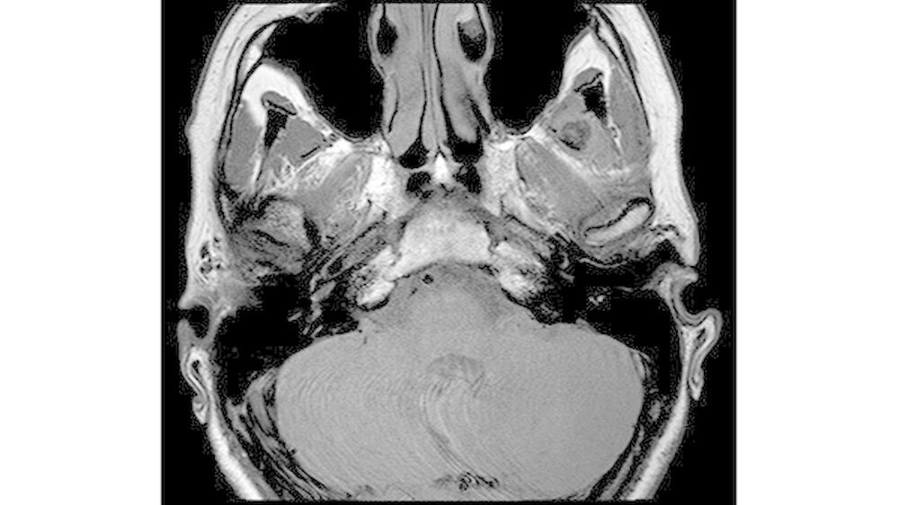
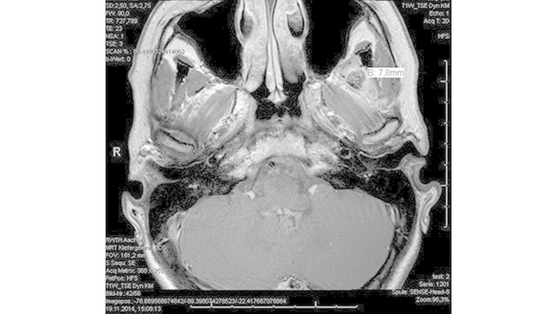
Das neun Tage später durchgeführte MRT zeigte keinen Anhalt für eine Läsion des Diskuskomplexes beidseits. Es wurde jedoch eine umschriebene, teils T2-hyperintense sowie kräftig randständig kontrastmittelaufnehmende Läsion im M. pterygoideus medialis links (axial bis zirka 1,0 cm) angrenzend an den Processus muscularis vereinbar mit einem kleinen intramuskulären Abszess beschrieben (Abbildungen 3 a und b).
Des Weiteren erschien der M. pterygoideus medialis links in seinem ganzen Verlauf ödematös verändert, jedoch ohne Anhalt für eine Beteiligung der umliegenden Strukturen wie dem M. pterygoideus lateralis.
Therapie
Nach den üblichen präoperativen, ambulanten Narkosevorbereitungen führten wir in einer nasalen Intubationsnarkose eine Abszessinzision und Drainageröhrchen-Einlage von enoral durch. Der Eingriff selbst verlief komplikationslos. Es entleerte sich geringfügig dickflüssiges putrides Sekret. Der postoperative Verlauf gestaltete sich regelrecht, so dass wir die Patientin bereits am zweiten postoperativen Tag in unsere ambulante Weiterbehandlung entlassen konnten.
Bei kontinuierlich fehlender Pusabsonderung konnten die Drainageröhrchen am vierten postoperativen Tag entfernt werden. Die Patientin bemerkte zu diesem Zeitpunkt bereits eine leichte Besserung der Mundöffnung. Die zunächst aufgetretene Besserung stagnierte jedoch im ersten Monat bei etwa 2,2 cm SKD, so dass wir der Patientin Physiotherapie und tägliche Übung mit TheraBite® verordnet haben. Nach 20 physiotherapeutischen Behandlungen (dreimal wöchentlich) und dreimonatigen Übungen mit diesem Rehabilitationssystem zur Verbesserung der Mundöffnung kam es zu einer kompletten Wiederherstellung der Mundöffnung (Abbildung 4) und Kaufunktion.
###more### ###title### Diskussion ###title### ###more###
Diskussion
Glutealabszesse nach Medikamenteninjektionen und aseptische Abszesse im Bereich des M. deltoideus nach Impfungen sind in der Literatur gut beschrieben und bekannt. Ein Spritzenabszess nach Leitungsanästhesie im Bereich des Foramen mandibulare stellt zwar eine bekannte Komplikation dar, wird jedoch in der Literatur als sehr selten eingestuft. Es finden sich nur vereinzelte Berichte über die klinischen Symptome und Behandlungsverläufe [Ogle OE, Mahjoubi G., 2012, Dojcinovic I, Hugentobler M, Richter M., 2006, Maglione M et al., 2006]
Differenzialdiagnostisch kommt dabei auch ein intramuskuläres Hämatom in Frage, welches sich in Verlauf ebenfalls infizieren und abszedieren kann. Typischerweise entwickelt sich die Kieferklemme innerhalb der ersten 24 Stunden nach Leitungsanästhesie, wogegen die primären Abszesse erfahrungsgemäß zwei bis drei Tage brauchen um symptomatisch zu werden. Daher sprach der klinische Verlauf in dem oben genannten Fall eher für das Vorliegen eines primären Abszesses.
Eine dauerhafte Verlagerung des Discus artikularis im linken Kiefergelenk, ohne Reposition (Diskusluxation) kam differenzialdiagnostisch ebenfalls in Betracht. Unter Diskusluxation wird eine Verlagerung des Diskus artikularis durch den Zug des M. pterygoideus lateralis nach mesial des Kieferköpfchens verstanden.
Bei einer Diskusverlagerung mit Reposition verschiebt sich der Diskus in der Anfangsfase der Mundöffnung nach mesial auf das Tuberculum articulare ossis temporalis. Beim Fortschreiten der Mundöffnung rutscht der Discus wieder in die Fossa articularis zurück, es entsteht dabei häufig ein lautes Knackgeräusch, sogenanntes Kiefergelenkknacken.
Bei einer Diskusverlagerung ohne Reposition kommt es zu keiner spontanen Rückverlagerung mehr. Der Discus bleibt mesial des Gelenkköpfchens, und es entsteht eine schmerzhafte Kieferklemme. Eine Diskusluxation kann auch mit einer Kapsulitis begleitet werden, welche mit einer ausgeprägten Empfindlichkeit über der Gelenkregion und Ohrschmerz einhergeht. Beim Fortbestehen der Kieferklemme über mehrere Tage kann es zur Adhäsionsbildung kommen, welche dann unter Umständen chirurgisch behandelt werden muss.
Die Patientin hatte nie „Kieferknacken“ in der Anamnese, und die Kieferklemme ist bei ihr langsam über mehrere Tage entstanden. Der klinische Verlauf wäre nicht typisch für eine Diskusluxation ohne Reposition.
Aufgrund der misslungenen primären Therapie mit Antibiotika muss man jedoch in jedem Fall eine Diskusluxation ohne Reposition mit einem subakuten Verlauf als Differenzialdiagnose in Betracht ziehen.
Unter Myositis oder Tendomyositis wird eine akut schmerzhafte, generalisierte Entzündung eines Muskels gegebenenfalls mit Einbezug der Muskelsehnen verstanden. Die Beschwerden treten dann häufig erst ein bis zwei Tage nach einer exzessiven Muskelbelastung oder Muskelschädigung wie in diesem Fall durch die intramuskuläre Injektion auf.
Als Therapie werden hier Antiphlogistika (wie Ibuprofen) milde Physiotherapie und Kühlen empfohlen. Unter Therapie mit Ibuprofen kam es bei der Patientin zu keiner Besserung der Beschwerden, so dass die weiterführende Diagnostik dringend indiziert war.
Abgesehen von der Röntgenstrahlung hat die Computertomografie eine schlechtere räumliche Auflösung als eine Magnetresonanztomografie, so dass bei kleinen anatomischen Strukturen mit stark abweichenden Dichten wie Gelenke (Knochen zu Knorpel) oder bei geringer Kontrastmittelanreicherung, Veränderungen erst ab etwa 1 cm Durchmesser eindeutig erkennbar wären.
Aufgrund der geringen Größe der anatomischen Strukturen wie Discus articularis und der besonderen Sensitivität in Bezug auf entzündliche Prozesse, ist eine Kernspinuntersuchung (MRT) mit einer Auflösung von 1 bis 2 mm bei Verdacht auf eine Discusluxation, Kapsulitis im Bereich des Kiefergelenkes oder Tendomyositis der M. pterygoides lateralis und/oder medialis das Diagnoseverfahren der ersten Wahl [Emshoff R, Innerhofer K, Rudisch A, Bertram S., 2001; Krestan C, Lomoschitz F, Puig S, Robinson S.,2001].
Schlussfolgerung
Die Verdachtsdiagose eines floriden Abszesses im Spatium pterygopalatina oder pterygomasseterica nach Zahnextraktion lässt sich im Allgemeinen sowohl klinisch als auch radiologisch gut stellen und bestätigen. Bei einem subakuten chronischen Verlauf oder bei einem so genannten „Kalten Abszess“ kann die Diagnosefindung jedoch erschwert sein.
Eine CT-Untersuchung mit Kontrastmittel kann prinzipiell, besonders wenn kein MRT zur Verfügung steht, für eine Abszessabklärung angewendet werden. Die Befunde unterhalb von 1 cm sind jedoch nicht immer valide darzustellen.
Bei unklaren klinischen Situationen, in denen vor allem differenzialdiagnostisch eine Diskusluxation oder eine Myositis in Frage kämen, ist dem MRT Vorzug zu geben. Ein Spritzenabszess stellt zwar eine seltene Komplikation dar, sollte dennoch bei persistierender Kieferklemme abgeklärt werden.Dr. Evgeny GoloborodkoPD Dr.Dr. Alireza GhassemiPD Dr. Dr. Ali ModabberUniv-Prof. Dr.Dr. Frank HölzleKlinik für Mund-,Kiefer- und Gesichtschirurgie Uniklinik RWTH AachenPauwelsstr. 30, 52074 Aachenegoloborodko@ukaachen.de
Literatur
1. Ogle OE, Mahjoubi G. Local anesthesia: agents, techniques, and complications. Dent Clin North Am. 2012 Jan;56(1):133-48, ix.
2. Dojcinovic I, Hugentobler M, Richter M. [Infracondylar abscess formation: a rare complication of local anesthesia]. Rev Stomatol Chir Maxillofac. 2006 Nov;107(5):366-9.
3. Maglione M, Angerame D, Costantinides F, Visintini E. Buccal-masseteric mycotic abscess as a consequence of dental procedures. Minerva Stomatol. 2006 Nov-Dec;55(11-12):647-54.
4. Emshoff R, Innerhofer K, Rudisch A, Bertram S. Relationship between temporomandibular joint pain and magnetic resonance imaging findings of internal derangement. Int J Oral Maxillofac Surg. 2001 Apr;30(2):118-22.
5. Krestan C, Lomoschitz F, Puig S, Robinson S. [Internal derangement of the temporomandibular joint]. Radiologe. 2001 Sep;41(9):741-7.








